The Presentation of Two Unrelated Clinical Cases from the Republic of North Ossetia-Alania with the Same Previously Undescribed Variant in the COL6A2 Gene
Abstract
1. Introduction
2. Results
2.1. Clinical Data
2.1.1. The First Family
2.1.2. The Second Family
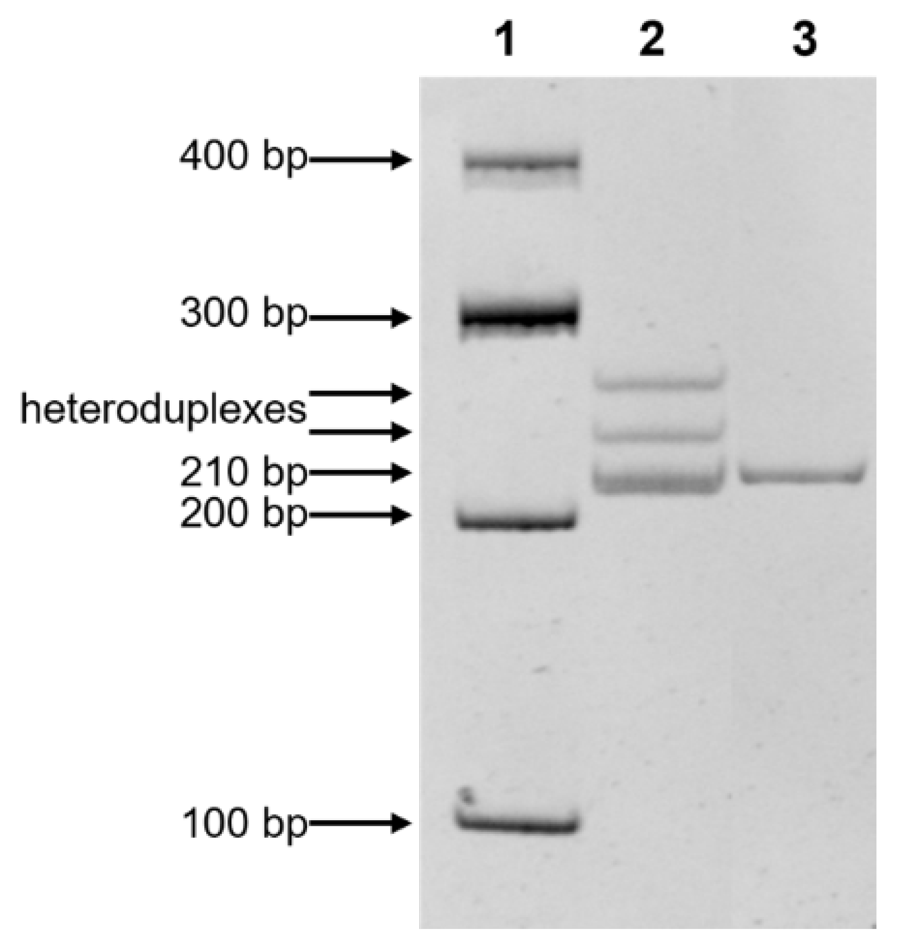
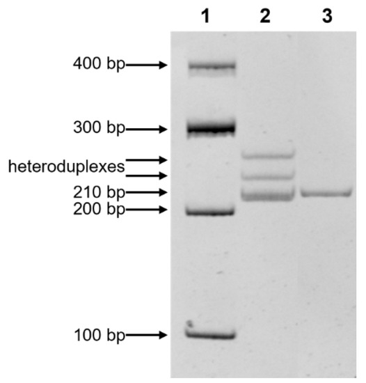
2.2. Genetic Analysis
2.3. Population Analysis
3. Discussion
4. Materials and Methods
4.1. Patients
4.2. Source of DNA
4.3. High-Throughput Sequencing
4.4. Polymerase Chain Reaction (PCR), Sanger Sequencing
4.5. Population Study
5. Conclusions
Author Contributions
Funding
Institutional Review Board Statement
Informed Consent Statement
Data Availability Statement
Acknowledgments
Conflicts of Interest
References
- Dowling, J.J.D.; Gonorazky, H.; Cohn, R.D.; Campbell, C. Treating pediatric neuromuscular disorders: The future is now. Am. J. Med. Genet. Part A 2018, 176, 804–841. [Google Scholar] [CrossRef] [PubMed]
- Mroczek, M.; Sanchez, M.G. Genetic modifiers and phenotypic variability in neuromuscular disorders. J. Appl. Genet. 2020, 61, 547–558. [Google Scholar] [CrossRef] [PubMed]
- Bertini, E.; Pepe, G. Collagen type vi and related disorders: Bethlem myopathy and ullrich scleroatonic muscular dystrophy. Eur. J. Paediatr. Neurol. 2002, 6, 193–198. [Google Scholar] [CrossRef] [PubMed]
- Bonnemann, C.G. The collagen vi-related myopathies ullrich congenital muscular dystrophy and bethlem myopathy. Handb. Clin. Neurol. 2011, 101, 81–96. [Google Scholar]
- Bushby, K.M.; Collins, J.; Hicks, D. Collagen type vi myopathies. Adv. Exp. Med. Biol. 2014, 802, 185–199. [Google Scholar]
- Zinchenko, R.A.; Makaov, A.K.; Marakhonov, A.V.; Galkina, V.A.; Kadyshev, V.V.; El’chinova, G.I.; Dadali, E.L.; Mikhailova, L.K.; Petrova, N.V.; Petrina, N.E.; et al. Epidemiology of hereditary diseases in the karachay-cherkess republic. Int. J. Mol. Sci. 2020, 21, 325. [Google Scholar] [CrossRef]
- Zinchenko, R.A.; Kadyshev, V.V.; El’chinova, G.I.; Marakhonov, A.V.; Galkina, V.A.; Dadali, E.L.; Khlebnikova, O.V.; Mikhailova, L.K.; Petrova, N.V.; Petrina, N.E.; et al. Study of the genetic load and diversity of hereditary diseases in the russian population of the karachay-cherkess republic. Int. J. Mol. Epidemiol. Genet. 2018, 9, 34–42. [Google Scholar]
- Marakhonov, A.V.; Konovalov, F.A.; Makaov, A.K.; Vasilyeva, T.A.; Kadyshev, V.V.; Galkina, V.A.; Dadali, E.L.; Kutsev, S.I.; Zinchenko, R.A. Primary microcephaly case from the karachay-cherkess republic poses an additional support for microcephaly and seckel syndrome spectrum disorders. BMC Med. Genom. 2018, 11, 8. [Google Scholar] [CrossRef] [PubMed]
- Ginter, E.K. [epidemiology of hereditary diseases in russian population]. Vestn. Ross. Akad. Meditsinskikh Nauk. 1999, 11, 7–11. [Google Scholar]
- Zinchenko, R.A.; Ginter, E.K.; Marakhonov, A.V.; Petrova, N.V.; Kadyshev, V.V.; Vasilyeva, T.P.; Alexandrova, O.U.; Polyakov, A.V.; Kutsev, S.I. Epidemiology of rare hereditary diseases in the european part of russia: Point and cumulative prevalence. Front. Genet. 2021, 12, 678957. [Google Scholar] [CrossRef] [PubMed]
- Petrova, N.V.; Kashirskaya, N.Y.; Saydaeva, D.K.; Polyakov, A.V.; Adyan, T.A.; Simonova, O.I.; Gorinova, Y.V.; Kondratyeva, E.I.; Sherman, V.D.; Novoselova, O.G.; et al. Spectrum of cftr mutations in chechen cystic fibrosis patients: High frequency of c.1545_1546delta (p.Tyr515x; 1677delta) and c.274g>a (p.Glu92lys, e92k) mutations in north caucasus. BMC Med. Genet. 2019, 20, 44. [Google Scholar] [CrossRef] [PubMed]
- Zinchenko-Mamedova, R.A.; El’chinova, G.I.; Nurbaev, S.D.; Ginter, E.K. [diversity in autosomal-dominant diseases in the russian population]. Genetika 2001, 37, 373–385. [Google Scholar] [PubMed]
- Petrova, N.; Balinova, N.; Marakhonov, A.; Vasilyeva, T.; Kashirskaya, N.; Galkina, V.; Ginter, E.; Kutsev, S.; Zinchenko, R. Ethnic differences in the frequency of cftr gene mutations in populations of the european and north caucasian part of the russian federation. Front. Genet. 2021, 12, 678374. [Google Scholar] [CrossRef]
- Petrova, N.V.; Kashirskaya, N.Y.; Krasovskiy, S.A.; Amelina, E.L.; Kondratyeva, E.I.; Marakhonov, A.V.; Vasilyeva, T.A.; Voronkova, A.Y.; Sherman, V.D.; Ginter, E.K.; et al. Clinical presentation of the c.3844t>c (p.Trp1282arg, w1282r) variant in russian cystic fibrosis patients. Genes 2020, 11, 1137. [Google Scholar] [CrossRef]
- Butterfield, R.J.; Foley, A.R.; Dastgir, J.; Asman, S.; Dunn, D.M.; Zou, Y.; Hu, Y.; Donkervoort, S.; Flanigan, K.M.; Swoboda, K.J.; et al. Position of glycine substitutions in the triple helix of col6a1, col6a2, and col6a3 is correlated with severity and mode of inheritance in collagen vi myopathies. Hum. Mutat. 2013, 34, 1558–1567. [Google Scholar] [CrossRef] [PubMed]
- Lamande, S.R.; Bateman, J.F. Collagen vi disorders: Insights on form and function in the extracellular matrix and beyond. Matrix Biol. 2018, 71–72, 348–367. [Google Scholar] [CrossRef] [PubMed]
- Boute, N.; Exposito, J.Y.; Boury-Esnault, N.; Vacelet, J.; Noro, N.; Miyazaki, K.; Yoshizato, K.; Garrone, R. Type iv collagen in sponges, the missing link in basement membrane ubiquity. Biol. Cell 1996, 88, 37–44. [Google Scholar] [CrossRef]
- Cescon, M.; Gattazzo, F.; Chen, P.; Bonaldo, P. Collagen vi at a glance. J. Cell Sci. 2015, 128, 3525–3531. [Google Scholar] [CrossRef]
- Marakhonov, A.V.; Tabakov, V.Y.; Zernov, N.V.; Dadali, E.L.; Sharkova, I.V.; Skoblov, M.Y. Two novel col6a3 mutations disrupt extracellular matrix formation and lead to myopathy from ullrich congenital muscular dystrophy and bethlem myopathy spectrum. Gene 2018, 672, 165–171. [Google Scholar] [CrossRef] [PubMed]
- Kirschner, J. Congenital muscular dystrophies. Handb. Clin. Neurol. 2013, 113, 1377–1385. [Google Scholar]
- Higuchi, I. [collagen vi-related muscle disorders]. Brain Nerve 2011, 63, 1169–1178. [Google Scholar] [PubMed]
- Gilbreath, H.R.; Castro, D.; Iannaccone, S.T. Congenital myopathies and muscular dystrophies. Neurol. Clin. 2014, 32, 689–703. [Google Scholar] [CrossRef]
- Briñas, L.; Richard, P.; Quijano-Roy, S.; Gartioux, C.; Ledeuil, C.; Lacène, E.; Makri, S.; Ferreiro, A.; Maugenre, S.; Topaloglu, H.; et al. Early onset collagen vi myopathies: Genetic and clinical correlations. Ann. Neurol. 2010, 68, 511–520. [Google Scholar] [CrossRef] [PubMed]
- Baker, N.L.; Mörgelin, M.; Peat, R.; Goemans, N.; North, K.N.; Bateman, J.F.; Lamandé, S.R. Dominant collagen vi mutations are a common cause of ullrich congenital muscular dystrophy. Hum. Mol. Genet. 2005, 14, 279–293. [Google Scholar] [CrossRef] [PubMed]
- Bozorgmehr, B.; Kariminejad, A.; Nafissi, S.; Jebelli, B.; Andoni, U.; Gartioux, C.; Ledeuil, C.; Allamand, V.; Richard, P.; Kariminejad, M.H. Ullrich congenital muscular dystrophy (ucmd): Clinical and genetic correlations. Iran J. Child. Neurol. 2013, 7, 15–22. [Google Scholar]
- Yonekawa, T.; Nishino, I. Ullrich congenital muscular dystrophy: Clinicopathological features, natural history and pathomechanism(s). J. Neurol. Neurosurg. Psychiatry 2015, 86, 280–287. [Google Scholar] [CrossRef] [PubMed]
- Hu, J.; Chen, Y.H.; Fang, X.; Zhou, Y.; Chen, F. Clinical manifestations and prenatal diagnosis of ullrich congenital muscular dystrophy: A case report. World J. Clin. Cases 2022, 10, 338–344. [Google Scholar] [CrossRef] [PubMed]
- Saito, W.; Imura, T.; Miyagi, M.; Nakazawa, T.; Takaso, M.; Inoue, G. Cervical hyperextension treated by posterior spinal correction and fusion in a patient with ullrich congenital muscular dystrophy: A case report. JBJS Case Connect. 2020, 10, e0392. [Google Scholar] [CrossRef] [PubMed]
- Martins, A.I.; Maarque, C.; Pinto-Basto, J.; Negrao, L. Bethlem myopathy in a portuguese patient—case report. Acta Myol. 2017, 36, 178–181. [Google Scholar] [PubMed]
- Entzeroth, M.; Flotow, H.; Condron, P. Overview of high-throughput screening. Curr. Protoc. Pharmacol. 2009, 44, 9.4.1–9.4.27. [Google Scholar] [CrossRef] [PubMed]
- Verma, S.; Goyal, P.; Guglani, L.; Peinhardt, C.; Pelzek, D.; Barkhaus, P.E. Col6a and lama2 mutation congenital muscular dystrophy: A clinical and electrophysiological study. J. Clin. Neuromuscul. Dis. 2018, 19, 108–116. [Google Scholar] [CrossRef] [PubMed]
- Beskorovainy, N.S. Ngsdata Software; 18.03.2021, Russia. 2021. Available online: https://ngs-data.epigenetic.ru/ (accessed on 1 May 2022).
- Richards, S.; Aziz, N.; Bale, S.; Bick, D.; Das, S.; Gastier-Foster, J.; Grody, W.W.; Hegde, M.; Lyon, E.; Spector, E.; et al. Standards and guidelines for the interpretation of sequence variants: A joint consensus recommendation of the american college of medical genetics and genomics and the association for molecular pathology. Genet.Med. Off. J. Am. Coll. Med. Genet. 2015, 17, 405–424. [Google Scholar]
- Abramson, J.H. Winpepi updated: Computer programs for epidemiologists, and their teaching potential. Epidemiol. Perspect. Innov. 2011, 8, 1–9. [Google Scholar] [CrossRef] [PubMed]



| Patient | 1.1 | 1.2 | 2.1 |
|---|---|---|---|
| Genotype (NM_001849.3) | c.[1659_1660del]; [508_535delinsCTGTGG] | c.[1659_1660del]; [508_535delinsCTGTGG] | c.[1659_1660del]; [1689del] |
| Ancestry | Ossetians-Digors | Ossetians-Digors | Ossetians-Digors |
| Age/gender | 17 y.o./male | 8 y.o./male | 14 y.o./male |
| Hypotonia at birth | + | n/d | + |
| Apgar score | 2/4/7 | n/d | 6/8 |
| Birth weight | 2390 g (−2 SD) | n/d | 3700 g (0 SD) |
| Birth length | 52 cm (+1 SD) | n/d | 57 cm (+1 SD) |
| Motor development delay | + | + | + |
| Ambulance | non ambulant | ambulant | non ambulant |
| Diffuse muscle atrophy and weakness | + | + | + |
| Kyphoscoliosis | + | + | + |
| Spine rigidity | + | + | + |
| Hip dysplasia | + | + | - |
| Large joint contractures | + | + | + |
| Distal joint laxity | + | + | + |
| Tendon areflexia | + | + | + |
| Feet deformation | + | + | + |
| Lactate level (normal: 0.5–2.2 mmol/L) | 3.3 | n/d | n/d |
| CK level (normal: 25–200 U/L) | 247 | n/d | 305 |
| Intellectual functions | normal | normal | normal |
| Additional findings | intrauterine infection at birth | n/d | arcuate opacity of the cornea on the right side, densification of the lens on the left side |
| COL6A2 Variant | Primer Name | Sequence of Primers, 5′→3′ | Position (hg19) and Size of Amplicon |
|---|---|---|---|
| c.508_535 delinsCTGTGG | COL6A2-ex3 | F: CCACGTCACCGGCAG | chr21:47532266-47532586, 320 bp |
| R: CGCATCACAGAGGGGTAAA | |||
| c.1659_1660del | COL6A2-ex21 | F: CTGGTAGAGACAGCTCCT | chr21:47542738-47542947, 210 bp |
| R: TGGCGTTCTCCTGTACTC | |||
| c.1689del | COL6A2-ex22 | F: ATAGGGAAGGAGGAGGCACAG | chr21:47544404-47544700, 297 bp |
| R: AGAACCACGAGGCTTGGGTG |
Publisher’s Note: MDPI stays neutral with regard to jurisdictional claims in published maps and institutional affiliations. |
© 2022 by the authors. Licensee MDPI, Basel, Switzerland. This article is an open access article distributed under the terms and conditions of the Creative Commons Attribution (CC BY) license (https://creativecommons.org/licenses/by/4.0/).
Share and Cite
Ionova, S.A.; Murtazina, A.F.; Tebieva, I.S.; Getoeva, Z.K.; Dadali, E.L.; Chausova, P.A.; Shchagina, O.A.; Marakhonov, A.V.; Kutsev, S.I.; Zinchenko, R.A. The Presentation of Two Unrelated Clinical Cases from the Republic of North Ossetia-Alania with the Same Previously Undescribed Variant in the COL6A2 Gene. Int. J. Mol. Sci. 2022, 23, 12127. https://doi.org/10.3390/ijms232012127
Ionova SA, Murtazina AF, Tebieva IS, Getoeva ZK, Dadali EL, Chausova PA, Shchagina OA, Marakhonov AV, Kutsev SI, Zinchenko RA. The Presentation of Two Unrelated Clinical Cases from the Republic of North Ossetia-Alania with the Same Previously Undescribed Variant in the COL6A2 Gene. International Journal of Molecular Sciences. 2022; 23(20):12127. https://doi.org/10.3390/ijms232012127
Chicago/Turabian StyleIonova, Sofya A., Aysylu F. Murtazina, Inna S. Tebieva, Zalina K. Getoeva, Elena L. Dadali, Polina A. Chausova, Olga A. Shchagina, Andrey V. Marakhonov, Sergey I. Kutsev, and Rena A. Zinchenko. 2022. "The Presentation of Two Unrelated Clinical Cases from the Republic of North Ossetia-Alania with the Same Previously Undescribed Variant in the COL6A2 Gene" International Journal of Molecular Sciences 23, no. 20: 12127. https://doi.org/10.3390/ijms232012127
APA StyleIonova, S. A., Murtazina, A. F., Tebieva, I. S., Getoeva, Z. K., Dadali, E. L., Chausova, P. A., Shchagina, O. A., Marakhonov, A. V., Kutsev, S. I., & Zinchenko, R. A. (2022). The Presentation of Two Unrelated Clinical Cases from the Republic of North Ossetia-Alania with the Same Previously Undescribed Variant in the COL6A2 Gene. International Journal of Molecular Sciences, 23(20), 12127. https://doi.org/10.3390/ijms232012127

