Cytogenetic and Molecular Marker Analyses of a Novel Wheat–Psathyrostachys huashanica 7Ns Disomic Addition Line with Powdery Mildew Resistance
Abstract
1. Introduction
2. Results
2.1. Chromosomal Composition of 18-1-5
2.2. Non-Denaturing Fluorescence In Situ Hybridization (ND-FISH) Analysis of 18-1-5
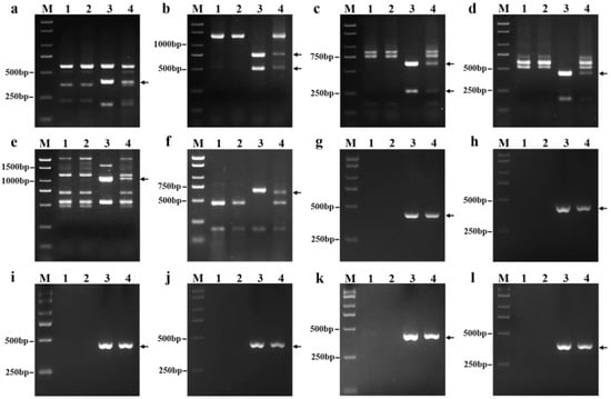
2.3. Molecular Marker Analysis of 18-1-5
2.4. Powdery Mildew Response of 18-1-5
2.5. Agronomic Performance of 18-1-5
2.6. Acquisition of Specific P. huashanica 7Ns Chromosome Sequences
2.7. Development and Validation of Specific Molecular Markers
3. Discussion
4. Materials and Methods
4.1. Plant Materials
4.2. Sequential GISH and Mc-FISH Analyses
4.3. ND-FISH Analysis
4.4. Molecular Marker Analysis
4.5. Powdery Mildew Response
4.6. Agronomic Trait Evaluation
4.7. Genotyping-by-Sequencing and Data Analysis
4.8. Development and Verification of PCR-Based Markers
5. Conclusions
Supplementary Materials
Author Contributions
Funding
Institutional Review Board Statement
Informed Consent Statement
Data Availability Statement
Acknowledgments
Conflicts of Interest
Abbreviations
| CS | Chinese Spring |
| CSph2b | Chinese Spring ph2b mutant |
| mc-FISH | Multicolor-fluorescence in situ hybridization |
| ND-FISH | Non-denaturing fluorescence in situ hybridization |
| GISH | Genomic in situ hybridization |
| PLUG | PCR-based landmark unique gene |
| GBS | Genotyping-by-sequencing |
| SLAF | Specific locus-amplified fragment sequencing |
| PCR | Polymerase chain reaction |
| DAPI | 4,6-Diamino-2-phenylindole |
References
- Morgounov, A.; Tufan, H.A.; Sharma, R.; Akin, B.; Bagci, A.; Braun, H.-J.; Kaya, Y.; Keser, M.; Payne, T.S.; Sonder, K.; et al. Global incidence of wheat rusts and powdery mildew during 1969–2010 and durability of resistance of winter wheat variety Bezostaya 1. Eur. J. Plant Pathol. 2011, 132, 323–340. [Google Scholar] [CrossRef]
- Boualem, B.; Mohamed, B.; Moulay, B. Effect of application timing of artea and amistar xtra on the yield of wheat (Triticum aestivum L.) under foliar disease in the East-Algerian. Int. J. Agric. Res. 2017, 12, 10–18. [Google Scholar] [CrossRef][Green Version]
- Zhang, R.; Xiong, C.; Mu, H.; Yao, R.; Meng, X.; Kong, L.; Xing, L.; Wu, J.; Feng, Y.; Cao, A. Pm67, a new powdery mildew resistance gene transferred from Dasypyrum villosum chromosome 1V to common wheat (Triticum aestivum L.). Crop J. 2021, 9, 882–888. [Google Scholar] [CrossRef]
- Ma, P.; Han, G.; Zheng, Q.; Liu, S.; Han, F.; Wang, J.; Luo, Q.; An, D. Development of novel wheat-rye chromosome 4R translocations and assignment of their powdery mildew resistance. Plant Dis. 2020, 104, 260–268. [Google Scholar] [CrossRef] [PubMed]
- Kang, Y.; Zhou, M.; Merry, A.; Barry, K. Mechanisms of powdery mildew resistance of wheat—A review of molecular breeding. Plant Pathol. 2020, 69, 601–617. [Google Scholar] [CrossRef]
- He, H.; Liu, R.; Ma, P.; Du, H.; Zhang, H.; Wu, Q.; Yang, L.; Gong, S.; Liu, T.; Huo, N.; et al. Characterization of Pm68, a new powdery mildew resistance gene on chromosome 2BS of Greek durum wheat TRI 1796. Theor. Appl. Genet. 2020, 134, 53–62. [Google Scholar] [CrossRef]
- Zhu, K.; Li, M.; Wu, H.; Zhang, D.; Dong, L.; Wu, Q.; Chen, Y.; Xie, J.; Lu, P.; Guo, G.; et al. Fine mapping of powdery mildew resistance gene MlWE74 derived from wild emmer wheat (Triticum turgidum ssp. dicoccoides) in an NBS-LRR gene cluster. Theor. Appl. Genet. 2022, 135, 1235–1245. [Google Scholar] [CrossRef]
- Li, H.; Dong, Z.; Ma, C.; Xia, Q.; Tian, X.; Sehgal, S.; Koo, D.-H.; Friebe, B.; Ma, P.; Liu, W. A spontaneous wheat-Aegilops longissima translocation carrying Pm66 confers resistance to powdery mildew. Theor. Appl. Genet. 2020, 133, 1149–1159. [Google Scholar] [CrossRef]
- Liu, C.; Han, R.; Wang, X.; Gong, W.; Cheng, D.; Cao, X.; Liu, A.; Li, H.; Liu, J. Research progress of wheat wild hybridization, disease resistance genes transfer and utilization. Sci. Agric. Sin. 2020, 53, 1287–1308. [Google Scholar] [CrossRef]
- Men, W.; Fan, Z.; Ma, C.; Zhao, Y.; Wang, C.; Tian, X.; Chen, Q.; Miao, J.; He, J.; Qian, J.; et al. Mapping of the novel powdery mildew resistance gene Pm2Mb from Aegilops biuncialis based on ph1b-induced homoeologous recombination. Theor. Appl. Genet. 2022. [Google Scholar] [CrossRef]
- Song, W.; Xie, C.; Du, J.; Xie, H.; Liu, Q.; Ni, Z.; Yang, T.; Sun, Q.; Liu, Z. A “one-marker-for-two-genes” approach for efficient molecular discrimination of Pm12 and Pm21 conferring resistance to powdery mildew in wheat. Mol. Breed. 2008, 23, 357–363. [Google Scholar] [CrossRef]
- He, H.; Zhu, S.; Zhao, R.; Jiang, Z.; Ji, Y.; Ji, J.; Qiu, D.; Li, H.; Bie, T.; He, H.; et al. Pm21, Encoding a typical CC-NBS-LRR protein, confers broad-spectrum resistance to wheat powdery mildew disease. Mol. Plant 2018, 11, 879–882. [Google Scholar] [CrossRef] [PubMed]
- Han, G.; Liu, S.; Wang, J.; Jin, Y.; Zhou, Y.; Luo, Q.; Liu, H.; Zhao, H.; An, D. Identification of an elite wheat-rye T1RS·1BL translocation line conferring high resistance to powdery mildew and stripe rust. Plant Dis. 2020, 104, 2940–2948. [Google Scholar] [CrossRef]
- Han, G.; Yan, H.; Wang, J.; Cao, L.; Liu, S.; Li, X.; Zhou, Y.; Fan, J.; Li, L.; An, D. Molecular cytogenetic identification of a new wheat-rye 6R addition line and physical localization of its powdery mildew resistance gene. Front. Plant Sci. 2022, 13, 889494. [Google Scholar] [CrossRef]
- Yang, G.; Tong, C.; Li, H.; Li, B.; Li, Z.; Zheng, Q. Cytogenetic identification and molecular marker development of a novel wheat–Thinopyrum ponticum translocation line with powdery mildew resistance. Theor. Appl. Genet. 2022, 135, 2041–2057. [Google Scholar] [CrossRef] [PubMed]
- Dong, Z.; Tian, X.; Ma, C.; Xia, Q.; Wang, B.; Chen, Q.; Sehgal, S.K.; Friebe, B.; Li, H.; Liu, W. Physical mapping of Pm57, a powdery mildew resistance gene derived from Aegilops searsii. Int. J. Mol. Sci. 2020, 21, 322. [Google Scholar] [CrossRef] [PubMed]
- Hou, W.; Zhang, A.; Yang, Q.; Fu, J.; Chen, S. Breeding and cytogenetic study of Triticum aestivum–Psathyrotachys huashanica alien substitution lines. Acta Bot. Boreal.-Occident. Sin. 1997, 17, 368–373. [Google Scholar]
- Baden, C. A taxonomic revision of Psathyrostachys (Poaceae). Nord. J. Bot. 1991, 11, 3–26. [Google Scholar] [CrossRef]
- Chen, S.; Zhang, A.; Fu, J. The hybridization between Triticum aestivum and Psathyrotachys huashanica. Acta Genet. Sin. 1991, 18, 508–512. [Google Scholar]
- Kang, H.; Zhang, Z.; Xu, L.; Qi, W.; Tang, Y.; Wang, H.; Zhu, W.; Li, D.; Zeng, J.; Wang, Y.; et al. Characterization of wheat-Psathyrostachys huashanica small segment translocation line with enhanced kernels per spike and stripe rust resistance. Genome 2016, 59, 221–229. [Google Scholar] [CrossRef]
- Li, J.; Liu, Y.; Cheng, X.; Yao, X.; Yang, Z.; Wu, J.; Yang, Q.; Zhao, J.; Chen, X. Molecular characteristics and inheritance of a chromosome segment from Psathyrostachys huashanica Keng in a wheat background. Genet. Resour. Crop Evol. 2020, 67, 1245–1257. [Google Scholar] [CrossRef]
- Kang, H.; Wang, Y.; Sun, G.; Zhang, H.; Fan, X.; Zhou, Y. Production and characterization of an amphiploid between common wheat and Psathyrostachys huashanica Keng ex Kuo. Plant Breed. 2009, 128, 36–40. [Google Scholar] [CrossRef]
- Kishii, M.; Dou, Q.; Garg, M.; Ito, M.; Tanaka, H.; Tsujimoto, H. Production of wheat-Psathyrostachys huashanica chromosome addition lines. Genes Genet. Syst. 2010, 85, 281–286. [Google Scholar] [CrossRef]
- Du, W.; Wang, J.; Pang, Y.; Wu, J.; Zhao, J.; Liu, S.; Yang, Q.; Chen, X. Development and application of PCR markers specific to the 1Ns chromosome of Psathyrostachys huashanica Keng with leaf rust resistance. Euphytica 2014, 200, 207–220. [Google Scholar] [CrossRef]
- Tan, B.; Zhao, L.; Li, L.; Zhang, H.; Zhu, W.; Xu, L.; Wang, Y.; Zeng, J.; Fan, X.; Sha, L.; et al. Identification of a wheat-Psathyrostachys huashanica 7Ns ditelosomic addition line conferring early maturation by cytological analysis and newly developed molecular and FISH markers. Front. Plant Sci. 2021, 12, 784001. [Google Scholar] [CrossRef]
- Li, J.; Li, J.; Cheng, X.; Zhao, L.; Yang, Z.; Wu, J.; Yang, Q.; Chen, X.; Zhao, J. Molecular cytogenetic and agronomic characterization of the similarities and differences between wheat-Leymus mollis Trin. and wheat-Psathyrostachys huashanica Keng 3Ns (3D) substitution lines. Front. Plant Sci. 2021, 12, 644896. [Google Scholar] [CrossRef] [PubMed]
- Qu, X.; Zhang, D.; Zhang, X.; Wang, S.; Wang, C.; Wang, Y.; Wang, Y.; Chen, C.; Zhang, H.; Ji, W. Cytogenetic and marker assisted identification of a wheat-Psathyrostachys huashanica Keng f. ex P. C. Kuo alien substitution line conferring processing quality and resistance to stripe rust. Genet. Resour. Crop Evol. 2021, 69, 687–698. [Google Scholar] [CrossRef]
- Li, J.; Zhao, L.; Cheng, X.; Bai, G.; Li, M.; Wu, J.; Yang, Q.; Chen, X.; Yang, Z.; Zhao, J. Molecular cytogenetic characterization of a novel wheat-Psathyrostachys huashanica Keng T3DS-5NsL·5NsS and T5DL-3DS·3DL dual translocation line with powdery mildew resistance. BMC Plant Biol. 2020, 20, 163. [Google Scholar] [CrossRef]
- Liu, Y.; Huang, S.; Han, J.; Hou, C.; Zheng, D.; Zhang, Z.; Wu, J. Development and molecular cytogenetic identification of a new wheat-Psathyrostachys huashanica Keng translocation line resistant to powdery mildew. Front. Plant Sci. 2021, 12, 689502. [Google Scholar] [CrossRef]
- Kang, H.; Zhang, H.; Fan, X.; Zhou, Y. Morphological and cytogenetic studies on the hybrid between bread wheat and Psathyrostachys huashanica Keng ex Kuo. Euphytica 2007, 162, 441–448. [Google Scholar] [CrossRef]
- Tang, Z.; Yang, Z.; Fu, S. Oligonucleotides replacing the roles of repetitive sequences pAs1, pSc119.2, pTa-535, pTa71, CCS1, and pAWRC.1 for FISH analysis. J. Appl. Genet. 2014, 55, 313–318. [Google Scholar] [CrossRef]
- Zhang, H.; Wang, F.; Zeng, C.; Zhu, W.; Xu, L.; Wang, Y.; Zeng, J.; Fan, X.; Sha, L.; Wu, D.; et al. Development and application of specific FISH probes for karyotyping Psathyrostachys huashanica chromosomes. BMC Genom. 2022, 23, 309. [Google Scholar] [CrossRef]
- Kong, L.; Song, X.; Xiao, J.; Sun, H.; Dai, K.; Lan, C.; Singh, P.; Yuan, C.; Zhang, S.; Singh, R.; et al. Development and characterization of a complete set of Triticum aestivum–Roegneria ciliaris disomic addition lines. Theor. Appl. Genet. 2018, 131, 1793–1806. [Google Scholar] [CrossRef] [PubMed]
- Song, L.; Zhao, H.; Zhang, Z.; Zhang, S.; Liu, J.; Zhang, W.; Zhang, N.; Ji, J.; Li, L.; Li, J. Molecular cytogenetic identification of wheat-Aegilops biuncialis 5Mb disomic addition line with tenacious and black glumes. Int. J. Mol. Sci. 2020, 21, 4053. [Google Scholar] [CrossRef] [PubMed]
- Du, W.; Wang, J.; Lu, M.; Sun, S.; Chen, X.; Zhao, J.; Yang, Q.; Wu, J. Molecular cytogenetic identification of a wheat-Psathyrostachys huashanica Keng 5Ns disomic addition line with stripe rust resistance. Mol. Breed. 2013, 31, 879–888. [Google Scholar] [CrossRef]
- Du, W.; Wang, J.; Wang, L.; Wu, J.; Zhao, J.; Liu, S.; Yang, Q.; Chen, X. Molecular characterization of a wheat–Psathyrostachys huashanica Keng 2Ns disomic addition line with resistance to stripe rust. Mol. Genet. Genomics 2014, 289, 735–743. [Google Scholar] [CrossRef]
- Du, W.; Wang, J.; Pang, Y.; Wang, L.; Wu, J.; Zhao, J.; Yang, Q.; Chen, X. Isolation and characterization of a wheat-Psathyrostachys huashanica ‘Keng’ 3Ns disomic addition line with resistance to stripe rust. Genome 2014, 57, 37–44. [Google Scholar] [CrossRef]
- Du, W.; Wang, J.; Lu, M.; Sun, S.; Chen, X.; Zhao, J.; Yang, Q.; Wu, J. Characterization of a wheat-Psathyrostachys huashanica Keng 4Ns disomic addition line for enhanced tiller numbers and stripe rust resistance. Planta 2013, 239, 97–105. [Google Scholar] [CrossRef]
- Du, W.; Wang, J.; Wang, L.; Zhang, J.; Chen, X.; Zhao, J.; Yang, Q.; Wu, J. Development and characterization of a Psathyrostachys huashanica Keng 7Ns chromosome addition line with leaf rust resistance. PLoS ONE 2013, 8, e70879. [Google Scholar] [CrossRef]
- Wang, L.; Liu, Y.; Du, W.; Jing, F.; Wang, Z.; Wu, J.; Chen, X. Anatomy and cytogenetic identification of a wheat-Psathyrostachys huashanica Keng line with early maturation. PLoS ONE 2015, 10, e0131841. [Google Scholar] [CrossRef]
- Bai, S.; Yuan, F.; Zhang, H.; Zhang, Z.; Zhao, J.; Yang, Q.; Wu, J.; Chen, X. Characterization of the wheat-Psathyrostachys huashania Keng 2Ns/2D substitution line H139: A novel germplasm with enhanced resistance to wheat take-all. Front. Plant Sci. 2020, 11, 233. [Google Scholar] [CrossRef] [PubMed]
- Zhao, J.; Ji, W.; Wu, J.; Chen, X.; Cheng, X.; Wang, J.; Pang, Y.; Liu, S.; Yang, Q. Development and identification of a wheat-Psathyrostachys huashanica addition line carrying HMW-GS, LMW-GS and gliadin genes. Genet. Resour. Crop Evol. 2009, 57, 387–394. [Google Scholar] [CrossRef]
- Han, J.; Liu, Y.; Hou, C.; Li, J.; Wang, J.; Zhang, Q.; Yang, Q.; Chen, X.; Wu, J. A 1Ns disomic addition from Psathyrostachys huashanica Keng confers resistance to powdery mildew in wheat. Agronomy 2020, 10, 312. [Google Scholar] [CrossRef]
- Zhang, H.; Dvořák, J. The genome origin of tetraploid species of Leymus (Poaceae: Triticeae) inferred from variation in repeated nucleotide sequences. Am. J. Bot. 1991, 78, 871–884. [Google Scholar] [CrossRef]
- Wang, R.; Zhang, J.; Lee, B.; Jensen, K.B.; Kishii, M.; Tsujimoto, H. Variations in abundance of 2 repetitive sequences in Leymus and Psathyrostachys species. Genome 2006, 49, 511–519. [Google Scholar] [CrossRef]
- Sha, L.; Fan, X.; Li, J.; Liao, J.; Zeng, J.; Wang, Y.; Kang, H.; Zhang, H.; Zheng, Y.; Zhou, Y. Contrasting evolutionary patterns of multiple loci uncover new aspects in the genome origin and evolutionary history of Leymus (Triticeae; Poaceae). Mol. Phylogenet. Evol. 2017, 114, 175–188. [Google Scholar] [CrossRef]
- Pang, Y.; Chen, X.; Zhao, J.; Du, W.; Cheng, X.; Wu, J.; Li, Y.; Wang, L.; Wang, J.; Yang, Q. Molecular cytogenetic characterization of a wheat-Leymus mollis 3D(3Ns) substitution line with resistance to leaf rust. J. Genet. Genom. 2014, 41, 205–214. [Google Scholar] [CrossRef]
- Zhao, J.; Wang, X.; Pang, Y.; Cheng, X.; Wang, L.; Wu, J.; Yang, Q.; Chen, X. Molecular cytogenetic and morphological identification of a wheat-L. mollis 1Ns(1D) substitution line, DM45. Plant Mol. Biol. Rep. 2016, 34, 1146–1152. [Google Scholar] [CrossRef]
- Zhao, J.; Liu, Y.; Cheng, X.; Pang, Y.; Li, J.; Su, Z.; Wu, J.; Yang, Q.; Bai, G.; Chen, X. Development and identification of a dwarf wheat-Leymus mollis double substitution line with resistance to yellow rust and Fusarium head blight. Crop J. 2019, 7, 516–526. [Google Scholar] [CrossRef]
- Yang, X.; Wang, C.; Li, X.; Chen, C.; Tian, Z.; Wang, Y.; Ji, W. Development and molecular cytogenetic identification of a novel wheat-Leymus mollis Lm#7Ns (7D) disomic substitution line with stripe rust resistance. PLoS ONE 2015, 10, e0140227. [Google Scholar] [CrossRef]
- Feng, X.; Du, X.; Wang, S.; Deng, P.; Wang, Y.; Shang, L.; Tian, Z.; Wang, C.; Chen, C.; Zhao, J.; et al. Identification and DNA marker development for a wheat-Leymus mollis 2Ns (2D) disomic chromosome substitution. Int. J. Mol. Sci. 2022, 23, 2676. [Google Scholar] [CrossRef] [PubMed]
- Liu, L.; Luo, Q.; Li, H.; Li, B.; Li, Z.; Zheng, Q. Physical mapping of the blue-grained gene from Thinopyrum ponticum chromosome 4Ag and development of blue-grain-related molecular markers and a FISH probe based on SLAF-seq technology. Theor. Appl. Genet. 2018, 131, 2359–2370. [Google Scholar] [CrossRef]
- Gong, B.; Zhang, H.; Yang, Y.; Zhang, J.; Zhu, W.; Xu, L.; Wang, Y.; Zeng, J.; Fan, X.; Sha, L.; et al. Development and identification of a novel wheat-Thinopyrum scirpeum 4E (4D) chromosomal substitution line with stripe rust and powdery mildew resistance. Plant Dis. 2022, 106, 975–983. [Google Scholar] [CrossRef] [PubMed]
- Chen, L.; Wu, J.; Zhao, J.; Liu, S.; Yang, Q.; Du, W.; Pang, Y.; Chen, X. Screening, cloning and southern blotting analysis of specific repetitive DNA sequences of Psathyrostachys huashanica. J. Triticeae Crops 2010, 30, 23–28. [Google Scholar]
- Wang, J.; Lu, M.; Du, W.; Zhang, J.; Dong, X.; Wu, J.; Zhao, J.; Yang, Q.; Chen, X. A novel PCR-based marker for identifying Ns chromosomes in wheat-Psathyrostachys huashanica Keng derivative lines. Span. J. Agric. Res. 2013, 11, 1094–1100. [Google Scholar] [CrossRef][Green Version]
- Su, J.; Guo, J.; Wang, C.; Jin, F.; Zhao, J.; Yang, Q.; Chen, X.; Wu, J. Specific SCAR markers on chromosome 3Ns of Psathyrostachys huashanica Keng. J. Triticeae Crops 2015, 35, 1–6. [Google Scholar] [CrossRef]
- Zhang, J.; Jiang, Y.; Guo, Y.; Li, Y.; Wang, Y.; Xuan, P. Cloning of Ns genome-specific sequence of Psathyrostachys huashanica and construction of molecular markers. J. Agric. Biotechnol. 2017, 25, 1391–1399. [Google Scholar] [CrossRef]
- Lyu, B.; Zhang, Z.; Zhao, L.; Li, X.; Li, J.; Bai, H.; Diao, H.; Liu, Y.; Yang, Q.; Liu, S.; et al. Development of a new SCAR marker on chromosome 2Ns of Psathyrostachys huashanica Keng. J. Triticeae Crops 2022, 42, 539–545. [Google Scholar] [CrossRef]
- Li, S.; Lin, Z.; Liu, C.; Wang, K.; Du, L.; Ye, X. Development and comparative genomic mapping of Dasypyrum villosum 6V#4S-specific PCR markers using transcriptome data. Theor. Appl. Genet. 2017, 130, 2057–2068. [Google Scholar] [CrossRef]
- Elshire, R.J.; Glaubitz, J.C.; Sun, Q.; Poland, J.A.; Kawamoto, K.; Buckler, E.S.; Mitchell, S.E. A robust, simple genotyping-by-sequencing (GBS) approach for high diversity species. PLoS ONE 2011, 6, e19379. [Google Scholar] [CrossRef]
- Li, D.; Zhang, J.; Liu, H.; Tan, B.; Zhu, W.; Xu, L.; Wang, Y.; Zeng, J.; Fan, X.; Sha, L.; et al. Characterization of a wheat-tetraploid Thinopyrum elongatum 1E (1D) substitution line K17–841-1 by cytological and phenotypic analysis and developed molecular markers. BMC Genom. 2019, 20, 963. [Google Scholar] [CrossRef]
- Lu, B.; Yen, C.; Yang, J.; Flink, J. Cytogenetic studies of the hybrid between Psathyrostachys juncea and P. huashanica (Poaceae). Nord. J. Bot. 1989, 9, 11–14. [Google Scholar] [CrossRef]
- Wang, X.; Li, W.; Liu, D. C-banding of two Psathyrostachys species. J. Nanjing Agric. Univ. 1998, 21, 10–13. [Google Scholar] [CrossRef]
- Guo, G.; Yang, R.; Ding, C.; Zhang, L.; Zhou, Y.; Chen, F.; Wang, S. Phylogenetic relationships between Leymus and related diploid Triticeae species revealed by ISSR markers. Biologia 2014, 69, 986–993. [Google Scholar] [CrossRef]
- Sears, E.R. A wheat mutation conditioning an intermediate level of homoeologous chromosome pairing. Can. J. Genet. Cytol. 1982, 24, 715–719. [Google Scholar] [CrossRef]
- Komuro, S.; Endo, R.; Shikata, K.; Kato, A. Genomic and chromosomal distribution patterns of various repeated DNA sequences in wheat revealed by a fluorescence in situ hybridization procedure. Genome 2013, 56, 131–137. [Google Scholar] [CrossRef]
- Han, F.; Lamb, J.C.; Birchler, J.A. High frequency of centromere inactivation resulting in stable dicentric chromosomes of maize. Proc. Natl. Acad. Sci. USA 2006, 103, 3238–3243. [Google Scholar] [CrossRef] [PubMed]
- Cota-Sánchez, J.H.; Remarchuk, K.; Ubayasena, K. Ready-to-use DNA extracted with a CTAB method adapted for herbarium specimens and mucilaginous plant tissue. Plant Mol. Biol. Rep. 2006, 24, 161–167. [Google Scholar] [CrossRef]
- Han, F.; Gao, Z.; Birchler, J.A. Reactivation of an inactive centromere reveals epigenetic and structural components for centromere specification in maize. Plant Cell 2009, 21, 1929–1939. [Google Scholar] [CrossRef]
- Fu, S.; Chen, L.; Wang, Y.; Li, M.; Yang, Z.; Qiu, L.; Yan, B.; Ren, Z.; Tang, Z. Oligonucleotide probes for ND-FISH analysis to identify rye and wheat chromosomes. Sci. Rep. 2015, 5, 10552. [Google Scholar] [CrossRef]
- Tang, S.; Tang, Z.; Qiu, L.; Yang, Z.; Li, G.; Lang, T.; Zhu, W.; Zhang, J.; Fu, S. Developing new oligo probes to distinguish specific chromosomal segments and the A, B, D genomes of wheat (Triticum aestivum L.) using ND-FISH. Front. Plant Sci. 2018, 9, 1104. [Google Scholar] [CrossRef] [PubMed]
- Xiao, Z.; Tang, S.; Qiu, L.; Tang, Z.; Fu, S. Oligonucleotides and ND-FISH displaying different arrangements of tandem repeats and identification of Dasypyrum villosum chromosomes in wheat backgrounds. Molecules 2017, 22, 973. [Google Scholar] [CrossRef] [PubMed]
- Ishikawa, G.; Nakamura, T.; Ashida, T.; Saito, M.; Nasuda, S.; Endo, T.R.; Wu, J.; Matsumoto, T. Localization of anchor loci representing five hundred annotated rice genes to wheat chromosomes using PLUG markers. Theor. Appl. Genet. 2008, 118, 499–514. [Google Scholar] [CrossRef] [PubMed]
- Yang, X.; Wang, C.; Chen, C.; Tian, Z.; Ji, W. Development and characterization of a wheat-Leymus mollis Lm#7Ns disomic addition line with resistance to stripe rust. Cereal Res. Commun. 2020, 48, 467–476. [Google Scholar] [CrossRef]
- Sheng, B.; Duan, X. Improvement of scale 0–9 method for scoring adult plant resistance to powdery mildew of wheat. Beijing Agric. Sci. 1991, 1, 38–39. [Google Scholar]







| Lines | Plant Height (cm) | Tiller Number | Spike Length (cm) | Spikelets per Spike | Kernels per Spike | Kernel Length (mm) | Kernel Width (mm) | Thousand-Kernel Weight (g) |
|---|---|---|---|---|---|---|---|---|
| CS | 140.11 ± 1.28 Aa | 8.40 ± 0.51 Aa | 8.34 ± 0.13 Aa | 21.60 ± 0.31 Aa | 53.87 ± 1.32 Aa | 5.97 ± 0.03 Aa | 3.29 ± 0.02 Aa | 30.29 ± 0.26 Aa |
| CSph2b | 133.88 ± 1.63 Bb | 7.93 ± 0.37 Aa | 8.70 ± 0.13 Aa | 22.20 ± 0.30 Aa | 55.80 ± 1.68 Aa | 6.07 ± 0.05 Aa | 3.21 ± 0.03 Ab | 29.58 ± 0.27 Aa |
| 18-1-5 | 111.87 ± 1.74 Cc | 7.47 ± 0.58 Aa | 8.67 ± 0.15 Aa | 20.00 ± 0.37 Bb | 46.47 ± 1.59 Bb | 6.84 ± 0.08 Bb | 2.91 ± 0.03 Bc | 27.79 ± 0.62 Bb |
| Sample | Raw Base (bp) | Clean Base (bp) | Effective Rate (%) | Error Rate (%) | Q20 (%) | Q30 (%) | GC Content (%) |
|---|---|---|---|---|---|---|---|
| CSph2b | 1,404,766,080 | 1,404,693,792 | 99.99 | 0.05 | 94.21 | 85.77 | 43.67 |
| ZY3156 | 1,809,454,176 | 1,809,426,816 | 100.00 | 0.05 | 94.35 | 85.76 | 44.20 |
| 18-1-5 | 2,734,574,112 | 2,734,299,360 | 99.99 | 0.04 | 96.87 | 91.07 | 44.55 |
| Sample | Total Reads | Unmapped Reads | uniqReads |
|---|---|---|---|
| CSph2b | 9,754,818 | 47,036 | |
| ZY3156 | 12,565,464 | 6,476,616 | |
| 18-1-5 | 18,988,190 | 429,274 | 15,925 |
Publisher’s Note: MDPI stays neutral with regard to jurisdictional claims in published maps and institutional affiliations. |
© 2022 by the authors. Licensee MDPI, Basel, Switzerland. This article is an open access article distributed under the terms and conditions of the Creative Commons Attribution (CC BY) license (https://creativecommons.org/licenses/by/4.0/).
Share and Cite
Tan, B.; Wang, M.; Cai, L.; Li, S.; Zhu, W.; Xu, L.; Wang, Y.; Zeng, J.; Fan, X.; Sha, L.; et al. Cytogenetic and Molecular Marker Analyses of a Novel Wheat–Psathyrostachys huashanica 7Ns Disomic Addition Line with Powdery Mildew Resistance. Int. J. Mol. Sci. 2022, 23, 10285. https://doi.org/10.3390/ijms231810285
Tan B, Wang M, Cai L, Li S, Zhu W, Xu L, Wang Y, Zeng J, Fan X, Sha L, et al. Cytogenetic and Molecular Marker Analyses of a Novel Wheat–Psathyrostachys huashanica 7Ns Disomic Addition Line with Powdery Mildew Resistance. International Journal of Molecular Sciences. 2022; 23(18):10285. https://doi.org/10.3390/ijms231810285
Chicago/Turabian StyleTan, Binwen, Miaomiao Wang, Li Cai, Sanyue Li, Wei Zhu, Lili Xu, Yi Wang, Jian Zeng, Xing Fan, Lina Sha, and et al. 2022. "Cytogenetic and Molecular Marker Analyses of a Novel Wheat–Psathyrostachys huashanica 7Ns Disomic Addition Line with Powdery Mildew Resistance" International Journal of Molecular Sciences 23, no. 18: 10285. https://doi.org/10.3390/ijms231810285
APA StyleTan, B., Wang, M., Cai, L., Li, S., Zhu, W., Xu, L., Wang, Y., Zeng, J., Fan, X., Sha, L., Wu, D., Cheng, Y., Zhang, H., Chen, G., Zhou, Y., & Kang, H. (2022). Cytogenetic and Molecular Marker Analyses of a Novel Wheat–Psathyrostachys huashanica 7Ns Disomic Addition Line with Powdery Mildew Resistance. International Journal of Molecular Sciences, 23(18), 10285. https://doi.org/10.3390/ijms231810285

