Pathomorphogenesis of Glycogen-Ground Glass Hepatocytic Inclusions (Polyglucosan Bodies) in Children after Liver Transplantation
Abstract
1. Introduction
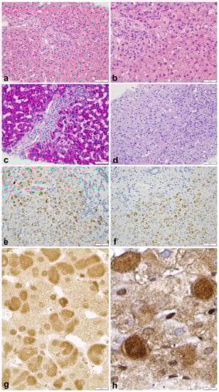
2. Results
- Group 1 and 2.
- No specimens from these groups were found to contain GGG.
- Group 3.
3. Discussion
- 1.
- GGG have been demonstrated in 17 paediatric liver biopsies at different intervals after liver Tx.
- 2.
- GGG consisted of a complex of glycogen-associated proteins and polysaccharides less branched than in normal glycogen.
- 3.
- Three kinds of proteins have been detected within post-Tx-acquired GGG: glycogenin-1, glycogenin-2 and ubiquitin.
- 4.
- Post-Tx GGG inclusions appear to be drug-induced and reversible.
- 5.
- Drug induction can be explained as an effect of an undue occupation of the region of glycogenin adhibited to the binding of UDP and sugars.
- 6.
- Light microscopy and immunohistochemical features of acquired GGG were quite analogous to the genetically determined GGG.
- 7.
- Heaps of non-maturing native glycogen (proteoglycogen) appear as coarse electron-lucent globular or filamentous material.
- 8.
- The same protein content and EM appearance of the stored material in congenital and acquired GGG, indicates that the storage process could follow the same pathway.
- 9.
- The arrest of the sequential glycogenin–GS–GBE interactions leads to insoluble PG.
4. Material and Methods
- Group 1: 764 liver biopsy specimens obtained for diagnostic purposes from 267 liver-Tx performed at Bambino Gesù Children’s Hospital, Rome, in the period 2008–2021.
- Group 2: 12 explanted and 12 donor livers.
- Group 3: 17 needle liver biopsies from 12 children who had displayed GGG after liver Tx.
Author Contributions
Funding
Institutional Review Board Statement
Informed Consent Statement
Data Availability Statement
Acknowledgments
Conflicts of Interest
References
- Cenacchi, G.; Papa, V.; Costa, R.; Pegoraro, V.; Marozzo, R.; Fanin, M.; Angelini, C. Update on polyglucosan storage diseases. Virchows Arch 2019, 475, 671–686. [Google Scholar] [CrossRef] [PubMed]
- Thomsen, C.; Malfatti, E.; Jovanovic, A.; Roberts, M.; Kalev, O.; Lindberg, C.; Oldfors, A. Proteomic characterisation of polyglucosan bodies in skeletal muscle in RBCK1 deficiency. Neuropathol. Appl. Neurobiol. 2022, 48, e12761. [Google Scholar] [CrossRef] [PubMed]
- Visuttijai, K.; Hedberg-Oldfors, C.; Thomsen, C.; Glamuzina, E.; Kornblum, C.; Tasca, G.; Hernandez-Lain, A.; Sandstedt, J.; Dellgren, G.; Roach, P.; et al. Glycogenin is dispensable for Glycogen Synthesis in Human Muscle, and Glycogenin Deficiency Causes Polyglucosan Storage. J. Clin. Endocrinol. Metab. 2020, 105, 557–566. [Google Scholar] [CrossRef] [PubMed]
- Stapleton, D.; Nelson, C.; Parsawar, K.; McClain, D.; Gilbert-Wilson, R.; Barker, E.; Rudd, B.; Brown, K.; Hendrix, W.; O’Donnell, P.; et al. Analysis of hepatic glycogen-associated proteins. Proteomics 2010, 10, 2320–2329. [Google Scholar] [CrossRef]
- Kanungo, S.; Wells, K.; Tribett, T.; El-Gharbawy, A. Glycogen metabolism and glycogen storage disorders. Ann. Transl. Med. 2018, 6, 474. [Google Scholar] [CrossRef] [PubMed]
- Whelan, W.J. My favorite enzyme: Glycogenin. IUBMB Life 2009, 61, 1099–1100. [Google Scholar] [CrossRef]
- Curtino, J.A.; Aon, M.A. From the seminal discovery of proteoglycogen and glycogenin to emerging knowledge and research on glycogen biology. Biochem. J. 2019, 476, 3109–3124. [Google Scholar] [CrossRef] [PubMed]
- Prats, C.; Graham, T.E.; Shearer, J. The dynamic life of the glycogen granule. J. Biol. Chem. 2018, 293, 7089–7098. [Google Scholar] [CrossRef] [PubMed]
- Mu, J.; Roach, P.J. Characterization of human glycogenin-2, a self-glucosylating initiator of liver glycogen metabolism. J. Biol. Chem. 1998, 273, 34850–34856. [Google Scholar] [CrossRef]
- Skurat, A.V.; Dietrich, A.D.; Roach, P.J. Interaction between glycogenin and glycogen synthase. Arch. Biochem. Biophys. 2006, 456, 93–97. [Google Scholar] [CrossRef] [PubMed]
- Hedberg-Oldfors, C.; Oldfors, A. Polyglucosan storage myopathies. Mol. Asp. Med. 2015, 46, 85–100. [Google Scholar] [CrossRef] [PubMed]
- Wills, E.J. Ground glasslike hepatocytes produced by glycogen-membrane complexes (“glycogen bodies”). Ultrastruct. Pathol. 1992, 16, 491–503. [Google Scholar] [CrossRef]
- Lefkowitch, J.H.; Lobritto, S.J.; Brown, R.S., Jr.; Emond, J.C.; Schilsky, M.L.; Rosenthal, L.A.; George, D.M.; Cairo, M.S. Ground-glass, polyglucosan-like hepatocellular inclusions: A “new” diagnostic entity. Gastroenterology 2006, 131, 713–718. [Google Scholar] [CrossRef] [PubMed]
- Wisell, J.; Boitnott, J.; Haas, M.; Anders, R.A.; Hart, J.; Lewis, J.T.; Abraham, S.C.; Torbenson, M. Glycogen pseudoground glass change in hepatocytes. Am. J. Surg. Pathol. 2006, 30, 1085–1090. [Google Scholar] [CrossRef] [PubMed]
- Bejarano, P.A.; Garcia, M.T.; Rodriguez, M.M.; Ruiz, P.; Tzakis, A.G. Liver glycogen bodies: Ground-glass hepatocytes in transplanted patients. Virchows Arch 2006, 449, 539–545. [Google Scholar] [CrossRef]
- Lu, H.C.; González, I.A.; Byrnes, K. Ground-glass hepatocellular inclusions are associated with polypharmacy. Ann. Diagn. Pathol. 2021, 52, 151740. [Google Scholar] [CrossRef] [PubMed]
- Brown, R.M.; Gray, G.; Poulton, K.; Wassner, E. Ground glass hepqatocellular inclusions caused by disturbed glycogen metabolism in three children on parenteral nutrition. Pediatr. Dev. Pathol. 2009, 12, 79–80. [Google Scholar] [CrossRef]
- Knecht, E.; Criado-García, O.; Aguado, C.; Gayarre, J.; Duran-Trio, L.; Garcia-Cabrero, A.M.; Vernia, S.; San Millán, B.; Heredia, M.; Romá-Mateo, C.; et al. Malin knockout mice support a primary role of autophagy in the pathogenesis of Lafora disease. Autophagy 2012, 8, 701–703. [Google Scholar] [CrossRef][Green Version]
- Von Mikecz, A.; Chen, M.; Rockel, T.; Scharf, A. The nuclear ubiquitin-proteasome system: Visualization of proteasomes, protein aggregates, and proteolysis in the cell nucleus. Methods Mol. Biol. 2008, 463, 191–202. [Google Scholar] [CrossRef]
- Kirschner, M. Intracellular proteolysis. Trends Cell Biol. 1999, 9, M42–M45. [Google Scholar] [CrossRef]
- Muratani, M.; Tansey, W.P. How the ubiquitin-proteasome system controls transcription. Nat. Rev. Mol. Cell Biol. 2003, 4, 192–201. [Google Scholar] [CrossRef] [PubMed]
- Vazquez, J.J.; Pardo-Mindan, J. Liver cell injury (bodies similar to Lafora’s) in alcoho0lics treated with disulfiram (Antabuse). Histopathology 1979, 3, 377–384. [Google Scholar] [CrossRef]
- Bruguera, M.; Lamar, C.; Bernet, M.; Rodés, J. Hepatic disease associated with ground-glass inclusions in hepatocytes after cyanamide therapy. Arch. Pathol. Lab. Med. 1986, 110, 906–910. [Google Scholar] [PubMed]
- Guillen, F.J.; Vazquez, J.J. Cyanamide-induced liver cell injury. Experimental study in the rat. Lab. Investig. 1984, 50, 385–393. [Google Scholar] [PubMed]
- Idoate, M.A.; Vazquez, J.J. Regression mechanism of cyanamide-induced inclusion bodies in the rat: A useful experimental pattern to study the beta-glycogen metabolization of hepatocytes. Int. J. Exp. Pathol. 1992, 73, 699–708. [Google Scholar]
- Aboujaoude, A.; Minassian, B.; Mitra, S. LUBAC: A new player in polyglucosan body disease. Biochem. Soc. Trans. 2021, 49, 2443–2454. [Google Scholar] [CrossRef] [PubMed]
- Kakhlon, O.; Vaknin, H.; Mishra, K.; D’Souza, J.; Marisat, M.; Sprecher, U.; Wald-Altman, S.; Dukhovny, A.; Raviv, Y.; Da’adoosh, B.; et al. Alleviation of a polyglucosan storage disorder by enhancement of autophagic glycogen catabolism. EMBO Mol. Med. 2021, 13, e14554. [Google Scholar] [CrossRef] [PubMed]
- Korb, O.; Stützle, T.; Exner, T.E. Empirical scoring functions for advanced protein-ligand docking with PLANTS. J. Chem. Inf. Model. 2009, 49, 84–96. [Google Scholar] [CrossRef]
- Ho, B.K.; Gruswitz, F. HOLLOW: Generating accurate representations of channel and interior surfaces in molecular structures. BMC Struct. Biol. 2008, 8, 49. [Google Scholar] [CrossRef]
- Cao, Y.; Li, L. Improved protein-ligand binding affinity prediction by using a curvature-dependent surface-area model. Bioinformatics 2014, 30, 1674–1680. [Google Scholar] [CrossRef]





| Case | Age/Sex | Pathology | Interval LTx-GGG | Rejection & Treatment | Recent Medications | ALT/AST/GGT | New Biopsy & GGG | PN |
|---|---|---|---|---|---|---|---|---|
| 1 | 9y/F | WD | 3m | Y Steroid boli | TAC, deursil, aspirin, antibiotics | 90/36/16 | N | N |
| 2 | 1y/F | BA | 11m | N multiorgan failure | TAC, deursil, anti-epilectics | normal | N | Y |
| 3 | 1y/M | BA | 6m | Y Steroid boli | TAC, deursil, aspirin, antibiotics | normal | No biopsy | N |
| 4 | 8y/M | HyperIgG + cryptosporidium | 2m | N HSCT-GVHD | Multidrug treat | 488/266/780 | N | Y |
| 5 | 9m/F | BA | 3y 10m | Y Steroid boli | Bactrim, aciclovir | 101/71/20 | No biopsy | N |
| 6 | 7m/F | BA | 23m | Y Steroid boli | TAC, MMF, deursil | 44/36/63 | No biopsy | N |
| 7 | 15m/M | Primary hyperoxaluria | 6m | N Steatosis/viral acute hepatitis (HHV6) | Prograf, deursil | 144/141/73 731/1122/142 103/93/101 | Y in 2 other biopsies | N |
| 8 | 2y8m/M | Leucinosi | 2y | N Steatosis (incorrect diet) | TAC, deursil, anti-epilectics | 33/50/20 | No biopsy | N |
| 9 | 8m/F | BA | 6m | N | TAC, deursil, aspirin, antibiotics | normal | No biopsy | N |
| 10 | 6y/M | BA | 1y | Y Steroid boli | TAC, MMF, deursil | normal | N | N |
| 11 | 4y/M | BA | 1y,7m | N | TAC, deursil | 167/96/13 | N | N |
| 12 | 4y/M | Refractory cytopenia | 10m | N GVHD in HSCT | Multidrug treatment | 60/136/835 | N | N |
| N Tx | N Biopsy | GGG | Interval Tx-GGG | Repeated Biopsies | Persistent GGG |
|---|---|---|---|---|---|
| 217 | 764 | 15 | 3 mo–3 yrs (5 < 6 mo) | 4 | 1 (patient N. 7) |
| Patient N. 7 | |||||
| Age | Disease | Interval Tx-GGG | Date of biopsy | GGG | |
| 15 mo | Primary hyperoxaluria | 6 mo | 24 April 2018 | ++ | |
| 30 April 2018 | +++ | ||||
| 14 June 2018 | + | ||||
| 28 November 2018 | - | ||||
| 9 January 2019 | - | ||||
Publisher’s Note: MDPI stays neutral with regard to jurisdictional claims in published maps and institutional affiliations. |
© 2022 by the authors. Licensee MDPI, Basel, Switzerland. This article is an open access article distributed under the terms and conditions of the Creative Commons Attribution (CC BY) license (https://creativecommons.org/licenses/by/4.0/).
Share and Cite
Callea, F.; Francalanci, P.; Grimaldi, C.; Camassei, F.D.; Devito, R.; Facchetti, F.; Alaggio, R.; Bellacchio, E. Pathomorphogenesis of Glycogen-Ground Glass Hepatocytic Inclusions (Polyglucosan Bodies) in Children after Liver Transplantation. Int. J. Mol. Sci. 2022, 23, 9996. https://doi.org/10.3390/ijms23179996
Callea F, Francalanci P, Grimaldi C, Camassei FD, Devito R, Facchetti F, Alaggio R, Bellacchio E. Pathomorphogenesis of Glycogen-Ground Glass Hepatocytic Inclusions (Polyglucosan Bodies) in Children after Liver Transplantation. International Journal of Molecular Sciences. 2022; 23(17):9996. https://doi.org/10.3390/ijms23179996
Chicago/Turabian StyleCallea, Francesco, Paola Francalanci, Chiara Grimaldi, Francesca Diomedi Camassei, Rita Devito, Fabio Facchetti, Rita Alaggio, and Emanuele Bellacchio. 2022. "Pathomorphogenesis of Glycogen-Ground Glass Hepatocytic Inclusions (Polyglucosan Bodies) in Children after Liver Transplantation" International Journal of Molecular Sciences 23, no. 17: 9996. https://doi.org/10.3390/ijms23179996
APA StyleCallea, F., Francalanci, P., Grimaldi, C., Camassei, F. D., Devito, R., Facchetti, F., Alaggio, R., & Bellacchio, E. (2022). Pathomorphogenesis of Glycogen-Ground Glass Hepatocytic Inclusions (Polyglucosan Bodies) in Children after Liver Transplantation. International Journal of Molecular Sciences, 23(17), 9996. https://doi.org/10.3390/ijms23179996

