The Association of Pachydrusen Characteristics with Choroidal Thickness and Patient’s Age in Polypoidal Choroidal Vasculopathy versus Central Serous Chorioretinopathy
Abstract
:1. Introduction
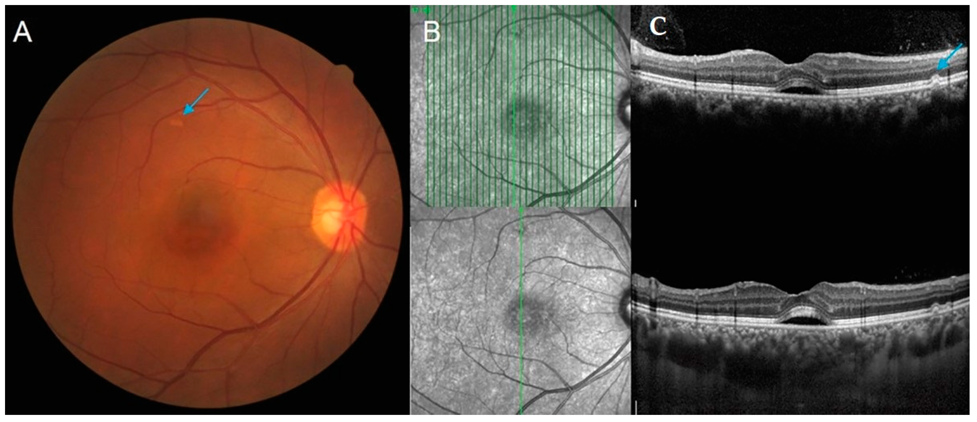
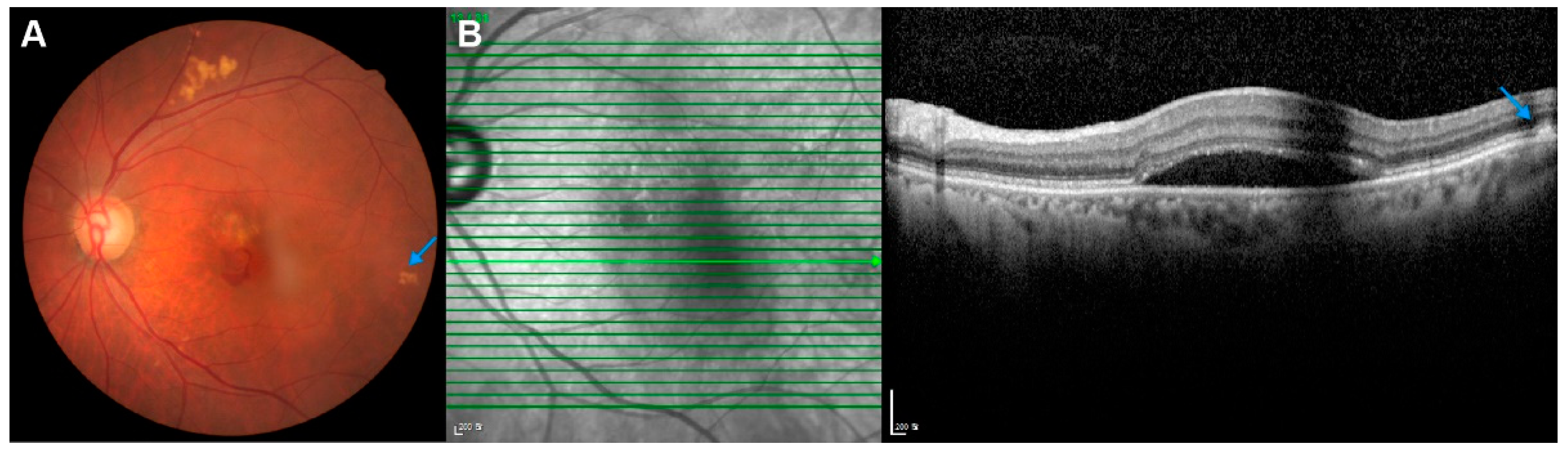
2. Results
3. Discussion
4. Materials and Methods
4.1. Patients
4.2. Imaging Analysis
4.3. Statistical Analysis
Author Contributions
Funding
Institutional Review Board Statement
Informed Consent Statement
Data Availability Statement
Conflicts of Interest
References
- Cheung, C.M.G.; Lee, W.K.; Koizumi, H.; Dansingani, K.; Lai, T.Y.Y.; Freund, K.B. Pachychoroid disease. Eye 2019, 33, 14–33. [Google Scholar] [CrossRef] [PubMed] [Green Version]
- Spaide, R.F. Disease expression in nonexudative age-related macular degeneration varies with choroidal thickness. Retina 2018, 38, 708–716. [Google Scholar] [CrossRef] [PubMed]
- Lee, J.; Byeon, S.H. Prevalence and clinical characteristics of pachydrusen in polypoidal choroidal vasculopathy: Multimodal image study. Retina 2019, 39, 670–678. [Google Scholar] [CrossRef] [PubMed]
- Matsumoto, H.; Mukai, R.; Morimoto, M.; Tokui, S.; Kishi, S.; Akiyama, H. Clinical characteristics of pachydrusen in central serous chorioretinopathy. Graefe’s Arch. Clin. Exp. Ophthalmol. 2019, 257, 1127–1132. [Google Scholar] [CrossRef]
- Singh, S.R.; Chakurkar, R.; Goud, A.; Chhablani, J. Low incidence of pachydrusen in central serous chorioretinopathy in an Indian cohort. Indian J. Ophthalmol. 2020, 68, 118–122. [Google Scholar] [CrossRef]
- Singh, S.R.; Chakurkar, R.; Goud, A.; Rasheed, M.A.; Vupparaboina, K.K.; Chhablani, J. Pachydrusen in polypoidal choroidal vasculopathy in an Indian cohort. Indian J. Ophthalmol. 2019, 67, 1121–1126. [Google Scholar] [CrossRef]
- Fukuda, Y.; Sakurada, Y.; Yoneyama, S.; Kikushima, W.; Sugiyama, A.; Matsubara, M.; Tanabe, N.; Iijima, H. Clinical and genetic characteristics of pachydrusen in patients with exudative age-related macular degeneration. Sci. Rep. 2019, 9, 11906. [Google Scholar] [CrossRef] [Green Version]
- Fung, A.T.; Yannuzzi, L.A.; Freund, K.B. Type 1 (sub-retinal pigment epithelial) neovascularization in central serous chorioretinopathy masquerading as neovascular age-related macular degeneration. Retina 2012, 32, 1829–1837. [Google Scholar] [CrossRef]
- Baek, J.; Lee, J.H.; Jung, B.J.; Kook, L.; Lee, W.K. Morphologic features of large choroidal vessel layer: Age-related macular degeneration, polypoidal choroidal vasculopathy, and central serous chorioretinopathy. Graefes Arch. Clin. Exp. Ophthalmol. 2018, 256, 2309–2317. [Google Scholar] [CrossRef]
- Cheung, C.M.G.; Gan, A.; Yanagi, Y.; Wong, T.Y.; Spaide, R. Association between choroidal thickness and drusen subtypes in age-related macular degeneration. Ophthalmol. Retin. 2018, 2, 1196–1205. [Google Scholar] [CrossRef]
- Rochepeau, C.; Kodjikian, L.; Garcia, M.-A.; Coulon, C.; Burillon, C.; Denis, P.; Delaunay, B.; Mathis, T. Optical coherence tomography angiography quantitative assessment of choriocapillaris blood flow in central serous chorioretinopathy. Am. J. Ophthalmol. 2018, 19, 26–34. [Google Scholar] [CrossRef]
- Kang, H.G.; Han, J.Y.; Kim, M.; Byeon, S.H.; Kim, S.S.; Koh, H.J.; Lee, C.S. Pachydrusen, choroidal vascular hyperpermeability, and punctate hyperfluorescent spots. Graefe’s Arch. Clin. Exp. Ophthalmol. 2021, 259, 2391–2400. [Google Scholar] [CrossRef] [PubMed]
- Spaide, R.F. Choriocapillaris Flow Features Follow a Power Law Distribution: Implications for Characterization and Mechanisms of Disease Progression. Am. J. Ophthalmol. 2016, 170, 58–67. [Google Scholar] [CrossRef] [PubMed]
- Dansingani, K.K.; Balaratnasingam, C.; Naysan, J.; Freund, K.B. En Face imaging of pachychoroid spectrum disorders with swept-source optical coherence tomography. Retina 2016, 36, 499–516. [Google Scholar] [CrossRef] [PubMed]
- Lee, J.; Kim, M.; Lee, C.S.; Kim, S.S.; Koh, H.J.; Lee, S.C.; Byeon, S.H. Drusen subtypes and choroidal characteristics in Asian eyes with typical neovascular age-related macular degeneration. Retina 2020, 40, 490–498. [Google Scholar] [CrossRef]
- Chung, Y.R.; Kim, J.W.; Kim, S.W.; Lee, K. Choroidal thickness in patients with central serous chorioretinopathy: Assessment of Haller and Sattler Layers. Retina 2016, 36, 1652–1657. [Google Scholar] [CrossRef]
- Kuroda, S.; Ikuno, Y.; Yasuno, Y.; Nakai, K.; Usui, S.; Sawa, M.; Tsujikawa, M.; Gomi, F.; Nishida, K. Choroidal thickness in central serous chorioretinopathy. Retina 2013, 33, 302–308. [Google Scholar] [CrossRef]
- Imamura, Y.; Fujiwara, T.; Margolis, R.; Spaide, R.F. Enhanced depth imaging optical coherence tomography of the choroid in central serous chorioretinopathy. Retina 2009, 29, 1469–1473. [Google Scholar] [CrossRef] [PubMed]
- Karska-Basta, I.; Pociej-Marciak, W.; Chrząszcz, M.; Kubicka-Trząska, A.; Romanowska-Dixon, B.; Sanak, M. Altered plasma cytokine levels in acute and chronic central serous chorioretinopathy. Acta Ophthalmol. 2021, 99, e222–e231. [Google Scholar] [CrossRef]
- Karska-Basta, I.; Pociej-Marciak, W.; Chrzaszcz, M.; Wilanska, J.; Jager, M.J.; Markiewicz, A.; Romanowska-Dixon, B.; Sanak, M.; Kubicka-Trzaska, A. Differences in anti-endothelial and anti-retinal antibody titers: Implications for the pathohysiology of acute and chronic central serous chorioretinopathy. J. Physiol. Pharmacol. 2020, 71, 235–242. [Google Scholar] [CrossRef]
- Baek, J.; Kook, L.; Lee, W.K. Choriocapillaris flow impairments in association with pachyvessel in early stages of pachychoroid. Sci. Rep. 2019, 9, 5565. [Google Scholar] [CrossRef] [PubMed]
- Jordan-Yu, J.M.; Teo, K.Y.C.; Chakravarthy, U.; Gan, A.; Tan, A.C.S.; Cheong, K.X.; Wong, T.Y.; Cheung, C.M.G. Polypoidal choroidal vasculopathy features vary according to subfoveal choroidal thickness. Retina 2021, 41, 1084–1093. [Google Scholar] [CrossRef] [PubMed]
- Lee, W.K.; Baek, J.; Dansingani, K.K.; Lee, J.H.; Freund, K.B. Choroidal morphology in eyes with polypoidal choroidal vasculopathy and normal or subnormal subfoveal choroidal thickness. Retina 2016, 36, S73–S82. [Google Scholar] [CrossRef] [PubMed]
- Spaide, R.F.; Cheung, C.M.G.; Matsumoto, H.; Kishi, S.; Boon, C.J.F.; van Dijk, E.H.C.; Mauget-Faysse, M.; Behar-Cohen, F.; Hartnett, M.E.; Sivaprasad, S.; et al. Venous overload choroidopathy: A hypothetical framework for central serous chorioretinopathy and allied disorders. Prog. Retin. Eye Res. 2022, 86, 100973. [Google Scholar] [CrossRef] [PubMed]
- Baek, J.; Lee, J.H.; Chung, B.J.; Lee, K.; Lee, W.K. Choroidal morphology under pachydrusen. Clin. Exp. Ophthalmol. 2019, 47, 498–504. [Google Scholar] [CrossRef]
- Jung, C.H.; Son, J.W.; Kang, S.; Kim, W.J.; Kim, H.S.; Kim, H.S.; Seo, M.; Shin, H.-J.; Lee, S.-S.; Jeong, S.J.; et al. Diabetes Fact Sheets in Korea, 2020: An appraisal of current status. Diabetes Metab. J. 2021, 45, 1–10. [Google Scholar] [CrossRef]
- Lee, H.H.; Cho, S.M.J.; Lee, H.; Baek, J.; Bae, J.-H.; Chung, W.-J.; Kim, H.C. Korea Heart Disease Fact Sheet 2020: Analysis of nationwide data. Korean Circ. J. 2021, 51, 495–503. [Google Scholar] [CrossRef]
- Kong, M.; Choi, D.Y.; Han, G.; Song, Y.-M.; Park, S.Y.; Sung, J.; Hwang, S.; Ham, D.-I. Measurable range of subfoveal choroidal thickness with conventional spectral domain optical coherence tomography. Transl. Vis. Sci. Technol. 2018, 7, 16. [Google Scholar] [CrossRef] [PubMed] [Green Version]



| PCV | CSC | p Value | |
|---|---|---|---|
| No. of eyes | 89 | 146 | |
| Age | 69.2 ± 8.5 | 45.3 ± 8.8 | <0.001 † |
| Sex, male | 69 (78%) | 116 (79%) | 0.727 |
| Diabetes | 25 (28%) | 8 (5%) | <0.001 * |
| Hypertension | 50 (56%) | 25 (17%) | <0.001 * |
| Mean SFCT (μm) | 265.6 ± 105.1 | 402.3 ± 104.1 | <0.001 † |
| Presence of Pachydrusen | 46 (52%) | 29 (20%) | <0.001 * |
| No. of total pachydrusen | 1.1 ± 1.6 | 0.3 ± 0.8 | <0.001 † |
| Pachydrusen subtype | |||
| Large solitary | 11 (12%) | 4 (3%) | 0.003 * |
| Clustered | 28 (31%) | 21 (14%) | 0.001 * |
| Scattered | 9 (10%) | 6 (4%) | 0.050 |
| Presence of Pachydrusen | No. of Pachydrusen | |||||
|---|---|---|---|---|---|---|
| Thin Choroid | Thick Choroid | p Value | Thin Choroid | Thick Choroid | p Value | |
| Total | 20/55 (36%) | 17/28 (61%) | 0.035 * | 0.8 ± 1.4 | 1.5 ± 1.7 | 0.022 † |
| By age group (years) | ||||||
| ≤59 (n = 10) | 1/7 (14%) | 0/3 (0%) | 1.000 | 0.2 ± 0.4 | 0 | 0.857 |
| 60–69 (n = 32) | 6/18 (33%) | 11/14 (79%) | 0.016 * | 0.8 ± 1.2 | 2.2 ± 2.0 | 0.022 † |
| 70–79 (n = 29) | 9/19 (47%) | 6/10 (60%) | 0.700 | 0.9 ± 1.6 | 1.2 ± 1.2 | 0.377 |
| ≥80 (n = 12) | 4/11 (36%) | 0/1 (0%) | 1.000 | 1.1 ± 1.7 | 0 | 0.667 |
| p value within group | 0.285 | 0.774 | 0.624 | 0.126 | ||
| Location of Pachydrusen | Thin Choroid | Thick Choroid | p Value |
|---|---|---|---|
| Peripapillae | 2/46 (4%) | 2/21 (10%) | 0.584 |
| Subfovea | 0 | 0 | N/A |
| Parafovea | 1/46 (2%) | 0 | 1.000 |
| Perifovea | 9/46 (20%) | 9/21 (43%) | 0.046 * |
| Vascular arcade | 10/46 (22%) | 5/21 (24%) | 0.850 |
| Variables | PCV Eyes | Fellow Eyes |
|---|---|---|
| No. of total pachydrusen | 82 | 101 |
| No. of undetermined pachydrusen in OCT | 35/82 (43%) | 44/101 (44%) |
| No. of determined pachydrusen in OCT | 47 | 57 |
| Pachydrusen associated with pachyvessel | 29/47 (62%) | 38/57 (67%) |
| Pachydrusen without associated pachyvessel | 18/47 (38%) | 19/57 (33%) |
| Among PCV Eyes | Thin Choroid | Thick Choroid |
| No. of total pachydrusen | 42 | 40 |
| No. of undetermined pachydrusen in OCT | 21 (50%) | 14/40 (35%) |
| No. of determined pachydrusen in OCT | 21 | 26 |
| Pachydrusen associated with pachyvessel | 13/21 (62%) | 16/26 (62%) |
| Pachydrusen without associated pachyvessel | 8/21 (38%) | 10/26 (38%) |
Publisher’s Note: MDPI stays neutral with regard to jurisdictional claims in published maps and institutional affiliations. |
© 2022 by the authors. Licensee MDPI, Basel, Switzerland. This article is an open access article distributed under the terms and conditions of the Creative Commons Attribution (CC BY) license (https://creativecommons.org/licenses/by/4.0/).
Share and Cite
Kim, Y.H.; Chung, Y.-R.; Kim, C.; Lee, K.; Lee, W.K. The Association of Pachydrusen Characteristics with Choroidal Thickness and Patient’s Age in Polypoidal Choroidal Vasculopathy versus Central Serous Chorioretinopathy. Int. J. Mol. Sci. 2022, 23, 8353. https://doi.org/10.3390/ijms23158353
Kim YH, Chung Y-R, Kim C, Lee K, Lee WK. The Association of Pachydrusen Characteristics with Choroidal Thickness and Patient’s Age in Polypoidal Choroidal Vasculopathy versus Central Serous Chorioretinopathy. International Journal of Molecular Sciences. 2022; 23(15):8353. https://doi.org/10.3390/ijms23158353
Chicago/Turabian StyleKim, Young Ho, Yoo-Ri Chung, Chungwoon Kim, Kihwang Lee, and Won Ki Lee. 2022. "The Association of Pachydrusen Characteristics with Choroidal Thickness and Patient’s Age in Polypoidal Choroidal Vasculopathy versus Central Serous Chorioretinopathy" International Journal of Molecular Sciences 23, no. 15: 8353. https://doi.org/10.3390/ijms23158353
APA StyleKim, Y. H., Chung, Y.-R., Kim, C., Lee, K., & Lee, W. K. (2022). The Association of Pachydrusen Characteristics with Choroidal Thickness and Patient’s Age in Polypoidal Choroidal Vasculopathy versus Central Serous Chorioretinopathy. International Journal of Molecular Sciences, 23(15), 8353. https://doi.org/10.3390/ijms23158353

