Molecular Characterization of a DNA Polymerase from Thermus thermophilus MAT72 Phage vB_Tt72: A Novel Type-A Family Enzyme with Strong Proofreading Activity
Abstract
1. Introduction
2. Results
2.1. In Silico Analysis of T. thermophilus Phage vB_Tt72 Genome in Search for DNA Polymerase
2.2. Biological Activity of Tt72 DNA Polymerase in E. coli
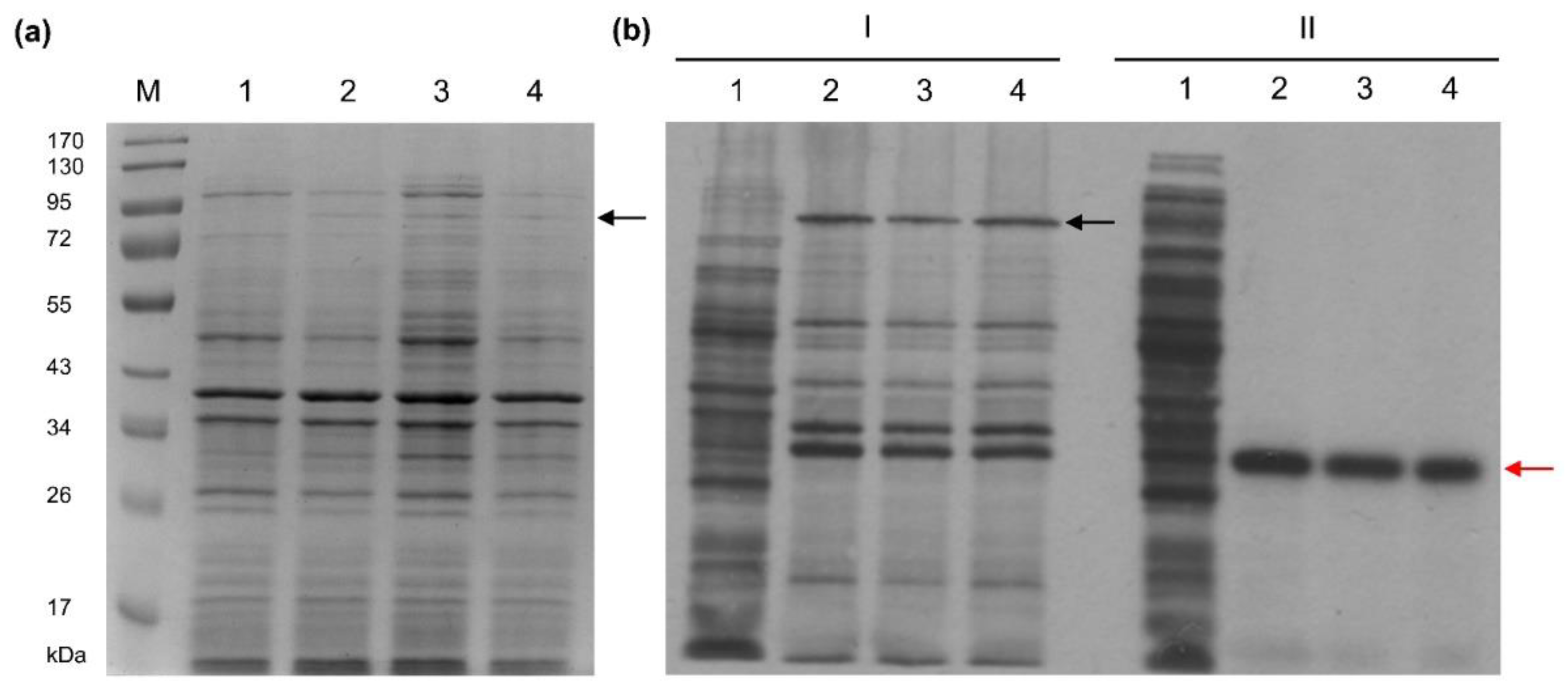
2.3. Overproduction and Purification of Tt72 DNA Polymerase
2.4. 3′-5′ Exonuclease Activity of the Tt72 DNA Polymerase
2.5. Tt72 DNA Polymerase Lacks Terminal Transferase Activity
2.6. Validation of Catalytic Sites for Tt72 pol 3′-5′ Exo and Nucleotidyltransferase Domain
2.7. Characterization of the Tt72 Pol Optima
2.8. Thermostability of Tt72 DNA Polymerase
3. Discussion
4. Materials and Methods
4.1. Bioinformatics Analysis
4.2. Bacterial Strains, Plasmids, and Phage
4.3. Cloning of Tt72 polA Gene
4.4. Genetic Complementation
4.5. Overexpression of the Tt72 polA Gene
4.6. Purification of Tt72 DNA Polymerase
4.7. Polymerase Activity Assay
4.8. 3′-5′ Exonuclease Assay
4.9. Terminal Transferase Assay
4.10. Western Blotting
4.11. Analytical Ultracentrifugation
4.12. Differential Scanning Calorimetry
4.13. Circular Dichroism Spectra
4.14. Microscale Thermophoresis
4.15. Nucleotide Sequence Accession Number
Supplementary Materials
Author Contributions
Funding
Institutional Review Board Statement
Informed Consent Statement
Data Availability Statement
Conflicts of Interest
References
- Lee, S.-J.; Richardson, C.C. Choreography of Bacteriophage T7 DNA Replication. Curr. Opin. Chem. Biol. 2011, 15, 580–586. [Google Scholar] [CrossRef] [PubMed]
- Beattie, T.R.; Reyes-Lamothe, R. A Replisome’s Journey through the Bacterial Chromosome. Front. Microbiol. 2015, 6, 562. [Google Scholar] [CrossRef] [PubMed]
- Yeeles, J.T.P.; Janska, A.; Early, A.; Diffley, J.F.X. How the Eukaryotic Replisome Achieves Rapid and Efficient DNA Replication. Mol. Cell 2017, 65, 105–116. [Google Scholar] [CrossRef] [PubMed]
- Xu, Z.-Q.; Dixon, N.E. Bacterial Replisomes. Curr. Opin. Struct. Biol. 2018, 53, 159–168. [Google Scholar] [CrossRef]
- Goodman, M.F.; Tippin, B. The Expanding Polymerase Universe. Nat. Rev. Mol. Cell Biol. 2000, 1, 101–109. [Google Scholar] [CrossRef] [PubMed]
- McHenry, C.S. Bacterial Replicases and Related Polymerases. Curr. Opin. Chem. Biol. 2011, 15, 587–594. [Google Scholar] [CrossRef] [PubMed]
- Graham, J.E.; Marians, K.J.; Kowalczykowski, S.C. Independent and Stochastic Action of DNA Polymerases in the Replisome. Cell 2017, 169, 1201–1213.e17. [Google Scholar] [CrossRef]
- Bebenek, K.; Kunkel, T.A. Functions of DNA Polymerases. Adv. Protein Chem. 2004, 69, 137–165. [Google Scholar] [CrossRef]
- Garcia-Diaz, M.; Bebenek, K. Multiple Functions of DNA Polymerases. CRC Crit. Rev. Plant. Sci. 2007, 26, 105–122. [Google Scholar] [CrossRef]
- Tsai, M.-D. How DNA Polymerases Catalyze DNA Replication, Repair, and Mutation. Biochemistry 2014, 53, 2749–2751. [Google Scholar] [CrossRef]
- Delarue, M.; Poch, O.; Tordo, N.; Moras, D.; Argos, P. An Attempt to Unify the Structure of Polymerases. Protein Eng. Des. Sel. 1990, 3, 461–467. [Google Scholar] [CrossRef] [PubMed]
- Ito, J.; Braithwaite, D.K. Compilation and Alignment of DNA Polymerase Sequences. Nucleic Acids Res. 1991, 19, 4045–4057. [Google Scholar] [CrossRef] [PubMed]
- Braithwaite, D.K.; Ito, J. Compilation, Alignment, and Phylogenetic Relationships of DNA Polymerases. Nucleic Acids Res. 1993, 21, 787–802. [Google Scholar] [CrossRef]
- Joyce, C.M.; Steitz, T.A. Function and Structure Relationships in DNA Polymerases. Annu. Rev. Biochem. 1994, 63, 777–822. [Google Scholar] [CrossRef]
- Filée, J.; Forterre, P.; Sen-Lin, T.; Laurent, J. Evolution of DNA Polymerase Families: Evidences for Multiple Gene Exchange between Cellular and Viral Proteins. J. Mol. Evol. 2002, 54, 763–773. [Google Scholar] [CrossRef]
- Leipe, D.D.; Aravind, L.; Koonin, E.V. Did DNA Replication Evolve Twice Independently? Nucleic Acids Res. 1999, 27, 3389–3401. [Google Scholar] [CrossRef]
- Sweasy, J.B.; Loeb, L.A. Mammalian DNA Polymerase Beta Can Substitute for DNA Polymerase I during DNA Replication in Escherichia coli. J. Biol. Chem. 1992, 267, 1407–1410. [Google Scholar] [CrossRef]
- Suzuki, M.; Baskin, D.; Hood, L.; Loeb, L.A. Random Mutagenesis of Thermus aquaticus DNA Polymerase I: Concordance of Immutable Sites in Vivo with the Crystal Structure. Proc. Natl. Acad. Sci. USA 1996, 93, 9670–9675. [Google Scholar] [CrossRef] [PubMed]
- Koonin, E.V. Temporal Order of Evolution of DNA Replication Systems Inferred by Comparison of Cellular and Viral DNA Polymerases. Biol. Direct 2006, 1, 39. [Google Scholar] [CrossRef][Green Version]
- Aliotta, J.M.; Pelletier, J.J.; Ware, J.L.; Moran, L.S.; Benner, J.S.; Kong, H. Thermostable Bst DNA Polymerase I Lacks a 3′-->5′ Proofreading Exonuclease Activity. Genet. Anal. 1996, 12, 185–195. [Google Scholar] [CrossRef]
- Lawyer, F.C.; Stoffel, S.; Saiki, R.K.; Myambo, K.; Drummond, R.; Gelfand, D.H. Isolation, Characterization, and Expression in Escherichia coli of the DNA Polymerase Gene from Thermus aquaticus. J. Biol. Chem. 1989, 264, 6427–6437. [Google Scholar] [CrossRef]
- Nasko, D.J.; Chopyk, J.; Sakowski, E.G.; Ferrell, B.D.; Polson, S.W.; Wommack, K.E. Family A DNA Polymerase Phylogeny Uncovers Diversity and Replication Gene Organization in the Virioplankton. Front. Microbiol. 2018, 9, 3053. [Google Scholar] [CrossRef] [PubMed]
- Xu, Y.; Grindley, N.D.; Joyce, C.M. Coordination between the Polymerase and 5′-Nuclease Components of DNA Polymerase I of Escherichia coli. J. Biol. Chem. 2000, 275, 20949–20955. [Google Scholar] [CrossRef] [PubMed]
- Bębenek, A.; Ziuzia-Graczyk, I. Fidelity of DNA Replication—a Matter of Proofreading. Curr. Genet. 2018, 64, 985–996. [Google Scholar] [CrossRef] [PubMed]
- Myers, T.W.; Gelfand, D.H. Reverse Transcription and DNA Amplification by a Thermus thermophilus DNA Polymerase. Biochemistry 1991, 30, 7661–7666. [Google Scholar] [CrossRef]
- Hjorleifsdottir, S.; Blondal, T.; Ævarsson, A.; Fridjónsson, O.; Ernstsson, S.; Hreggvidsson, G.; Mantyla, E.; Rothwell, P.; Kristjansson, J. Isothermal DNA Amplification by a Novel and Non-Ubiquitous Thermus Polymerase A. Curr. Biotechnol. 2014, 3, 76–86. [Google Scholar] [CrossRef]
- Tabor, S.; Richardson, C.C. A Single Residue in DNA Polymerases of the Escherichia coli DNA Polymerase I Family Is Critical for Distinguishing between Deoxy- and Dideoxyribonucleotides. Proc. Natl. Acad. Sci. USA 1995, 92, 6339–6343. [Google Scholar] [CrossRef]
- Kingsbury, D.T.; Helinski, D.R. DNA Polymerase as a Requirement for the Maintenance of the Bacterial Plasmid Colicinogenic Factor E1. Biochem. Biophys. Res. Commun. 1970, 41, 1538–1544. [Google Scholar] [CrossRef]
- Camps, M. Modulation of ColE1-like Plasmid Replication for Recombinant Gene Expression. Recent. Pat. DNA Gene Seq. 2010, 4, 58–73. [Google Scholar] [CrossRef]
- Doublié, S.; Ellenberger, T. The Mechanism of Action of T7 DNA Polymerase. Curr. Opin. Struct. Biol. 1998, 8, 704–712. [Google Scholar] [CrossRef]
- Kazlauskas, D.; Krupovic, M.; Venclovas, Č. The Logic of DNA Replication in Double-Stranded DNA Viruses: Insights from Global Analysis of Viral Genomes. Nucleic Acids Res. 2016, 44, 4551–4564. [Google Scholar] [CrossRef] [PubMed]
- Ishino, S.; Ishino, Y. DNA Polymerases as Useful Reagents for Biotechnology–The History of Developmental Research in the Field. Front. Microbiol. 2014, 5, 465. [Google Scholar] [CrossRef] [PubMed]
- Zhu, H.; Zhang, H.; Xu, Y.; Laššáková, S.; Korabečná, M.; Neužil, P. PCR Past, Present and Future. Biotechniques 2020, 69, 317–325. [Google Scholar] [CrossRef] [PubMed]
- Notomi, T.; Okayama, H.; Masubuchi, H.; Yonekawa, T.; Watanabe, K.; Amino, N.; Hase, T. Loop-Mediated Isothermal Amplification of DNA. Nucleic Acids Res. 2000, 28, e63. [Google Scholar] [CrossRef]
- Glökler, J.; Lim, T.S.; Ida, J.; Frohme, M. Isothermal Amplifications-A Comprehensive Review on Current Methods. Crit. Rev. Biochem. Mol. Biol. 2021, 56, 543–586. [Google Scholar] [CrossRef]
- Schmidt, H.F.; Sakowski, E.G.; Williamson, S.J.; Polson, S.W.; Wommack, K. Shotgun Metagenomics Indicates Novel Family A DNA Polymerases Predominate within Marine Virioplankton. ISME J. 2014, 8, 103–114. [Google Scholar] [CrossRef]
- Simon, C.; Herath, J.; Rockstroh, S.; Daniel, R. Rapid Identification of Genes Encoding DNA Polymerases by Function-Based Screening of Metagenomic Libraries Derived from Glacial Ice. Appl. Environ. Microbiol. 2009, 75, 2964–2968. [Google Scholar] [CrossRef][Green Version]
- Aevarsson, A.; Kaczorowska, A.-K.; Adalsteinsson, B.T.; Ahlqvist, J.; Al-Karadaghi, S.; Altenbuchner, J.; Arsin, H.; Átlasson, Ú.Á.; Brandt, D.; Cichowicz-Cieślak, M.; et al. Going to Extremes-A Metagenomic Journey into the Dark Matter of Life. FEMS Microbiol. Lett. 2021, 368, fnab067. [Google Scholar] [CrossRef]
- Breitbart, M.; Wegley, L.; Leeds, S.; Schoenfeld, T.; Rohwer, F. Phage Community Dynamics in Hot Springs. Appl. Environ. Microbiol. 2004, 70, 1633–1640. [Google Scholar] [CrossRef]
- Gil, J.F.; Mesa, V.; Estrada-Ortiz, N.; Lopez-Obando, M.; Gómez, A.; Plácido, J. Viruses in Extreme Environments, Current Overview, and Biotechnological Potential. Viruses 2021, 13, 81. [Google Scholar] [CrossRef]
- Edwards, R.A.; Rohwer, F. Viral Metagenomics. Nat. Rev. Microbiol. 2005, 3, 504–510. [Google Scholar] [CrossRef] [PubMed]
- Stefanska, A.; Kaczorowska, A.-K.; Plotka, M.; Fridjonsson, O.H.; Hreggvidsson, G.O.; Hjorleifsdottir, S.; Kristjansson, J.K.; Dabrowski, S.; Kaczorowski, T. Discovery and Characterization of RecA Protein of Thermophilic Bacterium Thermus thermophilus MAT72 Phage Tt72 That Increases Specificity of a PCR-Based DNA Amplification. J. Biotechnol. 2014, 182–183, 1–10. [Google Scholar] [CrossRef] [PubMed]
- Ahlqvist, J.; Linares-Pastén, J.A.; Håkansson, M.; Jasilionis, A.; Kwiatkowska-Semrau, K.; Friðjónsson, Ó.H.; Kaczorowska, A.K.; Dabrowski, S.; Ævarsson, A.; Hreggviðsson, G.Ó.; et al. Crystal Structure and Initial Characterization of a Novel Archaeal-like Holliday Junction-Resolving Enzyme from Thermus thermophilus Phage Tth15-6. Acta Crystallogr. D Struct. Biol. 2022, 78, 212–227. [Google Scholar] [CrossRef] [PubMed]
- Plotka, M.; Kapusta, M.; Dorawa, S.; Kaczorowska, A.-K.; Kaczorowski, T. Ts2631 Endolysin from the Extremophilic Thermus scotoductus Bacteriophage VB_Tsc2631 as an Antimicrobial Agent against Gram-Negative Multidrug-Resistant Bacteria. Viruses 2019, 11, 657. [Google Scholar] [CrossRef] [PubMed]
- Plotka, M.; Sancho-Vaello, E.; Dorawa, S.; Kaczorowska, A.-K.; Kozlowski, L.P.; Kaczorowski, T.; Zeth, K. Structure and Function of the Ts2631 Endolysin of Thermus scotoductus Phage VB_Tsc2631 with Unique N-Terminal Extension Used for Peptidoglycan Binding. Sci. Rep. 2019, 9, 1261. [Google Scholar] [CrossRef]
- Plotka, M.; Kaczorowska, A.-K.; Morzywolek, A.; Makowska, J.; Kozlowski, L.P.; Thorisdottir, A.; Skírnisdottir, S.; Hjörleifsdottir, S.; Fridjonsson, O.H.; Hreggvidsson, G.O.; et al. Biochemical Characterization and Validation of a Catalytic Site of a Highly Thermostable Ts2631 Endolysin from the Thermus scotoductus Phage VB_Tsc2631. PLoS ONE 2015, 10, e0137374. [Google Scholar] [CrossRef] [PubMed]
- Plotka, M.; Kaczorowska, A.-K.; Stefanska, A.; Morzywolek, A.; Fridjonsson, O.H.; Dunin-Horkawicz, S.; Kozlowski, L.; Hreggvidsson, G.O.; Kristjansson, J.K.; Dabrowski, S.; et al. Novel Highly Thermostable Endolysin from Thermus scotoductus MAT2119 Bacteriophage Ph2119 with Amino Acid Sequence Similarity to Eukaryotic Peptidoglycan Recognition Proteins. Appl. Environ. Microbiol. 2014, 80, 886–895. [Google Scholar] [CrossRef]
- Naryshkina, T.; Liu, J.; Florens, L.; Swanson, S.K.; Pavlov, A.R.; Pavlova, N.V.; Inman, R.; Kozyavkin, S.A.; Washburn, M.; Mushegian, A.; et al. Thermus thermophilus Bacteriophage ΦYS40 Genome and Proteomic Characterization of Virions. J. Mol. Biol. 2006, 364, 667–677. [Google Scholar] [CrossRef]
- Tamakoshi, M.; Murakami, A.; Sugisawa, M.; Tsuneizumi, K.; Takeda, S.; Saheki, T.; Izumi, T.; Akiba, T.; Mitsuoka, K.; Toh, H.; et al. Genomic and Proteomic Characterization of the Large Myoviridae Bacteriophage ΦTMA of the Extreme Thermophile Thermus thermophilus. Bacteriophage 2011, 1, 152–164. [Google Scholar] [CrossRef]
- Sevostyanova, A.; Djordjevic, M.; Kuznedelov, K.; Naryshkina, T.; Gelfand, M.S.; Severinov, K.; Minakhin, L. Temporal Regulation of Viral Transcription during Development of Thermus thermophilus Bacteriophage ΦYS40. J. Mol. Biol. 2007, 366, 420–435. [Google Scholar] [CrossRef]
- Henne, A.; Brüggemann, H.; Raasch, C.; Wiezer, A.; Hartsch, T.; Liesegang, H.; Johann, A.; Lienard, T.; Gohl, O.; Martinez-Arias, R.; et al. The Genome Sequence of the Extreme Thermophile Thermus thermophilus. Nat. Biotechnol. 2004, 22, 547–553. [Google Scholar] [CrossRef] [PubMed]
- Grote, A.; Hiller, K.; Scheer, M.; Münch, R.; Nörtemann, B.; Hempel, D.C.; Jahn, D. JCat: A Novel Tool to Adapt Codon Usage of a Target Gene to Its Potential Expression Host. Nucleic Acids Res. 2005, 33, W526–W531. [Google Scholar] [CrossRef] [PubMed]
- Zhou, Z.; Liu, Y.; Xu, W.; Pan, J.; Luo, Z.-H.; Li, M. Genome- and Community-Level Interaction Insights into Carbon Utilization and Element Cycling Functions of Hydrothermarchaeota in Hydrothermal Sediment. mSystems 2020, 5, e00795-19. [Google Scholar] [CrossRef] [PubMed]
- Sakaki, Y.; Oshima, T. Isolation and Characterization of a Bacteriophage Infectious to an Extreme Thermophile, Thermus thermophilus HB8. J. Virol. 1975, 15, 1449–1453. [Google Scholar] [CrossRef] [PubMed]
- Derbyshire, V.; Pinsonneault, J.K.; Joyce, C.M. Structure-Function Analysis of 3′-->5′-Exonuclease of DNA Polymerases. Methods Enzymol. 1995, 262, 363–385. [Google Scholar] [CrossRef] [PubMed]
- Patel, P.H.; Suzuki, M.; Adman, E.; Shinkai, A.; Loeb, L.A. Prokaryotic DNA Polymerase I: Evolution, Structure, and “Base Flipping” Mechanism for Nucleotide Selection. J. Mol. Biol. 2001, 308, 823–837. [Google Scholar] [CrossRef]
- Camps, M.; Loeb, L.A. Use of Pol I-Deficient E. coli for Functional Complementation of DNA Polymerase. Methods Mol. Biol. 2003, 230, 11–18. [Google Scholar] [CrossRef]
- Mruk, I.; Kaczorowski, T.; Witczak, A. Natural Tuning of Restriction Endonuclease Synthesis by Cluster of Rare Arginine Codons. Sci. Rep. 2019, 9, 5808. [Google Scholar] [CrossRef]
- Kaczorowski, T.; Sektas, M.; Skowron, P.; Podhajska, A.J. The FokI Methyltransferase from Flavobacterium okeanokoites. Purification and Characterization of the Enzyme and Its Truncated Derivatives. Mol. Biotechnol. 1999, 13, 1–15. [Google Scholar] [CrossRef]
- Clark, J.M. Novel Non-Templated Nucleotide Addition Reactions Catalyzed by Procaryotic and Eucaryotic DNA Polymerases. Nucleic Acids Res. 1988, 16, 9677–9686. [Google Scholar] [CrossRef]
- Beese, L.S.; Steitz, T.A. Structural Basis for the 3′-5′ Exonuclease Activity of Escherichia coli DNA Polymerase I: A Two Metal Ion Mechanism. EMBO J. 1991, 10, 25–33. [Google Scholar] [CrossRef] [PubMed]
- Patel, P.H.; Loeb, L.A. Getting a Grip on How DNA Polymerases Function. Nat. Struct. Biol. 2001, 8, 656–659. [Google Scholar] [CrossRef] [PubMed]
- Beese, L.S.; Derbyshire, V.; Steitz, T.A. Structure of DNA Polymerase I Klenow Fragment Bound to Duplex DNA. Science 1993, 260, 352–355. [Google Scholar] [CrossRef] [PubMed]
- Steitz, T.A. DNA Polymerases: Structural Diversity and Common Mechanisms. J. Biol. Chem. 1999, 274, 17395–17398. [Google Scholar] [CrossRef]
- Brautigam, C.A.; Steitz, T.A. Structural and Functional Insights Provided by Crystal Structures of DNA Polymerases and Their Substrate Complexes. Curr. Opin. Struct. Biol. 1998, 8, 54–63. [Google Scholar] [CrossRef]
- Singh, K.; Srivastava, A.; Patel, S.S.; Modak, M.J. Participation of the fingers subdomain of Escherichia coli DNA polymerase I in the strand displacement synthesis of DNA. J. Biol. Chem. 2007, 282, 10594–10604. [Google Scholar] [CrossRef]
- Ferraro, P.; Franzolin, E.; Pontarin, G.; Reichard, P.; Bianchi, V. Quantitation of Cellular Deoxynucleoside Triphosphates. Nucleic Acids Res. 2010, 38, e85. [Google Scholar] [CrossRef]
- Hohlbein, J.; Aigrain, L.; Craggs, T.; Bermek, O.; Potapova, O.; Shoolizadeh, P.; Grindley, N.; Joyce, C.; Kapanidis, A. Conformational Landscapes of DNA Polymerase I and Mutator Derivates Establish Fidelity Checkpoints for Nucleotide Insertion. Nat. Commun. 2013, 4, 2131. [Google Scholar] [CrossRef]
- Astatke, M.; Ng, K.; Grindley, N.D.; Joyce, C.M. A Single Side Chain Prevents Escherichia coli DNA Polymerase I (Klenow Fragment) from Incorporating Ribonucleotides. Proc. Natl. Acad. Sci. USA 1998, 95, 3402–3407. [Google Scholar] [CrossRef]
- Wu, S.; Beard, W.A.; Pedersen, L.G.; Wilson, S.H. Structural Comparison of DNA Polymerase Architecture Suggest a Nucleotide Gateway to the Polymerase Active Site. Chem. Rev. 2014, 114, 2759–2774. [Google Scholar] [CrossRef][Green Version]
- Gangurde, R.; Modak, M.J. Participation of Active-Site Carboxylates of Escherichia coli DNA Polymerase I (Klenow Fragment) in the Formation of a Prepolymerase Ternary Complex. Biochemistry 2002, 41, 14552–14559. [Google Scholar] [CrossRef] [PubMed]
- Oshima, T.; Imahori, K. 1974. Description of Thermus thermophilus (Yoshida and Oshima) Comb. Nov., a Nonsporulating Thermophilic Bacterium from a Japanese Thermal Spa. Int. J. Syst. Evol. Microbiol. 1974, 24, 102–112. [Google Scholar] [CrossRef]
- Farias, S.T.; Bonato, M.C.M. Preferred Amino Acids and Thermostability. Genet. Mol. Res. 2003, 2, 383–393. [Google Scholar] [PubMed]
- Suhre, K.; Claverie, J.-M. Genomic Correlates of Hyperthermostability, an Update. J. Biol. Chem. 2003, 278, 17198–17202. [Google Scholar] [CrossRef]
- Dzwolak, W.; Ravindra, R.; Winter, R. Hydration and Structure—the Two Sides of the Insulin Aggregation Process. Phys. Chem. Chem. Phys. 2004, 6, 1938–1943. [Google Scholar] [CrossRef]
- Farmer, R.S.; Kiick, K.L. Conformational Behavior of Chemically Reactive Alanine-Rich Repetitive Protein Polymers. Biomacromolecules 2005, 6, 1531–1539. [Google Scholar] [CrossRef][Green Version]
- Berova, N.; Nakanishi, K.; Woody, R. Circular Dichroism. Principles and Applications, 2nd ed.; John Wiley & Sons: Hoboken, NJ, USA, 2000. [Google Scholar]
- Schellman, J.A.; Oriel, P. Origin of the Cotton Effect of Helical Polypeptides. J. Chem. Phys. 1962, 37, 2114–2124. [Google Scholar] [CrossRef]
- Woody, R.W.; Tinoco, I. Optical Rotation of Oriented Helices. III. Calculation of the Rotatory Dispersion and Circular Dichroism of the Alpha- and 310-Helix. J. Chem. Phys. 1967, 46, 4927–4945. [Google Scholar] [CrossRef]
- Provencher, S.W.; Glöckner, J. Estimation of Globular Protein Secondary Structure from Circular Dichroism. Biochemistry 1981, 20, 33–37. [Google Scholar] [CrossRef]
- Sreerama, N.; Woody, R.W. Estimation of Protein Secondary Structure from Circular Dichroism Spectra: Comparison of CONTIN, SELCON, and CDSSTR Methods with an Expanded Reference Set. Anal. Biochem. 2000, 287, 252–260. [Google Scholar] [CrossRef]
- Xu, R.-G.; Jenkins, H.T.; Chechik, M.; Blagova, E.V.; Lopatina, A.; Klimuk, E.; Minakhin, L.; Severinov, K.; Greive, S.J.; Antson, A.A. Viral Genome Packaging Terminase Cleaves DNA Using the Canonical RuvC-like Two-Metal Catalysis Mechanism. Nucleic Acids Res. 2017, 45, 3580–3590. [Google Scholar] [CrossRef] [PubMed]
- Lin, L.; Hong, W.; Ji, X.; Han, J.; Huang, L.; Wei, Y. Isolation and Characterization of an Extremely Long Tail Thermus Bacteriophage from Tengchong Hot Springs in China. J. Basic Microbiol. 2010, 50, 452–456. [Google Scholar] [CrossRef] [PubMed]
- Minakhin, L.; Goel, M.; Berdygulova, Z.; Florens, L.; Glazko, G.; Karamychev, V.N.; Slesarev, A.I.; Kozyavkin, S.A.; Khromov, I.; Ackermann, H.-W.; et al. Genome Comparison and Proteomic Characterization of Thermus thermophilus Bacteriophages P23-45 and P74-26: Siphoviruses with Triplex-Forming Sequences and the Longest Known Tails. J. Mol. Biol. 2008, 378, 468–480. [Google Scholar] [CrossRef] [PubMed]
- Schoenfeld, T.W.; Murugapiran, S.K.; Dodsworth, J.A.; Floyd, S.; Lodes, M.; Mead, D.A.; Hedlund, B.P. Lateral Gene Transfer of Family A DNA Polymerases between Thermophilic Viruses, Aquificae, and Apicomplexa. Mol. Biol. Evol. 2013, 30, 1653–1664. [Google Scholar] [CrossRef]
- Brutlag, D.; Kornberg, A. Enzymatic Synthesis of Deoxyribonucleic Acid. 36. A Proofreading Function for the 3′ Leads to 5′ Exonuclease Activity in Deoxyribonucleic Acid Polymerases. J. Biol. Chem. 1972, 247, 241–248. [Google Scholar] [CrossRef]
- Eom, S.H.; Wang, J.; Steitz, T.A. Structure of Taq polymerase with DNA at the polymerase active site. Nature 1996, 382, 278–281. [Google Scholar] [CrossRef]
- Kottur, J.; Nair, D.T. Pyrophosphate Hydrolysis Is an Intrinsic and Critical Step of the DNA Synthesis Reaction. Nucleic Acids Res. 2018, 46, 5875–5885. [Google Scholar] [CrossRef]
- Nakamura, T.; Zhao, Y.; Yamagata, Y.; Hua, Y.; Yang, W. Watching DNA Polymerase η Make a Phosphodiester Bond. Nature 2012, 487, 196–201. [Google Scholar] [CrossRef]
- Freudenthal, B.D.; Beard, W.A.; Shock, D.D.; Wilson, S.H. Observing a DNA Polymerase Choose Right from Wrong. Cell 2013, 154, 157–168. [Google Scholar] [CrossRef]
- Gao, Y.; Yang, W. Capture of a Third Mg2+ Is Essential for Catalyzing DNA Synthesis. Science 2016, 352, 1334–1337. [Google Scholar] [CrossRef]
- Jamsen, J.A.; Beard, W.A.; Pedersen, L.C.; Shock, D.D.; Moon, A.F.; Krahn, J.M.; Bebenek, K.; Kunkel, T.A.; Wilson, S.H. Time-Lapse Crystallography Snapshots of a Double-Strand Break Repair Polymerase in Action. Nat. Commun. 2017, 8, 253. [Google Scholar] [CrossRef] [PubMed]
- Gong, S.; Kirmizialtin, S.; Chang, A.; Mayfield, J.E.; Zhang, Y.J.; Johnson, K.A. Kinetic and Thermodynamic Analysis Defines Roles for Two Metal Ions in DNA Polymerase Specificity and Catalysis. J. Biol. Chem. 2021, 296, 100184. [Google Scholar] [CrossRef] [PubMed]
- Chim, N.; Jackson, L.N.; Trinh, A.M.; Chaput, J.C. Crystal Structures of DNA Polymerase I Capture Novel Intermediates in the DNA Synthesis Pathway. eLife 2018, 7, e40444. [Google Scholar] [CrossRef] [PubMed]
- Scandurra, R.; Consalvi, V.; Chiaraluce, R.; Politi, L.; Engel, P.C. Protein Thermostability in Extremophiles. Biochimie 1998, 80, 933–941. [Google Scholar] [CrossRef]
- da Costa, M.S.; Santos, H.; Galinski, E.A. An Overview of the Role and Diversity of Compatible Solutes in Bacteria and Archaea. Adv. Biochem. Eng. Biotechnol. 1998, 61, 117–153. [Google Scholar] [CrossRef]
- Tatzelt, J.; Prusiner, S.B.; Welch, W.J. Chemical Chaperones Interfere with the Formation of Scrapie Prion Protein. EMBO J. 1996, 15, 6363–6373. [Google Scholar] [CrossRef]
- Rabbani, G.; Choi, I. Roles of Osmolytes in Protein Folding and Aggregation in Cells and Their Biotechnological Applications. Int. J. Biol. Macromol. 2018, 109, 483–491. [Google Scholar] [CrossRef]
- Hensel, R.; König, H. Thermoadaptation of Methanogenic Bacteria by Intracellular Ion Concentration. FEMS Microbiol. Lett. 1988, 49, 75–79. [Google Scholar] [CrossRef]
- Scholz, S.; Sonnenbichler, J.; Schäfer, W.; Hensel, R. Di-Myo-Inositol-1, 1′-Phosphate: A New Inositol Phosphate Isolated from Pyrococcus Woesei. FEBS Lett. 1992, 306, 239–242. [Google Scholar] [CrossRef]
- Welsh, D.T. Ecological Significance of Compatible Solute Accumulation by Micro-Organisms: From Single Cells to Global Climate. FEMS Microbiology Reviews 2000, 24, 263–290. [Google Scholar] [CrossRef]
- Santos, H.; da Costa, M.S. Compatible Solutes of Organisms That Live in Hot Saline Environments. Environ. Microbiol. 2002, 4, 501–509. [Google Scholar] [CrossRef] [PubMed]
- Chin, J.P.; Megaw, J.; Magill, C.L.; Nowotarski, K.; Williams, J.P.; Bhaganna, P.; Linton, M.; Patterson, M.F.; Underwood, G.J.C.; Mswaka, A.Y.; et al. Solutes Determine the Temperature Windows for Microbial Survival and Growth. Proc. Natl. Acad. Sci. USA 2010, 107, 7835–7840. [Google Scholar] [CrossRef]
- Nunes, O.C.; Manaia, C.M.; Da Costa, M.S.; Santos, H. Compatible Solutes in the Thermophilic Bacteria Rhodothermus marinus and “Thermus thermophilus”. Appl. Environ. Microbiol. 1995, 61, 2351–2357. [Google Scholar] [CrossRef] [PubMed]
- Silva, Z.; Borges, N.; Martins, L.O.; Wait, R.; da Costa, M.S.; Santos, H. Combined Effect of the Growth Temperature and Salinity of the Medium on the Accumulation of Compatible Solutes by Rhodothermus marinus and Rhodothermus obamensis. Extremophiles 1999, 3, 163–172. [Google Scholar] [CrossRef] [PubMed]
- Borges, N.; Ramos, A.; Raven, N.D.H.; Sharp, R.J.; Santos, H. Comparative Study of the Thermostabilizing Properties of Mannosylglycerate and Other Compatible Solutes on Model Enzymes. Extremophiles 2002, 6, 209–216. [Google Scholar] [CrossRef] [PubMed]
- Street, T.O.; Bolen, D.W.; Rose, G.D. A Molecular Mechanism for Osmolyte-Induced Protein Stability. Proc. Natl. Acad. Sci. USA 2006, 103, 13997–14002. [Google Scholar] [CrossRef]
- Sharp, K.A. Analysis of the Size Dependence of Macromolecular Crowding Shows That Smaller Is Better. Proc. Natl. Acad. Sci. USA 2015, 112, 7990–7995. [Google Scholar] [CrossRef]
- Pace, C.N.; Fu, H.; Fryar, K.L.; Landua, J.; Trevino, S.R.; Schell, D.; Thurlkill, R.L.; Imura, S.; Scholtz, J.M.; Gajiwala, K.; et al. Contribution of Hydrogen Bonds to Protein Stability. Protein Sci. 2014, 23, 652–661. [Google Scholar] [CrossRef]
- Li, J.; Chen, J.; An, L.; Yuan, X.; Yao, L. Polyol and Sugar Osmolytes Can Shorten Protein Hydrogen Bonds to Modulate Function. Commun. Biol. 2020, 3, 528. [Google Scholar] [CrossRef]
- Kazlauskas, D.; Venclovas, C. Computational Analysis of DNA Replicases in Double-Stranded DNA Viruses: Relationship with the Genome Size. Nucleic Acids Res. 2011, 39, 8291–8305. [Google Scholar] [CrossRef]
- Mistry, J.; Chuguransky, S.; Williams, L.; Qureshi, M.; Salazar, G.A.; Sonnhammer, E.L.L.; Tosatto, S.C.E.; Paladin, L.; Raj, S.; Richardson, L.J.; et al. Pfam: The Protein Families Database in 2021. Nucleic Acids Res. 2020, 49, D412–D419. [Google Scholar] [CrossRef] [PubMed]
- Lu, S.; Wang, J.; Chitsaz, F.; Derbyshire, M.K.; Geer, R.C.; Gonzales, N.R.; Gwadz, M.; Hurwitz, D.I.; Marchler, G.H.; Song, J.S.; et al. CDD/SPARCLE: The Conserved Domain Database in 2020. Nucleic Acids Res. 2020, 48, D265–D268. [Google Scholar] [CrossRef] [PubMed]
- Thompson, J.D.; Higgins, D.G.; Gibson, T.J. CLUSTAL W: Improving the Sensitivity of Progressive Multiple Sequence Alignment through Sequence Weighting, Position-Specific Gap Penalties and Weight Matrix Choice. Nucleic Acids Res. 1994, 22, 4673–4680. [Google Scholar] [CrossRef] [PubMed]
- Kelley, L.A.; Mezulis, S.; Yates, C.M.; Wass, M.N.; Sternberg, M.J.E. The Phyre2 Web Portal for Protein Modeling, Prediction and Analysis. Nat. Protoc. 2015, 10, 845–858. [Google Scholar] [CrossRef]
- Heo, L.; Park, H.; Seok, C. GalaxyRefine: Protein Structure Refinement Driven by Side-Chain Repacking. Nucleic Acids Res. 2013, 41, W384–W388. [Google Scholar] [CrossRef]
- Pettersen, E.F.; Goddard, T.D.; Huang, C.C.; Couch, G.S.; Greenblatt, D.M.; Meng, E.C.; Ferrin, T.E. UCSF Chimera--a Visualization System for Exploratory Research and Analysis. J. Comput. Chem. 2004, 25, 1605–1612. [Google Scholar] [CrossRef]
- Kozlowski, L.P. IPC 2.0: Prediction of Isoelectric Point and pKa Dissociation Constants. Nucleic Acids Res. 2021, 49, W285–W292. [Google Scholar] [CrossRef]
- Sambrook, J.; Fritsch, E.F.; Maniatis, T. Molecular Cloning: A Laboratory Manual; Cold Spring Harbor Laboratory Press: Long Island, NY, USA, 1989. [Google Scholar]
- Takeshita, S.; Sato, M.; Toba, M.; Masahashi, W.; Hashimoto-Gotoh, T. High-Copy-Number and Low-Copy-Number Plasmid Vectors for LacZα-Complementation and Chloramphenicol- or Kanamycin-Resistance Selection. Gene 1987, 61, 63–74. [Google Scholar] [CrossRef]
- Kaczorowski, T.; Sektas, M.; Furmanek, B. An Improvement in Electrophoretic Transfer of DNA from a Gel to DEAE-Cellulose Membrane. Biotechniques 1993, 14, 900. [Google Scholar]
- Bradford, M.M. A Rapid and Sensitive Method for the Quantitation of Microgram Quantities of Protein Utilizing the Principle of Protein-Dye Binding. Anal. Biochem. 1976, 72, 248–254. [Google Scholar] [CrossRef]
- Plotnikov, V.; Rochalski, A.; Brandts, M.; Brandts, J.F.; Williston, S.; Frasca, V.; Lin, L.-N. An Autosampling Differential Scanning Calorimeter Instrument for Studying Molecular Interactions. ASSAY Drug Dev. Technol. 2002, 1, 83–90. [Google Scholar] [CrossRef] [PubMed]
- Drozdetskiy, A.; Cole, C.; Procter, J.; Barton, G.J. JPred4: A Protein Secondary Structure Prediction Server. Nucleic Acids Res. 2015, 43, W389–W394. [Google Scholar] [CrossRef]









| Temperature (°C) | α-Helix [%] | β-Sheet [%] | Turn [%] | Statistical Coil [%] |
|---|---|---|---|---|
| 20 | 35.9 | 16.5 | 19.1 | 29.2 |
| 30 | 36.0 | 17.8 | 18.3 | 28.1 |
| 40 | 35.5 | 17.1 | 19.4 | 28.7 |
| 50 | 34.3 | 17.3 | 19.9 | 29.0 |
| 60 | 23.7 | 27.6 | 23.1 | 25.5 |
| 70 | 7.1 | 42.2 | 22.1 | 28.6 |
| 80 | 6.0 | 41.2 | 22.2 | 30.6 |
Publisher’s Note: MDPI stays neutral with regard to jurisdictional claims in published maps and institutional affiliations. |
© 2022 by the authors. Licensee MDPI, Basel, Switzerland. This article is an open access article distributed under the terms and conditions of the Creative Commons Attribution (CC BY) license (https://creativecommons.org/licenses/by/4.0/).
Share and Cite
Dorawa, S.; Werbowy, O.; Plotka, M.; Kaczorowska, A.-K.; Makowska, J.; Kozlowski, L.P.; Fridjonsson, O.H.; Hreggvidsson, G.O.; Aevarsson, A.; Kaczorowski, T. Molecular Characterization of a DNA Polymerase from Thermus thermophilus MAT72 Phage vB_Tt72: A Novel Type-A Family Enzyme with Strong Proofreading Activity. Int. J. Mol. Sci. 2022, 23, 7945. https://doi.org/10.3390/ijms23147945
Dorawa S, Werbowy O, Plotka M, Kaczorowska A-K, Makowska J, Kozlowski LP, Fridjonsson OH, Hreggvidsson GO, Aevarsson A, Kaczorowski T. Molecular Characterization of a DNA Polymerase from Thermus thermophilus MAT72 Phage vB_Tt72: A Novel Type-A Family Enzyme with Strong Proofreading Activity. International Journal of Molecular Sciences. 2022; 23(14):7945. https://doi.org/10.3390/ijms23147945
Chicago/Turabian StyleDorawa, Sebastian, Olesia Werbowy, Magdalena Plotka, Anna-Karina Kaczorowska, Joanna Makowska, Lukasz P. Kozlowski, Olafur H. Fridjonsson, Gudmundur O. Hreggvidsson, Arnthór Aevarsson, and Tadeusz Kaczorowski. 2022. "Molecular Characterization of a DNA Polymerase from Thermus thermophilus MAT72 Phage vB_Tt72: A Novel Type-A Family Enzyme with Strong Proofreading Activity" International Journal of Molecular Sciences 23, no. 14: 7945. https://doi.org/10.3390/ijms23147945
APA StyleDorawa, S., Werbowy, O., Plotka, M., Kaczorowska, A.-K., Makowska, J., Kozlowski, L. P., Fridjonsson, O. H., Hreggvidsson, G. O., Aevarsson, A., & Kaczorowski, T. (2022). Molecular Characterization of a DNA Polymerase from Thermus thermophilus MAT72 Phage vB_Tt72: A Novel Type-A Family Enzyme with Strong Proofreading Activity. International Journal of Molecular Sciences, 23(14), 7945. https://doi.org/10.3390/ijms23147945

