Partial Endothelial Nitric Oxide Synthase Deficiency Exacerbates Cognitive Deficit and Amyloid Pathology in the APPswe/PS1ΔE9 Mouse Model of Alzheimer’s Disease
Abstract
1. Introduction
2. Results
2.1. General Characterization
2.2. Behavioural Data
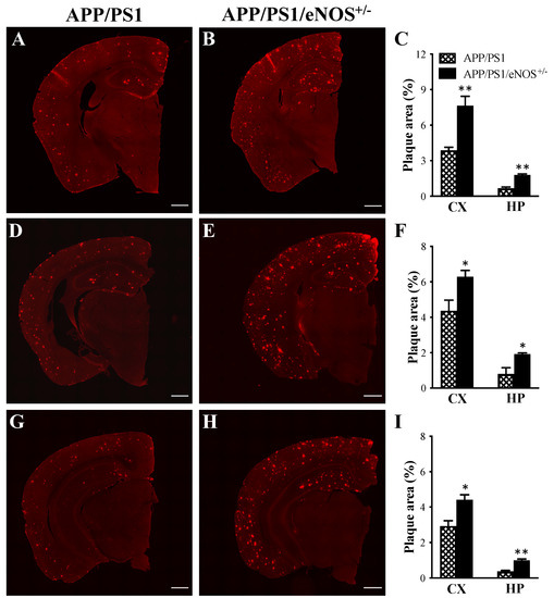
2.3. Amyloid Deposition in the Brain
2.4. Microglial Immunoreactivity and Colocalization with Aβ
2.5. Concentration of Soluble Aβ in the Brain
2.6. Protein Expression
3. Discussion
4. Materials and Methods
4.1. Animals
4.2. Behavioural Procedures
4.2.1. Open Field (Day 1)
4.2.2. Elevated plus Maze (Day 1)
4.2.3. Y-Maze (Day 2)
4.2.4. Water Maze (Days 3–6)
4.3. Organ Collection and Brain Tissue Preparation
4.4. Immunofluorescence Procedures
4.5. Imaging and Amyloid Plaque Quantification
4.6. Enzyme-Linked Immunosorbent Assay
4.7. Western Blot
4.8. Statistical Analysis
Supplementary Materials
Author Contributions
Funding
Institutional Review Board Statement
Informed Consent Statement
Data Availability Statement
Acknowledgments
Conflicts of Interest
References
- Selkoe, D.J. Alzheimer’s Disease. Cold Spring Harb. Perspect. Biol. 2011, 3, a004457. [Google Scholar] [CrossRef] [PubMed]
- Hardy, J.A.; Higgins, G.A. Alzheimer’s Disease: The Amyloid Cascade Hypothesis. Science 1992, 256, 184–185. [Google Scholar] [CrossRef] [PubMed]
- Drachman, D.A. The Amyloid Hypothesis, Time to Move On: Amyloid is the Downstream Result, Not Cause, of Alzheimer’s Disease. Alzheimer’s Dement. 2014, 10, 372–380. [Google Scholar] [CrossRef] [PubMed]
- Humpel, C.; Marksteiner, J. Cerebrovascular Damage as a Cause for Alzheimer’s Disease. Curr. Neurovasc. Res. 2005, 2, 341–347. [Google Scholar] [CrossRef]
- De la Torre, J.C. Cerebral Hemodynamics and Vascular Risk Factors: Setting the Stage for Alzheimer’s Disease. J. Alzheimer’s Dis. 2012, 32, 553–567. [Google Scholar] [CrossRef]
- Wu, G.; Morris, S.M., Jr. Arginine Metabolism: Nitric oxide and Beyond. Biochem. J. 1998, 336, 1–17. [Google Scholar] [CrossRef]
- Tousoulis, D.; Kampoli, A.-M.; Tentolouris Nikolaos Papageorgiou, C.; Stefanadis, C. The Role of Nitric Oxide on Endothelial Function. Curr. Vasc. Pharmacol. 2012, 10, 4–18. [Google Scholar] [CrossRef]
- De la Monte, S.; Lu, B.; Sohn, Y.; Etienne, D.; Kraft, J.; Ganju, N.; Wands, J. Aberrant Expression of Nitric Oxide Synthase III in Alzheimer’s Disease: Relevance to Cerebral Vasculopathy and Neurodegeneration. Neurobiol. Aging 2000, 21, 309–319. [Google Scholar] [CrossRef]
- Provias, J.; Jeynes, B. Neurofibrillary Tangles and Senile Plaques in Alzheimer’s Brains are Associated with Reduced Capillary Expression of Vascular Endothelial Growth Factor and Endothelial Nitric Oxide Synthase. Curr. Neurovasc. Res. 2008, 5, 199–205. [Google Scholar] [CrossRef]
- Jeynes, B.; Provias, J. Significant Negative Correlations Between Capillary Expressed eNOS and Alzheimer Lesion Burden. Neurosci. Lett. 2009, 463, 244–248. [Google Scholar] [CrossRef]
- Liu, P.; Fleete, M.S.; Jing, Y.; Collie, N.D.; Curtis, M.A.; Waldvogel, H.J.; Faull, R.L.; Abraham, W.C.; Zhang, H. Altered Arginine Metabolism in Alzheimer’s Disease Brains. Neurobiol. Aging 2014, 35, 1992–2003. [Google Scholar] [CrossRef] [PubMed]
- Austin, S.A.; Santhanam, A.V.; Katusic, Z.S. Endothelial Nitric Oxide Modulates Expression and Processing of Amyloid Precursor Protein. Circ. Res. 2010, 107, 1498–1502. [Google Scholar] [CrossRef] [PubMed]
- Austin, S.A.; Santhanam, A.V.; Hinton, D.J.; Choi, D.S.; Katusic, Z.S. Endothelial Nitric Oxide Deficiency Promotes Alzheimer’s Disease Pathology. J. Neurochem. 2013, 127, 691–700. [Google Scholar] [CrossRef] [PubMed]
- Austin, S.A.; Katusic, Z.S. Partial Loss of Endothelial Nitric Oxide Leads to Increased Cerebrovascular Beta Amyloid. J. Cereb. Blood Flow Metab. 2019, 40, 392–403. [Google Scholar] [CrossRef]
- Austin, S.A.; Katusic, Z.S. Loss of Endothelial Nitric Oxide Synthase Promotes p25 Generation and Tau Phosphorylation in a Murine Model of Alzheimer’s Disease. Circ. Res. 2016, 119, 1128–1134. [Google Scholar] [CrossRef]
- Tan, X.-L.; Xue, Y.-Q.; Ma, T.; Wang, X.; Li, J.J.; Lan, L.; Malik, K.U.; McDonald, M.P.; Dopico, A.M.; Liao, F.-F.J.M.N. Partial eNOS Deficiency Causes Spontaneous Thrombotic Cerebral Infarction, Amyloid Angiopathy and Cognitive Impairment. Mol. Neurodegener. 2015, 10, 24. [Google Scholar] [CrossRef]
- Austin, S.A.; D’Uscio, L.V.; Katusic, Z.S. Supplementation of Nitric Oxide Attenuates AβPP and BACE1 Protein in Cerebral Microcirculation of eNOS-Deficient Mice. J. Alzheimer’s Dis. 2013, 33, 29–33. [Google Scholar] [CrossRef]
- Zlokovic, B.V. Neurovascular Pathways to Neurodegeneration in Alzheimer’s Disease and Other Disorders. Nat. Rev. Neurosci. 2011, 12, 723–738. [Google Scholar] [CrossRef]
- Malm, T.; Koistinaho, J.; Kanninen, K. Utilization of APPswe/PS1dE9 Transgenic Mice in Research of Alzheimer’s Disease: Focus on Gene Therapy and Cell-Based Therapy Applications. Int. J. Alzheimer’s Dis. 2011, 2011, 517160. [Google Scholar] [CrossRef]
- Bergin, D.; Jing, Y.; Mockett, B.; Zhang, H.; Abraham, W.; Liu, P. Altered Plasma Arginine Metabolome Precedes Behavioural and Brain Arginine Metabolomic Profile Changes in the APPswe/PS1ΔE9 Mouse Model of Alzheimer’s Disease. Transl. Psychiatry 2018, 8, 108. [Google Scholar] [CrossRef]
- Hansen, D.V.; Hanson, J.E.; Sheng, M. Microglia in Alzheimer’s Disease. J. Cell Biol. 2018, 217, 459–472. [Google Scholar] [CrossRef]
- Condello, C.; Yuan, P.; Schain, A.; Grutzendler, J. Microglia Constitute a Barrier that Prevents Neurotoxic Protofibrillar Aβ42 Hotspots Around Plaques. Nat. Commun. 2015, 6, 6176. [Google Scholar] [CrossRef] [PubMed]
- Schmitt, U.; Hiemke, C. Combination of Open Field and Elevated Plus-Maze: A Suitable Test Battery to Assess Strain as well as Treatment Differences in Rat Behavior. Prog. Neuropsychopharmacol. Biol. Psychiatry 1998, 22, 1197–1215. [Google Scholar] [CrossRef]
- Komada, M.; Takao, K.; Miyakawa, T. Elevated Plus Maze for Mice. J. Vis. Exp. 2008, 22, 1088. [Google Scholar] [CrossRef] [PubMed]
- Kraeuter, A.-K.; Guest, P.C.; Sarnyai, Z. The Elevated Plus Maze Test for Measuring Anxiety-Like Behavior in Rodents. In Pre-Clinical Models; Humana Press: New York, NY, USA, 2018; Volume 1916, pp. 69–74. [Google Scholar] [CrossRef]
- Kraeuter, A.-K.; Guest, P.C.; Sarnyai, Z. The Y-maze for Assessment of Spatial Working and Reference Memory in Mice. In Pre-Clinical Models: Techniques and Protocols, Methods in Molecular BIOLOGY; Humana Press: New York, NY, USA, 2019; Volume 1916, pp. 105–111. [Google Scholar] [CrossRef]
- Lalonde, R. The Neurobiological Basis of Spontaneous Alternation. Neurosci. Biobehav. Rev. 2002, 26, 91–104. [Google Scholar] [CrossRef]
- Bergin, D.H.; Jing, Y.; Williams, G.; Mockett, B.G.; Zhang, H.; Abraham, W.C.; Liu, P. Safety and Neurochemical Profiles of Acute and Sub-Chronic Oral Treatment with Agmatine Sulfate. Sci. Rep. 2019, 9, 1266. [Google Scholar] [CrossRef]
- Lok, K.; Zhao, H.; Shen, H.; Wang, Z.; Gao, X.; Zhao, W.; Yin, M. Characterization of the APP/PS1 Mouse Model of Alzheimer’s Disease in Senescence Accelerated Background. Neurosci. Lett. 2013, 557, 84–89. [Google Scholar] [CrossRef]
- Webster, S.J.; Bachstetter, A.D.; Van Eldik, L.J. Comprehensive Behavioral Characterization of an APP/PS-1 Double Knock-in Mouse Model of Alzheimer’s Disease. Alzheimer’s Res. Ther. 2013, 5, 28. [Google Scholar] [CrossRef]
- Olesen, L.Ø.; Bouzinova, E.V.; Severino, M.; Sivasaravanaparan, M.; Hasselstrøm, J.B.; Finsen, B.; Wiborg, O. Behavioural Phenotyping of APPswe/PS1δE9 Mice: Age-Related Changes and Effect of Long-Term Paroxetine Treatment. PLoS ONE 2016, 11, e0165144. [Google Scholar] [CrossRef]
- Huang, H.; Nie, S.; Cao, M.; Marshall, C.; Gao, J.; Xiao, N.; Hu, G.; Xiao, M. Characterization of AD-Like Phenotype in Aged APPSwe/PS1dE9 Mice. Age 2016, 38, 303–322. [Google Scholar] [CrossRef]
- Zhang, Y.; Wang, G.; Wang, L.; Zhao, J.; Huang, R.; Xiong, Q. The Short-Term Improvements of Enriched Environment in Behaviors and Pathological Changes of APP/PS1 Mice via Regulating Cytokines. Hum. Vaccines Immunother. 2018, 14, 2003–2011. [Google Scholar] [CrossRef] [PubMed]
- Biallosterski, B.T.; Prickaerts, J.; Rahnama’i, M.S.; De Wachter, S.; Van Koeveringe, G.; Meriaux, C. Changes in Voiding Behavior in a Mouse Model of Alzheimer’s Disease. Front. Aging Neurosci. 2015, 7, 160. [Google Scholar] [CrossRef] [PubMed]
- Hulshof, L.A.; Frajmund, L.A.; van Nuijs, D.; van der Heijden, D.C.; Middeldorp, J.; Hol, E.M. Both Male and Female APPswe/PSEN1dE9 Mice are Impaired in Spatial Memory and Cognitive Flexibility at 9 Months of Age. Neurobiol. Aging 2022, 113, 28–38. [Google Scholar] [CrossRef]
- Morris, R.G.; Garrud, P.; Rawlins, J.a.; O’Keefe, J. Place Navigation Impaired in Rats with Hippocampal Lesions. Nature 1982, 297, 681–683. [Google Scholar] [CrossRef] [PubMed]
- Vemula, P.K.; Jing, Y.; Cicolini, J.; Zhang, H.; Mockett, B.G.; Abraham, W.C.; Liu, P. Altered Brain Arginine Metabolism with Age in the APPswe/PSEN1dE9 Mouse Model of Alzheimer’s Disease. Neurochem. Int. 2020, 140, 104798. [Google Scholar] [CrossRef] [PubMed]
- Jarrard, L.E. On the Role of the Hippocampus in Learning and Memory in the Rat. Behav. Neural Biol. 1993, 60, 9–26. [Google Scholar] [CrossRef]
- Ergorul, C.; Eichenbaum, H. The Hippocampus and Memory for “What”, “Where”, and “When”. Learn. Mem. 2004, 11, 397–405. [Google Scholar] [CrossRef]
- Hyman, B.T.; Van Hoesen, G.W.; Damasio, A.R.; Barnes, C.L. Alzheimer’s Dsease: Cell-Specific Pathology Isolates the Hippocampal Formation. Science 1984, 225, 1168–1170. [Google Scholar] [CrossRef]
- Mavrogiorgou, P.; Gertz, H.-J.; Ferszt, R.; Wolf, R.; Bär, K.-J.; Juckel, G. Are Routine Methods Good Enough to Stain Senile Plaques and Neurofibrillary Tangles in Different Brain Regions of Demented Patients? Psychiatr. Danub. 2011, 23, 334–339. [Google Scholar]
- Šimić, G.; Bogdanović, N. Volume and Number of Neurons of the Human Hippocampal Formation in Normal Aging and Alzheimer’s Disease. J. Comp. Neurol. 1997, 379, 482–494. [Google Scholar] [CrossRef]
- Tanzi, R.E.; Bertram, L. Twenty Years of the Alzheimer’s Disease Amyloid Hypothesis: A Genetic Perspective. Cell 2005, 120, 545–555. [Google Scholar] [CrossRef] [PubMed]
- Sambamurti, K.; Kinsey, R.; Maloney, B.; Ge, Y.-W.; Lahiri, D.K. Gene Structure and Organization of the Human β-secretase (BACE) Promoter. FASEB J. 2004, 18, 1034–1036. [Google Scholar] [CrossRef] [PubMed]
- Berendji-Grün, D.; Kolb-Bachofen, V.; Kröncke, K.-D. Nitric Oxide Inhibits Endothelial IL-1β-Induced ICAM-1 Gene Expression at the Transcriptional Level Decreasing Sp1 and AP-1 Activity. Mol. Med. 2001, 7, 748–754. [Google Scholar] [CrossRef] [PubMed]
- Hongo, F.; Garban, H.; Huerta-Yepez, S.; Vega, M.; Jazirehi, A.R.; Mizutani, Y.; Miki, T.; Bonavida, B. Inhibition of the Transcription Factor Yin Yang 1 Activity by S-Nitrosation. Biochem. Biophys. Res. Commun. 2005, 336, 692–701. [Google Scholar] [CrossRef] [PubMed]
- Lu, Y.-F.; Kandel, E.R.; Hawkins, R.D. Nitric Oxide Signaling Contributes to Late-Phase LTP and CREB Phosphorylation in the Hippocampus. J. Neurosci. 1999, 19, 10250–10261. [Google Scholar] [CrossRef]
- Peng, H.-B.; Libby, P.; Liao, J.K. Induction and Stabilization of IκBα by Nitric Oxide Mediates Inhibition of NF-κB∗. J. Biol. Chem. 1995, 270, 14214–14219. [Google Scholar] [CrossRef]
- Pak, T.; Cadet, P.; Mantione, K.J.; Stefano, G.B. Morphine via Nitric Oxide Modulates β-Amyloid Metabolism: A Novel Protective Mechanism for Alzheimer’s Disease. Med. Sci. Monit. 2005, 11, 357–366. [Google Scholar]
- Kwak, Y.-D.; Wang, R.; Li, J.J.; Zhang, Y.-W.; Xu, H.; Liao, F.-F. Differential Regulation of BACE1 Expression by Oxidative and Nitrosative Signals. Mol. Neurodegener. 2011, 6, 17. [Google Scholar] [CrossRef]
- Kuo, W.-L.; Gehm, B.D.; Rosner, M.R. Regulation of Insulin Degradation: Expression of an Evolutionarily Conserved Insulin-Degrading Enzyme Increases Degradation via an Intracellular Pathway. Mol. Endocrinol. 1991, 5, 1467–1476. [Google Scholar] [CrossRef][Green Version]
- Farris, W.; Mansourian, S.; Chang, Y.; Lindsley, L.; Eckman, E.A.; Frosch, M.P.; Eckman, C.B.; Tanzi, R.E.; Selkoe, D.J.; Guénette, S. Insulin-Degrading Enzyme Regulates the Levels of Insulin, Amyloid β-Protein, and the β-Amyloid Precursor Protein Intracellular Domain in Vivo. Proc. Natl. Acad. Sci. USA 2003, 100, 4162–4167. [Google Scholar] [CrossRef]
- Eckman, E.; Eckman, C. Abeta-Degrading Enzymes: Modulators of Alzheimer’s Disease Pathogene and Targets for Therapeutic Intervention. Biochem. Soc. Trans. 2005, 33, 1101–1105. [Google Scholar] [CrossRef] [PubMed]
- Qiu, W.Q.; Folstein, M.F. Insulin, Insulin-Degrading Enzyme and Amyloid-β Peptide in Alzheimer’s Disease: Review and Hypothesis. Neurobiol. Aging 2006, 27, 190–198. [Google Scholar] [CrossRef] [PubMed]
- Caccamo, A.; Oddo, S.; Sugarman, M.C.; Akbari, Y.; LaFerla, F.M. Age-and Region-Dependent Alterations in Aβ-Degrading Enzymes: Implications for Aβ-Induced Disorders. Neurobiol. Aging 2005, 26, 645–654. [Google Scholar] [CrossRef]
- Vekrellis, K.; Ye, Z.; Qiu, W.Q.; Walsh, D.; Hartley, D.; Chesneau, V.; Rosner, M.R.; Selkoe, D.J. Neurons Regulate Extracellular Levels of Amyloid β-Protein via Proteolysis by Insulin-Degrading Enzyme. J. Neurosci. 2000, 20, 1657–1665. [Google Scholar] [CrossRef] [PubMed]
- Xu, Z.; Xiao, N.; Chen, Y.; Huang, H.; Marshall, C.; Gao, J.; Cai, Z.; Wu, T.; Hu, G.; Xiao, M. Deletion of Aquaporin-4 in APP/PS1 Mice Exacerbates Brain Aβ Accumulation and Memory Deficits. Mol. Neurodegener. 2015, 10, 58. [Google Scholar] [CrossRef]
- Iliff, J.J.; Wang, M.; Liao, Y.; Plogg, B.A.; Peng, W.; Gundersen, G.A.; Benveniste, H.; Vates, G.E.; Deane, R.; Goldman, S.A. A Paravascular Pathway Facilitates CSF Flow Through the Brain Parenchyma and the Clearance of Interstitial Solutes, Including Amyloid β. Sci. Transl. Med. 2012, 4, ra111–ra147. [Google Scholar] [CrossRef]
- Deane, R.; Sagare, A.; Zlokovic, B. The Role of the Cell Surface LRP and Soluble LRP in Blood-Brain Barrier Aβ Clearance in Alzheimer’s Disease. Curr. Pharm. Des. 2008, 14, 1601–1605. [Google Scholar] [CrossRef]
- Donahue, J.E.; Flaherty, S.L.; Johanson, C.E.; Duncan, J.A.; Silverberg, G.D.; Miller, M.C.; Tavares, R.; Yang, W.; Wu, Q.; Sabo, E. RAGE, LRP-1, and Amyloid-Beta protein in Alzheimer’s Disease. Acta Neuropathol. 2006, 112, 405–415. [Google Scholar] [CrossRef]
- Ulery, P.G.; Strickland, D.K. LRP in Alzheimer’s Disease: Friend or Foe? J. Clin. Investig. 2000, 106, 1077–1079. [Google Scholar] [CrossRef][Green Version]
- Kang, D.E.; Pietrzik, C.U.; Baum, L.; Chevallier, N.; Merriam, D.E.; Kounnas, M.Z.; Wagner, S.L.; Troncoso, J.C.; Kawas, C.H.; Katzman, R. Modulation of Amyloid β-Protein Clearance and Alzheimer’s Disease Susceptibility by the LDL Receptor–Related Protein Pathway. J. Clin. Investig. 2000, 106, 1159–1166. [Google Scholar] [CrossRef]
- Ulery, P.G.; Beers, J.; Mikhailenko, I.; Tanzi, R.E.; Rebeck, G.W.; Hyman, B.T.; Strickland, D.K. Modulation of β-Amyloid Precursor Protein Processing by the Low Density Lipoprotein Receptor-Related Protein (LRP): Evidence that LRP Contributes to the Pathogenesis of Alzheimer’s Disease. J. Biol. Chem. 2000, 275, 7410–7415. [Google Scholar] [CrossRef] [PubMed]
- Rebeck, G.W.; Reiter, J.S.; Strickland, D.K.; Hyman, B.T. Apolipoprotein E in Sporadic Alzheimer’s Disease: Allelic Variation and Receptor Interactions. Neuron 1993, 11, 575–580. [Google Scholar] [CrossRef]
- Moestrup, S.K.; Gliemann, J.; Pallesen, G. Distribution of the α2-Macroglobulin Receptor/Low Density Lipoprotein Receptor-Related Protein in Human Tissues. Cell Tissue Res. 1992, 269, 375–382. [Google Scholar] [CrossRef] [PubMed]
- Thal, D.R.; Schober, R.; Birkenmeier, G. The Subunits of α2-Macroglobulin Receptor/Low Density Lipoprotein Receptor-Related Protein, Native and Transformed α2-Macroglobulin and Interleukin 6 in Alzheimer’s Disease. Brain Res. 1997, 777, 223–227. [Google Scholar] [CrossRef]
- Holcomb, L.; Gordon, M.N.; McGowan, E.; Yu, X.; Benkovic, S.; Jantzen, P.; Wright, K.; Saad, I.; Mueller, R.; Morgan, D.; et al. Accelerated Alzheimer-Type Phenotype in Transgenic Mice Carrying Both Mutant Amyloid Precursor Protein and Presenilin 1 Transgenes. Nat. Med. 1998, 4, 97–100. [Google Scholar] [CrossRef] [PubMed]
- Ruan, L.; Kang, Z.; Pei, G.; Le, Y. Amyloid Deposition and Inflammation in APPswe/PS1dE9 Mouse Model of Alzheimer’s Disease. Curr. Alzheimer Res. 2009, 6, 531–540. [Google Scholar] [CrossRef] [PubMed]
- Zhu, S.; Wang, J.; Zhang, Y.; He, J.; Kong, J.; Wang, J.F.; Li, X.M. The Role of Neuroinflammation and Amyloid in Cognitive Impairment in an APP/PS1 Transgenic Mouse Model of Alzheimer’s Disease. CNS Neurosci. Ther. 2017, 23, 310–320. [Google Scholar] [CrossRef]
- Meyer-Luehmann, M.; Spires-Jones, T.L.; Prada, C.; Garcia-Alloza, M.; De Calignon, A.; Rozkalne, A.; Koenigsknecht-Talboo, J.; Holtzman, D.M.; Bacskai, B.J.; Hyman, B.T. Rapid Appearance and Local Toxicity of Amyloid-β Plaques in a Mouse Model of Alzheimer’s Disease. Nature 2008, 451, 720–724. [Google Scholar] [CrossRef]
- Stefano, G.B.; Kim, E.; Liu, Y.; Zhu, W.; Casares, F.; Mantione, K.; Jones, D.A.; Cadet, P. Nitric Oxide Modulates Microglial Activation. Med. Sci. Monit. 2004, 10, BR17-22. [Google Scholar]
- Duan, Y.; Haugabook, S.J.; Sahley, C.L.; Muller, K.J. Methylene Blue Blocks cGMP Production and Disrupts Directed Migration of Microglia to Nerve Lesions in the Leech CNS. J. Neurobiol. 2003, 57, 183–192. [Google Scholar] [CrossRef]
- Ohsawa, K.; Imai, Y.; Kanazawa, H.; Sasaki, Y.; Kohsaka, S. Involvement of Iba1 in Membrane Ruffling and Phagocytosis of Macrophages/Microglia. J. Cell Sci. 2000, 113, 3073–3084. [Google Scholar] [CrossRef] [PubMed]
- Sasaki, Y.; Ohsawa, K.; Kanazawa, H.; Kohsaka, S.; Imai, Y. Iba1 is an Actin-Cross-Linking Protein in Macrophages/Microglia. Biochem. Biophys. Res. Commun. 2001, 286, 292–297. [Google Scholar] [CrossRef] [PubMed]
- Chistiakov, D.A.; Killingsworth, M.C.; Myasoedova, V.A.; Orekhov, A.N.; Bobryshev, Y.V. CD68/Macrosialin: Not Just a Histochemical Marker. Lab. Investig. 2017, 97, 4–13. [Google Scholar] [CrossRef] [PubMed]
- Hendrickx, D.A.; van Eden, C.G.; Schuurman, K.G.; Hamann, J.; Huitinga, I. Staining of HLA-DR, Iba1 and CD68 in Human Microglia Reveals Partially Overlapping Expression Depending on Cellular Morphology and Pathology. J. Neuroimmunol. 2017, 309, 12–22. [Google Scholar] [CrossRef]
- Minett, T.; Classey, J.; Matthews, F.E.; Fahrenhold, M.; Taga, M.; Brayne, C.; Ince, P.G.; Nicoll, J.A.; Boche, D. Microglial Immunophenotype in Dementia with Alzheimer’s Pathology. J. Neuroinflamm. 2016, 13, 135. [Google Scholar] [CrossRef]
- Jiao, S.-S.; Bu, X.-L.; Liu, Y.-H.; Zhu, C.; Wang, Q.-H.; Shen, L.-L.; Liu, C.-H.; Wang, Y.-R.; Yao, X.-Q.; Wang, Y.-J. Sex Dimorphism Profile of Alzheimer’s Disease-Type Pathologies in an APP/PS1 Mouse Model. Neurotox. Res. 2016, 29, 256–266. [Google Scholar] [CrossRef] [PubMed]
- Ahmad, F.; Mein, H.; Jing, Y.; Zhang, H.; Liu, P. Behavioural Functions and Cerebral Blood Flow in a P301S Tauopathy Mouse Model: A Time-Course Study. Int. J. Mol. Sci. 2021, 22, 9727. [Google Scholar] [CrossRef]
- Hariharan, A.; Jing, Y.; Collie, N.D.; Zhang, H.; Liu, P. Altered Neurovascular Coupling and Brain Arginine Metabolism in Endothelial Nitric Oxide Synthase Deficient Mice. Nitric Oxide 2019, 87, 60–72. [Google Scholar] [CrossRef]
- Paxinos, G.; Franklin, K.B. Paxinos and Franklin’s the Mouse Brain in Stereotaxic Coordinates; Academic Press: Cambridge, MA, USA, 2019. [Google Scholar]
- Tan, V.T.; Mockett, B.G.; Ohline, S.M.; Parfitt, K.D.; Wicky, H.E.; Peppercorn, K.; Schoderboeck, L.; Yahaya, M.F.B.; Tate, W.P.; Hughes, S.M. Lentivirus-Mediated Expression of Human Secreted Amyloid Precursor Protein-Alpha Prevents Development of Memory and Plasticity Deficits in a Mouse Model of Alzheimer’s Disease. Mol. Brain 2018, 11, 7. [Google Scholar] [CrossRef]








Publisher’s Note: MDPI stays neutral with regard to jurisdictional claims in published maps and institutional affiliations. |
© 2022 by the authors. Licensee MDPI, Basel, Switzerland. This article is an open access article distributed under the terms and conditions of the Creative Commons Attribution (CC BY) license (https://creativecommons.org/licenses/by/4.0/).
Share and Cite
Ahmed, S.; Jing, Y.; Mockett, B.G.; Zhang, H.; Abraham, W.C.; Liu, P. Partial Endothelial Nitric Oxide Synthase Deficiency Exacerbates Cognitive Deficit and Amyloid Pathology in the APPswe/PS1ΔE9 Mouse Model of Alzheimer’s Disease. Int. J. Mol. Sci. 2022, 23, 7316. https://doi.org/10.3390/ijms23137316
Ahmed S, Jing Y, Mockett BG, Zhang H, Abraham WC, Liu P. Partial Endothelial Nitric Oxide Synthase Deficiency Exacerbates Cognitive Deficit and Amyloid Pathology in the APPswe/PS1ΔE9 Mouse Model of Alzheimer’s Disease. International Journal of Molecular Sciences. 2022; 23(13):7316. https://doi.org/10.3390/ijms23137316
Chicago/Turabian StyleAhmed, Sara, Yu Jing, Bruce G. Mockett, Hu Zhang, Wickliffe C. Abraham, and Ping Liu. 2022. "Partial Endothelial Nitric Oxide Synthase Deficiency Exacerbates Cognitive Deficit and Amyloid Pathology in the APPswe/PS1ΔE9 Mouse Model of Alzheimer’s Disease" International Journal of Molecular Sciences 23, no. 13: 7316. https://doi.org/10.3390/ijms23137316
APA StyleAhmed, S., Jing, Y., Mockett, B. G., Zhang, H., Abraham, W. C., & Liu, P. (2022). Partial Endothelial Nitric Oxide Synthase Deficiency Exacerbates Cognitive Deficit and Amyloid Pathology in the APPswe/PS1ΔE9 Mouse Model of Alzheimer’s Disease. International Journal of Molecular Sciences, 23(13), 7316. https://doi.org/10.3390/ijms23137316
