Impact of Spatially Heterogeneous Trop-2 Expression on Prognosis in Oral Squamous Cell Carcinoma
Abstract
:1. Introduction
2. Results
2.1. Patients
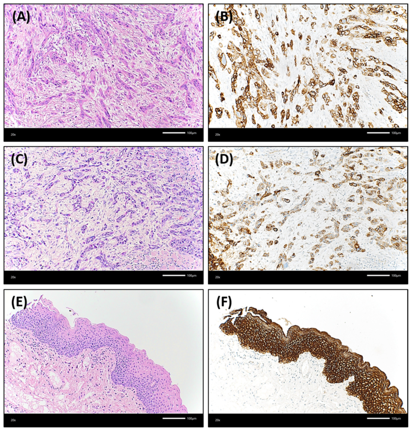
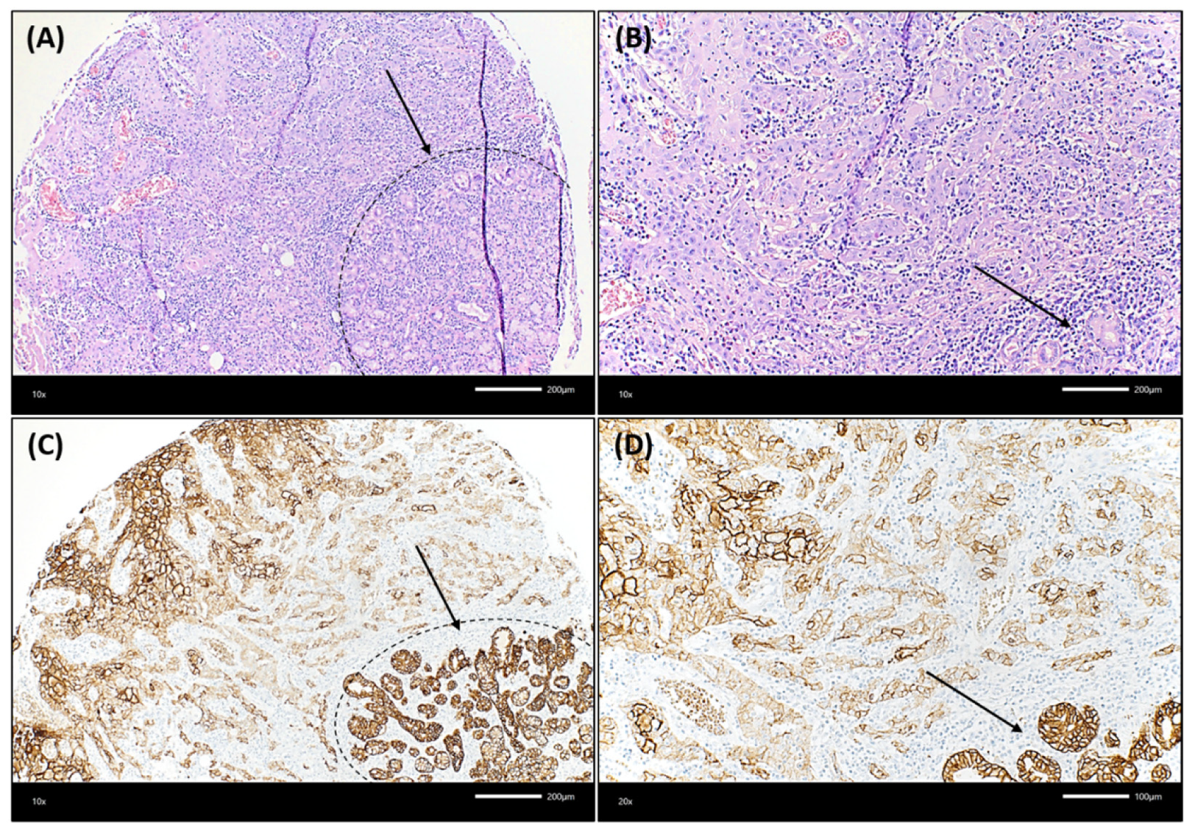
2.2. Trop-2 Expression in OSCC
2.3. Overall Survival
2.4. Recurrence-Free Survival
3. Discussion
4. Materials and Methods
4.1. Patient Selection and Clinical Data
4.2. Tissue Microarray
4.3. Trop-2 Immunohistochemistry
4.4. Statistics
5. Conclusions
Author Contributions
Funding
Institutional Review Board Statement
Informed Consent Statement
Data Availability Statement
Acknowledgments
Conflicts of Interest
References
- Cancer Today. Available online: https://gco.iarc.fr/today/fact-sheets-cancers (accessed on 13 November 2021).
- Warnakulasuriya, S. Global epidemiology of oral and oropharyngeal cancer. Oral Oncol. 2009, 45, 309–316. [Google Scholar] [CrossRef] [PubMed]
- Liu, L.; Chen, J.; Cai, X.; Yao, Z.; Huang, J. Progress in targeted therapeutic drugs for oral squamous cell carcinoma. Surg. Oncol. 2019, 31, 90–97. [Google Scholar] [CrossRef]
- Bennardo, L.; Bennardo, F.; Giudice, A.; Passante, M.; Dastoli, S.; Morrone, P.; Provenzano, E.; Patruno, C.; Nistico, S.P. Local Chemotherapy as an Adjuvant Treatment in Unresectable Squamous Cell Carcinoma: What Do We Know So Far? Curr. Oncol. 2021, 28, 2317–2325. [Google Scholar] [CrossRef] [PubMed]
- Pentangelo, G.; Nistico, S.P.; Provenzano, E.; Cisale, G.Y.; Bennardo, L. Topical 5% Imiquimod Sequential to Surgery for HPV-Related Squamous Cell Carcinoma of the Lip. Medicina 2021, 57, 563. [Google Scholar] [CrossRef] [PubMed]
- Leitlinienprogramm Onkologie (Deutsche Krebsgesellschaft, Deutsche Krebshilfe, AWMF): S3-Leitlinie Diagnostik und Therapie des Mundhöhlenkarzinoms, Langversion 3.0, 2021, AWMF Registernummer: 007/100OL. Available online: https://www.leitlinienprogramm-onkologie.de/leitlinien/mundhoehlenkarzinom/ (accessed on 13 November 2021).
- Machiels, J.P.; René Leemans, C.; Golusinski, W.; Grau, C.; Licitra, L.; Gregoire, V. Squamous cell carcinoma of the oral cavity, larynx, oropharynx and hypopharynx: EHNS–ESMO–ESTRO Clinical Practice Guidelines for diagnosis, treatment and follow-up. Ann. Oncol. 2020, 31, 1462–1475. [Google Scholar] [CrossRef] [PubMed]
- NCBI. Gene: TACSTD2. Available online: https://www.ncbi.nlm.nih.gov/gene/4070 (accessed on 7 October 2021).
- Ripani, E.; Sacchetti, A.; Corda, D.; Alberti, S. Human Trop-2 is a tumor-associated calcium signal transducer. Int. J. Cancer 1998, 76, 671–676. [Google Scholar] [CrossRef]
- Lipinski, M.; Parks, D.R.; Rouse, R.V.; Herzenberg, L.A. Human trophoblast cell-surface antigens defined by monoclonal antibodies. Proc. Natl. Acad. Sci. USA 1981, 78, 5147–5150. [Google Scholar] [CrossRef] [PubMed] [Green Version]
- Stepan, L.P.; Trueblood, E.S.; Hale, K.; Babcook, J.; Borges, L.; Sutherland, C.L. Expression of Trop2 Cell Surface Glycoprotein in Normal and Tumor Tissues: Potential Implications as a Cancer Therapeutic Target. J. Histochem. Cytochem. 2011, 59, 701–710. [Google Scholar] [CrossRef] [Green Version]
- Uhlén, M.; Fagerberg, L.; Hallström, B.M.; Lindskog, C.; Oksvold, P.; Mardinoglu, A.; Sivertsson, Å.; Kampf, C.; Sjöstedt, E.; Asplund, A.; et al. Proteomics. Tissue-based map of the human proteome. Science 2015, 347, 1260419. [Google Scholar] [CrossRef] [PubMed]
- Human Protein Atlas. Available online: http://www.proteinatlas.org (accessed on 13 November 2021).
- Goldenberg, D.M.; Stein, R.; Sharkey, R.M. The emergence of trophoblast cell-surface antigen 2 (TROP-2) as a novel cancer target. Oncotarget 2018, 9, 28989–29006. [Google Scholar] [CrossRef] [Green Version]
- Zeng, P.; Chen, M.-B.; Zhou, L.-N.; Tang, M.; Liu, C.-Y.; Lu, P.-H. Impact of TROP2 expression on prognosis in solid tumors: A Systematic Review and Meta-analysis. Sci. Rep. 2016, 6, 33658. [Google Scholar] [CrossRef] [Green Version]
- Zhang, B.; Gao, S.; Li, R.; Li, Y.; Cao, R.; Cheng, J.; Guo, Y.; Wang, E.; Huang, Y.; Zhang, K. Tissue mechanics and expression of TROP2 in oral squamous cell carcinoma with varying differentiation. BMC Cancer 2020, 20, 815. [Google Scholar] [CrossRef] [PubMed]
- Tang, G.; Tang, Q.; Jia, L.; Xia, S.; Li, J.; Chen, Y.; Li, H.; Ding, X.; Wang, F.; Hou, D.; et al. High expression of TROP2 is correlated with poor prognosis of oral squamous cell carcinoma. Pathol. Res. Pract. 2018, 214, 1606–1612. [Google Scholar] [CrossRef]
- Li, Z.; Jiang, X.; Zhang, W. TROP2 overexpression promotes proliferation and invasion of lung adenocarcinoma cells. Biochem. Biophys. Res. Commun. 2016, 470, 197–204. [Google Scholar] [CrossRef] [PubMed]
- Trerotola, M.; Jernigan, D.L.; Liu, Q.; Siddiqui, J.; Fatatis, A.; Languino, L.R. Trop-2 promotes prostate cancer metastasis by modulating β(1) integrin functions. Cancer Res. 2013, 73, 3155–3167. [Google Scholar] [CrossRef] [PubMed] [Green Version]
- Chen, H.; Wei, F.; Yin, M.; Zhao, Q.; Liu, Z.; Yu, B.; Huang, Z. CD27 enhances the killing effect of CAR T cells targeting trophoblast cell surface antigen 2 in the treatment of solid tumors. Cancer Immunol. Immunother. 2021, 70, 2059–2071. [Google Scholar] [CrossRef]
- Bardia, A.; Mayer, I.A.; Vahdat, L.T.; Tolaney, S.M.; Isakoff, S.J.; Diamond, J.R.; O’Shaughnessy, J.; Moroose, R.L.; Santin, A.D.; Abramson, V.G.; et al. Sacituzumab Govitecan-hziy in Refractory Metastatic Triple-Negative Breast Cancer. N. Engl. J. Med. 2019, 380, 741–751. [Google Scholar] [CrossRef]
- Starodub, A.N.; Ocean, A.J.; Shah, M.A.; Guarino, M.J.; Picozzi, V.J.; Vahdat, L.T.; Thomas, S.S.; Govindan, S.V.; Maliakal, P.P.; Wegener, W.A.; et al. First-in-Human Trial of a Novel Anti-Trop-2 Antibody-SN-38 Conjugate, Sacituzumab Govitecan, for the Treatment of Diverse Metastatic Solid Tumors. Clin. Cancer Res. 2015, 21, 3870–3878. [Google Scholar] [CrossRef] [Green Version]
- FDA Grants Regular Approval to Sacituzumab Govitecan for Triple-Negative Breast Cancer. Available online: https://www.fda.gov/drugs/resources-information-approved-drugs/fda-grants-regular-approval-sacituzumab-govitecan-triple-negative-breast-cancer (accessed on 9 September 2021).
- Bardia, A.; Hurvitz, S.A.; Tolaney, S.M.; Loirat, D.; Punie, K.; Oliveira, M.; Brufsky, A.; Sardesai, S.D.; Kalinsky, K.; Zelnak, A.B.; et al. Sacituzumab Govitecan in Metastatic Triple-Negative Breast Cancer. N. Engl. J. Med. 2021, 384, 1529–1541. [Google Scholar] [CrossRef]
- Clinical Trials.gov, Study of Sacituzumab Govitecan-hziy (IMMU-132) in Adults with Epithelial Cancer. Available online: https://clinicaltrials.gov/ct2/show/NCT01631552 (accessed on 13 November 2021).
- Ocean, A.J.; Starodub, A.N.; Bardia, A.; Vahdat, L.T.; Isakoff, S.J.; Guarino, M.; Messersmith, W.A.; Picozzi, V.J.; Mayer, I.A.; Wegener, W.A.; et al. Sacituzumab govitecan (IMMU-132), an anti-Trop-2-SN-38 antibody-drug conjugate for the treatment of diverse epithelial cancers: Safety and pharmacokinetics. Cancer 2017, 123, 3843–3854. [Google Scholar] [CrossRef] [Green Version]
- Sung, H.; Ferlay, J.; Siegel, R.L.; Laversanne, M.; Soerjomataram, I.; Jemal, A.; Bray, F. Global Cancer Statistics 2020: GLOBOCAN Estimates of Incidence and Mortality Worldwide for 36 Cancers in 185 Countries. CA Cancer J. Clin. 2021, 71, 209–249. [Google Scholar] [CrossRef] [PubMed]
- Birrer, M.J.; Moore, K.N.; Betella, I.; Bates, R.C. Antibody-Drug Conjugate-Based Therapeutics: State of the Science. J. Natl. Cancer Inst. 2019, 111, 538–549. [Google Scholar] [CrossRef]
- Perrotti, V.; Caponio, V.C.A.; Mascitti, M.; Lo Muzio, L.; Piattelli, A.; Rubini, C.; Capone, E.; Sala, G. Therapeutic Potential of Antibody-Drug Conjugate-Based Therapy in Head and Neck Cancer: A Systematic Review. Cancers 2021, 13, 3126. [Google Scholar] [CrossRef]
- Bardia, A.; Tolaney, S.M.; Punie, K.; Loirat, D.; Oliveira, M.; Kalinsky, K.; Zelnak, A.; Aftimos, P.; Dalenc, F.; Sardesai, S.; et al. Biomarker analyses in the phase III ASCENT study of sacituzumab govitecan versus chemotherapy in patients with metastatic triple-negative breast cancer. Ann. Oncol. 2021, 32, 1148–1156. [Google Scholar] [CrossRef]
- Camp, R.L.; Dolled-Filhart, M.; Rimm, D.L. X-tile: A new bio-informatics tool for biomarker assessment and outcome-based cut-point optimization. Clin Cancer Res. 2004, 10, 7252–7259. [Google Scholar] [CrossRef] [Green Version]
- Wang, F.; Liu, X.; Yang, P.; Guo, L.; Liu, C.; Li, H.; Long, S.; Shen, Y.; Wan, H. Loss of TACSTD2 contributed to squamous cell carcinoma progression through attenuating TAp63-dependent apoptosis. Cell Death Dis. 2014, 5, e1133. [Google Scholar] [CrossRef] [PubMed] [Green Version]
- Fong, D.; Spizzo, G.; Gostner, J.M.; Gastl, G.; Moser, P.; Krammel, C.; Gerhard, S.; Rasse, M.; Laimer, K. TROP2: A novel prognostic marker in squamous cell carcinoma of the oral cavity. Mod. Pathol. 2008, 21, 186–191. [Google Scholar] [CrossRef]
- Remmele, W.; Stegner, H.E. Recommendation for uniform definition of an immunoreactive score (IRS) for immunohistochemical estrogen receptor detection (ER-ICA) in breast cancer tissue. Pathologe 1987, 8, 138–140. [Google Scholar]
- Chai, A.W.Y.; Yee, P.S.; Price, S.; Yee, S.M.; Lee, H.M.; Tiong, V.K.; Gonçalves, E.; Behan, F.M.; Bateson, J.; Gilbert, J.; et al. Genome-wide CRISPR screens of oral squamous cell carcinoma reveal fitness genes in the Hippo pathway. Elife 2020, 9, e57761. [Google Scholar] [CrossRef] [PubMed]
- Lenárt, S.; Lenárt, P.; Šmarda, J.; Remšík, J.; Souček, K.; Beneš, P. Trop2: Jack of All Trades, Master of None. Cancers 2020, 12, 3328. [Google Scholar] [CrossRef] [PubMed]
- Sin, S.T.K.; Li, Y.; Liu, M.; Yuan, Y.F.; Ma, S.; Guan, X.Y. Down-regulation of TROP-2 Predicts Poor Prognosis of Hepatocellular Carcinoma Patients. Hepatol. Commun. 2018, 2, 1408–1414. [Google Scholar] [CrossRef] [PubMed] [Green Version]
- Ambrogi, F.; Fornili, M.; Boracchi, P.; Trerotola, M.; Relli, V.; Simeone, P.; La Sorda, R.; Lattanzio, R.; Querzoli, P.; Pedriali, M.; et al. Trop-2 Is a Determinant of Breast Cancer Survival. PLoS ONE 2014, 9, e96993. [Google Scholar] [CrossRef] [PubMed] [Green Version]
- Wang, J.; Zhang, K.; Grabowska, D.; Li, A.; Dong, Y.; Day, R.; Humphrey, P.; Lewis, J.; Kladney, R.D.; Arbeit, J.M.; et al. Loss of Trop2 promotes carcinogenesis and features of epithelial to mesenchymal transition in squamous cell carcinoma. Mol. Cancer Res. MCR 2011, 9, 1686–1695. [Google Scholar] [CrossRef] [PubMed] [Green Version]
- Remšík, J.; Binó, L.; Kahounová, Z.; Kharaishvili, G.; Šimecková, Š.; Fedr, R.; Kucírková, T.; Lenárt, S.; Muresan, X.M.; Slabáková, E.; et al. Trop-2 plasticity is controlled by epithelial-to-mesenchymal transition. Carcinogenesis 2018, 39, 1411–1418. [Google Scholar] [CrossRef]
- Tang, G.; Tang, Q.; Jia, L.; Chen, Y.; Lin, L.; Kuai, X.; Gong, A.; Feng, Z. TROP2 increases growth and metastasis of human oral squamous cell carcinoma through activation of the PI3K/Akt signaling pathway. Int. J. Mol. Med. 2019, 44, 2161–2170. [Google Scholar] [CrossRef] [Green Version]
- Gospodarowicz, M.K.; Sobin, L.H.; Wittekind, C. TNM Classification of Malignant Tumours; Wiley-Blackwell: Chichester, UK, 2010. [Google Scholar]
- Charlson, M.E.; Pompei, P.; Ales, K.L.; MacKenzie, C.R. A new method of classifying prognostic comorbidity in longitudinal studies: Development and validation. J. Chronic Dis. 1987, 40, 373–383. [Google Scholar] [CrossRef]
- Kononen, J.; Bubendorf, L.; Kallioniemi, A.; Barlund, M.; Schraml, P.; Leighton, S.; Torhorst, J.; Mihatsch, M.J.; Sauter, G.; Kallioniemi, O.P. Tissue microarrays for high-throughput molecular profiling of tumor specimens. Nat. Med. 1998, 4, 844–847. [Google Scholar] [CrossRef]
- Spanier, G.; Ugele, I.; Nieberle, F.; Symeou, L.; Schmidhofer, S.; Brand, A.; Meier, J.; Spoerl, S.; Krupar, R.; Rummele, P.; et al. The predictive power of CD3(+) T cell infiltration of oral squamous cell tumors is limited to non-diabetic patients. Cancer Lett. 2021, 499, 209–219. [Google Scholar] [CrossRef]
- Fahlbusch, F.B.; Ruebner, M.; Huebner, H.; Volkert, G.; Bartunik, H.; Winterfeld, I.; Hartner, A.; Menendez-Castro, C.; Noegel, S.C.; Marek, I.; et al. Trophoblast expression dynamics of the tumor suppressor gene gastrokine 2. Histochem. Cell Biol. 2015, 144, 281–291. [Google Scholar] [CrossRef]
- Zhao, W.; Kuai, X.; Zhou, X.; Jia, L.; Wang, J.; Yang, X.; Tian, Z.; Wang, X.; Lv, Q.; Wang, B.; et al. Trop2 is a potential biomarker for the promotion of EMT in human breast cancer. Oncol. Rep. 2018, 40, 759–766. [Google Scholar] [CrossRef] [Green Version]
- Huang, H.; Groth, J.; Sossey-Alaoui, K.; Hawthorn, L.; Beall, S.; Geradts, J. Aberrant Expression of Novel and Previously Described Cell Membrane Markers in Human Breast Cancer Cell Lines and Tumors. Clin. Cancer Res. 2005, 11, 4357–4364. [Google Scholar] [CrossRef] [Green Version]
- Goldenberg, D.M.; Cardillo, T.M.; Govindan, S.V.; Rossi, E.A.; Sharkey, R.M. Trop-2 is a novel target for solid cancer therapy with sacituzumab govitecan (IMMU-132), an antibody-drug conjugate (ADC). Oncotarget 2015, 6, 22496–22512. [Google Scholar] [CrossRef] [PubMed] [Green Version]
- The Human Protein Atlas, TACSTD2. Available online: https://www.proteinatlas.org/ENSG00000184292-TACSTD2/tissue (accessed on 26 November 2021).
- McCarty, K., Jr.; Miller, L.; Cox, E.; Konrath, J.; McCarty, K., Sr. Estrogen receptor analyses. Correlation of biochemical and immunohistochemical methods using monoclonal antireceptor antibodies. Arch. Pathol. Lab. Med. 1985, 109, 716–721. [Google Scholar]
- Numata, M.; Morinaga, S.; Watanabe, T.; Tamagawa, H.; Yamamoto, N.; Shiozawa, M.; Nakamura, Y.; Kameda, Y.; Okawa, S.; Rino, Y.; et al. The clinical significance of SWI/SNF complex in pancreatic cancer. Int. J. Oncol. 2013, 42, 403–410. [Google Scholar] [CrossRef] [PubMed]
- Grambsch, P.M.; Therneau, T.M. Proportional Hazards Tests and Diagnostics Based on Weighted Residuals. Biometrika 1994, 81, 515–526. [Google Scholar] [CrossRef]







| Trop-2 IHC Expression | ||||||
|---|---|---|---|---|---|---|
| Central Low and/or Peripheral High | Central High and Peripheral Low | χ2 | ||||
| N | % | N | % | p | ||
| Sex | Female | 37 | 84.1% | 7 | 15.9% | 0.309 |
| Male | 89 | 76.7% | 27 | 23.3% | ||
| Age at diagnosis | <50 | 20 | 80.0% | 5 | 20.0% | 0.773 |
| 50.0–59.9 | 44 | 81.5% | 10 | 18.5% | ||
| 60.0–69.9 | 31 | 72.1% | 12 | 27.9% | ||
| 70.0–79.9 | 24 | 80.0% | 6 | 20.0% | ||
| 80.0+ | 7 | 87.5% | 1 | 12.5% | ||
| Positive anamnesis smoking | No | 26 | 78.8% | 7 | 21.2% | 0.995 |
| Yes | 100 | 78.7% | 27 | 21.3% | ||
| Positive anamnesis alcohol | No | 35 | 81.4% | 8 | 18.6% | 0.620 |
| Yes | 91 | 77.8% | 26 | 22.2% | ||
| Age-adjusted Charlson Comorbidity index | 0 | 10 | 83.3% | 2 | 16.7% | 0.714 |
| 1 | 25 | 75.8% | 8 | 24.2% | ||
| 2 | 25 | 89.3% | 3 | 10.7% | ||
| 3 | 25 | 73.5% | 9 | 26.5% | ||
| 4 | 15 | 75.0% | 5 | 25.0% | ||
| 5+ | 26 | 78.8% | 7 | 21.2% | ||
| ASA class | I | 7 | 77.8% | 2 | 22.2% | 0.549 |
| II | 54 | 75.0% | 18 | 25.0% | ||
| III | 65 | 82.3% | 14 | 17.7% | ||
| IV | 0 | 0.0% | 0 | 0.0% | ||
| Anatomical site | Buccal mucosa | 14 | 82.4% | 3 | 17.6% | 0.759 |
| Upper alveolus and gingiva | 5 | 71.4% | 2 | 28.6% | ||
| Lower alveolus and gingiva | 26 | 70.3% | 11 | 29.7% | ||
| Hard palate | 6 | 85.7% | 1 | 14.3% | ||
| Tongue | 15 | 83.3% | 3 | 16.7% | ||
| Floor of mouth | 60 | 81.1% | 14 | 18.9% | ||
| Tumor size | T1 | 34 | 82.9% | 7 | 17.1% | 0.194 |
| T2 | 54 | 84.4% | 10 | 15.6% | ||
| T3 | 7 | 70.0% | 3 | 30.0% | ||
| T4 | 31 | 68.9% | 14 | 31.1% | ||
| Cervical lymph node metastasis | N0 | 66 | 81.5% | 15 | 18.5% | 0.442 |
| N1 | 26 | 81.3% | 6 | 18.8% | ||
| N2/3 | 34 | 72.3% | 13 | 27.7% | ||
| Grading | G1 | 6 | 100.0% | 0 | 0.0% | 0.361 |
| G2 | 105 | 77.2% | 31 | 22.8% | ||
| G3/4 | 15 | 83.3% | 3 | 16.7% | ||
| UICC stage | I | 20 | 74.1% | 7 | 25.9% | 0.150 |
| II | 28 | 87.5% | 4 | 12.5% | ||
| III | 25 | 89.3% | 3 | 10.7% | ||
| IV | 53 | 72.6% | 20 | 27.4% | ||
| Adjuvant therapy | No | 54 | 79.4% | 14 | 20.6% | 0.068 |
| Radiotherapy | 55 | 84.6% | 10 | 15.4% | ||
| Radiochemotherapy | 17 | 63.0% | 10 | 37.0% | ||
| Death | Alive | 39 | 84.8% | 7 | 15.2% | 0.236 |
| Dead | 87 | 76.3% | 27 | 23.7% | ||
| Death or recurrence | Alive without recurrence | 33 | 84.6% | 6 | 15.4% | 0.303 |
| Death or recurrence | 93 | 76.9% | 28 | 23.1% | ||
| Variable | Category | p | HR | Lower 95%-CI | Upper 95%-CI |
|---|---|---|---|---|---|
| Sex | Female | 1.000 | |||
| Male | 0.266 | 1.335 | 0.802 | 2.220 | |
| Age at diagnosis | ≤70 | 1.000 | |||
| >70 | 0.013 | 1.766 | 1.125 | 2.773 | |
| ASA class | ≤2 | 1.000 | |||
| >2 | <0.001 | 2.146 | 1.453 | 3.170 | |
| Alcohol anamnesis | No | 1.000 | |||
| Yes | 0.647 | 0.891 | 0.543 | 1.461 | |
| Smoking anamnesis | No | 1.000 | |||
| Yes | 0.431 | 0.789 | 0.438 | 1.423 | |
| UICC stage | I | 1.000 | |||
| II | 0.163 | 1.630 | 0.820 | 3.237 | |
| III | 0.127 | 1.727 | 0.856 | 3.487 | |
| IV | 0.013 | 2.110 | 1.170 | 3.804 | |
| Grading | G1 | 1.000 | |||
| G2 | 0.932 | 0.954 | 0.324 | 2.808 | |
| G3/4 | 0.877 | 1.101 | 0.327 | 3.707 | |
| Trop-2 expression profile | Central low and/or peripheral high | 1.000 | |||
| Central high and peripheral low | 0.013 | 1.802 | 1.134 | 2.864 |
| Variable | Category | p | HR | Lower 95%-CI | Upper 95%-CI |
|---|---|---|---|---|---|
| Gender | Female | 1.000 | |||
| Male | 0.268 | 1.329 | 0.803 | 2.201 | |
| Age at diagnosis | ≤70 | 1.000 | |||
| >70 | 0.089 | 1.475 | 0.942 | 2.310 | |
| ASA class | ≤2 | 1.000 | |||
| >2 | <0.001 | 2.016 | 1.385 | 2.934 | |
| Alcohol anamnesis | No | 1.000 | |||
| Yes | 0.669 | 0.899 | 0.553 | 1.463 | |
| Smoking anamnesis | No | 1.000 | |||
| Yes | 0.130 | 0.640 | 0.359 | 1.140 | |
| UICC stage | I | 1.000 | |||
| II | 0.492 | 1.264 | 0.648 | 2.465 | |
| III | 0.140 | 1.664 | 0.846 | 3.272 | |
| IV | 0.035 | 1.839 | 1.045 | 3.235 | |
| Grading | G1 | 1.000 | |||
| G2 | 0.798 | 1.150 | 0.394 | 3.361 | |
| G3/4 | 0.531 | 1.470 | 0.441 | 4.9001 | |
| Trop-2 expression profile | Central low and/or peripheral high | 1.000 | |||
| Central high and peripheral low | 0.033 | 1.633 | 1.042 | 2.560 |
Publisher’s Note: MDPI stays neutral with regard to jurisdictional claims in published maps and institutional affiliations. |
© 2021 by the authors. Licensee MDPI, Basel, Switzerland. This article is an open access article distributed under the terms and conditions of the Creative Commons Attribution (CC BY) license (https://creativecommons.org/licenses/by/4.0/).
Share and Cite
Erber, R.; Spoerl, S.; Mamilos, A.; Krupar, R.; Hartmann, A.; Ruebner, M.; Taxis, J.; Wittenberg, M.; Reichert, T.E.; Spanier, G.; et al. Impact of Spatially Heterogeneous Trop-2 Expression on Prognosis in Oral Squamous Cell Carcinoma. Int. J. Mol. Sci. 2022, 23, 87. https://doi.org/10.3390/ijms23010087
Erber R, Spoerl S, Mamilos A, Krupar R, Hartmann A, Ruebner M, Taxis J, Wittenberg M, Reichert TE, Spanier G, et al. Impact of Spatially Heterogeneous Trop-2 Expression on Prognosis in Oral Squamous Cell Carcinoma. International Journal of Molecular Sciences. 2022; 23(1):87. https://doi.org/10.3390/ijms23010087
Chicago/Turabian StyleErber, Ramona, Steffen Spoerl, Andreas Mamilos, Rosemarie Krupar, Arndt Hartmann, Matthias Ruebner, Juergen Taxis, Mareike Wittenberg, Torsten E. Reichert, Gerrit Spanier, and et al. 2022. "Impact of Spatially Heterogeneous Trop-2 Expression on Prognosis in Oral Squamous Cell Carcinoma" International Journal of Molecular Sciences 23, no. 1: 87. https://doi.org/10.3390/ijms23010087
APA StyleErber, R., Spoerl, S., Mamilos, A., Krupar, R., Hartmann, A., Ruebner, M., Taxis, J., Wittenberg, M., Reichert, T. E., Spanier, G., & Spoerl, S. (2022). Impact of Spatially Heterogeneous Trop-2 Expression on Prognosis in Oral Squamous Cell Carcinoma. International Journal of Molecular Sciences, 23(1), 87. https://doi.org/10.3390/ijms23010087

