Two Monoclonal Antibodies That Specifically Recognize Aspergillus Cell Wall Antigens and Can Detect Circulating Antigens in Infected Mice
Abstract
1. Introduction
2. Results
2.1. mAbs Reactivity and Specificity
2.1.1. ELISA
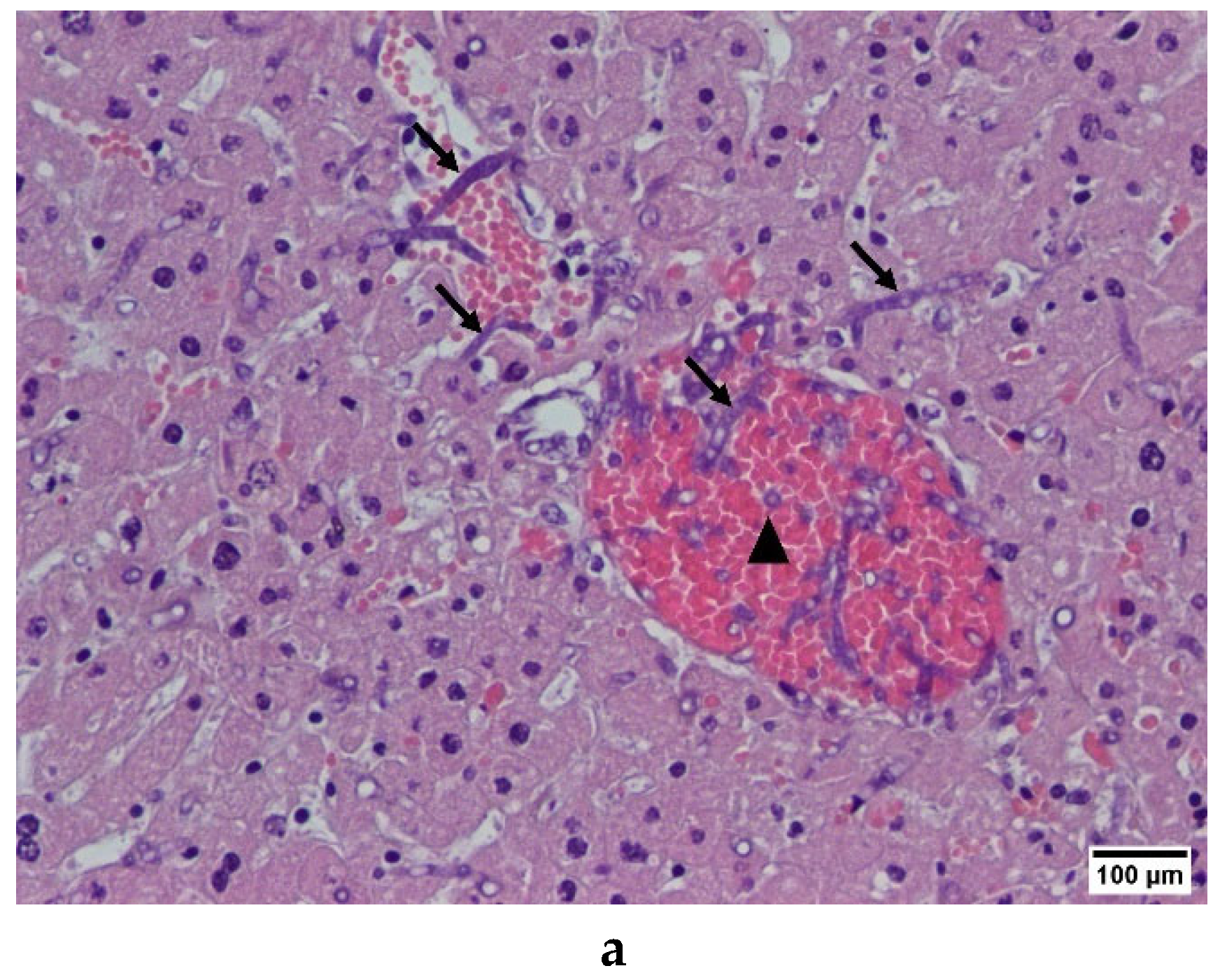
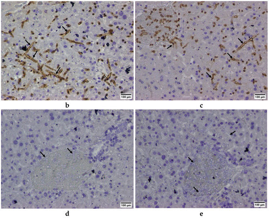
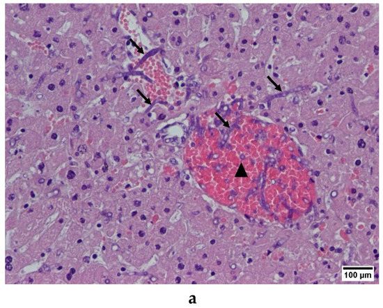
2.1.2. Immunofluorescence and Immunohistochemistry
2.2. Characterization of Antigens Recognized by mAbs 1D2 and 4E4
2.3. Development of Antibody-Based Antigen Capture Double-Sandwich ELISA
2.3.1. Optimization of the Double-Sandwich ELISA
2.3.2. The Application of Monoclonal Antibody-Based Antigen-Capture Double-Sandwich ELISA
3. Discussion
4. Materials and Methods
4.1. Microorganism Strains and Culture Conditions
4.2. Preparation of A. fumigatus Conidia Suspension
4.3. Preparation of Aspergillus Cell Surface Antigens and Extracellular Antigens
4.4. The Production and Screening of mAbs (1D2 and 4E4) against A. fumigatus Cell Wall Antigen Extracts
4.5. Monoclonal Antibodies Purification and Biotinylation
4.6. Enzyme-Linked Immunosorbent Assays (ELISAs)
4.6.1. Monoclonal Antibodies Reactivities to A. fumigatus Antigens
4.6.2. Characterization of Antigen Epitopes Recognized by Monoclonal Antibodies
4.6.3. Development of Antibody-Based Antigen Capture Double-Sandwich ELISA
4.7. Western Blotting
4.8. Immunofluorescence
4.9. Immunohistochemical Staining
4.10. Establishment of Invasive Aspergillosis Mouse Model
4.11. Statistical Analysis
Supplementary Materials
Author Contributions
Funding
Institutional Review Board Statement
Informed Consent Statement
Data Availability Statement
Acknowledgments
Conflicts of Interest
Abbreviations
| IA | invasive aspergillosis |
| PCR | polymerase chain reaction |
| EORTC/MSGERC | European Organization for Research and Treatment of Cancer and the Mycoses Study Group Education and Research Consortium |
| GM | galactomannan |
| mAb | monoclonal antibody |
| CWFs | cell wall fragments |
| CWPs | cell wall-related proteins |
| CBB | Coomassie Brilliant Blue |
| PBS | phosphate-buffered saline |
| SDA | PBST: PBS containing 0.1% Tween 20; Sabouraud dextrose agar |
| SDS/PAGE | sodium dodecyl sulphate polyacrylamide gel electrophoresis |
| ELISA | enzyme-linked immunosorbent assays |
| TMB | tetramethybenzidine |
| TBS | tris buffered saline |
References
- Pappas, P.G.; Alexander, B.D.; Andes, D.R.; Hadley, S.; Kauffman, C.A.; Freifeld, A.; Anaissie, E.J.; Brumble, L.M.; Herwaldt, L.; Ito, J.; et al. Invasive Fungal Infections among Organ Transplant Recipients: Results of the Transplant-Associated Infection Surveillance Network (TRANSNET). Clin. Infect. Dis. 2010, 50, 1101–1111. [Google Scholar] [CrossRef] [PubMed]
- Kuster, S.; Stampf, S.; Gerber, B.; Baettig, V.; Weisser, M.; Gerull, S.; Medinger, M.; Passweg, J.; Schanz, U.; Garzoni, C.; et al. Incidence and outcome of invasive fungal diseases after allogeneic hematopoietic stem cell transplantation: A Swiss transplant cohort study. Transpl. Infect. Dis. 2018, 20, e12981. [Google Scholar] [CrossRef]
- Cornillet, A.; Camus, C.; Nimubona, S.; Gandemer, V.; Tattevin, P.; Belleguic, C.; Chevrier, S.; Meunier, C.; Lebert, C.; Aupée, M.; et al. Comparison of Epidemiological, Clinical, and Biological Features of Invasive Aspergillosis in Neutropenic and Nonneutropenic Patients_ A 6-year Survey. Clin. Infect. Dis. 2006, 43, 577–584. [Google Scholar] [CrossRef]
- Rotjanapan, P.; Chen, Y.C.; Chakrabarti, A.; Li, R.Y.; Rudramurthy, S.M.; Yu, J.; Kung, H.C.; Watcharananan, S.; Tan, A.L.; Saffari, S.E.; et al. Epidemiology and clinical characteristics of invasive mould infections: A multicenter, retrospective analysis in five Asian countries. Med. Mycol. 2018, 56, 186–196. [Google Scholar] [CrossRef]
- McCormick, A.; Loeffler, J.; Ebel, F. Aspergillus fumigatus: Contours of an opportunistic human pathogen. Cell. Microbiol. 2010, 12, 1535–1543. [Google Scholar] [CrossRef] [PubMed]
- Deshmukh, H.; Rambach, G.; Sheppard, D.C.; Lee, M.; Hagleitner, M.; Hermann, M.; Würzner, R.; Lass-Flörl, C.; Speth, C. Galactosaminogalactan secreted from Aspergillus fumigatus and Aspergillus flavus induces platelet activation. Microb. Infect. 2020, 22, 331–339. [Google Scholar] [CrossRef]
- Gerson, S.L.; Talbot, G.H.; Lusk, E.; Hurwitz, S.; Strom, B.L.; Cassileth, P.A. Invasive pulmonary aspergillosis in adult acute leukemia: Clinical clues to its diagnosis. J. Clin. Oncol. 1985, 3, 1109–1116. [Google Scholar] [CrossRef]
- Nucci, M.; Nouer, S.A.; Cappone, D.; Anaissie, E. Early diagnosis of invasive pulmonary aspergillosis in hematologic patients: An opportunity to improve the outcome. Haematologica 2013, 98, 1657–1660. [Google Scholar] [CrossRef]
- Morgan, J.; Wannemuehler, K.A.; Marr, K.A.; Hadley, S.; Kontoyiannis, D.P.; Walsh, T.J.; Fridkin, S.K.; Pappas, P.G.; Warnock, D.W. Incidence of invasive aspergillosis following hematopoietic stem cell and solid organ transplantation: Interim results of a prospective multicenter surveillance program. Med. Mycol. 2005, 43 (Suppl. 1), S49–S58. [Google Scholar] [CrossRef] [PubMed]
- Kousha, M.; Tadi, R.; Soubani, A.O. Pulmonary aspergillosis: A clinical review. Eur. Respir. Rev. 2011, 20, 156–174. [Google Scholar] [CrossRef]
- Maertens, J.; Verhaegen, J.; Demuynck, H.; Brock, P.; Verhoef, G.; Vandenberghe, P.; van Eldere, J.; Verbist, L.; Boogaerts, M. Autopsy-Controlled prospective evaluation of serial screening for circulating galactomannan by a sandwich enzyme-linked immunosorbent assay for hematological patients at risk for invasive aspergillosis. J. Clin. Microbiol. 1999, 37, 3223–3228. [Google Scholar] [CrossRef] [PubMed]
- von Eiff, M.; Zuhlsdorf, M.; Roos, N.; Hesse, M.; Schulten, R.; van de Loo, J. Pulmonary fungal infections in patients with hematological malignancies—Diagnostic approaches. Ann. Hematol. 1995, 70, 135–141. [Google Scholar] [CrossRef] [PubMed]
- Donnelly, J.P.; Chen, S.C.; Kauffman, C.A.; Steinbach, W.J.; Baddley, J.W.; Verweij, P.E.; Clancy, C.J.; Wingard, J.R.; Lockhart, S.R.; Groll, A.H.; et al. Revision and Update of the Consensus Definitions of Invasive Fungal Disease from the European Organization for Research and Treatment of Cancer and the Mycoses Study Group Education and Research Consortium. Clin. Infect. Dis. 2020, 71, 1367–1376. [Google Scholar] [CrossRef]
- Moura, S.; Cerqueira, L.; Almeida, A. Invasive pulmonary aspergillosis: Current diagnostic methodologies and a new molecular approach. Eur. J. Clin. Microbiol. Infect. Dis. 2018, 37, 1393–1403. [Google Scholar] [CrossRef]
- Latgé, J.-P.; Chamilos, G. Aspergillus fumigatus and Aspergillosis in 2019. Clin. Microbiol. Rev. 2019, 33, e00140-18. [Google Scholar] [CrossRef]
- Ullmann, A.J.; Aguado, J.M.; Arikan-Akdagli, S.; Denning, D.W.; Groll, A.H.; Lagrou, K.; Lass-Florl, C.; Lewis, R.E.; Munoz, P.; Verweij, P.E.; et al. Diagnosis and management of Aspergillus diseases: Executive summary of the 2017 ESCMID-ECMM-ERS guideline. Clin. Microbiol. Infect. 2018, 24 (Suppl. 1), e1–e38. [Google Scholar] [CrossRef] [PubMed]
- Bruno, C.; Minniti, S.; Vassanelli, A.; Pozzi-Mucelli, R. Comparison of CT features of Aspergillus and bacterial pneumonia in severely neutropenic patients. J. Thorac. Imaging 2007, 22, 160–165. [Google Scholar] [CrossRef] [PubMed]
- Cadena, J.; Thompson, G.R., 3rd; Patterson, T.F. Invasive Aspergillosis: Current Strategies for Diagnosis and Management. Infect. Dis. Clin. N. Am. 2016, 30, 125–142. [Google Scholar] [CrossRef]
- Patterson, T.F.; Thompson, G.R., 3rd; Denning, D.W.; Fishman, J.A.; Hadley, S.; Herbrecht, R.; Kontoyiannis, D.P.; Marr, K.A.; Morrison, V.A.; Nguyen, M.H.; et al. Practice Guidelines for the Diagnosis and Management of Aspergillosis: 2016 Update by the Infectious Diseases Society of America. Clin. Infect. Dis. 2016, 63, e1–e60. [Google Scholar] [CrossRef]
- Herrera, S.; Husain, S. Current State of the Diagnosis of Invasive Pulmonary Aspergillosis in Lung Transplantation. Front. Microbiol. 2018, 9, 3273. [Google Scholar] [CrossRef] [PubMed]
- Sulahian, A.; Porcher, R.; Bergeron, A.; Touratier, S.; Raffoux, E.; Menotti, J.; Derouin, F.; Ribaud, P. Use and limits of (1-3)-β-d-glucan assay (Fungitell), compared to galactomannan determination (Platelia Aspergillus), for diagnosis of invasive aspergillosis. J. Clin. Microbiol. 2014, 52, 2328–2333. [Google Scholar] [CrossRef]
- Ortiz-Brizuela, E.; Rangel-Cordero, A.; Ponce-de-León, A.; Sierra-Madero, J. False-positive results in the galactomannan Platelia™ Aspergillus assay with generic piperacillin/tazobactam. Rev. Iberoam. Micol. 2019, 36, 51–52. [Google Scholar] [CrossRef]
- Pini, P.; Bettua, C.; Orsi, C.F.; Venturelli, C.; Forghieri, F.; Bigliardi, S.; Faglioni, L.; Luppi, F.; Serio, L.; Codeluppi, M.; et al. Evaluation of serum (1 → 3)-β-D-glucan clinical performance: Kinetic assessment, comparison with galactomannan and evaluation of confounding factors. Infection 2016, 44, 223–233. [Google Scholar] [CrossRef]
- Lionakis, M.S.; Kontoyiannis, D.P. Glucocorticoids and invasive fungal infections. Lancet 2003, 362, 1828–1838. [Google Scholar] [CrossRef]
- Garnacho-Montero, J.; Amaya-Villar, R.; Ortiz-Leyba, C.; Leon, C.; Alvarez-Lerma, F.; Nolla-Salas, J.; Iruretagoyena, J.R.; Barcenilla, F. Isolation of Aspergillus spp. from the respiratory tract in critically ill patients: Risk factors, clinical presentation and outcome. Crit Care 2005, 9, R191–R199. [Google Scholar] [CrossRef] [PubMed]
- Ergun, M.; Bruggemann, R.J.M.; Alanio, A.; Delliere, S.; van Arkel, A.; Bentvelsen, R.G.; Rijpstra, T.; van der Sar-van der Brugge, S.; Lagrou, K.; Janssen, N.A.F.; et al. Aspergillus test profiles and mortality in critically-ill COVID-19 patients. J. Clin. Microbiol. 2021, JCM0122921. [Google Scholar] [CrossRef] [PubMed]
- Dimopoulos, G.; Frantzeskaki, F.; Poulakou, G.; Armaganidis, A. Invasive aspergillosis in the intensive care unit. Ann. N. Y. Acad. Sci. 2012, 1272, 31–39. [Google Scholar] [CrossRef]
- Wang, Z.Y.; Cai, J.P.; Qiu, L.W.; Hao, W.; Pan, Y.X.; Tung, E.T.; Lau, C.C.; Woo, P.C.; Lau, S.K.; Yuen, K.Y.; et al. Development of monoclonal antibody-based galactomannoprotein antigen-capture ELISAs to detect Aspergillus fumigatus infection in the invasive aspergillosis rabbit models. Eur. J. Clin. Microbiol. Infect. Dis. 2012, 31, 2943–2950. [Google Scholar] [CrossRef]
- Schubert, M.; Xue, S.; Ebel, F.; Vaggelas, A.; Krylov, V.B.; Nifantiev, N.E.; Chudobova, I.; Schillberg, S.; Nolke, G. Monoclonal Antibody AP3 Binds Galactomannan Antigens Displayed by the Pathogens Aspergillus flavus, A. fumigatus, and A. parasiticus. Front. Cell Infect. Microbiol. 2019, 9, 234. [Google Scholar] [CrossRef]
- Latge, J.P. Tasting the fungal cell wall. Cell. Microbiol. 2010, 12, 863–872. [Google Scholar] [CrossRef] [PubMed]
- Garcia-Rubio, R.; de Oliveira, H.C.; Rivera, J.; Trevijano-Contador, N. The Fungal Cell Wall: Candida, Cryptococcus, and Aspergillus Species. Front. Microbiol. 2019, 10, 2993. [Google Scholar] [CrossRef] [PubMed]
- Thornton, C.R. Development of an immunochromatographic lateral-flow device for rapid serodiagnosis of invasive aspergillosis. Clin. Vaccine Immunol. 2008, 15, 1095–1105. [Google Scholar] [CrossRef]
- Davies, G.; Rolle, A.M.; Maurer, A.; Spycher, P.R.; Schillinger, C.; Solouk-Saran, D.; Hasenberg, M.; Weski, J.; Fonslet, J.; Dubois, A.; et al. Towards Translational ImmunoPET/MR Imaging of Invasive Pulmonary Aspergillosis: The Humanised Monoclonal Antibody JF5 Detects Aspergillus Lung Infections In Vivo. Theranostics 2017, 7, 3398–3414. [Google Scholar] [CrossRef]
- Fontaine, T.; Latge, J.P. Galactomannan Produced by Aspergillus fumigatus: An Update on the Structure, Biosynthesis and Biological Functions of an Emblematic Fungal Biomarker. J. Fungi 2020, 6, 283. [Google Scholar] [CrossRef] [PubMed]
- Garcia, R.S.; Wheat, L.J.; Cook, A.K.; Kirsch, E.J.; Sykes, J.E. Sensitivity and specificity of a blood and urine galactomannan antigen assay for diagnosis of systemic aspergillosis in dogs. J. Vet. Intern. Med. 2012, 26, 911–919. [Google Scholar] [CrossRef]
- Duettmann, W.; Koidl, C.; Troppan, K.; Seeber, K.; Buzina, W.; Wolfler, A.; Wagner, J.; Krause, R.; Hoenigl, M. Serum and urine galactomannan testing for screening in patients with hematological malignancies. Med. Mycol. 2014, 52, 647–652. [Google Scholar] [CrossRef][Green Version]
- Latge, J.P.; Kobayashi, H.; Debeaupuis, J.P.; Diaquin, M.; Sarfati, J.; Wieruszeski, J.M.; Parra, E.; Bouchara, J.P.; Fournet, B. Chemical and immunological characterization of the extracellular galactomannan of Aspergillus fumigatus. Infect. Immun. 1994, 62, 5424–5433. [Google Scholar] [CrossRef] [PubMed]
- Kielkopf, C.L.; Bauer, W.; Urbatsch, I.L. Bradford Assay for Determining Protein Concentration. Cold Spring Harb. Protoc. 2020, 2020, 102269. [Google Scholar] [CrossRef]
- Lewis, J.G.; Clifford, J.K.; Elder, P.A. Monoclonal antibodies to pregnanediol-3-glucuronide: Application to a direct enzyme-linked immunosorbent assay of urine. Steroids 1990, 55, 314–318. [Google Scholar] [CrossRef]
- Lewis, J.G.; Fredericks, R.; Fee, C.J.; Elder, P.A. Corticosteroid-binding globulin (CBG) reactive centre loop antibodies and surface plasmon resonance interrogate the proposed heat dependent “flip-flop” mechanism of human CBG. J. Steroid Biochem. Mol. Biol. 2016, 158, 38–45. [Google Scholar] [CrossRef]
- Hao, W.; Pan, Y.X.; Ding, Y.Q.; Xiao, S.; Yin, K.; Wang, Y.D.; Qiu, L.W.; Zhang, Q.L.; Woo, P.C.; Lau, S.K.; et al. Well-characterized monoclonal antibodies against cell wall antigen of Aspergillus species improve immunoassay specificity and sensitivity. Clin. Vaccine Immunol. 2008, 15, 194–202. [Google Scholar] [CrossRef] [PubMed]
- Chauvin, D.; Hust, M.; Schutte, M.; Chesnay, A.; Parent, C.; Moreira, G.; Arroyo, J.; Sanz, A.B.; Pugniere, M.; Martineau, P.; et al. Targeting Aspergillus fumigatus Crf Transglycosylases with Neutralizing Antibody Is Relevant but Not Sufficient to Erase Fungal Burden in a Neutropenic Rat Model. Front. Microbiol. 2019, 10, 600. [Google Scholar] [CrossRef] [PubMed]









| Pathogens | Immunofluorescence | |
|---|---|---|
| 1D2 | 4E4 | |
| Aspergillus fumigatus (AF293, hyphae) | ++ | ++ |
| Aspergillus fumigatus (AF293, geminated conidia) | +/− | +/− |
| Aspergillus fumigatus (AF293, resting conidia) | − | − |
| Aspergillus fumigatus (Clinical strain 1) | ++ | ++ |
| Aspergillus fumigatus (Clinical strain 2) | ++ | ++ |
| Aspergillus flavus (hyphae) | ++ | ++ |
| Aspergillus flavus (geminated conidia) | +/− | +/− |
| Aspergillus flavus (resting conidia) | − | − |
| Aspergillus terreus | − | − |
| Aspergillus niger | − | − |
| Cunninghamella bertholletiae | − | − |
| Rhizopus microspores | − | − |
| Candida albicans | − | − |
| Candida dubliniensis | − | − |
| Candida guilliermondii | − | − |
| Candida glabrata | − | − |
| Candida parapsilosis | − | − |
| Candida tropicolis | − | − |
| Candida lusitaniae | − | − |
| mAbs | Inhibition Percentage of the Following Biotin-Labelled mAbs | |
|---|---|---|
| 1D2-Biotin | 4E4-Biotin | |
| 1D2 | 53.06% ± 2.32% | 37.12% ± 3.24% |
| 4E4 | 40.92% ± 2.24% | 44.29% ± 1.82% |
Publisher’s Note: MDPI stays neutral with regard to jurisdictional claims in published maps and institutional affiliations. |
© 2021 by the authors. Licensee MDPI, Basel, Switzerland. This article is an open access article distributed under the terms and conditions of the Creative Commons Attribution (CC BY) license (https://creativecommons.org/licenses/by/4.0/).
Share and Cite
Lian, X.; Chambers, S.; Lewis, J.G.; Scott-Thomas, A.; Bhatia, M. Two Monoclonal Antibodies That Specifically Recognize Aspergillus Cell Wall Antigens and Can Detect Circulating Antigens in Infected Mice. Int. J. Mol. Sci. 2022, 23, 252. https://doi.org/10.3390/ijms23010252
Lian X, Chambers S, Lewis JG, Scott-Thomas A, Bhatia M. Two Monoclonal Antibodies That Specifically Recognize Aspergillus Cell Wall Antigens and Can Detect Circulating Antigens in Infected Mice. International Journal of Molecular Sciences. 2022; 23(1):252. https://doi.org/10.3390/ijms23010252
Chicago/Turabian StyleLian, Xihua, Stephen Chambers, John G. Lewis, Amy Scott-Thomas, and Madhav Bhatia. 2022. "Two Monoclonal Antibodies That Specifically Recognize Aspergillus Cell Wall Antigens and Can Detect Circulating Antigens in Infected Mice" International Journal of Molecular Sciences 23, no. 1: 252. https://doi.org/10.3390/ijms23010252
APA StyleLian, X., Chambers, S., Lewis, J. G., Scott-Thomas, A., & Bhatia, M. (2022). Two Monoclonal Antibodies That Specifically Recognize Aspergillus Cell Wall Antigens and Can Detect Circulating Antigens in Infected Mice. International Journal of Molecular Sciences, 23(1), 252. https://doi.org/10.3390/ijms23010252

