14-3-3η Promotes Invadosome Formation via the FOXO3–Snail Axis in Rheumatoid Arthritis Fibroblast-like Synoviocytes
Abstract
:1. Introduction
2. Results
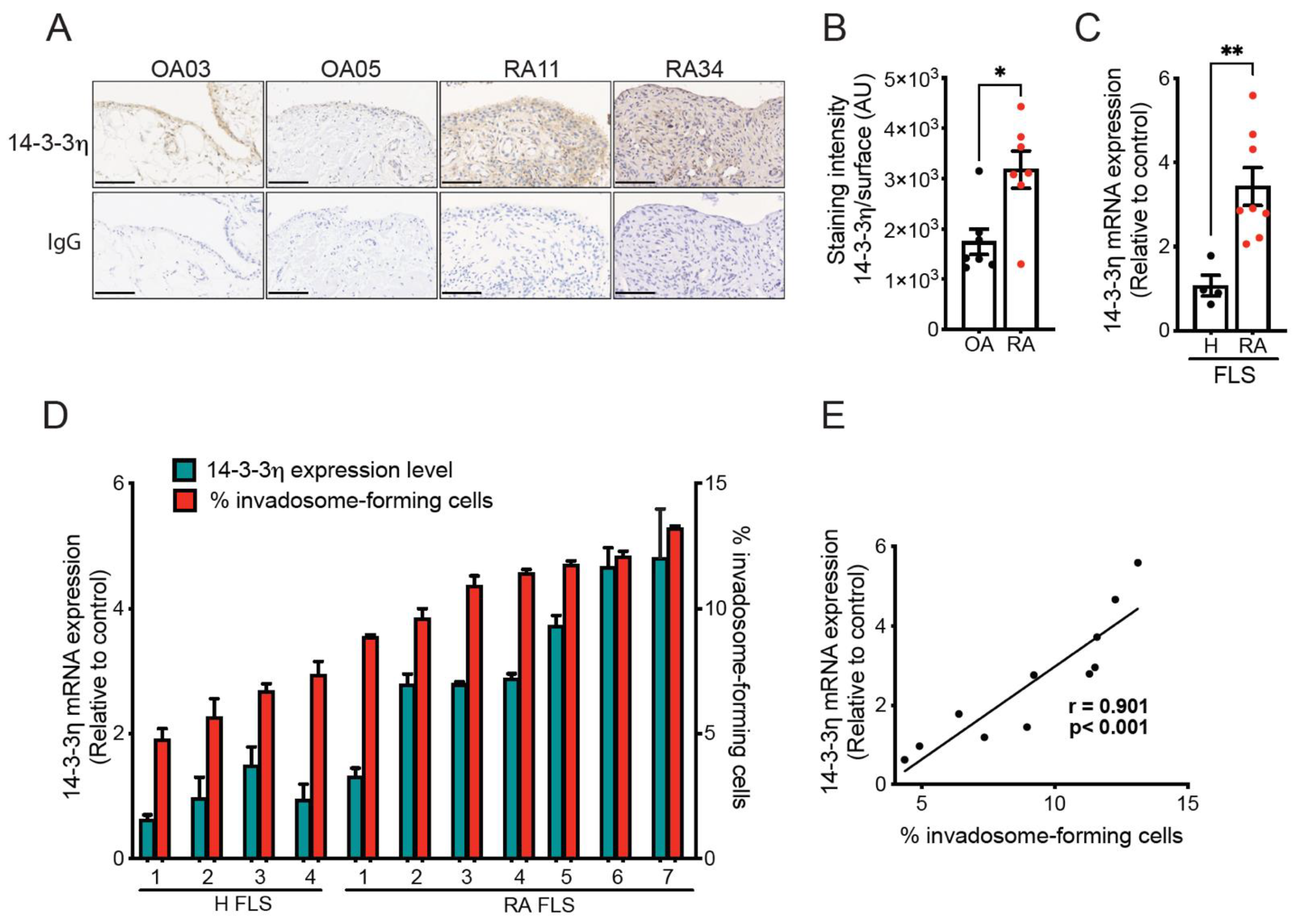
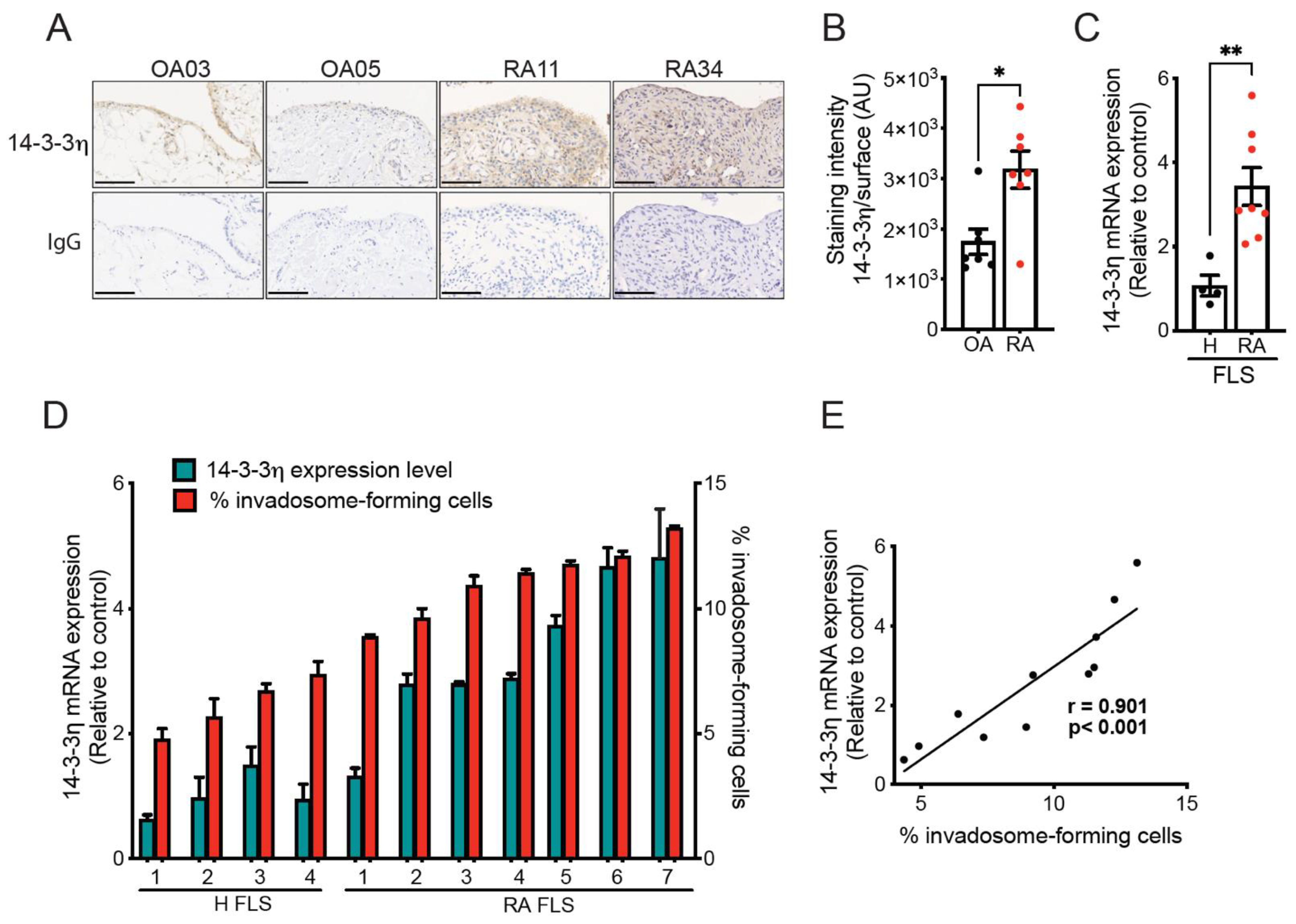
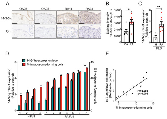
2.1. Increased Expression of 14-3-3η in FLS and Synovial Tissue Sections from RA Patients Correlates with Invadosome Formation
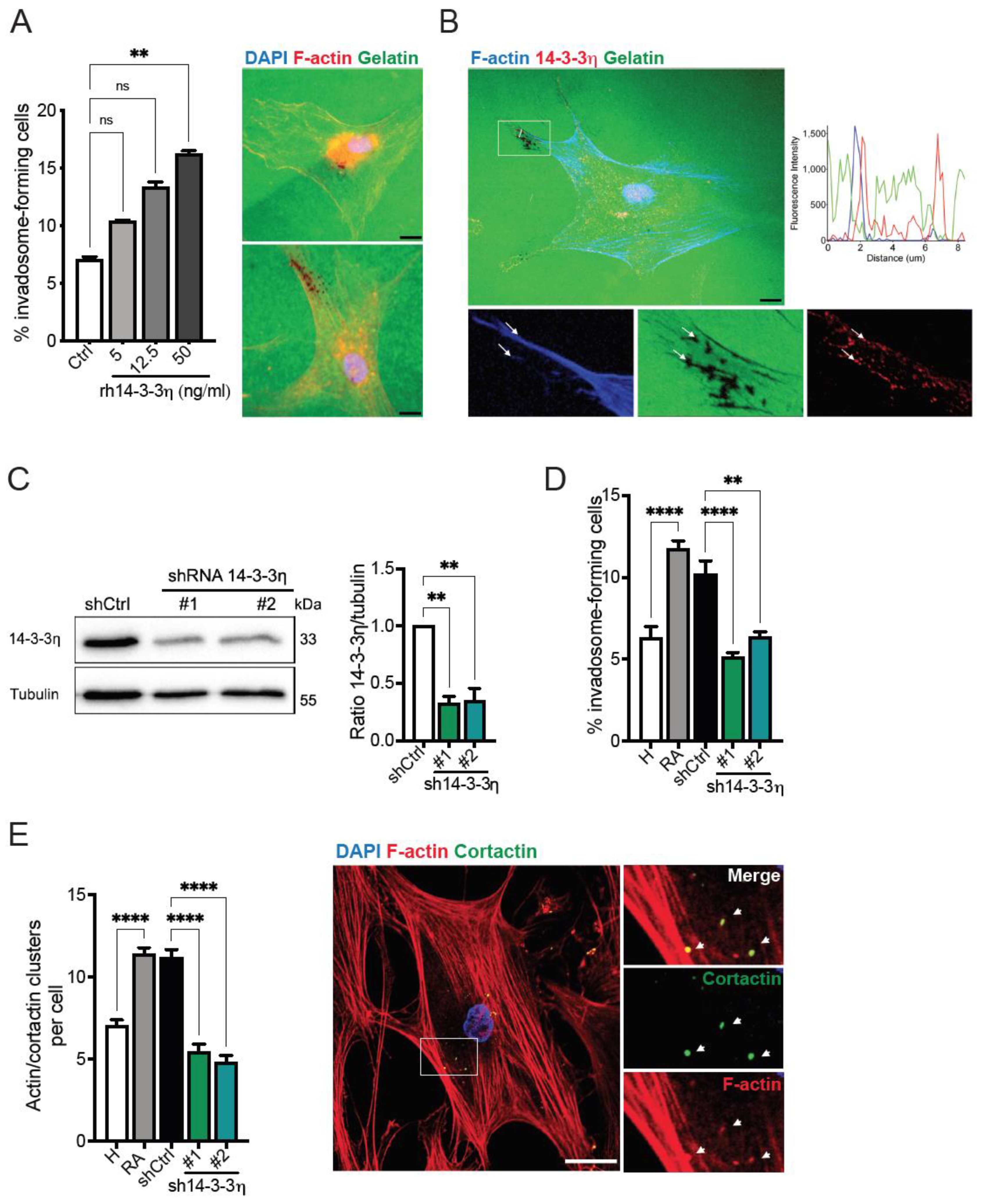
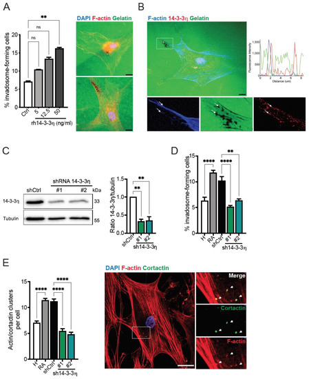
2.2. 14-3-3η Is a Regulator of Invadosome Formation in FLS
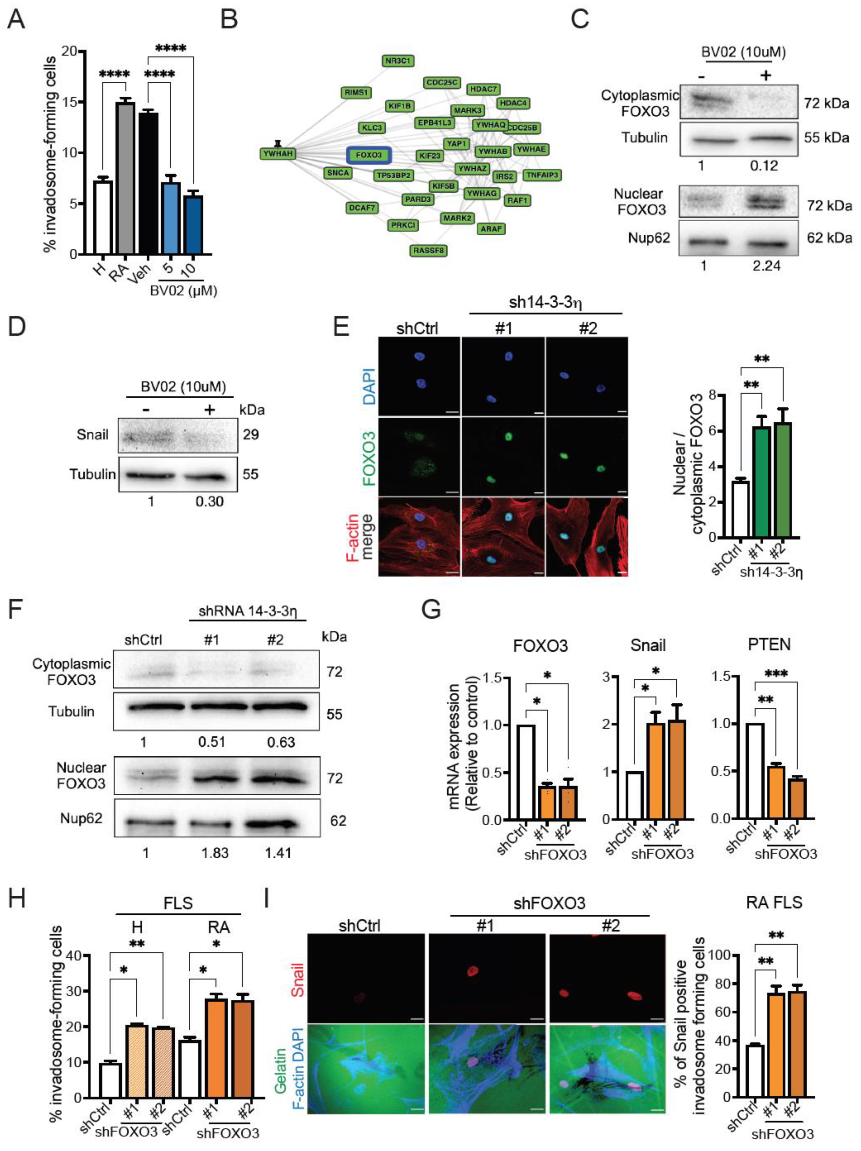
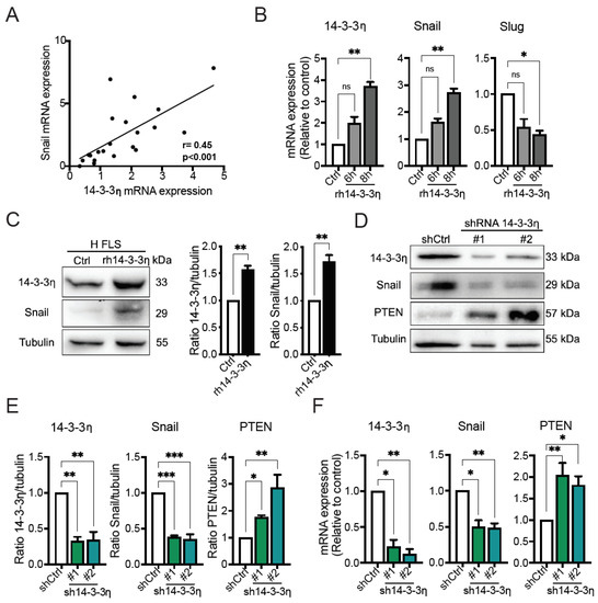
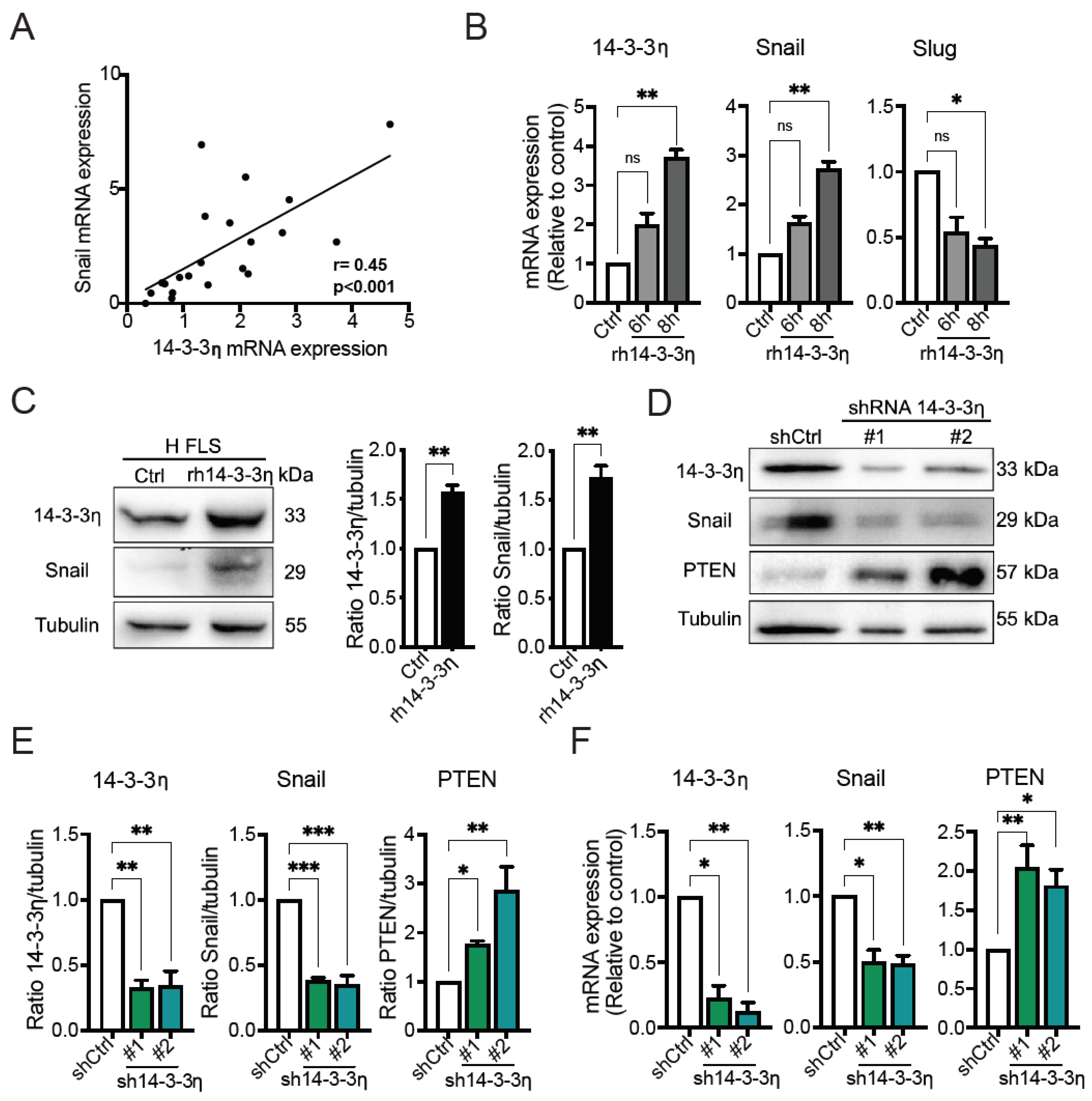
2.3. 14-3-3η Regulates Snail Expression and Activity
2.4. 14-3-3η Regulates Snail Expression and Invadosome Formation through Nuclear Exclusion of FOXO3
3. Discussion
4. Materials and Methods
4.1. Reagents
4.2. Patients and Cell Culture
4.3. Immunohistochemistry
4.4. RT qPCR
4.5. Plasmids and Transfections
4.6. Invadosome Assays
4.7. Immunofluorescence and Microscopy
4.8. Western Blotting
4.9. Protein–Protein Interaction
4.10. Statistical Analysis
Supplementary Materials
Author Contributions
Funding
Institutional Review Board Statement
Informed Consent Statement
Data Availability Statement
Acknowledgments
Conflicts of Interest
References
- Littlejohn, E.A.; Monrad, S.U. Early Diagnosis and Treatment of Rheumatoid Arthritis. Prim. Care 2018, 45, 237–255. [Google Scholar] [CrossRef] [PubMed]
- Aletaha, D.; Neogi, T.; Silman, A.J.; Funovits, J.; Felson, D.T.; Bingham, C.O.; Birnbaum, N.S.; Burmester, G.R.; Bykerk, V.P.; Cohen, M.D.; et al. 2010 Rheumatoid Arthritis Classification Criteria: An American College of Rheumatology/European League Against Rheumatism Collaborative Initiative. Ann. Rheum. Dis. 2010, 69, 1580–1588. [Google Scholar] [CrossRef] [PubMed]
- Demoruelle, M.K.; Deane, K.D. Treatment Strategies in Early Rheumatoid Arthritis and Prevention of Rheumatoid Arthritis. Curr. Rheumatol. Rep. 2012, 14, 472–480. [Google Scholar] [CrossRef] [PubMed]
- Maksymowych, W.P.; van der Heijde, D.; Allaart, C.F.; Landewé, R.; Boire, G.; Tak, P.P.; Gui, Y.; Ghahary, A.; Kilani, R.; Marotta, A. 14-3-3η Is a Novel Mediator Associated with the Pathogenesis of Rheumatoid Arthritis and Joint Damage. Arthritis Res. Ther. 2014, 16, R99. [Google Scholar] [CrossRef] [Green Version]
- Hammam, N.; Salah, S.; Kholef, E.F.; Moussa, E.M.; Marotta, A. 14-3-3η Protein in Serum and Synovial Fluid Correlates with Radiographic Damage and Progression in a Longitudinal Evaluation of Patients with Established Rheumatoid Arthritis. Mod. Rheumatol. 2020, 30, 664–670. [Google Scholar] [CrossRef]
- Salman, E.; Çetiner, S.; Boral, B.; Kibar, F.; Erken, E.; Ersözlü, E.D.; Badak, S.Ö.; Bilici Salman, R.; Sertdemir, Y.; Çetin Duran, A.; et al. Importance of 14-3-3eta, Anti-CarP, and Anti-Sa in the Diagnosis of Seronegative Rheumatoid Arthritis. Turk. J. Med. Sci. 2019, 49, 1498–1502. [Google Scholar] [CrossRef]
- Guan, S.-Z.; Yang, Y.-Q.; Bai, X.; Wang, Y.; Feng, K.-Q.; Zhang, H.-J.; Dong, M.; Yang, H.-W.; Li, H.-Q. Serum 14-3-3η Could Improve the Diagnostic Rate of Rheumatoid Arthritis and Correlates to Disease Activity. Ann. Clin. Lab. Sci. 2019, 49, 57–62. [Google Scholar]
- Aghazadeh, Y.; Papadopoulos, V. The Role of the 14-3-3 Protein Family in Health, Disease, and Drug Development. Drug Discov. Today 2016, 21, 278–287. [Google Scholar] [CrossRef]
- Freeman, A.K.; Morrison, D.K. 14-3-3 Proteins: Diverse Functions in Cell Proliferation and Cancer Progression. Semin. Cell Dev. Biol. 2011, 22, 681–687. [Google Scholar] [CrossRef] [Green Version]
- Wang, W.; Shakes, D.C. Molecular Evolution of the 14-3-3 Protein Family. J. Mol. Evol. 1996, 43, 384–398. [Google Scholar] [CrossRef]
- Kilani, R.T.; Maksymowych, W.P.; Aitken, A.; Boire, G.; St-Pierre, Y.; Li, Y.; Ghahary, A. Detection of High Levels of 2 Specific Isoforms of 14-3-3 Proteins in Synovial Fluid from Patients with Joint Inflammation. J. Rheumatol. 2007, 34, 1650–1657. [Google Scholar] [PubMed]
- Maksymowych, W.P.; Naides, S.J.; Bykerk, V.; Siminovitch, K.A.; van Schaardenburg, D.; Boers, M.; Landewé, R.; van der Heijde, D.; Tak, P.-P.; Genovese, M.C.; et al. Serum 14-3-3η Is a Novel Marker That Complements Current Serological Measurements to Enhance Detection of Patients with Rheumatoid Arthritis. J. Rheumatol. 2014, 41, 2104–2113. [Google Scholar] [CrossRef] [PubMed] [Green Version]
- Firestein, G.S. Invasive Fibroblast-like Synoviocytes in Rheumatoid Arthritis. Passive Responders or Transformed Aggressors? Arthritis Rheum. 1996, 39, 1781–1790. [Google Scholar] [CrossRef]
- Mousavi, M.J.; Karami, J.; Aslani, S.; Tahmasebi, M.N.; Vaziri, A.S.; Jamshidi, A.; Farhadi, E.; Mahmoudi, M. Transformation of Fibroblast-like Synoviocytes in Rheumatoid Arthritis; from a Friend to Foe. Autoimmun. Highlights 2021, 12, 3. [Google Scholar] [CrossRef] [PubMed]
- Bottini, N.; Firestein, G.S. Duality of Fibroblast-like Synoviocytes in RA: Passive Responders and Imprinted Aggressors. Nat. Rev. Rheumatol. 2013, 9, 24–33. [Google Scholar] [CrossRef] [Green Version]
- Juarez, M.; Filer, A.; Buckley, C.D. Fibroblasts as Therapeutic Targets in Rheumatoid Arthritis and Cancer. Swiss Med. Wkly 2012, 142, w13529. [Google Scholar] [CrossRef]
- Lauzier, A.; Charbonneau, M.; Harper, K.; Jilaveanu-Pelmus, M.; Dubois, C.M. Formation of Invadopodia-like Structures by Synovial Cells Promotes Cartilage Breakdown in Collagen-Induced Arthritis: Involvement of the Protein Tyrosine Kinase Src. Arthritis Rheum. 2011, 63, 1591–1602. [Google Scholar] [CrossRef]
- Eddy, R.J.; Weidmann, M.D.; Sharma, V.P.; Condeelis, J.S. Tumor Cell Invadopodia: Invasive Protrusions That Orchestrate Metastasis. Trends Cell Biol. 2017, 27, 595–607. [Google Scholar] [CrossRef]
- Lauzier, A.; Lavoie, R.R.; Charbonneau, M.; Gouin-Boisvert, B.; Harper, K.; Dubois, C.M. Snail Is a Critical Mediator of Invadosome Formation and Joint Degradation in Arthritis. Am. J. Pathol. 2016, 186, 359–374. [Google Scholar] [CrossRef] [Green Version]
- Charbonneau, M.; Lauzier, A.; Harper, K.; McDonald, P.P. Dubois CM Platelet-Derived Growth Factor Receptor Activation Promotes the Prodestructive Invadosome-Forming Phenotype of Synoviocytes from Patients with Rheumatoid Arthritis. J. Immunol. 2016, 196, 3264–3275. [Google Scholar] [CrossRef] [Green Version]
- Lauzier, A.; Charbonneau, M.; Paquette, M.; Harper, K.; Dubois, C.M. Transglutaminase 2 Cross-Linking Activity Is Linked to Invadopodia Formation and Cartilage Breakdown in Arthritis. Arthritis Res. Ther. 2012, 14, R159. [Google Scholar] [CrossRef] [PubMed] [Green Version]
- Doody, K.M.; Bottini, N.; Firestein, G.S. Epigenetic Alterations in Rheumatoid Arthritis Fibroblast-like Synoviocytes. Epigenomics 2017, 9, 479–492. [Google Scholar] [CrossRef] [PubMed] [Green Version]
- Bhattaram, P.; Jones, K. Regulation of Fibroblast-like Synoviocyte Transformation by Transcription Factors in Arthritic Diseases. Biochem. Pharmacol. 2019, 165, 145–151. [Google Scholar] [CrossRef] [PubMed]
- Liu, Y.; Zhang, X.-L.; Li, X.-F.; Tang, Y.-C.; Zhao, X. MiR-212-3p Reduced Proliferation, and Promoted Apoptosis of Fibroblast-like Synoviocytes via down-Regulating SOX5 in Rheumatoid Arthritis. Eur. Rev. Med. Pharmacol. Sci. 2018, 22, 461–471. [Google Scholar] [CrossRef]
- Chen, S.-Y.; Shiau, A.-L.; Li, Y.-T.; Lin, C.-C.; Jou, I.-M.; Liu, M.-F.; Wu, C.-L.; Wang, C.-R. Transcription Factor Snail Regulates Tumor Necrosis Factor α-Mediated Synovial Fibroblast Activation in the Rheumatoid Joint. Arthritis Rheumatol. 2015, 67, 39–50. [Google Scholar] [CrossRef] [Green Version]
- Grabiec, A.M.; Angiolilli, C.; Hartkamp, L.M.; van Baarsen, L.G.M.; Tak, P.P.; Reedquist, K.A. JNK-Dependent Downregulation of FoxO1 Is Required to Promote the Survival of Fibroblast-like Synoviocytes in Rheumatoid Arthritis. Ann. Rheum. Dis. 2015, 74, 1763–1771. [Google Scholar] [CrossRef]
- Kok, S.-H.; Lin, L.-D.; Hou, K.-L.; Hong, C.-Y.; Chang, C.-C.; Hsiao, M.; Wang, J.-H.; Lai, E.H.-H.; Lin, S.-K. Simvastatin Inhibits Cysteine-Rich Protein 61 Expression in Rheumatoid Arthritis Synovial Fibroblasts through the Regulation of Sirtuin-1/FoxO3a Signaling. Arthritis Rheum. 2013, 65, 639–649. [Google Scholar] [CrossRef]
- Peng, S.L. Forkhead Transcription Factors in Chronic Inflammation. Int. J. Biochem. Cell Biol. 2010, 42, 482–485. [Google Scholar] [CrossRef] [Green Version]
- Wang, Y.; Zhou, Y.; Graves, D.T. FOXO Transcription Factors: Their Clinical Significance and Regulation. Biomed. Res. Int. 2014, 2014, 925350. [Google Scholar] [CrossRef] [Green Version]
- Santo, E.E.; Stroeken, P.; Sluis, P.V.; Koster, J.; Versteeg, R.; Westerhout, E.M. FOXO3a Is a Major Target of Inactivation by PI3K/AKT Signaling in Aggressive Neuroblastoma. Cancer Res. 2013, 73, 2189–2198. [Google Scholar] [CrossRef] [Green Version]
- Luo, M.; Wu, C.; Guo, E.; Peng, S.; Zhang, L.; Sun, W.; Liu, D.; Hu, G.; Hu, G. FOXO3a Knockdown Promotes Radioresistance in Nasopharyngeal Carcinoma by Inducing Epithelial-Mesenchymal Transition and the Wnt/β-Catenin Signaling Pathway. Cancer Lett. 2019, 455, 26–35. [Google Scholar] [CrossRef] [PubMed]
- Jiramongkol, Y.; Lam, E.W.-F. FOXO Transcription Factor Family in Cancer and Metastasis. Cancer Metastasis Rev. 2020, 39, 681–709. [Google Scholar] [CrossRef]
- Viatte, S.; Lee, J.C.; Fu, B.; Espéli, M.; Lunt, M.; De Wolf, J.N.E.; Wheeler, L.; Reynolds, J.A.; Castelino, M.; Symmons, D.P.M.; et al. Association Between Genetic Variation in FOXO3 and Reductions in Inflammation and Disease Activity in Inflammatory Polyarthritis. Arthritis Rheumatol. 2016, 68, 2629–2636. [Google Scholar] [CrossRef] [PubMed]
- Lee, J.C.; Espéli, M.; Anderson, C.A.; Linterman, M.A.; Pocock, J.M.; Williams, N.J.; Roberts, R.; Viatte, S.; Fu, B.; Peshu, N.; et al. Human SNP Links Differential Outcomes in Inflammatory and Infectious Disease to a FOXO3-Regulated Pathway. Cell 2013, 155, 57–69. [Google Scholar] [CrossRef] [PubMed] [Green Version]
- Brandstetter, B.; Dalwigk, K.; Platzer, A.; Niederreiter, B.; Kartnig, F.; Fischer, A.; Vladimer, G.I.; Byrne, R.A.; Sevelda, F.; Holinka, J.; et al. FOXO3 Is Involved in the Tumor Necrosis Factor-Driven Inflammatory Response in Fibroblast-like Synoviocytes. Lab. Investig. 2019, 99, 648–658. [Google Scholar] [CrossRef]
- Brunet, A.; Bonni, A.; Zigmond, M.J.; Lin, M.Z.; Juo, P.; Hu, L.S.; Anderson, M.J.; Arden, K.C.; Blenis, J.; Greenberg, M.E. Akt Promotes Cell Survival by Phosphorylating and Inhibiting a Forkhead Transcription Factor. Cell 1999, 96, 857–868. [Google Scholar] [CrossRef] [Green Version]
- Brunet, A.; Kanai, F.; Stehn, J.; Xu, J.; Sarbassova, D.; Frangioni, J.V.; Dalal, S.N.; DeCaprio, J.A.; Greenberg, M.E.; Yaffe, M.B. 14-3-3 Transits to the Nucleus and Participates in Dynamic Nucleocytoplasmic Transport. J. Cell Biol. 2002, 156, 817–828. [Google Scholar] [CrossRef]
- Kim, H.-J.; Lee Yoon, S.; Young, C.K.; Hwan, Y.K.; Ju, W.; Cheol, S.K. Subcellular Localization of FOXO3a as a Potential Biomarker of Response to Combined Treatment with Inhibitors of PI3K and Autophagy in PIK3CA-Mutant Cancer Cells. Oncotarget 2016, 8, 6608–6622. [Google Scholar] [CrossRef] [PubMed] [Green Version]
- Muslin, A.J.; Xing, H. 14-3-3 Proteins: Regulation of Subcellular Localization by Molecular Interference. Cell. Signal. 2000, 12, 703–709. [Google Scholar] [CrossRef]
- Tong, S.; Xia, T.; Fan, K.; Jiang, K.; Zhai, W.; Li, J.-S.; Wang, S.-H.; Wang, J.-J. 14-3-3ζ Promotes Lung Cancer Cell Invasion by Increasing the Snail Protein Expression through Atypical Protein Kinase C (APKC)/NF-ΚB Signaling. Exp. Cell Res. 2016, 348, 1–9. [Google Scholar] [CrossRef]
- Li, J.; Xu, H.; Wang, Q.; Wang, S.; Xiong, N. 14-3-3ζ Promotes Gliomas Cells Invasion by Regulating Snail through the PI3K/AKT Signaling. Cancer Med. 2019, 8, 783–794. [Google Scholar] [CrossRef] [PubMed]
- Nakamura, R.; Ishii, H.; Endo, K.; Hotta, A.; Fujii, E.; Miyazawa, K.; Saitoh, M. Reciprocal Expression of Slug and Snail in Human Oral Cancer Cells. PLoS ONE 2018, 13, e0199442. [Google Scholar] [CrossRef] [PubMed]
- Escrivà, M.; Peiró, S.; Herranz, N.; Villagrasa, P.; Dave, N.; Montserrat-Sentís, B.; Murray, S.A.; Francí, C.; Gridley, T.; Virtanen, I.; et al. Repression of PTEN Phosphatase by Snail1 Transcriptional Factor during Gamma Radiation-Induced Apoptosis. Mol. Cell. Biol. 2008, 28, 1528–1540. [Google Scholar] [CrossRef] [PubMed] [Green Version]
- Pennington, K.L.; Chan, T.Y.; Torres, M.P.; Andersen, J.L. The Dynamic and Stress-Adaptive Signaling Hub of 14-3-3: Emerging Mechanisms of Regulation and Context-Dependent Protein–Protein Interactions. Oncogene 2018, 37, 5587–5604. [Google Scholar] [CrossRef] [PubMed] [Green Version]
- Mori, M.; Vignaroli, G.; Botta, M. Small Molecules Modulation of 14-3-3 Protein-Protein Interactions. Drug Discov. Today Technol. 2013, 10, e541–e547. [Google Scholar] [CrossRef]
- Masters, S.C.; Fu, H. 14-3-3 Proteins Mediate an Essential Anti-Apoptotic Signal*. J. Biol. Chem. 2001, 276, 45193–45200. [Google Scholar] [CrossRef] [Green Version]
- Dobson, M.; Ramakrishnan, G.; Ma, S.; Kaplun, L.; Balan, V.; Fridman, R.; Tzivion, G. Bimodal Regulation of FoxO3 by AKT and 14-3-3. Biochim. Biophys. Acta 2011, 1813, 1453–1464. [Google Scholar] [CrossRef] [Green Version]
- Li, J.; Yang, R.; Dong, Y.; Chen, M.; Wang, Y.; Wang, G. Knockdown of FOXO3a Induces Epithelial-Mesenchymal Transition and Promotes Metastasis of Pancreatic Ductal Adenocarcinoma by Activation of the β-Catenin/TCF4 Pathway through SPRY2. J. Exp. Clin. Cancer Res. 2019, 38, 38. [Google Scholar] [CrossRef] [Green Version]
- Khorrami, A.; Sharif Bagheri, M.; Tavallaei, M.; Gharechahi, J. The Functional Significance of 14-3-3 Proteins in Cancer: Focus on Lung Cancer. Horm. Mol. Biol. Clin. Investig. 2017, 32. [Google Scholar] [CrossRef]
- Ni, D.; Ma, X.; Li, H.-Z.; Gao, Y.; Li, X.-T.; Zhang, Y.; Ai, Q.; Zhang, P.; Song, E.-L.; Huang, Q.-B.; et al. Downregulation of FOXO3a Promotes Tumor Metastasis and Is Associated with Metastasis-Free Survival of Patients with Clear Cell Renal Cell Carcinoma. Clin. Cancer Res. 2014, 20, 1779–1790. [Google Scholar] [CrossRef] [Green Version]
- Shiota, M.; Song, Y.; Yokomizo, A.; Kiyoshima, K.; Tada, Y.; Uchino, H.; Uchiumi, T.; Inokuchi, J.; Oda, Y.; Kuroiwa, K.; et al. Foxo3a Suppression of Urothelial Cancer Invasiveness through Twist1, Y-Box–Binding Protein 1, and E-Cadherin Regulation. Clin. Cancer Res. 2010, 16, 5654–5663. [Google Scholar] [CrossRef] [PubMed] [Green Version]
- Jacob, A.; Prekeris, R. The Regulation of MMP Targeting to Invadopodia during Cancer Metastasis. Front. Cell Dev. Biol. 2015, 3. [Google Scholar] [CrossRef] [PubMed] [Green Version]
- Mei, J.; Liu, Y.; Xu, R.; Hao, L.; Qin, A.; Chu, C.; Zhu, Y.; Liu, X. Characterization of the Expression and Prognostic Value of 14-3-3 Isoforms in Breast Cancer. Aging 2020, 12, 19597–19617. [Google Scholar] [CrossRef]
- Song, Y.; Yang, Z.; Ke, Z.; Yao, Y.; Hu, X.; Sun, Y.; Li, H.; Yin, J.; Zeng, C. Expression of 14-3-3γ in Patients with Breast Cancer: Correlation with Clinicopathological Features and Prognosis. Cancer Epidemiol. 2012, 36, 533–536. [Google Scholar] [CrossRef]
- Cornell, B.; Wachi, T.; Zhukarev, V.; Toyo-Oka, K. Overexpression of the 14-3-3gamma Protein in Embryonic Mice Results in Neuronal Migration Delay in the Developing Cerebral Cortex. Neurosci. Lett. 2016, 628, 40–46. [Google Scholar] [CrossRef] [PubMed]
- Trimova, G.; Yamagata, K.; Iwata, S.; Hirata, S.; Zhang, T.; Uemura, F.; Satoh, M.; Biln, N.; Nakayamada, S.; Maksymowych, W.P.; et al. Tumour Necrosis Factor Alpha Promotes Secretion of 14-3-3η by Inducing Necroptosis in Macrophages. Arthritis Res. Ther. 2020, 22, 24. [Google Scholar] [CrossRef] [Green Version]
- Morgan, R.; Endres, J.; Behbahani-Nejad, N.; Phillips, K.; Ruth, J.H.; Friday, S.C.; Edhayan, G.; Lanigan, T.; Urquhart, A.; Chung, K.C.; et al. Expression and Function of Aminopeptidase N/CD13 Produced by Fibroblast Like Synoviocytes in Rheumatoid Arthritis: Role of CD13 in Chemotaxis of Cytokine Activated T Cells Independent of Enzymatic Activity. Arthritis Rheumatol. 2015, 67, 74–85. [Google Scholar] [CrossRef] [Green Version]
- Kaplan, A.; Bueno, M.; Fournier, A.E. Extracellular Functions of 14-3-3 Adaptor Proteins. Cell. Signal. 2017, 31, 26–30. [Google Scholar] [CrossRef]
- Ludikhuize, J.; de Launay, D.; Groot, D.; Smeets, T.J.M.; Vinkenoog, M.; Sanders, M.E.; Tas, S.W.; Tak, P.P.; Reedquist, K.A. Inhibition of Forkhead Box Class O Family Member Transcription Factors in Rheumatoid Synovial Tissue. Arthritis Rheum. 2007, 56, 2180–2191. [Google Scholar] [CrossRef]
- Turrel-Davin, F.; Tournadre, A.; Pachot, A.; Arnaud, B.; Cazalis, M.-A.; Mougin, B.; Miossec, P. FoxO3a Involved in Neutrophil and T Cell Survival Is Overexpressed in Rheumatoid Blood and Synovial Tissue. Ann. Rheum. Dis. 2010, 69, 755–760. [Google Scholar] [CrossRef]
- Wang, X.; Hu, S.; Liu, L. Phosphorylation and Acetylation Modifications of FOXO3a: Independently or Synergistically? Oncol. Lett. 2017, 13, 2867–2872. [Google Scholar] [CrossRef] [Green Version]
- Jin, L.M.; Han, X.H.; Jie, Y.Q.; Meng, S.S. 14-3-3ζ Silencing Retards Tongue Squamous Cell Carcinoma Progression by Inhibiting Cell Survival and Migration. Cancer Gene Ther. 2016, 23, 206–213. [Google Scholar] [CrossRef] [PubMed]
- Aljabal, G.; Yap, B.K. 14-3-3σ and Its Modulators in Cancer. Pharmaceuticals 2020, 13, 441. [Google Scholar] [CrossRef] [PubMed]
- Pair, F.S.; Yacoubian, T.A. 14-3-3 Proteins: Novel Pharmacological Targets in Neurodegenerative Diseases. Trends Pharmacol. Sci. 2021, 42, 226–238. [Google Scholar] [CrossRef]
- Dong, T.; Zhang, Y.; Chen, Y.; Liu, P.; An, T.; Zhang, J.; Yang, H.; Zhu, W.; Yang, X. FOXO1 Inhibits the Invasion and Metastasis of Hepatocellular Carcinoma by Reversing ZEB2-Induced Epithelial-Mesenchymal Transition. Oncotarget 2016, 8, 1703–1713. [Google Scholar] [CrossRef] [PubMed] [Green Version]
- Zou, Y.; Tsai, W.-B.; Cheng, C.-J.; Hsu, C.; Chung, Y.M.; Li, P.-C.; Lin, S.-H.; Hu, M.C.T. Forkhead Box Transcription Factor FOXO3a Suppresses Estrogen-Dependent Breast Cancer Cell Proliferation and Tumorigenesis. Breast Cancer Res. 2008, 10, R21. [Google Scholar] [CrossRef] [Green Version]
- Greer, E.L.; Brunet, A. FOXO Transcription Factors at the Interface between Longevity and Tumor Suppression. Oncogene 2005, 24, 7410–7425. [Google Scholar] [CrossRef] [Green Version]
- Park, S.-H.; Chung, Y.M.; Ma, J.; Yang, Q.; Berek, J.S.; Hu, M.C.-T. Pharmacological Activation of FOXO3 Suppresses Triple-Negative Breast Cancer in Vitro and in Vivo. Oncotarget 2016, 7, 42110–42125. [Google Scholar] [CrossRef] [Green Version]
- Evdokimova, V.; Tognon, C.; Ng, T.; Ruzanov, P.; Melnyk, N.; Fink, D.; Sorokin, A.; Ovchinnikov, L.P.; Davicioni, E.; Triche, T.J.; et al. Translational Activation of Snail1 and Other Developmentally Regulated Transcription Factors by YB-1 Promotes an Epithelial-Mesenchymal Transition. Cancer Cell 2009, 15, 402–415. [Google Scholar] [CrossRef] [Green Version]
- Song, Y.; Zeng, S.; Zheng, G.; Chen, D.; Li, P.; Yang, M.; Luo, K.; Yin, J.; Gu, Y.; Zhang, Z.; et al. FOXO3a-Driven MiRNA Signatures Suppresses VEGF-A/NRP1 Signaling and Breast Cancer Metastasis. Oncogene 2021, 40, 777–790. [Google Scholar] [CrossRef]
- Li, C.; Zhang, K.; Chen, J.; Chen, L.; Wang, R.; Chu, X. MicroRNAs as Regulators and Mediators of Forkhead Box Transcription Factors Function in Human Cancers. Oncotarget 2016, 8, 12433–12450. [Google Scholar] [CrossRef] [PubMed] [Green Version]
- Siemens, H.; Jackstadt, R.; Hünten, S.; Kaller, M.; Menssen, A.; Götz, U.; Hermeking, H. MiR-34 and SNAIL Form a Double-Negative Feedback Loop to Regulate Epithelial-Mesenchymal Transitions. Cell Cycle 2011, 10, 4256–4271. [Google Scholar] [CrossRef] [PubMed] [Green Version]




| Gene | Forward Primer (5′→3′) | Reverse Primer (5′→3′) |
|---|---|---|
| RPLP0 | GATTACACCTTCCCACTTGC | CCAAATCCCATATCCTCGTCCG |
| Snail | CCTTCGTCCTCCTCCTCTACTT | TTCGAGCCTGGAGATCCTT |
| 14-3-3η | CTATGAAGGCGGTGACAGAGC | CCTTGTAGGCAGCTTCAGAAG |
| FOXO3 | GACCCTCAAACTGACACAAGA | TGGCGTGGGATTCACAAA |
| PTEN | CCCACCACAGCTAGAACTTATC | TCGTCCCTTTCCAGCTTTAC |
Publisher’s Note: MDPI stays neutral with regard to jurisdictional claims in published maps and institutional affiliations. |
© 2021 by the authors. Licensee MDPI, Basel, Switzerland. This article is an open access article distributed under the terms and conditions of the Creative Commons Attribution (CC BY) license (https://creativecommons.org/licenses/by/4.0/).
Share and Cite
Kadiri, M.; Charbonneau, M.; Lalanne, C.; Harper, K.; Balg, F.; Marotta, A.; Dubois, C.M. 14-3-3η Promotes Invadosome Formation via the FOXO3–Snail Axis in Rheumatoid Arthritis Fibroblast-like Synoviocytes. Int. J. Mol. Sci. 2022, 23, 123. https://doi.org/10.3390/ijms23010123
Kadiri M, Charbonneau M, Lalanne C, Harper K, Balg F, Marotta A, Dubois CM. 14-3-3η Promotes Invadosome Formation via the FOXO3–Snail Axis in Rheumatoid Arthritis Fibroblast-like Synoviocytes. International Journal of Molecular Sciences. 2022; 23(1):123. https://doi.org/10.3390/ijms23010123
Chicago/Turabian StyleKadiri, Maleck, Martine Charbonneau, Catherine Lalanne, Kelly Harper, Frédéric Balg, Anthony Marotta, and Claire M. Dubois. 2022. "14-3-3η Promotes Invadosome Formation via the FOXO3–Snail Axis in Rheumatoid Arthritis Fibroblast-like Synoviocytes" International Journal of Molecular Sciences 23, no. 1: 123. https://doi.org/10.3390/ijms23010123
APA StyleKadiri, M., Charbonneau, M., Lalanne, C., Harper, K., Balg, F., Marotta, A., & Dubois, C. M. (2022). 14-3-3η Promotes Invadosome Formation via the FOXO3–Snail Axis in Rheumatoid Arthritis Fibroblast-like Synoviocytes. International Journal of Molecular Sciences, 23(1), 123. https://doi.org/10.3390/ijms23010123

