Ischemia-Reperfusion under Hyperthermia Increases Heme Oxygenase-1 in Pyramidal Neurons and Astrocytes with Accelerating Neuronal Loss in Gerbil Hippocampus
Abstract
1. Introduction
2. Results
2.1. Higher HO-1 Levels in CA1–3 of Normo + Ischemia Group than Those in Hyper + Ischemia Group
2.1.1. HO-1 Levels in CA1
2.1.2. HO-1 Levels in CA2/3
2.2. Higher HO-1 Immunoreactivity in CA1–3 of Normo + Ischemia Group than That in Hyper + Ischemia Group
2.2.1. HO-1 Immunoreactivity in CA1
2.2.2. HO-1 Immunoreactivity in CA2/3
2.3. Stronger HO-1 Expression in Pyramidal Neurons or Astrocytes of Hyper + Ischemia Group
2.3.1. HO-1 Immunoreactivity Shown in Neuronal Nuclei (NeuN) Immunoreactive Pyramidal Neurons
2.3.2. HO-1 Immunoreactivity Shown in Glial Fibrillary Acidic Protein (GFAP) Immunoreactive Astrocytes
2.4. Deteriorated Loss of Pyramidal Neurons in CA1–3 of Hyper + Ischemia Groups
2.4.1. Damaged Cresyl Violet-Positive (CV+) Cells in CA1–3
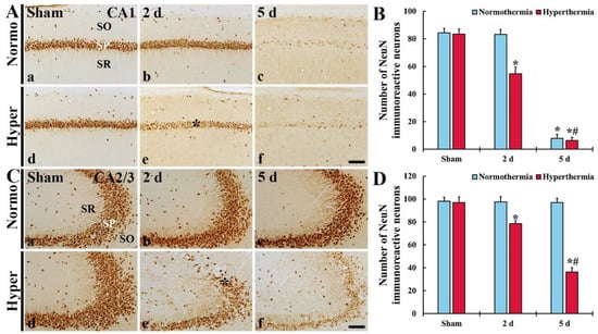
2.4.2. Decreased NeuN+ Neurons in CA1–3
NeuN+ Neurons in CA1
NeuN-Immunoreactive (NeuN+) Neurons in CA2/3
2.4.3. Increased Fluoro-Jade B-Positive (F-J B+) Cells in CA1–3
F-J B+ Cells in CA1
F-J B+ Cells in CA2/3
3. Discussion
4. Materials and Methods
4.1. Experimental Animals
4.2. Experimental Groups
4.3. Induction of a 5-Min Transient Forebrain Ischemia
4.4. Western Blot Analysis
4.5. Preparation of Histological Sections
4.6. Immunohistochemistry
4.7. Double Immunofluorescence Staining
4.8. CV Staining
4.9. Histofluorescence Staining with F-J B
4.10. Data Analysis
4.11. Statistical Analysis
Author Contributions
Funding
Institutional Review Board Statement
Informed Consent Statement
Data Availability Statement
Acknowledgments
Conflicts of Interest
Abbreviations
References
- Sims, N.R.; Zaidan, E. Biochemical changes associated with selective neuronal death following short-term cerebral ischaemia. Int. J. Biochem. Cell Biol. 1995, 27, 531–550. [Google Scholar] [CrossRef]
- Kirino, T. Delayed neuronal death in the gerbil hippocampus following ischemia. Brain Res. 1982, 239, 57–69. [Google Scholar] [CrossRef]
- Pulsinelli, W.A.; Brierley, J.B.; Plum, F. Temporal profile of neuronal damage in a model of transient forebrain ischemia. Ann. Neurol. 1982, 11, 491–498. [Google Scholar] [CrossRef]
- Schmidt-Kastner, R.; Freund, T.F. Selective vulnerability of the hippocampus in brain ischemia. Neuroscience 1991, 40, 599–636. [Google Scholar] [CrossRef]
- Yan, B.C.; Park, J.H.; Lee, C.H.; Yoo, K.Y.; Choi, J.H.; Lee, Y.J.; Cho, J.H.; Baek, Y.Y.; Kim, Y.M.; Won, M.H. Increases of antioxidants are related to more delayed neuronal death in the hippocampal ca1 region of the young gerbil induced by transient cerebral ischemia. Brain Res. 2011, 1425, 142–154. [Google Scholar] [CrossRef]
- Hwang, I.K.; Yoo, K.Y.; Suh, H.W.; Kim, Y.S.; Kwon, D.Y.; Kwon, Y.G.; Yoo, J.H.; Won, M.H. Folic acid deficiency increases delayed neuronal death, DNA damage, platelet endothelial cell adhesion molecule-1 immunoreactivity, and gliosis in the hippocampus after transient cerebral ischemia. J. Neurosci. Res. 2008, 86, 2003–2015. [Google Scholar] [CrossRef]
- Lee, C.H.; Park, J.H.; Yoo, K.Y.; Choi, J.H.; Hwang, I.K.; Ryu, P.D.; Kim, D.H.; Kwon, Y.G.; Kim, Y.M.; Won, M.H. Pre- and post-treatments with escitalopram protect against experimental ischemic neuronal damage via regulation of bdnf expression and oxidative stress. Exp. Neurol. 2011, 229, 450–459. [Google Scholar] [CrossRef]
- Corbett, D.; Thornhill, J. Temperature modulation (hypothermic and hyperthermic conditions) and its influence on histological and behavioral outcomes following cerebral ischemia. Brain Pathol. 2000, 10, 145–152. [Google Scholar] [CrossRef] [PubMed]
- Minamisawa, H.; Smith, M.L.; Siesjo, B.K. The effect of mild hyperthermia and hypothermia on brain damage following 5, 10, and 15 minutes of forebrain ischemia. Ann. Neurol. 1990, 28, 26–33. [Google Scholar] [CrossRef] [PubMed]
- Wang, Y.; Lim, L.L.; Levi, C.; Heller, R.F.; Fisher, J. Influence of admission body temperature on stroke mortality. Stroke 2000, 31, 404–409. [Google Scholar] [CrossRef]
- Dietrich, W.D.; Busto, R.; Valdes, I.; Loor, Y. Effects of normothermic versus mild hyperthermic forebrain ischemia in rats. Stroke 1990, 21, 1318–1325. [Google Scholar] [CrossRef]
- Chen, H.; Chopp, M.; Welch, K.M. Effect of mild hyperthermia on the ischemic infarct volume after middle cerebral artery occlusion in the rat. Neurology 1991, 41, 1133–1135. [Google Scholar] [CrossRef] [PubMed]
- Kim, Y.; Busto, R.; Dietrich, W.D.; Kraydieh, S.; Ginsberg, M.D. Delayed postischemic hyperthermia in awake rats worsens the histopathological outcome of transient focal cerebral ischemia. Stroke 1996, 27, 2274–2280, discussion 2281. [Google Scholar] [CrossRef]
- Kim, M.J.; Cho, J.H.; Cho, J.H.; Park, J.H.; Ahn, J.H.; Tae, H.J.; Cho, G.S.; Yan, B.C.; Hwang, I.K.; Lee, C.H.; et al. Impact of hyperthermia before and during ischemia-reperfusion on neuronal damage and gliosis in the gerbil hippocampus induced by transient cerebral ischemia. J. Neurol. Sci. 2015, 348, 101–110. [Google Scholar] [CrossRef]
- Globus, M.Y.; Busto, R.; Lin, B.; Schnippering, H.; Ginsberg, M.D. Detection of free radical activity during transient global ischemia and recirculation: Effects of intraischemic brain temperature modulation. J. Neurochem. 1995, 65, 1250–1256. [Google Scholar] [CrossRef] [PubMed]
- Castillo, J.; Davalos, A.; Noya, M. Aggravation of acute ischemic stroke by hyperthermia is related to an excitotoxic mechanism. Cereb. Dis 1999, 9, 22–27. [Google Scholar] [CrossRef] [PubMed]
- Dietrich, W.D.; Halley, M.; Valdes, I.; Busto, R. Interrelationships between increased vascular permeability and acute neuronal damage following temperature-controlled brain ischemia in rats. Acta Neuropathol. 1991, 81, 615–625. [Google Scholar] [CrossRef]
- Liu, A.; Fang, H.; Wei, W.; Dirsch, O.; Dahmen, U. Ischemic preconditioning protects against liver ischemia/reperfusion injury via heme oxygenase-1-mediated autophagy. Crit. Care Med. 2014, 42, e762–e771. [Google Scholar] [CrossRef]
- Abdureyim, S.; Amat, N.; Umar, A.; Upur, H.; Berke, B.; Moore, N. Anti-inflammatory, immunomodulatory, and heme oxygenase-1 inhibitory activities of ravan napas, a formulation of uighur traditional medicine, in a rat model of allergic asthma. Evid. Based Complement. Altern. Med 2011, 2011. [Google Scholar] [CrossRef]
- Ryter, S.W.; Alam, J.; Choi, A.M. Heme oxygenase-1/carbon monoxide: From basic science to therapeutic applications. Physiol. Rev. 2006, 86, 583–650. [Google Scholar] [CrossRef] [PubMed]
- Otterbein, L.E.; Choi, A.M. Heme oxygenase: Colors of defense against cellular stress. Am. J. Physiol. Lung Cell Mol. Physiol. 2000, 279, L1029–L1037. [Google Scholar] [CrossRef] [PubMed]
- Li, Q.; Li, J.; Zhang, L.; Wang, B.; Xiong, L. Preconditioning with hyperbaric oxygen induces tolerance against oxidative injury via increased expression of heme oxygenase-1 in primary cultured spinal cord neurons. Life Sci. 2007, 80, 1087–1093. [Google Scholar] [CrossRef] [PubMed]
- Thirunavukkarasu, M.; Penumathsa, S.V.; Koneru, S.; Juhasz, B.; Zhan, L.; Otani, H.; Bagchi, D.; Das, D.K.; Maulik, N. Resveratrol alleviates cardiac dysfunction in streptozotocin-induced diabetes: Role of nitric oxide, thioredoxin, and heme oxygenase. Free Radic Biol. Med. 2007, 43, 720–729. [Google Scholar] [CrossRef] [PubMed]
- Panahian, N.; Yoshiura, M.; Maines, M.D. Overexpression of heme oxygenase-1 is neuroprotective in a model of permanent middle cerebral artery occlusion in transgenic mice. J. Neurochem. 1999, 72, 1187–1203. [Google Scholar] [CrossRef] [PubMed]
- Lee, Y.J.; Yan, B.C.; Park, J.H.; Ahn, J.H.; Kim, I.H.; Lee, J.C.; Lee, H.Y.; Kim, Y.M.; Won, M.H.; Cho, J.H. Differences of calcium binding proteins immunoreactivities in the young hippocampal ca1 region from the adult following transient ischemic damage. J. Neurol. Sci. 2013, 326, 40–47. [Google Scholar] [CrossRef] [PubMed]
- Boysen, G.; Christensen, H. Stroke severity determines body temperature in acute stroke. Stroke 2001, 32, 413–417. [Google Scholar] [CrossRef] [PubMed]
- Ginsberg, M.D.; Busto, R. Combating hyperthermia in acute stroke: A significant clinical concern. Stroke 1998, 29, 529–534. [Google Scholar] [CrossRef]
- Seo, W.K.; Yu, S.W.; Kim, J.H.; Park, K.W.; Koh, S.B. The impact of hyperthermia and infection on acute ischemic stroke patients in the intensive care unit. Neurocrit. Care 2008, 9, 183–188. [Google Scholar] [CrossRef]
- Kil, H.Y.; Zhang, J.; Piantadosi, C.A. Brain temperature alters hydroxyl radical production during cerebral ischemia/reperfusion in rats. J. Cereb. Blood Flow Metab. 1996, 16, 100–106. [Google Scholar] [CrossRef]
- Meden, P.; Overgaard, K.; Pedersen, H.; Boysen, G. The influence of body temperature on infarct volume and thrombolytic therapy in a rat embolic stroke model. Brain Res. 1994, 647, 131–138. [Google Scholar] [CrossRef]
- Chen, J. Heme oxygenase in neuroprotection: From mechanisms to therapeutic implications. Rev. Neurosci. 2014, 25, 269–280. [Google Scholar] [CrossRef]
- Cheng, Y.; Rong, J. Therapeutic potential of heme oxygenase-1/carbon monoxide system against ischemia-reperfusion injury. Curr. Pharm. Des. 2017, 23, 3884–3898. [Google Scholar] [CrossRef]
- Zhang, X.; Liu, W.; Jian, Y.; Zhang, Y.; Bian, C.; Liu, S. Upregulation of heme oxygenase-1 expression for protecting against myocardial ischemia and reperfusion injury. Int. J. Cardiol. 2013, 167, 3027–3028. [Google Scholar] [CrossRef]
- Zhen-Wei, X.; Jian-Le, S.; Qi, Q.; Wen-Wei, Z.; Xue-Hong, Z.; Zi-Li, Z. Heme oxygenase-1 improves the survival of discordant cardiac xenograft through its anti-inflammatory and anti-apoptotic effects. Pediatric Transplant. 2007, 11, 850–859. [Google Scholar] [CrossRef] [PubMed]
- Kato, H.; Amersi, F.; Buelow, R.; Melinek, J.; Coito, A.J.; Ke, B.; Busuttil, R.W.; Kupiec-Weglinski, J.W. Heme oxygenase-1 overexpression protects rat livers from ischemia/reperfusion injury with extended cold preservation. Am. J. Transplant. Off. J. Am. Soc. Transplant. Am. Soc. Transpl. Surg. 2001, 1, 121–128. [Google Scholar] [CrossRef]
- Chen, K.; Gunter, K.; Maines, M.D. Neurons overexpressing heme oxygenase-1 resist oxidative stress-mediated cell death. J. Neurochem. 2000, 75, 304–313. [Google Scholar] [CrossRef] [PubMed]
- Schipper, H.M.; Song, W.; Zukor, H.; Hascalovici, J.R.; Zeligman, D. Heme oxygenase-1 and neurodegeneration: Expanding frontiers of engagement. J. Neurochem. 2009, 110, 469–485. [Google Scholar] [CrossRef]
- Gozzelino, R.; Jeney, V.; Soares, M.P. Mechanisms of cell protection by heme oxygenase-1. Annu. Rev. Pharm. Toxicol. 2010, 50, 323–354. [Google Scholar] [CrossRef] [PubMed]
- Schipper, H.M.; Gupta, A.; Szarek, W.A. Suppression of glial ho-1 activity as a potential neurotherapeutic intervention in ad. Curr. Alzheimer Res. 2009, 6, 424–430. [Google Scholar] [CrossRef]
- Panizzon, K.L.; Dwyer, B.E.; Nishimura, R.N.; Wallis, R.A. Neuroprotection against ca1 injury with metalloporphyrins. Neuroreport 1996, 7, 662–666. [Google Scholar] [CrossRef] [PubMed]
- Kadoya, C.; Domino, E.F.; Yang, G.Y.; Stern, J.D.; Betz, A.L. Preischemic but not postischemic zinc protoporphyrin treatment reduces infarct size and edema accumulation after temporary focal cerebral ischemia in rats. Stroke 1995, 26, 1035–1038. [Google Scholar] [CrossRef] [PubMed]
- Schmued, L.C.; Hopkins, K.J. Fluoro-jade b: A high affinity fluorescent marker for the localization of neuronal degeneration. Brain Res. 2000, 874, 123–130. [Google Scholar] [CrossRef]
- Lee, J.C.; Cho, J.H.; Lee, T.K.; Kim, I.H.; Won, M.H.; Cho, G.S.; Shin, B.N.; Hwang, I.K.; Park, J.H.; Ahn, J.H.; et al. Effect of hyperthermia on calbindin-d 28k immunoreactivity in the hippocampal formation following transient global cerebral ischemia in gerbils. Neural Regen. Res. 2017, 12, 1458–1464. [Google Scholar] [PubMed]
- Mason, T.J.; Matthews, M. Aquatic environment, housing, and management in the eighth edition of the guide for the care and use of laboratory animals: Additional considerations and recommendations. J. Am. Assoc. Lab. Anim. 2012, 51, 329–332. [Google Scholar]
- Engel, T.; Schindler, C.K.; Sanz-Rodriguez, A.; Conroy, R.M.; Meller, R.; Simon, R.P.; Henshall, D.C. Expression of neurogenesis genes in human temporal lobe epilepsy with hippocampal sclerosis. Int. J. Physiol. Pathophysiol. Pharmacol. 2011, 3, 38–47. [Google Scholar]
- Zhao, H.; Li, Z.; Wang, Y.; Zhang, Q. Hippocampal expression of synaptic structural proteins and phosphorylated camp response element-binding protein in a rat model of vascular dementia induced by chronic cerebral hypoperfusion. Neural Regen. Res. 2012, 7, 821–826. [Google Scholar]
- Carpenter, J.W. Exotic Animal Formulary-Ebook; Elsevier Health Sciences: Amsterdam, The Netherlands, 2012. [Google Scholar]
- Radtke-Schuller, S.; Schuller, G.; Angenstein, F.; Grosser, O.S.; Goldschmidt, J.; Budinger, E. Brain atlas of the mongolian gerbil (meriones unguiculatus) in ct/mri-aided stereotaxic coordinates. Brain Struct. Funct. 2016, 221 (Suppl. 1), 1–272. [Google Scholar] [CrossRef]
- Zhu, Y.; Liu, F.; Zou, X.; Torbey, M. Comparison of unbiased estimation of neuronal number in the rat hippocampus with different staining methods. J. Neurosci. Methods 2015, 254, 73–79. [Google Scholar] [CrossRef]
- Anderson, K.J.; Miller, K.M.; Fugaccia, I.; Scheff, S.W. Regional distribution of fluoro-jade b staining in the hippocampus following traumatic brain injury. Exp. Neurol. 2005, 193, 125–130. [Google Scholar] [CrossRef]
- Park, Y.E.; Noh, Y.; Kim, D.W.; Lee, T.K.; Ahn, J.H.; Kim, B.; Lee, J.C.; Park, C.W.; Park, J.H.; Kim, J.D.; et al. Experimental pretreatment with yes-10((r)), a plant extract rich in scutellarin and chlorogenic acid, protects hippocampal neurons from ischemia/reperfusion injury via antioxidant role. Exp. Ther. Med. 2021, 21, 183. [Google Scholar] [CrossRef]
- Ohk, T.G.; Ahn, J.H.; Park, Y.E.; Lee, T.K.; Kim, B.; Lee, J.C.; Cho, J.H.; Park, J.H.; Won, M.H.; Lee, C.H. Comparison of neuronal death and expression of tnfalpha and mct4 in the gerbil hippocampal ca1 region induced by ischemia/reperfusion under hyperthermia to those under normothermia. Mol. Med. Rep. 2020, 22, 1044–1052. [Google Scholar] [CrossRef] [PubMed]








Publisher’s Note: MDPI stays neutral with regard to jurisdictional claims in published maps and institutional affiliations. |
© 2021 by the authors. Licensee MDPI, Basel, Switzerland. This article is an open access article distributed under the terms and conditions of the Creative Commons Attribution (CC BY) license (https://creativecommons.org/licenses/by/4.0/).
Share and Cite
Lee, T.-K.; Lee, J.-C.; Kim, D.W.; Kim, B.; Sim, H.; Kim, J.D.; Ahn, J.H.; Park, J.H.; Lee, C.-H.; Won, M.-H.; et al. Ischemia-Reperfusion under Hyperthermia Increases Heme Oxygenase-1 in Pyramidal Neurons and Astrocytes with Accelerating Neuronal Loss in Gerbil Hippocampus. Int. J. Mol. Sci. 2021, 22, 3963. https://doi.org/10.3390/ijms22083963
Lee T-K, Lee J-C, Kim DW, Kim B, Sim H, Kim JD, Ahn JH, Park JH, Lee C-H, Won M-H, et al. Ischemia-Reperfusion under Hyperthermia Increases Heme Oxygenase-1 in Pyramidal Neurons and Astrocytes with Accelerating Neuronal Loss in Gerbil Hippocampus. International Journal of Molecular Sciences. 2021; 22(8):3963. https://doi.org/10.3390/ijms22083963
Chicago/Turabian StyleLee, Tae-Kyeong, Jae-Chul Lee, Dae Won Kim, Bora Kim, Hyejin Sim, Jong Dai Kim, Ji Hyeon Ahn, Joon Ha Park, Choong-Hyun Lee, Moo-Ho Won, and et al. 2021. "Ischemia-Reperfusion under Hyperthermia Increases Heme Oxygenase-1 in Pyramidal Neurons and Astrocytes with Accelerating Neuronal Loss in Gerbil Hippocampus" International Journal of Molecular Sciences 22, no. 8: 3963. https://doi.org/10.3390/ijms22083963
APA StyleLee, T.-K., Lee, J.-C., Kim, D. W., Kim, B., Sim, H., Kim, J. D., Ahn, J. H., Park, J. H., Lee, C.-H., Won, M.-H., & Choi, S. Y. (2021). Ischemia-Reperfusion under Hyperthermia Increases Heme Oxygenase-1 in Pyramidal Neurons and Astrocytes with Accelerating Neuronal Loss in Gerbil Hippocampus. International Journal of Molecular Sciences, 22(8), 3963. https://doi.org/10.3390/ijms22083963

