P25 Gene Knockout Contributes to Human Epidermal Growth Factor Production in Transgenic Silkworms
Abstract
1. Introduction
2. Results
2.1. Transgenic Vector Construction and Generation of Transgenic Silkworms
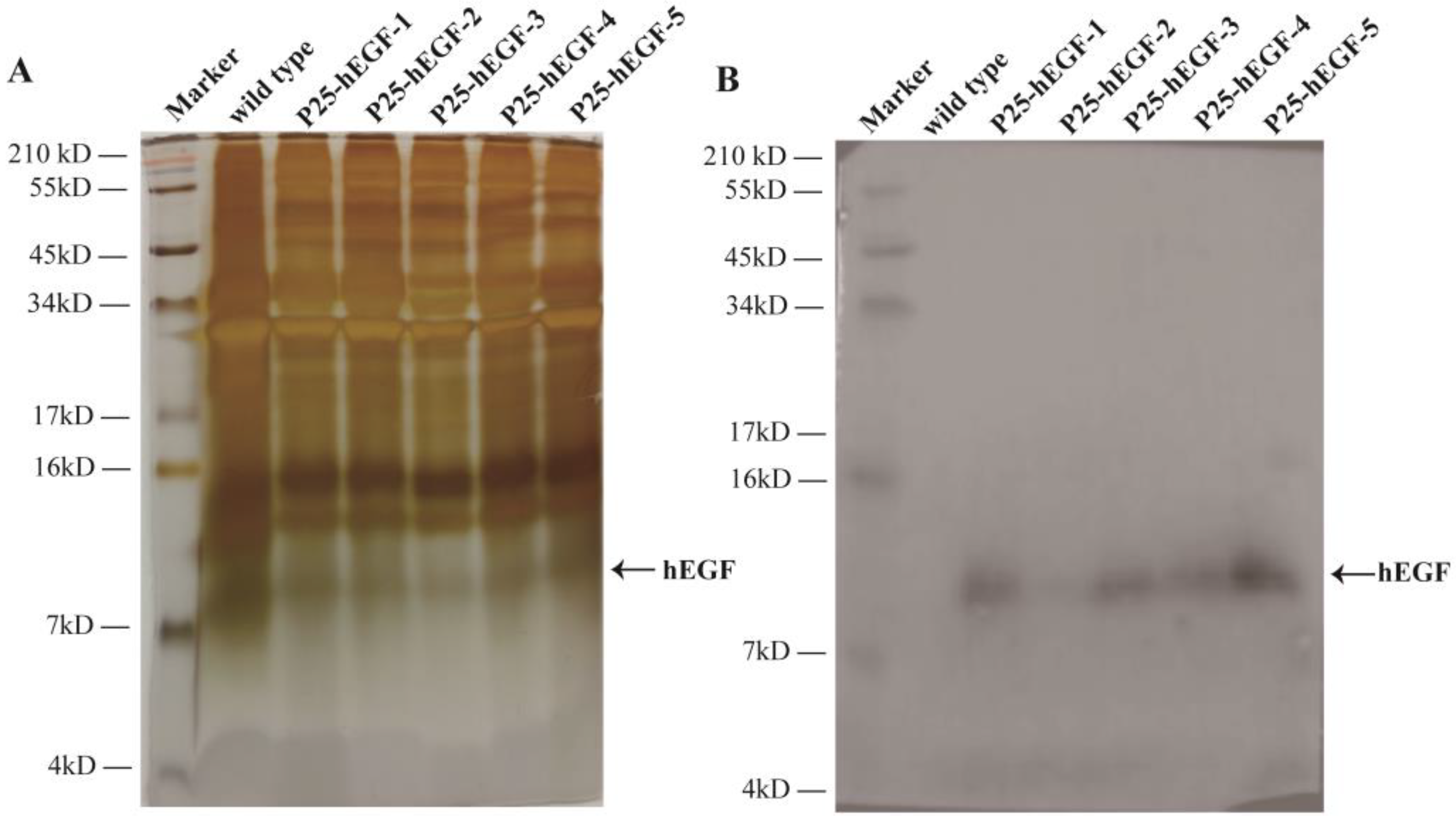
2.2. Gene Integration Site Detection and hEGF Protein Analysis in Transgenic Silkworms
2.3. Production of Transgenic Silkworms with a P25 Gene Knockout Background
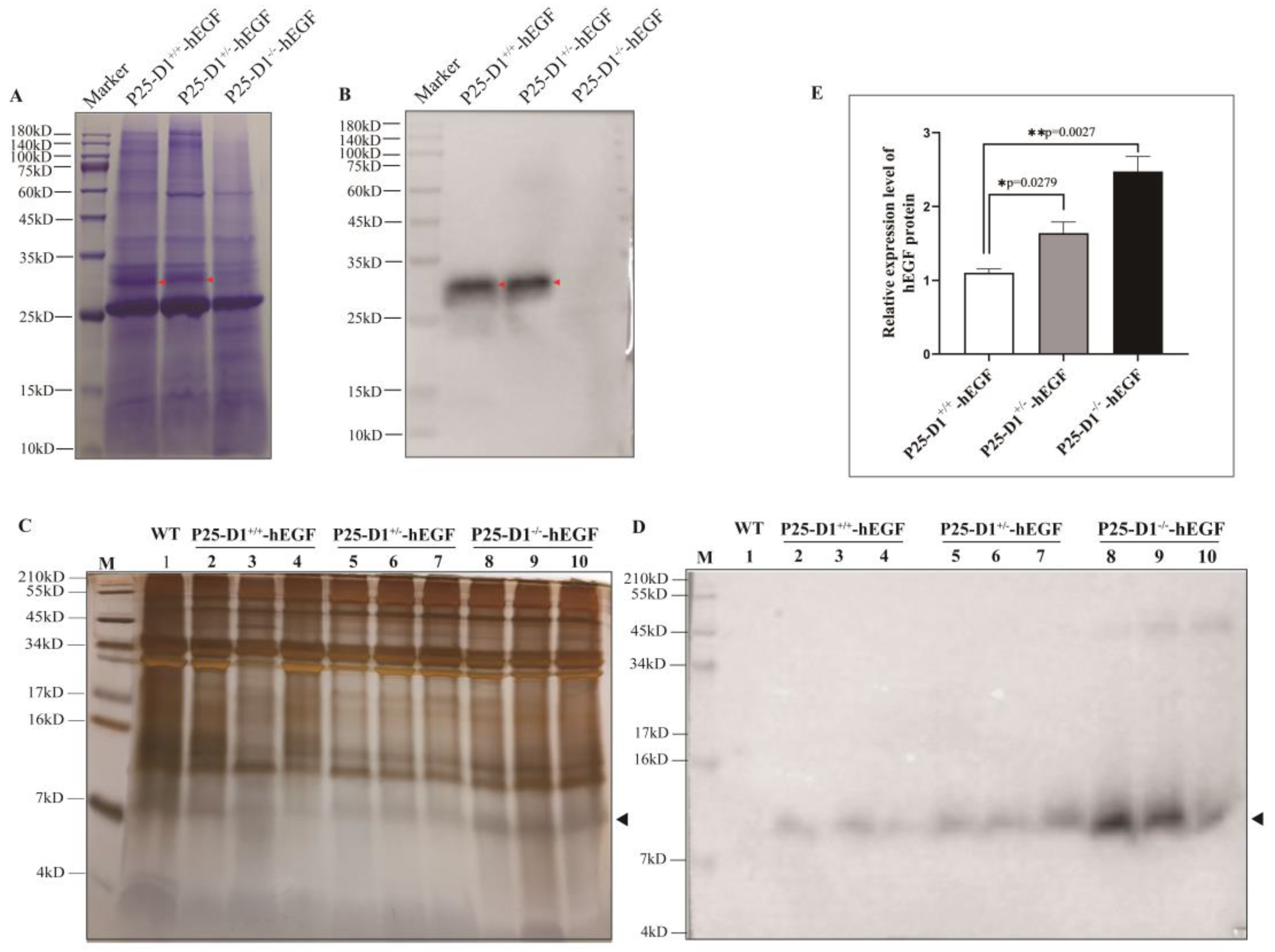
2.4. Phenotype and Protein Analysis of Transgenic Cocoons in a P25 Gene Knockout Background
2.5. Characteristics of P25-D1−/−-hEGF and P25-D1+/+-hEGF Cocoon Silks
3. Discussion
4. Materials and Methods
4.1. Transgene Vector Construction
4.2. Embryo Injection and Screening for Positive Individuals
4.3. Inverse PCR Analysis
4.4. SDS-PAGE and Western Blotting
4.5. Preparation of Transgenic Silkworms with a P25 Gene Knockout Background
4.6. Observation and FTIR Microspectroscopy Analysis of Cocoon Silks
4.7. Statistical Data Analysis
Author Contributions
Funding
Institutional Review Board Statement
Informed Consent Statement
Data Availability Statement
Acknowledgments
Conflicts of Interest
References
- Yamamoto, T.; Hoshikawa, K.; Ezura, K.; Okazawa, R.; Fujita, S.; Takaoka, M.; Mason, H.S.; Ezura, H.; Miura, K. Improvement of the transient expression system for production of recombinant proteins in plants. Sci. Rep. 2018, 8, 1–10. [Google Scholar] [CrossRef]
- Jia, B.; Jeon, C.O. High-throughput recombinant protein expression in Escherichia coli: Current status and future perspectives. Open Biol. 2016, 6, 160196. [Google Scholar] [CrossRef]
- Date, S.S.; Fiori, M.C.; Altenberg, G.A.; Jansen, M. Expression in Sf9 insect cells, purification and functional reconstitution of the human proton-coupled folate transporter (PCFT, SLC46A1). PLoS ONE 2017, 12, e0177572. [Google Scholar] [CrossRef] [PubMed]
- González, M.; Brito, N.; Hernández-Bolaños, E.; González, C. New tools for high-throughput expression of fungal secretory proteins in Saccharomyces cerevisiae and Pichia pastoris. Microb. Biotechnol. 2019, 12, 1139–1153. [Google Scholar] [CrossRef] [PubMed]
- Baser, B.; Spehr, J.; Büssow, K.; van den Heuvel, J. A method for specifically targeting two independent genomic integration sites for co-expression of genes in CHO cells. Methods 2016, 95, 3–12. [Google Scholar] [CrossRef] [PubMed]
- Tamura, T.; Thibert, C.; Royer, C.; Kanda, T.; Abraham, E.; Kamba, M.; Komoto, N.; Thomas, J.L.; Mauchamp, B.; Chavancy, G.; et al. Germline Transformation of the Silkworm Bombyx Mori L. Using a Piggybac Transposon-Derived Vector. Nat. Biotechnol. 2000, 18, 81–84. [Google Scholar] [CrossRef] [PubMed]
- Inoue, S.; Tanaka, K.; Arisaka, F.; Kimura, S.; Ohtomo, K.; Mizuno, S. Silk fibroin of Bombyx mori is secreted, assembling a high molecular mass elementary unit consisting of H-chain, L-chain, and P25, with a 6:6:1 molar ratio. J. Biol. Chem. 2000, 275, 40517–40528. [Google Scholar] [CrossRef] [PubMed]
- Teulé, F.; Miao, Y.G.; Sohn, B.H.; Kim, Y.S.; Hull, J.J.; Fraser, M.J., Jr.; Lewis, R.V.; Jarvis, D.L. Silkworms transformed with chimeric silkworm/spider silk genes spin composite silk fibers with improved mechanical properties. Proc. Natl. Acad. Sci. USA 2012, 109, 923–928. [Google Scholar] [CrossRef]
- Kurihara, H.; Sezutsu, H.; Tamura, T.; Yamada, K. Production of an Active Feline Interferon in the Cocoon of Transgenic Silkworms Using the Fibroin H-Chain Expression System. Biochem. Biophys. Res. Commun. 2007, 355, 976–980. [Google Scholar] [CrossRef]
- Qian, Q.J.; You, Z.Y.; Ye, L.P.; Che, J.Q.; Wang, Y.R.; Wang, S.H.; Zhong, B.X. High-efficiency production of human serum albumin in the posterior silk glands of transgenic silkworms, Bombyx mori L. PLoS ONE 2018, 13, e0191507. [Google Scholar] [CrossRef]
- Iizuka, M.; Ogawa, S.; Takeuchi, A.; Nakakita, S.; Kubo, Y.; Miyawaki, Y.; Hirabayashi, J.; Tomita, M. Production of a recombinant mouse monoclonal antibody in transgenic silkworm cocoons. FEBS J. 2009, 276, 5806–5820. [Google Scholar] [CrossRef]
- Adachi, T.; Wang, X.; Murata, T.; Obara, M.; Akutsu, H.; Machida, M.; Umezawa, A.; Tomita, M. Production of a non-triple helical collagen alpha chain in transgenic silkworms and its evaluation as a gelatin substitute for cell culture. Biotechnol. Bioeng. 2010, 106, 860–870. [Google Scholar] [CrossRef] [PubMed]
- Love, N.R.; Thuret, R.; Chen, Y.Y.; Ishibashi, S.; Sabherwal, N.; Paredes, R.; Alves-Silva, J.; Dorey, K.; Noble, A.M.; Guille, M.J.; et al. pTransgenesis: A cross-species, modular transgenesis resource. Development 2011, 138, 5451–5458. [Google Scholar] [CrossRef] [PubMed]
- Li, Y.M.; Cao, G.L.; Wang, Y.; Xue, R.Y.; Zhou, W.L.; Gong, C.L. Expression of the hIGF-I gene driven by the Fhx/P25 promoter in the silk glands of germline silkworm and transformed BmN cells. Biotechnol. Lett. 2011, 33, 489–494. [Google Scholar] [CrossRef] [PubMed]
- Royer, C.; Jalabert, A.; Rocha, M.D.; Grenier, A.M.; Mauchamp, B.; Couble, P.; Chavancy, G. Biosynthesis and cocoon-export of a recombinant globular protein in transgenic silkworms. Transgenic Res. 2005, 14, 463–472. [Google Scholar] [CrossRef]
- Ma, S.Y.; Shi, R.; Wang, X.G.; Liu, Y.Y.; Chang, J.S.; Gao, J.; Lu, W.; Zhang, J.D.; Zhao, P.; Xia, Q.Y. Genome editing of BmFib-H gene provides an empty Bombyx mori silk gland for a highly efficient bioreactor. Sci. Rep. 2014, 4, 6867. [Google Scholar] [CrossRef] [PubMed]
- Donohoe, F.; Wilkinson, M.; Baxter, E.; Brennan, D.J. Mitogen-Activated Protein Kinase (MAPK) and Obesity-Related Cancer. Int. J. Mol. Sci. 2020, 21, 1241. [Google Scholar] [CrossRef] [PubMed]
- Yoshida, E.; Kurita, M.; Eto, K.; Kumagai, Y.; Kaji, T. Methylmercury promotes prostacyclin release from cultured human brain microvascular endothelial cells via induction of cyclooxygenase-2 through activation of the EGFR-p38 MAPK pathway by inhibiting protein tyrosine phosphatase 1B activity. Toxicology 2017, 392, 40–46. [Google Scholar] [CrossRef]
- Bandaranayake, R.M.; Ungureanu, D.; Shan, Y.; Shaw, D.E.; Silvennoinen, O.; Hubbard, S.R. Crystal structures of the JAK2 pseudokinase domain and the pathogenic mutant V617F. Nat. Struct. Mol. Biol. 2012, 19, 754–759. [Google Scholar] [CrossRef] [PubMed]
- Chouhan, D.; Mandal, B.B. Silk Biomaterials in Wound Healing and Skin Regeneration Therapeutics: From Bench to Bedside. Acta Biomater. 2020, 103, 24–51. [Google Scholar] [CrossRef] [PubMed]
- Yang, H.Y.; Yang, S.N.; Kong, J.L.; Dong, A.C.; Yu, S.N. Obtaining Information About Protein Secondary Structures in Aqueous Solution Using Fourier Transform Ir Spectroscopy. Nat. Protoc. 2015, 10, 382–396. [Google Scholar] [CrossRef]
- Guo, C.C.; Zhang, J.; Jordan, J.S.; Wang, X.G.; Henning, R.W.; Yarger, J.L. Structural Comparison of Various Silkworm Silks: An Insight into the Structure-Property Relationship. Biomacromolecules 2018, 19, 906–917. [Google Scholar] [CrossRef] [PubMed]
- Tomita, M. Transgenic silkworms that weave recombinant proteins into silk cocoons. Biotechnol. Lett. 2011, 33, 645–654. [Google Scholar] [CrossRef] [PubMed]
- Inoue, S.; Tanaka, K.; Tanaka, H.; Ohtomo, K.; Kanda, T.; Imamura, M.; Quan, G.X.; Kojima, K.; Yamashita, T.; Nakajima, T.; et al. Assembly of the silk fibroin elementary unit in endoplasmic reticulum and a role of L-chain for protection of alpha1,2-mannose residues in N-linked oligosaccharide chains of fibrohexamerin/P25. Eur. J. Biochem. 2004, 271, 356–366. [Google Scholar] [CrossRef]
- Couble, P.; Moine, A.; Garel, A.; Prudhomme, J.C. Developmental variations of a nonfibroin mRNA of Bombyx mori silkgland, encoding for a low-molecular-weight silk protein. Dev. Biol. 1983, 97, 398–407. [Google Scholar] [CrossRef]
- Fang, G.Q.; Sapru, S.; Behera, S.; Yao, J.R.; Shao, Z.; Kundu, S.C.; Chen, X. Exploration of the tight structural-mechanical relationship in mulberry and non-mulberry silkworm silks. J. Mater. Chem. B 2016, 4, 4337–4347. [Google Scholar] [CrossRef] [PubMed]
- You, Z.Y.; Qian, Q.J.; Wang, Y.R.; Che, J.Q.; Ye, L.P.; Shen, L.R.; Zhong, B.X. Transgenic Silkworms Secrete the Recombinant Glycosylated Mrjp1 Protein of Chinese Honeybee, Apis Cerana Cerana. Transgenic Res. 2017, 26, 653–663. [Google Scholar] [CrossRef]
- You, Z.Y.; Ye, X.G.; Ye, L.P.; Qian, Q.J.; Wu, M.Y.; Song, J.; Che, J.Q.; Zhong, B.X. Extraordinary Mechanical Properties of Composite Silk Through Hereditable Transgenic Silkworm Expressing Recombinant Major Ampullate Spidroin. Sci. Rep. 2018, 8, 15956. [Google Scholar] [CrossRef]
- Wang, S.H.; Zhang, Y.Y.; Yang, M.Y.; Ye, L.P.; Gong, L.; Qian, Q.J.; Shuai, Y.J.; You, Z.Y.; Chen, Y.Y.; Zhong, B.X. Characterization of Transgenic Silkworm Yielded Biomaterials with Calcium-Binding Activity. PLoS ONE 2016, 11, e0159111. [Google Scholar] [CrossRef] [PubMed][Green Version]







| Silkworm Strain | Microinjected Embryos | Hatched Embryos (%) | Positive G1 Broods (%) |
|---|---|---|---|
| Lan 10 | 800 | 103 (12.88) | 5 (14.29) |
| Primer | Sequence (5′-3′) |
|---|---|
| pBacL1-F | GACAAGCACGCCTCAGCC |
| pBacL1-R | TGAGTCAAAATGACGCATGATTATC |
| pBacL2-F | GCTCCAAGCGGCGACTG |
| pBacL2-R | GGGATGTTCTTTAGACGATGAGC |
| pBacR1-F | TCTGTATATCGAGGTTTATTTA |
| pBacR1-R | CCGATAAAAACACATGC |
| pBacR2-F | ACTCAAAATTTCTTCTAAAGTAACAA |
| pBacR2-R | CTTTAACGTACGTCACAATATG |
| P25-F2 | CGAGGAGAACATTTTGCGCCTTAGA |
| P25-R2 | AACAGTGTTGCCTGATGAGGATGTC |
Publisher’s Note: MDPI stays neutral with regard to jurisdictional claims in published maps and institutional affiliations. |
© 2021 by the authors. Licensee MDPI, Basel, Switzerland. This article is an open access article distributed under the terms and conditions of the Creative Commons Attribution (CC BY) license (http://creativecommons.org/licenses/by/4.0/).
Share and Cite
Wu, M.; Ruan, J.; Ye, X.; Zhao, S.; Tang, X.; Wang, X.; Li, H.; Zhong, B. P25 Gene Knockout Contributes to Human Epidermal Growth Factor Production in Transgenic Silkworms. Int. J. Mol. Sci. 2021, 22, 2709. https://doi.org/10.3390/ijms22052709
Wu M, Ruan J, Ye X, Zhao S, Tang X, Wang X, Li H, Zhong B. P25 Gene Knockout Contributes to Human Epidermal Growth Factor Production in Transgenic Silkworms. International Journal of Molecular Sciences. 2021; 22(5):2709. https://doi.org/10.3390/ijms22052709
Chicago/Turabian StyleWu, Meiyu, Jinghua Ruan, Xiaogang Ye, Shuo Zhao, Xiaoli Tang, Xiaoxiao Wang, Huiping Li, and Boxiong Zhong. 2021. "P25 Gene Knockout Contributes to Human Epidermal Growth Factor Production in Transgenic Silkworms" International Journal of Molecular Sciences 22, no. 5: 2709. https://doi.org/10.3390/ijms22052709
APA StyleWu, M., Ruan, J., Ye, X., Zhao, S., Tang, X., Wang, X., Li, H., & Zhong, B. (2021). P25 Gene Knockout Contributes to Human Epidermal Growth Factor Production in Transgenic Silkworms. International Journal of Molecular Sciences, 22(5), 2709. https://doi.org/10.3390/ijms22052709

