Expression of Thomsen–Friedenreich Antigen in Colorectal Cancer and Association with Microsatellite Instability
Abstract
1. Introduction
2. Results
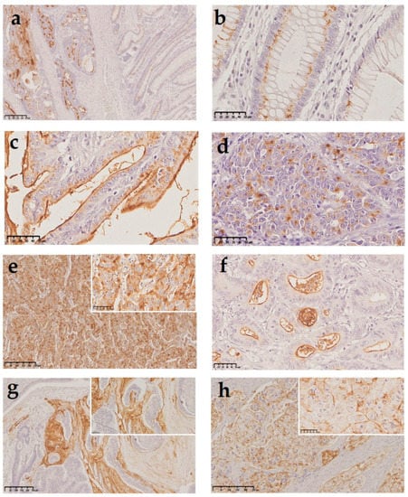
2.1. TF Expression in Colorectal Cancer
2.2. Survival Analysis
3. Discussion
4. Materials and Methods
4.1. Patients Samples
4.2. Immunohistochemistry for the Detection of MMR Proteins
4.3. MSI Testing
4.4. Histochemistry Profiling of the TF Antigen
4.5. Statistical Analysis
Supplementary Materials
Author Contributions
Funding
Institutional Review Board Statement
Informed Consent Statement
Data Availability Statement
Acknowledgments
Conflicts of Interest
Abbreviations
| ABC | Avidine-Biotin Peroxidase |
| BSA | Bovine serum albumin |
| CEA | Carcinoembryonic antigen |
| CHUSJ | Centro Hospitalar Universitário de São João |
| CMS | Consensus Molecular Subtype |
| CRC | Colorectal Cancer |
| DAB | 3,3′-diaminobenzidine tetrahydrochloride |
| FFPE | Phosphate-buffered saline |
| IHC | Immunohistochemistry |
| MMR | Mismatch Repair |
| MSI | Microsatellite instability |
| MSS | Microsatellite stable |
| NGS | New generation sequencing |
| NK | Natural killer cells |
| PBS | Phosphate-buffered saline |
| PNA | Peanut agglutinin |
| PCR | Polymerase chain reaction |
| TF | Thomsen–Friedenreich antigen |
| WHO | World Health Organization |
References
- Bray, F.; Ferlay, J.; Soerjomataram, I.; Siegel, R.L.; Torre, L.A.; Jemal, A. Global cancer statistics 2018: GLOBOCAN estimates of incidence and mortality worldwide for 36 cancers in 185 countries. CA Cancer J. Clin. 2018, 68, 394–424. [Google Scholar] [CrossRef] [PubMed]
- Murphy, N.; Moreno, V.; Hughes, D.J.; Vodicka, L.; Vodicka, P.; Aglago, E.K.; Gunter, M.J.; Jenab, M. Lifestyle and dietary environmental factors in colorectal cancer susceptibility. Mol. Asp. Med. 2019, 69, 2–9. [Google Scholar] [CrossRef] [PubMed]
- Nguyen, L.H.; Goel, A.; Chung, D.C. Pathways of Colorectal Carcinogenesis. Gastroenterology 2020, 158, 291–302. [Google Scholar] [CrossRef] [PubMed]
- Guinney, J.; Dienstmann, R.; Wang, X.; de Reyniès, A.; Schlicker, A.; Soneson, C.; Marisa, L.; Roepman, P.; Nyamundanda, G.; Angelino, P.; et al. The consensus molecular subtypes of colorectal cancer. Nat. Med. 2015, 21, 1350–1356. [Google Scholar] [CrossRef] [PubMed]
- Chang, L.; Chang, M.; Chang, H.M.; Chang, F. Expending Role of Microsatellite Instability in Diagnosis and Treatment of Colorectal Cancers. J. Gastrointest. Cancer 2017, 48, 305–313. [Google Scholar] [CrossRef]
- Boland, C.R.; Goel, A. Microsatellite instability in colorectal cancer. Gastroenterology 2010, 138, 2073–2087.e2073. [Google Scholar] [CrossRef]
- Thibodeau, S.N.; Bren, G.; Schaid, D. Microsatellite instability in cancer of the proximal colon. Science 1993, 260, 816–819. [Google Scholar] [CrossRef]
- Ionov, Y.; Peinado, M.A.; Malkhosyan, S.; Shibata, D.; Perucho, M. Ubiquitous somatic mutations in simple repeated sequences reveal a new mechanism for colonic carcinogenesis. Nature 1993, 363, 558–561. [Google Scholar] [CrossRef]
- Kawakami, H.; Zaanan, A.; Sinicrope, F.A. Microsatellite instability testing and its role in the management of colorectal cancer. Curr. Treat. Options Oncol. 2015, 16, 30. [Google Scholar] [CrossRef]
- Okita, A.; Takahashi, S.; Ouchi, K.; Inoue, M.; Watanabe, M.; Endo, M.; Honda, H.; Yamada, Y.; Ishioka, C. Consensus molecular subtypes classification of colorectal cancer as a predictive factor for chemotherapeutic efficacy against metastatic colorectal cancer. Oncotarget 2018, 9. [Google Scholar] [CrossRef]
- Argilés, G.; Tabernero, J.; Labianca, R.; Hochhauser, D.; Salazar, R.; Iveson, T.; Laurent-Puig, P.; Quirke, P.; Yoshino, T.; Taieb, J.; et al. Localised colon cancer: ESMO Clinical Practice Guidelines for diagnosis, treatment and follow-up. Ann. Oncol. 2020, 31, 1291–1305. [Google Scholar] [CrossRef] [PubMed]
- Ribic, C.M.; Sargent, D.J.; Moore, M.J.; Thibodeau, S.N.; French, A.J.; Goldberg, R.M.; Hamilton, S.R.; Laurent-Puig, P.; Gryfe, R.; Shepherd, L.E.; et al. Tumor microsatellite-instability status as a predictor of benefit from fluorouracil-based adjuvant chemotherapy for colon cancer. N. Engl. J. Med. 2003, 349, 247–257. [Google Scholar] [CrossRef] [PubMed]
- Sargent, D.J.; Marsoni, S.; Monges, G.; Thibodeau, S.N.; Labianca, R.; Hamilton, S.R.; French, A.J.; Kabat, B.; Foster, N.R.; Torri, V.; et al. Defective mismatch repair as a predictive marker for lack of efficacy of fluorouracil-based adjuvant therapy in colon cancer. J. Clin. Oncol. 2010, 28, 3219–3226. [Google Scholar] [CrossRef] [PubMed]
- Tejpar, S.; Saridaki, Z.; Delorenzi, M.; Bosman, F.; Roth, A.D. Microsatellite instability, prognosis and drug sensitivity of stage II and III colorectal cancer: More complexity to the puzzle. J. Natl. Cancer Inst. 2011, 103, 841–844. [Google Scholar] [CrossRef] [PubMed]
- Mouradov, D.; Domingo, E.; Gibbs, P.; Jorissen, R.N.; Li, S.; Soo, P.Y.; Lipton, L.; Desai, J.; Danielsen, H.E.; Oukrif, D.; et al. Survival in stage II/III colorectal cancer is independently predicted by chromosomal and microsatellite instability, but not by specific driver mutations. Am. J. Gastroenterol. 2013, 108, 1785–1793. [Google Scholar] [CrossRef]
- Popat, S.; Hubner, R.; Houlston, R.S. Systematic review of microsatellite instability and colorectal cancer prognosis. J. Clin. Oncol. 2005, 23, 609–618. [Google Scholar] [CrossRef]
- Guastadisegni, C.; Colafranceschi, M.; Ottini, L.; Dogliotti, E. Microsatellite instability as a marker of prognosis and response to therapy: A meta-analysis of colorectal cancer survival data. Eur. J. Cancer 2010, 46, 2788–2798. [Google Scholar] [CrossRef]
- Brockhausen, I. Mucin-type O-glycans in human colon and breast cancer: Glycodynamics and functions. EMBO Rep. 2006, 7, 599–604. [Google Scholar] [CrossRef]
- Pinho, S.S.; Reis, C.A. Glycosylation in cancer: Mechanisms and clinical implications. Nat. Rev. Cancer 2015, 15, 540–555. [Google Scholar] [CrossRef]
- Mereiter, S.; Balmaña, M.; Campos, D.; Gomes, J.; Reis, C.A. Glycosylation in the Era of Cancer-Targeted Therapy: Where Are We Heading? Cancer Cell 2019, 36, 6–16. [Google Scholar] [CrossRef]
- Mereiter, S.; Magalhães, A.; Adamczyk, B.; Jin, C.; Almeida, A.; Drici, L.; Ibáñez-Vea, M.; Gomes, C.; Ferreira, J.A.; Afonso, L.P.; et al. Glycomic analysis of gastric carcinoma cells discloses glycans as modulators of RON receptor tyrosine kinase activation in cancer. Biochim. Biophys. Acta 2016, 1860, 1795–1808. [Google Scholar] [CrossRef] [PubMed]
- Campos, D.; Freitas, D.; Gomes, J.; Magalhães, A.; Steentoft, C.; Gomes, C.; Vester-Christensen, M.B.; Ferreira, J.A.; Afonso, L.P.; Santos, L.L.; et al. Probing the O-Glycoproteome of Gastric Cancer Cell Lines for Biomarker Discovery. Mol. Cell. Proteom. 2015, 14, 1616. [Google Scholar] [CrossRef] [PubMed]
- Marcos, N.T.; Pinho, S.; Grandela, C.; Cruz, A.; Samyn-Petit, B.; Harduin-Lepers, A.; Almeida, R.; Silva, F.; Morais, V.; Costa, J.; et al. Role of the Human ST6GalNAc-I and ST6GalNAc-II in the Synthesis of the Cancer-Associated Sialyl-Tn Antigen. Cancer Res. 2004, 64, 7050. [Google Scholar] [CrossRef] [PubMed]
- Marcos, N.T.; Bennett, E.P.; Gomes, J.; Magalhaes, A.; Gomes, C.; David, L.; Dar, I.; Jeanneau, C.; DeFrees, S.; Krustrup, D.; et al. ST6GalNAc-I controls expression of sialyl-Tn antigen in gastrointestinal tissues. Front. Biosci. 2011, 3, 1443–1455. [Google Scholar] [CrossRef]
- Hung, J.S.; Huang, J.; Lin, Y.C.; Huang, M.J.; Lee, P.H.; Lai, H.S.; Liang, J.T.; Huang, M.C. C1GALT1 overexpression promotes the invasive behavior of colon cancer cells through modifying O-glycosylation of FGFR2. Oncotarget 2014, 5, 2096–2106. [Google Scholar] [CrossRef]
- Barrow, H.; Tam, B.; Duckworth, C.A.; Rhodes, J.M.; Yu, L.-G. Suppression of Core 1 Gal-Transferase Is Associated with Reduction of TF and Reciprocal Increase of Tn, sialyl-Tn and Core 3 Glycans in Human Colon Cancer Cells. PLoS ONE 2013, 8, e59792. [Google Scholar] [CrossRef]
- Holst, S.; Wuhrer, M.; Rombouts, Y. Glycosylation characteristics of colorectal cancer. Adv. Cancer Res. 2015, 126, 203–256. [Google Scholar] [CrossRef]
- Kudelka, M.R.; Ju, T.; Heimburg-Molinaro, J.; Cummings, R.D. Simple sugars to complex disease--mucin-type O-glycans in cancer. Adv. Cancer Res. 2015, 126, 53–135. [Google Scholar] [CrossRef]
- Cao, Y.; Stosiek, P.; Springer, G.F.; Karsten, U. Thomsen-Friedenreich-related carbohydrate antigens in normal adult human tissues: A systematic and comparative study. Histochem. Cell Biol. 1996, 106, 197–207. [Google Scholar] [CrossRef]
- Cao, Y.; Karsten, U.R.; Liebrich, W.; Haensch, W.; Springer, G.F.; Schlag, P.M. Expression of Thomsen-Friedenreich-related antigens in primary and metastatic colorectal carcinomas. A reevaluation. Cancer 1995, 76, 1700–1708. [Google Scholar] [CrossRef]
- Mereiter, S.; Polom, K.; Williams, C.; Polonia, A.; Guergova-Kuras, M.; Karlsson, N.G.; Roviello, F.; Magalhaes, A.; Reis, C.A. The Thomsen-Friedenreich Antigen: A Highly Sensitive and Specific Predictor of Microsatellite Instability in Gastric Cancer. J. Clin. Med. 2018, 7, 256. [Google Scholar] [CrossRef] [PubMed]
- Cano, M.E.; Varela, O.; García-Moreno, M.I.; García Fernández, J.M.; Kovensky, J.; Uhrig, M.L. Synthesis of β-galactosylamides as ligands of the peanut lectin. Insights into the recognition process. Carbohydr. Res. 2017, 443–444, 58–67. [Google Scholar] [CrossRef] [PubMed]
- Howlader, N.; Noone, A.M.; Krapcho, M.; Miller, D.; Brest, A.; Yu, M.; Ruhl, J.; Tatalovich, Z.; Mariotto, A.; Lewis, D.R.; et al. (Eds.) SEER Cancer Statistics Review, 1975–2016. Available online: https://seer.cancer.gov/csr/1975_2016 (accessed on 19 January 2020).
- Varki, A. Biological roles of oligosaccharides: All of the theories are correct. Glycobiology 1993, 3, 97–130. [Google Scholar] [CrossRef] [PubMed]
- Li, C.W.; Lim, S.O.; Xia, W.; Lee, H.H.; Chan, L.C.; Kuo, C.W.; Khoo, K.H.; Chang, S.S.; Cha, J.H.; Kim, T.; et al. Glycosylation and stabilization of programmed death ligand-1 suppresses T-cell activity. Nat. Commun. 2016, 7, 12632. [Google Scholar] [CrossRef] [PubMed]
- Rodriguez, E.; Schetters, S.T.T.; van Kooyk, Y. The tumour glyco-code as a novel immune checkpoint for immunotherapy. Nat. Rev. Immunol. 2018, 18, 204–211. [Google Scholar] [CrossRef]
- Paszek, M.J.; DuFort, C.C.; Rossier, O.; Bainer, R.; Mouw, J.K.; Godula, K.; Hudak, J.E.; Lakins, J.N.; Wijekoon, A.C.; Cassereau, L.; et al. The cancer glycocalyx mechanically primes integrin-mediated growth and survival. Nature 2014, 511, 319–325. [Google Scholar] [CrossRef] [PubMed]
- Taniguchi, N.; Hancock, W.; Lubman, D.M.; Rudd, P.M. The second golden age of glycomics: From functional glycomics to clinical applications. J. Proteome Res. 2009, 8, 425–426. [Google Scholar] [CrossRef]
- Reis, C.A.; Osorio, H.; Silva, L.; Gomes, C.; David, L. Alterations in glycosylation as biomarkers for cancer detection. J. Clin. Pathol. 2010, 63, 322–329. [Google Scholar] [CrossRef] [PubMed]
- Youssef, E.M.I.; Ewieda, G.H.; Ali, H.A.A.; Tawfik, A.M.; El-fatah, W.M.E.-d.A.; Ezzat, A.A.; Tash, R.M.E.; El-Khouly, N. Comparison between CEA, CA 19-9 and CA 72-4 in Patients with Colon Cancer. Int. J. Tumor Ther. 2013, 2, 26–34. [Google Scholar] [CrossRef]
- Newton, K.F.; Newman, W.; Hill, J. Review of biomarkers in colorectal cancer. Colorectal Dis. 2012, 14, 3–17. [Google Scholar] [CrossRef]
- Karsten, U.; Goletz, S. What controls the expression of the core-1 (Thomsen-Friedenreich) glycotope on tumor cells? Biochemistry 2015, 80, 801–807. [Google Scholar] [CrossRef] [PubMed]
- Fu, C.; Zhao, H.; Wang, Y.; Cai, H.; Xiao, Y.; Zeng, Y.; Chen, H. Tumor-associated antigens: Tn antigen, sTn antigen, and T antigen. HLA 2016, 88, 275–286. [Google Scholar] [CrossRef] [PubMed]
- Yu, L.G.; Andrews, N.; Zhao, Q.; McKean, D.; Williams, J.F.; Connor, L.J.; Gerasimenko, O.V.; Hilkens, J.; Hirabayashi, J.; Kasai, K.; et al. Galectin-3 interaction with Thomsen-Friedenreich disaccharide on cancer-associated MUC1 causes increased cancer cell endothelial adhesion. J. Biol. Chem. 2007, 282, 773–781. [Google Scholar] [CrossRef]
- Khaldoyanidi, S.K.; Glinsky, V.V.; Sikora, L.; Glinskii, A.B.; Mossine, V.V.; Quinn, T.P.; Glinsky, G.V.; Sriramarao, P. MDA-MB-435 human breast carcinoma cell homo- and heterotypic adhesion under flow conditions is mediated in part by Thomsen-Friedenreich antigen-galectin-3 interactions. J. Biol. Chem. 2003, 278, 4127–4134. [Google Scholar] [CrossRef] [PubMed]
- Buza, N.; Ziai, J.; Hui, P. Mismatch repair deficiency testing in clinical practice. Expert Rev. Mol. Diagn. 2016, 16, 591–604. [Google Scholar] [CrossRef]
- Shia, J. Immunohistochemistry versus microsatellite instability testing for screening colorectal cancer patients at risk for hereditary nonpolyposis colorectal cancer syndrome. Part, I. The utility of immunohistochemistry. J. Mol. Diagn. 2008, 10, 293–300. [Google Scholar] [CrossRef]
- Klarskov, L.; Ladelund, S.; Holck, S.; Roenlund, K.; Lindebjerg, J.; Elebro, J.; Halvarsson, B.; von Salome, J.; Bernstein, I.; Nilbert, M. Interobserver variability in the evaluation of mismatch repair protein immunostaining. Hum. Pathol. 2010, 41, 1387–1396. [Google Scholar] [CrossRef]
- Ferreira, J.A.; Magalhães, A.; Gomes, J.; Peixoto, A.; Gaiteiro, C.; Fernandes, E.; Santos, L.L.; Reis, C.A. Protein glycosylation in gastric and colorectal cancers: Toward cancer detection and targeted therapeutics. Cancer Lett. 2017, 387, 32–45. [Google Scholar] [CrossRef]
- Tachon, G.; Frouin, E.; Karayan-Tapon, L.; Auriault, M.L.; Godet, J.; Moulin, V.; Wang, Q.; Tougeron, D. Heterogeneity of mismatch repair defect in colorectal cancer and its implications in clinical practice. Eur. J. Cancer 2018, 95, 112–116. [Google Scholar] [CrossRef]
- Loughrey, M.B.; McGrath, J.; Coleman, H.G.; Bankhead, P.; Maxwell, P.; McGready, C.; Bingham, V.; Humphries, M.P.; Craig, S.G.; McQuaid, S.; et al. Identifying mismatch repair-deficient colon cancer: Near-perfect concordance between immunohistochemistry and microsatellite instability testing in a large, population-based series. Histopathology 2020. [Google Scholar] [CrossRef]
- Evrard, C.; Tachon, G.; Randrian, V.; Karayan-Tapon, L.; Tougeron, D. Microsatellite Instability: Diagnosis, Heterogeneity, Discordance, and Clinical Impact in Colorectal Cancer. Cancers 2019, 11, 1567. [Google Scholar] [CrossRef] [PubMed]
- Schmoll, H.J.; Van Cutsem, E.; Stein, A.; Valentini, V.; Glimelius, B.; Haustermans, K.; Nordlinger, B.; van de Velde, C.J.; Balmana, J.; Regula, J.; et al. ESMO Consensus Guidelines for management of patients with colon and rectal cancer. a personalized approach to clinical decision making. Ann. Oncol. 2012, 23, 2479–2516. [Google Scholar] [CrossRef] [PubMed]
- Oliveira, A.F.; Bretes, L.; Furtado, I. Review of PD-1/PD-L1 Inhibitors in Metastatic dMMR/MSI-H Colorectal Cancer. Front. Oncol. 2019, 9, 396. [Google Scholar] [CrossRef] [PubMed]
- Le, D.T.; Uram, J.N.; Wang, H.; Bartlett, B.R.; Kemberling, H.; Eyring, A.D.; Skora, A.D.; Luber, B.S.; Azad, N.S.; Laheru, D.; et al. PD-1 Blockade in Tumors with Mismatch-Repair Deficiency. N. Engl. J. Med. 2015, 372, 2509–2520. [Google Scholar] [CrossRef] [PubMed]
- Sclafani, F. PD-1 inhibition in metastatic dMMR/MSI-H colorectal cancer. Lancet Oncol. 2017, 18, 1141–1142. [Google Scholar] [CrossRef]
- Sotiriadis, J.; Shin, S.C.; Yim, D.; Sieber, D.; Kim, Y.B. Thomsen-Friedenreich (T) antigen expression increases sensitivity of natural killer cell lysis of cancer cells. Int. J. Cancer 2004, 111, 388–397. [Google Scholar] [CrossRef]
- Saeland, E.; van Vliet, S.J.; Bäckström, M.; van den Berg, V.C.; Geijtenbeek, T.B.; Meijer, G.A.; van Kooyk, Y. The C-type lectin MGL expressed by dendritic cells detects glycan changes on MUC1 in colon carcinoma. Cancer Immunol. Immunother. 2007, 56, 1225–1236. [Google Scholar] [CrossRef]
- Banerjea, A.; Ahmed, S.; Hands, R.E.; Huang, F.; Han, X.; Shaw, P.M.; Feakins, R.; Bustin, S.A.; Dorudi, S. Colorectal cancers with microsatellite instability display mRNA expression signatures characteristic of increased immunogenicity. Mol. Cancer 2004, 3, 21. [Google Scholar] [CrossRef][Green Version]
- Phillips, S.M.; Banerjea, A.; Feakins, R.; Li, S.R.; Bustin, S.A.; Dorudi, S. Tumour-infiltrating lymphocytes in colorectal cancer with microsatellite instability are activated and cytotoxic. Br. J. Surg. 2004, 91, 469–475. [Google Scholar] [CrossRef]
- Nagtegaal, I.D.; Odze, R.D.; Klimstra, D.; Paradis, V.; Rugge, M.; Schirmacher, P.; Washington, K.M.; Carneiro, F.; Cree, I.A.; WHO Classification of Tumours Editorial Board. The 2019 WHO classification of tumours of the digestive system. Histopathology 2020, 76, 182–188. [Google Scholar] [CrossRef]
- Ajani, J.A.; Sano, T.; Amin, M.B.; Edge, S.; Greene, F.; Byrd, D.R.; Brookland, R.K.; Washington, M.K.; Gershenwald, J.E.; Compton, C.C.; et al. (Eds.) Stomach. In AJCC Cancer Staging Manual, 8th ed.; Springer International Publishing: Cham, Switzerland, 2017. [Google Scholar]
- Dukes, C.E. The classification of cancer of the rectum. J. Pathol. Bacteriol. 1932, 35, 323–332. [Google Scholar] [CrossRef]
- Jass, J.R.; Morson, B.C. Reporting colorectal cancer. J. Clin. Pathol. 1987, 40, 1016–1023. [Google Scholar] [CrossRef] [PubMed]
- Sarode, V.R.; Robinson, L. Screening for Lynch Syndrome by Immunohistochemistry of Mismatch Repair Proteins: Significance of Indeterminate Result and Correlation with Mutational Studies. Arch. Pathol. Lab. Med. 2019, 143, 1225–1233. [Google Scholar] [CrossRef] [PubMed]
- Mindiola-Romero, M.A.; Green, B.D.; Al-Turkmani, M.; Godwin, B.K.; Mackay, B.A.; Tafe, M.L.; Ren, M.B.; Tsongalis, G. Novel Biocartis Idylla™ cartridge-based assay for detection of microsatellite instability in colorectal cancer tissues. Exp. Mol. Pathol. 2020, 116, 104519. [Google Scholar] [CrossRef] [PubMed]
- Umar, A.; Boland, C.R.; Terdiman, J.P.; Syngal, S.; de la Chapelle, A.; Ruschoff, J.; Fishel, R.; Lindor, N.M.; Burgart, L.J.; Hamelin, R.; et al. Revised Bethesda Guidelines for hereditary nonpolyposis colorectal cancer (Lynch syndrome) and microsatellite instability. J. Natl. Cancer Inst. 2004, 96, 261–268. [Google Scholar] [CrossRef] [PubMed]



| Categories | Total | TF Positive | TF Negative | p-Value 1 | |
|---|---|---|---|---|---|
| n (%) | n (%) | n (%) | |||
| 96 (100%) | 55 (57%) | 41 (43%) | |||
| Gender | F | 44 (46%) | 24 (44%) | 20 (49%) | 0.38 |
| M | 52 (54%) | 31 (56%) | 21 (51%) | ||
| Age of diagnosis | Mean value (Years) | 54.8 | 53.5 | 56.7 | 0.23 |
| Tumor Site | Right Hemicolon | 45 (47%) | 24 (44%) | 21 (51%) | 0.24 |
| Left Hemicolon | 39 (41%) | 21 (38%) | 18 (44%) | ||
| Rectum | 9 (9%) | 7 (13%) | 2 (5%) | ||
| Colon NOS | 3 (3%) | 3 (5%) | 0 (0%) | ||
| WHO Classification | Adenocarcinoma NOS | 80 (83%) | 45 (82%) | 35 (85%) | 0.66 |
| Mucinous | 15 (16%) | 9 (16%) | 6 (15%) | ||
| Undifferentiated | 1 (1%) | 1 (2%) | 0 (0%) | ||
| Macroscopic Type | Ulcerated | 60 (62%) | 40 (73%) | 20 (49%) | 0.02 * |
| Vegetant | 20 (21%) | 9 (16%) | 11 (27%) | ||
| Infiltrative | 2 (2%) | 2 (4%) | 0 (0%) | ||
| Polypoid | 14 (15%) | 4 (7%) | 10 (24%) | ||
| Tumor grading | Low-grade | 85 (88%) | 49 (89%) | 36 (88%) | 0.55 |
| High-grade | 11 (12%) | 6 (11%) | 5 (12%) | ||
| R status | R0 | 91 (95%) | 52 (95%) | 39 (95%) | 0.66 |
| R1 | 4 (4%) | 2 (4%) | 2 (5%) | ||
| R2 | 1 (1%) | 1 (1%) | 0 (0%) | ||
| Growth pattern | Infiltrative | 69 (72%) | 37 (67%) | 32 (78%) | 0.18 |
| Expansive | 27 (28%) | 18 (33%) | 9 (22%) | ||
| Desmoplasia | Absent/Mild | 38 (40%) | 17 (31%) | 21 (51%) | 0.04 * |
| Moderate/Strong | 58 (60%) | 38 (69%) | 20 (49%) | ||
| Inflammatory infiltrate | Absent/Mild | 49 (51%) | 27 (49%) | 22 (54%) | 0.41 |
| Moderate/Strong | 47 (49%) | 28 (51%) | 19 (46%) | ||
| pT (TNM Classification) | pT1 | 17 (18%) | 4 (7%) | 13 (32%) | 0.02 * |
| pT2 | 20 (21%) | 14 (26%) | 6 (15%) | ||
| pT3 | 43 (45%) | 28 (51%) | 15 (36%) | ||
| pT4 | 16 (16%) | 9 (16%) | 7 (17%) | ||
| pN (TNM Classification) | pN0 | 57 (59%) | 36 (65%) | 21 (51%) | 0.36 |
| pN1 | 28 (29%) | 14 (26%) | 14 (34%) | ||
| pN2 | 11 (12%) | 5 (9%) | 6 (15%) | ||
| pM (TNM Classification) | M0 | 86 (90%) | 51 (93%) | 35 (85%) | 0.20 |
| M1 | 10 (10%) | 4 (7%) | 6 (15%) | ||
| Staging | Early (I & II) | 57 (59%) | 36 (66%) | 21 (51%) | 0.36 |
| III | 30 (31%) | 15 (27%) | 15 (37%) | ||
| IV | 9 (10%) | 4 (7%) | 5 (12%) | ||
| Peritoneal Implants | Present | 3 (3%) | 2 (4%) | 1 (2%) | 0.61 |
| Absent | 93 (97%) | 53 (96%) | 40 (98%) | ||
| Lymphatic and/or venous invasion | Present | 60 (62%) | 36 (66%) | 24 (58%) | 0.32 |
| Absent | 36 (38%) | 19 (34%) | 17 (42%) | ||
| Perineural invasion | Present | 29 (30%) | 14 (26%) | 15 (37%) | 0.17 |
| Absent | 67 (70%) | 41 (74%) | 26 (63%) | ||
| Adjuvant Therapy | Performed | 54 (56%) | 30 (54%) | 24 (58%) | 0.43 |
| Not performed | 42 (44%) | 25 (46%) | 17 (42%) | ||
| Dukes classification | A | 28 (29%) | 13 (24%) | 15 (37%) | 0.07 |
| B | 29 (30%) | 22 (40%) | 7 (17%) | ||
| C | 38 (40%) | 19 (34%) | 19 (46%) | ||
| D | 1 (1%) | 1 (2%) | 0 (0%) | ||
| Jass/Morson classification | I | 27 (28%) | 16 (29%) | 11 (27%) | 0.99 |
| II | 25 (26%) | 14 (25%) | 11 (27%) | ||
| III | 25 (26%) | 14 (26%) | 11 (27%) | ||
| IV | 19 (20%) | 11 (20%) | 8 (19%) | ||
| CRC Family History | Present | 26 (27%) | 16 (29%) | 10 (24%) | 0.39 |
| Absent | 70 (73%) | 39 (71%) | 31 (76%) | ||
| Survival time | Mean value (Years) | 5.4 | 4.8 | 6.1 | 0.09 |
| Categories | Total | TF Positive | TF Negative | p-Value 1 | |
|---|---|---|---|---|---|
| n (%) | n (%) | n (%) | |||
| 96 (100%) | 55 (57%) | 41 (43%) | |||
| MSI status | High | 25 (26%) | 15 (27%) | 10 (24%) | 0.47 |
| Stable | 71 (74%) | 40 (73%) | 31 (76%) |
Publisher’s Note: MDPI stays neutral with regard to jurisdictional claims in published maps and institutional affiliations. |
© 2021 by the authors. Licensee MDPI, Basel, Switzerland. This article is an open access article distributed under the terms and conditions of the Creative Commons Attribution (CC BY) license (http://creativecommons.org/licenses/by/4.0/).
Share and Cite
Leão, B.; Wen, X.; Duarte, H.O.; Gullo, I.; Gonçalves, G.; Pontes, P.; Castelli, C.; Diniz, F.; Mereiter, S.; Gomes, J.; et al. Expression of Thomsen–Friedenreich Antigen in Colorectal Cancer and Association with Microsatellite Instability. Int. J. Mol. Sci. 2021, 22, 1340. https://doi.org/10.3390/ijms22031340
Leão B, Wen X, Duarte HO, Gullo I, Gonçalves G, Pontes P, Castelli C, Diniz F, Mereiter S, Gomes J, et al. Expression of Thomsen–Friedenreich Antigen in Colorectal Cancer and Association with Microsatellite Instability. International Journal of Molecular Sciences. 2021; 22(3):1340. https://doi.org/10.3390/ijms22031340
Chicago/Turabian StyleLeão, Beatriz, Xiaogang Wen, Henrique O. Duarte, Irene Gullo, Gilza Gonçalves, Patrícia Pontes, Claudia Castelli, Francisca Diniz, Stefan Mereiter, Joana Gomes, and et al. 2021. "Expression of Thomsen–Friedenreich Antigen in Colorectal Cancer and Association with Microsatellite Instability" International Journal of Molecular Sciences 22, no. 3: 1340. https://doi.org/10.3390/ijms22031340
APA StyleLeão, B., Wen, X., Duarte, H. O., Gullo, I., Gonçalves, G., Pontes, P., Castelli, C., Diniz, F., Mereiter, S., Gomes, J., Carneiro, F., & Reis, C. A. (2021). Expression of Thomsen–Friedenreich Antigen in Colorectal Cancer and Association with Microsatellite Instability. International Journal of Molecular Sciences, 22(3), 1340. https://doi.org/10.3390/ijms22031340

