Inhibition of Stress-Induced Viral Promoters by a Bovine Herpesvirus 1 Non-Coding RNA and the Cellular Transcription Factor, β-Catenin
Abstract
1. Introduction
2. Results
2.1. ORF2 Sequences Reduce GR+DEX-Mediated Transactivation
2.2. ORF2 RNA Sequences Interfere with GR-Mediated Transactivation
2.3. ORF2 Impairs Productive Infection
2.4. β-Catenin Reduces GR-Mediated Transactivation of the BoHV-1 IEtu1 Promoter
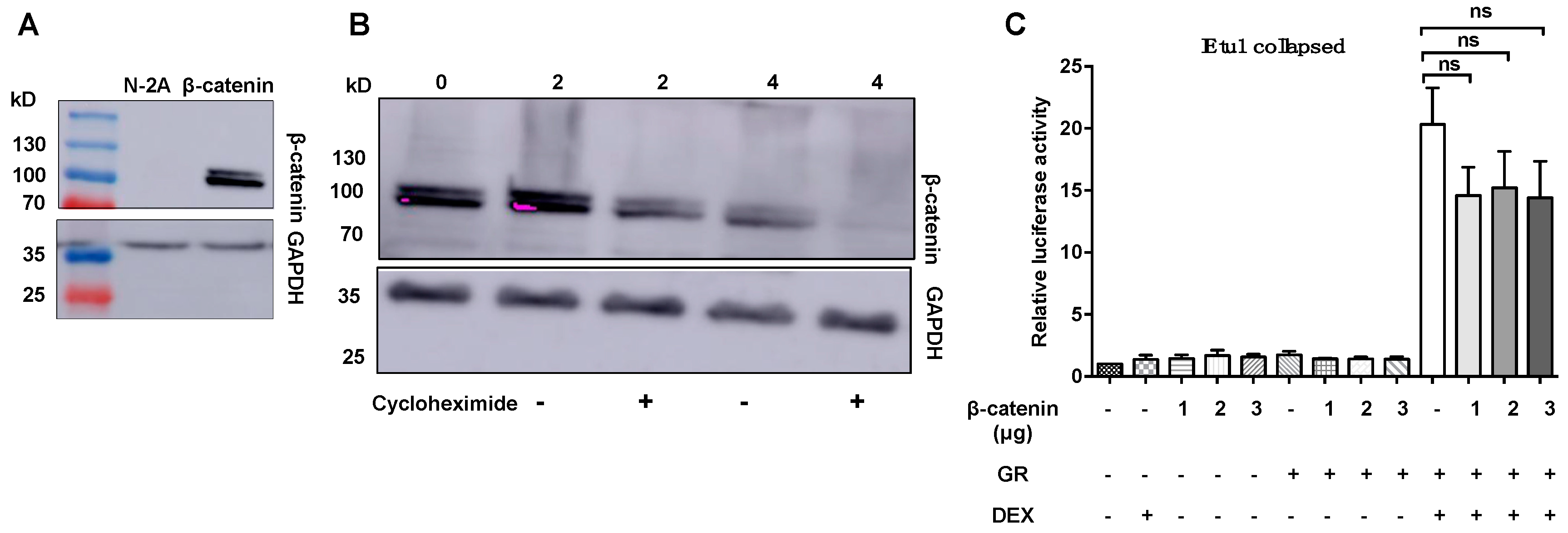
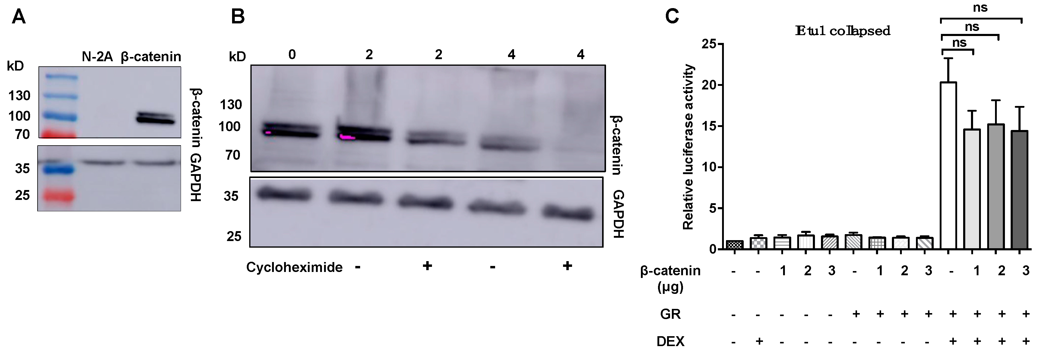
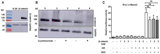
2.5. Wt β-Catenin Is Unstable in Neuro-2A Cells and Does Not Significantly Reduce IEtu1 Promoter Activity
3. Discussions
4. Materials and Methods
4.1. Cells, Plasmids, and Viruses
4.2. Dual-Luciferase Assay
4.3. Western Blot Studies
Author Contributions
Funding
Institutional Review Board Statement
Data Availability Statement
Conflicts of Interest
References
- Jones, C.; Chowdhury, S. A review of the biology of bovine herpesvirus type 1 (BHV-1), its role as a cofactor in the bovine respiratory disease complex, and development of improved vaccines. Anim. Health Res. Rev. 2007, 8, 187–205. [Google Scholar] [CrossRef] [PubMed]
- Highlander, S.K.; Fedorova, N.D.; Dusek, D.M.; Panciera, R.; Alvarez, L.E.; Renehart, C. Inactivation of Pasteurella (Mannheimia) haemolytica leukotoxin causes partial attenuation of virulence in a calf challenge model. Infect. Immun. 2000, 68, 3916–3922. [Google Scholar] [CrossRef] [PubMed]
- Highlander, S.K. Molecular genetic analysis of virulence in Mannheimia (Pasteurella) haemolytica. Front. Biosci. 2001, 6, D1128–D1150. [Google Scholar] [PubMed]
- Yates, W.D.; Babiuk, L.A.; Jericho, K.W. Viral-bacterial pneumonia in calves: Duration of the interaction between bovine herpesvirus 1 and Pasteurella haemolytica. Can. J. Comp. Med. 1983, 47, 257–264. [Google Scholar] [PubMed]
- Neibergs, H.L.; Seabury, C.M.; Wojtowicz, A.J.; Wang, Z.; Scraggs, E.; Kiser, J.N.; Neupane, M.; Womack, J.E.; van Eenennaam, A.; Lehenbauer, G.R.H.T.W.; et al. Susceptibility loci revealed for bovine respiratory disease complex in pre-weaned holstein calves. BMC Genom. 2014, 15, 1164. [Google Scholar] [CrossRef]
- Jones, C. Bovine herpes virus 1 (BHV-1) and herpes simplex virus type 1 (HSV-1) promote survival of latently infected sensory neurons, in part by inhibiting apoptosis. J. Cell Death 2013, 6, 1–16. [Google Scholar] [CrossRef]
- Jones, C. Latency of Bovine Herpesvirus 1 (BoHV-1) in Sensory Neurons. In Herpesviridae, 1st ed.; Omgradi, J., Ed.; IntechOpen: London, UK, 2016; Volume 1, p. 24. [Google Scholar]
- Jones, C.; da Silva, L.F.; Sinani, D. Regulation of the latency-reactivation cycle by products encoded by the bovine herpesvirus 1 (BHV-1) latency-related gene. J. Neurovirol. 2011, 17, 535–545. [Google Scholar] [CrossRef]
- Meyer, F.; Jones, C. The cellular transcription factor, CCAAT enhancer-binding protein alpa (C/EBP-a) has the potential to activate the bovine herpesvirus 1 immediate early transcription unit 1 promoter. J. Neurovirol. 2009, 15, 123–130. [Google Scholar] [CrossRef]
- Workman, A.; Sinani, D.; Pittayakhajonwut, D.; Jones, C. A Protein (ORF2) Encoded by the Latency Related Gene of Bovine Herpesvirus 1 Interacts with Notch1 and Notch3. J. Virol. 2011, 85, 2536–2546. [Google Scholar] [CrossRef]
- Workman, A.; Zhu, L.; Keel, B.N.; Smith, T.P.L.; Jones, C. The Wnt signaling pathway is differentially expressed during the bovine herpesvirus 1 latency-reactivation cycle: Evidence that two proteinkinases associated with neuronal survival, Akt3 and BMPR2, are expressed at higher levels during latency. J. Virol. 2018, 92, e01937-17. [Google Scholar] [CrossRef]
- Jaber, T.; Workman, A.; Jones, C. Small noncoding RNAs encoded within the bovine herpesvirus 1 latency-related gene can reduce steady-state levels of infected cell protein 0 (bICP0). J. Virol. 2010, 84, 6297–6307. [Google Scholar] [CrossRef] [PubMed]
- Liu, Y.; Hancock, M.; Workman, A.; Doster, A.; Jones, C. Beta-catenin, a transcription factor activated by canonical Wnt signaling, is expressed in sensory neurons of calves latently infected with bovine herpesvirus 1. J. Virol. 2016, 90, 3148–3159. [Google Scholar] [CrossRef] [PubMed]
- Zhu, L.; Workman, A.; Jones, C. A potential role for a beta-catenin coactivator (high mobility group AT-hook 1 protein) during the latency-reactivation cycle of bovine herpesvirus 1. J. Virol. 2017, 91, e02132-36. [Google Scholar] [CrossRef]
- Rosso, S.B.; Inestrosa, N.C. Wnt signaling in neuronal maturation and synaptogenesis. Front. Cell. Neurosci. 2013, 7, 103. [Google Scholar] [CrossRef] [PubMed]
- Salinas, P.C. Wnt signaling in the vertebrate central nervous system: From axon guidance to synaptic function. Cold Spring Harb. Perpect. Biol. 2012, 4, a008003. [Google Scholar] [CrossRef]
- Matrisciano, F.; Buscetti, C.L.; Bucci, D.; Orlando, R.; Caruso, A.; Molinaro, G.; Cappuccion, I.; Riozzi, B.; Gradini, R.; Motolese, M.; et al. Induction of the Wnt antagonist Dickkopf-1 is involved in stress-induced hippocampal damage. PLoS ONE 2011, 6, e16447. [Google Scholar] [CrossRef]
- Jones, C. Reactivation from latency by alpha-herpesvirinae submfamily members: A stressful situation. Curr. Top. Virol. 2014, 12, 99–118. [Google Scholar]
- Harrison, K.; Zhu, L.; Thunuguntla, P.; Jones, C. Antagonizing the glucocorticoid receptor impairs explant-induced reactivation in mice latently infected with herpes simplex virus 1. J. Virol. 2019, 93, e00418-19. [Google Scholar] [CrossRef]
- Ledbetter, E.C.; Rice, N.C.; Matusow, R.B.; Dubovi, E.J.; Kim, S.G. The effect of topical ocular corticosteroid administration in dogs experimentally induced latent canine herpesvirus-1 infection. Exp. Eye Res. 2010, 90, 711–717. [Google Scholar] [CrossRef]
- Workman, A.; Eudy, J.; Smith, L.; da Silva, L.F.; Sinani, D.; Bricker, H.; Cook, E.; Doster, A.; Jones, C. Cellular transcription factors induced in trigeminal ganglia during dexamethasone-induced reactivation from latency stimulate bovine herpesvirus 1 productive infection and certain viral promoters. J. Virol. 2012, 86, 2459–2473. [Google Scholar] [CrossRef]
- Kook, I.C.H.; Meyer, F.; Hoffmann, F.; Jones, C. Bovine herpesvirus 1 productive infection and the immediate early transcription unit 1 are stimulated by the synthetic corticosteroid dexamethasone. Virology 2015, 484, 377–385. [Google Scholar] [CrossRef] [PubMed]
- El-Mayet, F.S.; Sawant, L.; Thungunutla, P.; Jones, C. Combinatorial effects of the glucocorticoid receptor and Krüppel-like transcription factor 15 on bovine herpesvirus 1 transcription and productive infection. J. Virol. 2017, 91, e00904-17. [Google Scholar] [CrossRef] [PubMed]
- Wirth, U.V.; Gunkel, K.; Engels, M.; Schwyzer, M. Spatial and temporal distribution of bovine herpesvirus 1 transcripts. J. Virol. 1989, 63, 4882–4889. [Google Scholar] [CrossRef] [PubMed]
- Wirth, U.V.; Vogt, B.; Schwyzer, M. The three major immediate-early transcripts of bovine herpesvirus 1 arise from two divergent and spliced transcription units. J. Virol. 1991, 65, 195–205. [Google Scholar] [CrossRef]
- Hossain, A.; Schang, L.M.; Jones, C. Identification of gene products encoded by the latency-related gene of bovine herpesvirus 1. J. Virol. 1995, 69, 5345–5352. [Google Scholar] [CrossRef]
- Inman, M.; Lovato, L.; Doster, A.; Jones, C. A mutation in the latency-related gene of bovine herpesvirus 1 disrupts the latency reactivation cycle in calves. J. Virol. 2002, 76, 6771–6779. [Google Scholar] [CrossRef]
- Devireddy, L.; Zhang, Y.; Jones, C. Cloning and initial characterization of an alternatively spliced transcript encoded by the bovine herpes virus 1 latency related (LR) gene. J. Neurovirol. 2003, 9, 612–622. [Google Scholar] [CrossRef]
- Tremblay, R.; Sikorska, M.; Sandhu, J.K.; Lanthier, P.; Ribecco-Lutkiewicz, M.; Bani-Yaghoub, M. Differentiation of mouse Neuro-2A cells into dopamine neurons. J. Neurosci. Methods 2010, 186, 60–67. [Google Scholar] [CrossRef] [PubMed]
- Thunuguntla, P.; El-mayet, F.S.; Jones, C. Bovine herpesvirus 1 can efficiently infect the human (SH-SY5Y) but not the mouse neuroblastoma cell line (Neuro-2A). Virus Res. 2017, 232, 1–5. [Google Scholar] [CrossRef]
- Liu, Y.; Jones, C. Regulation of Notch-mediated transcription by a bovine herpesvirus 1 encoded protein (ORF2) that is expressed in latently infected sensory neurons. J. Neurovirol. 2016, 22, 518–528. [Google Scholar] [CrossRef]
- Pittayakhajonwut, D.; Sinani, D.; Jones, C. A protein (ORF2) encoded by the latency related gene of bovine herpesvirus 1 interacts with DNA. J. Virol. 2013, 87, 5493–5501. [Google Scholar] [CrossRef] [PubMed]
- El-mayet, F.; El-Habbaa, A.S.; El-Bagoury, G.F.; Sharawi, S.S.A.; El-Nahas, E.M.; Jones, C. Transcription Factors Have the Potential to Synergistically Stimulate Bovine Herpesvirus 1 Transcription and Reactivation from Latency. In Transcriptional Regulation; Kais, G., Ed.; INTECH: Rejeka, Croatia, 2018; Volume 1, pp. 36–54. [Google Scholar]
- Richard-Foy, H.; Hager, G.L. Sequence-specific positioning of nucleosomes over the steroid-inducible MMTV promoter. EMBO J. 1987, 6, 2321–2328. [Google Scholar] [CrossRef] [PubMed]
- Ricousse, S.; Gouilleux, F.; Fortin, D.; Joulin, V.; Richard-Foy, H. Glucocorticoid and progestin receptors are differently involved in the cooperation with a structural element of the mouse mammary tumor virus promoter. Proc. Natl. Acad. Sci. USA 1996, 93, 5072–5077. [Google Scholar] [CrossRef] [PubMed]
- Shen, W.; Jones, C. Open reading frame 2, encoded by the latency-related gene of bovine herpesvirus 1, has antiapoptotic activity in transiently transfected neuroblastoma cells. J. Virol. 2008, 82, 10940–10945. [Google Scholar] [CrossRef] [PubMed]
- Meyer, F.; Perez, S.; Geiser, V.; Sintek, M.; Inman, M.; Jones, C. A protein encoded by the bovine herpes virus 1 (BHV-1) latency related gene interacts with specific cellular regulatory proteins, including the CCAAT enhancer binding protein alpha (C/EBP-a). J. Virol. 2007, 81, 59–67. [Google Scholar] [CrossRef]
- Barber, K.; Daugherty, H.C.; Ander, S.A.; Jefferson, V.A.; Shack, L.A.; Pechan, T.; Nanduri, B.; Meyer, F. Protein composition of the bovine herpesvirus 1.1 virion. Vet. Sci. 2017, 4, 11. [Google Scholar] [CrossRef]
- Sasse, S.; Mailoux, C.M.; Barczak, A.J.; Wang, Q.; Altonsy, M.O.; Jain, M.K.; Haldar, S.M.; Gerber, A.N. The glucocorticoid receptor and KLF15 regulate gene expression dynamics and integrate signals through feed-forward circuitry. Mol. Cell. Biol. 2013, 33, 2104–2115. [Google Scholar] [CrossRef]
- Oakley, R.H.; Cidlowski, J.A. The biology of the glucocorticoid receptor: New signaling mechanisms in health and disease. J. Allergy Clin. Immunol. 2013, 132, 1033–1044. [Google Scholar] [CrossRef]
- Smoak, K.A.; Cidlowski, J.A. Mechanisms of glucocorticoid receptor signaling during inflammation. Mech. Aging Dev. 2004, 125, 697–706. [Google Scholar] [CrossRef]
- Morin, P.J.; Sparks, A.B.; Korinek, V.; Barker, N.; Clever, H.; Vogelstein, B.; Kinzler, K.W. Activation of B-cetenin-TCF signaling in colon cancer by mutations in B-cetenin or APC. Science 1997, 275, 1787–1790. [Google Scholar] [CrossRef]
- Karl, M.; Schulte, H.M.; Chrousos, G.P. Mutation Analysis of Steroid Hormone Receptors. In Methods in Neurosciences; Elsevier: Amsterdam, The Netherlands, 1994; Volume 22, pp. 226–241. [Google Scholar]
- Inman, M.; Lovato, L.; Doster, A.; Jones, C. A mutation in the latency-related gene of bovine herpesvirus 1 leads to impaired ocular shedding in acutely infected calves. J. Virol. 2001, 75, 8507–8515. [Google Scholar] [CrossRef] [PubMed]
- Rock, D.; Lokensgard, J.; Lewis, T.; Kutish, G. Characterization of dexamethasone-induced reactivation of latent bovine herpesvirus 1. J. Virol. 1992, 66, 2484–2490. [Google Scholar] [CrossRef] [PubMed]
- Jones, C.; Delhon, G.; Bratanich, A.; Kutish, G.; Rock, D. Analysis of the transcriptional promoter which regulates the latency- related transcript of bovine herpesvirus 1. J. Virol. 1990, 64, 1164–1170. [Google Scholar] [CrossRef] [PubMed]
- Purro, S.A.; Galli, S.; Salinas, P.C. Dysfunction of Wnt signaling and synaptic disassembly in neurodegenerative diseases. J. Mol. Cell Biol. 2014, 6, 75–80. [Google Scholar] [CrossRef] [PubMed]
- Lovato, L.; Inman, M.; Henderson, G.; Doster, A.; Jones, C. Infection of cattle with a bovine herpesvirus 1 (BHV-1) strain that contains a mutation in the latency related gene leads to increased apoptosis in trigeminal ganglia during the transition from acute infection to latency. J. Virol. 2003, 77, 4848–4857. [Google Scholar] [CrossRef]
- Kino, T.; Hurt, D.E.; Ichijo, T.; Nader, N.; Chrousos, G.P. Noncoding RNA Gas5 Is a Growth Arrest and Starvation-Associated Repressor of the Glucocorticoid Receptor. Sci. Signal. 2012, 3, ra8. [Google Scholar] [CrossRef]
- Wang, H.; Gou, X.; Jiang, T.; Ouyang, J. The effects of microRNAs on glucocorticoid responsiveness. J. Cancer Res. Clin. Oncol. 2017, 143, 1005–1011. [Google Scholar] [CrossRef]
- Vreugdenhil, E.; Verissimo, C.S.; Mariman, R.; Kamphorst, J.T.; Barbosa, J.S.; Zweers, T.; Champagne, D.L.; Schouten, T.; Meijer, O.C.; de Kloet, E.R.; et al. MicroRNA 18 and 124a down-regulate the glucocorticoid receptor: Implications for glucocorticoid responsiveness in the brain. Endocrinology 2009, 150, 2220–2228. [Google Scholar] [CrossRef]
- Devireddy, L.R.A.; Jones, C. Alternative splicing of the latency-related transcript of bovine herpesvirus 1 yields RNAs containing unique open reading frames. J. Virol. 1998, 72, 7294–7301. [Google Scholar] [CrossRef]
- Sawant, L.; Kook, I.; Vogel, J.L.; Kristie, T.M.; Jones, C. The cellular coactivator HCF-1 is required for glucocorticoid receptor-mediated transcription of bovine herpesvirus 1 immediate early genes. J. Virol. 2018, 92, e00987-18. [Google Scholar] [CrossRef]
- El-mayet, F.; Sawant, L.; Thunuguntla, P.; Zhao, J.; Jones, C. Two pioneer transcription factors, Krüppel-like transcription factor 4 and glucocorticoid receptor, cooperatively transactivate the bovine herpesvirus 1 ICP0 early promoter and stimulate productive infection. J. Virol. 2020, 94, e01670-19. [Google Scholar] [CrossRef] [PubMed]
- Zhao, J.; Zhu, L.; Wijesekera, N.; Jones, C. Specific Akt family members impair stress mediated transactivation of viral promoters and enhance neuronal differentiation: Important functions for maintaining latency. J. Virol. 2020, 94, e00901-20. [Google Scholar] [CrossRef] [PubMed]
- Fukumoto, S.; Hsieh, C.M.; Maemura, K.; Layne, M.D.; Yet, S.F.; Lee, K.H.; Matsui, T.; Rosenzweig, A.; Taylor, W.G.; Rubin, J.S.; et al. Akt participation in the Wnt signaling pathway through dishevelled. J. Biol. Chem. 2001, 276, 17479–17483. [Google Scholar] [CrossRef] [PubMed]
- Kaler, P.; Godasi, B.N.; Augenlicht, L.; Klampfer, L. The NF-kB/Akt-dependent induction of Wnt signaling in colon cancer cells by macrophages and IL-1b. Cancer Microenviron. 2009, 2, 69–80. [Google Scholar] [CrossRef]
- Kim, S.E.; Lee, W.J.; Choi, K.Y. The PI3 kinase-Akt pathway mediates Wnt3a-induced proliferation. Cell. Signal. 2007, 19, 511–518. [Google Scholar] [CrossRef]
- Sinani, D.; Liu, Y.; Jones, C. Analysis of a bovine herpesvirus 1 protein encoded by an alternatively spliced latency related (LR) RNA that is abundantly expressed in latently infected neurons. Virology 2014, 464, 244–252. [Google Scholar] [CrossRef]
- El-mayet, F.S.; El-Habbaa, A.S.; D’Offay, J.; Jones, C. Synergistic activation of bovine herpesvirus 1 productive infection and viral regulatory promoters by the progesterone receptor and Krüppel-like transcription factor 15. J. Virol. 2019, 93, e01519-18. [Google Scholar] [CrossRef]





Publisher’s Note: MDPI stays neutral with regard to jurisdictional claims in published maps and institutional affiliations. |
© 2021 by the authors. Licensee MDPI, Basel, Switzerland. This article is an open access article distributed under the terms and conditions of the Creative Commons Attribution (CC BY) license (http://creativecommons.org/licenses/by/4.0/).
Share and Cite
Zhao, J.; Wijesekera, N.; Jones, C. Inhibition of Stress-Induced Viral Promoters by a Bovine Herpesvirus 1 Non-Coding RNA and the Cellular Transcription Factor, β-Catenin. Int. J. Mol. Sci. 2021, 22, 519. https://doi.org/10.3390/ijms22020519
Zhao J, Wijesekera N, Jones C. Inhibition of Stress-Induced Viral Promoters by a Bovine Herpesvirus 1 Non-Coding RNA and the Cellular Transcription Factor, β-Catenin. International Journal of Molecular Sciences. 2021; 22(2):519. https://doi.org/10.3390/ijms22020519
Chicago/Turabian StyleZhao, Jing, Nishani Wijesekera, and Clinton Jones. 2021. "Inhibition of Stress-Induced Viral Promoters by a Bovine Herpesvirus 1 Non-Coding RNA and the Cellular Transcription Factor, β-Catenin" International Journal of Molecular Sciences 22, no. 2: 519. https://doi.org/10.3390/ijms22020519
APA StyleZhao, J., Wijesekera, N., & Jones, C. (2021). Inhibition of Stress-Induced Viral Promoters by a Bovine Herpesvirus 1 Non-Coding RNA and the Cellular Transcription Factor, β-Catenin. International Journal of Molecular Sciences, 22(2), 519. https://doi.org/10.3390/ijms22020519

