Analysis of PPARγ Signaling Activity in Psoriasis
Abstract
1. Introduction
2. Materials and Methods
2.1. Patients and Samples
2.2. Cells Isolation
2.3. PCR
2.4. ELISA
2.5. Immunohistochemistry Analysis
2.6. Data Analysis
3. Results
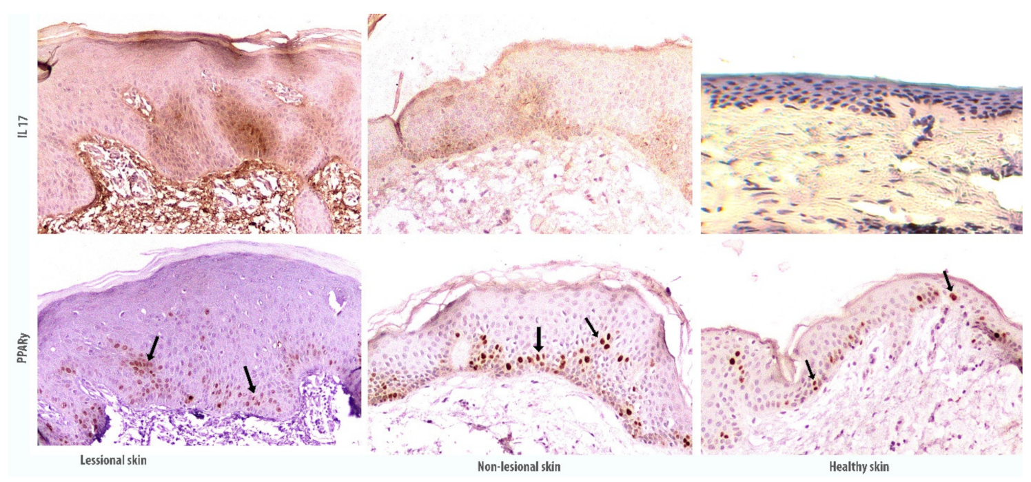
3.1. PPARγ Expression Is Slightly Downregulated in Psoriatic Skin and CD3+ T Cells
3.2. Low Laser Treatment Stabilises PPARγ Related Signaling in Psoriatic Skin
4. Discussion
5. Conclusions
Supplementary Materials
Author Contributions
Funding
Institutional Review Board Statement
Informed Consent Statement
Data Availability Statement
Conflicts of Interest
References
- Schmuth, M.; Moosbrugger-Martinz, V.; Blunder, S.; Dubrac, S. Role of PPAR, LXR, and PXR in epidermal homeostasis and inflammation. Biochim. Biophys. Acta 2014, 1841, 463–473. [Google Scholar] [CrossRef]
- Sher, T.; Yi, H.F.; McBride, O.W.; Gonzalez, F.J. cDNA cloning, chromosomal mapping, and functional characterization of the human peroxisome proliferator activated receptor. Biochemistry 1993, 32, 5598–5604. [Google Scholar] [CrossRef] [PubMed]
- Sertznig, P.; Reichrath, J. Peroxisome proliferator-activated receptors (PPARs) in dermatology: Challenge and promise. Dermatoendocrinology 2011, 3, 130–135. [Google Scholar] [CrossRef]
- Kliewer, S.A.; Umesono, K.; Noonan, D.J.; Heyman, R.A.; Evans, R.M. Convergence of 9-cis retinoic acid and peroxisome proliferator signalling pathways through heterodimer formation of their receptors. Nature 1992, 358, 771–774. [Google Scholar] [CrossRef]
- Ricote, M.; Glass, C.K. PPARs and molecular mechanisms of transrepression. Biochim. Biophys. Acta 2007, 1771, 926–935. [Google Scholar] [CrossRef]
- Jiang, C.; Ting, A.T.; Seed, B. PPAR-gamma agonists inhibit production of monocyte inflammatory cytokines. Nature 1998, 391, 82–86. [Google Scholar] [CrossRef]
- Yessoufou, A.; Wahli, W. Multifaceted roles of peroxisome proliferator-activated receptors (PPARs) at the cellular and whole organism levels. Swiss Med. Wkly. 2010, 140, w13071. [Google Scholar] [CrossRef]
- Nehrenheim, K.; Meyer, I.; Brenden, H.; Vielhaber, G.; Krutmann, J.; Grether-Beck, S. Dihydrodehydrodiisoeugenol enhances adipocyte differentiation and decreases lipolysis in murine and human cells. Exp. Dermatol. 2013, 22, 638–643. [Google Scholar] [CrossRef]
- Adachi, Y.; Hatano, Y.; Sakai, T.; Fujiwara, S. Expressions of peroxisome proliferator-activated receptors (PPARs) are directly influenced by permeability barrier abrogation and inflammatory cytokines and depressed PPARα modulates expressions of chemokines and epidermal differentiation-related molecules in keratinocytes. Exp. Dermatol. 2013, 22, 606–608. [Google Scholar] [PubMed]
- Henson, P. Suppression of macrophage inflammatory responses by PPARs. Proc. Natl. Acad. Sci. USA 2003, 100, 6295–6296. [Google Scholar] [CrossRef] [PubMed]
- Marx, N.; Kehrle, B.; Kohlhammer, K.; Grüb, M.; Koenig, W.; Hombach, V.; Libby, P.; Plutzky, J. PPAR activators as antiinflammatory mediators in human T lymphocytes: Implications for atherosclerosis and transplantation-associated arteriosclerosis. Circ. Res. 2002, 90, 703–710. [Google Scholar] [CrossRef]
- Demerjian, M.; Man, M.-Q.; Choi, E.-H.; Brown, B.E.; Crumrine, D.; Chang, S.; Mauro, T.; Elias, P.M.; Feingold, K.R. Topical treatment with thiazolidinediones, activators of peroxisome proliferator-activated receptor-gamma, normalizes epidermal homeostasis in a murine hyperproliferative disease model. Exp. Dermatol. 2006, 15, 154–160. [Google Scholar] [CrossRef]
- Nesterova, A.P.; Klimov, E.A.; Zharkova, M.; Sozin, S.; Sobolev, V.; Ivanikova, N.V.; Shkrob, M.; Yuryev, A. Diseases of the skin and subcutaneous tissue. In Disease Pathways; Elsevier: Amsterdam, The Netherlands, 2020; pp. 493–532. ISBN 978-0-12-817086-1. [Google Scholar] [CrossRef]
- Nesterova, A.P.; Yuryev, A.; Klimov, E.A.; Zharkova, M.; Shkrob, M.; Ivanikova, N.V.; Sozin, S.; Sobolev, V. Disease Pathways: An Atlas of Human Disease Signaling Pathways, 1st ed.; Elsevier: Waltham, MA, USA, 2019; ISBN 978-0-12-817086-1. [Google Scholar]
- Sobolev, V.; Nesterova, A.; Soboleva, A.; Dvoriankova, E.; Piruzyan, A.; Mildzikhova, D.; Korsunskaya, I.; Svitich, O. The Model of PPARγ-Downregulated Signaling in Psoriasis. PPAR Res. 2020, 2020, 6529057. [Google Scholar] [CrossRef] [PubMed]
- Livak, K.J.; Schmittgen, T.D. Analysis of Relative Gene Expression Data Using Real-Time Quantitative PCR and the 2−ΔΔCT Method. Methods 2001, 25, 402–408. [Google Scholar] [CrossRef] [PubMed]
- Yao, Y.; Richman, L.; Morehouse, C.; de los Reyes, M.; Higgs, B.W.; Boutrin, A.; White, B.; Coyle, A.; Krueger, J.; Kiener, P.A.; et al. Type I Interferon: Potential Therapeutic Target for Psoriasis? PLoS ONE 2008, 3, e2737. [Google Scholar] [CrossRef] [PubMed]
- Nadeem, A.; Al-Harbi, N.O.; Ansari, M.A.; Al-Harbi, M.M.; El-Sherbeeny, A.M.; Zoheir, K.M.A.; Attia, S.M.; Hafez, M.M.; Al-Shabanah, O.A.; Ahmad, S.F. Psoriatic inflammation enhances allergic airway inflammation through IL-23/STAT3 signaling in a murine model. Biochem. Pharmacol. 2017, 124, 69–82. [Google Scholar] [CrossRef]
- Zeng, J.; Tang, Z.; Zhang, Y.; Tong, X.; Dou, J.; Gao, L.; Ding, S.; Lu, J. Ozonated autohemotherapy elevates PPAR-γ expression in CD4+ T cells and serum HDL-C levels, a potential immunomodulatory mechanism for treatment of psoriasis. Am. J. Transl. Res. 2021, 13, 349–359. [Google Scholar]
- Mendoza, G.J.; Almeida, O.; Steinfeld, L. Intermittent fetal bradycardia induced by midpregnancy fetal ultrasonographic study. Am. J. Obstet. Gynecol. 1989, 160, 1038–1040. [Google Scholar] [CrossRef]
- Ding, J.; Gudjonsson, J.E.; Liang, L.; Stuart, P.E.; Li, Y.; Chen, W.; Weichenthal, M.; Ellinghaus, E.; Franke, A.; Cookson, W.; et al. Gene expression in skin and lymphoblastoid cells: Refined statistical method reveals extensive overlap in cis-eQTL signals. Am. J. Hum. Genet. 2010, 87, 779–789. [Google Scholar] [CrossRef]
- Zhu, W.; Li, J.; Su, J.; Li, J.; Li, J.; Deng, B.; Shi, Q.; Zhou, Y.; Chen, X. FOS-like antigen 1 is highly expressed in human psoriasis tissues and promotes the growth of HaCaT cells in vitro. Mol. Med. Rep. 2014, 10, 2489–2494. [Google Scholar] [CrossRef][Green Version]
- Sobolev, V.V.; Zolotorenko, A.D.; Soboleva, A.G.; Elkin, A.M.; Il’ina, S.A.; Serov, D.N.; Potekaev, N.N.; Tkachenko, S.B.; Minnibaev, M.T.; Piruzyan, A.L. Effects of Expression of Transcriptional Factor AP-1 FOSL1 Gene on Psoriatic Process. Bull. Exp. Biol. Med. 2011, 150, 632–634. [Google Scholar] [CrossRef]
- Hasenfuss, S.C.; Bakiri, L.; Thomsen, M.K.; Williams, E.G.; Auwerx, J.; Wagner, E.F. Regulation of steatohepatitis and PPARγ signaling by distinct AP-1 dimers. Cell Metab. 2014, 19, 84–95. [Google Scholar] [CrossRef]
- Avci, P.; Gupta, A.; Sadasivam, M.; Vecchio, D.; Pam, Z.; Pam, N.; Hamblin, M.R. Low-level laser (light) therapy (LLLT) in skin: Stimulating, healing, restoring. Semin. Cutan. Med. Surg. 2013, 32, 41–52. [Google Scholar]
- Petit, R.G.; Cano, A.; Ortiz, A.; Espina, M.; Prat, J.; Muñoz, M.; Severino, P.; Souto, E.B.; García, M.L.; Pujol, M.; et al. Psoriasis: From Pathogenesis to Pharmacological and Nano-Technological-Based Therapeutics. Int. J. Mol. Sci. 2021, 22, 4983. [Google Scholar] [CrossRef]
- Calautti, E.; Avalle, L.; Poli, V. Psoriasis: A STAT3-Centric View. Int. J. Mol. Sci. 2018, 19, 171. [Google Scholar] [CrossRef]
- Sobolev, V.V.; Denisova, E.V.; Korsunskaya, I.M. Alteration of STAT3 gene expression in psoriasis treatment. Meditsinskiy Sov. Med. Counc. 2020, 12, 71–74. [Google Scholar] [CrossRef]
- Sobolev, V.V.; Soboleva, A.G.; Potekaev, N.N.; Melnichenko, O.O.; Korsunskaya, I.M.; Artemyeva, S.I. PPARγ gene expression analysis in psoriasis treatment. Meditsinskiy Sov. Med. Counc. 2021, 8, 82–87. [Google Scholar] [CrossRef]
- Sobolev, V.V.; Mezentsev, A.V.; Ziganshin, R.H.; Soboleva, A.G.; Denieva, M.; Korsunskaya, I.M.; Svitich, O.A. LC-MS/MS analysis of lesional and normally looking psoriatic skin reveals significant changes in protein metabolism and RNA processing. PLoS ONE 2021, 16, e0240956. [Google Scholar] [CrossRef] [PubMed]
- Romanowska, M.; al Yacoub, N.; Seidel, H.; Donandt, S.; Gerken, H.; Phillip, S.; Haritonova, N.; Artuc, M.; Schweiger, S.; Sterry, W.; et al. PPARδ Enhances Keratinocyte Proliferation in Psoriasis and Induces Heparin-Binding EGF-Like Growth Factor. J. Investig. Dermatol. 2008, 128, 110–124. [Google Scholar] [CrossRef] [PubMed]
- Xiuli, Y.; Honglin, W. miRNAs Flowing Up and Down: The Concerto of Psoriasis. Front. Med. 2021, 8, 646796. [Google Scholar] [CrossRef] [PubMed]
- Hegazy, R.A.; Abdel Hay, R.M.; Shaker, O.; Sayed, S.S.; Abdel Halim, D.A. Psoriasis and metabolic syndrome: Is peroxisome proliferator-activated receptor-γ part of the missing link? Eur. J. Dermatol. 2012, 22, 622–628. [Google Scholar] [CrossRef] [PubMed]
- Seleit, I.; Bakry, O.; Abd El Gayed, E.; Ghanem, M. Peroxisome proliferator-activated receptor-γ gene polymorphism in psoriasis and its relation to obesity, metabolic syndrome, and narrowband ultraviolet B response: A case–control study in Egyptian patients. Indian J. Dermatol. 2019, 64, 192. [Google Scholar] [PubMed]
- Ellis, C.N.; Varani, J.; Fisher, G.J.; Zeigler, M.E.; Pershadsingh, H.A.; Benson, S.C.; Chi, Y.; Kurtz, T.W. Troglitazone Improves Psoriasis and Normalizes Models of Proliferative Skin Disease: Ligands for Peroxisome Proliferator-Activated Receptor-γ Inhibit Keratinocyte Proliferation. Arch. Dermatol. 2000, 136, 609–616. [Google Scholar] [CrossRef] [PubMed]









| Sex, n (%) | Age | PASI | Disease History in Years |
|---|---|---|---|
| Patients | |||
| M/F (n = 23) | 43.5 ± 8.8 | 22 ± 6.2 | 17.4 ± 5.7 |
| M, 10 (43.5%) | 42.9 ± 9.9 | 18.4 ± 5.5 | 15.9 ± 4.7 |
| F, 13 (56.5%) | 44.9 ± 9.2 | 24.8 ± 4.2 | 17.6 ± 6.7 |
| Healthy volunteers | |||
| M/F (n = 10) | 40.9 ± 9 | n/a | n/a |
| M, 4 (40%) | 40.2 ± 7.3 | n/a | n/a |
| F, 6 (60%) | 41.3 ± 10.6 | n/a | n/a |
| Group | FOSL1 | PPARγ | FOXP3 | STAT3 | IL17A | RORC |
|---|---|---|---|---|---|---|
| (a) qPCR of skin samples, folds; | ||||||
| males | 7.36 ± 3.50 | 0.66 ± 0.06 | 0.61 ± 0.07 | 4.52 ± 0.66 | 31.27 ± 7.42 | 6.87 ± 1.26 |
| females | 12.29 ± 3.73 | 0.74 ± 0.10 | 0.56 ± 0.06 | 4.39 ± 0.69 | 47.93 ± 14.02 | 7.78 ± 1.02 |
| p | 0.36 | 0.52 | 0.59 | 0.90 | 0.35 | 0.58 |
| (b) qPCR of CD3+ cells, folds; | ||||||
| males | 5.80 ± 1.69 | 0.27 ± 0.15 | 0.22 ± 0.06 | 9.83 ± 3.94 | 123.99 ± 20.38 | 13.84 ± 3.65 |
| females | 5.79 ± 1.24 | 0.31 ± 0.13 | 0.16 ± 0.04 | 4.79 ± 1.62 | 90.82 ± 10.69 | 16.82 ± 2.73 |
| p | 1.00 | 0.86 | 0.38 | 0.21 | 0.14 | 0.51 |
| (c) ELISA of skin samples, ng/mL; | ||||||
| males | N.D. | 1.94 ± 0.30 | N.D. | 7.20 ± 1.01 | 1.23 ± 0.15 | N.D. |
| females | N.D. | 2.16 ± 0.29 | N.D. | 8.46 ± 0.78 | 1.08 ± 0.12 | N.D. |
| p | 0.61 | 0.33 | 0.45 | |||
| (d) ELISA of CD3+, ng/mL; | ||||||
| males | N.D. | 2.05 ± 0.55 | N.D. | 14.33 ± 2.49 | 1.50 ± 0.13 | N.D. |
| females | N.D. | 1.46 ± 0.32 | N.D. | 10.82 ± 1.97 | 1.63 ± 0.13 | N.D. |
| p | 0.33 | 0.27 | 0.49 | |||
| Group | FOSL1 | PPARγ | FOXP3 | STAT3 | IL17A | RORC |
|---|---|---|---|---|---|---|
| (a) qPCR of skin samples, folds; | ||||||
| no menopause | 7.15 ± 1.39 | 0.76 ± 0.12 | 0.57 ± 0.10 | 4.79 ± 1.10 | 43.86 ± 10.54 | 8.71 ± 1.37 |
| menopause | 16.69 ± 7.52 | 0.73 ± 0.16 | 0.52 ± 0.07 | 3.83 ± 0.71 | 59.23 ± 28.35 | 7.84 ± 1.93 |
| p | 0.21 | 0.88 | 0.70 | 0.41 | 0.60 | 0.71 |
| (b) qPCR of CD3+ cells, folds; | ||||||
| no menopause | 8.04 ± 1.87 | 0.24 ± 0.14 | 0.14 ± 0.04 | 7.07 ± 2.77 | 82.59 ± 14.88 | 16.98 ± 4.68 |
| menopause | 3.17 ± 0.75 | 0.39 ± 0.24 | 0.18 ± 0.08 | 2.12 ± 0.60 | 100.43 ± 15.80 | 16.64 ± 2.85 |
| p | 0.047 | 0.59 | 0.61 | 0.13 | 0.43 | 0.95 |
| (c) ELISA of skin samples, ng/mL; | ||||||
| no menopause | N.D. | 2.45 ± 0.46 | N.D. | 7.69 ± 0.49 | 0.98 ± 0.16 | N.D. |
| menopause | N.D. | 1.81 ± 0.30 | N.D. | 9.36 ± 1.58 | 1.21 ± 0.18 | N.D. |
| p | 0.29 | 0.30 | 0.36 | |||
| (d) ELISA of CD3+, ng/mL; | ||||||
| no menopause | N.D. | 1.80 ± 0.42 | N.D. | 11.41 ± 2.87 | 1.55 ± 0.21 | N.D. |
| menopause | N.D. | 1.05 ± 0.48 | N.D. | 10.13 ± 2.90 | 1.72 ± 0.15 | N.D. |
| p | 0.26 | 0.76 | 0.55 | |||
| Group | FOSL1 | PPARγ | FOXP3 | STAT3 | IL17A | RORC |
|---|---|---|---|---|---|---|
| (a) qPCR of CD3+ cells, folds; | ||||||
| males | 1.23 ± 0.52 | 1.34 ± 0.65 | 1.26 ± 0.29 | 1.02 ± 0.55 | 0.91 ± 0.38 | 0.47 ± 0.14 |
| females | 0.85 ± 0.18 | 0.77 ± 0.13 | 0.83 ± 0.16 | 0.99 ± 0.24 | 1.06 ± 0.23 | 1.35 ± 0.46 |
| p | 0.44 | 0.41 | 0.20 | 0.96 | 0.73 | 0.17 |
| (b) ELISA of skin samples, ng/mL; | ||||||
| males | N.D. | 9.16 ± 1.64 | N.D. | 3.95 ± 0.73 | 0.04 ± 0.01 | N.D. |
| females | N.D. | 7.27 ± 0.77 | N.D. | 3.89 ± 1.15 | 0.07 ± 0.01 | N.D. |
| p | 0.27 | 0.97 | 0.049 | |||
| (c) ELISA of CD3+, ng/mL; | ||||||
| males | N.D. | 13.93 ± 1.37 | N.D. | 6.45 ± 2.09 | 0.05 ± 0.02 | N.D. |
| females | N.D. | 11.47 ± 2.35 | N.D. | 5.28 ± 0.89 | 0.09 ± 0.03 | N.D. |
| p | 0.46 | 0.57 | 0.29 | |||
Publisher’s Note: MDPI stays neutral with regard to jurisdictional claims in published maps and institutional affiliations. |
© 2021 by the authors. Licensee MDPI, Basel, Switzerland. This article is an open access article distributed under the terms and conditions of the Creative Commons Attribution (CC BY) license (https://creativecommons.org/licenses/by/4.0/).
Share and Cite
Sobolev, V.; Nesterova, A.; Soboleva, A.; Mezentsev, A.; Dvoriankova, E.; Piruzyan, A.; Denisova, E.; Melnichenko, O.; Korsunskaya, I. Analysis of PPARγ Signaling Activity in Psoriasis. Int. J. Mol. Sci. 2021, 22, 8603. https://doi.org/10.3390/ijms22168603
Sobolev V, Nesterova A, Soboleva A, Mezentsev A, Dvoriankova E, Piruzyan A, Denisova E, Melnichenko O, Korsunskaya I. Analysis of PPARγ Signaling Activity in Psoriasis. International Journal of Molecular Sciences. 2021; 22(16):8603. https://doi.org/10.3390/ijms22168603
Chicago/Turabian StyleSobolev, Vladimir, Anastasia Nesterova, Anna Soboleva, Alexandre Mezentsev, Evgenia Dvoriankova, Anastas Piruzyan, Elena Denisova, Olga Melnichenko, and Irina Korsunskaya. 2021. "Analysis of PPARγ Signaling Activity in Psoriasis" International Journal of Molecular Sciences 22, no. 16: 8603. https://doi.org/10.3390/ijms22168603
APA StyleSobolev, V., Nesterova, A., Soboleva, A., Mezentsev, A., Dvoriankova, E., Piruzyan, A., Denisova, E., Melnichenko, O., & Korsunskaya, I. (2021). Analysis of PPARγ Signaling Activity in Psoriasis. International Journal of Molecular Sciences, 22(16), 8603. https://doi.org/10.3390/ijms22168603

