Oligomerization and Nitration of the Grass Pollen Allergen Phl p 5 by Ozone, Nitrogen Dioxide, and Peroxynitrite: Reaction Products, Kinetics, and Health Effects
Abstract
1. Introduction
2. Results and Discussion
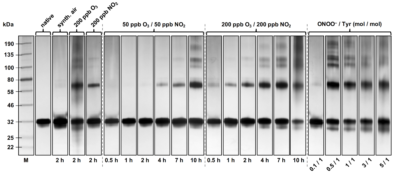
2.1. Oligomerization
2.2. Nitration
2.3. Comparison Oligomerization Vs. Nitration
3. Materials and Methods
3.1. Protein Modification by O3/NO2
3.2. Protein Modification by ONOO–
3.3. HPLC-DAD Analysis
3.4. MALDI-TOF-MS Analysis
3.5. SDS-PAGE and Silver Stain
Supplementary Materials
Author Contributions
Funding
Institutional Review Board Statement
Informed Consent Statement
Data Availability Statement
Acknowledgments
Conflicts of Interest
Abbreviations
| DiTyr | Dityrosine |
| DD | Dityrosine degree |
| MS | Mass spectrometry |
| ND | Nitration degree |
| NTyr | Nitrotyrosine |
| RNS | Reactive nitrogen species |
| ROI | Reactive oxygen intermediate |
| ROS | Reactive oxygen species |
| RP | Reversed-phase chromatography |
| SEC | Size-exclusion chromatography |
| Tyr | Tyrosine |
References
- Asher, M.I.; Montefort, S.; Björkstén, B.; Lai, C.K.W.; Strachan, D.P.; Weiland, S.K.; Williams, H. Worldwide time trends in the prevalence of symptoms of asthma, allergic rhinoconjunctivitis, and eczema in childhood: ISAAC Phases One and Three repeat multicountry cross-sectional surveys. Lancet 2006, 368, 733–743. [Google Scholar] [CrossRef]
- Li, X.; Song, P.; Zhu, Y.; Lei, H.; Chan, K.Y.; Campbell, H.; Theodoratou, E.; Rudan, I. The disease burden of childhood asthma in China: A systematic review and meta-analysis. J. Glob. Health 2020, 10, 010801. [Google Scholar] [CrossRef] [PubMed]
- Pawankar, R. Allergic diseases and asthma: A global public health concern and a call to action. World Allergy Organ. J. 2014, 7, 12. [Google Scholar] [CrossRef]
- Singh, S.; Sharma, B.B.; Salvi, S.; Chhatwal, J.; Jain, K.C.; Kumar, L.; Joshi, M.K.; Pandramajal, S.B.; Awasthi, S.; Bhave, S.; et al. Allergic rhinitis, rhinoconjunctivitis, and eczema: Prevalence and associated factors in children. Clin. Respir. J. 2018, 12, 547–556. [Google Scholar] [CrossRef] [PubMed]
- Zhang, Y.; Zhang, L. Increasing Prevalence of Allergic Rhinitis in China. Allergy Asthma. Immunol. Res. 2019, 11, 156–169. [Google Scholar] [CrossRef]
- D’Amato, G.; Baena-Cagnani, C.E.; Cecchi, L.; Annesi-Maesano, I.; Nunes, C.; Ansotegui, I.; D’Amato, M.; Liccardi, G.; Sofia, M.; Canonica, W.G. Climate change, air pollution and extreme events leading to increasing prevalence of allergic respiratory diseases. Multidiscip. Respir. Med. 2013, 8, 12. [Google Scholar] [CrossRef]
- Eguiluz-Gracia, I.; Mathioudakis, A.G.; Bartel, S.; Vijverberg, S.J.H.; Fuertes, E.; Comberiati, P.; Cai, Y.S.; Tomazic, P.V.; Diamant, Z.; Vestbo, J.; et al. The need for clean air: The way air pollution and climate change affect allergic rhinitis and asthma. Allergy 2020, 75, 2170–2184. [Google Scholar] [CrossRef]
- Pawankar, R.; Baena-Cagnani, C.E.; Bousquet, J.; Walter Canonica, G.; Cruz, A.A.; Kaliner, M.A.; Lanier, B.Q.; Henley, K. State of World Allergy Report 2008: Allergy and Chronic Respiratory Diseases. World Allergy Organ. J. 2008, 1, S4–S17. [Google Scholar] [CrossRef] [PubMed]
- Traidl-Hoffmann, C.; Jakob, T.; Behrendt, H. Determinants of allergenicity. J. Allergy Clin. Immunol. 2009, 123, 558–566. [Google Scholar] [CrossRef]
- Bowatte, G.; Lodge, C.J.; Knibbs, L.D.; Lowe, A.J.; Erbas, B.; Dennekamp, M.; Marks, G.B.; Giles, G.; Morrison, S.; Thompson, B.; et al. Traffic-related air pollution exposure is associated with allergic sensitization, asthma, and poor lung function in middle age. J. Allergy Clin. Immunol. 2017, 139, 122–129. [Google Scholar] [CrossRef] [PubMed]
- Deng, Q.; Lu, C.; Yu, Y.; Li, Y.; Sundell, J.; Norbäck, D. Early life exposure to traffic-related air pollution and allergic rhinitis in preschool children. Respir. Med. 2016, 121, 67–73. [Google Scholar] [CrossRef] [PubMed]
- Guarnieri, M.; Balmes, J.R. Outdoor air pollution and asthma. Lancet 2014, 383, 1581–1592. [Google Scholar] [CrossRef]
- Bryce, M.; Drews, O.; Schenk, M.F.; Menzel, A.; Estrella, N.; Weichenmeier, I.; Smulders, M.J.; Buters, J.; Ring, J.; Gorg, A.; et al. Impact of urbanization on the proteome of birch pollen and its chemotactic activity on human granulocytes. Int. Arch. Allergy Immunol. 2010, 151, 46–55. [Google Scholar] [CrossRef]
- Ghiani, A.; Aina, R.; Asero, R.; Bellotto, E.; Citterio, S. Ragweed pollen collected along high-traffic roads shows a higher allergenicity than pollen sampled in vegetated areas. Allergy 2012, 67, 887–894. [Google Scholar] [CrossRef]
- Motta, A.C.; Marliere, M.; Peltre, G.; Sterenberg, P.A.; Lacroix, G. Traffic-related air pollutants induce the release of allergen-containing cytoplasmic granules from grass pollen. Int. Arch. Allergy Immunol. 2006, 139, 294–298. [Google Scholar] [CrossRef]
- Ouyang, Y.; Xu, Z.; Fan, E.; Li, Y.; Zhang, L. Effect of nitrogen dioxide and sulfur dioxide on viability and morphology of oak pollen. Int. Forum. Allergy Rhinol. 2016, 6, 95–100. [Google Scholar] [CrossRef]
- Taylor, P.E.; Flagan, R.C.; Valenta, R.; Glovsky, M.M. Release of allergens as respirable aerosols: A link between grass pollen and asthma. J. Allergy Clin Immunol. 2002, 109, 51–56. [Google Scholar] [CrossRef]
- Taylor, P.E.; Flagan, R.C.; Miguel, A.G.; Valenta, R.; Glovsky, M.M. Birch pollen rupture and the release of aerosols of respirable allergens. Clin. Exp. Allergy 2004, 34, 1591–1596. [Google Scholar] [CrossRef] [PubMed]
- Franze, T.; Weller, M.G.; Niessner, R.; Pöschl, U. Protein Nitration by Polluted Air. Environ. Sci. Technol. 2005, 39, 1673–1678. [Google Scholar] [CrossRef] [PubMed]
- Miguel, A.G.; Cass, G.R.; Glovsky, M.M.; Weiss, J. Allergens in Paved Road Dust and Airborne Particles. Environ. Sci. Technol. 1999, 33, 4159–4168. [Google Scholar] [CrossRef]
- Shiraiwa, M.; Selzle, K.; Yang, H.; Sosedova, Y.; Ammann, M.; Pöschl, U. Multiphase chemical kinetics of the nitration of aerosolized protein by ozone and nitrogen dioxide. Environ. Sci. Technol. 2012, 46, 6672–6680. [Google Scholar] [CrossRef] [PubMed]
- Abello, N.; Kerstjens, H.A.M.; Postma, D.S.; Bischoff, R. Protein Tyrosine Nitration: Selectivity, Physicochemical and Biological Consequences, Denitration, and Proteomics Methods for the Identification of Tyrosine-Nitrated Proteins. J. Proteome Res. 2009, 8, 3222–3238. [Google Scholar] [CrossRef] [PubMed]
- Ackaert, C.; Kofler, S.; Horejs-Hoeck, J.; Zulehner, N.; Asam, C.; von Grafenstein, S.; Fuchs, J.E.; Briza, P.; Liedl, K.R.; Bohle, B.; et al. The impact of nitration on the structure and immunogenicity of the major birch pollen allergen Bet v 1.0101. PLoS ONE 2014, 9, e104520. [Google Scholar] [CrossRef] [PubMed]
- Greenacre, S.A.B.; Ischiropoulos, H. Tyrosine nitration: Localisation, quantification, consequences for protein function and signal transduction. Free. Radic. Res. 2001, 34, 541–581. [Google Scholar] [CrossRef]
- Ischiropoulos, H. Protein tyrosine nitration–an update. Arch. Biochem. Biophys. 2009, 484, 117–121. [Google Scholar] [CrossRef]
- Gruijthuijsen, Y.K.; Grieshuber, I.; Stöcklinger, A.; Tischler, U.; Fehrenbach, T.; Weller, M.G.; Vogel, L.; Vieths, S.; Pöschl, U.; Duschl, A. Nitration Enhances the Allergenic Potential of Proteins. Int. Arch. Allergy Immunol. 2006, 141, 265–275. [Google Scholar] [CrossRef]
- Karle, A.C.; Oostingh, G.J.; Mutschlechner, S.; Ferreira, F.; Lackner, P.; Bohle, B.; Fischer, G.F.; Vogt, A.B.; Duschl, A. Nitration of the pollen allergen bet v 1.0101 enhances the presentation of bet v 1-derived peptides by HLA-DR on human dendritic cells. PLoS ONE 2012, 7, e31483. [Google Scholar] [CrossRef]
- Reinmuth-Selzle, K.; Ackaert, C.; Kampf, C.J.; Samonig, M.; Shiraiwa, M.; Kofler, S.; Yang, H.; Gadermaier, G.; Brandstetter, H.; Huber, C.G.; et al. Nitration of the birch pollen allergen Bet v 1.0101: Efficiency and site-selectivity of liquid and gaseous nitrating agents. J. Proteome Res. 2014, 13, 1570–1577. [Google Scholar] [CrossRef] [PubMed]
- Lakey, P.S.; Berkemeier, T.; Tong, H.; Arangio, A.M.; Lucas, K.; Poschl, U.; Shiraiwa, M. Chemical exposure-response relationship between air pollutants and reactive oxygen species in the human respiratory tract. Sci. Rep. 2016, 6, 32916. [Google Scholar] [CrossRef]
- Lodovici, M.; Bigagli, E. Oxidative stress and air pollution exposure. J. Toxicol. 2011, 2011, 487074. [Google Scholar] [CrossRef]
- Reinmuth-Selzle, K.; Kampf, C.J.; Lucas, K.; Lang-Yona, N.; Fröhlich-Nowoisky, J.; Shiraiwa, M.; Lakey, P.S.J.; Lai, S.; Liu, F.; Kunert, A.T.; et al. Air Pollution and Climate Change Effects on Allergies in the Anthropocene: Abundance, Interaction, and Modification of Allergens and Adjuvants. Environ. Sci. Technol. 2017, 51, 4119–4141. [Google Scholar] [CrossRef]
- Blough, N.V.; Zafiriou, O.C. Reaction of superoxide with nitric oxide to form peroxonitrite in alkaline aqueous solution. Inorg. Chem. 1985, 24, 3502–3504. [Google Scholar] [CrossRef]
- Gunaydin, H.; Houk, K.N. Mechanisms of Peroxynitrite-Mediated Nitration of Tyrosine. Chem. Res. Toxicol. 2009, 22, 894–898. [Google Scholar] [CrossRef]
- Pfeiffer, S.; Schmidt, K.; Mayer, B. Dityrosine formation outcompetes tyrosine nitration at low steady-state concentrations of peroxynitrite. J. Biol. Chem. 2000, 275, 6346–6352. [Google Scholar] [CrossRef]
- Ziegler, K.; Kunert, A.T.; Reinmuth-Selzle, K.; Leifke, A.L.; Widera, D.; Weller, M.G.; Schuppan, D.; Fröhlich-Nowoisky, J.; Lucas, K.; Pöschl, U. Chemical modification of pro-inflammatory proteins by peroxynitrite increases activation of TLR4 and NF-kB: Implications for the health effects of air pollution and oxidative stress. Redox Biol. 2020, 101581. [Google Scholar] [CrossRef]
- Bufe, A.; Gehlhar, K.; Schramm, G.; Schlaak, M.; Becker, W.M. Allergenic activity of a major grass pollen allergen is elevated in the presence of nasal secretion. Am. J. Respir. Crit. Care Med. 1998, 157, 1269–1276. [Google Scholar] [CrossRef]
- Göbl, C.; Focke-Tejkl, M.; Najafi, N.; Schrank, E.; Madl, T.; Kosol, S.; Madritsch, C.; Dorofeeva, Y.; Flicker, S.; Thalhamer, J.; et al. Flexible IgE epitope-containing domains of Phl p 5 cause high allergenic activity. J. Allergy Clin. Immunol. 2017, 140, 1187–1191. [Google Scholar] [CrossRef] [PubMed][Green Version]
- Matthiesen, F.; Løwenstein, H. Group V allergens in grass pollens. I. Purification and characterization of the group V allergen from Phleum pratense pollen, Phl p V. Clin. Exp. Allergy 1991, 21, 297–307. [Google Scholar] [CrossRef] [PubMed]
- Shiraiwa, M.; Ammann, M.; Koop, T.; Pöschl, U. Gas uptake and chemical aging of semisolid organic aerosol particles. Proc. Natl. Acad. Sci. USA 2011, 108, 11003. [Google Scholar] [CrossRef] [PubMed]
- Kampf, C.J.; Liu, F.; Reinmuth-Selzle, K.; Berkemeier, T.; Meusel, H.; Shiraiwa, M.; Pöschl, U. Protein Cross-Linking and Oligomerization through Dityrosine Formation upon Exposure to Ozone. Environ. Sci. Technol. 2015, 49, 10859–10866. [Google Scholar] [CrossRef]
- Liu, F.; Lakey, P.S.J.; Berkemeier, T.; Tong, H.; Kunert, A.T.; Meusel, H.; Cheng, Y.; Su, H.; Fröhlich-Nowoisky, J.; Lai, S.; et al. Atmospheric protein chemistry influenced by anthropogenic air pollutants: Nitration and oligomerization upon exposure to ozone and nitrogen dioxide. Faraday Discuss. 2017, 200, 413–427. [Google Scholar] [CrossRef]
- Shiraiwa, M.; Sosedova, Y.; Rouvière, A.; Yang, H.; Zhang, Y.; Abbatt, J.P.; Ammann, M.; Pöschl, U. The role of long-lived reactive oxygen intermediates in the reaction of ozone with aerosol particles. Nat. Chem. 2011, 3, 291. [Google Scholar] [CrossRef]
- Bedini, A.; Maurino, V.; Minero, C.; Vione, D. Theoretical and experimental evidence of the photonitration pathway of phenol and 4-chlorophenol: A mechanistic study of environmental significance. Photochem. Photobiol. Sci. 2012, 11, 418–424. [Google Scholar] [CrossRef]
- Fuentes-Lemus, E.; Silva, E.; Barrias, P.; Aspee, A.; Escobar, E.; Lorentzen, L.G.; Carroll, L.; Leinisch, F.; Davies, M.J.; Lopez-Alarcon, C. Aggregation of alpha- and beta- caseins induced by peroxyl radicals involves secondary reactions of carbonyl compounds as well as di-tyrosine and di-tryptophan formation. Free Radic. Biol. Med. 2018, 124, 176–188. [Google Scholar] [CrossRef]
- Stadtman, E.R. Protein oxidation and aging. Free Radic. Res. 2006, 40, 1250–1258. [Google Scholar] [CrossRef] [PubMed]
- Lymar, S.V.; Hurst, J.K. Rapid reaction between peroxonitrite ion and carbon dioxide: Implications for biological activity. J. Am. Chem. Soc. 1995, 117, 8867–8868. [Google Scholar] [CrossRef]
- Lymar, S.V.; Jiang, Q.; Hurst, J.K. Mechanism of Carbon Dioxide-Catalyzed Oxidation of Tyrosine by Peroxynitrite. Biochemistry 1996, 35, 7855–7861. [Google Scholar] [CrossRef] [PubMed]
- Quijano, C.; Romero, N.; Radi, R. Tyrosine nitration by superoxide and nitric oxide fluxes in biological systems: Modeling the impact of superoxide dismutase and nitric oxide diffusion. Free Radic. Biol. Med. 2005, 39, 728–741. [Google Scholar] [CrossRef] [PubMed]
- Ke, Z.; Huang, Q. Effect of protein structure and/or conformation on the dityrosine cross-linking induced by haem-hydrogen peroxide. Biochim. Biophys. Acta (BBA) Gen. Subj. 2016, 1860, 2232–2238. [Google Scholar] [CrossRef]
- Correia, M.; Neves-Petersen, M.T.; Jeppesen, P.B.; Gregersen, S.; Petersen, S.B. UV-Light Exposure of Insulin: Pharmaceutical Implications upon Covalent Insulin Dityrosine Dimerization and Disulphide Bond Photolysis. PLoS ONE 2012, 7, e50733. [Google Scholar] [CrossRef]
- Lehrer, S.S.; Fasman, G.D. Ultraviolet Irradiation Effects in Poly-L-tyrosine and Model Compounds. Identification of Bityrosine as a Photoproduct*. Biochemistry 1967, 6, 757–767. [Google Scholar] [CrossRef]
- Malencik, D.A.; Anderson, S.R. Fluorometric characterization of dityrosine: Complex formation with boric acid and borate ion. Biochem. Biophys. Res. Commun. 1991, 178, 60–67. [Google Scholar] [CrossRef]
- Liu, F.; Reinmuth-Selzle, K.; Lai, S.; Weller, M.G.; Pöschl, U.; Kampf, C.J. Simultaneous determination of nitrated and oligomerized proteins by size exclusion high-performance liquid chromatography coupled to photodiode array detection. J. Chromatogr. A 2017, 1495, 76–82. [Google Scholar] [CrossRef]
- Selzle, K.; Ackaert, C.; Kampf, C.J.; Kunert, A.T.; Duschl, A.; Oostingh, G.J.; Pöschl, U. Determination of nitration degrees for the birch pollen allergen Bet v 1. Anal. Bioanal. Chem. 2013, 405, 8945–8949. [Google Scholar] [CrossRef]
- Yang, H.; Zhang, Y.; Pöschl, U. Quantification of nitrotyrosine in nitrated proteins. Anal. Bioanal. Chem. 2010, 397, 879–886. [Google Scholar] [CrossRef] [PubMed]
- Zhang, Y.; Yang, H.; Pöschl, U. Analysis of nitrated proteins and tryptic peptides by HPLC-chip-MS/MS: Site-specific quantification, nitration degree, and reactivity of tyrosine residues. Anal. Bioanal. Chem. 2011, 399, 459–471. [Google Scholar] [CrossRef] [PubMed]
- Sander, R. Compilation of Henry’s law constants (version 4.0) for water as solvent. Atmos. Chem. Phys. 2015, 15, 4399–4981. [Google Scholar] [CrossRef]
- Umweltbundesamt. Trend der Ozon-Jahresmittelwerte. Available online: https://www.umweltbundesamt.de/sites/default/files/medien/384/bilder/dateien/7_abb_trend-ozon-jmw_2020-10-09.xlsx (accessed on 8 March 2021).
- Umweltbundesamt. Zahl der Tage mit Überschreitung des Ozon-Zielwertes (120 µg/m3) Zum Schutz der Menschlichen Gesundheit. Available online: https://www.umweltbundesamt.de/sites/default/files/medien/384/bilder/dateien/5_abb_ozon-ueberschreitung-120_2020-10-09.xlsx (accessed on 8 March 2021).
- Umweltbundesamt. Stickstoffdioxid (NO2) im Jahr 2019. Available online: https://www.umweltbundesamt.de/sites/default/files/medien/2546/dokumente/no2_2019.xlsx (accessed on 12 March 2021).
- Kouti, L.; Noroozian, M.; Akhondzadeh, S.; Abdollahi, M.; Javadi, M.R.; Faramarzi, M.A.; Mousavi, S.; Ghaeli, P. Nitric oxide and peroxynitrite serum levels in Parkinson’s disease: Correlation of oxidative stress and the severity of the disease. Eur. Rev. Med. Pharmacol. Sci. 2013, 17, 964–970. [Google Scholar]







| UV | MS | ||||
|---|---|---|---|---|---|
| DD (%) | DiTyr | ND (%) | NTyr | NTyr | |
| O3/NO2 (50/50 ppb), 10 h | 2.0 | 0.2 | 4.5 | 0.5 | 0.4 |
| O3/NO2 (200/200 ppb), 2 h | 2.8 | 0.3 | 6.2 | 0.7 | 0.7 |
| O3/NO2 (200/200 ppb), 10 h | 5.0 | 0.6 | 9.6 | 1.2 | 1.1 |
| ONOO–/Tyr (1/1) | 3.6 | 0.4 | 16.8 | 2.0 | 1.1 |
| ONOO–/Tyr (3/1) | 2.4 | 0.3 | 21.9 | 2.6 | 2.6 |
| ONOO–/Tyr (5/1) | 1.5 | 0.2 | 21.8 | 2.6 | 2.7 |
Publisher’s Note: MDPI stays neutral with regard to jurisdictional claims in published maps and institutional affiliations. |
© 2021 by the authors. Licensee MDPI, Basel, Switzerland. This article is an open access article distributed under the terms and conditions of the Creative Commons Attribution (CC BY) license (https://creativecommons.org/licenses/by/4.0/).
Share and Cite
Backes, A.T.; Reinmuth-Selzle, K.; Leifke, A.L.; Ziegler, K.; Krevert, C.S.; Tscheuschner, G.; Lucas, K.; Weller, M.G.; Berkemeier, T.; Pöschl, U.; et al. Oligomerization and Nitration of the Grass Pollen Allergen Phl p 5 by Ozone, Nitrogen Dioxide, and Peroxynitrite: Reaction Products, Kinetics, and Health Effects. Int. J. Mol. Sci. 2021, 22, 7616. https://doi.org/10.3390/ijms22147616
Backes AT, Reinmuth-Selzle K, Leifke AL, Ziegler K, Krevert CS, Tscheuschner G, Lucas K, Weller MG, Berkemeier T, Pöschl U, et al. Oligomerization and Nitration of the Grass Pollen Allergen Phl p 5 by Ozone, Nitrogen Dioxide, and Peroxynitrite: Reaction Products, Kinetics, and Health Effects. International Journal of Molecular Sciences. 2021; 22(14):7616. https://doi.org/10.3390/ijms22147616
Chicago/Turabian StyleBackes, Anna T., Kathrin Reinmuth-Selzle, Anna Lena Leifke, Kira Ziegler, Carola S. Krevert, Georg Tscheuschner, Kurt Lucas, Michael G. Weller, Thomas Berkemeier, Ulrich Pöschl, and et al. 2021. "Oligomerization and Nitration of the Grass Pollen Allergen Phl p 5 by Ozone, Nitrogen Dioxide, and Peroxynitrite: Reaction Products, Kinetics, and Health Effects" International Journal of Molecular Sciences 22, no. 14: 7616. https://doi.org/10.3390/ijms22147616
APA StyleBackes, A. T., Reinmuth-Selzle, K., Leifke, A. L., Ziegler, K., Krevert, C. S., Tscheuschner, G., Lucas, K., Weller, M. G., Berkemeier, T., Pöschl, U., & Fröhlich-Nowoisky, J. (2021). Oligomerization and Nitration of the Grass Pollen Allergen Phl p 5 by Ozone, Nitrogen Dioxide, and Peroxynitrite: Reaction Products, Kinetics, and Health Effects. International Journal of Molecular Sciences, 22(14), 7616. https://doi.org/10.3390/ijms22147616

