Aberrant Expression of Long Non Coding RNA HOTAIR and De-Regulation of the Paralogous 13 HOX Genes Are Strongly Associated with Aggressive Behavior of Gastro-Entero-Pancreatic Neuroendocrine Tumors
Abstract
:1. Introduction
2. Results
2.1. Clinic-Pathological Characteristics of GEP-NEN Patients
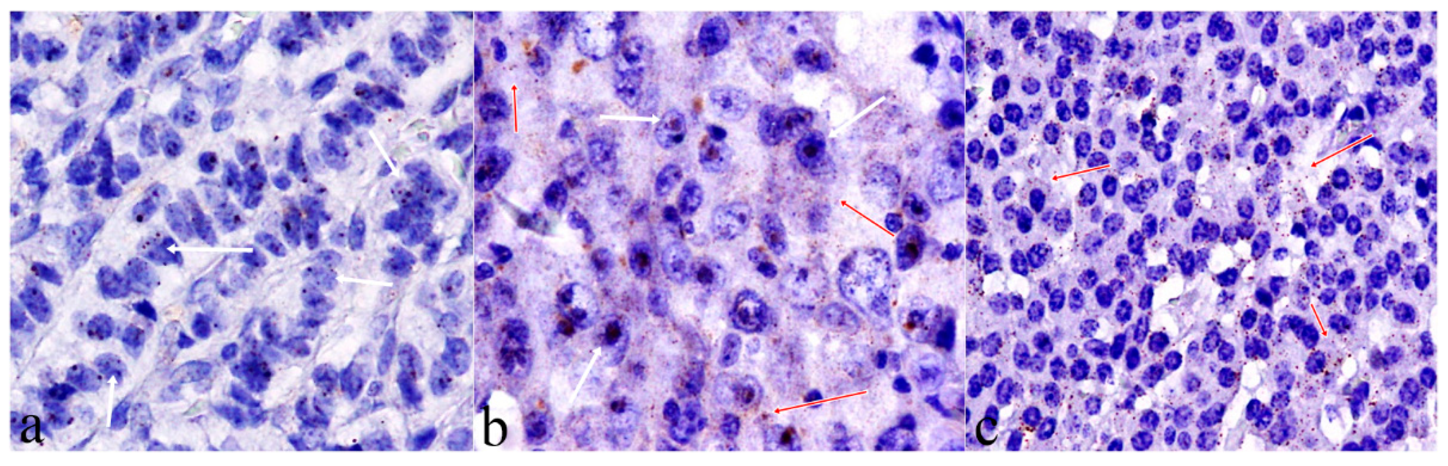
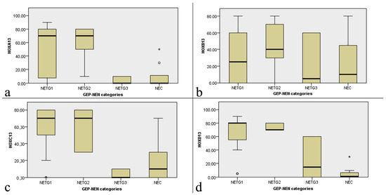
2.2. Paralogous 13 HOX Proteins Expression in GEP-NEN Patients in GEP-NEN Categories
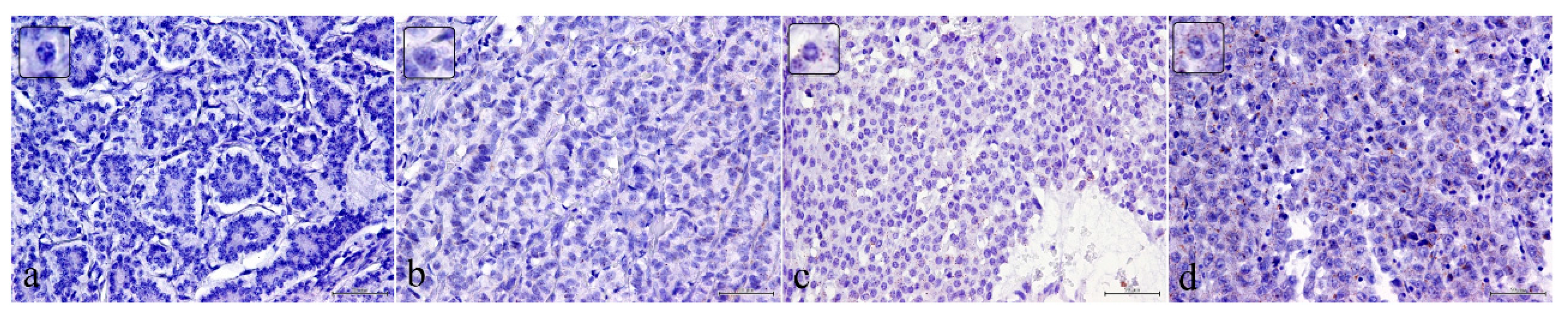
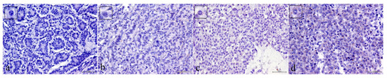
2.3. HOTAIR Relationship with Tumor Location and GEP-NEN Categories
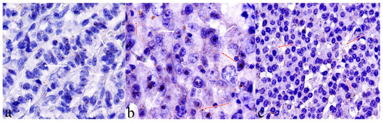
2.4. Relationship Between Paralogous 13 HOX Genes and HOTAIR
3. Discussion
4. Materials and Methods
4.1. Patients and Specimens
4.2. Immunohistochemistry Analysis
4.3. Evaluation of Immunostaining
4.4. RNA In Situ Hybridization Assay (RNA ISH)
4.5. Statistical Analysis
Supplementary Materials
Author Contributions
Funding
Institutional Review Board Statement
Informed Consent Statement
Conflicts of Interest
Abbreviations
| GEP-NENs | Gastro-Entero-Pancreatic Neuroendocrine Neoplasms |
| GEP-NETs | Gastro-Entero-Pancreatic Neuroendocrine Tumors |
| GEP-NECs | Gastro-Entero-Pancreatic Neuroendocrine Carcinomas |
| WHO | World Health Organization |
| HOX | Homeobox |
| LncRNAs | Long non coding RNAs |
| HOTAIR | Hox transcript antisense intergenic RNA |
| NENs | Neuroendocrine neoplasms |
| CRC | Colorectal cancer |
| ISH | In Situ Hybridization |
References
- Ahmed, M. Gastrointestinal neuroendocrine tumors in 2020. World J. Gastrointest Oncol. 2020, 12, 791–807. [Google Scholar] [CrossRef] [PubMed]
- Kaltsas, G.A.; Besser, G.M.; Grossman, A.B. The diagnosis and medical management of advanced neuroendocrine tumors. Endocr. Rev. 2004, 25, 458–511. [Google Scholar] [CrossRef] [PubMed]
- Lloyd, R.V.; Osamura, R.; Kloppel, G.; Rosai, J. WHO Classification of Tumours of Endocrine Organs, 4th ed.; IARC Press: Lyon, France, 2017; Volume 10. [Google Scholar]
- Klimstra, D.S.; Kloppell, G.; La Rosa, S.; Rindi, G. Classification of neuroendocrine neoplasms of the digestive system. In WHO Classification of Tumours: Digestive System Tumours, 5th ed.; WHO Classification of Tumours Editorial Board, Ed.; International Agency for Research on Cancer: Lyon, France, 2019. [Google Scholar]
- von Arx, C.; Capozzi, M.; López-Jiménez, E.; Ottaiano, A.; Tatangelo, F.; Di Mauro, A.; Nasti, G.; Tornesello, M.L.; Tafuto, S. Updates on the Role of Molecular Alterations and NOTCH Signalling in the Development of Neuroendocrine Neoplasms. J Clin. Med. 2019, 8, 1277. [Google Scholar] [CrossRef] [Green Version]
- Mallo, M.; Wellik, D.M.; Deschamps, J. Hox genes and regional patterning of the vertebrate body plan. Dev. Biol. 2010, 344, 7–15. [Google Scholar] [CrossRef] [Green Version]
- Cillo, C.; Cantile, M.; Faiella, A.; Boncinelli, E. Homeobox genes in normal and malignant cells. J. Cell. Physiol. 2001, 188, 161–169. [Google Scholar] [CrossRef]
- Aquino, G.; Franco, R.; Sabatino, R.; Mantia, E.L.; Scognamiglio, G.; Collina, F.; Cantile, M. Deregulation of paralogous 13 HOX genes in oral squamous cell carcinoma. Am. J. Cancer Res. 2015, 5, 3042–3055. [Google Scholar]
- Cantile, M.; Franco, R.; Tschan, A.; Baumhoer, D.; Zlobec, I.; Schiavo, G.; Cillo, C. HOXD13 expression across 79 tumor tissue types. Int. J. Cancer 2009, 125, 1532–1541. [Google Scholar] [CrossRef] [PubMed] [Green Version]
- Cantile, M.; Scognamiglio, G.; Anniciello, A.; Farina, M.; Gentilcore, G.; Santonastaso, C.; Botti, G. Increased HOXC13 expression in metastatic melanoma progression. J. Transl. Med. 2012, 14, 91. [Google Scholar] [CrossRef] [Green Version]
- Cantile, M.; Scognamiglio, G.; La Sala, L.; La Mantia, E.; Scaramuzza, V.; Valentino, E.; Tatangelo, F.; Losito, S.; Pezzullo, L.; Chiofalo, M.G.; et al. Aberrant expression of posterior HOX genes in well differentiated histotypes of thyroid cancers. Int. J. Mol. Sci. 2013, 14, 21727–21740. [Google Scholar] [CrossRef] [PubMed] [Green Version]
- Marra, L.; Cantile, M.; Scognamiglio, G.; Perdonà, S.; La Mantia, E.; Cerrone, M.; Gigantino, V.; Cillo, C.; Caraglia, M.; Pignata, S.; et al. Deregulation of HOXB13 expression in urinary bladder cancer progression. Curr. Med. Chem. 2013, 20, 833–839. [Google Scholar]
- Zacchetti, G.; Duboule, D.; Zakany, J. Hox gene function in vertebrate gut morphogenesis: The case of the caecum. Development 2007, 134, 3967–3973. [Google Scholar] [CrossRef] [PubMed] [Green Version]
- Kuo, T.L.; Cheng, K.H.; Chen, L.T.; Hung, W.C. Deciphering the Potential Role of Hox Genes in Pancreatic Cancer. Cancers 2019, 11, 734. [Google Scholar] [CrossRef] [Green Version]
- Tatangelo, F.; Di Mauro, A.; Scognamiglio, G.; Aquino, G.; Lettiero, A.; Delrio, P.; Avallone, A.; Cantile, M.; Botti, G. Posterior HOX genes and HOTAIR expression in the proximal and distal colon cancer pathogenesis. J. Transl. Med. 2018, 16, 350. [Google Scholar] [CrossRef] [PubMed]
- Botti, G.; De Chiara, A.; Di Bonito, M.; Cerrone, M.; Malzone, M.G.; Collina, F.; Cantile, M. Non-coding RNAs within the HOX gene network in tumor pathogenesis and progression. J Cell Physiol. 2018, 234, 395–413. [Google Scholar] [CrossRef] [PubMed] [Green Version]
- Weidle, U.H.; Birzele, F.; Kollmorgen, G.; Rüger, R. Long non-coding RNAs and their role in metastasis. Cancer Genom. Proteom. 2017, 14, 143–160. [Google Scholar] [CrossRef] [Green Version]
- Cheng, S.; Yang, S.; Shi, Y.; Shi, R.; Yeh, Y.; Yu, X. Neuroendocrine prostate cancer has distinctive, non-prostatic HOX code that is represented by the loss of HOXB13 expression. Sci. Rep. 2021, 11, 2778. [Google Scholar] [CrossRef] [PubMed]
- Chu, Y.H.; Hardin, H.; Eickhoff, J.; Lloyd, R.V. In Situ Hybridization Analysis of Long Non-coding RNAs MALAT1 and HOTAIR in Gastroenteropancreatic Neuroendocrine Neoplasms. Endocr. Pathol. 2019, 1, 56–63. [Google Scholar] [CrossRef]
- Sheth, R.; Barozzi, I.; Langlais, D.; Osterwalder, M.; Nemec, S.; Carlson, H.L.; Stadler, H.S.; Visel, A.; Drouin, J.; Kmita, M. Distal Limb Patterning Requires Modulation of cis-Regulatory Activities by HOX13. Cell Rep. 2016, 17, 2913–2926. [Google Scholar] [CrossRef]
- Beck, F. Homeobox genes in gut development. Gut 2002, 51, 450–454. [Google Scholar] [CrossRef]
- Scott, V.; Morgan, E.A.; Stadler, H.S. Genitourinary functions of Hoxa13 and Hoxd13. J. Biochem. 2005, 137, 671–676. [Google Scholar] [CrossRef]
- Javed, S.; Langley, S.E. Importance of HOX genes in normal prostate gland formation, prostate cancer development and its early detection. BJU Int. 2014, 113, 535–540. [Google Scholar] [CrossRef]
- Botti, G.; Cillo, C.; De Cecio, R.; Malzone, M.G.; Cantile, M. Paralogous HOX13 Genes in Human Cancers. Cancers 2019, 11, 699. [Google Scholar] [CrossRef] [Green Version]
- Bhan, A.; Mandal, S.S. LncRNA HOTAIR: A master regulator of chromatin dynamics and cancer. Biochim. Biophys. Acta 2015, 1856, 151–164. [Google Scholar] [CrossRef] [PubMed] [Green Version]
- Cantile, M.; Di Bonito, M.; Tracey De Bellis, M.; Botti, G. Functional Interaction among lncRNA HOTAIR and MicroRNAs in Cancer and Other Human Diseases. Cancers 2021, 13, 570. [Google Scholar] [CrossRef] [PubMed]
- Cantile, M.; Di Bonito, M.; Cerrone, M.; Collina, F.; De Laurentiis, M.; Botti, G. Long Non-Coding RNA HOTAIR in Breast Cancer Therapy. Cancers 2020, 12, 1197. [Google Scholar] [CrossRef]
- Qu, X.; Alsager, S.; Zhuo, Y.; Shan, B. HOX transcript antisense RNA (HOTAIR) in cancer. Cancer Lett. 2019, 454, 90–97. [Google Scholar] [CrossRef]
- Botti, G.; Marra, L.; Malzone, M.G.; Anniciello, A.; Botti, C.; Franco, R.; Cantile, M. LncRNA HOTAIR as Prognostic Circulating Marker and Potential Therapeutic Targetin Patients with Tumor Diseases. Curr. Drug Targets 2017, 18, 27–34. [Google Scholar] [CrossRef]
- Ren, Y.; Wang, Y.F.; Zhang, J.; Wang, Q.X.; Han, L.; Mei, M.; Kang, C.S. Targeted design and identification of AC1NOD4Q to block activity of HOTAIR by abrogating the scaffold interaction with EZH2. Clin. Epigenetics 2019, 11, 29. [Google Scholar] [CrossRef]
- Li, Y.; Ren, Y.; Wang, Y.; Tan, Y.; Wang, Q.; Cai, J.; Zhou, J.; Yang, C.; Zhao, K.; Yi, K.; et al. A Compound AC1Q3QWB Selectively Disrupts HOTAIR-Mediated Recruitment of PRC2 and Enhances Cancer Therapy of DZNep. Theranostics 2019, 9, 4608–4623. [Google Scholar] [CrossRef]
- Rinn, J.L.; Kertesz, M.; Wang, J.K.; Squazzo, S.L.; Xu, X.; Brugmann, S.A.; Goodnough, L.H.; Helms, J.A.; Farnham, P.J.; Segal, E.; et al. Functional demarcation of active and silent chromatin domains in human HOX loci by noncoding RNAs. Cell 2007, 129, 1311–1323. [Google Scholar] [CrossRef] [PubMed] [Green Version]





| Age | <65 years | 16 (47.1) |
| ≥65 years | 18 (52.9) | |
| Gender | M | 17 (50) |
| F | 17 (50) | |
| GEP-NEN categories | NET G1 | 14 (41.2) |
| NET G2 | 7 (20.6) | |
| NET G3 | 3 (8.8) | |
| NEC G3 | 10 (29.4) |
| Age | Gender | GEP-NEN Categories | |
|---|---|---|---|
| HOXA13 | 0.154 | 0.586 | 0.002 |
| HOXB13 | 0.621 | 0.892 | 0.627 |
| HOXC13 | 0.102 | 0.838 | 0.002 |
| HOXD13 | 0.109 | 0.708 | <0.001 |
| HOTAIR Expression | Negative-Low | Intermediate | High | p Value | |
|---|---|---|---|---|---|
| Age | <65 years | 5 (17.2) | 5 (17.2) | 3 (10.3) | 0.449 |
| ≥65 years | 4 (13.8) | 4 (13.8) | 8 (27.6) | ||
| Gender | M | 6 (20.7) | 3 (10.3) | 7 (24.1) | 0.411 |
| F | 3 (10.3) | 6 (20.7) | 4 (13.8) | ||
| GEP-NEN categories | NETG1 | 9 (31) | 2 (6.9) | 1 (3.4) | <0.001 |
| NETG2 | 0 | 3 (10.3) | 1 (3.4) | ||
| NETG3 | 0 | 2 (6.9) | 1 (3.4) | ||
| NECG3 | 0 | 2 (6.9) | 8 (27.6) | ||
Publisher’s Note: MDPI stays neutral with regard to jurisdictional claims in published maps and institutional affiliations. |
© 2021 by the authors. Licensee MDPI, Basel, Switzerland. This article is an open access article distributed under the terms and conditions of the Creative Commons Attribution (CC BY) license (https://creativecommons.org/licenses/by/4.0/).
Share and Cite
Di Mauro, A.; Scognamiglio, G.; Aquino, G.; Cerrone, M.; Liguori, G.; Clemente, O.; Di Bonito, M.; Cantile, M.; Botti, G.; Tafuto, S.; et al. Aberrant Expression of Long Non Coding RNA HOTAIR and De-Regulation of the Paralogous 13 HOX Genes Are Strongly Associated with Aggressive Behavior of Gastro-Entero-Pancreatic Neuroendocrine Tumors. Int. J. Mol. Sci. 2021, 22, 7049. https://doi.org/10.3390/ijms22137049
Di Mauro A, Scognamiglio G, Aquino G, Cerrone M, Liguori G, Clemente O, Di Bonito M, Cantile M, Botti G, Tafuto S, et al. Aberrant Expression of Long Non Coding RNA HOTAIR and De-Regulation of the Paralogous 13 HOX Genes Are Strongly Associated with Aggressive Behavior of Gastro-Entero-Pancreatic Neuroendocrine Tumors. International Journal of Molecular Sciences. 2021; 22(13):7049. https://doi.org/10.3390/ijms22137049
Chicago/Turabian StyleDi Mauro, Annabella, Giosuè Scognamiglio, Gabriella Aquino, Margherita Cerrone, Giuseppina Liguori, Ottavia Clemente, Maurizio Di Bonito, Monica Cantile, Gerardo Botti, Salvatore Tafuto, and et al. 2021. "Aberrant Expression of Long Non Coding RNA HOTAIR and De-Regulation of the Paralogous 13 HOX Genes Are Strongly Associated with Aggressive Behavior of Gastro-Entero-Pancreatic Neuroendocrine Tumors" International Journal of Molecular Sciences 22, no. 13: 7049. https://doi.org/10.3390/ijms22137049
APA StyleDi Mauro, A., Scognamiglio, G., Aquino, G., Cerrone, M., Liguori, G., Clemente, O., Di Bonito, M., Cantile, M., Botti, G., Tafuto, S., & Tatangelo, F. (2021). Aberrant Expression of Long Non Coding RNA HOTAIR and De-Regulation of the Paralogous 13 HOX Genes Are Strongly Associated with Aggressive Behavior of Gastro-Entero-Pancreatic Neuroendocrine Tumors. International Journal of Molecular Sciences, 22(13), 7049. https://doi.org/10.3390/ijms22137049

