Prevention of Rat Intestinal Injury with a Drug Combination of Melatonin and Misoprostol
Abstract
1. Introduction
2. Results
2.1. Blood-to-Lumen 51Cr-EDTA clearance (CLCr-EDTA) over Time Curves, CLAUC, and CLmax
2.2. Effect of Luminal SDS with or without Intravenous Parecoxib or Teduglutide
2.3. Effect of Intravenously and Luminally Perfused Melatonin
2.4. Effect of Luminally Perfused Misoprostol
2.5. Combination Effect of Luminal Melatonin and Misoprostol
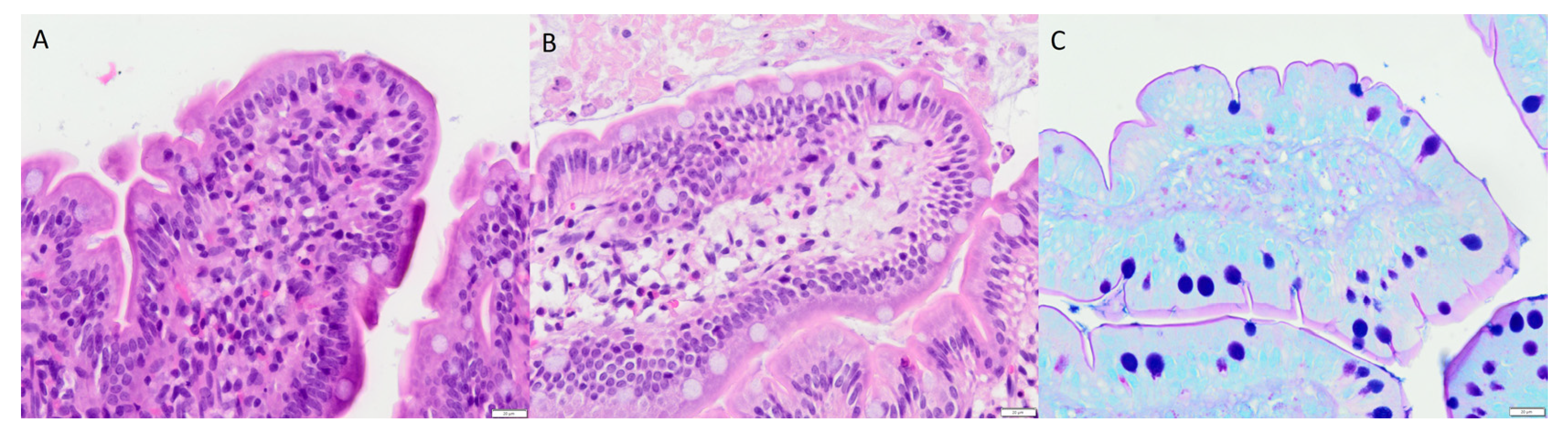
2.6. Histology
3. Discussion
4. Materials and Methods
4.1. Materials
4.2. Study Formulations
4.3. Animals, Anesthesia, and Surgery
4.4. Perfusion Study
4.5. Determination of Blood-to-Lumen Jejunal 51Cr-EDTA Clearance
4.6. Histology
4.7. Statistical Analysis
Author Contributions
Funding
Conflicts of Interest
Abbreviations
| CLCr-EDTA | clearance of 51Cr-EDTA |
| SDS | sodium dodecyl sulfate |
| SPIP | single-pass intestinal perfusion |
| IEC | intestinal epithelial cells |
References
- Schoultz, I.; Keita, Å.V. The Intestinal Barrier and Current Techniques for the Assessment of Gut Permeability. Cells 2020, 9, 1909. [Google Scholar] [CrossRef]
- Chelakkot, C.; Ghim, J.; Ryu, S.H. Mechanisms regulating intestinal barrier integrity and its pathological implications. Exp. Mol. Med. 2018, 50, 103. [Google Scholar] [CrossRef] [PubMed]
- Barker, N. Adult intestinal stem cells: Critical drivers of epithelial homeostasis and regeneration. Nat. Rev. Mol. Cell Biol. 2013, 15, 19–33. [Google Scholar] [CrossRef] [PubMed]
- Marchiando, A.M.; Shen, L.; Graham, W.V.; Edelblum, K.L.; Duckworth, C.A.; Guan, Y.; Montrose, M.H.; Turner, J.R.; Watson, A.J.M. The Epithelial Barrier Is Maintained by In Vivo Tight Junction Expansion During Pathologic Intestinal Epithelial Shedding. Gastroenterology 2011, 140, 1208–1218. [Google Scholar] [CrossRef] [PubMed]
- Odenwald, M.A.; Turner, J.R. The intestinal epithelial barrier: A therapeutic target? Nat. Rev. Gastroenterol. Hepatol. 2016, 14, 9–21. [Google Scholar] [CrossRef] [PubMed]
- Camilleri, M. Leaky gut: Mechanisms, measurement and clinical implications in humans. Gut 2019, 68, 1516–1526. [Google Scholar] [CrossRef] [PubMed]
- Camilleri, M.; Gorman, H. Intestinal permeability and irritable bowel syndrome. Neurogastroenterol. Motil. 2007, 19, 545–552. [Google Scholar] [CrossRef]
- Sangild, P.T.; Shen, R.L.; Pontoppidan, P.E.L.; Rathe, M. Animal models of chemotherapy-induced mucositis: Translational relevance and challenges. Am. J. Physiol. Liver Physiol. 2018, 314, G231–G246. [Google Scholar] [CrossRef]
- Söderquist, F.; Hellström, P.M.; Cunningham, J.L. Human Gastroenteropancreatic Expression of Melatonin and Its Receptors MT1 and MT2. PLoS ONE 2015, 10, e0120195. [Google Scholar] [CrossRef]
- Sotak, M.; Mrnka, L.; Pácha, J. Heterogeneous expression of melatonin receptor MT1 mRNA in the rat intestine under control and fasting conditions. J. Pineal Res. 2006, 41, 183–188. [Google Scholar] [CrossRef]
- Sallinen, P.; Saarela, S.; Ilves, M.; Vakkuri, O.; Leppäluoto, J. The expression of MT1 and MT2 melatonin receptor mRNA in several rat tissues. Life Sci. 2005, 76, 1123–1134. [Google Scholar] [CrossRef] [PubMed]
- Sommansson, A.; Nylander, O.; Sjöblom, M. Melatonin decreases duodenal epithelial paracellular permeability via a nicotinic receptor-dependent pathway in rats in vivo. J. Pineal Res. 2012, 54, 282–291. [Google Scholar] [CrossRef]
- Sommansson, A.; Saudi, W.S.W.; Nylander, O.; Sjöblom, M. Melatonin inhibits alcohol-induced increases in duodenal mucosal permeability in rats in vivo. Am. J. Physiol. Liver Physiol. 2013, 305, G95–G105. [Google Scholar] [CrossRef] [PubMed]
- Monobe, M.; Hino, M.; Sumi, M.; Uzawa, A.; Hirayama, R.; Ando, K.; Kojima, S. Protective effects of melatonin on γ-ray induced intestinal damage. Int. J. Radiat. Biol. 2005, 81, 855–860. [Google Scholar] [CrossRef]
- Davies, N.M.; Longstreth, J.; Jamali, F. Misoprostol therapeutics revisited, Pharmacotherapy. J. Hum. Pharmacol. Drug Ther. 2001, 21, 60–73. [Google Scholar] [CrossRef]
- Graham, D.; Agrawal, N.; Roth, S. Prevention of Nsaid-induced gastric ulcer with misoprostol: Multicentre, double-blind, placebo-controlled trial. Lancet 1988, 332, 1277–1280. [Google Scholar] [CrossRef]
- Moloudi, R.; Rafsanjani, F.N.; Nahrevanian, H.; Hassanzadeh, G. Effect of different doses of GLP-2 (Teduglutide) on acute esophageal lesion due to acid-pepsin perfusion in male rats. Peptides 2011, 32, 2086–2090. [Google Scholar] [CrossRef]
- Booth, C.; Booth, D.; Williamson, S.; Demchyshyn, L.L.; Potten, C. Teduglutide ([Gly2]GLP-2) protects small intestinal stem cells from radiation damage. Cell Prolif. 2004, 37, 385–400. [Google Scholar] [CrossRef]
- Swenson, E.S.; Milisen, W.B.; Curatolo, W. Intestinal Permeability Enhancement: Efficacy, Acute Local Toxicity, and Reversibility. Pharm. Res. 1994, 11, 1132–1142. [Google Scholar] [CrossRef]
- Dahlgren, D.; Roos, C.; Lundqvist, A.; Tannergren, C.; Langguth, P.; Sjöblom, M.; Sjögren, E.; Lennernas, H. Preclinical Effect of Absorption Modifying Excipients on Rat Intestinal Transport of Model Compounds and the Mucosal Barrier Marker51Cr-EDTA. Mol. Pharm. 2017, 14, 4243–4251. [Google Scholar] [CrossRef] [PubMed]
- Nylander, O.; Sababi, M.; Bark, J. Characterization of51Cr-EDTA as a marker of duodenal mucosal permeability. Acta Physiol. Scand. 1991, 143, 117–126. [Google Scholar] [CrossRef]
- Dahlgren, D.; Roos, C.; Lundqvist, A.; Tannergren, C.; Sjöblom, M.; Sjögren, E.; Lennernas, H. Time-dependent effects on small intestinal transport by absorption-modifying excipients. Eur. J. Pharm. Biopharm. 2018, 132, 19–28. [Google Scholar] [CrossRef] [PubMed]
- Lichtenberg, D.; Robson, R.J.; Dennis, E. Solubilization of phospholipids by detergents structural and kinetic aspects. Biochim. Biophys. Acta Rev. Biomembr. 1983, 737, 285–304. [Google Scholar] [CrossRef]
- Anosov, A.; Smirnova, E.; Korepanova, E.; Shogenov, I. The effects of SDS at subsolubilizing concentrations on the planar lipid bilayer permeability: Two kinds of current fluctuations. Chem. Phys. Lipids 2019, 218, 10–15. [Google Scholar] [CrossRef]
- Anderberg, E.K.; Artursson, P. Epithelial Transport of Drugs in Cell Culture. VIII: Effects of Sodium Dodecyl Sulfate on Cell Membrane and Tight Junction Permeability in Human Intestinal Epithelial (Caco-2) Cells. J. Pharm. Sci. 1993, 82, 392–398. [Google Scholar] [CrossRef] [PubMed]
- Dahlgren, D.; Cano-Cebrián, M.J.; Olander, T.; Hedeland, M.; Sjöblom, M.; Lennernas, H. Regional Intestinal Drug Permeability and Effects of Permeation Enhancers in Rat. Pharmaceutics 2020, 12, 242. [Google Scholar] [CrossRef] [PubMed]
- Danielsen, E.M.; Hansen, G.H. Probing paracellular -versus transcellular tissue barrier permeability using a gut mucosal explant culture system. Tissue Barriers 2019, 7, 1601955. [Google Scholar] [CrossRef]
- Dothel, G.; Vasina, V.; Barbara, G.; De Ponti, F. Animal models of chemically induced intestinal inflammation: Predictivity and ethical issues. Pharmacol. Ther. 2013, 139, 71–86. [Google Scholar] [CrossRef]
- Yan, Y.; Kolachala, V.; Dalmasso, G.; Nguyen, H.; Laroui, H.; Sitaraman, S.V.; Merlin, D. Temporal and Spatial Analysis of Clinical and Molecular Parameters in Dextran Sodium Sulfate Induced Colitis. PLoS ONE 2009, 4, e6073. [Google Scholar] [CrossRef]
- Blikslager, A.T.; Moeser, A.J.; Gookin, J.L.; Jones, S.L.; Odle, J. Restoration of Barrier Function in Injured Intestinal Mucosa. Physiol. Rev. 2007, 87, 545–556. [Google Scholar] [CrossRef]
- Chamanara, M.; Rashidian, A.; Mehr, S.E.; Dehpour, A.-R.; Shirkohi, R.; Akbarian, R.; Abdollahi, A.; Rezayat, S.-M. Melatonin ameliorates TNBS-induced colitis in rats through the melatonin receptors: Involvement of TLR4/MyD88/NF-κB signalling pathway. Inflammopharmacology 2019, 27, 361–371. [Google Scholar] [CrossRef] [PubMed]
- Nosál’Ová, V.; Zeman, M.; Cerna, S.; Navarová, J.; Zakálová, M. Protective effect of melatonin in acetic acid induced colitis in rats. J. Pineal Res. 2007, 42, 364–370. [Google Scholar] [CrossRef]
- Schwarz, N.T.; Kalff, J.C.; Türler, A.; Engel, B.M.; Watkins, S.C.; Billiar, T.R.; Bauer, A.J. Prostanoid production via COX-2 as a causative mechanism of rodent postoperative ileus. Gastroenterology 2001, 121, 1354–1371. [Google Scholar] [CrossRef] [PubMed]
- Sedin, J.; Sjoblom, M.; Nylander, O. Prevention of duodenal ileus reveals functional differences in the duodenal response to luminal hypertonicity in Sprague-Dawley and Dark Agouti rats. Acta Physiol. 2013, 210, 573–589. [Google Scholar] [CrossRef] [PubMed]
- Sedin, J.; Sjoblom, M.; Nylander, O. The selective cyclooxygenase-2 inhibitor parecoxib markedly improves the ability of the duodenum to regulate luminal hypertonicity in anaesthetized rats. Acta Physiol. 2012, 205, 433–451. [Google Scholar] [CrossRef]
- Jeppesen, P.B.; Sanguinetti, E.L.; Buchman, A.; Howard, L.; Scolapio, J.S.; Ziegler, T.R.; Gregory, J.; Tappenden, K.; Holst, J.; Mortensen, P.B. Teduglutide (ALX-0600), a dipeptidyl peptidase IV resistant glucagon-like peptide 2 analogue, improves intestinal function in short bowel syndrome patients. Gut 2005, 54, 1224–1231. [Google Scholar] [CrossRef]
- Jeppesen, P.B.; Pertkiewicz, M.; Messing, B.; Iyer, K.; Seidner, D.L.; O’Keefe, S.J.D.; Forbes, A.; Heinze, H.; Joelsson, B. Teduglutide Reduces Need for Parenteral Support Among Patients With Short Bowel Syndrome With Intestinal Failure. Gastroenterology 2012, 143, 1473–1481.e3. [Google Scholar] [CrossRef]
- Buchman, A.L.; Katz, S.; Fang, J.C.; Bernstein, C.N.; Abou-Assi, S.G.; Group, T.S. Teduglutide, a novel mucosally active analog of glucagon-like peptide-2 (GLP-2) for the treatment of moderate to severe Crohn’s disease. Inflamm. Bowel Dis. 2010, 16, 962–973. [Google Scholar] [CrossRef]
- Benjamin, M.; McKay, D.M.; Yang, P.-C.; Cameron, H.; Perdue, M.H. Glucagon-like peptide-2 enhances intestinal epithelial barrier function of both transcellular and paracellular pathways in the mouse. Gut 2000, 47, 112–119. [Google Scholar] [CrossRef]
- Deniz, M.; Bozkurt, A.; Kurtel, H. Mediators of glucagon-like peptide 2-induced blood flow: Responses in different vascular sites. Regul. Pept. 2007, 142, 7–15. [Google Scholar] [CrossRef]
- Abramovitz, M.; Adam, M.; Boie, Y.; Carrière, M.-C.; Denis, D.; Godbout, C.; Lamontagne, S.; Rochette, C.; Sawyer, N.; Tremblay, N.M.; et al. The utilization of recombinant prostanoid receptors to determine the affinities and selectivities of prostaglandins and related analogs. Biochim. Biophys. Acta Bioenerg. 2000, 1483, 285–293. [Google Scholar] [CrossRef]
- Sugimoto, Y.; Narumiya, S. Prostaglandin E Receptors. J. Biol. Chem. 2007, 282, 11613–11617. [Google Scholar] [CrossRef] [PubMed]
- Field, J.T.; Martens, M.; Mughal, W.; Hai, Y.; Chapman, D.; Hatch, G.M.; Ivanco, T.L.; Diehl-Jones, W.; Gordon, J.W. Misoprostol regulates Bnip3 repression and alternative splicing to control cellular calcium homeostasis during hypoxic stress. Cell Death Discov. 2018, 4, 1–20. [Google Scholar] [CrossRef]
- Ricciotti, E.; FitzGerald, G.A. Prostaglandins and inflammation, Arterioscler. Thromb. Vasc. Biol. 2011, 31, 986–1000. [Google Scholar] [CrossRef]
- Brayden, D.J.; Maher, S.; Bahar, B.; Walsh, E. Sodium caprate-induced increases in intestinal permeability and epithelial damage are prevented by misoprostol. Eur. J. Pharm. Biopharm. 2015, 94, 194–206. [Google Scholar] [CrossRef]
- Rakhimova, O.I. [Use of melatonin in combined treatment for inflammatory bowel diseases]. Ter. arkhiv 2010, 82, 64–68. [Google Scholar]
- Siah, K.T.H.; Wong, R.K.M.; Ho, K. Melatonin for the treatment of irritable bowel syndrome. World J. Gastroenterol. 2014, 20, 2492–2498. [Google Scholar] [CrossRef]
- Ateş, B.; Yilmaz, I.; Geçkil, H.; Iraz, M.; Birincioglu, M.; Fiskin, K. Protective role of melatonin given either before ischemia or prior to reperfusion on intestinal ischemia-reperfusion damage. J. Pineal Res. 2004, 37, 149–152. [Google Scholar] [CrossRef]
- Sommansson, A.; Yamskova, O.; Schiöth, H.B.; Nylander, O.; Sjöblom, M. Long-term oral melatonin administration reduces ethanol-induced increases in duodenal mucosal permeability and motility in rats. Acta Physiol. 2014, 212, 152–165. [Google Scholar] [CrossRef]
- Topuz, Ö.; Ilhan, Y.S.; Dogru, O.; Aygen, E.; Sozen, S. Effect of melatonin and misoprostol on bacterial translocation in portal hypertensive rats. J. Gastroenterol. Hepatol. 2012, 27, 562–565. [Google Scholar] [CrossRef]
- Narkar, Y.; Burnette, R.; Bleher, R.; Albrecht, R.; Kandela, A.; Robinson, J.R. Evaluation of Mucosal Damage and Recovery in the Gastrointestinal Tract of Rats by a Penetration Enhancer. Pharm. Res. 2007, 25, 25–38. [Google Scholar] [CrossRef]
- Bjarnason, I.; MacPherson, A.; Hollander, D. Intestinal permeability: An overview. Gastroenterology 1995, 108, 1566–1581. [Google Scholar] [CrossRef]
- George, R.P.; Barker, T.H.; Lymn, K.A.; Bigatton, D.A.; Howarth, G.S.; Whittaker, A.L. A Judgement Bias Test to Assess Affective State and Potential Therapeutics in a Rat Model of Chemotherapy-Induced Mucositis. Sci. Rep. 2018, 8, 8193. [Google Scholar] [CrossRef] [PubMed]
- Van Sebille, Y.Z.; Stansborough, R.; Wardill, H.R.; Bateman, E.; Gibson, R.J.; Keefe, D.M. Management of Mucositis During Chemotherapy: From Pathophysiology to Pragmatic Therapeutics. Curr. Oncol. Rep. 2015, 17, 50. [Google Scholar] [CrossRef]
- Fagerholm; Nilsson; Knutson; Lennernäs, H. Jejunal permeability in humans in vivo and rats in situ: Investigation of molecular size selectivity and solvent drag. Acta Physiol. Scand. 1999, 165, 315–324. [Google Scholar] [CrossRef]
- Dahlgren, D.; Roos, C.; Peters, K.; Lundqvist, A.; Tannergren, C.; Sjögren, E.; Sjöblom, M.; Lennernas, H. Evaluation of drug permeability calculation based on luminal disappearance and plasma appearance in the rat single-pass intestinal perfusion model. Eur. J. Pharm. Biopharm. 2019, 142, 31–37. [Google Scholar] [CrossRef] [PubMed]
- Nylander, O.; Kvietys, P.; Granger, D.N. Effects of hydrochloric acid on duodenal and jejunal mucosal permeability in the rat. Am. J. Physiol. Liver Physiol. 1989, 257, G653–G660. [Google Scholar] [CrossRef]





| Experiments | CLAUC (mL/100 g) | CLmax (mL/min/100 g) | CLAUC and CLmax Significant Different from: | |
|---|---|---|---|---|
| Control | SDS | |||
| Control | 10.3 ± 1.6 | 0.16 ± 0.02 | - | Yes |
| Control MEL-LUM | 9.6 ± 1.1 | 0.14 ± 0.02 | No | Yes |
| SDS no parecoxib | 24.7 ± 3.0 | 0.47 ± 0.06 | Yes | No |
| SDS | 22.7 ± 1.8 | 0.46 ± 0.04 | Yes | - |
| SDS TED-IV | 25.1 ± 4.6 | 0.49 ± 0.09 | Yes | No |
| SDS MEL-IV | 23.7 ± 4.8 | 0.48 ± 0.10 | Yes | No |
| SDS MEL-LUM | 16.4 ± 2.1 | 0.31 ± 0.04 | Yes | Yes |
| SDS MIS-LUM | 18.0 ± 2.6 | 0.36 ± 0.05 | Yes | Yes |
| SDS MEL-MIS-LUM | 10.7 ± 1.6* | 0.18 ± 0.03* | No | Yes |
| Experimental Groups | SDS Luminally Added between 45 and 60 min | Drug Treatments (Dose/Concentration) |
|---|---|---|
| Control | No | - |
| Control MEL-LUM | Melatonin lumen (100 μM) | |
| SDS no parecoxib | Yes | - |
| SDS | - | |
| SDS TED-IV | Teduglutide IV (100 μg bolus + 33 μg/h infusion) | |
| SDS MEL-IV | Melatonin IV (20 mg/kg bolus) | |
| SDS MEL-LUM | Melatonin lumen (100 μM) | |
| SDS MIS-LUM | Misoprostol lumen (10 μM) | |
| SDS MEL-MIS-LUM | Melatonin lumen (100 μM) + Misoprostol lumen (10 μM) |
© 2020 by the authors. Licensee MDPI, Basel, Switzerland. This article is an open access article distributed under the terms and conditions of the Creative Commons Attribution (CC BY) license (http://creativecommons.org/licenses/by/4.0/).
Share and Cite
Dahlgren, D.; Cano-Cebrián, M.-J.; Hellström, P.M.; Wanders, A.; Sjöblom, M.; Lennernäs, H. Prevention of Rat Intestinal Injury with a Drug Combination of Melatonin and Misoprostol. Int. J. Mol. Sci. 2020, 21, 6771. https://doi.org/10.3390/ijms21186771
Dahlgren D, Cano-Cebrián M-J, Hellström PM, Wanders A, Sjöblom M, Lennernäs H. Prevention of Rat Intestinal Injury with a Drug Combination of Melatonin and Misoprostol. International Journal of Molecular Sciences. 2020; 21(18):6771. https://doi.org/10.3390/ijms21186771
Chicago/Turabian StyleDahlgren, David, Maria-José Cano-Cebrián, Per M. Hellström, Alkwin Wanders, Markus Sjöblom, and Hans Lennernäs. 2020. "Prevention of Rat Intestinal Injury with a Drug Combination of Melatonin and Misoprostol" International Journal of Molecular Sciences 21, no. 18: 6771. https://doi.org/10.3390/ijms21186771
APA StyleDahlgren, D., Cano-Cebrián, M.-J., Hellström, P. M., Wanders, A., Sjöblom, M., & Lennernäs, H. (2020). Prevention of Rat Intestinal Injury with a Drug Combination of Melatonin and Misoprostol. International Journal of Molecular Sciences, 21(18), 6771. https://doi.org/10.3390/ijms21186771

