Transcriptome Analysis of Improved Wool Production in Skin-Specific Transgenic Sheep Overexpressing Ovine β-Catenin
Abstract
1. Introduction
2. Results
2.1. Transgenic Sheep
2.2. Characterization of Transgene Expression in Transgenic Sheep and Their Wild-Type Siblings
2.3. Advantage of Overexpressing Ovine β-Catenin in Wool Production
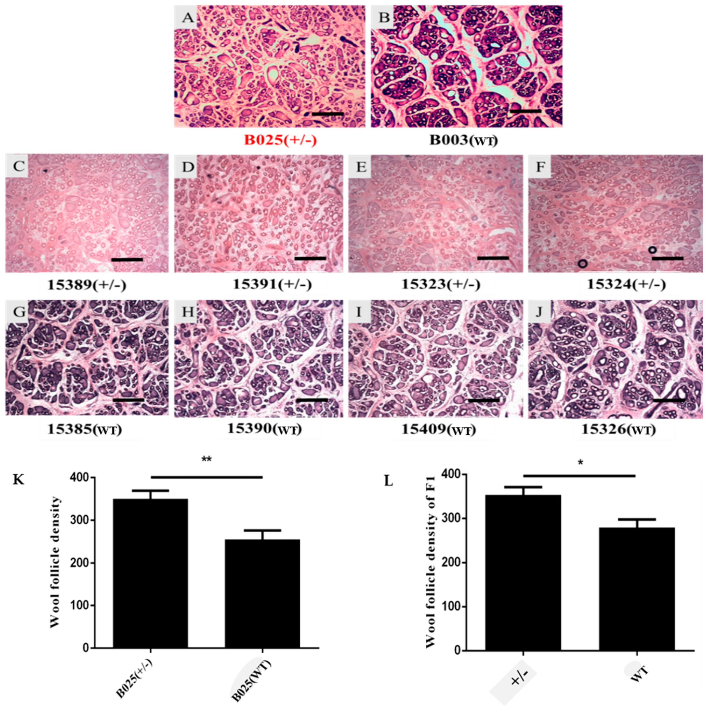
2.4. Analysis of Wool Follicle Density of Transgenic Sheep
2.5. Identification of Expressed Transcripts in the Sheep Skin Transcriptome
2.6. Functional Analysis of Differentially Expressed Genes (DEGs)
2.7. Identification of DEGs between the F0 Transgenic Sheep and Wild-Type Siblings
2.8. Validation of DEGs by Real-Time PCR
3. Discussion
4. Materials and Methods
4.1. Animals and Treatments
4.2. K14-β-Catenin-EGFP Plasmid Construction
4.3. Generation of Transgenic Sheep
4.4. Positive Identification of F0 and F1 Transgenic Sheep
4.5. Analysis of Transgene Expression of F0 and F1 Sheep
4.6. Protein Analysis of F0 and F1 Sheep
4.7. Immunohistochemistry
4.8. Clean Fleece Weight
4.9. RNA Extraction and Transcriptome Sequencing
4.10. Sequence Reads Mapping, Assembly, and Annotation
4.11. Quantification and Analysis of DEGs
4.12. GO and Kyoto Encyclopedia of Genes and Genomes (KEGG) Enrichment Analysis of DEGs
4.13. Real-Time PCR Validation of DEGs
5. Conclusions
Supplementary Materials
Author Contributions
Funding
Acknowledgments
Conflicts of Interest
Abbreviations
| bp | Base pairs |
| DEGs | Differentially expressed genes |
| FPKM | Fragments per kilobase of exon per million fragments mapped |
| GO | Gene ontology |
| BP | Biological process |
| CC | Cellular component |
| MF | Molecular function |
| KEGG | Kyoto Encyclopedia of Genes and Genomes |
| qRT-PCR | Quantitative reverse transcription polymerase chain reaction |
| RNA-Seq | RNA sequencing |
| IHC | Immunohistochemical |
References
- Watt, F.M. Stem cell fate and patterning in mammalian epidermis. Curr. Opin. Genet. Dev. 2001, 11, 410–417. [Google Scholar] [CrossRef]
- Lavker, R.M.; Sun, T.T.; Oshima, H.; Barrandon, Y.; Akiyama, M.; Ferraris, C.; Chevalier, G.; Favier, B.; Jahoda, C.A.; Dhouailly, D.; et al. Hair follicle stem cells. J. Investig. Dermatol. Symp. Proc. 2003, 8, 28–38. [Google Scholar] [CrossRef] [PubMed]
- Jahoda, C.A.; Oliver, R.F.; Reynolds, A.J.; Forrester, J.C.; Gillespie, J.W.; Cserhalmi-Friedman, P.B.; Christiano, A.M.; Horne, K.A. Trans-species hair growth induction by human hair follicle dermal papillae. Exp. Dermatol. 2001, 10, 229–237. [Google Scholar] [CrossRef] [PubMed]
- Hardy, M.H. The secret life of the hair follicle. Trends Genet. 1992, 8, 55–61. [Google Scholar] [CrossRef]
- Oshima, H.; Rochat, A.; Kedzia, C.; Kobayashi, K.; Barrandon, Y. Morphogenesis and renewal of hair follicles from adult multipotent stem cells. Cell 2001, 104, 233–245. [Google Scholar] [CrossRef]
- Millar, S.E. Molecular mechanisms regulating hair follicle development. J. Investig. Dermatol. 2002, 118, 216–225. [Google Scholar] [CrossRef] [PubMed]
- Huelsken, J.; Vogel, R.; Erdmann, B.; Cotsarelis, G.; Birchmeier, W. Beta-Catenin controls hair follicle morphogenesis and stem cell differentiation in the skin. Cell 2001, 105, 533–545. [Google Scholar] [CrossRef]
- Ozawa, M.; Baribault, H.; Kemler, R. The cytoplasmic domain of the cell adhesion molecule uvomorulin associates with three independent proteins structurally related in different species. EMBO J. 1989, 8, 1711–1717. [Google Scholar] [CrossRef]
- Fuchs, E.; Merrill, B.J.; Jamora, C.; DasGupta, R. At the roots of a never-ending cycle. Dev. Cell 2001, 1, 13–25. [Google Scholar] [CrossRef]
- Gat, U.; DasGupta, R.; Degenstein, L.; Fuchs, E. De Novo hair follicle morphogenesis and hair tumors in mice expressing a truncated beta-catenin in skin. Cell 1998, 95, 605–614. [Google Scholar] [CrossRef]
- Rasali, D.R.; Shrestha, J.N.B.; Crow, G.H. Development of composite sheep breeds in the world: A review. Can. J. Anim. Sci. 2006, 86, 1–24. [Google Scholar]
- Konigshoff, M.; Balsara, N.; Pfaff, E.M.; Kramer, M.; Chrobak, I.; Seeger, W.; Eickelberg, O. Functional Wnt Signaling Is Increased in Idiopathic Pulmonary Fibrosis. PLoS ONE 2008, 3, e2142. [Google Scholar] [CrossRef] [PubMed]
- Veniaminova, N.A.; Vagnozzi, A.N.; Kopinke, D.; Do, T.T.; Murtaugh, L.C.; Maillard, I.; Dlugosz, A.A.; Reiter, J.F.; Wong, S.Y. Keratin 79 identifies a novel population of migratory epithelial cells that initiates hair canal morphogenesis and regeneration. Development 2013, 140, 4870–4880. [Google Scholar] [CrossRef] [PubMed]
- Powell, B.C.; Beltrame, J.S. Characterization of a hair (wool) keratin intermediate filament gene domain. J. Investig. Dermatol. 1994, 102, 171–177. [Google Scholar] [CrossRef] [PubMed]
- Veraitch, O.; Kobayashi, T.; Imaizumi, Y.; Akamatsu, W.; Sasaki, T.; Yamanaka, S.; Amagai, M.; Okano, H.; Ohyama, M. Human induced pluripotent stem cell-derived ectodermal precursor cells contribute to hair follicle morphogenesis in vivo. J. Investig. Dermatol. 2013, 133, 1479–1488. [Google Scholar] [CrossRef] [PubMed]
- Harel, S.; Christiano, A.M. Keratin 71 mutations: From water dogs to woolly hair. J. Investig. Dermatol. 2012, 132, 2315–2317. [Google Scholar] [CrossRef] [PubMed]
- Nanashima, N.; Ito, K.; Ishikawa, T.; Nakano, M.; Nakamura, T. Damage of hair follicle stem cells and alteration of keratin expression in external radiation-induced acute alopecia. Int. J. Mol. Med. 2012, 30, 579–584. [Google Scholar] [CrossRef]
- Gong, H.; Zhou, H.; Hickford, J.G. Polymorphism of the ovine keratin-associated protein 1–4 gene (KRTAP1-4). Mol. Biol. Rep. 2010, 37, 3377–3780. [Google Scholar] [CrossRef]
- Ansar, M.; Raza, S.I.; Lee, K.; Irfanullah; Shahi, S.; Acharya, A.; Dai, H.; Smith, J.D.; Shendure, J.; Bamshad, M.J.; Nickerson, D.A.; et al. A homozygous missense variant in type I keratin KRT25 causes autosomal recessive woolly hair. J. Med. Genet. 2015, 52, 676–680. [Google Scholar] [CrossRef]
- Andl, T.; Reddy, S.T.; Gaddapara, T.; Millar, S.E. WNT signals are required for the initiation of hair follicle development. Dev. Cell 2002, 2, 643–653. [Google Scholar] [CrossRef]
- Rosenquist, T.A.; Martin, G.R. Fibroblast growth factor signalling in the hair growth cycle: Expression of the fibroblast growth factor receptor and ligand genes in the murine hair follicle. Dev. Dyn. 1996, 205, 379–386. [Google Scholar] [CrossRef]
- Fujimoto, A.; Kimura, R.; Ohashi, J.; Omi, K.; Yuliwulandari, R.; Batubara, L.; Mustofa, M.S.; Samakkarn, U.; Settheetham-Ishida, W.; Ishida, T.; et al. A scan for genetic determinants of human hair morphology: EDAR is associated with Asian hair thickness. Hum. Mol. Genet. 2008, 17, 835–843. [Google Scholar] [CrossRef] [PubMed]
- Botchkarev, V.A.; Fessing, M.Y. Edar signaling in the control of hair follicle development. J. Investig. Dermatol. Symp. Proc. 2005, 10, 247–251. [Google Scholar] [CrossRef] [PubMed]
- Kulessa, H.; Turk, G.; Hogan, B.L. Inhibition of Bmp signaling affects growth and differentiation in the anagen hair follicle. EMBO J. 2000, 19, 6664–6674. [Google Scholar] [CrossRef] [PubMed]
- Chiang, C.; Swan, R.Z.; Grachtchouk, M.; Bolinger, M.; Litingtung, Y.; Robertson, E.K.; Cooper, M.K.; Gaffield, W.; Westphal, H.; Beachy, P.A.; et al. Essential role for Sonic hedgehog during hair follicle morphogenesis. Dev. Biol. 1999, 205, 1–9. [Google Scholar] [CrossRef] [PubMed]
- Oshimori, N.; Fuchs, E. Paracrine TGF-beta signaling counterbalances BMP-mediated repression in hair follicle stem cell activation. Cell Stem Cell 2012, 10, 63–75. [Google Scholar] [CrossRef] [PubMed]
- Weger, N.; Schlake, T. Igf-I signalling controls the hair growth cycle and the differentiation of hair shafts. J. Investig. Dermatol. 2005, 125, 873–882. [Google Scholar] [CrossRef]
- Wodarz, A.; Nusse, R. Mechanisms of Wnt signaling in development. Annu. Rev. Cell Dev. Biol. 1998, 14, 59–88. [Google Scholar] [CrossRef] [PubMed]
- Playford, M.P.; Bicknell, D.; Bodmer, W.F.; Macaulay, V.M. Insulin-like growth factor 1 regulates the location, stability, and transcriptional activity of beta-catenin. Proc. Natl. Acad. Sci. USA 2000, 97, 12103–12108. [Google Scholar] [CrossRef]
- Badreldin, A.; Shafei, M.M.; Marai, I.F.M.; Kamar, G.A.R. Histological Structure of Wool Follicle Group in Fat-Tailed Sheep. Acta Anat. 1961, 44, 363–373. [Google Scholar] [CrossRef]
- Lo Celso, C.; Prowse, D.M.; Watt, F.M. Transient activation of beta-catenin signalling in adult mouse epidermis is sufficient to induce new hair follicles but continuous activation is required to maintain hair follicle tumours. Development 2004, 131, 1787–1799. [Google Scholar] [CrossRef] [PubMed]
- Tao, Y.; Yang, Q.; Wang, L.; Zhang, J.; Zhu, X.; Sun, Q.; Han, Y.; Luo, Q.; Wang, Y.; Guo, X.; et al. Beta-catenin activation in hair follicle dermal stem cells induces ectopic hair outgrowth and skin fibrosis. J. Mol. Cell Biol. 2018. [Google Scholar] [CrossRef] [PubMed]
- Langbein, L.; Rogers, M.A.; Praetzel-Wunder, S.; Helmke, B.; Schirmacher, P.; Schweizer, J. K25 (K25irs1), K26 (K25irs2), K27 (K25irs3), and K28 (K25irs4) represent the type I inner root sheath keratins of the human hair follicle. J. Investig. Dermatol 2006, 126, 2377–2386. [Google Scholar] [CrossRef]
- Yoshida, H.; Taguchi, H.; Hachiya, A.; Kitahara, T.; Boissy, R.E.; Visscher, M.O. The natural trait of the curvature of human hair is correlated with bending of the hair follicle and hair bulb by a structural disparity in the root sheath. J. Dermatol. Sci. 2014, 75, 195–199. [Google Scholar] [CrossRef]
- Oliver, R.F. Ectopic regeneration of whiskers in the hooded rat from implanted lengths of vibrissa follicle wall. J. Embryol. Exp. Morphol. 1967, 17, 27–34. [Google Scholar] [PubMed]
- Ibrahim, L.; Wright, E.A. Inductive capacity of irradiated dermal papillae. Nature 1977, 265, 733–744. [Google Scholar] [CrossRef] [PubMed]
- Zhang, Y.; Andl, T.; Yang, S.H.; Teta, M.; Liu, F.; Seykora, J.T.; Tobias, J.W.; Piccolo, S.; Schmidt-Ullrich, R.; Nagy, A.; et al. Activation of beta-catenin signaling programs embryonic epidermis to hair follicle fate. Development 2008, 135, 2161–2172. [Google Scholar] [CrossRef] [PubMed]
- Enshell-Seijffers, D.; Lindon, C.; Kashiwagi, M.; Morgan, B.A. Beta-catenin Activity in the Dermal Papilla Regulates Morphogenesis and Regeneration of Hair. Dev. Cell 2010, 18, 633–642. [Google Scholar] [CrossRef]
- Langmead, B.; Trapnell, C.; Pop, M.; Salzberg, S.L. Ultrafast and memory-efficient alignment of short DNA sequences to the human genome. Genome Biol. 2009, 10, R25. [Google Scholar] [CrossRef]
- Trapnell, C.; Pachter, L.; Salzberg, S.L. TopHat: Discovering splice junctions with RNA-Seq. Bioinformatics 2009, 25, 1105–1111. [Google Scholar] [CrossRef]
- Li, R.; Yu, C.; Li, Y.; Lam, T.W.; Yiu, S.M.; Kristiansen, K.; Wang, J. SOAP2: An improved ultrafast tool for short read alignment. Bioinformatics 2009, 25, 1966–1967. [Google Scholar] [CrossRef] [PubMed]
- Young, M.D.; Wakefield, M.J.; Smyth, G.K.; Oshlack, A. Gene ontology analysis for RNA-seq: Accounting for selection bias. Genome Biol. 2010, 11, R14. [Google Scholar] [CrossRef] [PubMed]
- Benjamini, Y.; Hochberg, Y. Controlling the False Discovery Rate—A Practical and Powerful Approach to Multiple Testing. J. R. Stat. Soc. B Met. 1995, 57, 289–300. [Google Scholar] [CrossRef]
- Mao, X.Z.; Cai, T.; Olyarchuk, J.G.; Wei, L.P. Automated genome annotation and pathway identification using the KEGG Orthology (KO) as a controlled vocabulary. Bioinformatics 2005, 21, 3787–3793. [Google Scholar] [CrossRef]
- Kang, X.; Liu, Y.; Zhang, J.; Xu, Q.; Liu, C.; Fang, M. Characteristics and Expression Profile of KRT71 Screened by Suppression Subtractive Hybridization cDNA Library in Curly Fleece Chinese Tan Sheep. DNA Cell Biol. 2017, 36, 552–564. [Google Scholar] [CrossRef] [PubMed]
- Livak, K.J.; Schmittgen, T.D. Analysis of relative gene expression data using real-time quantitative PCR and the 2(T) (-Delta Delta C) method. Methods 2001, 25, 402–408. [Google Scholar] [CrossRef] [PubMed]









| Ear Tag | Donor | Donor | Sex | Body | Yearling | Clean | Clean | GMO (+/−) |
|---|---|---|---|---|---|---|---|---|
| rams | ewes | Weight (kg) | Shearing (kg) | Fleece Yield (%) | Fleece Weight (kg) | Non-GMO (WT) | ||
| 15323 | B025 | ZA94822 | ♂ | 85.35 | 10.85 | 50.14 | 5.44019 | +/− |
| 15409 | ♂ | 88.5 | 8.4 | 58.63 | 4.92492 | WT | ||
| 15324 | B025 | ZA94822 | ♀ | 54.6 | 4.45 | 63.48 | 2.609035 | +/− |
| 15326 | ♀ | 50 | 2.7 | 53.92 | 1.58301 | WT | ||
| 15389 | B025 | ZA94863 | ♂ | 82.6 | 12.3 | 58.64 | 7.21149 | +/− |
| 15385 | ♂ | 84.85 | 8.85 | 60.78 | 5.188755 | WT | ||
| 15391 | B025 | ZA96588 | ♂ | 93.2 | 12.55 | 42.29 | 7.358065 | +/− |
| 15390 | ♂ | 95.15 | 10.55 | 45.98 | 6.185465 | WT |
| Gene Name | Description | Reference |
|---|---|---|
| β-catenin | β-Catenin controls hair follicle morphogenesis and stem cell differentiation in the skin | [7] |
| MMP-7 | MMP-7 or matrilysin (β-catenin target gene) is expressed in hair placode keratinocytes | [11] |
| FN1 | β-catenin target gene | [12] |
| KRT79 | Keratin 79 identifies a novel population of migratory epithelial cells that initiate hair canal morphogenesis and regeneration | [13] |
| KRT2.11 | KRT2.11 transcripts are present in wool follicle RNA and are expressed in follicle cortical keratinocytes located above the dermal papilla | [14] |
| KRT8 | KRT8 is an epithelial marker | [15] |
| KRT71 | Mutations in KRT71 are observed in mice, rats, and dogs and are linked to a wavy coat phenotype | [16] |
| KRT5 | KRT5 is a marker of basal and undifferentiated keratinocytes and is increased in the epidermis of alopecic mice | [17] |
| KRTAP1-1 | The ovine KRTAP1-4 gene is clustered with the KRTAP1-1 and KRTAP1-3 genes on chromosome 11 and appears to be associated with wool staple | [18] |
| KRT25 | A homozygous missense variant in type I keratin KRT25 causes autosomal recessive woolly hair | [19] |
| Gene | Primer Sequence (5′→3′) | Tm (°C) | |
|---|---|---|---|
| β-catenin | F1 | AGCGTCGTACATCTATGGG | 58 |
| R1 | ATAATCCTGTGGCTTGACC | ||
| KRT25 | F7 | AACAATATGAGAGCCGAGTA | 57 |
| R7 | AACAATATGAGAGCCGAGTA | ||
| KRT71 | F8 | TCATCGACAAGGTGAGGTTCC | 59 |
| R8 | CTGTCCGCCTGTTGATTTCTT | ||
| KRT79 | F9 | GCAGACATACTCCACCAA | 56 |
| R9 | GTTGACCGAGATGCTCTT | ||
| MPC1 | F10 | GCCATCAATGACATGAAGAA | 52 |
| R10 | CACCTTGTAGGCGAATCT | ||
| KRTDAP | F11 | GAGGAAGAGACCACCATTG | 52 |
| R11 | CGTGCCAGTTCAGGAATT | ||
| ASAP2 | F12 | CGTTCCTCAAGTTCTCAGT | 55 |
| R12 | GCTCCTTCTCCATCTCCT | ||
| ASB7 | F13 | ACTTAATCGGAGGCTTCAC | 55 |
| R13 | GGAGGAACATTCGGCAAT |
© 2019 by the authors. Licensee MDPI, Basel, Switzerland. This article is an open access article distributed under the terms and conditions of the Creative Commons Attribution (CC BY) license (http://creativecommons.org/licenses/by/4.0/).
Share and Cite
Wang, J.; Cui, K.; Yang, Z.; Li, T.; Hua, G.; Han, D.; Yao, Y.; Chen, J.; Deng, X.; Yang, X.; et al. Transcriptome Analysis of Improved Wool Production in Skin-Specific Transgenic Sheep Overexpressing Ovine β-Catenin. Int. J. Mol. Sci. 2019, 20, 620. https://doi.org/10.3390/ijms20030620
Wang J, Cui K, Yang Z, Li T, Hua G, Han D, Yao Y, Chen J, Deng X, Yang X, et al. Transcriptome Analysis of Improved Wool Production in Skin-Specific Transgenic Sheep Overexpressing Ovine β-Catenin. International Journal of Molecular Sciences. 2019; 20(3):620. https://doi.org/10.3390/ijms20030620
Chicago/Turabian StyleWang, Jiankui, Kai Cui, Zu Yang, Tun Li, Guoying Hua, Deping Han, Yanzhu Yao, Jianfei Chen, Xiaotian Deng, Xue Yang, and et al. 2019. "Transcriptome Analysis of Improved Wool Production in Skin-Specific Transgenic Sheep Overexpressing Ovine β-Catenin" International Journal of Molecular Sciences 20, no. 3: 620. https://doi.org/10.3390/ijms20030620
APA StyleWang, J., Cui, K., Yang, Z., Li, T., Hua, G., Han, D., Yao, Y., Chen, J., Deng, X., Yang, X., & Deng, X. (2019). Transcriptome Analysis of Improved Wool Production in Skin-Specific Transgenic Sheep Overexpressing Ovine β-Catenin. International Journal of Molecular Sciences, 20(3), 620. https://doi.org/10.3390/ijms20030620
