Vitamin D Alleviates Rotavirus Infection through a Microrna-155-5p Mediated Regulation of the TBK1/IRF3 Signaling Pathway In Vivo and In Vitro
Abstract
1. Introduction
2. Results
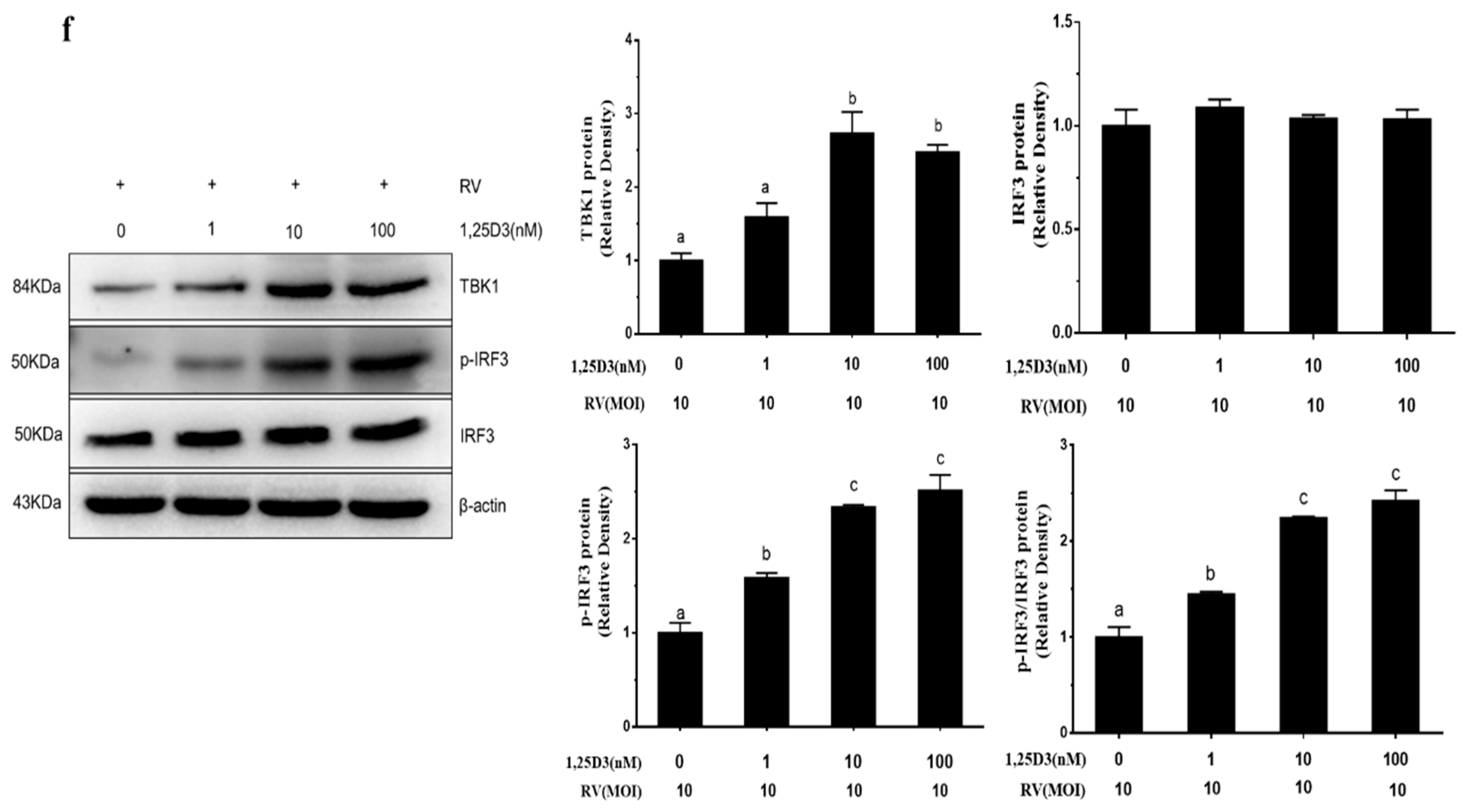
2.1. 1,25D3 Inhibits RV Infection via TBK1/IRF3 Signaling Pathway In Vivo and In Vitro
2.2. 1,25D3 Represses miR-155-5p Expression In Vivo and In Vitro
2.3. miR-155-5p Is Involved in 1,25D3 Inhibited RV Infection
2.4. 1,25D3 Inhibits RV Infection via miR-155-5p by Targeting TBK1
3. Discussion
4. Materials and Methods
4.1. Virus
4.2. Animal and Experimental Design
4.3. Cell and Treatment
4.3.1. Chemicals and Intestinal Epithelial Cell Line
4.3.2. 1,25D3 Treatments
4.3.3. Transfection of miRNA Mimic and Inhibitor
4.4. Determination of RV Antigen in the Cell Supernatants by ELISA
4.5. Real-Time Quantitative PCR
4.6. Luciferase Reporter Assay
4.7. Western Blot
4.8. Statistical Analysis
5. Conclusions
Author Contributions
Funding
Acknowledgments
Conflicts of Interest
Abbreviations
| RV | Rotavirus |
| miR-155-5p | MicroRNA-155-5p |
| miRNA | MicroRNA |
| TBK1 | TANK-binding kinase 1 |
| IRF3 | Interferon regulatory factors 3 |
| 1,25D3 | 1α,25-dihydroxy-vitamin D3 |
| RIG-I | Retinoic acid-inducible gene I |
| IPS-1 | Mitochondrial antiviral signaling adaptor |
| IFN-I | Type I IFN |
| p-IRF3 | Phosphoprotein IRF3 |
| SOCS1 | Suppressor of cytokine signaling 1 |
| SHIP1 | Src homology 2-containing inositol phosphatase 1 |
| TAB2 | TGF-beta activated kinase 1/MAP3K7 binding protein 2 |
| MyD88 | Myeloid differentiation protein 88 |
| MITF | Microphthalmia-associated transcription factor |
| RICTOR | Rapamycin-insensitive companion of mTOR |
| TBRG1 | Transforming growth factor beta regulator 1 |
| JARID2 | Jumonji, AT rich interactive domain 2 |
| C/EBPβ | CCAAT/enhancer-binding protein beta |
| PU.1 | Transcription factor that binds to the PU-box, a purine-rich DNA sequence |
| FOS | FBJ murine osteosarcoma viral oncogene homolog |
| IRF2BP2 | Interferon regulatory factor 2 binding protein 2 |
| SMAD2 | SMAD family member 2 |
| SMAD5 | SMAD family member 5 |
| CTLA-4 | Cytotoxic T-lymphocyte-associated protein |
| OAT | Optimal annealing temperatures |
References
- Hyser, J.; Estes, M. Rotavirus vaccines and pathogenesis: 2008. Curr. Opin. Gastroen. 2009, 25, 36–43. [Google Scholar] [CrossRef] [PubMed]
- Woode, G.N.; Bridger, J.C.; Jones, J.M.; Flewett, T.H.; Davies, H.A.; Davis, H.A.; White, G.B. Morphological and antigenic relationships between viruses (rotaviruses) from acute gastroenteritis of children, calves, piglets, mice, and foals. Infect. Immun. 1976, 14, 804–810. [Google Scholar] [PubMed]
- Parashar, U.D.; Hummelman, E.G.; Bresee, J.S.; Miller, M.A.; Glass, R.I. Global illness and deaths caused by rotavirus disease in children. Emerg. Infect. Dis. 2003, 9, 565. [Google Scholar] [CrossRef] [PubMed]
- Frias, A.H.; Vijay-Kumar, M.; Gentsch, J.R.; Crawford, S.E.; Carvalho, F.A.; Estes, M.K.; Gewirtz, A.T. Intestinal epithelia activate anti-viral signaling via intracellular sensing of rotavirus structural components. Mucosal Immunol. 2010, 3, 622–632. [Google Scholar] [CrossRef] [PubMed]
- Bishop, R.F.; Davidson, G.P.; Holmes, I.H.; Ruck, B.J. Virus particles in epithelial cells of duodenal mucosa from children with acute non-bacterial gastroenteritis. Lancet 1973, 302, 1281–1283. [Google Scholar] [CrossRef]
- Osborne, M.P.; Haddon, S.J.; Spencer, A.J.; Collins, J.; Starkey, W.G.; Wallis, T.S.; Clarke, G.J.; Worton, K.J.; Candy, D.C.; Stephen, J. An electron microscopic investigation of time-related changes in the intestine of neonatal mice infected with murine rotavirus. J. Pediatr. Gastroenterol. Nutr. 1988, 7, 236. [Google Scholar] [CrossRef] [PubMed]
- Broquet, A.H.; Hirata, Y.; McAllister, C.S.; Kagnoff, M.F. RIG-I/MDA5/MAVS are required to signal a protective IFN response in rotavirus-infected intestinal epithelium. J. Immunol. 2011, 186, 1618–1626. [Google Scholar] [CrossRef] [PubMed]
- Kawai, T.; Takahashi, K.; Sato, S.; Coban, C.; Kumar, H.; Kato, H.; Ishii, K.J.; Takeuchi, O.; Akira, S. IPS-1, an adaptor triggering RIG-I- and Mda5-mediated type I interferon induction. Nat. Immunol. 2005, 6, 981–988. [Google Scholar] [CrossRef]
- Zhao, Y.; Yu, B.; Mao, X.; He, J.; Huang, Z.; Zheng, P.; Yu, J.; Han, G.; Liang, X.; Chen, D. Effect of 25-hydroxyvitamin D3 on rotavirus replication and gene expressions of RIG-I signalling molecule in porcine rotavirus-infected IPEC-J2 cells. Arch. Anim. Nutr. 2015, 69, 227–235. [Google Scholar] [CrossRef]
- Osamu, T.; Shizuo, A. Innate immunity to virus infection. Immunol. Rev. 2010, 227, 75–86. [Google Scholar]
- Wei, Z. Negative regulation of TBK1-mediated antiviral immunity. Febs Lett. 2013, 587, 542–548. [Google Scholar]
- Prosser, D.E.; Jones, G. Enzymes involved in the activation and inactivation of vitamin D. Trends Biochem. Sci. 2004, 29, 664–673. [Google Scholar] [CrossRef] [PubMed]
- Chang, S.; Lee, H. Vitamin D and health - the missing vitamin in humans. Pediatr. Neonatol. 2019, 60, 237–244. [Google Scholar] [CrossRef] [PubMed]
- Greiller, C.L.; Suri, R.; Jolliffe, D.A.; Kebadze, T.; Hirsman, A.G.; Griffiths, C.J.; Johnston, S.L.; Martineau, A.R. Vitamin D attenuates rhinovirus-induced expression of intercellular adhesion molecule-1 (ICAM-1) and platelet-activating factor receptor (PAFR) in respiratory epithelial cells. J. Steroid Biochem. Mol. Biol. 2019, 187, 152–159. [Google Scholar] [CrossRef] [PubMed]
- Beard, J.A.; Bearden, A.; Striker, R. Vitamin D and the anti-viral state. J. Clin. Virol. 2011, 50, 194–200. [Google Scholar] [CrossRef] [PubMed]
- Puerta-Guardo, H.; Rosales, V.H.; Ludert, J.E.; Angel, R.M.D. The 1α,25-dihydroxy-vitamin D3 reduces dengue virus infection in human myelomonocyte (U937) and hepatic (Huh-7) cell lines and cytokine production in the infected monocytes. Antivir. Res. 2012, 94, 57–61. [Google Scholar] [CrossRef] [PubMed]
- Ye, Z.; Bing, Y.; Xiangbing, M.; Jun, H.; Zhiqing, H.; Ping, Z.; Jie, Y.; Guoquan, H.; Xiaofang, L.; Daiwen, C. Dietary vitamin D supplementation attenuates immune responses of pigs challenged with rotavirus potentially through the retinoic acid-inducible gene I signalling pathway. Brit. J. Nutr. 2015, 112, 381–389. [Google Scholar]
- Tian, G.; Liang, X.; Chen, D.; Mao, X.; Yu, J.; Zheng, P.; He, J.; Huang, Z.; Yu, B. Vitamin D3 supplementation alleviates rotavirus infection in pigs and IPEC-J2 cells via regulating the autophagy signaling pathway. J. Steroid Biochem. Mol. Biol. 2016, 163, 157–163. [Google Scholar] [CrossRef]
- He, L.; Hannon, G.J. MicroRNAs: Small RNAs with a big role in gene regulation. Nat. Rev. Genet. 2004, 5, 522–531. [Google Scholar] [CrossRef]
- Zhang, F.; Sun, X.; Zhu, Y.; Qin, W. Downregulation of miR-146a inhibits influenza A virus replication by enhancing the type I interferon response in vitro and in vivo. Biomed. Pharmacother. 2019, 111, 740–750. [Google Scholar] [CrossRef]
- Arboleda, J.F.; Fernandez, G.J.; Urcuqui-Inchima, S. Vitamin D-mediated attenuation of miR-155 in human macrophages infected with dengue virus: Implications for the cytokine response. Infect. Genet. Evol. 2019, 69, 12–21. [Google Scholar] [CrossRef] [PubMed]
- Xing, T.; Zhu, J.; Xian, J.; Li, A.; Wang, X.; Wang, W.; Zhang, Q. miRNA-548ah promotes the replication and expression of hepatitis B virus by targeting histone deacetylase 4. Life Sci. 2019, 219, 199–208. [Google Scholar] [CrossRef] [PubMed]
- Gui, S.; Chen, X.; Zhang, M.; Zhao, F.; Wan, Y.; Wang, L.; Xu, G.; Zhou, L.; Yue, X.; Zhu, Y.; et al. Mir-302c mediates influenza A virus-induced IFNβ expression by targeting NF-κB inducing kinase. FEBS Lett. 2015, 589, 4112–4118. [Google Scholar] [CrossRef] [PubMed]
- Gao, S.; Li, J.; Song, L.; Wu, J.; Huang, W. Influenza A virus-induced downregulation of miR-26a contributes to reduced IFNα/β production. Virol. Sin. 2017, 32, 261–270. [Google Scholar] [CrossRef] [PubMed]
- Wu, S.; He, L.; Li, Y.; Wang, T.; Feng, L.; Jiang, L.; Zhang, P.; Huang, X. miR-146a facilitates replication of dengue virus by dampening interferon induction by targeting TRAF6. J. Infection. 2013, 67, 329–341. [Google Scholar] [CrossRef] [PubMed]
- Hou, J.; Wang, P.; Lin, L.; Liu, X.; Ma, F.; An, H.; Wang, Z.; Cao, X. MicroRNA-146a feedback inhibits RIG-I-dependent type I IFN production in macrophages by targeting TRAF6, IRAK1, and IRAK2. J. Immunol. 2009, 183, 2150–2158. [Google Scholar] [CrossRef] [PubMed]
- Chanda, S.; Nandi, S.; Chawla-Sarkar, M. Rotavirus-induced miR-142-5p elicits proviral milieu by targeting non-canonical transforming growth factor beta signalling and apoptosis in cells. Cell. Microbiol. 2016, 18, 733–747. [Google Scholar] [CrossRef]
- Tian, Z.; Zhang, J.; He, H.; Li, J.; Wu, Y.; Shen, Z. MiR-525-3p mediates antiviral defense to rotavirus infection by targeting nonstructural protein 1. BBA. – Mol. Basis. Dis. 2017, 1863, 3212–3225. [Google Scholar] [CrossRef]
- Li, C.; He, H.; Zhu, M.; Zhao, S.; Li, X. Molecular characterisation of porcine miR-155 and its regulatory roles in the TLR3/TLR4 pathways. Dev. Comp. Immunol. 2013, 39, 110–116. [Google Scholar] [CrossRef]
- Pareek, S.; Roy, S.; Kumari, B.; Jain, P.; Banerjee, A.; Vrati, S. MiR-155 induction in microglial cells suppresses Japanese encephalitis virus replication and negatively modulates innate immune responses. J. Neuroinflamm. 2014, 11, 97. [Google Scholar] [CrossRef]
- Wang, P.; Hou, J.; Lin, L.; Wang, C.; Liu, X.; Li, D.; Ma, F.; Wang, Z.; Cao, X. Inducible microRNA-155 feedback promotes type I IFN signaling in antiviral innate immunity by targeting suppressor of cytokine signaling 1. J. Immunol. 2010, 185, 6226–6233. [Google Scholar] [CrossRef]
- Alvarezdíaz, S.; Valle, N.; Ferrermayorga, G.; Lombardía, L.; Herrera, M.; Domínguez, O.; Segura, M.F.; Bonilla, F.; Hernando, E.; Muñoz, A. MicroRNA-22 is induced by vitamin D and contributes to its antiproliferative, antimigratory and gene regulatory effects in colon cancer cells. Hum. Mol. Genet. 2012, 21, 2157–2165. [Google Scholar] [CrossRef]
- Teymoori-Rad, M.; Mozhgani, S.; Zarei-Ghobadi, M.; Sahraian, M.A.; Nejati, A.; Amiri, M.M.; Shokri, F.; Marashi, S.M. Integrational analysis of miRNAs data sets as a plausible missing linker between Epstein-Barr virus and vitamin D in relapsing remitting MS patients. Gene 2019, 689, 1–10. [Google Scholar] [CrossRef]
- Ma, Y.; Hu, Q.; Luo, W.; Pratt, R.N.; Glenn, S.T.; Liu, S.; Trump, D.L.; Johnson, C.S. 1α,25(OH)2D3 differentially regulates miRNA expression in human bladder cancer cells. J. Steroid Biochem. Mol. Biol. 2015, 148, 166–171. [Google Scholar] [CrossRef]
- Koh, S.Y.; George, S.; Brözel, V.; Moxley, R.; Francis, D.; Kaushik, R.S. Porcine intestinal epithelial cell lines as a new in vitro model for studying adherence and pathogenesis of enterotoxigenic Escherichia coli. Vet. Microbiol. 2008, 130, 191–197. [Google Scholar] [CrossRef]
- Mariani, V.; Palermo, S.; Fiorentini, S.; Lanubile, A.; Giuffra, E. Gene expression study of two widely used pig intestinal epithelial cell lines: IPEC-J2 and IPI-2I. Vet. Immunol. Immunop. 2009, 131, 278–284. [Google Scholar] [CrossRef]
- Liu, F.; Li, G.; Wen, K.T.; Cao, D.; Zhang, Y.; Yuan, L. Porcine small intestinal epithelial cell line (IPEC-J2) of rotavirus infection as a new model for the study of innate immune responses to rotaviruses and probiotics. Viral Immunol. 2010, 23, 135–149. [Google Scholar] [CrossRef]
- Schoggins, J.W.; Rice, C.M. Interferon-stimulated genes and their antiviral effector functions. Curr. Opin. Virol. 2011, 1, 519–525. [Google Scholar] [CrossRef]
- Boasso, A. Type I interferon at the interface of antiviral immunity and immune regulation: The curious case of HIV-1. Scientifica 2013, 580968. [Google Scholar] [CrossRef]
- Adrish, S.; Pruijssers, A.J.; Dermody, T.S.; Adolfo, G.S.; Greenberg, H.B. The early interferon response to rotavirus is regulated by PKR and depends on MAVS/IPS-1, RIG-I, MDA-5, and IRF3. J. Virol. 2011, 85, 3717–3732. [Google Scholar]
- Lingyan, W.; Shitao, L.; Dorf, M.E. NEMO binds ubiquitinated TANK-binding kinase 1 (TBK1) to regulate innate immune responses to RNA viruses. PLoS ONE 2012, 7, e43756. [Google Scholar]
- Miyahira, A.K.; Arash, S.; Seungmin, H.; Ren, S.; Genhong, C. TANK-binding kinase-1 plays an important role during in vitro and in vivo type I IFN responses to DNA virus infections. J. Immunol. 2009, 182, 2248–2257. [Google Scholar] [CrossRef] [PubMed]
- Hilla, W.; Zvulun, E. TBK1 mediates crosstalk between the innate immune response and autophagy. Sci. Signal. 2011, 4, e39. [Google Scholar]
- Boshuizen, J.A.; Reimerink, J.H.J.; Male, K.V.; Ham, V.J.J.V.; Koopmans, M.P.G.; Büller, H.A.; Jan, D.; Einerhand, A.W.C. Changes in small intestinal homeostasis, morphology, and gene expression during rotavirus infection of infant mice. J. Virol. 2003, 77, 13005–13016. [Google Scholar] [CrossRef] [PubMed]
- Katyal, R.; Rana, S.V.; Vaiphei, K.; Ohja, S.; Singh, K.; Singh, V. Effect of rotavirus infection on small gut pathophysiology in a mouse model. J. Gastroenterol. Hepatol. 2010, 14, 779–784. [Google Scholar] [CrossRef]
- Giraldo, D.M.; Cardona, A.; Urcuqui-Inchima, S. High-dose of vitamin D supplement is associated with reduced susceptibility of monocyte-derived macrophages to dengue virus infection and pro-inflammatory cytokine production: An exploratory study. Clin. Chim. Acta 2018, 478, 140–151. [Google Scholar] [CrossRef] [PubMed]
- Telcian, A.G.; Zdrenghea, M.T.; Edwards, M.R.; Lazastanca, V.; Mallia, P.; Johnston, S.L.; Stanciu, L.A. Vitamin D increases the antiviral activity of bronchial epithelial cells in vitro. Antivir. Res. 2016, 137, 93. [Google Scholar] [CrossRef]
- Carthew, R.W. Gene regulation by microRNAs. Curr. Opin. Genet. Dev. 2006, 16, 203–208. [Google Scholar] [CrossRef]
- Cardoso, A.L.; Guedes, J.R.; de Lima, M.C.P. Role of microRNAs in the regulation of innate immune cells under neuroinflammatory conditions. Curr. Opin. Pharmacol. 2016, 26, 1–9. [Google Scholar] [CrossRef]
- Chen, L.; Zhou, Y.; Li, H. LncRNA, miRNA and lncRNA-miRNA interaction in viral infection. Virus Res. 2018, 257, 25–32. [Google Scholar] [CrossRef]
- Trobaugh, D.W.; Klimstra, W.B. MicroRNA regulation of RNA virus replication and pathogenesis. Trends Mol. Med. 2017, 23, 80–93. [Google Scholar] [CrossRef]
- Berkhout, B. A balancing act: Viruses and miRNAs. J. Formos. Med. Assoc. 2008, 107, 1–3. [Google Scholar] [CrossRef]
- Fitzgerald, K.A.; McWhirter, S.M.; Faia, K.L.; Rowe, D.C.; Latz, E.; Golenbock, D.T.; Coyle, A.J.; Liao, S.; Maniatis, T. IKKε and TBK1 are essential components of the IRF3 signaling pathway. Nat. Immunol. 2003, 4, 491–496. [Google Scholar] [CrossRef]
- Perry, A.K.; Chow, E.K.; Goodnough, J.B.; Wen-Chen, Y.; Genhong, C. Differential requirement for TANK-binding kinase-1 in type I interferon responses to toll-like receptor activation and viral infection. J. Exp. Med. 2004, 199, 1651–1658. [Google Scholar] [CrossRef]
- Hiroaki, H.; Osamu, T.; Shintaro, S.; Masahiro, Y.; Tsuneyasu, K.; Hideki, S.; Taro, K.; Katsuaki, H.; Kiyoshi, T.; Shizuo, A. The roles of two IκB kinase-related kinases in lipopolysaccharide and double stranded RNA signaling and viral infection. J. Exp. Med. 2004, 199, 1641–1650. [Google Scholar]
- Dimitriou, I.D.; Clemenza, L.; Scotter, A.J.; Chen, G.; Guerra, F.M.; Rottapel, R. Putting out the fire: Coordinated suppression of the innate and adaptive immune systems by SOCS1 and SOCS3 proteins. Immunol. Rev. 2008, 224, 265–283. [Google Scholar] [CrossRef]
- Sly, L.M.; Hamilton, M.J.; Kuroda, E.; Ho, V.W.; Antignano, F.L.; Omeis, S.L.; van Netten-Thomas, C.J.; Wong, D.; Brugger, H.K.; Williams, O.; et al. SHIP prevents lipopolysaccharide from triggering an antiviral response in mice. Blood 2009, 113, 2945–2954. [Google Scholar] [CrossRef]
- Gabhann, J.; Higgs, R.; Brennan, K.; Thomas, W.; Damen, J.; Ben Larbi, N.; Krystal, G.; Jefferies, C. Absence of SHIP-1 results in constitutive phosphorylation of tank-binding kinase 1 and enhanced TLR3-dependent IFN- production. J. Immunol. 2010, 184, 2314–2320. [Google Scholar] [CrossRef]
- Von Bernuth, H.; Picard, C.; Jin, Z.; Pankla, R.; Xiao, H.; Ku, C.; Chrabieh, M.; Mustapha, I.B.; Ghandil, P.; Camcioglu, Y.; et al. Pyogenic bacterial infections in humans with MyD88 deficiency. Science 2008, 321, 691–696. [Google Scholar] [CrossRef]
- Zhou, S.; Kurt-Jones, E.A.; Mandell, L.; Cerny, A.; Chan, M.; Golenbock, D.T.; Finberg, R.W. MyD88 is critical for the development of innate and adaptive immunity during acute lymphocytic choriomeningitis virus infection. Eur. J. Immunol. 2005, 35, 822–830. [Google Scholar] [CrossRef]
- Pascal, P.; Stefano, V.; Katherine, M.J.; Agnès, M.; Carlo, B.; Beno T, T.; Vincenzo, M.; Lowe, S.W.; Croce, C.M.; Anne, D. MiR-221 overexpression contributes to liver tumorigenesis. Proc. Natl. Acad. Sci. USA 2010, 107, 264–269. [Google Scholar]
- Zhou, Y.; Geng, P.; Liu, Y.; Wu, J.; Qiao, H.; Xie, Y.; Yin, N.; Chen, L.; Lin, X.; Liu, Y.; et al. Rotavirus-encoded virus-like small RNA triggers autophagy by targeting IGF1R via the PI3K/Akt/mTOR pathway. BBA. – Mol. Basis. Dis. 2018, 1864, 60–68. [Google Scholar] [CrossRef]








| Target Gene | Gene Description |
|---|---|
| TBK1 | TANK-binding kinase 1 |
| SOCS1 | Suppressor of cytokine signaling 1 |
| SHIP1 | Src homology 2-containing inositol phosphatase 1 |
| TAB2 | TGF-β activated kinase 1/MAP3K7 binding protein 2 |
| MyD88 | Myeloid differentiation protein 88 |
| MITF | Microphthalmia-associated transcription factor |
| RICTOR | Rapamycin-insensitive companion of mTOR |
| TBRG1 | Transforming growth factor beta regulator 1 |
| JARID2 | Jumonji, AT rich interactive domain 2 |
| C/EBPβ | CCAAT/enhancer-binding protein beta |
| PU.1 | Transcription factor that binds to the PU-box, a purine-rich DNA sequence |
| FOS | FBJ murine osteosarcoma viral oncogene homolog |
| IRF2BP2 | Interferon regulatory factor 2 binding protein 2 |
| SMAD2 | SMAD family member 2 |
| SMAD5 | SMAD family member 5 |
| CTLA-4 | Cytotoxic T-lymphocyte-associated protein |
| Name | Sequence (5′–3′) | OAT |
|---|---|---|
| RV-QF | TCAGTTCGTCAGGAATATGC | 53.5 |
| RV-QR | CTTGAAGGTGAGTAGTTGGT | |
| TBK1-QF | CAGCGTGGCTAAGGCAATAA | 63.0 |
| TBK1-QR | CATCGTATCCCCTTTCGCAT | |
| IRF3-QF | TCATCGAAGATCTGATTGCCTTC | 57.2 |
| IRF3-QR | GGGACAACCTTGACCATCACC | |
| IFN-β-QF | AATCGCTCTCCTGATGTGTT | 59.6 |
| IFN-β-QR | TTGCTGCTCCTTTGTTGGTA | |
| miR-155-5p-QF | CGCGTGTTAATGCTAATTGTGA | 55.7 |
| miR-155-5p-QR | AGTGCAGGGTCCGAGGTAT | |
| β-actin-QF | TCTGGCACCACACCTTCT | 59.0 |
| β-actin-QR | TGATCTGGGTCATCTTCTCAC | |
| U6-QF | CTCGCTTCGGCAGCACA | 60 |
| U6-QR | AACGCTTCACGAATTTGCGT |
© 2019 by the authors. Licensee MDPI, Basel, Switzerland. This article is an open access article distributed under the terms and conditions of the Creative Commons Attribution (CC BY) license (http://creativecommons.org/licenses/by/4.0/).
Share and Cite
Zhao, Y.; Ran, Z.; Jiang, Q.; Hu, N.; Yu, B.; Zhu, L.; Shen, L.; Zhang, S.; Chen, L.; Chen, H.; et al. Vitamin D Alleviates Rotavirus Infection through a Microrna-155-5p Mediated Regulation of the TBK1/IRF3 Signaling Pathway In Vivo and In Vitro. Int. J. Mol. Sci. 2019, 20, 3562. https://doi.org/10.3390/ijms20143562
Zhao Y, Ran Z, Jiang Q, Hu N, Yu B, Zhu L, Shen L, Zhang S, Chen L, Chen H, et al. Vitamin D Alleviates Rotavirus Infection through a Microrna-155-5p Mediated Regulation of the TBK1/IRF3 Signaling Pathway In Vivo and In Vitro. International Journal of Molecular Sciences. 2019; 20(14):3562. https://doi.org/10.3390/ijms20143562
Chicago/Turabian StyleZhao, Ye, Zhiming Ran, Qin Jiang, Ningming Hu, Bing Yu, Li Zhu, Linyuan Shen, Shunhua Zhang, Lei Chen, Hong Chen, and et al. 2019. "Vitamin D Alleviates Rotavirus Infection through a Microrna-155-5p Mediated Regulation of the TBK1/IRF3 Signaling Pathway In Vivo and In Vitro" International Journal of Molecular Sciences 20, no. 14: 3562. https://doi.org/10.3390/ijms20143562
APA StyleZhao, Y., Ran, Z., Jiang, Q., Hu, N., Yu, B., Zhu, L., Shen, L., Zhang, S., Chen, L., Chen, H., Jiang, J., & Chen, D. (2019). Vitamin D Alleviates Rotavirus Infection through a Microrna-155-5p Mediated Regulation of the TBK1/IRF3 Signaling Pathway In Vivo and In Vitro. International Journal of Molecular Sciences, 20(14), 3562. https://doi.org/10.3390/ijms20143562

