Telmisartan Inhibits Cell Proliferation and Tumor Growth of Esophageal Squamous Cell Carcinoma by Inducing S-Phase Arrest In Vitro and In Vivo
Abstract
1. Introduction
2. Results
2.1. Telmisartan Inhibits the Proliferation Ability of Human ESCC Cells in Vitro
2.2. Telmisartan Induced Cell-Cycle Arrest in S Phase and Regulated Cell-Cycle-Related Proteins
2.3. Telmisartan Does Not Promote KYSE180 Cell Apoptosis
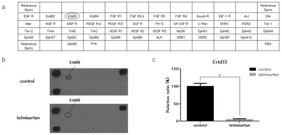
2.4. Telmisartan Affects the p-ErbB3 Level in KYSE180 Cells
2.5. Telmisartan Affected the Thrombospondin-1 (TSP-1) Level in KYSE180 Cells
2.6. Effect of Telmisartan on miRNA Expression
2.7. Telmisartan Inhibits Tumor Growth In Vivo
3. Discussion
4. Material and Methods
4.1. Chemicals
4.2. Cell Lines and Cell Culture
4.3. Cell Proliferation Assay
4.4. Flow Cytometry Analysis of The Cell Cycle and Apoptosis
4.5. Western Blot Analysis
4.6. Antibody Array of Phosphorylated Receptor Tyrosine Kinase (p-RTK) and Angiogenetic Protein Profiles
4.7. Analysis of the miRNA Array
4.8. Xenograft Model Analysis
4.9. Immunohistochemistry
4.10. Statistical Analyses
Author Contributions
Acknowledgments
Conflicts of Interest
References
- Bray, F.; Ferlay, J.; Soerjomataram, I.; Siegel, R.L.; Torre, L.A.; Jemal, A. Global cancer statistics 2018: GLOBOCAN estimates of incidence and mortality worldwide for 36 cancers in 185 countries. CA A Cancer J. Clin. 2018, 68, 394–424. [Google Scholar] [CrossRef] [PubMed]
- World Cancer Research Fund International. Oesophageal Cancer Report 2016. Available online: http://www.wcrf.org/dietandcancer/oesophageal-cancer (accessed on 10 June 2019).
- Smyth, E.C.; Lagergren, J.; Fitzgerald, R.C.; Lordick, F.; Shah, M.A.; Lagergren, P. Cunningham, D. Oesophageal cancer. Nat. Rev. Dis. Prim. 2017, 3, 17048. [Google Scholar] [CrossRef] [PubMed]
- Pennathur, A.; Gibson, M.K.; Jobe, B.A.; Luketich, J.D. Oesophageal carcinoma. Lancet 2013, 381, 400–412. [Google Scholar] [CrossRef]
- Furihata, M.; Ishikawa, T.; Inoue, A.; Yoshikawa, C.; Sonobe, H.; Ohtsuki, Y.; Araki, K.; Ogoshi, S. Determination of the prognostic significance of unscheduled cyclin A overexpression in patients with esophageal squamous cell carcinoma. Clin. Cancer Res. 1996, 2, 1781–1785. [Google Scholar] [PubMed]
- Huang, J.-X.; Shen, S.-L.; Lin, M.; Xiao, W.; Chen, W.-C.; Lin, M.-S.; Yu, H.; Chen, P.; Qian, R.-Y. Cyclin A overexpression is associated with chemosensitivity to paclitaxel-based chemotherapy in patients with esophageal squamous cell carcinoma. Oncol. Lett. 2012, 4, 607–611. [Google Scholar] [CrossRef] [PubMed]
- Short, M.W.; Burgers, K.G.; Fry, V.T. Esophageal Cancer. Am. Fam. Phys. 2017, 95, 22–28. [Google Scholar]
- Okamoto, K.; Tajima, H.; Ohta, T.; Nakanuma, S.; Hayashi, H.; Nakagawara, H.; Onishi, I.; Takamura, H.; Ninomiya, I.; Kitagawa, H.; et al. Angiotensin II induces tumor progression and fibrosis in intrahepatic cholangiocarcinoma through an interaction with hepatic stellate cells. Int. J. Oncol. 2010, 37, 1251–1259. [Google Scholar] [CrossRef] [PubMed][Green Version]
- Du, N.; Feng, J.; Hu, L.-J.; Sun, X.; Sun, H.-B.; Zhao, Y.; Yang, Y.-P.; Ren, H. Angiotensin II receptor type 1 blockers suppress the cell proliferation effects of angiotensin II in breast cancer cells by inhibiting AT1R signaling. Oncol. Rep. 2012, 27, 1893–1903. [Google Scholar]
- Kinoshita, J.; Fushida, S.; Harada, S.; Yagi, Y.; Fujita, H.; Kinami, S.; Ninomiya, I.; Fujimura, T.; Kayahara, M.; Yashiro, M.; et al. Local angiotensin II-generation in human gastric cancer: Correlation with tumor progression through the activation of ERK1/2, NF-κB and survivin. Int. J. Oncol. 2009, 34, 1573–1582. [Google Scholar] [CrossRef]
- Chen, Y.H.; Huang, C.H.; Lu, H.I.; Huang, W.T.; Hsieh, M.J.; Rau, K.M.; Chang, A.Y.; Lin, W.C.; Li, S.H. Prognostic impact of renin-angiotensin system blockade in esophageal squamous cell carcinoma. J. Renin Angiotensin Aldosterone Syst. 2015, 16, 1185–1192. [Google Scholar] [CrossRef]
- Li, J.; Chen, L.; Yu, P.; Liu, B.; Zhu, J.; Yang, Y. Telmisartan Exerts Anti-Tumor Effects by Activating Peroxisome Proliferator-Activated Receptor-γ in Human Lung Adenocarcinoma A549 Cells. Molecules 2014, 19, 2862–2876. [Google Scholar] [CrossRef] [PubMed]
- Koyama, N.; Nishida, Y.; Ishii, T.; Yoshida, T.; Furukawa, Y.; Narahara, H. Telmisartan Induces Growth Inhibition, DNA Double-Strand Breaks and Apoptosis in Human Endometrial Cancer Cells. PLoS ONE 2014, 9, e93050. [Google Scholar] [CrossRef] [PubMed]
- Funao, K.; Matsuyama, M.; Kawahito, Y.; Sano, H.; Chargui, J.; Touraine, J.-L.; Nakatani, T.; Yoshimura, R. Telmisartan is a potent target for prevention and treatment in human prostate cancer. Oncol. Rep. 2008, 20, 295–300. [Google Scholar] [PubMed]
- Matsuyama, M.; Funao, K.; Kuratsukuri, K.; Tanaka, T.; Kawahito, Y.; Sano, H.; Chargui, J.; Touraine, J.-L.; Yoshimura, N.; Yoshimura, R. Telmisartan inhibits human urological cancer cell growth through early apoptosis. Exp. Ther. Med. 2010, 1, 301–306. [Google Scholar] [CrossRef] [PubMed]
- Oura, K.; Tadokoro, T.; Fujihara, S.; Morishita, A.; Chiyo, T.; Samukawa, E.; Yamana, Y.; Fujita, K.; Sakamoto, T.; Nomura, T.; et al. Telmisartan inhibits hepatocellular carcinoma cell proliferation in vitro by inducing cell cycle arrest. Oncol. Rep. 2017, 38, 2825–2835. [Google Scholar] [CrossRef] [PubMed]
- Samukawa, E.; Fujihara, S.; Oura, K.; Iwama, H.; Yamana, Y.; Tadokoro, T.; Chiyo, T.; Kobayashi, K.; Morishita, A.; Nakahara, M.; et al. Angiotensin receptor blocker telmisartan inhibits cell proliferation and tumor growth of cholangiocarcinoma through cell cycle arrest. Int. J. Oncol. 2017, 51, 1674–1684. [Google Scholar] [CrossRef] [PubMed]
- Kozako, T.; Soeda, S.; Yoshimitsu, M.; Arima, N.; Kuroki, A.; Hirata, S.; Tanaka, H.; Imakyure, O.; Tone, N.; Honda, S.-I.; et al. Angiotensin II type 1 receptor blocker telmisartan induces apoptosis and autophagy in adult T-cell leukemia cells. FEBS Open Bio 2016, 6, 442–460. [Google Scholar] [CrossRef] [PubMed]
- Fujihara, S.; Morishita, A.; Ogawa, K.; Tadokoro, T.; Chiyo, T.; Kato, K.; Kobara, H.; Mori, H.; Lwama, H.; Masaki, T. The angiotensin II type 1 receptor antagonist telmisartan inhibits cell proliferation and tumor growth of esophageal adenocarcinoma via the AMPKα/mTOR pathway in vitro and in vivo. Oncotarget 2017, 8, 8536–8549. [Google Scholar] [CrossRef]
- Pu, Z.; Zhu, M.; Kong, F. Telmisartan prevents proliferation and promotes apoptosis of human ovarian cancer cells through upregulating PPARγ and downregulating MMP‑9 expression. Mol. Med. Rep. 2016, 13, 555–559. [Google Scholar] [CrossRef]
- Cordon-Cardo, C. Mutations of cell cycle regulators. Biological and clinical implications for human neoplasia. Am. J. Pathol. 1995, 147, 545–560. [Google Scholar]
- Hunter, T.; Pines, J. Cyclins and cancer. Cell 1994, 79, 573–582. [Google Scholar] [CrossRef]
- Pagano, M.; Draetta, G. Cyclin A, cell cycle control and oncogenesis. Prog. Growth Factor Res. 1991, 3, 267–277. [Google Scholar] [CrossRef]
- Masaki, T.; Shiratori, Y.; Rengifo, W.; Igarashi, K.; Yamagata, M.; Kurokohchi, K.; Uchida, N.; Miyauchi, Y.; Yoshiji, H.; Watanabe, S.; et al. Cyclins and cyclin-dependent kinases: Comparative study of hepatocellular carcinoma versus cirrhosis. Hepatology 2003, 37, 534–543. [Google Scholar] [CrossRef] [PubMed]
- Zhang, S.; Wang, Y. Telmisartan inhibits NSCLC A549 cell proliferation and migration by regulating the PI3K/AKT signaling pathway. Oncol. Lett. 2018, 15, 5859–5864. [Google Scholar] [CrossRef] [PubMed]
- Lee, L.D.; Mafura, B.; Lauscher, J.C.; Seeliger, H.; Kreis, M.E.; Gröne, J. Antiproliferative and apoptotic effects of telmisartan in human colon cancer cells. Oncol. Lett. 2014, 8, 2681–2686. [Google Scholar] [CrossRef]
- Sithanandam, G.; Anderson, L.M. The ERBB3 receptor in cancer and cancer gene therapy. Cancer Gene Ther. 2008, 15, 413–448. [Google Scholar] [CrossRef]
- Beji, A.; Horst, D.; Engel, J.; Kirchner, T.; Ullrich, A. Toward the prognostic significance and therapeutic potential of HER3 receptor tyrosine kinase in human colon cancer. Clin. Cancer Res. 2012, 18, 956–968. [Google Scholar] [CrossRef]
- Lee, H.; Lee, H.; Chin, H.; Kim, K.; Lee, D. ERBB3 knockdown induces cell cycle arrest and activation of Bak and Bax-dependent apoptosis in colon cancer cells. Oncotarget 2014, 5, 5138–5152. [Google Scholar] [CrossRef]
- Zhou, Z.Q.; Cao, W.H.; Xie, J.J.; Lin, J.; Shen, Z.Y.; Zhang, Q.Y.; Shen, J.H.; Xu, L.Y.; Li, E.M. Expression and prognostic significance of THBS1, Cyr61 and CTGF in esophageal squamous cell carcinoma. BMC Cancer 2009, 9, 291. [Google Scholar] [CrossRef]
- Tzeng, H.T.; Tsai, C.H.; Yen, Y.T.; Wang, Y.C.; Cheng, H.C.; Chen, Y.C.; Pu, S.W.; Wang, Y.S.; Shan, Y.S.; Tseng, Y.L.; et al. Dysregulation of Rab37-mediated cross-talk between cancer cells and endothelial cells via thrombospondin-1 promotes tumor neovasculature and metastasis. Clin. Cancer Res. 2017, 23, 2335–2345. [Google Scholar] [CrossRef]
- Morishita, A.; Masaki, T. MiRNA in hepatocellular carcinoma. Hepatol. Res. 2015, 45, 128–141. [Google Scholar] [CrossRef] [PubMed]
- Liang, W.; Wei, X.; Li, Q.; Dai, N.; Li, C.Y.; Deng, Y.; Jiang, X.; Tan, X.R.; Dai, X.Y.; Li, M.X.; et al. MicroRNA-765 Enhances the Anti-Angiogenic Effect of CDDP via APE1 in Osteosarcoma. J. Cancer 2017, 8, 1542–1551. [Google Scholar] [CrossRef] [PubMed]
- Hong, X.C.; Fen, Y.J.; Yan, G.C.; Hong, H.; Yan, C.H.; Bing, L.W.; Zhong, Y.H. Epithelial membrane protein 3 functions as an oncogene and is regulated by microRNA-765 in primary breast carcinoma. Mol. Med. Rep. 2015, 12, 6445–6450. [Google Scholar] [CrossRef] [PubMed][Green Version]
- D’Incalci, M.; Colombo, T.; Ubezio, P.; Nicolettib, I.; Giavazzibd, R.; Erbaa, E.; Ferraresea, L.; Mecoc, D.; Riccardic, R.; Sessad, C.; et al. The combination of yondelis and cisplatin is synergistic against human tumor xenografts. Eur. J. Cancer 2003, 39, 1920–1926. [Google Scholar] [CrossRef]








| miRNA | Fold Change (Treated/Nontreated) | P | Chromosome Site | FDR |
|---|---|---|---|---|
| Upregulated | ||||
| hsa-miR-3064-5p | 10.83 | 0.0010282 | 17q23.3 | 0.011157148 |
| hsa-miR-125b-1-3p | 9.11 | 0.001271658 | 11q24.1 | 0.0125323 |
| hsa-miR-513b-5p | 6.09 | 0.000497916 | Xq27.3 | 0.006177046 |
| hsa-miR-4531 | 5.05 | 5.85714E-05 | 19q13.31 | 0.002005486 |
| hsa-miR-6726-5p | 5.03 | 9.25009E-05 | 1p36.33 | 0.002316916 |
| hsa-miR-3620-5p | 4.40 | 6.52537E-05 | 1q42.13 | 0.002053966 |
| hsa-miR-1587 | 3.94 | 0.000113112 | Xp11.4 | 0.002316916 |
| hsa-miR-4465 | 3.48 | 0.002098485 | 6q24.1 | 0.016612376 |
| hsa-miR-6861-5p | 3.38 | 3.99841E-05 | 12q24.13 | 0.001651115 |
| hsa-miR-6779-5p | 3.27 | 0.000766206 | 17q12 | 0.009109338 |
| hsa-miR-4507 | 3.26 | 3.66678E-05 | 14q32.33 | 0.001651115 |
| hsa-miR-513a-5p | 3.25 | 0.001965543 | Xq27.3 | 0.016207521 |
| hsa-miR-5705 | 3.05 | 0.000161489 | 4q22.1 | 0.002879892 |
| hsa-miR-3929 | 3.02 | 0.007579917 | 18q12.2 | 0.037505255 |
| hsa-miR-7855-5p | 3.01 | 0.002769579 | 14q23.3 | 0.020416622 |
| hsa-miR-3124-5p | 2.94 | 0.030352961 | 1q44 | 0.093125929 |
| hsa-miR-4505 | 2.92 | 0.000284337 | 14q24.3 | 0.004425312 |
| hsa-miR-4446-3p | 2.89 | 3.70271E-05 | 3q13.2 | 0.001651115 |
| hsa-miR-3682-3p | 2.80 | 0.003888419 | 2p16.2 | 0.024658098 |
| hsa-miR-575 | 2.63 | 2.92538E-07 | 4q21.22 | 0.000220522 |
| hsa-miR-185-3p | 2.62 | 0.008315209 | 22q11.21 | 0.039764351 |
| hsa-miR-4741 | 2.54 | 0.00091106 | 18q11.2 | 0.01012815 |
| hsa-miR-6132 | 2.49 | 0.002121681 | 7q31.2 | 0.016612376 |
| hsa-miR-1181 | 2.48 | 0.000436849 | 19p13.2 | 0.005665799 |
| hsa-miR-4773 | 2.42 | 0.012530723 | 2q23.3 | 0.051415576 |
| hsa-miR-3187-3p | 2.39 | 0.009570854 | 19p13.3 | 0.043622441 |
| hsa-miR-4327 | 2.33 | 0.00208623 | 21q22.11 | 0.016612376 |
| hsa-miR-4538 | 2.21 | 0.016769506 | 14q32.33 | 0.062959199 |
| hsa-miR-765 | 2.15 | 0.01548123 | 1q23.1 | 0.059425707 |
| hsa-miR-937-5p | 2.11 | 6.85217E-05 | 8q24.3 | 0.002053966 |
| hsa-miR-4653-3p | 2.10 | 0.006521157 | 7q22.1 | 0.034671494 |
| hsa-miR-4746-3p | 2.08 | 0.001577889 | 19p13.3 | 0.01392446 |
| hsa-miR-371b-5p | 2.07 | 0.000340744 | 19q13.42 | 0.004781581 |
| hsa-miR-92b-5p | 2.06 | 0.000206021 | 1q22 | 0.003391425 |
| hsa-miR-1237-5p | 2.05 | 0.004806337 | 11q13.1 | 0.027987923 |
| hsa-miR-4447 | 2.03 | 0.001493554 | 3q13.31 | 0.013638253 |
| Downregulated | ||||
| hsa-miR-431-3p | 0.09 | 7.05876E-05 | 14q32.2 | 0.002053966 |
| hsa-miR-551b-3p | 0.18 | 3.55933E-06 | 3q26.2 | 0.000917897 |
| hsa-miR-4271 | 0.30 | 0.000111417 | 3p21.31 | 0.002316916 |
| hsa-miR-181a-2-3p | 0.32 | 0.000142642 | 9q33.3 | 0.002713359 |
| hsa-miR-612 | 0.38 | 0.00102969 | 11q13.1 | 0.011157148 |
| hsa-miR-1273h-5p | 0.39 | 0.002814441 | 16p12.1 | 0.020416622 |
| hsa-miR-760 | 0.39 | 0.000827908 | 1p22.1 | 0.009576883 |
| hsa-miR-192-5p | 0.39 | 3.52356E-05 | 11q13.1 | 0.001651115 |
| hsa-miR-210-3p | 0.40 | 0.001969138 | 11p15.5 | 0.016207521 |
| hsa-miR-6872-3p | 0.42 | 1.83967E-05 | 3p21.31 | 0.00136536 |
| hsa-let-7f-1-3p | 0.42 | 0.008961426 | 9q22.32 | 0.041607982 |
| hsa-miR-1290 | 0.43 | 0.010000273 | 1p36.13 | 0.044817978 |
| hsa-miR-4324 | 0.43 | 0.029330891 | 19q13.33 | 0.090639866 |
| hsa-miR-4701-5p | 0.44 | 0.000306936 | 12q13.12 | 0.004529948 |
| hsa-miR-4796-5p | 0.45 | 0.015071207 | 3q13.31 | 0.058375353 |
| hsa-miR-593-3p | 0.45 | 0.001221347 | 7q32.1 | 0.012446109 |
| hsa-miR-1287-5p | 0.47 | 0.000148136 | 10q24.2 | 0.002756624 |
| hsa-miR-6776-3p | 0.48 | 0.001494273 | 17p13.3 | 0.013638253 |
| hsa-miR-6870-3p | 0.48 | 0.003873881 | 20p12.2 | 0.024658098 |
| hsa-miR-1178-3p | 0.49 | 0.021002746 | 12q24.23 | 0.072979103 |
| hsa-miR-585-5p | 0.49 | 0.021434077 | 5q35.1 | 0.073606371 |
| hsa-miR-6789-3p | 0.49 | 1.91406E-05 | 19p13.3 | 0.00136536 |
| hsa-miR-5572 | 0.50 | 0.013211437 | 15q25.1 | 0.05284575 |
© 2019 by the authors. Licensee MDPI, Basel, Switzerland. This article is an open access article distributed under the terms and conditions of the Creative Commons Attribution (CC BY) license (http://creativecommons.org/licenses/by/4.0/).
Share and Cite
Matsui, T.; Chiyo, T.; Kobara, H.; Fujihara, S.; Fujita, K.; Namima, D.; Nakahara, M.; Kobayashi, N.; Nishiyama, N.; Yachida, T.; et al. Telmisartan Inhibits Cell Proliferation and Tumor Growth of Esophageal Squamous Cell Carcinoma by Inducing S-Phase Arrest In Vitro and In Vivo. Int. J. Mol. Sci. 2019, 20, 3197. https://doi.org/10.3390/ijms20133197
Matsui T, Chiyo T, Kobara H, Fujihara S, Fujita K, Namima D, Nakahara M, Kobayashi N, Nishiyama N, Yachida T, et al. Telmisartan Inhibits Cell Proliferation and Tumor Growth of Esophageal Squamous Cell Carcinoma by Inducing S-Phase Arrest In Vitro and In Vivo. International Journal of Molecular Sciences. 2019; 20(13):3197. https://doi.org/10.3390/ijms20133197
Chicago/Turabian StyleMatsui, Takanori, Taiga Chiyo, Hideki Kobara, Shintaro Fujihara, Koji Fujita, Daisuke Namima, Mai Nakahara, Nobuya Kobayashi, Noriko Nishiyama, Tatsuo Yachida, and et al. 2019. "Telmisartan Inhibits Cell Proliferation and Tumor Growth of Esophageal Squamous Cell Carcinoma by Inducing S-Phase Arrest In Vitro and In Vivo" International Journal of Molecular Sciences 20, no. 13: 3197. https://doi.org/10.3390/ijms20133197
APA StyleMatsui, T., Chiyo, T., Kobara, H., Fujihara, S., Fujita, K., Namima, D., Nakahara, M., Kobayashi, N., Nishiyama, N., Yachida, T., Morishita, A., Iwama, H., & Masaki, T. (2019). Telmisartan Inhibits Cell Proliferation and Tumor Growth of Esophageal Squamous Cell Carcinoma by Inducing S-Phase Arrest In Vitro and In Vivo. International Journal of Molecular Sciences, 20(13), 3197. https://doi.org/10.3390/ijms20133197

