Microsatellite Instability Occurs Rarely in Patients with Cholangiocarcinoma: A Retrospective Study from a German Tertiary Care Hospital
Abstract
1. Introduction
2. Results
2.1. Clinicopathological Characteristics
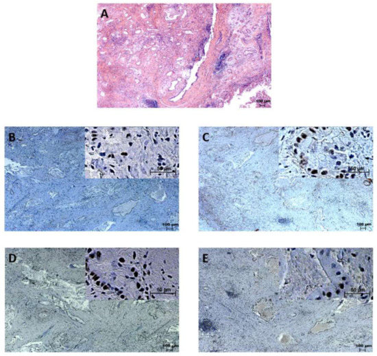
2.2. Immunohistochemistry
2.3. Microsatellite Instability Analysis via PCR
3. Discussion
4. Materials and Methods
4.1. Patients
4.2. Immunohistochemistry
4.3. DNA Extraction from Formalin-Fixed, Paraffin-Embedded (FFPE) Tissue Samples
4.4. PCR and Microsatellite Instability (MSI) Analysis
4.5. Statistics
Author Contributions
Acknowledgments
Conflicts of Interest
Abbreviations
| CCA | Cholangiocarcinoma |
| dCCA | Distal CCA |
| eCCA | Extrahepatic CCA |
| FAM | Fluorescein |
| FFPE | Formalin-Fixed, Paraffin-Embedded |
| HCC | Hepatocellular carcinoma |
| HE | Hematoxylin and eosin |
| iCCA | Intrahepatic CCA |
| MSI | Microsatellite instability |
| pCCA | Perihilar CCA |
| RTU | Ready to use |
| SD | Standard deviation |
| TCGA | The Cancer Genome Atlas |
| UCT | Universitäre Centrum für Tumorerkrankungen |
| UICC | Union internationale contre le cancer |
References
- Kaatsch, P.; Spix, C.; Katalinic, A.; Hentschel, S.; Luttmann, S.; Stegmaier, C. Krebs in Deutschland 2011/2012, 10th ed.; Robert Koch-Institut (Hrsg) und die Gesellschaft der Epidemiologischen Krebsregister in Deutschland e.V. (Hrsg): Berlin, Germany, 2015; ISBN 978-3-89606-228-4. [Google Scholar]
- Brandi, G.; Farioli, A.; Astolfi, A.; Biasco, G.; Tavolari, S. Genetic heterogeneity in cholangiocarcinoma: A major challenge for targeted therapies. Oncotarget 2015, 6, 14744–14753. [Google Scholar] [CrossRef] [PubMed]
- Borghaei, H.; Paz-Ares, L.; Horn, L.; Spigel, D.R.; Steins, M.; Ready, N.E.; Chow, L.Q.; Vokes, E.E.; Felip, E.; Holgado, E.; et al. Nivolumab versus Docetaxel in Advanced Nonsquamous Non-Small-Cell Lung Cancer. N. Engl. J. Med. 2015, 373, 1627–1639. [Google Scholar] [CrossRef] [PubMed]
- Garon, E.B.; Rizvi, N.A.; Hui, R.; Leighl, N.; Balmanoukian, A.S.; Eder, J.P.; Patnaik, A.; Aggarwal, C.; Gubens, M.; Horn, L.; et al. KEYNOTE-001 Investigators Pembrolizumab for the treatment of non-small-cell lung cancer. N. Engl. J. Med. 2015, 372, 2018–2028. [Google Scholar] [CrossRef] [PubMed]
- Larkin, J.; Chiarion-Sileni, V.; Gonzalez, R.; Grob, J.J.; Cowey, C.L.; Lao, C.D.; Schadendorf, D.; Dummer, R.; Smylie, M.; Rutkowski, P.; et al. Combined Nivolumab and Ipilimumab or Monotherapy in Untreated Melanoma. N. Engl. J. Med. 2015, 373, 23–34. [Google Scholar] [CrossRef] [PubMed]
- Motzer, R.J.; Escudier, B.; McDermott, D.F.; George, S.; Hammers, H.J.; Srinivas, S.; Tykodi, S.S.; Sosman, J.A.; Procopio, G.; Plimack, E.R.; et al. CheckMate 025 Investigators Nivolumab versus Everolimus in Advanced Renal-Cell Carcinoma. N. Engl. J. Med. 2015, 373, 1803–1813. [Google Scholar] [CrossRef] [PubMed]
- Homet Moreno, B.; Ribas, A. Anti-programmed cell death protein-1/ligand-1 therapy in different cancers. Br. J. Cancer 2015, 112, 1421–1427. [Google Scholar] [CrossRef] [PubMed]
- Dudley, J.C.; Lin, M.-T.; Le, D.T.; Eshleman, J.R. Microsatellite Instability as a Biomarker for PD-1 Blockade. Clin. Cancer Res. 2016, 22, 813–820. [Google Scholar] [CrossRef] [PubMed]
- Le, D.; Uram, J.; Wang, H.; Kemberling, H.; Eyring, A.; Bartlett, B.; Goldberg, R.M.; Crocenzi, T.S.; Fisher, G.A.; Lee, J.J.; et al. PD-1 blockade in mismatch repair deficient non-colorectal gastrointestinal cancers. J. Clin. Oncol. 2016, 34, 195a. [Google Scholar] [CrossRef]
- Czink, E.; Kloor, M.; Goeppert, B.; Froehling, S.; Uhrig, S.; Weber, T.F.; Meinel, J.; Sutter, C.; Weiss, K.H.; Schirmacher, P.; et al. Successful immune checkpoint blockade in a patient with advanced stage microsatellite unstable biliary tract cancer. Mol. Case Stud. 2017, a001974. [Google Scholar] [CrossRef] [PubMed]
- Silva, V.W.K.; Askan, G.; Daniel, T.D.; Lowery, M.; Klimstra, D.S.; Abou-Alfa, G.K.; Shia, J. Biliary carcinomas: Pathology and the role of DNA mismatch repair deficiency. Chin. Clin. Oncol. 2016, 5, 62. [Google Scholar] [CrossRef] [PubMed]
- Suraweera, N.; Duval, A.; Reperant, M.; Vaury, C.; Furlan, D.; Leroy, K.; Seruca, R.; Iacopetta, B.; Hamelin, R. Evaluation of tumor microsatellite instability using five quasimonomorphic mononucleotide repeats and pentaplex PCR. Gastroenterology 2002, 123, 1804–1811. [Google Scholar] [CrossRef] [PubMed]
- Hause, R.J.; Pritchard, C.C.; Shendure, J.; Salipante, S.J. Classification and characterization of microsatellite instability across 18 cancer types. Nat. Med. 2016, 22, 1342–1350. [Google Scholar] [CrossRef] [PubMed]
- Suto, T.; Habano, W.; Sugai, T.; Uesugi, N.; Kanno, S.; Saito, K.; Nakamura, S. Infrequent microsatellite instability in biliary tract cancer. J. Surg. Oncol. 2001, 76, 121–126. [Google Scholar] [CrossRef]
- Liengswangwong, U.; Nitta, T.; Kashiwagi, H.; Kikukawa, H.; Kawamoto, T.; Todoroki, T.; Uchida, K.; Khuhaprema, T.; Karalak, A.; Srivatanakul, P.; et al. Infrequent microsatellite instability in liver fluke infection-associated intrahepatic cholangiocarcinomas from Thailand. Int. J. Cancer 2003, 107, 375–380. [Google Scholar] [CrossRef] [PubMed][Green Version]
- Liu, D.; Momoi, H.; Li, L.; Ishikawa, Y.; Fukumoto, M. Microsatellite instability in thorotrast-induced human intrahepatic cholangiocarcinoma. Int. J. Cancer 2002, 102, 366–371. [Google Scholar] [CrossRef] [PubMed]
- Momoi, H.; Itoh, T.; Nozaki, Y.; Arima, Y.; Okabe, H.; Satoh, S.; Toda, Y.; Sakai, E.; Nakagawara, K.; Flemming, P.; et al. Microsatellite instability and alternative genetic pathway in intrahepatic cholangiocarcinoma. J. Hepatol. 2001, 35, 235–244. [Google Scholar] [CrossRef]
- Rashid, A.; Ueki, T.; Gao, Y.-T.; Houlihan, P.S.; Wallace, C.; Wang, B.-S.; Shen, M.-C.; Deng, J.; Hsing, A.W. K-ras mutation, p53 overexpression, and microsatellite instability in biliary tract cancers: A population-based study in China. Clin. Cancer Res. 2002, 8, 3156–3163. [Google Scholar] [PubMed]
- Shia, J. Immunohistochemistry versus Microsatellite Instability Testing For Screening Colorectal Cancer Patients at Risk For Hereditary Nonpolyposis Colorectal Cancer Syndrome. J. Mol. Diagn. 2008, 10, 293–300. [Google Scholar] [CrossRef] [PubMed]
- Samowitz, W.S.; Broaddus, R.; Iacopetta, B.; Goldblatt, J. PCR versus immunohistochemistry for microsatellite instability. J. Mol. Diagn. 2008, 10, 181–182. [Google Scholar] [CrossRef] [PubMed]
- Watson, N.; Grieu, F.; Morris, M.; Harvey, J.; Stewart, C.; Schofield, L.; Goldblatt, J.; Iacopetta, B. Heterogeneous staining for mismatch repair proteins during population-based prescreening for hereditary nonpolyposis colorectal cancer. J. Mol. Diagn. 2007, 9, 472–478. [Google Scholar] [CrossRef] [PubMed]
- Sobin, L.H.; Gospodarowicz, M.K.; Wittekind, C. TNM Classification of Malignant Tumours; Wiley-Blackwell: Oxford, UK, 2009; Volume 10, ISBN 9781444317602. [Google Scholar]




| Variable | Variable | N | % |
|---|---|---|---|
| Sex | Male | 71 | 69.6 |
| Female | 31 | 30.4 | |
| Localization | iCCA | 35 | 34.3 |
| pCCA | 42 | 41.2 | |
| dCCA | 25 | 24.5 | |
| Age | ≥65 | 61 | 59.8 |
| <65 | 41 | 40.2 | |
| UICC | 1 | 35 | 34.3 |
| 2 | 43 | 42.2 | |
| 3 | 16 | 15.7 | |
| 4 | 8 | 7.8 | |
| T | 1 | 20 | 19.6 |
| 2 | 50 | 49.0 | |
| 3 | 29 | 28.4 | |
| 4 | 3 | 2.9 | |
| N * | 0 | 61 | 59.8 |
| 1 | 40 | 39.2 | |
| L * | 0 | 56 | 54.9 |
| 1 | 37 | 36.3 | |
| V * | 0 | 14 | 13.7 |
| 1 | 79 | 77.5 | |
| Pn * | 0 | 66 | 64.7 |
| 1 | 25 | 24.5 | |
| R | 0 | 76 | 74.5 |
| 1 | 26 | 25.5 | |
| G | 1 | 3 | 2.9 |
| 2 | 77 | 75.5 | |
| 3 | 22 | 21.6 |
| Antibody | Supplier | Clone | Dilution | Pretreatment |
|---|---|---|---|---|
| MLH1 | BD PharmingenTM (Franklin Lakes, NJ, USA) | G168-728 | 1:750 | Microwave 15’, EDTA, pH 8 |
| MSH2 | Calbiochem® (Darmstadt, Germany) | GB12 | 1:50 | Microwave 15’, EDTA, pH 8 |
| MSH6 | DCS (Hamburg, Germany) | SP93 | RTU | Water bath, Trilogy 30’, pH 8 |
| PMS2 | BD PharmingenTM | A16-4 | 1:40 | Water bath 60’, pH 9 |
| Name | Fluorescent Marker | Sequence (5‘→3‘) | Expected PCR Product Size (bp) |
|---|---|---|---|
| NR-21_For | FAM | TAAATGTATGTCTCCCCTGG | 99 |
| NR-21_Rev | ATTCCTACTCCGCATTCACA | ||
| BAT-26_For | ATTO0550 | TGACTACTTTTGACTTCAGCC | 24 |
| BAT-26_Rev | AACCATTCAACATTTTTAACCC | ||
| BAT-25_For | FAM | TCGCCTCCAAGAATGTAAGT | 123 |
| BAT-25_Rev | TCTGCATTTTAACTATGGCTC | ||
| NR-24_For | HEX | CCATTGCTGAATTTTACCTC | 128 |
| NR-24_Rev | ATTGTGCCATTGCATTCCAA | ||
| NR-22_For | FAM | GAGGCTTGTCAAGGACATAA | 139 |
| NR-22_Rev | AATTCTGATGCCATCCAGTT |
© 2018 by the authors. Licensee MDPI, Basel, Switzerland. This article is an open access article distributed under the terms and conditions of the Creative Commons Attribution (CC BY) license (http://creativecommons.org/licenses/by/4.0/).
Share and Cite
Winkelmann, R.; Schneider, M.; Hartmann, S.; Schnitzbauer, A.A.; Zeuzem, S.; Peveling-Oberhag, J.; Hansmann, M.L.; Walter, D. Microsatellite Instability Occurs Rarely in Patients with Cholangiocarcinoma: A Retrospective Study from a German Tertiary Care Hospital. Int. J. Mol. Sci. 2018, 19, 1421. https://doi.org/10.3390/ijms19051421
Winkelmann R, Schneider M, Hartmann S, Schnitzbauer AA, Zeuzem S, Peveling-Oberhag J, Hansmann ML, Walter D. Microsatellite Instability Occurs Rarely in Patients with Cholangiocarcinoma: A Retrospective Study from a German Tertiary Care Hospital. International Journal of Molecular Sciences. 2018; 19(5):1421. https://doi.org/10.3390/ijms19051421
Chicago/Turabian StyleWinkelmann, Ria, Markus Schneider, Sylvia Hartmann, Andreas A. Schnitzbauer, Stefan Zeuzem, Jan Peveling-Oberhag, Martin Leo Hansmann, and Dirk Walter. 2018. "Microsatellite Instability Occurs Rarely in Patients with Cholangiocarcinoma: A Retrospective Study from a German Tertiary Care Hospital" International Journal of Molecular Sciences 19, no. 5: 1421. https://doi.org/10.3390/ijms19051421
APA StyleWinkelmann, R., Schneider, M., Hartmann, S., Schnitzbauer, A. A., Zeuzem, S., Peveling-Oberhag, J., Hansmann, M. L., & Walter, D. (2018). Microsatellite Instability Occurs Rarely in Patients with Cholangiocarcinoma: A Retrospective Study from a German Tertiary Care Hospital. International Journal of Molecular Sciences, 19(5), 1421. https://doi.org/10.3390/ijms19051421
