Lung Infections in Systemic Rheumatic Disease: Focus on Opportunistic Infections
Abstract
:1. Introduction
2. Susceptibility to Infections in Systemic Rheumatic Diseases
- Immunological factors
- Disease related factors
- Drugs related factors
2.1. Immunological Factors
2.2. Disease Related Factors
2.3. Drugs Related Factors
3. Lung Infections in Systemic Rheumatic Diseases
3.1. Lung Infections in Rheumatoid Arthritis
3.1.1. Pneumonia in Rheumatoid Arthritis
3.1.2. Infectious Complications of Rheumatoid Arthritis with Lung Involvement
3.1.3. Anti-TNF Treatment and Lung Infections in Rheumatoid Arthritis
3.2. Lung Infections in Systemic Lupus Erythematosus
3.2.1. Bacterial Pneumonia in Systemic Lupus Erythematosus
3.2.2. Mycobacterial Infections in Systemic Lupus Erythematosus
3.2.3. Cytomegalovirus Infection in Systemic Lupus Erythematosus
3.2.4. Fungal Infections in Systemic Lupus Erythematosus
3.3. Lung Infections in Systemic Sclerosis
3.4. Lung Infections in ANCA-Associated Vasculitis
3.5. Lung Infections in Sjogren’s Syndrome
4. The Most Frequent Opportunistic Lung Infections and Their Management
4.1. Bacterial Infections
4.1.1. Legionellosis
4.1.2. Tuberculosis
4.2. Fungal Infections
4.2.1. Pneumocystosis
4.2.2. Aspergillosis
4.2.3. Histoplasmosis
4.2.4. Coccidioidomycosis
4.3. Viral Infection
Cytomegalovirus Pneumonia
5. Conclusions
Conflicts of Interest
References
- Falagas, M.E.; Manta, K.G.; Betsi, G.I.; Pappas, G. Infection-related morbidity and mortality in patients with connective tissue diseases: A systematic review. Clin. Rheumatol. 2007, 26, 663–670. [Google Scholar] [CrossRef] [PubMed]
- Alarcón, G.S. Infections in systemic connective tissue diseases: Systemic lupus erythematosus, scleroderma, and polymyositis/dermatomyositis. Infect. Dis. Clin. North Am. 2006, 20, 849–875. [Google Scholar] [CrossRef] [PubMed]
- Cunnane, G.; Doran, M.; Bresnihan, B. Infections and biological therapy in rheumatoid arthritis. Best Pract. Res. Clin. Rheumatol. 2003, 17, 345–363. [Google Scholar] [CrossRef]
- Ali, T.; Kaitha, S.; Mahmood, S.; Ftesi, A.; Stone, J.; Bronze, M.S. Clinical use of anti-TNF therapy and increased risk of infections. Drug Healthc Patient Saf. 2013, 5, 79–99. [Google Scholar] [CrossRef] [PubMed]
- Salliot, C.; Gossec, L.; Ruyssen-Witrand, A.; Luc, M.; Duclos, M.; Guignard, S.; Dougados, M. Infections during tumour necrosis factor-α blocker therapy for rheumatic diseases in daily practice: A systematic retrospective study of 709 patients. Rheumatology (Oxford) 2007, 46, 327–334. [Google Scholar] [CrossRef] [PubMed]
- Ellerin, T.; Rubin, R.H.; Weinblatt, M.E. Infections and anti-tumor necrosis factor α therapy. Arthritis Rheum. 2003, 48, 3013–3022. [Google Scholar] [CrossRef] [PubMed]
- Skattum, L.; van Deuren, M.; van der Poll, T.; Truedsson, L. Complement deficiency states and associated infections. Mol. Immunol. 2011, 48, 1643–1655. [Google Scholar] [CrossRef] [PubMed]
- Kang, I.; Park, S.H. Infectious complications in SLE after immunosuppressive therapies. Curr. Opin. Rheumatol. 2003, 15, 528–534. [Google Scholar] [CrossRef] [PubMed]
- Koetz, K.; Bryl, E.; Spickschen, K.; O’Fallon, W.M.; Goronzy, J.J.; Weyand, C.M. T cell homeostasis in patients with rheumatoid arthritis. Proc. Natl. Acad. Sci. USA 2000, 97, 9203–9208. [Google Scholar] [CrossRef] [PubMed]
- Huie, T.J.; Olson, A.L.; Cosgrove, G.P.; Janssen, W.J.; Lara, A.R.; Lynch, D.A.; Groshong, S.D.; Moss, M.; Schwarz, M.I.; Brown, K.K.; et al. A detailed evaluation of acute respiratory decline in patients with fibrotic lung disease: Aetiology and outcomes. Respirology 2010, 15, 909–917. [Google Scholar] [CrossRef] [PubMed]
- Doran, M.F.; Crowson, C.S.; Pond, G.R.; O’Fallon, W.M.; Gabriel, S.E. Predictors of infection in rheumatoid arthritis. Arthritis Rheum 2002, 46, 2294–2300. [Google Scholar] [CrossRef] [PubMed]
- Tyndall, A.J.; Bannert, B.; Vonk, M.; Airò, P.; Cozzi, F.; Carreira, P.E.; Bancel, D.F.; Allanore, Y.; Müller-Ladner, U.; Distler, O.; et al. Causes and risk factors for death in systemic sclerosis: A study from the EULAR Scleroderma Trials and Research (EUSTAR) database. Ann. Rheum. Dis. 2010, 69, 1809–1815. [Google Scholar] [CrossRef] [PubMed]
- Cutolo, M.; Seriolo, B.; Pizzorni, C.; Secchi, M.E.; Soldano, S.; Paolino, S.; Montagna, P.; Sulli, A. Use of glucocorticoids and risk of infections. Autoimmun. Rev. 2008, 8, 153–155. [Google Scholar] [CrossRef] [PubMed]
- Stuck, A.E.; Minder, C.E.; Frey, F.J. Risk of infectious complications in patients taking glucocorticosteroids. Rev. Infect. Dis. 1989, 11, 954–963. [Google Scholar] [CrossRef] [PubMed]
- Wolfe, F.; Caplan, L.; Michaud, K. Treatment for rheumatoid arthritis and the risk of hospitalization for pneumonia: Associations with prednisone, disease-modifying antirheumatic drugs, and anti-tumor necrosis factor therapy. Arthritis Rheum 2006, 54, 628–634. [Google Scholar] [CrossRef] [PubMed]
- Chen, H.S.; Tsai, W.P.; Leu, H.S.; Ho, H.H.; Liou, L.B. Invasive fungal infection in systemic lupus erythematosus: An analysis of 15 cases and a literature review. Rheumatology (Oxford) 2007, 46, 539–544. [Google Scholar] [CrossRef] [PubMed]
- Godeau, B.; Coutant-Perronne, V.; Le Thi Huong, D.; Guillevin, L.; Magadur, G.; de Bandt, M.; Dellion, S.; Rossert, J.; Rostoker, G.; Piette, J.C. Pneumocystis carinii pneumonia in the course of connective tissue disease: Report of 34 cases. J. Rheumatol. 1994, 21, 246–251. [Google Scholar] [PubMed]
- Ognibene, F.P.; Shelhamer, J.H.; Hoffman, G.S.; Kerr, G.S.; Reda, D.; Fauci, A.S.; Leavitt, R.Y. Pneumocystis carinii pneumonia: A major complication of immunosuppressive therapy in patients with Wegener’s granulomatosis. Am. J. Respir. Crit. Care Med. 1995, 151, 795–799. [Google Scholar] [CrossRef] [PubMed]
- Hoes, J.N.; Jacobs, J.W.; Boers, M.; Boumpas, D.; Buttgereit, F.; Caeyers, N.; Choy, E.H.; Cutolo, M.; da Silva, J.A.; Esselens, G.; et al. EULAR evidence-based recommendations on the management of systemic glucocorticoid therapy in rheumatic diseases. Ann. Rheum. Dis. 2007, 66, 1560–1567. [Google Scholar] [CrossRef] [PubMed]
- Bernatsky, S.; Hudson, M.; Suissa, S. Anti-rheumatic drug use and risk of serious infections in rheumatoid arthritis. Rheumatology (Oxford) 2007, 46, 1157–1160. [Google Scholar] [CrossRef] [PubMed]
- Caporali, R.; Caprioli, M.; Bobbio-Pallavicini, F.; Montecucco, C. DMARDS and infections in rheumatoid arthritis. Autoimmun. Rev. 2008, 8, 139–143. [Google Scholar] [CrossRef] [PubMed]
- Sailler, L. Rituximab off label use for difficult-to-treat auto-immune diseases: Reappraisal of benefits and risks. Clin. Rev. Allergy Immunol. 2008, 34, 103–110. [Google Scholar] [CrossRef] [PubMed]
- Gea-Banacloche, J.C. Rituximab-associated infections. Semin. Hematol. 2010, 47, 187–198. [Google Scholar] [CrossRef] [PubMed]
- Rafailidis, P.I.; Kakisi, O.K.; Vardakas, K.; Falagas, M.E. Infectious complications of monoclonal antibodies used in cancer therapy: A systematic review of the evidence from randomized controlled trials. Cancer 2007, 109, 2182–2189. [Google Scholar] [CrossRef] [PubMed]
- Maglione, P.J.; Chan, J. How B cells shape the immune response against Mycobacterium tuberculosis. Eur. J. Immunol. 2009, 39, 676–686. [Google Scholar] [CrossRef] [PubMed]
- Lund, F.E.; Hollifield, M.; Schuer, K.; Lines, J.L.; Randall, T.D.; Garvy, B.A. B cells are required for generation of protective effector and memory CD4 cells in response to Pneumocystis lung infection. J. Immunol. 2006, 176, 6147–6154. [Google Scholar] [CrossRef] [PubMed]
- Listing, J.; Kerstin, G.; Zink, A. The risk of infections associated with rheumatoid arthritis, with its comorbidity and treatment. Rheumatology 2012, 52, 53–61. [Google Scholar] [CrossRef] [PubMed]
- Gabriel, S.E.; Michaud, K. Epidemiological studies in incidence, prevalence, mortality, and comorbidity of the rheumatic diseases. Arthritis Res. Ther. 2009, 11, 229. [Google Scholar] [CrossRef] [PubMed]
- Gupta, P.; Ponzo, F.; Kramer, E.L. Fluorodeoxyglucose (FDG) uptake in pulmonary rheumatoid nodules. Clin. Rheumatol. 2005, 24, 402–405. [Google Scholar] [CrossRef] [PubMed]
- Patatanian, E.; Thompson, D.F. A review of methotrexate-induced accelerated nodulosis. Pharmacotherapy 2002, 22, 1157–1162. [Google Scholar] [CrossRef] [PubMed]
- Braun, M.G.; van Rhee, R.; Becker-Capeller, D. Development and/or increase of rheumatoid nodules in RA patients following leflunomide therapy. Z. Rheumatol. 2004, 63, 84–87. [Google Scholar] [CrossRef] [PubMed]
- Van Ede, A.; den Broeder, A.; Wagenaar, M.; van Riel, P.; Creemers, M.C. Etanercept-related extensive pulmonary nodulosis in a patient with rheumatoid arthritis. J. Rheumatol. 2007, 34, 1590–1592. [Google Scholar] [PubMed]
- Winne, L.; Praet, M.; Brusselle, G.; Veys, E.; Mielants, H. Bilateral spontaneous pneumothorax in a patient with pulmonary rheumatoid nodules, secondary infected by Aspergillus. Clin. Rheumatol. 2007, 26, 1180–1182. [Google Scholar] [CrossRef] [PubMed]
- Tanaka, N.; Kim, J.S.; Newell, J.D.; Brown, K.K.; Cool, C.D.; Meehan, R.; Emoto, T.; Matsumoto, T.; Lynch, D.A. Rheumatoid arthritis-related lung diseases: CT findings. Radiology 2004, 232, 81–91. [Google Scholar] [CrossRef] [PubMed]
- Swinson, D.R.; Symmons, D.; Suresh, U.; Jones, M.; Booth, J. Decreased survival in patients with co-existent rheumatoid arthritis and bronchiectasis. Br. J. Rheumatol. 1997, 36, 689–691. [Google Scholar] [CrossRef] [PubMed]
- Geri, G.; Dadoun, S.; Bui, T.; del Castillo Pinol, N.; Paternotte, S.; Dougados, M.; Gossec, L. Risk of infections in bronchiectasis during disease-modifying treatment and biologics for rheumatic diseases. BMC Infect Dis. 2011, 11, 304. [Google Scholar] [CrossRef] [PubMed]
- Scrivo, R.; Armignacco, O. Tuberculosis risk and anti-tumour necrosis factor agents in rheumatoid arthritis: A critical appraisal of national registry data. Int. J. Rheum. Dis. 2014, 17, 716–724. [Google Scholar] [CrossRef] [PubMed]
- Brassard, P.; Lowe, A.M.; Bernatsky, S.; Kezouh, A.; Suissa, S. Rheumatoid arthritis, its treatments, and the risk of tuberculosis in Quebec, Canada. Arthritis Rheum. 2009, 61, 300–304. [Google Scholar] [CrossRef] [PubMed]
- Lin, P.L.; Plessner, H.L.; Voitenok, N.N.; Flynn, J.L. Tumor necrosis factor and tuberculosis. J. Investig. Dermatol. Symp. Proc. 2007, 2, 22–25. [Google Scholar] [CrossRef] [PubMed]
- Arkema, E.V.; Jonsson, J.; Baecklund, E.; Bruchfeld, J.; Feltelius, N.; Askling, J.; Group, A.S. Are patients with rheumatoid arthritis still at an increased risk of tuberculosis and what is the role of biological treatments? Ann. Rheum. Dis. 2015, 74, 1212–1217. [Google Scholar] [CrossRef] [PubMed]
- Solovic, I.; Sester, M.; Gomez-Reino, J.J.; Rieder, H.L.; Ehlers, S.; Milburn, H.J.; Kampmann, B.; Hellmich, B.; Groves, R.; Schreiber, S.; et al. The risk of tuberculosis related to tumour necrosis factor antagonist therapies: A TBNET consensus statement. Eur. Respir. J. 2010, 36, 1185–1206. [Google Scholar] [CrossRef] [PubMed]
- Wallis, R.S. Tumour necrosis factor antagonists: Structure, function, and tuberculosis risks. Lancet Infect. Dis. 2008, 8, 601–611. [Google Scholar] [CrossRef]
- Wallis, R.S.; Broder, M.S.; Wong, J.Y.; Hanson, M.E.; Beenhouwer, D.O. Granulomatous infectious diseases associated with tumor necrosis factor antagonists. Clin. Infect. Dis. 2004, 38, 1261–1265. [Google Scholar] [CrossRef] [PubMed]
- Mak, A.; Cheung, M.W.; Chiew, H.J.; Liu, Y.; Ho, R.C. Global trend of survival and damage of systemic lupus erythematosus: Meta-analysis and meta-regression of observational studies from the 1950s to 2000s. Semin. Arthritis Rheum. 2012, 41, 830–839. [Google Scholar] [CrossRef] [PubMed]
- Gladman, D.D.; Hussain, F.; Ibañez, D.; Urowitz, M.B. The nature and outcome of infection in systemic lupus erythematosus. Lupus 2002, 11, 234–239. [Google Scholar] [CrossRef] [PubMed]
- Shaughnessy, M.K.; Williams, D.N.; Segal, B. Severe infection with encapsulated bacteria as the initial presentation of systemic lupus erythematosus: Two case reports and a review of the literature. JMM Case Rep. 2014. [Google Scholar] [CrossRef]
- Erdem, I.; Elbasan Omar, S.; Ali, R.K.; Gunes, H.; Topkaya, A.E. Streptococcus pneumoniae sepsis as the initial presentation of systemic lupus erythematosus. Int. J. Gen. Med. 2016, 9, 315–317. [Google Scholar] [CrossRef] [PubMed]
- Webster, J.; Williams, B.D.; Smith, A.P.; Hall, M.; Jessop, J.D. Systemic lupus erythematosus presenting as pneumococcal septicaemia and septic arthritis. Ann. Rheum. Dis. 1990, 49, 181–183. [Google Scholar] [CrossRef] [PubMed]
- Naveau, C.; Houssiau, F.A. Pneumococcal sepsis in patients with systemic lupus erythematosus. Lupus 2005, 14, 903–906. [Google Scholar] [CrossRef] [PubMed]
- Elliott, J.A.; Copeman, A.; Davies, K. Pneumococcal sepsis as the first presentation of systemic lupus erythematosus (SLE) in a six year old boy. Arch. Dis. Child 2011, 96 (Suppl. 1), A78. [Google Scholar] [CrossRef]
- Van Assen, S.; Agmon-Levin, N.; Elkayam, O.; Cervera, R.; Doran, M.F.; Dougados, M.; Emery, P.; Geborek, P.; Ioannidis, J.P.; Jayne, D.R.; et al. EULAR recommendations for vaccination in adult patients with autoimmune inflammatory rheumatic diseases. Ann. Rheum. Dis. 2011, 70, 414–422. [Google Scholar] [CrossRef] [PubMed]
- Erdozain, J.G.; Ruiz-Irastorza, G.; Egurbide, M.V.; Martinez-Berriotxoa, A.; Aguirre, C. High risk of tuberculosis in systemic lupus erythematosus? Lupus 2006, 15, 232–235. [Google Scholar] [CrossRef] [PubMed]
- Yun, J.E.; Lee, S.W.; Kim, T.H.; Jun, J.B.; Jung, S.; Bae, S.C.; Kim, T.Y.; Yoo, D.H. The incidence and clinical characteristics of Mycobacterium tuberculosis infection among systemic lupus erythematosus and rheumatoid arthritis patients in Korea. Clin. Exp. Rheumatol. 2002, 20, 127–132. [Google Scholar] [PubMed]
- Mok, M.Y.; Wong, S.S.; Chan, T.M.; Fong, D.Y.; Wong, W.S.; Lau, C.S. Non-tuberculous mycobacterial infection in patients with systemic lupus erythematosus. Rheumatology (Oxford) 2007, 46, 280–284. [Google Scholar] [CrossRef] [PubMed]
- Sekigawa, I.; Nawata, M.; Seta, N.; Yamada, M.; Iida, N.; Hashimoto, H. Cytomegalovirus infection in patients with systemic lupus erythematosus. Clin. Exp. Rheumatol. 2002, 20, 559–564. [Google Scholar] [PubMed]
- Berman, N.; Belmont, H.M. Disseminated cytomegalovirus infection complicating active treatment of systemic lupus erythematosus: An emerging problem. Lupus 2016. [Google Scholar] [CrossRef] [PubMed]
- Wang, L.R.; Barber, C.E.; Johnson, A.S.; Barnabe, C. Invasive fungal disease in systemic lupus erythematosus: A systematic review of disease characteristics, risk factors, and prognosis. Semin. Arthritis Rheum. 2014, 44, 325–330. [Google Scholar] [CrossRef] [PubMed]
- Gonzalez-Crespo, M.R.; Gomez-Reino, J.J. Invasive aspergillosis in systemic lupus erythematosus. Semin. Arthritis Rheum. 1995, 24, 304–314. [Google Scholar] [CrossRef]
- Robinett, K.S.; Weiler, B.; Verceles, A.C. Invasive aspergillosis masquerading as catastrophic antiphospholipid syndrome. Am. J. Crit. Care 2013, 22, 448–451. [Google Scholar] [CrossRef] [PubMed]
- Weng, C.T.; Liu, M.F.; Weng, M.Y.; Lee, N.Y.; Wang, M.C.; Lin, W.C.; Ou, C.Y.; Lai, W.W.; Hsu, S.C.; Chao, S.C.; et al. Pneumocystis jirovecii pneumonia in systemic lupus erythematosus from southern Taiwan. J. Clin. Rheumatol. 2013, 19, 252–258. [Google Scholar] [CrossRef] [PubMed]
- Gupta, D.; Zachariah, A.; Roppelt, H.; Patel, A.M.; Gruber, B.L. Prophylactic antibiotic usage for Pneumocystis jirovecii pneumonia in patients with systemic lupus erythematosus on cyclophosphamide: A survey of US rheumatologists and the review of literature. J. Clin. Rheumatol. 2008, 14, 267–272. [Google Scholar] [CrossRef] [PubMed]
- Marik, P.E. Aspiration pneumonitis and aspiration pneumonia. N. Engl. J. Med. 2001, 344, 665–671. [Google Scholar] [CrossRef] [PubMed]
- Ipsen, P.; Egekvist, H.; Aksglaede, K.; Zachariae, H.; Bjerring, P.; Thommesen, P. Oesophageal manometry and video-radiology in patients with systemic sclerosis: A retrospective study of its clinical value. Acta Derm. Venereol. 2000, 80, 130–133. [Google Scholar] [PubMed]
- Jaovisidha, K.; Csuka, M.E.; Almagro, U.A.; Soergel, K.H. Severe gastrointestinal involvement in systemic sclerosis: Report of five cases and review of the literature. Semin. Arthritis Rheum. 2005, 34, 689–702. [Google Scholar] [CrossRef] [PubMed]
- Sehra, S.T.; Kelly, A.; Baker, J.F.; Derk, C.T. Predictors of inpatient mortality in patients with systemic sclerosis: A case control study. Clin. Rheumatol. 2016, 35, 1631–1635. [Google Scholar] [CrossRef] [PubMed]
- Jordan, S.; Distler, J.H.; Maurer, B.; Huscher, D.; van Laar, J.M.; Allanore, Y.; Distler, O.; EUSTAR group. Effects and safety of rituximab in systemic sclerosis: An analysis from the European Scleroderma Trial and Research (EUSTAR) group. Ann. Rheum. Dis. 2015, 74, 1188–1194. [Google Scholar] [CrossRef] [PubMed]
- Poormoghim, H.; Moradi Lakeh, M.; Mohammadipour, M.; Sodagari, F.; Toofaninjed, N. Cyclophosphamide for scleroderma lung disease: A systematic review and meta-analysis. Rheumatol. Int. 2012, 32, 2431–2444. [Google Scholar] [CrossRef] [PubMed]
- Omair, M.A.; Alahmadi, A.; Johnson, S.R. Safety and effectiveness of mycophenolate in systemic sclerosis. A systematic review. PLoS ONE 2015, 10, e0124205. [Google Scholar] [CrossRef] [PubMed]
- Solomon, J.J.; Olson, A.L.; Fischer, A.; Bull, T.; Brown, K.K.; Raghu, G. Scleroderma lung disease. Eur. Respir. Rev. 2013, 22, 6–19. [Google Scholar] [CrossRef] [PubMed]
- Little, M.A.; Nightingale, P.; Verburgh, C.A.; Hauser, T.; de Groot, K.; Savage, C.; Jayne, D.; Harper, L.; Group, E.V.S.E. Early mortality in systemic vasculitis: Relative contribution of adverse events and active vasculitis. Ann. Rheum. Dis. 2010, 69, 1036–1043. [Google Scholar] [CrossRef] [PubMed]
- McGregor, J.G.; Negrete-Lopez, R.; Poulton, C.J.; Kidd, J.M.; Katsanos, S.L.; Goetz, L.; Hu, Y.; Nachman, P.H.; Falk, R.J.; Hogan, S.L. Adverse events and infectious burden, microbes and temporal outline from immunosuppressive therapy in antineutrophil cytoplasmic antibody-associated vasculitis with native renal function. Nephrol. Dial. Transplant. 2015, 30 (Suppl. 1), i171–i181. [Google Scholar] [PubMed]
- Cain, H.C.; Noble, P.W.; Matthay, R.A. Pulmonary manifestations of Sjögren’s syndrome. Clin. Chest Med. 1998, 19, 687–699. [Google Scholar] [CrossRef]
- Strimlan, C.V.; Rosenow, E.C.; Divertie, M.B.; Harrison, E.G. Pulmonary manifestations of Sjögren’s syndrome. Chest 1976, 70, 354–361. [Google Scholar] [CrossRef] [PubMed]
- Fairfax, A.J.; Haslam, P.L.; Pavir, D.; Sheahan, N.F.; Bateman, J.R.M.; Agnew, J.E.; Turner-Warwick, M. Pulmonary disorders associated with Sjögren’s syndrome. QJM 1981, 50, 279–295. [Google Scholar] [PubMed]
- Newball, H.H.; Brahim, S.A. Chronic Obstructive Airway Disease in Patients with Sjögren’s Syndrome 1–3. Am. Rev. Respir. Dis. 1977, 115, 295–304. [Google Scholar] [PubMed]
- Ito, I.; Nagai, S.; Kitaichi, M.; Nicholson, A.G.; Johkoh, T.; Noma, S.; Mishima, M. Pulmonary manifestations of primary Sjogren’s syndrome: A clinical, radiologic, and pathologic study. Am. J. Respir. Crit. Care Med. 2005, 171, 632–638. [Google Scholar] [CrossRef] [PubMed]
- Devauchelle-Pensec, V.; Mariette, X.; Jousse-Joulin, S.; Berthelot, J.M.; Perdriger, A.; Puéchal, X.; Le Guern, V.; Sibilia, J.; Gottenberg, J.E.; Chiche, L.; et al. Treatment of primary Sjögren syndrome with rituximab: A randomized trial. Ann. Intern. Med. 2014, 160, 233–242. [Google Scholar] [CrossRef] [PubMed]
- Wuerz, T.C.; Mooney, O.; Keynan, Y. Legionella pneumophila serotype 1 pneumonia in patient receiving adalimumab. Emerg. Infect. Dis. 2012, 18, 1872–1874. [Google Scholar] [CrossRef] [PubMed]
- Arinuma, Y.; Nogi, S.; Ishikawa, Y.; Nakayama, H.; Hashimoto, A.; Komiya, A.; Minoguchi, K.; Horita, A.; Saito, I.; Matsui, T.; et al. Fatal complication of Legionella pneumophila pneumonia in a tocilizumab-treated rheumatoid arthritis patient. Intern. Med. 2015, 54, 1125–1130. [Google Scholar] [CrossRef] [PubMed]
- Tubach, F.; Ravaud, P.; Salmon-Céron, D.; Petitpain, N.; Brocq, O.; Grados, F.; Guillaume, J.C.; Leport, J.; Roudaut, A.; Solau-Gervais, E.; et al. Emergence of Legionella pneumophila pneumonia in patients receiving tumor necrosis factor-α antagonists. Clin. Infect. Dis. 2006, 43, e95–e100. [Google Scholar] [CrossRef] [PubMed]
- Blanchard, D.K.; Friedman, H.; Klein, T.W.; Djeu, J.Y. Induction of interferon-λ and tumor necrosis factor by Legionella pneumophila: Augmentation of human neutrophil bactericidal activity. J. Leukoc. Biol. 1989, 45, 538–545. [Google Scholar] [PubMed]
- Nara, C.; Tateda, K.; Matsumoto, T.; Ohara, A.; Miyazaki, S.; Standiford, T.J.; Yamaguchi, K. Legionella-induced acute lung injury in the setting of hyperoxia: Protective role of tumour necrosis factor-α. J. Med. Microbiol. 2004, 53, 727–733. [Google Scholar] [CrossRef] [PubMed]
- Bodro, M.; Carratalà, J.; Paterson, D.L. Legionellosis and biologic therapies. Respir. Med. 2014, 108, 1223–1228. [Google Scholar] [CrossRef] [PubMed]
- Guy, S.D.; Worth, L.J.; Thursky, K.A.; Francis, P.A.; Slavin, M.A. Legionella pneumophila lung abscess associated with immune suppression. Intern. Med. J. 2011, 41, 715–721. [Google Scholar] [CrossRef] [PubMed]
- Bhatt, K.; Hickman, S.P.; Salgame, P. Cutting edge: A new approach to modeling early lung immunity in murine tuberculosis. J. Immunol. 2004, 172, 2748–2751. [Google Scholar] [CrossRef] [PubMed]
- Gardam, M.A.; Keystone, E.C.; Menzies, R.; Manners, S.; Skamene, E.; Long, R.; Vinh, D.C. Anti-tumour necrosis factor agents and tuberculosis risk: Mechanisms of action and clinical management. Lancet Infect. Dis. 2003, 3, 148–155. [Google Scholar] [CrossRef]
- Winthrop, K.L. Risk and prevention of tuberculosis and other serious opportunistic infections associated with the inhibition of tumor necrosis factor. Nat. Clin. Pract. Rheumatol. 2006, 2, 602–610. [Google Scholar] [CrossRef] [PubMed]
- Kaneko, H.; Yamada, H.; Mizuno, S.; Udagawa, T.; Kazumi, Y.; Sekikawa, K.; Sugawara, I. Role of tumor necrosis factor-α in Mycobacterium-induced granuloma formation in tumor necrosis factor-α-deficient mice. Lab. Invest. 1999, 79, 379–386. [Google Scholar] [PubMed]
- Keane, J.; Gershon, S.; Wise, R.P.; Mirabile-Levens, E.; Kasznica, J.; Schwieterman, W.D.; Siegel, J.N.; Braun, M.M. Tuberculosis associated with infliximab, a tumor necrosis factor α-neutralizing agent. N. Engl. J. Med. 2001, 345, 1098–1104. [Google Scholar] [CrossRef] [PubMed]
- Zandman-Goddard, G. Infection and anti-tumor necrosis factor-α therapy. Isr. Med. Assoc. J. 2003, 5, 814–816. [Google Scholar] [PubMed]
- Scrivo, R.; Sauzullo, I.; Mengoni, F.; Iaiani, G.; Vestri, A.R.; Priori, R.; di Filippo, E.; di Franco, M.; Spinelli, F.R.; Vullo, V.; et al. Serial interferon-γ release assays for screening and monitoring of tuberculosis infection during treatment with biologic agents. Clin. Rheumatol. 2012, 31, 1567–1575. [Google Scholar] [CrossRef] [PubMed]
- Salmon, D.; on behalf of the GTI; AFSSAPS. Recommendations about the prevention and management of tuberculosis in patients taking infliximab. Joint Bone Spine 2002, 69, 170–172. [Google Scholar] [CrossRef]
- Scrivo, R.; Sauzullo, I.; Mengoni, F.; Priori, R.; Coppola, M.; Iaiani, G.; di Franco, M.; Vullo, V.; Mastroianni, C.M.; Valesini, G. Mycobacterial interferon-γ release variations during longterm treatment with tumor necrosis factor blockers: Lack of correlation with clinical outcome. J. Rheumatol. 2013, 40, 157–165. [Google Scholar] [CrossRef] [PubMed]
- Grubbs, J.A.; Baddley, J.W. Pneumocystis jirovecii pneumonia in patients receiving tumor-necrosis-factor-inhibitor therapy: Implications for chemoprophylaxis. Curr. Rheumatol. Rep. 2014, 16, 445. [Google Scholar] [CrossRef] [PubMed]
- Arnold, T.M.; Sears, C.R.; Hage, C.A. Invasive fungal infections in the era of biologics. Clin. Chest Med. 2009, 30, 279–286. [Google Scholar] [CrossRef] [PubMed]
- Tokuda, H.; Sakai, F.; Yamada, H.; Johkoh, T.; Imamura, A.; Dohi, M.; Hirakata, M.; Yamada, T.; Kamatani, N.; Kikuchi, Y.; et al. Clinical and radiological features of Pneumocystis pneumonia in patients with rheumatoid arthritis, in comparison with methotrexate pneumonitis and Pneumocystis pneumonia in acquired immunodeficiency syndrome: A multicenter study. Intern. Med. 2008, 47, 915–923. [Google Scholar] [CrossRef] [PubMed]
- Mu, X.D.; Jia, P.; Gao, L.; Su, L.; Zhang, C.; Wang, R.G.; Wang, G.F. Relationship between Radiological Stages and Prognoses of Pneumocystis Pneumonia in Non-AIDS Immunocompromised Patients. Chin. Med. J. (Engl.) 2016, 129, 2020–2025. [Google Scholar] [CrossRef] [PubMed]
- Wheat, L.J.; Freifeld, A.G.; Kleiman, M.B.; Baddley, J.W.; McKinsey, D.S.; Loyd, J.E.; Kauffman, C.A. Clinical practice guidelines for the management of patients with histoplasmosis: 2007 update by the Infectious Diseases Society of America. Clin. Infect. Dis. 2007, 45, 807–825. [Google Scholar] [CrossRef] [PubMed]
- Hector, R.F.; Rutherford, G.W.; Tsang, C.A.; Erhart, L.M.; McCotter, O.; Anderson, S.M.; Komatsu, K.; Tabnak, F.; Vugia, D.J.; Yang, Y.; et al. The public health impact of coccidioidomycosis in Arizona and California. Int. J. Environ. Res. Public Health 2011, 8, 1150–1173. [Google Scholar] [CrossRef] [PubMed]
- Valdivia, L.; Nix, D.; Wright, M.; Lindberg, E.; Fagan, T.; Lieberman, D.; Stoffer, T.; Ampel, N.M.; Galgiani, J.N. Coccidioidomycosis as a common cause of community-acquired pneumonia. Emerg. Infect. Dis. 2006, 12, 958–962. [Google Scholar] [CrossRef] [PubMed]
- Kim, M.M.; Blair, J.E.; Carey, E.J.; Wu, Q.; Smilack, J.D. Coccidioidal pneumonia, Phoenix, Arizona, USA, 2000–2004. Emerg. Infect. Dis. 2009, 15, 397–401. [Google Scholar] [CrossRef] [PubMed]
- Vallabhaneni, S.; Chiller, T.M. Fungal Infections and New Biologic Therapies. Curr. Rheumatol. Rep. 2016, 18, 29. [Google Scholar] [CrossRef] [PubMed]
- Bergstrom, L.; Yocum, D.E.; Ampel, N.M.; Villanueva, I.; Lisse, J.; Gluck, O.; Tesser, J.; Posever, J.; Miller, M.; Araujo, J.; et al. Increased risk of coccidioidomycosis in patients treated with tumor necrosis factor α antagonists. Arthritis Rheum. 2004, 50, 1959–1966. [Google Scholar] [CrossRef] [PubMed]
- Galgiani, J.N.; Ampel, N.M.; Blair, J.E.; Catanzaro, A.; Johnson, R.H.; Stevens, D.A.; Williams, P.L. Coccidioidomycosis. Clin. Infect. Dis. 2005, 41, 1217–1223. [Google Scholar] [CrossRef] [PubMed]
- Taroumian, S.; Knowles, S.L.; Lisse, J.R.; Yanes, J.; Ampel, N.M.; Vaz, A.; Galgiani, J.N.; Hoover, S.E. Management of coccidioidomycosis in patients receiving biologic response modifiers or disease-modifying antirheumatic drugs. Arthritis Care Res. (Hoboken) 2012, 64, 1903–1909. [Google Scholar] [CrossRef] [PubMed]
- Kaşifoğlu, T.; Korkmaz, C.; Ozkan, R. Cytomegalovirus-induced interstitial pneumonitis in a patient with dermatomyositis. Clin. Rheumatol. 2006, 25, 731–733. [Google Scholar] [CrossRef] [PubMed]
- Azuma, N.; Hashimoto, N.; Yasumitsu, A.; Fukuoka, K.; Yokoyama, K.; Sawada, H.; Nishioka, A.; Sekiguchi, M.; Kitano, M.; Kuroiwa, T.; et al. CMV infection presenting as a cavitary lung lesion in a patient with systemic lupus erythematosus receiving immunosuppressive therapy. Intern. Med. 2009, 48, 2145–2149. [Google Scholar] [CrossRef] [PubMed]
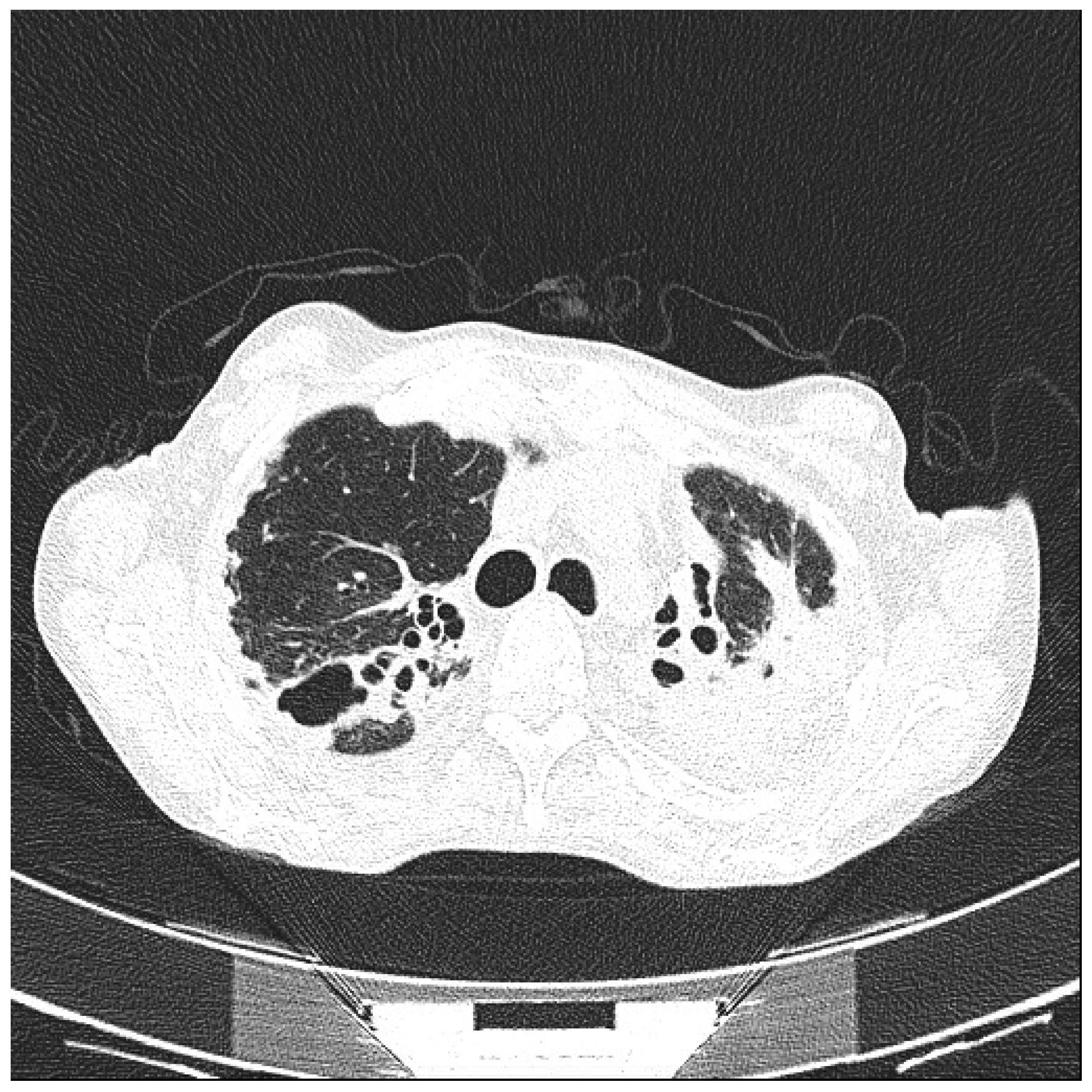
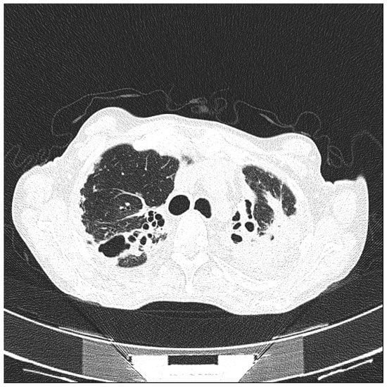
- Demirkazik, F.B.; Akin, A.; Uzun, O.; Akpinar, M.G.; Ariyürek, M.O. CT findings in immunocompromised patients with pulmonary infections. Diagn. Interv. Radiol. 2008, 14, 75–82. [Google Scholar] [PubMed]



| Drug or Class of Drugs | Associated Infections |
|---|---|
| Glucocorticoid | High risk of pneumonia, skin infections and local candidiasis, increased incidence of opportunistic infections (mycobacterial, fungal and viral infections), VZV reactivation. |
| Methotrexate | Slight risk increase of pneumonia, urinary and skin infections and VZV reactivation. |
| Sulphasalazine | Slight increased incidence of septic arthritis. |
| Hydroxichloroquine | Favorable safety profile for infections. |
| Leflunomide | Moderate risk increase of higher and lower airways infections, cases of tuberculosis reported. |
| Cyclosporin | Moderate risk increase of pneumonia, increased incidence of opportunistic (mycotic, viral) infections. |
| Cyclofosfamide | High risk of bacterial respiratory, urinary, skin and sinus infections, bacteremia and septic shock, VZV reactivation, opportunistic mycotic and viral lung, CNS, esophageal infections. |
| Mycophenolate mofetil | Increased incidence of pneumonia, urinary infections, cellulitis and septic arthritis, increased incidence of viral infections (CMV and VZV reactivations). |
| Azathioprine | Increased incidence of pulmonary, urinary and skin bacterial and mycotic infections, VZV reactivation. |
| Anti-TNF | High risk of tuberculosis and non-tuberculous mycobacteria infections, respiratory, skin, soft-tissues and urinary infections, surgical site infections, opportunistic mycotic infections (Histoplasma, Coccidioides, Pneumocystis, Aspergillus, Nocardia), legionellosis, disseminated Listeria and Salmonella infections, VZV, HBV, HCV reactivation. |
| Tocilizumab | Pneumonia and pyogenic bacterial infections, diverticulitis and perforation, invasive aspergillosis and tuberculosis reported. |
| Rituximab | Pneumonia and pyogenic bacterial infections, PML, HBV reactivation, pneumocystosis, invasive aspergillosis and tuberculosis reported. |
| Abatacept | Pneumonia and pyogenic bacterial infections, invasive aspergillosis and tuberculosis reported. |
© 2017 by the authors. Licensee MDPI, Basel, Switzerland. This article is an open access article distributed under the terms and conditions of the Creative Commons Attribution (CC BY) license ( http://creativecommons.org/licenses/by/4.0/).
Share and Cite
Di Franco, M.; Lucchino, B.; Spaziante, M.; Iannuccelli, C.; Valesini, G.; Iaiani, G. Lung Infections in Systemic Rheumatic Disease: Focus on Opportunistic Infections. Int. J. Mol. Sci. 2017, 18, 293. https://doi.org/10.3390/ijms18020293
Di Franco M, Lucchino B, Spaziante M, Iannuccelli C, Valesini G, Iaiani G. Lung Infections in Systemic Rheumatic Disease: Focus on Opportunistic Infections. International Journal of Molecular Sciences. 2017; 18(2):293. https://doi.org/10.3390/ijms18020293
Chicago/Turabian StyleDi Franco, Manuela, Bruno Lucchino, Martina Spaziante, Cristina Iannuccelli, Guido Valesini, and Giancarlo Iaiani. 2017. "Lung Infections in Systemic Rheumatic Disease: Focus on Opportunistic Infections" International Journal of Molecular Sciences 18, no. 2: 293. https://doi.org/10.3390/ijms18020293
APA StyleDi Franco, M., Lucchino, B., Spaziante, M., Iannuccelli, C., Valesini, G., & Iaiani, G. (2017). Lung Infections in Systemic Rheumatic Disease: Focus on Opportunistic Infections. International Journal of Molecular Sciences, 18(2), 293. https://doi.org/10.3390/ijms18020293

