Periostin Expression and Its Prognostic Value for Colorectal Cancer
Abstract
:1. Introduction
2. Results
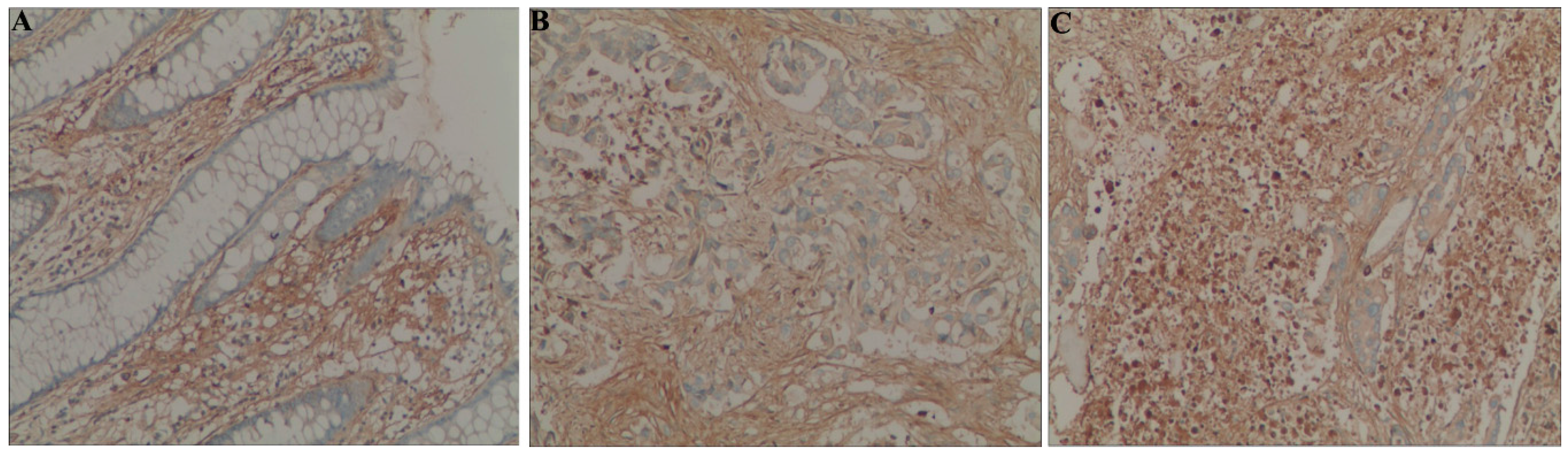
2.1. POSTN Protein Is Over-Expressed in Colorectal Cancer

2.2. Relationship between Clinical-Pathological Characteristics and POSTN Expression in Colorectal Cancer Tissues
| Characteristic | No. of Cases | High Expression Cases (%) | OR (95% CI) | p Value |
|---|---|---|---|---|
| Gender | 1.451 (0.594–3.539) | 0.412 | ||
| Male | 90 | 55 (61.11%) | ||
| Female | 25 | 13 (52%) | ||
| Age (years old) | 0.669 (0.329–1.359) | 0.265 | ||
| <53 | 59 | 29 (49.15%) | ||
| ≥53 | 56 | 39 (69.64%) | ||
| Location | 0.520 (0.244–1.109) | 0.089 | ||
| Colon | 60 | 31 (51.67%) | ||
| Rectum | 55 | 37 (67.27%) | ||
| Tumor size (cm) | 0.384 (0.177–0.830) | 0.014 | ||
| <5 | 60 | 29 (48.33%) | ||
| ≥5 | 55 | 39 (70.90%) | ||
| Differentiation | 0.370 (0.172–0.797) | 0.010 | ||
| Well | 52 | 24 (46.15%) | ||
| Poorly | 63 | 44 (69.84%) | ||
| Serosal invasion | 0.237 (0.106–0.529) | 0.0003 | ||
| − | 60 | 26 (43.33%) | ||
| + | 55 | 42 (76.36%) | ||
| Lymph node metastasis | 0.335 (0.152–0.736) | 0.006 | ||
| − | 63 | 30 (47.62%) | ||
| + | 52 | 38 (73.07%) | ||
| Stage | 0.226 (0.010–0.510) | 0.0002 | ||
| I–IIA | 62 | 27 (43.55%) | ||
| IIB–IV | 53 | 41 (77.36%) |
2.3. Correlation between POSTN Levels and Patient Survival

2.4. Univariate and Multivariate Cox Analysis for Prognosis of Patients with Colorectal Cancer
| Factors | B | SE | Wald | HR | 95% CI | p Value | |
|---|---|---|---|---|---|---|---|
| Low | Upper | ||||||
| Age | 0.253 | 0.292 | 0.75 | 0.777 | 0.438 | 1.376 | 0.386 |
| Gender | 0.159 | 0.345 | 0.212 | 1.172 | 0.596 | 2.303 | 0.645 |
| Tumor size | 0.139 | 0.292 | 0.225 | 1.149 | 0.648 | 2.035 | 0.635 |
| Location | 0.149 | 0.292 | 0.261 | 1.161 | 0.655 | 2.057 | 0.609 |
| Differentiation | 0.174 | 0.295 | 0.349 | 0.84 | 0.471 | 1.498 | 0.555 |
| Serosal invasion | 0.736 | 0.308 | 5.708 | 0.51 | 0.262 | 0.876 | 0.017 |
| Lymph node metastasis | 1.363 | 0.311 | 19.268 | 3.909 | 2.127 | 7.185 | <0.001 |
| Tumor stage | 0.784 | 0.313 | 6.259 | 0.457 | 0.247 | 1.844 | 0.012 |
| POSTN | 1.17 | 0.357 | 10.71 | 3.222 | 1.599 | 6.492 | 0.001 |
| Factors | B | SE | Wald | HR | 95% CI | p Value | |
|---|---|---|---|---|---|---|---|
| Low | Upper | ||||||
| Lymph node metastasis | 1.125 | 0.321 | 12.319 | 3.08 | 1.643 | 5.774 | <0.001 |
| Serosal invasion | 0.279 | 0.372 | 0.564 | 0.756 | 0.365 | 1.568 | 0.453 |
| Tumor stage | 0.279 | 0.479 | 0.543 | 0.756 | 0.401 | 0.36 | 1.59 |
| POSTN | 0.705 | 0.381 | 3.427 | 2.023 | 0.959 | 4.266 | 0.044 |
3. Discussion
4. Experimental Section
4.1. Patients and Sample Collection
4.2. Follow up
4.3. Immunohistochemistry for POSTN in Paraffin-Embedded Tissues
4.4. Evaluation of Immunohistochemical Staining
4.5. Statistical Analysis
5. Conclusions
Acknowledgments
Author Contributions
Conflicts of Interest
References
- Jemal, A.; Bray, F.; Center, M.M.; Ferlay, J.; Ward, E.; Forman, D. Global cancer statistics. CA Cancer J. Clin. 2011, 61, 69–90. [Google Scholar] [CrossRef] [PubMed]
- Calvert, P.M.; Frucht, H. The genetics of colorectal cancer. Ann. Intern. Med. 2002, 137, 603–612. [Google Scholar] [CrossRef] [PubMed]
- Weitz, J.; Koch, M.; Debus, J.; Hohler, T.; Galle, P.R.; Buchler, M.W. Colorectal cancer. Lancet 2005, 365, 153–165. [Google Scholar] [CrossRef]
- Goldman, E.; Fisher, J.L. Discrepancies in cancer mortality estimates. Arch. Med. Res. 2006, 37, 548–551. [Google Scholar] [CrossRef] [PubMed]
- Duffy, M.J.; Lamerz, R.; Haglund, C.; Nicolini, A.; Kalousova, M.; Holubec, L.; Sturgeon, C. Tumor markers in colorectal cancer, gastric cancer and gastrointestinal stromal cancers: European group on tumor markers 2014 guidelines update. Int. J. Cancer. 2014, 134, 2513–2522. [Google Scholar] [CrossRef] [PubMed]
- Litvin, J.; Selim, A.H.; Montgomery, M.O.; Lehmann, K.; Rico, M.C.; Devlin, H.; Bednarik, D.P.; Safadi, F.F. Expression and function of periostin-isoforms in bone. J. Cell. Biochem. 2004, 92, 1044–1061. [Google Scholar] [CrossRef] [PubMed]
- Zhu, S.; Barbe, M.F.; Amin, N.; Rani, S.; Popoff, S.N.; Safadi, F.F.; Litvin, J. Immunolocalization of periostin-like factor and periostin during embryogenesis. J. Histochem. Cytochem. 2008, 56, 329–345. [Google Scholar] [CrossRef] [PubMed]
- Norris, R.A.; Damon, B.; Mironov, V.; Kasyanov, V.; Ramamurthi, A.; Moreno-Rodriguez, R.; Trusk, T.; Potts, J.D.; Goodwin, R.L.; Davis, J.; et al. Periostin regulates collagen fibrillogenesis and the biomechanical properties of connective tissues. J. Cell. Biochem. 2007, 101, 695–711. [Google Scholar] [CrossRef] [PubMed]
- Gillan, L.; Matei, D.; Fishman, D.A.; Gerbin, C.S.; Karlan, B.Y.; Chang, D.D. Periostin secreted by epithelial ovarian carcinoma is a ligand for αvβ3 and αvβ3 integrins and promotes cell motility. Cancer Res. 2002, 62, 5358–5364. [Google Scholar] [PubMed]
- Ruan, K.; Bao, S.; Ouyang, G. The multifaceted role of periostin in tumorigenesis. Cell. Mol. Life Sci. 2009, 66, 2219–2230. [Google Scholar] [CrossRef] [PubMed]
- Sasaki, H.; Sato, Y.; Kondo, S.; Fukai, I.; Kiriyama, M.; Yamakawa, Y.; Fuji, Y. Expression of the periostin mrna level in neuroblastoma. J. Pediatr. Surg. 2002, 37, 1293–1297. [Google Scholar] [CrossRef] [PubMed]
- Kudo, Y.; Ogawa, I.; Kitajima, S.; Kitagawa, M.; Kawai, H.; Gaffney, P.M.; Miyauchi, M.; Takata, T. Periostin promotes invasion and anchorage-independent growth in the metastatic process of head and neck cancer. Cancer Res. 2006, 66, 6928–6935. [Google Scholar] [CrossRef] [PubMed]
- Chang, Y.; Lee, T.C.; Li, J.C.; Lai, T.L.; Chua, H.H.; Chen, C.L.; Doong, S.L.; Chou, C.K.; Sheen, T.S.; Tsai, C.H. Differential expression of osteoblast-specific factor 2 and polymeric immunoglobulin receptor genes in nasopharyngeal carcinoma. Head Neck 2005, 27, 873–882. [Google Scholar] [CrossRef] [PubMed]
- Puppin, C.; Fabbro, D.; Dima, M.; di Loreto, C.; Puxeddu, E.; Filetti, S.; Russo, D.; Damante, G. High periostin expression correlates with aggressiveness in papillary thyroid carcinomas. J. Endocrinol. 2008, 197, 401–408. [Google Scholar] [CrossRef] [PubMed]
- Siriwardena, B.S.; Kudo, Y.; Ogawa, I.; Kitagawa, M.; Kitajima, S.; Hatano, H.; Tilakaratne, W.M.; Miyauchi, M.; Takata, T. Periostin is frequently overexpressed and enhances invasion and angiogenesis in oral cancer. Br. J. Cancer 2006, 95, 1396–1403. [Google Scholar] [CrossRef] [PubMed]
- Shao, R.; Bao, S.; Bai, X.; Blanchette, C.; Anderson, R.M.; Dang, T.; Gishizky, M.L.; Marks, J.R.; Wang, X.F. Acquired expression of periostin by human breast cancers promotes tumor angiogenesis through up-regulation of vascular endothelial growth factor receptor 2 expression. Mol. Cell. Biol. 2004, 24, 3992–4003. [Google Scholar] [CrossRef] [PubMed]
- Ouyang, G.; Liu, M.; Ruan, K.; Song, G.; Mao, Y.; Bao, S. Upregulated expression of periostin by hypoxia in non-small-cell lung cancer cells promotes cell survival via the Akt/PKB pathway. Cancer Lett. 2009, 281, 213–219. [Google Scholar] [CrossRef] [PubMed]
- Wu, G.; Wang, X.; Zhang, X. Clinical implications of periostin in the liver metastasis of colorectal cancer. Cancer Biother. Radiopharm. 2013, 28, 298–302. [Google Scholar] [CrossRef] [PubMed]
- Horiuchi, K.; Amizuka, N.; Takeshita, S.; Takamatsu, H.; Katsuura, M.; Ozawa, H.; Toyama, Y.; Bonewald, L.F.; Kudo, A. Identification and characterization of a novel protein, periostin, with restricted expression to periosteum and periodontal ligament and increased expression by transforming growth factor β. J. Bone Miner. Res. 1999, 14, 1239–1249. [Google Scholar] [CrossRef] [PubMed]
- Takeshita, S.; Kikuno, R.; Tezuka, K.; Amann, E. Osteoblast-specific factor 2: Cloning of a putative bone adhesion protein with homology with the insect protein fasciclin I. Biochem. J. 1993, 294, 271–278. [Google Scholar] [PubMed]
- Li, P.; Oparil, S.; Feng, W.; Chen, Y.F. Hypoxia-responsive growth factors upregulate periostin and osteopontin expression via distinct signaling pathways in rat pulmonary arterial smooth muscle cells. J. Appl. Physiol. 2004, 97, 1550–1558, discussion 1549. [Google Scholar] [CrossRef] [PubMed]
- Qiu, F.; Shi, C.H.; Zheng, J.; Liu, Y.B. Periostin mediates the increased pro-angiogenic activity of gastric cancer cells under hypoxic conditions. J. Biochem. Mol. Toxicol. 2013, 27, 364–369. [Google Scholar] [CrossRef] [PubMed]
- Wong, G.S.; Habibollahi, P.; Heidari, P.; Lee, J.S.; Klein-Szanto, A.J.; Waldron, T.J.; Gimotty, P.; Nakagawa, H.; Taylor, P.R.; Wang, T.C.; et al. Optical imaging of periostin enables early endoscopic detection and characterization of esophageal cancer in mice. Gastroenterology 2013, 144, 294–297. [Google Scholar] [CrossRef] [PubMed]
- Lee, M.J.; Heo, S.C.; Shin, S.H.; Kwon, Y.W.; Do, E.K.; Suh, D.S.; Yoon, M.S.; Kim, J.H. Oncostatin M promotes mesenchymal stem cell-stimulated tumor growth through a paracrine mechanism involving periostin and TGFBI. Int. J. Biochem. Cell Biol. 2013, 45, 1869–1877. [Google Scholar] [CrossRef] [PubMed]
- Chen, J.; Xi, J.; Tian, Y.; Bova, G.S.; Zhang, H. Identification, prioritization, and evaluation of glycoproteins for aggressive prostate cancer using quantitative glycoproteomics and antibody-based assays on tissue specimens. Proteomics 2013, 13, 2268–2277. [Google Scholar] [CrossRef] [PubMed]
- Tian, Y.; Choi, C.H.; Li, Q.K.; Rahmatpanah, F.B.; Chen, X.; Kim, S.R.; Veltri, R.; Chia, D.; Zhang, Z.; Mercola, D.; et al. Overexpression of periostin in stroma positively associated with aggressive prostate cancer. PLoS ONE 2015, 10, e0121502. [Google Scholar] [CrossRef] [PubMed]
- Kim, C.J.; Yoshioka, N.; Tambe, Y.; Kushima, R.; Okada, Y.; Inoue, H. Periostin is down-regulated in high grade human bladder cancers and suppresses in vitro cell invasiveness and in vivo metastasis of cancer cells. Int. J. Cancer 2005, 117, 51–58. [Google Scholar] [CrossRef] [PubMed]
- Kim, C.J.; Isono, T.; Tambe, Y.; Chano, T.; Okabe, H.; Okada, Y.; Inoue, H. Role of alternative splicing of periostin in human bladder carcinogenesis. Int. J. Oncol. 2008, 32, 161–169. [Google Scholar] [CrossRef] [PubMed]
- Kanno, A.; Satoh, K.; Masamune, A.; Hirota, M.; Kimura, K.; Umino, J.; Hamada, S.; Satoh, A.; Egawa, S.; Motoi, F.; et al. Periostin, secreted from stromal cells, has biphasic effect on cell migration and correlates with the epithelial to mesenchymal transition of human pancreatic cancer cells. Int. J. Cancer 2008, 122, 2707–2718. [Google Scholar] [CrossRef] [PubMed]
- Ben, Q.W.; Zhao, Z.; Ge, S.F.; Zhou, J.; Yuan, F.; Yuan, Y.Z. Circulating levels of periostin may help identify patients with more aggressive colorectal cancer. Int. J. Oncol. 2009, 34, 821–828. [Google Scholar] [PubMed]
- Liu, Y.; Liu, B.A. Enhanced proliferation, invasion, and epithelial-mesenchymaltransition of nicotine-promoted gastric cancer by periostin. World J. Gastroenterol. 2011, 17, 2674–2680. [Google Scholar] [CrossRef] [PubMed]
- Lee, Y.J.; Kim, I.S.; Park, S.A.; Kim, Y.; Lee, J.E.; Noh, D.Y.; Kim, K.T.; Ryu, S.H.; Suh, P.G. Periostin-binding DNA aptamer inhibits breast cancer growth and metastasis. Mol. Ther. 2013, 21, 1004–1013. [Google Scholar] [CrossRef] [PubMed]
- Xu, D.; Xu, H.; Ren, Y.; Liu, C.; Wang, X.; Zhang, H.; Lu, P. Cancer stem cell-related gene periostin: A novel prognostic marker for breast cancer. PLoS ONE 2012, 7, e46670. [Google Scholar] [CrossRef] [PubMed]
- Kharaishvili, G.; Cizkova, M.; Bouchalova, K.; Mgebrishvili, G.; Kolar, Z.; Bouchal, J. Collagen triple helix repeat containing 1 protein, periostin and versican in primary and metastatic breast cancer: An immunohistochemical study. J. Clin. Pathol. 2011, 64, 977–982. [Google Scholar] [CrossRef] [PubMed]
- Hamilton, S.R.; Aaltonen, L.A. World Health Organization Classification of Tumours-Pathology & Genetics Tumors of the Digestive System; IARC Press: Lyon, France, 2000. [Google Scholar]
© 2015 by the authors; licensee MDPI, Basel, Switzerland. This article is an open access article distributed under the terms and conditions of the Creative Commons Attribution license (http://creativecommons.org/licenses/by/4.0/).
Share and Cite
Li, Z.; Zhang, X.; Yang, Y.; Yang, S.; Dong, Z.; Du, L.; Wang, L.; Wang, C. Periostin Expression and Its Prognostic Value for Colorectal Cancer. Int. J. Mol. Sci. 2015, 16, 12108-12118. https://doi.org/10.3390/ijms160612108
Li Z, Zhang X, Yang Y, Yang S, Dong Z, Du L, Wang L, Wang C. Periostin Expression and Its Prognostic Value for Colorectal Cancer. International Journal of Molecular Sciences. 2015; 16(6):12108-12118. https://doi.org/10.3390/ijms160612108
Chicago/Turabian StyleLi, Zewu, Xin Zhang, Yongmei Yang, Sanhui Yang, Zhaogang Dong, Lutao Du, Lili Wang, and Chuanxin Wang. 2015. "Periostin Expression and Its Prognostic Value for Colorectal Cancer" International Journal of Molecular Sciences 16, no. 6: 12108-12118. https://doi.org/10.3390/ijms160612108
APA StyleLi, Z., Zhang, X., Yang, Y., Yang, S., Dong, Z., Du, L., Wang, L., & Wang, C. (2015). Periostin Expression and Its Prognostic Value for Colorectal Cancer. International Journal of Molecular Sciences, 16(6), 12108-12118. https://doi.org/10.3390/ijms160612108
