Production and Evaluation of Virus-Like Particles Displaying Immunogenic Epitopes of Porcine Reproductive and Respiratory Syndrome Virus (PRRSV)
Abstract
:1. Introduction
2. Results
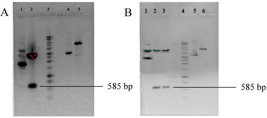
2.1. Construction of Hybrid HBcAg VLPs
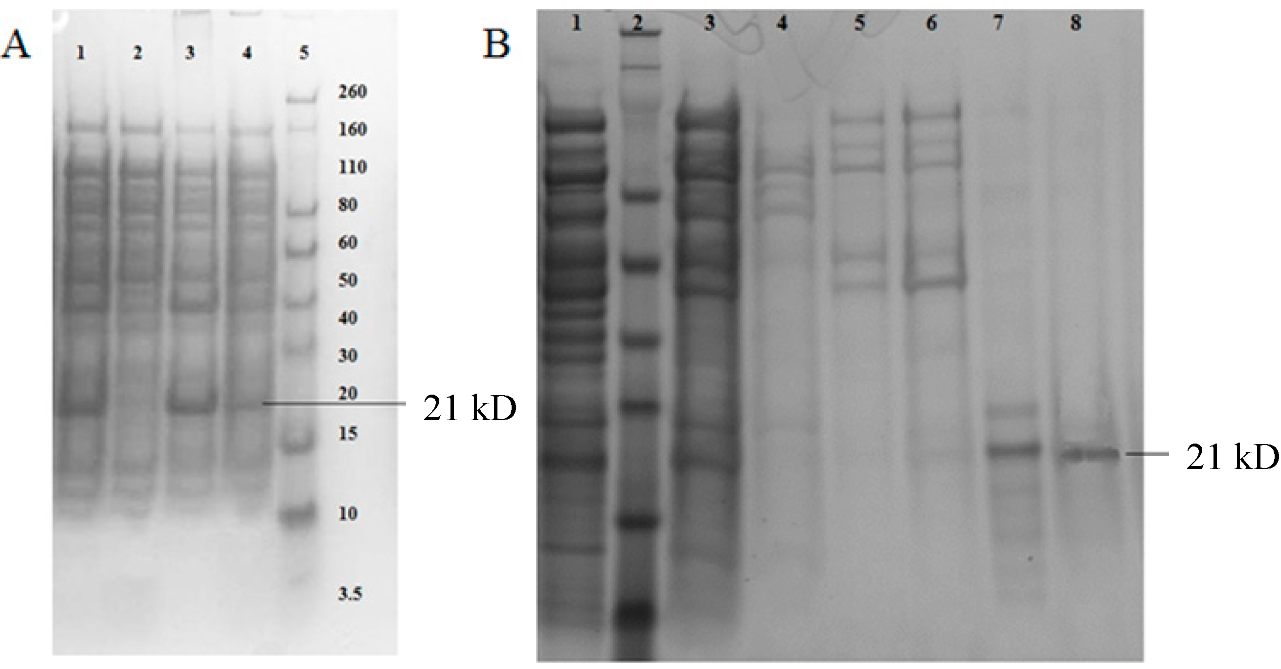
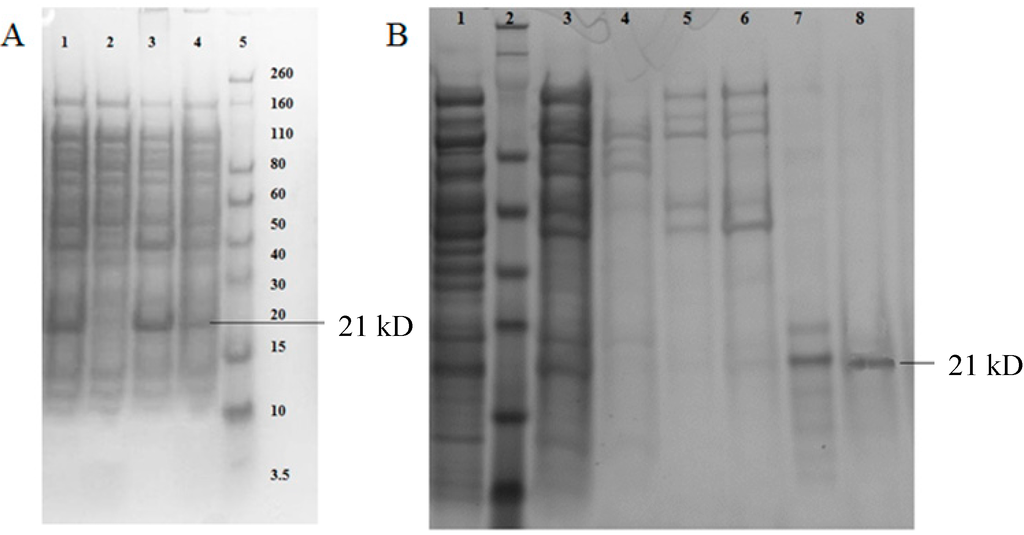
2.2. Expression and Solubility Check of Hybrid HBcAg VLPs


2.3. Purification and Refolding of HBcAg VLP Proteins from Inclusion Bodies



2.4. Virus Blocking Assay and Endotoxin Assay

3. Discussion
4. Experimental Section
4.1. Construction of Recombinant Plasmids
4.2. Expression and Solubility Test
4.3. Solubilization of Inclusion Bodies
4.4. Immobilized Metal Ion Chromatography
4.5. Refolding of Recombinant Fusion Proteins
4.6. Anion Exchange Chromatography
4.7. SDS PAGE and Western Blotting
4.8. Electron Microscopy
4.9. Virus Blocking Assay
4.10. Endotoxin Assay
Acknowledgments
Author Contributions
Conflicts of Interest
References
- Keffaber, K. Reproductive failure of unknown etiology. Am. Assoc. Swine Pract. Newslett. 1989, 1, 2–10. [Google Scholar]
- Cho, J.G.; Dee, S.A. Porcine reproductive and respiratory syndrome virus. Theriogenology 2006, 66, 655–662. [Google Scholar] [CrossRef] [PubMed]
- Meng, X.J.; Paul, P.S.; Halbur, P.G.; Lum, M.A. Characterization of a high-virulence US isolate of porcine reproductive and respiratory syndrome virus in a continuous cell line, ATCC CRL11171. J. Vet. Diagn. Investig. 1996, 8, 374–381. [Google Scholar] [CrossRef]
- Gonin, P.; Pirzadeh, B.; Gagnon, C.A.; Dea, S. Seroneutralization of porcine reproductive and respiratory syndrome virus correlates with antibody response to the GP5 major envelope glycoprotein. J. Vet. Diagn. Investig. 1999, 11, 20–26. [Google Scholar] [CrossRef]
- Weiland, E.; Wieczorek-Krohmer, M.; Kohl, D.; Conzelmann, K.K.; Weiland, F. Monoclonal antibodies to the GP5 of porcine reproductive and respiratory syndrome virus are more effective in virus neutralization than monoclonal antibodies to the GP4. Vet. Microbiol. 1999, 66, 171–186. [Google Scholar] [CrossRef] [PubMed]
- Plagemann, P.G. The primary GP5 neutralization epitope of north american isolates of porcine reproductive and respiratory syndrome virus. Vet. Immunol. Immunopathol. 2004, 102, 263–275. [Google Scholar] [CrossRef] [PubMed]
- Vashisht, K.; Goldberg, T.L.; Husmann, R.J.; Schnitzlein, W.; Zuckermann, F.A. Identification of immunodominant t-cell epitopes present in glycoprotein 5 of the north american genotype of porcine reproductive and respiratory syndrome virus. Vaccine 2008, 26, 4747–4753. [Google Scholar] [CrossRef] [PubMed]
- Zuckermann, F.A.; Garcia, E.A.; Luque, I.D.; Christopher-Hennings, J.; Doster, A.; Brito, M.; Osorio, F. Assessment of the efficacy of commercial porcine reproductive and respiratory syndrome virus (PRRSV) vaccines based on measurement of serologic response, frequency of gamma-IFN-producing cells and virological parameters of protection upon challenge. Vet. Microbiol. 2007, 123, 69–85. [Google Scholar] [CrossRef] [PubMed]
- Botner, A.; Strandbygaard, B.; Sorensen, K.J.; Have, P.; Madsen, K.G.; Madsen, E.S.; Alexandersen, S. Appearance of acute PRRS-like symptoms in sow herds after vaccination with a modified live PRRS vaccine. Vet. Record 1997, 141, 497–499. [Google Scholar] [CrossRef]
- Ludwig, C.; Wagner, R. Virus-like particles-universal molecular toolboxes. Curr. Opin. Biotechnol. 2007, 18, 537–545. [Google Scholar] [CrossRef] [PubMed]
- Bachmann, M.F.; Jennings, G.T. Vaccine delivery: A matter of size, geometry, kinetics and molecular patterns. Nat. Rev. Immunol. 2010, 10, 787–796. [Google Scholar] [CrossRef] [PubMed]
- Aguilar, J.C.; Rodriguez, E.G. Vaccine adjuvants revisited. Vaccine 2007, 25, 3752–3762. [Google Scholar] [CrossRef] [PubMed]
- Milich, D.R.; Hughes, J.; Jones, J.; Sallberg, M.; Phillips, T.R. Conversion of poorly immunogenic malaria repeat sequences into a highly immunogenic vaccine candidate. Vaccine 2001, 20, 771–788. [Google Scholar] [CrossRef] [PubMed]
- De Filette, M.; Ramne, A.; Birkett, A.; Lycke, N.; Lowenadler, B.; Min Jou, W.; Saelens, X.; Fiers, W. The universal influenza vaccine M2e-HBc administered intranasally in combination with the adjuvant CTA1-DD provides complete protection. Vaccine 2006, 24, 544–551. [Google Scholar]
- Wang, W.C.X.; Xue, C.; Du, Y.; Lv, L.; Liu, Q.; Li, X.; Ma, Y.; Shen, H.; Cao, Y. Production and immunogenicity of chimeric virus-like particles containing porcine reproductive and respiratory syndrome virus GP5 protein. Vaccine 2012, 30, 7072–7077. [Google Scholar] [CrossRef] [PubMed]
- Nam, H.M.; Chae, K.S.; Song, Y.J.; Lee, N.H.; Lee, J.B.; Park, S.Y.; Song, C.S.; Seo, K.H.; Kang, S.M.; Kim, M.C.; et al. Immune responses in mice vaccinated with virus-like particles composed of the GP5 and m proteins of porcine reproductive and respiratory syndrome virus. Arch. Virol. 2013, 158, 1275–1285. [Google Scholar] [CrossRef] [PubMed]
- Hu, J.; Ni, Y.; Meng, X.J.; Zhang, C. Expression and purification of a chimeric protein consisting of the ectodomains of m and GP5 proteins of porcine reproductive and respiratory syndrome virus (PRRSV). J. Chromatogr. B 2012, 911, 43–48. [Google Scholar] [CrossRef]
- Bottcher, B.; Wynne, S.A.; Crowther, R.A. Determination of the fold of the core protein of hepatitis B virus by electron cryomicroscopy. Nature 1997, 386, 88–91. [Google Scholar] [CrossRef] [PubMed]
- Livingston, B.D.; Newman, M.; Crimi, C.; McKinney, D.; Chesnut, R.; Sette, A. Optimization of epitope processing enhances immunogenicity of multiepitope DNA vaccines. Vaccine 2001, 19, 4652–4660. [Google Scholar] [CrossRef] [PubMed]
- Koho, T.; Mantyla, T.; Laurinmaki, P.; Huhti, L.; Butcher, S.J.; Vesikari, T.; Kulomaa, M.S.; Hytonen, V.P. Purification of norovirus-like particles (VLPs) by ion exchange chromatography. J. Virol. Methods 2012, 181, 6–11. [Google Scholar] [CrossRef] [PubMed]
- Kimman, T.G.; Cornelissen, L.A.; Moormann, R.J.; Rebel, J.M.; Stockhofe-Zurwieden, N. Challenges for porcine reproductive and respiratory syndrome virus (PRRSV) vaccinology. Vaccine 2009, 27, 3704–3718. [Google Scholar] [CrossRef] [PubMed]
- Mengeling, W.L.; Lager, K.M.; Vorwald, A.C.; Clouser, D.F. Comparative safety and efficacy of attenuated single-strain and multi-strain vaccines for porcine reproductive and respiratory syndrome. Vet. Microbiol. 2003, 93, 25–38. [Google Scholar] [CrossRef] [PubMed]
- Mengeling, W.L.; Lager, K.M.; Vorwald, A.C.; Koehler, K.J. Strain specificity of the immune response of pigs following vaccination with various strains of porcine reproductive and respiratory syndrome virus. Vet. Microbiol. 2003, 93, 13–24. [Google Scholar] [CrossRef] [PubMed]
- Barfoed, A.M.; Blixenkrone-Moller, M.; Jensen, M.H.; Botner, A.; Kamstrup, S. DNA vaccination of pigs with open reading frame 1–7 of PRRS virus. Vaccine 2004, 22, 3628–3641. [Google Scholar] [CrossRef] [PubMed]
- Rompato, G.; Ling, E.; Chen, Z.; van Kruiningen, H.; Garmendia, A.E. Positive inductive effect of IL-2 on virus-specific cellular responses elicited by a PRRSV-ORF7 DNA vaccine in swine. Vet. Immunol. Immunopathol. 2006, 109, 151–160. [Google Scholar] [CrossRef] [PubMed]
- Bastos, R.G.; Dellagostin, O.A.; Barletta, R.G.; Doster, A.R.; Nelson, E.; Zuckermann, F.; Osorio, F.A. Immune response of pigs inoculated with mycobacterium bovis BCG expressing a truncated form of GP5 and M protein of porcine reproductive and respiratory syndrome virus. Vaccine 2004, 22, 467–474. [Google Scholar] [CrossRef] [PubMed]
- Cai, J.; Ma, Y.; Li, J.; Yan, C.; Hu, R.; Zhang, J. Construction and characterization of a recombinant canine adenovirus expressing GP5 and m proteins of porcine reproductive and respiratory syndrome virus. J. Vet. Med. Sci. 2010, 72, 1035–1040. [Google Scholar] [CrossRef] [PubMed]
- Jiang, W.; Jiang, P.; Wang, X.; Li, Y.; Du, Y.; Wang, X. Enhanced immune responses of mice inoculated recombinant adenoviruses expressing GP5 by fusion with GP3 and/or GP4 of prrs virus. Virus Res. 2008, 136, 50–57. [Google Scholar] [CrossRef] [PubMed]
- Zhou, J.X.; Xue, J.D.; Yu, T.; Zhang, J.B.; Liu, Y.; Jiang, N.; Li, Y.L.; Hu, R.L. Immune responses in pigs induced by recombinant canine adenovirus 2 expressing the glycoprotein 5 of porcine reproductive and respiratory syndrome virus. Vet. Res. Commun. 2010, 34, 371–380. [Google Scholar] [CrossRef] [PubMed]
- Shen, G.; Jin, N.; Ma, M.; Jin, K.; Zheng, M.; Zhuang, T.; Lu, H.; Zhu, G.; Jin, H.; Jin, M.; et al. Immune responses of pigs inoculated with a recombinant fowlpox virus coexpressing GP5/GP3 of porcine reproductive and respiratory syndrome virus and swine il-18. Vaccine 2007, 25, 4193–4202. [Google Scholar] [CrossRef]
- Zheng, Q.; Chen, D.; Li, P.; Bi, Z.; Cao, R.; Zhou, B.; Chen, P. Co-expressing gp5 and m proteins under different promoters in recombinant modified vaccinia virus ankara (RMVA)-based vaccine vector enhanced the humoral and cellular immune responses of porcine reproductive and respiratory syndrome virus (PRRSV). Virus Genes 2007, 35, 585–595. [Google Scholar] [CrossRef] [PubMed]
- Mogler, M.A.; Vander Veen, R.L.; Erdman, M.M.; Harris, D.L. Replicon Particles Expressing PRRSV GP5 and Matrix Reduce Viremia Following Homologous and Heterologous Challenge. Proceeding of International PRRS Symposium. 2009, p. 107. Available online: http://www.prrssymposium.org/TopMenu/Proceedings.aspx (accessed on 13 April 2015).
- Plana Duran, J.; Climent, I.; Sarraseca, J.; Urniza, A.; Cortes, E.; Vela, C.; Casal, J.I. Baculovirus expression of proteins of porcine reproductive and respiratory syndrome virus strain olot/91. Involvement of orf3 and orf5 proteins in protection. Virus Genes 1997, 14, 19–29. [Google Scholar]
- Cruz, J.L.; Zuniga, S.; Becares, M.; Sola, I.; Ceriani, J.E.; Juanola, S.; Plana, J.; Enjuanes, L. Vectored vaccines to protect against PRRSV. Virus Res. 2010, 154, 150–160. [Google Scholar] [CrossRef] [PubMed]
- Chen, X.; Liu, J. Generation and immunogenicity of transgenic potato expressing the GP5 protein of porcine reproductive and respiratory syndrome virus. J. Virol. Methods 2011, 173, 153–158. [Google Scholar] [CrossRef] [PubMed]
- Chia, M.Y.; Hsiao, S.H.; Chan, H.T.; Do, Y.Y.; Huang, P.L.; Chang, H.W.; Tsai, Y.C.; Lin, C.M.; Pang, V.F.; Jeng, C.R. Immunogenicity of recombinant GP5 protein of porcine reproductive and respiratory syndrome virus expressed in tobacco plant. Vet. Immunol. Immunopathol. 2010, 135, 234–242. [Google Scholar] [CrossRef] [PubMed]
- Hu, J.; Ni, Y.; Dryman, B.A.; Meng, X.J.; Zhang, C. Immunogenicity study of plant-made oral subunit vaccine against porcine reproductive and respiratory syndrome virus (PRRSV). Vaccine 2012, 30, 2068–2074. [Google Scholar] [CrossRef] [PubMed]
- Charerntantanakul, W.; Platt, R.; Johnson, W.; Roof, M.; Vaughn, E.; Roth, J.A. Immune responses and protection by vaccine and various vaccine adjuvant candidates to virulent porcine reproductive and respiratory syndrome virus. Vet. Immunol. Immunopathol. 2006, 109, 99–115. [Google Scholar] [CrossRef] [PubMed]
- Karpenko, L.I.; Ivanisenko, V.A.; Pika, I.A.; Chikaev, N.A.; Eroshkin, A.M.; Veremeiko, T.A.; Ilyichev, A.A. Insertion of foreign epitopes in hbcag: How to make the chimeric particle assemble. Amino Acids 2000, 18, 329–337. [Google Scholar] [CrossRef] [PubMed]
- Jegerlehner, A.; Storni, T.; Lipowsky, G.; Schmid, M.; Pumpens, P.; Bachmann, M.F. Regulation of IgG antibody responses by epitope density and CD21-mediated costimulation. Eur. J. Immunol. 2002, 32, 3305–3314. [Google Scholar] [CrossRef] [PubMed]
- Kirnbauer, R.; Booy, F.; Cheng, N.; Lowy, D.R.; Schiller, J.T. Papillomavirus L1 major capsid protein self-assembles into virus-like particles that are highly immunogenic. Proc. Natl. Acad. Sci. USA 1992, 89, 12180–12184. [Google Scholar] [CrossRef] [PubMed]
- Lee, D.H.; Park, J.K.; Lee, Y.N.; Song, J.M.; Kang, S.M.; Lee, J.B.; Park, S.Y.; Choi, I.S.; Song, C.S. H9n2 avian influenza virus-like particle vaccine provides protective immunity and a strategy for the differentiation of infected from vaccinated animals. Vaccine 2011, 29, 4003–4007. [Google Scholar] [CrossRef] [PubMed]
- Brun, A.; Barcena, J.; Blanco, E.; Borrego, B.; Dory, D.; Escribano, J.M.; Le Gall-Recule, G.; Ortego, J.; Dixon, L.K. Current strategies for subunit and genetic viral veterinary vaccine development. Virus Res. 2011, 157, 1–12. [Google Scholar] [CrossRef] [PubMed]
- Li, B.; Xiao, S.; Wang, Y.; Xu, S.; Jiang, Y.; Chen, H.; Fang, L. Immunogenicity of the highly pathogenic porcine reproductive and respiratory syndrome virus GP5 protein encoded by a synthetic orf5 gene. Vaccine 2009, 27, 1957–1963. [Google Scholar] [CrossRef] [PubMed]
- Lopez, O.J.; Osorio, F.A. Role of neutralizing antibodies in prrsv protective immunity. Vet. Immunol. Immunopathol. 2004, 102, 155–163. [Google Scholar] [CrossRef] [PubMed]
- Mateu, E.; Diaz, I. The challenge of prrs immunology. Vet. J. 2008, 177, 345–351. [Google Scholar] [CrossRef] [PubMed]
- Ostrowski, M.; Galeota, J.A.; Jar, A.M.; Platt, K.B.; Osorio, F.A.; Lopez, O.J. Identification of neutralizing and nonneutralizing epitopes in the porcine reproductive and respiratory syndrome virus GP5 ectodomain. J. Virol. 2002, 76, 4241–4250. [Google Scholar] [CrossRef] [PubMed]
- Franke, E.D.; Hoffman, S.L.; Sacci, J.B., Jr.; Wang, R.; Charoenvit, Y.; Appella, E.; Chesnut, R.; Alexander, J.; Del Guercio, M.F.; Sette, A. Pan DR binding sequence provides T-cell help for induction of protective antibodies against Plasmodium yoelii sporozoites. Vaccine 1999, 17, 1201–1205. [Google Scholar] [CrossRef] [PubMed]
- Leng, C.L.; An, T.Q.; Chen, J.Z.; Gong, D.Q.; Peng, J.M.; Yang, Y.Q.; Wu, J.; Guo, J.J.; Li, D.Y.; Zhang, Y.; et al. Highly pathogenic porcine reproductive and respiratory syndrome virus GP5 B antigenic region is not a neutralizing antigenic region. Vet. Microbiol. 2012, 159, 273–281. [Google Scholar] [CrossRef] [PubMed]
- Li, J.; Murtaugh, M.P. Dissociation of porcine reproductive and respiratory syndrome virus neutralization from antibodies specific to major envelope protein surface epitopes. Virology 2012, 433, 367–376. [Google Scholar] [CrossRef] [PubMed]
- Chen, C.; Li, J.; Bi, Y.; Yang, L.; Meng, S.; Zhou, Y.; Jia, X.; Meng, S.; Sun, L.; Liu, W. Synthetic B- and T-cell epitope peptides of porcine reproductive and respiratory syndrome virus with Gp96 as adjuvant induced humoral and cell-mediated immunity. Vaccine 2013, 31, 1838–1847. [Google Scholar] [CrossRef] [PubMed]
© 2015 by the authors; licensee MDPI, Basel, Switzerland. This article is an open access article distributed under the terms and conditions of the Creative Commons Attribution license (http://creativecommons.org/licenses/by/4.0/).
Share and Cite
Murthy, A.M.V.; Ni, Y.; Meng, X.; Zhang, C. Production and Evaluation of Virus-Like Particles Displaying Immunogenic Epitopes of Porcine Reproductive and Respiratory Syndrome Virus (PRRSV). Int. J. Mol. Sci. 2015, 16, 8382-8396. https://doi.org/10.3390/ijms16048382
Murthy AMV, Ni Y, Meng X, Zhang C. Production and Evaluation of Virus-Like Particles Displaying Immunogenic Epitopes of Porcine Reproductive and Respiratory Syndrome Virus (PRRSV). International Journal of Molecular Sciences. 2015; 16(4):8382-8396. https://doi.org/10.3390/ijms16048382
Chicago/Turabian StyleMurthy, Ambika Mosale Venkatesh, Yanyan Ni, Xiangjin Meng, and Chenming Zhang. 2015. "Production and Evaluation of Virus-Like Particles Displaying Immunogenic Epitopes of Porcine Reproductive and Respiratory Syndrome Virus (PRRSV)" International Journal of Molecular Sciences 16, no. 4: 8382-8396. https://doi.org/10.3390/ijms16048382
APA StyleMurthy, A. M. V., Ni, Y., Meng, X., & Zhang, C. (2015). Production and Evaluation of Virus-Like Particles Displaying Immunogenic Epitopes of Porcine Reproductive and Respiratory Syndrome Virus (PRRSV). International Journal of Molecular Sciences, 16(4), 8382-8396. https://doi.org/10.3390/ijms16048382
