The Safety and Anti-Tumor Effects of Ozonated Water in Vivo
Abstract
:1. Introduction
2. Results and Discussion
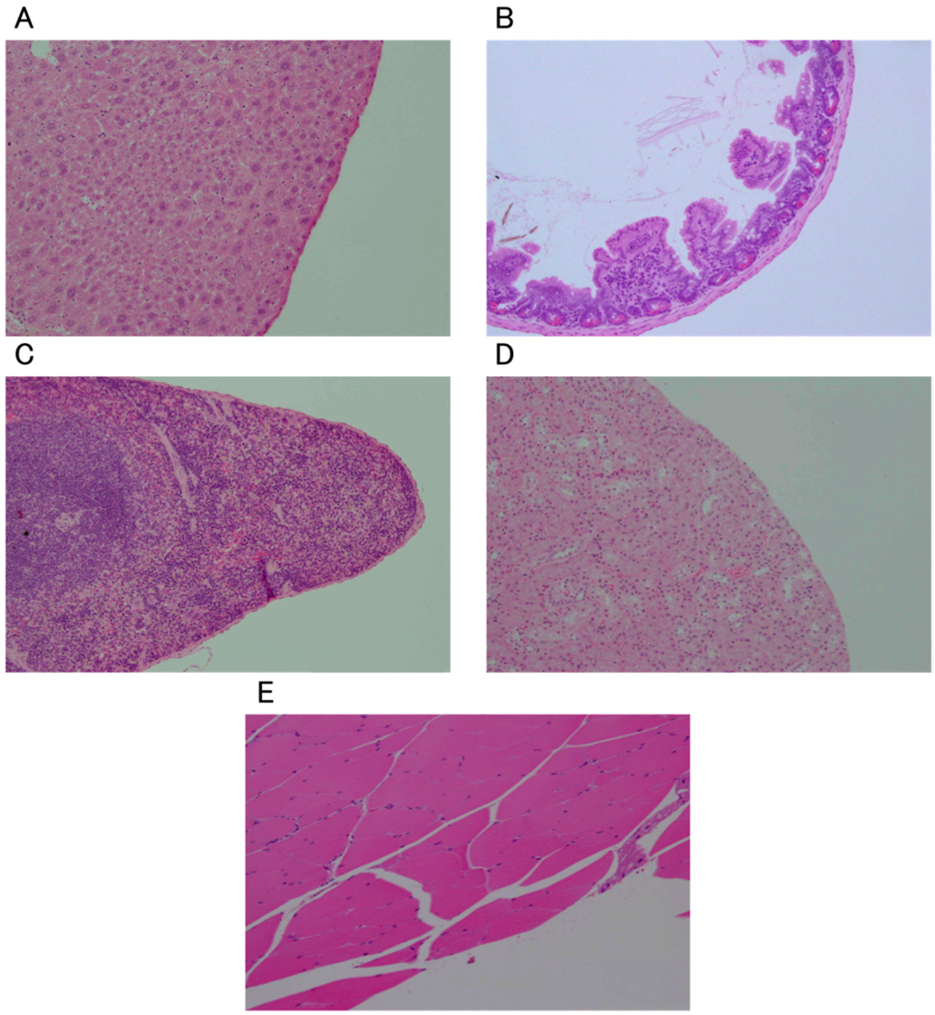
2.1. Effects of Administration of Ozonated Water into Normal Tissue


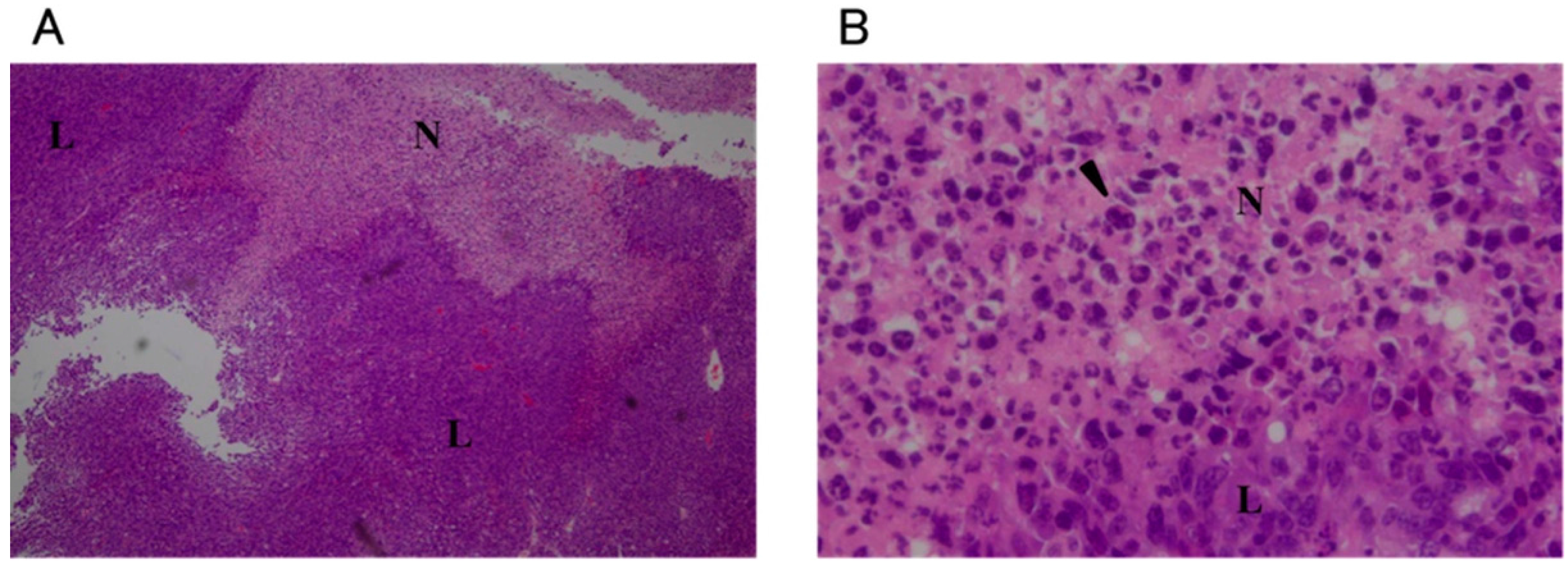
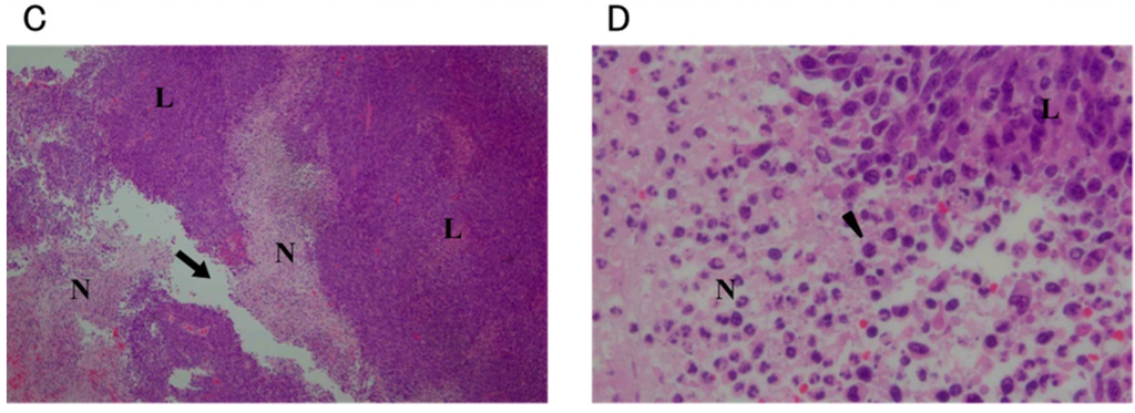
2.2. Concentration and Time-Dependent Effects of Ozonated Water after Local Injection in Tumor Tissue




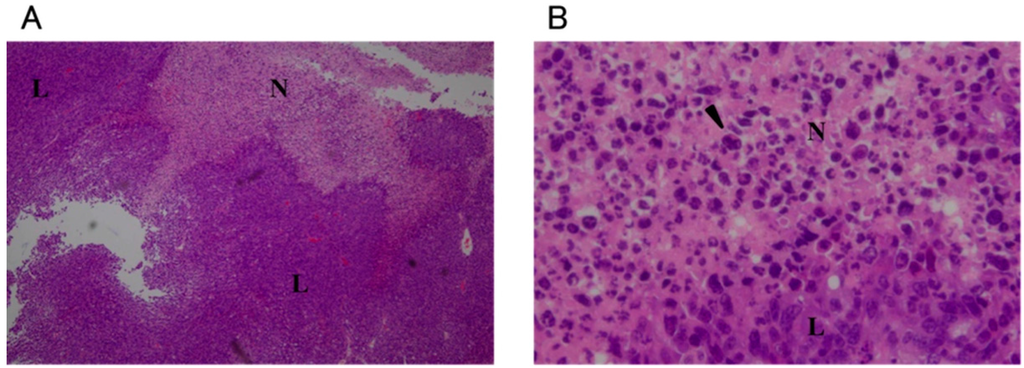
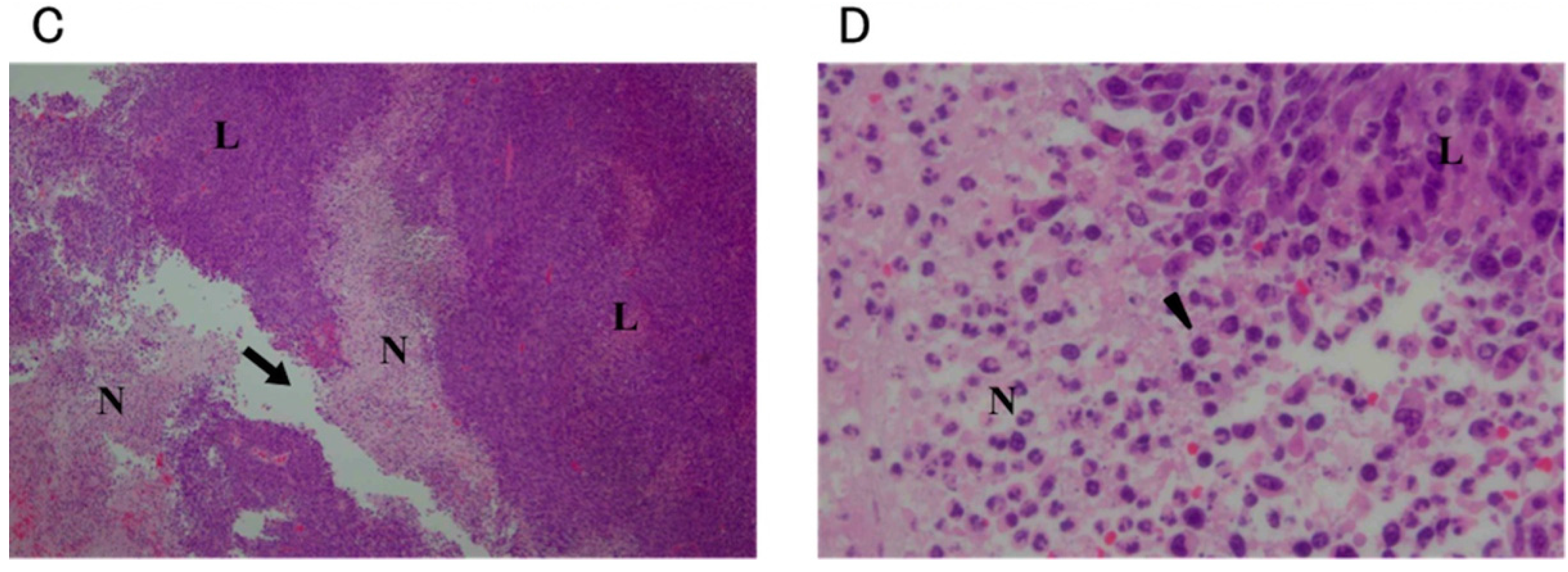
2.3. The Effects of Local Administration of Ozonated Water on Tumor Growth


| Staining | NT | C | O3 |
|---|---|---|---|
| TUNEL positive cells (cells/field) | 7.92 ± 0.63 | 9.24 ± 0.61 | 9.34 ± 1.02 |
2.4. Discussion
3. Experimental Section
3.1. Preparation of Ozonated Water
3.2. Animals
3.3. Preparation of the Tumor-Bearing Mouse Model
3.4. Effects of Administration of Ozonated Water into Normal Tissue
3.5. Concentration and Time-Dependent Effects of Ozonated Water after Local Injection in Tumor Tissue
3.6. The Effects of Local Administration of Ozonated Water on Tumor Growth
3.7. Histological Evaluation and Image Analysis
3.8. Statistical Analysis
4. Conclusions
Author Contributions
Conflicts of Interest
References
- Viebahn-Haensler, R.; Lee, A. The Use of Ozone in Medicine; ODREI-Publishers: Iffezheim, Germany, 2007; pp. 1–30. [Google Scholar]
- Nogales, C.G.; Ferrari, P.H.; Kantorovich, E.O.; Lage-Marques, J.L. Ozone therapy in medicine and dentistry. J. Contemp. Dent. Pract. 2008, 9, 75–84. [Google Scholar] [PubMed]
- Clavo, B.; Pérez, J.L.; López, L.; Suárez, G.; Lloret, M.; Rodríguez, V.; Macías, D.; Santana, M.; Hernández, M.A.; Martín-Oliva, R.; et al. Ozone therapy for tumor oxygenation: A pilot study. Evid. Based Complement. Altern. Med. 2004, 1, 93–98. [Google Scholar] [CrossRef] [PubMed]
- Clavo, B.; Ruiz, A.; Lloret, M.; López, L.; Suárez, G.; Macías, D.; Rodríguez, V.; Hernández, M.A.; Martín-Oliva, R.; Quintero, S.; et al. Adjuvant ozonetherapy in advanced head and neck tumors: A comparative study. Evid. Based Complement. Altern. Med. 2004, 1, 321–325. [Google Scholar] [CrossRef] [PubMed]
- Sweet, F.; Kao, M.; Lee, S.; Hagar, W.; Sweet, W. Ozone selectively inhibits growth of human cancer cells. Science 1980, 209, 931–933. [Google Scholar] [CrossRef] [PubMed]
- Bucci, B.; Cannizzaro, A.; Brunetti, E.; Martinelli, M. Ozone treatment inhibits proliferation in human neuroblastoma SK-N-SH cells. Rivista Italiana di Ossigeno-Ozonoterapia 2006, 5, 85–92. [Google Scholar]
- Bhalla, D.K. Ozone-induced lung inflammation and mucosal barrier disruption: Toxicology, mechanisms, and implications. J. Toxicol. Environ. Health. B Crit. Rev. 1999, 2, 31–86. [Google Scholar] [CrossRef] [PubMed]
- Pryor, W.A.; Squadrito, G.L.; Friedman, M. The cascade mechanism to explain ozone toxicity: The role of lipid ozonation products. Free Radic. Biol. Med. 1995, 19, 935–941. [Google Scholar] [CrossRef]
- Azuma, K.; Mori, T.; Kawamoto, K.; Kuroda, K.; Tsuka, T.; Imagawa, T.; Osaki, T.; Itoh, F.; Minami, S.; Okamoto, Y. Anti-inflammatory effects of ozonated water in an experimental mouse model. Biomed. Rep. 2014, 2, 671–674. [Google Scholar] [CrossRef] [PubMed]
- Scott, D.B.; Lesher, E.C. Effect of ozone on survival and permeability of Escherichia coli. J. Bacteriol. 1963, 85, 567–576. [Google Scholar] [PubMed]
- Restaino, L.; Frampton, E.W.; Hemphill, J.B.; Palnikar, P. Efficacy of ozonated water against various food-related microorganisms. Appl. Environ. Microbiol. 1995, 61, 3471–3475. [Google Scholar] [PubMed]
- Ozmen, V.; Thomas, W.O.; Healy, J.T.; Fish, J.M.; Chambers, R.; Tacchi, E.; Nichols, R.L.; Flint, L.M.; Ferrara, J.J. Irrigation of the abdominal cavity in the treatment of experimentally induced microbial peritonitis: Efficacy of ozonated saline. Am. Surg. 1993, 59, 297–303. [Google Scholar] [PubMed]
- Ahmad, I.M.; Aykin-Burns, N.; Sim, J.E.; Walsh, S.A.; Higashikubo, R.; Buettner, G.R.; Venkataraman, S.; Mackey, M.A.; Flanagan, S.W.; Oberley, L.W.; et al. Mitochondrial O2·− and H2O2 mediate glucose deprivation-induced stress in human cancer cells. J. Biol. Chem. 2005, 280, 4254–4263. [Google Scholar] [CrossRef] [PubMed]
- Alegria, A.E.; Samuni, A.; Mitchell, J.B.; Riesz, P.; Russo, A. Free radicals induced by adriamycin-sensitive and adriamycin-resistant cells: A spin-trapping study. Biochemistry 1989, 28, 8653–8658. [Google Scholar] [CrossRef] [PubMed]
- Sasada, T.; Iwata, S.; Sato, N.; Kitaoka, Y.; Hirota, K.; Nakamura, K.; Nishiyama, A.; Taniguchi, Y.; Takabayashi, A.; Yodoi, J. Redox control of resistance to cis-diamminedichloroplatinum (II) (CDDP): Protective effect of human thioredoxin against CDDP-induced cytotoxicity. J. Clin. Investig. 1996, 97, 2268–2276. [Google Scholar] [CrossRef] [PubMed]
- Chen, Q.; Espey, M.G.; Sun, A.Y.; Pooput, C.; Kirk, K.L.; Krishna, M.C.; Khosh, D.B.; Drisko, J.; Levine, M. Pharmacologic doses of ascorbate act as a prooxidant and decrease growth of aggressive tumor xenografts in mice. Proc. Natl. Acad. Sci. USA 2008, 105, 11105–11109. [Google Scholar] [CrossRef] [PubMed]
- Bayr, H. Reactive oxygen species. Crit. Care Med. 2005, 33 (Suppl.), S498–S501. [Google Scholar] [CrossRef]
- Gille, J.J.P.; van Berkel, C.G.M. Mutagenicity of metabolic oxygen radicals in mammalian cell cultures. Carcinogenesis 1994, 15, 2695–2699. [Google Scholar] [CrossRef] [PubMed]
- Halliwell, B. Oxygen and nitrogen are pro-carcinogens. Damage to DNA by reactive oxygen, chlorine and nitrogen species: Measurement, mechanism and the effects of nutrition. Mutat. Res. Toxicol. Environ. Mutagen. 1999, 443, 37–52. [Google Scholar] [CrossRef]
- Bocci, V.; Valacchi, G.; Corradeschi, F.; Aldinucci, C.; Silvestri, S.; Paccagnini, E.; Gerli, R. Studies on the biological effects of ozone: 7. Generation of reactive oxygen species (ROS) after exposure of human blood to ozone. J. Biol. Regul. Homeost. Agents 1998, 12, 67–75. [Google Scholar] [PubMed]
- Ghaemi-Oskouie, F.; Shi, Y. The role of uric acid as an endogenous danger signal in immunity and inflammation. Curr. Rheumatol. Rep. 2011, 13, 160–166. [Google Scholar] [CrossRef] [PubMed]
- Gallucci, S.; Matzinger, P. Danger signals: SOS to the immune system. Curr. Opin. Immunol. 2001, 13, 114–119. [Google Scholar] [CrossRef]
- Scaffidi, P.; Misteli, T.; Bianchi, M.E. Release of chromatin protein HMGB1 by necrotic cells triggers inflammation. Nature 2002, 418, 191–195. [Google Scholar] [CrossRef] [PubMed]
- Matzinger, P. The danger model: A renewed sense of self. Science 2002, 296, 301–305. [Google Scholar] [CrossRef] [PubMed]
- Sabel, M.S.; Su, G.; Griffith, K.A.; Chang, A.E. Rate of freeze alters the immunologic response after cryoablation of breast cancer. Ann. Surg. Oncol. 2010, 17, 1187–1193. [Google Scholar] [CrossRef] [PubMed]
- Bocci, V.; Paulesu, L. Studies on the biological effects of ozone 1. Induction of interferon γ on human leucocytes. Haematologica 1990, 75, 510–515. [Google Scholar] [PubMed]
- Paulesu, L.; Luzzi, E.; Bocci, V. Studies on the biological effects of ozone: 2. Induction of tumor necrosis factor (TNF-α) on human leucocytes. Lymphokine Cytokine Res. 1991, 10, 409–412. [Google Scholar] [PubMed]
- Valacchi, G.; Bocci, V. Studies on the biological effects of ozone: 10. Release of factors from ozonated human platelets. Mediat. Inflamm. 1999, 8, 205–209. [Google Scholar] [CrossRef] [PubMed]
- Bocci, V.; Aldinucci, C.; Mosci, F.; Carraro, F.; Valacchi, G. Ozonation of human blood induces a remarkable upregulation of heme oxygenase-1 and heat stress protein-70. Mediat. Inflamm. 2007, 2007, 26785. [Google Scholar] [CrossRef] [PubMed]
- Brown, T.D.; Goodman, P.J.; Fleming, T.; Macdonald, J.S.; Craig, J.B.; Einstein, A.B. Phase II trial of amonafide in advanced colorectal cancer: A southwest oncology group study. Anticancer Drugs 1993, 4, 49–50. [Google Scholar] [PubMed]
- Aulitzky, W.; Lerche, J.; Thews, A.; Lüttichau, I.; Jacobi, N.; Herold, M.; Aulitzky, W.; Peschel, C.; Stöckle, M.; Steinbach, F.; et al. Low-dose γ-interferon therapy is ineffective in renal cell carcinoma patients with large tumour burden. Eur. J. Cancer 1994, 30, 940–945. [Google Scholar] [CrossRef]
- Kaplan, D.H.; Shankaran, V.; Dighe, A.S.; Stockert, E.; Aguet, M.; Old, L.J.; Schreiber, R.D. Demonstration of an interferon-dependent tumor surveillance system in immunocompetent mice. Proc. Natl. Acad. Sci. USA 1998, 95, 7556–7561. [Google Scholar] [CrossRef] [PubMed]
- Bonnem, E.M. α Interferon: The potential drug of adjuvant therapy: Past achievements and future challenges. Eur. J. Cancer Clin. Oncol. 1991, 27, S2–S6. [Google Scholar] [CrossRef]
- Richtsmeier, W.J.; Koch, W.M.; McGuire, W.P.; Poole, M.E.; Chang, E.H. Phase I–II study of advanced head and neck squamous cell carcinoma patients treated with recombinant human interferon γ. Arch. Otolaryngol. Head Neck Surg. 1990, 116, 1271–1277. [Google Scholar] [CrossRef] [PubMed]
- Nitta, M.; Azuma, K.; Hata, K.; Takahashi, S.; Ogiwara, K.; Tsuka, T.; Imagawa, T.; Yokoe, I.; Osaki, T.; Minami, S.; et al. Systemic and local injections of lupeol inhibit tumor growth in a melanoma-bearing mouse model. Biomed. Rep. 2013, 1, 641–645. [Google Scholar] [PubMed]
- Azuma, K.; Ishihara, T.; Nakamoto, H.; Amaha, T.; Osaki, T.; Tsuka, T.; Imagawa, T.; Minami, S.; Takashima, O.; Ifuku, S.; et al. Effects of oral administration of fucoidan extracted from Cladosiphon okamuranus on tumor growth and survival time in a tumor-bearing mouse model. Mar. Drugs 2012, 10, 2337–2348. [Google Scholar] [CrossRef] [PubMed]
© 2015 by the authors; licensee MDPI, Basel, Switzerland. This article is an open access article distributed under the terms and conditions of the Creative Commons Attribution license (http://creativecommons.org/licenses/by/4.0/).
Share and Cite
Kuroda, K.; Azuma, K.; Mori, T.; Kawamoto, K.; Murahata, Y.; Tsuka, T.; Osaki, T.; Ito, N.; Imagawa, T.; Itoh, F.; et al. The Safety and Anti-Tumor Effects of Ozonated Water in Vivo. Int. J. Mol. Sci. 2015, 16, 25108-25120. https://doi.org/10.3390/ijms161025108
Kuroda K, Azuma K, Mori T, Kawamoto K, Murahata Y, Tsuka T, Osaki T, Ito N, Imagawa T, Itoh F, et al. The Safety and Anti-Tumor Effects of Ozonated Water in Vivo. International Journal of Molecular Sciences. 2015; 16(10):25108-25120. https://doi.org/10.3390/ijms161025108
Chicago/Turabian StyleKuroda, Kohei, Kazuo Azuma, Takuro Mori, Kinya Kawamoto, Yusuke Murahata, Takeshi Tsuka, Tomohiro Osaki, Norihiko Ito, Tomohiro Imagawa, Fumio Itoh, and et al. 2015. "The Safety and Anti-Tumor Effects of Ozonated Water in Vivo" International Journal of Molecular Sciences 16, no. 10: 25108-25120. https://doi.org/10.3390/ijms161025108
APA StyleKuroda, K., Azuma, K., Mori, T., Kawamoto, K., Murahata, Y., Tsuka, T., Osaki, T., Ito, N., Imagawa, T., Itoh, F., & Okamoto, Y. (2015). The Safety and Anti-Tumor Effects of Ozonated Water in Vivo. International Journal of Molecular Sciences, 16(10), 25108-25120. https://doi.org/10.3390/ijms161025108
