HER-2 Expression in Brain Metastases from Colorectal Cancer and Corresponding Primary Tumors: A Case Cohort Series
Abstract
:1. Background
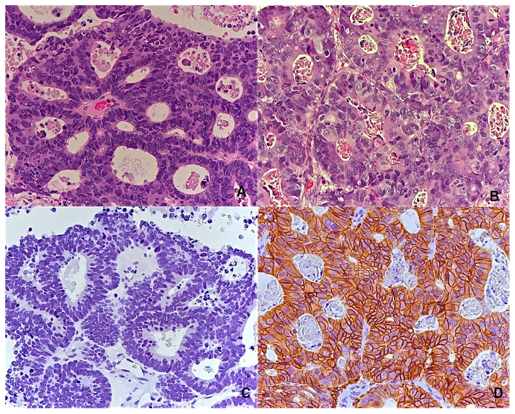
2. Results
3. Discussion
4. Materials and Methods
4.1. Patients and Tissue
4.2. Tissue and Immunohistochemistry (IHC)
4.3. Statistical Analysis
5. Conclusions
Acknowledgements
Conflict of Interest
References
- Menis, J.; Fontanella, C.; Follador, A.; Fasola, G.; Aprile, G. Brain metastases from gastrointestinal tumours: Tailoring the approach to maximize the outcome. Crit. Rev. Oncol. Hematol 2013, 85, 32–44. [Google Scholar]
- Kopetz, S.; Chang, G.J.; Overman, M.J.; Eng, C.; Sargent, D.J.; Larson, D.W.; Grothey, A.; Vauthey, J.N.; Nagorney, D.M.; McWilliams, R.R. Improved survival in metastatic colorectal cancer is associated with adoption of hepatic resection and improved chemotherapy. J. Clin. Oncol 2009, 27, 3677–3683. [Google Scholar]
- Byrne, B.E.; Geddes, T.; Welsh, F.K.; John, T.G.; Chandrakumaran, K.; Rees, M. The incidence and outcome of brain metastases after liver resection for colorectal cancer metastases. Colorectal. Dis 2012, 14, 721–726. [Google Scholar]
- Davies, J.M.; Goldberg, R.M. Treatment of metastatic colorectal cancer. Semin. Oncol 2011, 38, 552–560. [Google Scholar]
- Rees, M.; Tekkis, P.P.; Welsh, F.K.; O’Rourke, T.; John, T.G. Evaluation of long-term survival after hepatic resection for metastatic colorectal cancer: A multifactorial model of 929 patients. Ann. Surg 2008, 247, 125–135. [Google Scholar]
- Riquet, M.; Foucault, C.; Cazes, A.; Mitry, E.; Dujon, A.; Le Pimpec Barthes, F.; Médioni, J.; Rougier, P. Pulmonary resection for metastases of colorectal adenocarcinoma. Ann. Thorac. Surg 2010, 89, 375–380. [Google Scholar]
- Cunningham, D.; Atkin, W.; Lenz, H.J.; Lynch, H.T.; Minsky, B.; Nordlinger, B.; Starling, N. Colorectal cancer. Lancet 2010, 375, 1030–1047. [Google Scholar]
- Fokas, E.; Henzel, M.; Hamm, K.; Surber, G.; Kleinert, G.; Engenhart-Cabillic, R. Multidisciplinary treatment of brain metastases derived from colorectal cancer incorporating stereotactic radiosurgery: Analysis of 78 patients. Clin. Colorectal. Cancer 2011, 10, 121–125. [Google Scholar]
- Baek, J.Y.; Kang, M.H.; Hong, Y.S.; Kim, T.W.; Kim, D.Y.; Oh, J.H.; Lee, S.H.; Park, J.H.; Kim, J.H.; Kim, S.Y. Characteristics and prognosis of patients with colorectal cancer-associated brain metastases in the era of modern systemic chemotherapy. J. Neurooncol 2011, 104, 745–753. [Google Scholar]
- Go, P.H.; Klaassen, Z.; Meadows, M.C.; Chamberlain, R.S. Gastrointestinal cancer and brain metastasis: A rare and ominous sign. Cancer 2011, 117, 3630–3640. [Google Scholar]
- Aprile, G.; Zanon, E.; Tuniz, F.; Iaiza, E.; De Pauli, F.; Pella, N.; Pizzolitto, S.; Buffoli, A.; Piga, A.; Skrap, M.; Fasola, G. Neurosurgical management and postoperative whole-brain radiotherapy for colorectal cancer patients with symptomatic brain metastases. J. Cancer Res. Clin 2009, 135, 451–457. [Google Scholar]
- Slamon, D.J.; Godolphin, W.; Jones, L.A.; Holt, J.A.; Wong, S.G.; Keith, D.E.; Levin, W.J.; Stuart, S.G.; Udove, J.; Ullrich, A. Studies of the HER-2/neu proto-oncogene in human breast and ovarian cancer. Science 1989, 244, 707–712. [Google Scholar]
- Niikura, N.; Liu, J.; Hayashi, N.; Mittendorf, E.A.; Gong, Y.; Palla, S.L.; Tokuda, Y.; Gonzalez-Angulo, A.M.; Hortobagyi, G.N.; Ueno, N.T. Loss of human epidermal growth factor receptor 2 (HER2) expression in metastatic sites of HER2-overexpressing primary breast tumors. J. Clin. Oncol 2012, 30, 593–599. [Google Scholar]
- Brien, T.P.; Odze, R.D.; Sheehan, C.E.; McKenna, B.J.; Ross, J.S. HER-2/neu gene amplification by FISH predicts poor survival in Barrett’s esophagus-associated adenocarcinoma. Hum. Pathol 2000, 31, 35–39. [Google Scholar]
- Polkowski, W.; van Sandick, J.W.; Offerhaus, G.J.; ten Kate, F.J.; Mulder, J.; Obertop, H.; van Lanschot, J.J. Prognostic value of Laurén classification and c-erbB-2 oncogene overexpression in adenocarcinoma of the esophagus and gastroesophageal junction. Ann. Surg. Oncol 1999, 6, 290–297. [Google Scholar]
- Allgayer, H.; Babic, R.; Gruetzner, K.U.; Tarabichi, A.; Schildberg, F.W.; Heiss, M.M. C-erbB-2 is of independent prognostic relevance in gastric cancer and is associated with the expression of tumor-associated protease systems. J. Clin. Oncol 2000, 18, 2201–2219. [Google Scholar]
- Bozzetti, C.; Negri, F.V.; Lagrasta, C.A.; Crafa, P.; Bassano, C.; Tamagnini, I.; Gardini, G.; Nizzoli, R.; Leonardi, F.; Gasparro, D.; et al. Comparison of HER2 status in primary and paired metastatic sites of gastric carcinoma. Br. J. Cancer 2011, 104, 1372–1376. [Google Scholar]
- Jørgensen, J.T.; Hersom, M. HER2 as a prognostic marker in gastric cancer—A systematic analysis of data from the literature. J. Cancer 2012, 3, 137–144. [Google Scholar]
- Lastraioli, E.; Raffaella Romoli, M.; Arcangeli, A. Immunohistochemical biomarkers in gastric cancer research and management. Int. J. Surg. Oncol 2012, 2012, 868645. [Google Scholar]
- Hilton, D.A.; West, K.P. C-erbB-2 oncogene product expression and prognosis in gastric carcinoma. J. Clin. Pathol 1992, 45, 454–456. [Google Scholar]
- Grabsch, H.; Sivakumar, S.; Gray, S.; Gabbert, H.E.; Müller, W. HER2 expression in gastric cancer: Rare, heterogeneous and of no prognostic value—Conclusions from 924 cases of two independent series. Cell Oncol 2010, 32, 57–65. [Google Scholar]
- Bos, P.D.; Zhang, X.H.; Nadal, C.; Shu, W.; Gomis, R.R.; Nguyen, D.X.; Minn, A.J.; van de Vijver, M.J.; Gerald, W.L.; Foekens, J.A.; et al. Genes that mediate breast cancer metastasis to the brain. Nature 2009, 459, 1005–1009. [Google Scholar]
- Palmieri, D.; Bronder, J.L.; Herring, J.M.; Yoneda, T.; Weil, R.J.; Stark, A.M.; Kurek, R.; Vega-Valle, E.; Feigenbaum, L.; Halverson, D.; et al. Her-2 overexpression increases the metastatic outgrowth of breast cancer cells in the brain. Cancer Res 2007, 67, 4190–4198. [Google Scholar]
- Park, Y.H.; Park, M.J.; Ji, S.H.; Yi, S.Y.; Lim, D.H.; Nam, D.H.; Lee, J.I.; Park, W.; Choi, D.H.; Huh, S.J.; et al. Trastuzumab treatment improves brain metastasis outcomes through control and durable prolongation of systemic extracranial disease in HER2-overexpressing breast cancer patients. Br. J. Cancer 2009, 100, 894–900. [Google Scholar]
- Arvold, N.D.; Oh, K.S.; Niemierko, A.; Taghian, A.G.; Lin, N.U.; Abi-Raad, R.F.; Sreedhara, M.; Harris, J.R.; Alexander, B.M. Brain metastases after breast-conserving therapy and systemic therapy: incidence and characteristics by biologic subtype. Breast Cancer Res. Treat 2012, 136, 153–160. [Google Scholar]
- Heitz, F.; Harter, P.; Lueck, H.J.; Fissler-Eckhoff, A.; Lorenz-Salehi, F.; Scheil-Bertram, S.; Traut, A.; du Bois, A. Triple-negative and HER2-overexpressing breast cancers exhibit an elevated risk and an earlier occurrence of cerebral metastases. Eur. J. Cancer 2009, 45, 2792–2798. [Google Scholar]
- Kennecke, H.; Yerushalmi, R.; Woods, R. Metastatic behavior of breast cancer subtypes. J. Clin. Oncol 2010, 28, 3271–3277. [Google Scholar]
- Abu Hejleh, T.; Deyoung, B.R.; Engelman, E.; Deutsch, J.M.; Zimmerman, B.; Halfdanarson, T.R.; Berg, D.J.; Parekh, K.R.; Lynch, W.R.; Iannettoni, M.D.; et al. Relationship between HER-2 overexpression and brain metastasis in esophageal cancer patients. World J. Gastrointest Oncol 2012, 4, 103–108. [Google Scholar]
- Ooi, A.; Takehana, T.; Li, X.; Suzuki, S.; Kunitomo, K.; Iino, H.; Fujii, H.; Takeda, Y.; Dobashi, Y. Protein overexpression and gene amplification of HER-2 and EGFR in colorectal cancers: An immunohistochemical and fluorescent in situ hybridization study. Mod. Pathol 2004, 17, 895–904. [Google Scholar]
- Al-Kuraya, K.; Novotny, H.; Bavi, P.; Siraj, A.K.; Uddin, S.; Ezzat, A.; Sanea, N.A.; Al-Dayel, F.; Al-Mana, H.; Sheikh, S.S.; et al. HER2, TOP2A, CCND1, EGFR and C-MYC oncogene amplification in colorectal cancer. J. Clin. Pathol 2007, 60, 768–772. [Google Scholar]
- Marx, A.H.; Burandt, E.C.; Choschzick, M.; Simon, R.; Yekebas, E.; Kaifi, J.T.; Mirlacher, M.; Atanackovic, D.; Bokemeyer, C.; Fiedler, W.; et al. Heterogenous high-level HER-2 amplification in a small subset of colorectal cancers. Hum. Pathol 2010, 41, 1577–1585. [Google Scholar]
- Ramanathan, R.K.; Hwang, J.J.; Zamboni, W.C.; Sinicrope, F.A.; Safran, H.; Wong, M.K.; Earle, M.; Brufsky, A.; Evans, T.; Troetschel, M.; et al. Low overexpression of HER-2/neu in advanced colorectal cancer limits the usefulness of trastuzumab (Herceptin) and irinotecan as therapy. A phase II trial. Cancer Invest 2004, 22, 858–865. [Google Scholar]
- Clark, J.W.; Niedzwiecki, D.; Hollis, D. Phase II trial of 5-fluororuacil (5-FU), leucovorin (LV), oxaliplatin (Ox), and trastuzumab (T) for patients with metastatic colorectal cancer (CRC) refractory to initial therapy. Proc. Am. Soc. Clin. Oncol 2003, 22, (abstr 3584). [Google Scholar]
- Frank, D.; Jumonville, A.; Loconte, N.K.; Schelman, W.R.; Mulkerin, D.; Lubner, S.; Richter, K.; Winterle, N.; Wims, M.B.; Dietrich, L.; et al. A phase II study of capecitabine and lapatinib in advanced refractory colorectal adenocarcinoma: A wisconsin oncology network study. J. Gastrointest Oncol 2012, 3, 90–96. [Google Scholar]
- Learn, P.A.; Krishnegowda, N.; Talamantez, J.; Kahlenberg, M.S. Compensatory increases in Her-2/neu activation in response to EGFR tyrosine kinase inhibition in colon cancer cell lines. J. Surg. Res 2006, 136, 227–231. [Google Scholar]
- Bertotti, A.; Migliardi, G.; Galimi, F.; Sassi, F.; Torti, D.; Isella, C.; Corà, D.; Di Nicolantonio, F.; Buscarino, M.; Petti, C.; et al. A molecularly annotated platform of patient-derived xenografts (“xenopatients”) identifies HER2 as an effective therapeutic target in cetuximab-resistant colorectal cancer. Cancer Discov 2011, 1, 508–523. [Google Scholar]
- Barbara, C.; Martin, V.; Molinari, F.; Landi, L.; Alice Riva, A.; Saletti, P.; de Dosso, S.; Geva, R.; Tejpar, S.; Fountzilas, G.; et al. Use of HER2 gene amplification to identify patients with metastatic colorectal cancer resistant to anti-EGFR monoclonal antibodies. J. Clin. Oncol 2012, 30, abstr 474. [Google Scholar]
- Conradi, L.C.; Styczen, H.; Sprenger, T.; Becker, H.; Ghadimi, M.B.; Beissbarth, T.; Middel, P.; Liersch, T. HER2/neu expression in locally advanced rectal cancer cUICC II/III and its correlation with long-term prognosis. J. Clin. Oncol. 2012, 30, abstr 493. [Google Scholar]
- Musolino, A.; Ciccolallo, L.; Panebianco, M.; Fontana, E.; Zanoni, D.; Bozzetti, C.; Michiara, M.; Silini, E.M.; Ardizzoni, A. Multifactorial central nervous system recurrence susceptibility in patients with HER2-positive breast cancer: Epidemiological and clinical data from a population-based cancer registry study. Cancer 2011, 117, 1837–1846. [Google Scholar]
- Duchnowska, R.; Biernat, W.; Szostakiewicz, B.; Sperinde, J.; Piette, F.; Haddad, M.; Paquet, A.; Lie, Y.; Czartoryska-Arłukowicz, B.; Wysocki, P.; et al. Correlation between quantitative HER-2 protein expression and risk for brain metastases in HER-2+ advanced breast cancer patients receiving trastuzumab-containing therapy. Oncologist 2012, 17, 26–35. [Google Scholar]
- Bang, Y.J.; Van Cutsem, E.; Feyereislova, A.; Chung, H.C.; Shen, L.; Sawaki, A.; Lordick, F.; Ohtsu, A.; Omuro, Y.; Satoh, T.; et al. Trastuzumab in combination with chemotherapy versus chemotherapy alone for treatment of HER2-positive advanced gastric or gastro-esophageal junction cancer (ToGA): A phase 3, open-label, randomised controlled trial. Lancet 2010, 376, 687–697. [Google Scholar]
- Kim, M.A.; Lee, H.J.; Yang, H.K.; Bang, Y.J.; Kim, W.H. Heterogeneous amplification of ERBB2 in primary lesions is responsible for the discordant ERBB2 status of primary and metastatic lesions in gastric carcinoma. Histopathology 2011, 59, 822–831. [Google Scholar]
- Kavanagh, D.O.; Chambers, G.; O’Grady, L.; Barry, K.M.; Waldron, R.P.; Bennani, F.; Eustace, P.W.; Tobbia, I. Is overexpression of HER-2 a predictor of prognosis in colorectal cancer? BMC Cancer 2009, 9. [Google Scholar] [CrossRef]
- Wang, J.; Hollingshead, J.; El-Masry, N.; Horncastle, D.; Talbot, I.; Tomlinson, I.; Alison, M.R.; El-Bahrawy, M. Expression of EGFR, HER2, phosphorylated ERK and phosphorylated MEK in colonic neoplasms of familial adenomatous polyposis patients. J. Gastrointest Cancer 2012, 43, 444–455. [Google Scholar]
- Gancberg, D.; Di Leo, A.; Cardoso, F.; Rouas, G.; Pedrocchi, M.; Paesmans, M.; Verhest, A.; Bernard-Marty, C.; Piccart, M.J.; Larsimont, D. Comparison of HER-2 status between primary breast cancer and corresponding distant metastatic sites. Ann. Oncol 2002, 13, 1036–1043. [Google Scholar]
- Fuchs, I.B.; Loebbecke, M.; Buhler, H.; Stoltenburg-Didinger, G.; Heine, B.; Lichtenegger, W.; Schaller, G. HER2 in brain metastases: Issues of concordance, survival, and treatment. J. Clin. Oncol 2002, 19, 4130–4133. [Google Scholar]
- Half, E.; Broaddus, R.; Danenberg, K.D.; Danenberg, P.V.; Ayers, G.D.; Sinicrope, F.A. HER-2 receptor expression, localization, and activation in colorectal cancer cell lines and human tumors. Int. J. Cancer 2004, 108, 540–548. [Google Scholar]
- Kapitanović, S.; Radosević, S.; Kapitanović, M.; Andelinović, S.; Ferencić, Z.; Tavassoli, M.; Primorać, D.; Sonicki, Z.; Spaventi, S.; Pavelic, K.; et al. The expression of p185 (HER-2/neu) correlates with the stage of disease and survival in colorectal cancer. Gastroenterology 1997, 112, 1103–1113. [Google Scholar]
- Osako, T.; Miyahara, M.; Uchino, S.; Inomata, M.; Kitano, S.; Kobayashi, M. Immunohistochemical study of c-erbB-2 protein in colorectal cancer and the correlation with patient survival. Oncology 1998, 55, 548–555. [Google Scholar]
- Park, D.I.; Kang, M.S.; Oh, S.J.; Kim, H.J.; Cho, Y.K.; Sohn, C.I.; Jeon, W.K.; Kim, B.I.; Han, W.K.; Kim, H.; et al. HER-2/neu overexpression is an independent prognostic factor in colorectal cancer. Int. J. Colorectal. Dis 2007, 22, 491–497. [Google Scholar]
- Nathanson, D.R.; Nash, G.M.; Chen, B.; Gerald, W.; Paty, P.B. Detection of HER-2/neu gene amplification in breast cancer using a novel polymerase chain reaction/ligase detection reaction technique. J. Am. Coll. Surg 2003, 197, 419–425. [Google Scholar]
- Radinsky, R.; Risin, S.; Fan, D.; Dong, Z.; Bielenberg, D.; Bucana, C.D.; Fidler, I.J. Level and function of epidermal growth factor receptor predict the metastatic potential of human colon carcinoma cells. Clin. Cancer Res 1995, 1, 19–31. [Google Scholar]
- Rüschoff, J.; Dietel, M.; Baretton, G.; Arbogast, S.; Walch, A.; Monges, G.; Chenard, M.P.; Penault-Llorca, F.; Nagelmeier, I.; Schlake, W.; et al. HER2 diagnostics in gastric cancer—Guideline validation and development of standardized immunohistochemical testing. Virchows Arch 2010, 457, 299–307. [Google Scholar]
- Pestalozzi, B.C.; Brignoli, S. Trastuzumab in CSF. J. Clin. Oncol 2000, 18, 2349–2351. [Google Scholar]
- Oliveira, M.; Braga, S.; Passos-Coelho, J.L.; Fonseca, R.; Oliveira, J. Complete response in HER2+ leptomeningeal carcinomatosis from breast cancer with intrathecal trastuzumab. Breast Cancer Res. Treat 2011, 127, 841–844. [Google Scholar]
- Metro, G.; Foglietta, J.; Russillo, M.; Stocchi, L.; Vidiri, A.; Giannarelli, D.; Crinò, L.; Papaldo, P.; Mottolese, M.; Cognetti, F.; et al. Clinical outcome of patients with brain metastases from HER2-positive breast cancer treated with lapatinib and capecitabine. Ann. Oncol 2011, 22, 625–630. [Google Scholar]
- Mann, M.; Sheng, H.; Shao, J.; Williams, C.S.; Pisacane, P.I.; Sliwkowski, M.X.; DuBois, R.N. Targeting cyclooxygenase 2 and HER-2/neu pathways inhibits colorectal carcinoma growth. Gastroenterology 2001, 120, 1713–1719. [Google Scholar]
- Zhou, Y.; Li, S.; Hu, Y.P.; Wang, J.; Hauser, J.; Conway, A.N.; Vinci, M.A.; Humphrey, L.; Zborowska, E.; Willson, J.K.V.; et al. Blockade of EGFR and ErbB2 by the novel dual EGFR and ErbB2 tyrosine kinase inhibitor GW572016 sensitizes human colon carcinoma GEO cells to apoptosis. Cancer Res 2006, 66, 404–411. [Google Scholar]
- Oliveras-Ferraros, C.; Massaguer Vall-Llovera, A.; Vazquez-Martin, A.; Salip, D.C.; Queralt, B.; Cufí, S.; Martin-Castillo, B.; Bosch-Barrera, J.; Brunet, J.; de Llorens, R.; et al. Transcriptional upregulation of HER2 expression in the absence of HER2 gene amplification results in cetuximab resistance that is reversed by trastuzumab treatment. Oncol. Rep 2012, 27, 1887–1892. [Google Scholar]
- Open-Label Phase II Study of Trastuzumab in Combination with Lapatinib or Pertuzumab in Combination with Trastuzumab in Patients with HER2-Positive Metastatic Colorectal Cancer: The HERACLES Trial; EudraCT Number: 2012-002128-33
- Hofmann, M.; Stoss, O.; Shi, D.; Büttner, R.; van de Vijver, M.; Kim, W.; Ochiai, A.; Rüschoff, J.; Henkel, T. Assessment of a HER2 scoring system for gastric cancer: Results from a validation study. Histopathology 2008, 52, 797–805. [Google Scholar]




| N | % | |
|---|---|---|
| Age, median & range | 65 (35–82) | |
| Gender | ||
| Female | 20 | 40 |
| Male | 30 | 60 |
| PS (Karnofsky) | ||
| <70 | 21 | 42 |
| ≥70 | 18 | 36 |
| N.A | 11 | 22 |
| Primary Tumor | ||
| Colon | 19 | 38 |
| Rectum | 17 | 34 |
| N.A | 14 | 28 |
| T | ||
| Resected | 37 | 74 |
| Still present | 10 | 20 |
| N.A | 3 | 6 |
| Stage at diagnosis | ||
| I | 1 | 2 |
| II | 3 | 6 |
| III | 19 | 38 |
| IV | 19 | 38 |
| N.A | 8 | 16 |
| N∘of SNC lesions | ||
| 1 | 37 | 74 |
| 2–4 | 9 | 18 |
| >4 | 3 | 6 |
| N.A | 1 | 2 |
| BM at diagnosis | ||
| Yes | 5 | 10 |
| No | 45 | 90 |
| Site of BM | ||
| Supratentorial | 32 | 64 |
| Subtentorial | 17 | 34 |
| Both | 1 | 2 |
| Extra CNS lesions | ||
| Lung | 31 | 62 * |
| Liver | 26 | 52 * |
| Other | 18 | 36 * |
| N | % | |
|---|---|---|
| Surgery | 37 | 74 |
| Radiotherapy | 3 | 6 |
| Chemotherapy | ||
| Adjuvant | ||
| Yes | 20 | 40 |
| No | 24 | 48 |
| N.A | 6 | 12 |
| Palliative | ||
| Yes | 29 | 58 |
| No | 9 | 18 |
| N.A | 12 | 24 |
| Chemotherapy | ||
| 5-Fluorouracil | 30 | 60 |
| Oxaliplatin | 16 | 32 |
| Irinotecan | 16 | 32 |
| Biological agents | ||
| Bevacizumab | 0 | 0 |
| Cetuximab | 4 | 8 |
| Panitumumab | 0 | 0 |
| N | % | |
|---|---|---|
| Gamma-knife | ||
| Yes | 5 | 10 |
| No | 36 | 72 |
| N.A | 9 | 18 |
| WBRT | ||
| Yes | 21 | 42 |
| No | 29 | 58 |
| HER-2 | Colorectal tumor (n = 37) | Brain metastases (n = 50) | ||
|---|---|---|---|---|
| N | % | N | % | |
| 0 | 31 | 83.8 | 36 | 72 |
| 1+ | 3 | 8.1 | 8 | 16 |
| 2+ | 2* | 5.4 * | 2 * | 4 * |
| 3+ | 1 | 2.7 | 4 | 8 |
| N.A | 13 | - | 0 | 0 |
| HER-2 | BM | Total | ||
|---|---|---|---|---|
| 0 or 1+ N (%) | 2+ or 3+ N (%) | |||
| CRC | 0 or 1+ N (%) | 31 (83.7) | 3 (8.1) | 34 (91.8) |
| 2+ or 3+ N (%) | 1 (2.7) | 2 (5.4) | 3 (8.1) | |
| tot | 32 (86.4) | 5 (13.5) | 37 | |
© 2013 by the authors; licensee Molecular Diversity Preservation International, Basel, Switzerland. This article is an open access article distributed under the terms and conditions of the Creative Commons Attribution license (http://creativecommons.org/licenses/by/3.0/).
Share and Cite
Aprile, G.; De Maglio, G.; Menis, J.; Casagrande, M.; Tuniz, F.; Pisa, E.F.; Fontanella, C.; Skrap, M.; Beltrami, A.C.; Fasola, G.; et al. HER-2 Expression in Brain Metastases from Colorectal Cancer and Corresponding Primary Tumors: A Case Cohort Series. Int. J. Mol. Sci. 2013, 14, 2370-2387. https://doi.org/10.3390/ijms14022370
Aprile G, De Maglio G, Menis J, Casagrande M, Tuniz F, Pisa EF, Fontanella C, Skrap M, Beltrami AC, Fasola G, et al. HER-2 Expression in Brain Metastases from Colorectal Cancer and Corresponding Primary Tumors: A Case Cohort Series. International Journal of Molecular Sciences. 2013; 14(2):2370-2387. https://doi.org/10.3390/ijms14022370
Chicago/Turabian StyleAprile, Giuseppe, Giovanna De Maglio, Jessica Menis, Mariaelena Casagrande, Francesco Tuniz, Edith Federica Pisa, Caterina Fontanella, Miran Skrap, Alberto Carlo Beltrami, Gianpiero Fasola, and et al. 2013. "HER-2 Expression in Brain Metastases from Colorectal Cancer and Corresponding Primary Tumors: A Case Cohort Series" International Journal of Molecular Sciences 14, no. 2: 2370-2387. https://doi.org/10.3390/ijms14022370
APA StyleAprile, G., De Maglio, G., Menis, J., Casagrande, M., Tuniz, F., Pisa, E. F., Fontanella, C., Skrap, M., Beltrami, A. C., Fasola, G., & Pizzolitto, S. (2013). HER-2 Expression in Brain Metastases from Colorectal Cancer and Corresponding Primary Tumors: A Case Cohort Series. International Journal of Molecular Sciences, 14(2), 2370-2387. https://doi.org/10.3390/ijms14022370
