Methods for Identification of CA125 from Ovarian Cancer Ascites by High Resolution Mass Spectrometry
Abstract
:1. Introduction
2. Results
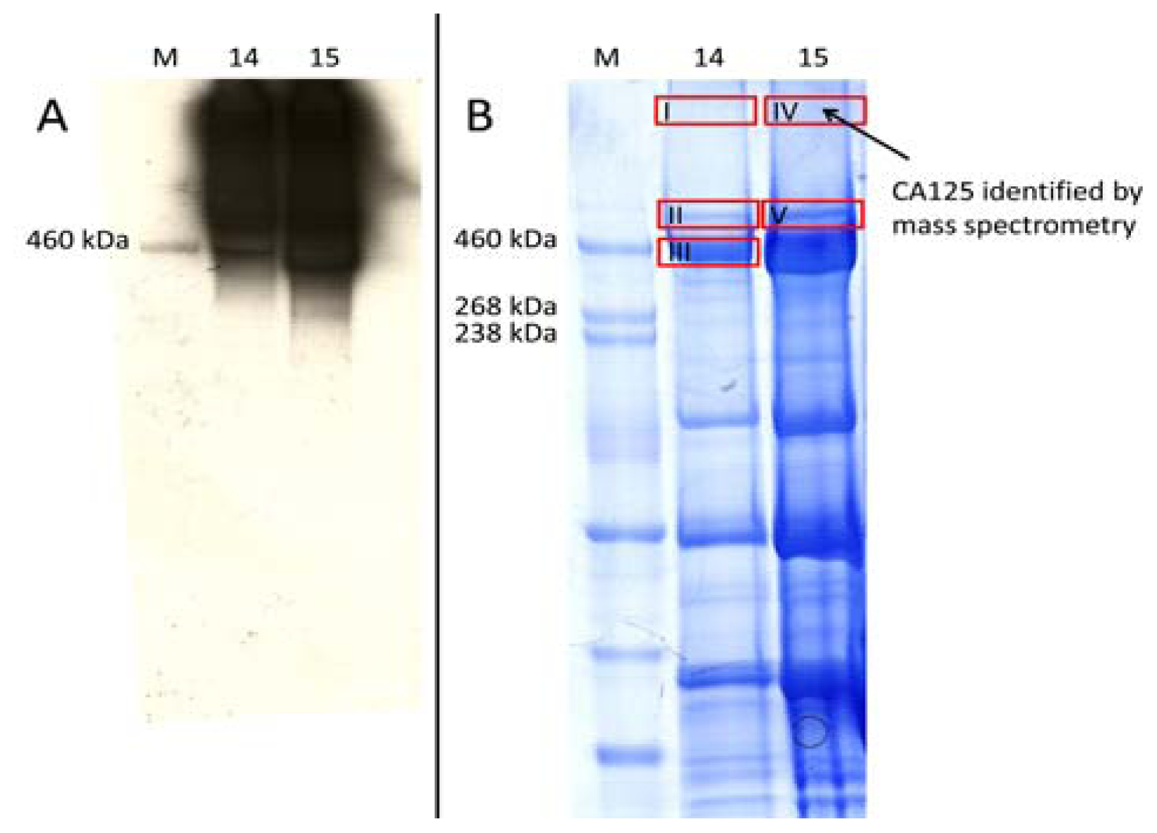
2.1. One-Dimensional (1D) Gel Electrophoresis of Human Ascites
2.2. Enrichment of CA125 by Size Exclusion Chromatography
2.3. Two-Dimensional (2D) Electrophoresis of Human Ascites
2.4. Elisa of Human Serum Spiked with Fibronectin
2.5. Elisa of Human Serum Spiked with Serotransferrin
2.6. High Accuracy Mass Spectrometry of CA125
3. Discussion
4. Experimental Section
4.1. Sample Preparation
4.2. 2D Electrophoresis
4.3. Western Blot
4.4. Size Exclusion Chromatography
4.5. Dot Blot
4.6. 1D Electrophoresis
4.7. Tryptic Digest
4.8. Filter Aided Digest
4.9. Mass Spectrometry (HCT Ultra 3D ION Trap)
4.10. Mass Spectrometry (AmaZon 3D ION Trap)
4.11. Mass Spectrometry (LTQ Orbitrap XL)
4.12. Data Analysis (HCT Ultra 3D ION Trap and AmaZon 3D ION Trap)
4.13. Data Analysis (LTQ Orbitrap XL)
4.14. First Generation Elisa
4.15. Second Generation Elisa
5. Conclusions
Supplementary Materials
ijms-13-09942-s001.pdfAcknowledgments
- Conflict of InterestThe authors declare no conflict of interest.
References
- Bast, R.C., Jr. Status of tumor markers in ovarian cancer screening. J. Clin. Oncol. 2003, 21, 200S–205S. [Google Scholar]
- Bast, R.C., Jr; Feeney, M.; Lazarus, H.; Nadler, L.M.; Colvin, R.B.; Knapp, R.C. Reactivity of a monoclonal antibody with human ovarian carcinoma. J. Clin. Invest. 1981, 68, 1331–1337. [Google Scholar]
- Davelaar, E.M.; van Kamp, G.J.; Verstraeten, R.A.; Kenemans, P. Comparison of seven immunoassays for the quantification of CA 125 antigen in serum. Clin. Chem 1998, 44, 1417–1422. [Google Scholar]
- Bast, R.C., Jr; Klug, T.L.; St John, E.; Jenison, E.; Niloff, J.M.; Lazarus, H.; Berkowitz, R.S.; Leavitt, T.; Griffiths, C.T.; Parker, L.; et al. A radioimmunoassay using a monoclonal antibody to monitor the course of epithelial ovarian cancer. N. Engl. J. Med. 1983, 309, 883–887. [Google Scholar]
- Bast, R.C., Jr; Xu, F.J.; Yu, Y.H.; Barnhill, S.; Zhang, Z.; Mills, G.B. CA 125: The past and the future. Int. J. Biol. Markers 1998, 13, 179–187. [Google Scholar]
- Seki, K.; Kikuchi, Y.; Uesato, T.; Kato, K. Increased serum CA 125 levels during the first trimester of pregnancy. Acta Obstet. Gynecol. Scand 1986, 65, 583–585. [Google Scholar]
- Miralles, C.; Orea, M.; Espana, P.; Provencio, M.; Sanchez, A.; Cantos, B.; Cubedo, R.; Carcereny, E.; Bonilla, F.; Gea, T. Cancer antigen 125 associated with multiple benign and malignant pathologies. Ann. Surg. Oncol 2003, 10, 150–154. [Google Scholar]
- Davis, H.M.; Zurawski, V.R., Jr; Bast, R.C., Jr; Klug, T.L. Characterization of the CA 125 antigen associated with human epithelial ovarian carcinomas. Cancer Res. 1986, 46, 6143–6148. [Google Scholar]
- De los Frailes, M.T.; Stark, S.; Jaeger, W.; Hoerauf, A.; Wildt, L. Purification and characterization of the CA 125 tumor-associated antigen from human ascites. Tumour. Biol 1993, 14, 18–29. [Google Scholar]
- Kobayashi, H.; Ida, W.; Terao, T.; Kawashima, Y. Molecular characteristics of the CA 125 antigen produced by human endometrial epithelial cells: Comparison between eutopic and heterotopic epithelial cells. Am. J. Obstet. Gynecol 1993, 169, 725–730. [Google Scholar]
- Matsuoka, Y.; Nakashima, T.; Endo, K.; Yoshida, T.; Kunimatsu, M.; Sakahara, H.; Koizumi, M.; Nakagawa, T.; Yamaguchi, N.; Torizuka, K. Recognition of ovarian cancer antigen CA125 by murine monoclonal antibody produced by immunization of lung cancer cells. Cancer Res 1987, 47, 6335–6340. [Google Scholar]
- O′Brien, T.J.; Tanimoto, H.; Konishi, I.; Gee, M. More than 15 years of CA 125: What is known about the antigen, its structure and its function. Int. J. Biol. Markers 1998, 13, 188–195. [Google Scholar]
- Yin, B.W.; Lloyd, K.O. Molecular cloning of the CA125 ovarian cancer antigen: Identification as a new mucin, MUC16. J. Biol. Chem 2001, 276, 27371–27375. [Google Scholar]
- Nustad, K.; Lebedin, Y.; Lloyd, K.O.; Shigemasa, K.; de Bruijn, H.W.; Jansson, B.; Nilsson, O.; Olsen, K.H.; O′Brien, T.J. Epitopes on CA 125 from cervical mucus and ascites fluid and characterization of six new antibodies. Third report from the ISOBM TD-1 workshop. Tumour Biol 2002, 23, 303–314. [Google Scholar]
- Shojaeian, S.; Allameh, A.; Zarnani, A.H.; Chamankhah, M.; Ghods, R.; Bayat, A.A.; Jeddi-Tehrani, M. Production and characterization of monoclonal antibodies against the extracellular domain of CA 125. Immunol. Invest 2010, 39, 114–131. [Google Scholar]
- Kui Wong, N.; Easton, R.L.; Panico, M.; Sutton-Smith, M.; Morrison, J.C.; Lattanzio, F.A.; Morris, H.R.; Clark, G.F.; Dell, A.; Patankar, M.S. Characterization of the oligosaccharides associated with the human ovarian tumor marker CA125. J. Biol. Chem 2003, 278, 28619–28634. [Google Scholar]
- Elschenbroich, S.; Ignatchenko, V.; Clarke, B.; Kalloger, S.E.; Boutros, P.C.; Gramolini, A.O.; Shaw, P.; Jurisica, I.; Kislinger, T. In-depth proteomics of ovarian cancer ascites: Combining shotgun proteomics and selected reaction monitoring mass spectrometry. J. Proteome Res 2011, 10, 2286–2299. [Google Scholar]
- Milutinovic, B.; Jankovic, M. Analysis of the protein and glycan parts of CA125 Antigen from human amniotic fluid. Arch. Biol. Sci. Belgrade 2007, 59, 97–103. [Google Scholar]
- Andersch-Bjorkman, Y.; Thomsson, K.A.; Holmen Larsson, J.M.; Ekerhovd, E.; Hansson, G.C. Large scale identification of proteins, mucins, and their O-glycosylation in the endocervical mucus during the menstrual cycle. Mol. Cell. Proteomics 2007, 6, 708–716. [Google Scholar]
- Bouanene, H.; Miled, A. Conflicting views on the molecular structure of the cancer antigen CA125/MUC16. Dis. Markers 2010, 28, 385–394. [Google Scholar]
- Klar, E.; Heene, D.L. Fibronectin. Klin. Wochenschr 1984, 62, 963–974. [Google Scholar]
- Kumar, V.; Hagler, H.K. Interactive Case Study Companion to Robbins Pathologic Basis of Disease, 6th ed; Saunders/Elsevier: Philadelphia, PA, USA; p. 1999.
- Makarov, A.; Denisov, E.; Lange, O.; Horning, S. Dynamic range of mass accuracy in LTQ Orbitrap hybrid mass spectrometer. J. Am. Soc. Mass. Spectrom 2006, 17, 977–982. [Google Scholar]
- Milutinovic, B.; Mitic, N.; Jankovic, M. Identification of pregnancy-associated CA125-reactive protein as a carbohydrate-binding immunoglobulin G. Arch. Biochem. Biophys 2010, 499, 69–76. [Google Scholar]
- Hanisch, F.G.; Uhlenbruck, G.; Dienst, C.; Stottrop, M.; Hippauf, E. Ca 125 and Ca 19-9: Two cancer-associated sialylsaccharide antigens on a mucus glycoprotein from human milk. Eur. J. Biochem 1985, 149, 323–330. [Google Scholar]
- Gorg, A.; Drews, O.; Luck, C.; Weiland, F.; Weiss, W. 2-DE with IPGs. Electrophoresis 2009, 30, S122–S132. [Google Scholar]
- Wisniewski, J.R.; Zougman, A.; Nagaraj, N.; Mann, M. Universal sample preparation method for proteome analysis. Nat. Methods 2009, 6, 359–362. [Google Scholar]
- Penno, M.A.; Bacic, A.; Colegate, S.M.; Hoffmann, P.; Michalski, W.P. Identifying candidate serum biomarkers of exposure to tunicamycins in rats using two-dimensional electrophoresis. J. Proteome Res 2009, 8, 2812–2826. [Google Scholar]
- Avery, L. Mann-Whitney U Test. 2007. Available online: http://elegans.som.vcu.edu/~leon/stats/utest.html accessed on 3 May 2012.
- Hoofnagle, A.N.; Becker, J.O.; Wener, M.H.; Heinecke, J.W. Quantification of thyroglobulin, a low-abundance serum protein, by immunoaffinity peptide enrichment and tandem mass spectrometry. Clin. Chem 2008, 54, 1796–1804. [Google Scholar]





| Protein name: | Mucin-16 | |||||
|---|---|---|---|---|---|---|
| Mass [Da]: | 2359682 | |||||
| Score: | 577 | |||||
| Matches: | 33(5) | |||||
| Sequences: | 21(5) | |||||
| Sequence Coverage: UniProt Acc.: | 1% MUC16_HUMAN | |||||
| Observed a | z b | Mr (calc) c | Delta d | Score e | Expect f | Peptide |
| 654.42 | 2 | 1306.6418 | 0.1836 | 84 | 6.80E-07 | R.NSLYVNGFTHR.S |
| 722.45 | 2 | 1442.6572 | 0.2282 | 68 | 2.70E-05 | K.DGAATGVDAICTHR.L |
| 875.05 | 2 | 1747.8628 | 0.2226 | 52 | 0.001 | K.LTNDIEELGPYTLDR.N |
| 655.92 | 2 | 1309.6085 | 0.2170 | 44 | 0.0069 | K.NTSVGPLYSGCR.L |
| 779.93 | 2 | 1557.7206 | 0.1249 | 41 | 0.014 | K.QEAATGVDTICTHR.V |
| 654.90 | 2 | 1307.6259 | 0.1596 | 35 | 0.06 | R.DSLYVNGFTHR.S |
| 625.91 | 2 | 1249.6204 | 0.1851 | 34 | 0.076 | R.GSLYVNGFTHR.T |
| 485.32 | 2 | 968.6018 | 0.0236 | 32 | 0.11 | R.LTLLRPEK.D |
| 485.32 | 2 | 968.6018 | 0.0236 | 32 | 0.12 | R.LTLLRPEK.D |
| 485.35 | 2 | 968.6018 | 0.0836 | 31 | 0.12 | R.LTLLRPEK.D |
| 555.37 | 2 | 1108.5877 | 0.1378 | 31 | 0.14 | R.LDPLNPGLDR.E |
| 875.00 | 2 | 1747.8628 | 0.1226 | 29 | 0.22 | K.LTNDIEELGPYTLDR.N |
| 532.38 | 2 | 1062.5346 | 0.2109 | 28 | 0.32 | K.ELGPYTLDR.N |
| 532.38 | 2 | 1062.5346 | 0.2109 | 28 | 0.34 | K.ELGPYTLDR.N |
| 642.40 | 2 | 1282.5976 | 0.1879 | 26 | 0.46 | K.STSVGPLYSGCR.L |
| 598.41 | 2 | 1194.5921 | 0.2134 | 25 | 0.49 | R.EQLYWELSK.L |
| 596.67 | 3 | 1786.8268 | 0.1614 | 25 | 0.51 | R.SEKDGAATGVDAICTHR.L |
| 642.40 | 2 | 1282.5976 | 0.1879 | 25 | 0.57 | K.STSVGPLYSGCR.L |
| 485.39 | 2 | 968.6018 | 0.1636 | 22 | 0.7 | R.LTLLRPEK.D |
| 399.85 | 2 | 797.5123 | 0.1731 | 22 | 0.73 | R.VLQGLLR.S |
| 654.90 | 2 | 1307.6259 | 0.1596 | 24 | 0.81 | R.DSLYVNGFTHR.S |
| 679.95 | 2 | 1357.7605 | 0.1249 | 23 | 1 | R.GIIELGPYLLDR.G |
| 570.42 | 2 | 1138.6022 | 0.2232 | 20 | 1.3 | R.VAIYEEFLR.M |
| 662.46 | 2 | 1322.7082 | 0.1973 | 20 | 1.3 | R.DIQDKVTTLYK.G |
| 532.33 | 2 | 1062.5346 | 0.1109 | 22 | 1.4 | K.ELGPYTLDR.N |
| 598.41 | 2 | 1194.5921 | 0.2134 | 21 | 1.4 | R.EQLYWELSK.L |
| 436.95 | 3 | 1307.6259 | 0.2023 | 20 | 1.8 | R.DSLYVNGFTHR.S |
| 875.00 | 2 | 1747.8628 | 0.1226 | 20 | 1.9 | K.LTNDIEELGPYTLDR.N |
| 594.27 | 3 | 1779.9016 | −0.1135 | 15 | 5.5 | K.QVFHELSQQTHGITR.L |
| 663.40 | 2 | 1324.6735 | 0.1119 | 11 | 13 | R.LDPTGPGLDRER.L |
| 628.43 | 2 | 1254.8064 | 0.0391 | 10 | 18 | R.VLQGLLKPLFK.S |
| Observed a | z b | Mr (calc) c | ppm d | Score e | Expect f | Peptide |
|---|---|---|---|---|---|---|
| 748.8278 | 2 | 1495.64 | 0.60 | 52 | 4.60E–05 | K.SYFSDCQVSTFR.S |
| 798.7573 | 3 | 2393.249 | 0.60 | 56 | 5.90E–05 | R.LTLLRPEKDGAATGVDAICTHR.L |
| 570.3081 | 2 | 1138.602 | −0.50 | 44 | 0.0008 | R.VAIYEEFLR.M |
| 399.7638 | 2 | 797.5123 | 1.05 | 37 | 0.00099 | R.VLQGLLR.S |
| 655.812 | 2 | 1309.609 | 0.75 | 42 | 0.0011 | K.NTSVGPLYSGCR.L |
| 721.3632 | 2 | 1440.714 | −1.80 | 39 | 0.003 | K.HGAATGVDAICTLR.L |
| 642.3064 | 2 | 1282.598 | 0.51 | 36 | 0.0039 | K.STSVGPLYSGCR.L |
| 596.814 | 4 | 2383.228 | −0.32 | 38 | 0.0047 | R.LTLLRSEKDGAATGVDAICTHR.L |
| 654.3267 | 2 | 1306.642 | −2.25 | 37 | 0.0058 | R.NSLYVNGFTHR.S |
| 601.8525 | 2 | 1201.689 | 1.02 | 34 | 0.0078 | R.VLQGLLGPMFK.N |
| 523.6422 | 3 | 1567.905 | 0.03 | 30 | 0.011 | R.LTLLRPEKDGVATR.V |
| 607.8801 | 2 | 1213.743 | 1.87 | 27 | 0.014 | R.VLQGLLSPIFK.N |
| 837.1103 | 3 | 2508.312 | −1.12 | 30 | 0.022 | R.LTLLRPEKQEAATGVDTICTHR.V |
| 677.8256 | 2 | 1353.635 | 1.48 | 28 | 0.037 | K.NTSIGPLYSSCR.L |
| 798.1088 | 3 | 2391.306 | −0.49 | 25 | 0.04 | R.LTLLRPEKHGAATGVDAICTLR.L |
| 594.3086 | 3 | 1779.902 | 1.29 | 28 | 0.049 | K.QVFHELSQQTHGITR.L |
| 711.1059 | 4 | 2840.395 | −0.15 | 27 | 0.053 | R.LTSLRPEKDGAATGMDAVCLYHPNPK.R |
| 679.8878 | 2 | 1357.761 | 0.41 | 25 | 0.077 | R.GIIELGPYLLDR.G |
| 628.4118 | 2 | 1254.806 | 2.14 | 12 | 0.086 | R.VLQGLLKPLFK.S |
| 1007.534 | 2 | 2013.053 | 0.59 | 26 | 0.088 | K.LSQLTHGITELGPYTLDR.H |
| 947.8076 | 3 | 2840.395 | 2.15 | 25 | 0.089 | R.LTSLRPEKDGAATGMDAVCLYHPNPK.R |
| 514.2987 | 3 | 1539.873 | 0.68 | 16 | 0.43 | R.LTLLRPEKDGAATR.V |
| 717.8562 | 2 | 1433.697 | 0.39 | 17 | 0.57 | K.VDAICTYRPDPK.S |
| 598.3046 | 2 | 1194.592 | 2.12 | 15 | 0.61 | R.EQLYWELSK.L |
| 607.3171 | 3 | 1818.926 | 1.65 | 17 | 0.69 | K.SPGLNREQLYWELSK.L |
| 555.9742 | 3 | 1664.9 | 0.54 | 13 | 1.2 | R.RVDRVAIYEEFLR.M |
| 514.2987 | 3 | 1539.873 | 0.68 | 10 | 1.8 | R.LTLLRPEKDGAATR.V |
| 477.5088 | 4 | 1906.01 | −1.85 | 6 | 6.3 | K.NTSVGPLYSGCRLTLLR.S |
| 862.958 | 2 | 1723.903 | −1.02 | 5 | 7.8 | K.DPEILSWTIPPSIEK.T |
| 647.5736 | 4 | 2586.261 | 1.71 | 5 | 8.8 | K.HEAATGVDTICTHRVDPIGPGLDR.E |
| 702.6927 | 3 | 2105.058 | −0.61 | 4 | 11 | K.KDGAATKVDAICTYRPDPK.S |
| 848.0892 | 3 | 2541.237 | 3.53 | 1 | 19 | K.SKLSLTPGLMETSISEETSSATEK.S |
© 2012 by the authors; licensee Molecular Diversity Preservation International, Basel, Switzerland. This article is an open-access article distributed under the terms and conditions of the Creative Commons Attribution license (http://creativecommons.org/licenses/by/3.0/).
Share and Cite
Weiland, F.; Fritz, K.; Oehler, M.K.; Hoffmann, P. Methods for Identification of CA125 from Ovarian Cancer Ascites by High Resolution Mass Spectrometry. Int. J. Mol. Sci. 2012, 13, 9942-9958. https://doi.org/10.3390/ijms13089942
Weiland F, Fritz K, Oehler MK, Hoffmann P. Methods for Identification of CA125 from Ovarian Cancer Ascites by High Resolution Mass Spectrometry. International Journal of Molecular Sciences. 2012; 13(8):9942-9958. https://doi.org/10.3390/ijms13089942
Chicago/Turabian StyleWeiland, Florian, Katarina Fritz, Martin K. Oehler, and Peter Hoffmann. 2012. "Methods for Identification of CA125 from Ovarian Cancer Ascites by High Resolution Mass Spectrometry" International Journal of Molecular Sciences 13, no. 8: 9942-9958. https://doi.org/10.3390/ijms13089942
APA StyleWeiland, F., Fritz, K., Oehler, M. K., & Hoffmann, P. (2012). Methods for Identification of CA125 from Ovarian Cancer Ascites by High Resolution Mass Spectrometry. International Journal of Molecular Sciences, 13(8), 9942-9958. https://doi.org/10.3390/ijms13089942
