Synthesis of Arapaima gigas Growth Hormone (ag-GH) in HEK 293 Cells: Its Purification and Characterization via In Vivo Bioassay in Dwarf “Little” Mice
Abstract
1. Introduction
2. Results and Discussion
2.1. Synthesis of Arapaima gigas Growth Hormone via Transient Transfection of HEK293 Cells with the agGH-cDNATM 3.4-TOPO® Vector
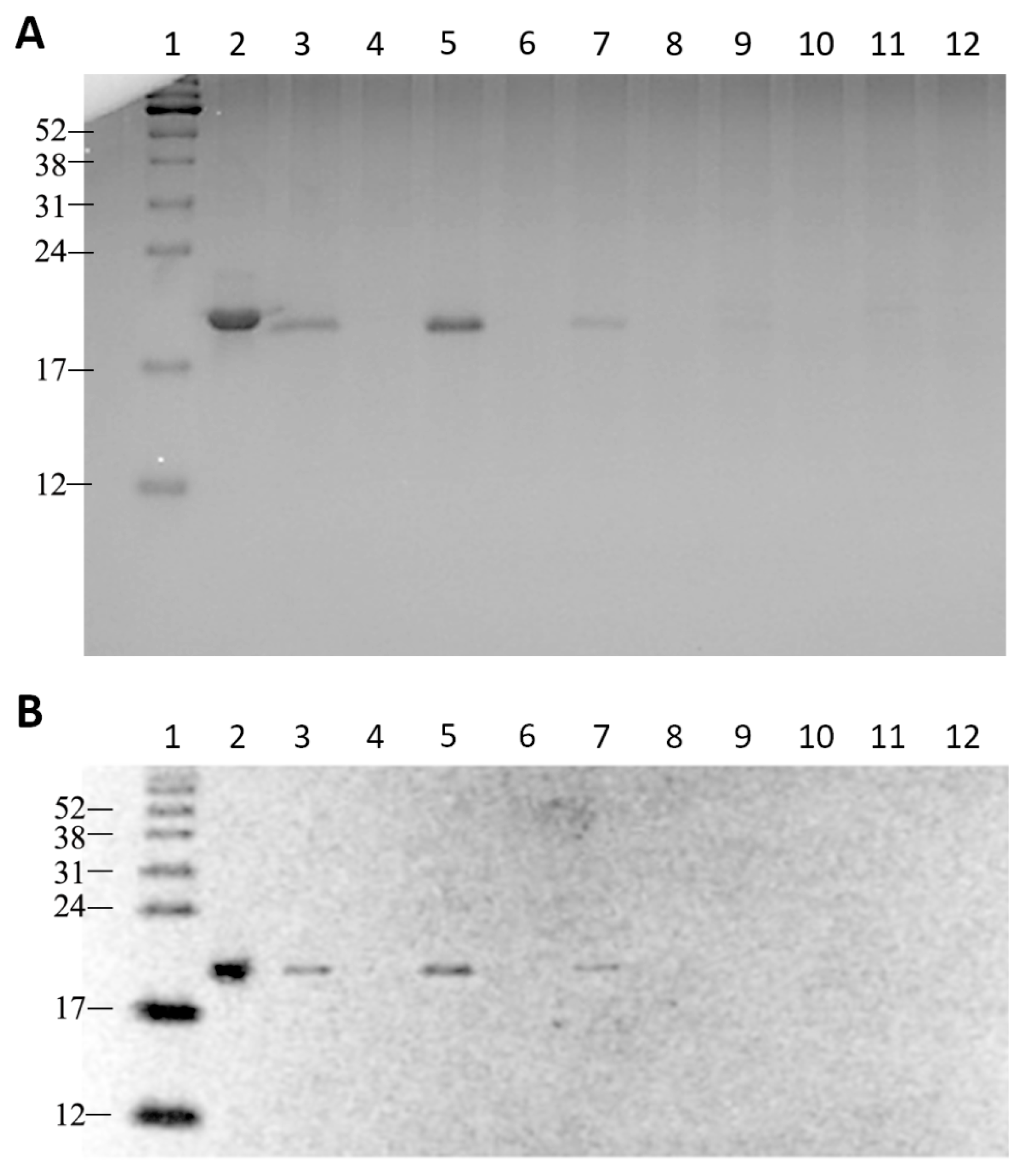
2.2. Qualitative Analysis of HEK293 Conditioned Media
2.3. Ion Exchange Purification on QFF-Sepharose of HEK293F Conditioned Media
2.4. HPSEC Analysis of the Fractions Obtained After QFF-Sepharose Purification
2.5. Qualitative and Quantitative Analysis of Purified ag-GH
2.6. MALDI-TOF-MS Analysis of Purified ag-GH Versus the International Reference Preparation of rec-hGH NHPP
2.7. Phylogenetic Analysis of Arapaima gigas Growth Hormone (GH)
2.8. In Vivo Bioassay in Dwarf “Little” Mice
3. Materials and Methods
3.1. Synthesis of ag-GH in Human Embryonic Kidney 293 (HEK293) Cells
3.2. SDS-PAGE and Western Blotting
3.3. High-Performance Size-Exclusion Chromatography (HPSEC)
3.4. Anion-Exchange Chromatography on Q-Sepharose Fast Flow (QFF)
3.5. MALDI-TOF-MS
3.6. Phylogenetic Analysis
3.7. In Vivo Bioassay in Dwarf “Little Mice”
3.8. Statistical Analyses
4. Conclusions
Supplementary Materials
Author Contributions
Funding
Institutional Review Board Statement
Informed Consent Statement
Data Availability Statement
Acknowledgments
Conflicts of Interest
Abbreviations
| ag-GH | Arapaima gigas Growth Hormone |
| HEK293 | Human Embryonic Kidney 293 cells |
| SDS-PAGE | Sodium Dodecyl Sulfate Polyacrylamide Gel Electrophoresis |
| HPSEC | High-Performance Size-Exclusion Chromatography |
| MALDI-TOF-MS | Matrix-Assisted Laser Desorption/Ionization Time-of-Flight Mass Spectrometry |
| NHPP | National Hormone and Pituitary Program |
| QFF | Q-Sepharose Fast Flow |
| PCR | Polymerase Chain Reaction |
| FSHβ | Follicle-Stimulating Hormone β Subunit |
| LHβ | Luteinizing Hormone β Subunit |
| GTHα | Gonadotropic Hormone α Subunit |
| NJ | Neighbor-Joining (Phylogenetic Method) |
| CO2 | Carbon Dioxide |
References
- Borella, M.I.; Venturieri, R.; Mancera, J.M. Immunocytochemical Identification of Adenohypophyseal Cells in the Pirarucu (Arapaima gigas), an Amazonian Basal Teleost. Fish Physiol. Biochem. 2009, 35, 3–16. [Google Scholar] [CrossRef]
- Cavole, L.M.; Arantes, C.C.; Castello, L. How Illegal Are Tropical Small-Scale Fisheries? An Estimate for Arapaima in the Amazon. Fish. Res. 2015, 168, 1–5. [Google Scholar] [CrossRef]
- Watson, L.C.; Stewart, D.J.; Kretzer, A.M. Genetic Diversity and Population Structure of the Threatened Giant Arapaima in Southwestern Guyana: Implications for Their Conservation. Copeia 2016, 104, 864–872. [Google Scholar] [CrossRef] [PubMed]
- Garcia, A.; Tello, S.; Vargas, G.; Duponchelle, F. Patterns of Commercial Fish Landings in the Loreto Region (Peruvian Amazon) between 1984 and 2006. Fish Physiol Biochem. 2009, 35, 53–67. [Google Scholar] [CrossRef]
- Chu-Koo, F.; Dugué, R.; Alván Aguilar, M.; Casanova Daza, A.; Alcántara Bocanegra, F.; Chávez Veintemilla, C.; Duponchelle, F.; Renno, J.-F.; Tello, S.; Nuñez, J. Gender Determination in the Paiche or Pirarucu (Arapaima gigas) Using Plasma Vitellogenin, 17β-Estradiol, and 11-Ketotestosterone Levels. Fish Physiol. Biochem. 2009, 35, 125–136. [Google Scholar] [CrossRef]
- Mylonas, C.C.; Fostier, A.; Zanuy, S. Broodstock Management and Hormonal Manipulations of Fish Reproduction. Gen. Comp. Endocrinol. 2010, 165, 516–534. [Google Scholar] [CrossRef]
- Castello, L.; Stewart, D.J.; Arantes, C.C. Modeling Population Dynamics and Conservation of Arapaima in the Amazon. Rev. Fish Biol. Fish. 2011, 21, 623–640. [Google Scholar] [CrossRef]
- Schulz, R.W.; de França, L.R.; Lareyre, J.-J.; LeGac, F.; Chiarini-Garcia, H.; Nobrega, R.H.; Miura, T. Spermatogenesis in Fish. Gen. Comp. Endocrinol. 2010, 165, 390–411. [Google Scholar] [CrossRef]
- Torati, L.S.; Lima, A.F.; Kirschnik, L.N.G.; Migaud, H. Endoscopy and Cannulation as Non-Invasive Tools to Identify Sex and Monitor Reproductive Development in Arapaima gigas. Ichthyol. Herpetol. 2019, 107, 287. [Google Scholar] [CrossRef]
- Canosa, L.F.; Chang, J.P.; Peter, R.E. Neuroendocrine Control of Growth Hormone in Fish. Gen. Comp. Endocrinol. 2007, 151, 1–26. [Google Scholar] [CrossRef]
- Gopal, R.N.; Kumar, P.; Lal, B. Temperature Dependent Action of Growth Hormone on Somatic Growth and Testicular Activities of the Catfish, Clarias batrachus. Gen. Comp. Endocrinol. 2014, 195, 125–131. [Google Scholar] [CrossRef]
- Franz, A.-C.; Faass, O.; Köllner, B.; Shved, N.; Link, K.; Casanova, A.; Wenger, M.; D’Cotta, H.; Baroiller, J.-F.; Ullrich, O.; et al. Endocrine and Local IGF-I in the Bony Fish Immune System. Biology 2016, 5, 9. [Google Scholar] [CrossRef]
- Pormehr, L.A.; Pourkazemi, M. Production of Recombinant Great Sturgeon (Huso huso, Linnaeus, 1758) Growth Hormone (GH) by Pichia pastoris (Guillierm, 1956). J. Appl. Ichthyol. 2015, 31, 609–613. [Google Scholar] [CrossRef]
- Tsaj, H.-J.; Tseng, C.-F.; Kuo, T.-T. Expression of Rainbow Trout Growth Hormone EDNA in Yeast; Academia Sinica: Taipei, Taiwan, 1993; Volume 32.
- Tsai, H.J.; Chen, H.M.; Lo, C.F. Secretory Synthesis of Active Recombinant Fish Growth Hormone by Insect Cells Using a Baculovirus Vector. Can. J. Fish. Aquat. Sci. 1994, 51, 1–7. [Google Scholar] [CrossRef]
- Sudo, R.; Kawakami, Y.; Nomura, K.; Tanaka, H.; Kazeto, Y. Production of Recombinant Japanese Eel (Anguilla japonica) Growth Hormones and Their Effects on Early-Stage Larvae. Gen. Comp. Endocrinol. 2022, 317, 113977. [Google Scholar] [CrossRef]
- Bosch, D.; Smal, J.; Krebbers, E. A Trout Growth Hormone Is Expressed, Correctly Folded and Partially Glycosylated in the Leaves but Not the Seeds of Transgenic Plants. Transgenic Res. 1994, 3, 304–310. [Google Scholar] [CrossRef]
- Bellini, M.H.; Bartolini, P. In Vivo Bioassay for the Potency Determination of Human Growth Hormone in Dwarf “Little” Mice. Endocrinology 1993, 132, 2051–2055. [Google Scholar] [CrossRef]
- Ishikawa, M.; Nimura, A.; Horikawa, R.; Katsumata, N.; Arisaka, O.; Wada, M.; Honjo, M.; Tanaka, T. A Novel Specific Bioassay for Serum Human Growth Hormone. J. Clin. Endocrinol. Metab. 2000, 85, 4274–4279. [Google Scholar] [CrossRef]
- Amet, N. Human Growth Hormone-Transferrrin Recombinant Fusion Protein for Oral Delivery; University of Southern California: Los Angeles, CA, USA, 2008. [Google Scholar]
- Boothe, J.; Nykiforuk, C.; Shen, Y.; Zaplachinski, S.; Szarka, S.; Kuhlman, P.; Murray, E.; Morck, D.; Moloney, M.M. Seed-based Expression Systems for Plant Molecular Farming. Plant Biotechnol. J. 2010, 8, 588–606. [Google Scholar] [CrossRef] [PubMed]
- Schlapschy, M.; Binder, U.; Borger, C.; Theobald, I.; Wachinger, K.; Kisling, S.; Haller, D.; Skerra, A. PASylation: A Biological Alternative to PEGylation for Extending the Plasma Half-Life of Pharmaceutically Active Proteins. Protein Eng. Des. Sel. 2013, 26, 489–501. [Google Scholar] [CrossRef] [PubMed]
- List, E.O.; Basu, R.; Berryman, D.E.; Duran-Ortiz, S.; Martos-Moreno, G.Á.; Kopchick, J.J. Common and Uncommon Mouse Models of Growth Hormone Deficiency. Endocr. Rev. 2024, 45, 818–842. [Google Scholar] [CrossRef]
- Faria, M.T.; Carvalho, R.F.; Sevilhano, T.C.A.; Oliveira, N.A.J.; Silva, C.F.P.; Oliveira, J.E.; Soares, C.R.J.; Garcez, R.; Santo, P.R.E.; Bartolini, P. Isolation of the Pituitary Gonadotrophic α-Subunit Hormone of the Giant Amazonian Fish: Pirarucu (Arapaima gigas). Fish Physiol. Biochem. 2013, 39, 683–693. [Google Scholar] [CrossRef]
- Sevilhano, T.; de Carvalho, R.F.; de Jesus Oliveira, N.A.; Oliveira, J.E.; Maltarollo, V.G.; Trossini, G.; Garcez, R.; Bartolini, P. Molecular Cloning and Characterization of Pirarucu (Arapaima gigas) Follicle-Stimulating Hormone and Luteinizing Hormone β-Subunit CDNAs. PLoS ONE 2017, 12, e0183545. [Google Scholar] [CrossRef]
- Lima, E.R.; Freire, R.P.; Suzuki, M.F.; Oliveira, J.E.; Yosidaki, V.L.; Peroni, C.N.; Sevilhano, T.; Zorzeto, M.; Torati, L.S.; Soares, C.R.J.; et al. Isolation and Characterization of the Arapaima gigas Growth Hormone (Ag-GH) CDNA and Three-Dimensional Modeling of This Hormone in Comparison with the Human Hormone (HGH). Biomolecules 2023, 13, 158. [Google Scholar] [CrossRef]
- Menezes, A.C.S.C.; Suzuki, M.F.; Oliveira, J.E.; Ribela, M.T.C.P.; Furigo, I.C.; Donato, J.; Bartolini, P.; Soares, C.R.J. Expression, Purification and Characterization of the Authentic Form of Human Growth Hormone Receptor Antagonist G120R-HGH Obtained in Escherichia Coli Periplasmic Space. Protein Expr. Purif. 2017, 131, 91–100. [Google Scholar] [CrossRef]
- Dehkhoda, F.; Lee, C.M.M.; Medina, J.; Brooks, A.J. The Growth Hormone Receptor: Mechanism of Receptor Activation, Cell Signaling, and Physiological Aspects. Front. Endocrinol. 2018, 9, 35. [Google Scholar] [CrossRef] [PubMed]
- Jiao, B.; Huang, X.; Chan, C.B.; Zhang, L.; Wang, D.; Cheng, C.H.K. The Co-Existence of Two Growth Hormone Receptors in Teleost Fish and Their Differential Signal Transduction, Tissue Distribution and Hormonal Regulation of Expression in Seabream. J. Mol. Endocrinol. 2006, 36, 23–40. [Google Scholar] [CrossRef]
- Kittilson, J.D.; Jones, E.; Sheridan, M.A. ERK, Akt, and STAT5 Are Differentially Activated by the Two Growth Hormone Receptor Subtypes of a Teleost Fish (Oncorhynchus mykiss). Front. Endocrinol. 2011, 2, 30. [Google Scholar] [CrossRef]
- Suzuki, M.F.; Oliveira, J.E.; Damiani, R.; Lima, E.R.; Amaral, K.C.; de Souza Santos, A.M.; Magalhães, G.S.; Faverani, L.P.; Pereira, L.A.V.D.; Silva, F.M.; et al. Human Bone Morphogenetic Protein-2 (HBMP-2) Characterization by Physical–Chemical, Immunological and Biological Assays. AMB Express 2020, 10, 34. [Google Scholar] [CrossRef] [PubMed]
- Bellini, M.H.; Mathor, M.B.; De Luca, M.; Cancedda, R.; Bartolini, P. Ultrasensitive in Vivo Bioassay Detects Bioactive Human Growth Hormone in Transduced Primary Human Keratinocytes. J. Endocrinol. Invest. 1998, 21, 1–6. [Google Scholar] [CrossRef] [PubMed]
- Saitou, N.; Nei, M. The Neighbor-Joining Method: A New Method for Reconstructing Phylogenetic Trees. Mol. Biol. Evol. 1987, 4, 406–425. [Google Scholar] [CrossRef] [PubMed]
- Felsenstein, J. Confidence limits on phylogenies: An approach using the bootstrap. Evolution 1985, 39, 783–791. [Google Scholar] [CrossRef] [PubMed]
- Zuckerkandl, E.; Pauling, L. Evolutionary Divergence and Convergence in Proteins. In Evolving Genes and Proteins; Elsevier: Amsterdam, The Netherlands, 1965; pp. 97–166. [Google Scholar]
- Tamura, K.; Stecher, G.; Kumar, S. MEGA11: Molecular Evolutionary Genetics Analysis Version 11. Mol. Biol. Evol. 2021, 38, 3022–3027. [Google Scholar] [CrossRef] [PubMed]








Disclaimer/Publisher’s Note: The statements, opinions and data contained in all publications are solely those of the individual author(s) and contributor(s) and not of MDPI and/or the editor(s). MDPI and/or the editor(s) disclaim responsibility for any injury to people or property resulting from any ideas, methods, instructions or products referred to in the content. |
© 2026 by the authors. Licensee MDPI, Basel, Switzerland. This article is an open access article distributed under the terms and conditions of the Creative Commons Attribution (CC BY) license.
Share and Cite
Lima, E.R.; Melo, J.C.R.; Bezerra, F.M.; Suzuki, M.F.; Nunes, A.P.; Sevilhano, T.C.d.A.; Oliveira, J.E.; Garcez, R.; Torati, L.S.; Magalhães, G.S.; et al. Synthesis of Arapaima gigas Growth Hormone (ag-GH) in HEK 293 Cells: Its Purification and Characterization via In Vivo Bioassay in Dwarf “Little” Mice. Molecules 2026, 31, 572. https://doi.org/10.3390/molecules31030572
Lima ER, Melo JCR, Bezerra FM, Suzuki MF, Nunes AP, Sevilhano TCdA, Oliveira JE, Garcez R, Torati LS, Magalhães GS, et al. Synthesis of Arapaima gigas Growth Hormone (ag-GH) in HEK 293 Cells: Its Purification and Characterization via In Vivo Bioassay in Dwarf “Little” Mice. Molecules. 2026; 31(3):572. https://doi.org/10.3390/molecules31030572
Chicago/Turabian StyleLima, Eliana Rosa, Jeniffer Cristina Ribeiro Melo, Filipe Menezes Bezerra, Miriam Fussae Suzuki, Amanda Palermo Nunes, Thais Cristina dos Anjos Sevilhano, João Ezequiel Oliveira, Riviane Garcez, Lucas Simon Torati, Geraldo Santana Magalhães, and et al. 2026. "Synthesis of Arapaima gigas Growth Hormone (ag-GH) in HEK 293 Cells: Its Purification and Characterization via In Vivo Bioassay in Dwarf “Little” Mice" Molecules 31, no. 3: 572. https://doi.org/10.3390/molecules31030572
APA StyleLima, E. R., Melo, J. C. R., Bezerra, F. M., Suzuki, M. F., Nunes, A. P., Sevilhano, T. C. d. A., Oliveira, J. E., Garcez, R., Torati, L. S., Magalhães, G. S., Peroni, C. N., & Bartolini, P. (2026). Synthesis of Arapaima gigas Growth Hormone (ag-GH) in HEK 293 Cells: Its Purification and Characterization via In Vivo Bioassay in Dwarf “Little” Mice. Molecules, 31(3), 572. https://doi.org/10.3390/molecules31030572

