Purification, Structural Characterization, and Bioactivity of Amaranthus hypochondriacus Lectin
Abstract
1. Introduction
2. Results
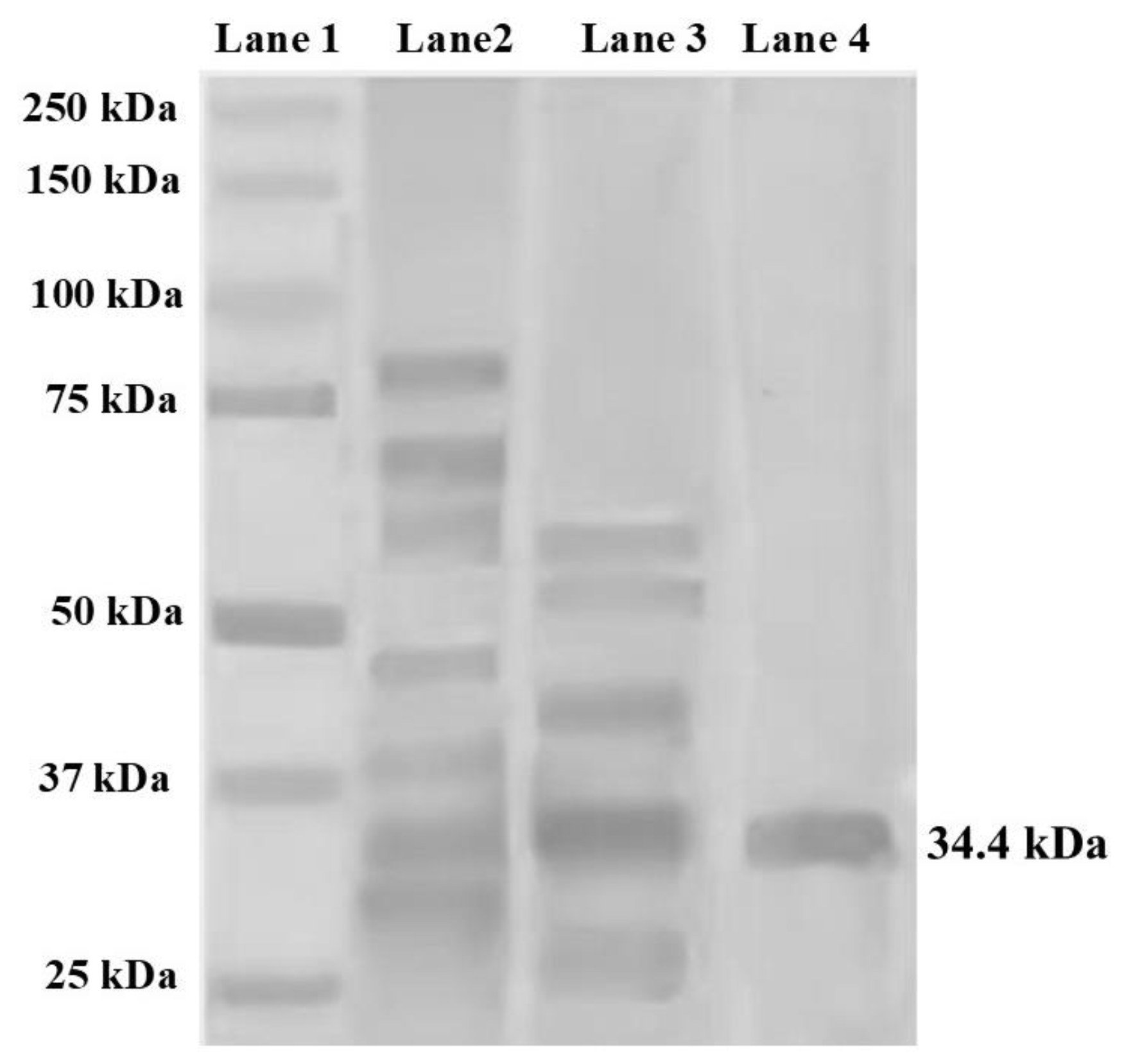
2.1. Identification of Purified Lectin from Amaranthus hypochondriacus Seeds by Electrophoresis (SDS-PAGE)
2.2. IR Spectroscopy
2.3. Hemagglutination Assay
2.4. Inhibition of Hemagglutinating Activity
2.5. Total Phenolic Content and Antioxidant Capacity
2.6. pH and Temperature Stability
2.7. Metal Ion Content and Effect of Ion Metal on Hemagglutination
2.8. Hemolytic Activity of AhL
3. Discussion
4. Materials and Methods
4.1. Plant Material
4.2. Human Cells
4.3. Proximate Chemical Analysis
4.4. Extraction and Purification of Lectin
4.5. Protein Quantification
4.6. Sodium Dodecyl Sulphate Polyacrylamide Gel Electrophoresis (SDS-PAGE)
4.7. Infrared Spectroscopy (IR)
4.8. Lectin Hemagglutination
4.9. Hemagglutination Inhibition
4.10. Phenolic Compound Content
4.11. Antioxidant Capacity
4.11.1. ABTS•+ Assay
4.11.2. DPPH• Assay
4.12. Effect of pH and Temperature on Hemagglutination
4.12.1. Effect of pH
4.12.2. Effect of Temperature
4.13. Total Carbohydrate Content
4.14. Metal Ion Content
4.15. Effect of AhL Demetallization on Hemagglutination
4.16. Hemolytic Activity
4.17. Statistical Analysis
5. Conclusions
Author Contributions
Funding
Institutional Review Board Statement
Informed Consent Statement
Data Availability Statement
Conflicts of Interest
References
- Chrispeels, M.J.; Raikhel, N.V. Lectins, Lectin Genes, and Their Role in Plant Defense. Plant Cell 1991, 3, 1–9. [Google Scholar] [CrossRef] [PubMed]
- Bah, C.S.F.; Fang, E.F.; Ng, T.B. Medicinal Applications of Plant Lectins. In Antitumor Potential and other Emerging Medicinal Properties of Natural Compounds; Springer: Dordrecht, The Netherlands, 2013; pp. 55–74. [Google Scholar]
- Kennedy, J.F.; Palva, P.M.G.; Corella, M.T.S.; Cavalcanti, M.S.M.; Coelho, L.C.B.B. Lectins, Versatile Proteins of Recognition: A Review. Carbohydr. Polym. 1995, 26, 219–230. [Google Scholar] [CrossRef]
- Sharon, N. History of Lectins: From Hemagglutinins to Biological Recognition Molecules. Glycobiology 2004, 14, 53R–62R. [Google Scholar] [CrossRef] [PubMed]
- Van Damme, E.J.M.; Lannoo, N.; Peumans, W.J. Plant Lectins; Academic Press: Cambridge, MA, USA, 2008; Volume 48, ISBN 9780123746009. [Google Scholar]
- Van Damme, E.J.M.; Peumans, W.J.; Barre, A.; Rougé, P. Plant Lectins: A Composite of Several Distinct Families of Structurally and Evolutionary Related Proteins with Diverse Biological Roles. CRC Crit. Rev. Plant Sci. 1998, 17, 575–692. [Google Scholar] [CrossRef]
- Gatehouse, A.M.R.; Dewey, F.M.; Dove, J.; Fenton, K.A.; Pusztai, A. Effect of Seed Lectins from Phaseolus Vulgaris on the Development of Larvae of Callosobruchus Maculatus; Mechanism of Toxicity. J. Sci. Food Agric. 1984, 35, 373–380. [Google Scholar] [CrossRef]
- Gautam, A.K.; Gupta, N.; Narvekar, D.T.; Bhadkariya, R.; Bhagyawant, S.S. Characterization of Chickpea (Cicer arietinum L.) Lectin for Biological Activity. Physiol. Mol. Biol. Plants 2018, 24, 389–397. [Google Scholar] [CrossRef]
- Zenteno, E.; Ochoa, J.-L. Purification of a Lectin from Amaranthus Leucocarpus by Affinity Chromatography. Phytochemistry 1988, 27, 313–317. [Google Scholar] [CrossRef]
- Koeppe, S.J.; Rupnow, J.H. Purification and Characterization of a Lectin from the Seeds of Amaranth (Amaranthus cruentus). J. Food Sci. 1988, 53, 1412–1417. [Google Scholar] [CrossRef]
- Rinderle, S.J.; Goldstein, I.J.; Matta, K.L.; Ratcliffe, R.M. Isolation and Characterization of Amaranthin, a Lectin Present in the Seeds of Amaranthus caudatus, That Recognizes the T- (or Cryptic T)-Antigen. J. Biol. Chem. 1989, 264, 16123–16131. [Google Scholar] [CrossRef]
- Transue, T.R.; Smith, A.K.; Mo, H.; Goldstein, I.J.; Saper, M.A. Structure of Benzyl T-Antigen Disaccharide Bound to Amaranthus caudatus Agglutinin. Nat. Struct. Biol. 1997, 4, 779–783. [Google Scholar] [CrossRef]
- Mengoni, A.; Quiroga, A.V.; Añón, M.C. Purificación y Caracterización de Una Lectina de Amaranthus hypochondriacus, Un Compuesto Antiproliferativo. INNOTEC 2016, 1, 27–35. [Google Scholar] [CrossRef]
- Quiroga, A.V.; Barrio, D.A.; Añón, M.C. Amaranth Lectin Presents Potential Antitumor Properties. LWT-Food Sci. Technol. 2015, 60, 478–485. [Google Scholar] [CrossRef]
- Gómez-Henao, W.; Saavedra, R.; Chávez-Sánchez, F.R.; Lascurain, R.; Zenteno, E.; Tenorio, E.P. Expression Dynamics of the O-Glycosylated Proteins Recognized by Amaranthus Leucocarpus Lectin in T Lymphocytes and Its Relationship With Moesin as an Alternative Mechanism of Cell Activation. Front. Immunol. 2021, 12, 788880. [Google Scholar] [CrossRef] [PubMed]
- Gorocica, P.; Lascurain, R.; Hemandez, P.; Porras, F.; Bouquelet, S.; Vazquez, L.; Zenteno, E. Isolation of the Receptor for Amaranthus Leucocarpus Lectin from Murine Peritoneal Macrophages. Glycoconj. J. 1998, 15, 809–814. [Google Scholar] [CrossRef]
- Urrea, F.; Zenteno, E.; Avila-Moreno, F.; Javier Sanchez-Garcia, F.; Zuñiga, J.; Lascurain, R.; Ortiz-Quintero, B. Amaranthus Leucocarpus Lectin (ALL) Enhances Anti-CD3-Dependent Activation of Murine T Cells and Promotes Cell Survival. Immunol. Investig. 2011, 40, 113–129. [Google Scholar] [CrossRef]
- Puthoff, D.; Sardesai, N.; Subramanya, S.; Nemacheck, J.; Williams, C. Hfr-2, a Wheat Cytolytic Toxin-like Gene, Is Up-regulated by Virulent Hessian Fly Larval Feeding. Mol. Plant Pathol. 2005, 6, 411–423. [Google Scholar] [CrossRef]
- Faruque, K.; Begam, R.; Deyholos, M.K. The Amaranthin-Like Lectin (LuALL) Genes of Flax: A Unique Gene Family with Members Inducible by Defence Hormones. Plant Mol. Biol. Rep. 2015, 33, 731–741. [Google Scholar] [CrossRef]
- Rastogi, A.; Shukla, S. Amaranth: A New Millennium Crop of Nutraceutical Values. Crit. Rev. Food Sci. Nutr. 2013, 53, 109–125. [Google Scholar] [CrossRef]
- Venskutonis, P.R.; Kraujalis, P. Nutritional Components of Amaranth Seeds and Vegetables: A Review on Composition, Properties, and Uses. Compr. Rev. Food Sci. Food Saf. 2013, 12, 381–412. [Google Scholar] [CrossRef]
- Berganza, B.E.; Moran, A.W.; Guillermo Rodríguez, M.; Coto, N.M.; Santamaría, M.; Bressani, R. Effect of Variety and Location on the Total Fat, Fatty Acids and Squalene Content of Amaranth. Plant Foods Human. Nutr. 2003, 58, 1–6. [Google Scholar] [CrossRef]
- Schofield, E.J.; Rowntree, J.K.; Paterson, E.; Brewer, M.J.; Price, E.A.C.; Brearley, F.Q.; Brooker, R.W. Cultivar Differences and Impact of Plant-Plant Competition on Temporal Patterns of Nitrogen and Biomass Accumulation. Front. Plant Sci. 2019, 10, 215. [Google Scholar] [CrossRef] [PubMed]
- Kornfeld, R.; Kornfeld, S. Assembly of Asparagine-Linked Oligosaccharides. Annu. Rev. Biochem. 1985, 54, 631–664. [Google Scholar] [CrossRef] [PubMed]
- Hernández, P.; Bacilio, M.; Porras, F.; Juarez, S.; Debray, H.; Zenteno, E.; Ortiz, B. A Comparative Study on the Purification of the Amaranthus leucocarpus Syn. hypocondriacus Lectin. Prep. Biochem. Biotechnol. 1999, 29, 219–234. [Google Scholar] [CrossRef] [PubMed]
- González-Cruz, L.; Valadez-Vega, C.; Juárez-Goiz, J.M.S.; Flores-Martínez, N.L.; Montañez-Soto, J.L.; Bernardino-Nicanor, A. Partial Purification and Characterization of the Lectins of Two Varieties of Phaseolus coccineus (Ayocote Bean). Agronomy 2022, 12, 716. [Google Scholar] [CrossRef]
- Ozeki, M.; Kamemura, K.; Moriyama, K.; Itoh, Y.; Furuichi, Y.; Umekawa, H.; Takahashi, T. Purification and Characterization of a Lectin from Amaranthus hypochondriacus. Mexico Seeds. Biosci. Biotechnol. Biochem. 1996, 60, 2048–2051. [Google Scholar] [CrossRef]
- Calderon de la Barca, A.; Vazquez-Moreno, L. Amaranthus cruentus Lectin: Purification, Stability, and Some Biochemical Properties. J. Food Biochem. 1988, 12, 117–126. [Google Scholar] [CrossRef]
- Liener, I.E. From Soybeans to Lectins: A Trail of Research Revisited. Carbohydr. Res. 1991, 213, 1–5. [Google Scholar] [CrossRef]
- Barth, A. Infrared Spectroscopy of Proteins. Biochim. Biophys. Acta (BBA)-Bioenerg. 2007, 1767, 1073–1101. [Google Scholar] [CrossRef]
- Hasan, I.; Rahman, S.N.; Islam, M.M.; Ghosh, S.K.; Mamun, M.R.; Uddin, M.B.; Shaha, R.K.; Kabir, S.R. A N-Acetyl-D-Galactosamine-Binding Lectin from Amaranthus Gangeticus Seeds Inhibits Biofilm Formation and Ehrlich Ascites Carcinoma Cell Growth in Vivo in Mice. Int. J. Biol. Macromol. 2021, 181, 928–936. [Google Scholar] [CrossRef]
- Sharon, N.; Lis, H. Lectins: Cell-Agglutinating and Sugar-Specific Proteins. Science 1972, 177, 949–959. [Google Scholar] [CrossRef]
- Rinderle, S.J.; Goldstein, I.J.; Remsen, E.E. Physicochemical Properties of Amaranthin, the Lectin from Amaranthus caudatus Seeds. Biochemistry 1990, 29, 10555–10561. [Google Scholar] [CrossRef] [PubMed]
- Fang, Y.Z.; Yang, S.; Wu, G. Free Radicals, Antioxidants, and Nutrition. Nutrition 2002, 18, 872–879. [Google Scholar] [CrossRef] [PubMed]
- Pham-Huy, L.A.; He, H.; Pham-Huy, C. Free Radicals, Antioxidants in Disease and Health. Int. J. Biomed. Sci. 2008, 4, 89–96. [Google Scholar] [CrossRef] [PubMed]
- Dimitrios, B. Sources of Natural Phenolic Antioxidants. Trends Food Sci. Technol. 2006, 17, 505–512. [Google Scholar] [CrossRef]
- Manach, C.; Scalbert, A.; Morand, C.; Rémésy, C.; Jiménez, L. Polyphenols: Food Sources and Bioavailability. Am. J. Clin. Nutr. 2004, 79, 727–747. [Google Scholar] [CrossRef]
- Samaranayaka, A.G.P.; Li-Chan, E.C.Y. Food-Derived Peptidic Antioxidants: A Review of Their Production, Assessment, and Potential Applications. J. Funct. Foods 2011, 3, 229–254. [Google Scholar] [CrossRef]
- Repo-Carrasco-Valencia, R. Dietary Fiber and Other Functional Components in Two Varieties of Crude and Extruded Kiwicha (Amaranthus caudatus). J. Cereal Sci. 2009, 49, 219–224. [Google Scholar] [CrossRef]
- Chen, H.M.; Muramoto, K.; Yamauchi, F.; Fujimoto, K.; Nokihara, K. Antioxidative Properties of Histidine-Containing Peptides Designed from Peptide Fragments Found in the Digests of a Soybean Protein. J. Agric. Food Chem. 1998, 46, 49–53. [Google Scholar] [CrossRef]
- Elias, R.J.; Kellerby, S.S.; Decker, E.A. Antioxidant Activity of Proteins and Peptides. Crit. Rev. Food Sci. Nutr. 2008, 48, 430–441. [Google Scholar] [CrossRef]
- Nwachukwu, I.D.; Aluko, R.E. Structural and Functional Properties of Food Protein-Derived Antioxidant Peptides. J. Food Biochem. 2019, 43, e12761. [Google Scholar] [CrossRef]
- Silva-Sánchez, C.; Barba De La Rosa, A.P.; León-Galván, M.F.; De Lumen, B.O.; De León-Rodríguez, A.; González De Mejía, E. Bioactive Peptides in Amaranth (Amaranthus hypochondriacus) Seed. J. Agric. Food Chem. 2008, 56, 1233–1240. [Google Scholar] [CrossRef] [PubMed]
- Ayala-Niño, A.; Rodríguez-Serrano, G.M.; González-Olivares, L.G.; Contreras-López, E.; Regal-López, P.; Cepeda-Saez, A. Sequence Identification of Bioactive Peptides from Amaranth Seed Proteins (Amaranthus hypochondriacus spp.). Molecules 2019, 24, 3033. [Google Scholar] [CrossRef] [PubMed]
- Vilcacundo, R.; Martínez-Villaluenga, C.; Miralles, B.; Hernández-Ledesma, B. Release of Multifunctional Peptides from Kiwicha (Amaranthus caudatus) Protein under in Vitro Gastrointestinal Digestion. J. Sci. Food Agric. 2019, 99, 1225–1232. [Google Scholar] [CrossRef] [PubMed]
- Xu, D.P.; Li, Y.; Meng, X.; Zhou, T.; Zhou, Y.; Zheng, J.; Zhang, J.J.; Li, H. Bin Natural Antioxidants in Foods and Medicinal Plants: Extraction, Assessment and Resources. Int. J. Mol. Sci. 2017, 18, 96. [Google Scholar] [CrossRef] [PubMed]
- Montoya-Rodríguez, A.; Milán-Carrillo, J.; Reyes-Moreno, C.; de Mejía, E.G.; González de Mejía, E. Characterization of Peptides Found in Unprocessed and Extruded Amaranth (Amaranthus hypochondriacus) Pepsin/Pancreatin Hydrolysates. Int. J. Mol. Sci. 2015, 16, 8536–8554. [Google Scholar] [CrossRef]
- Mir, N.; Riar, C.; Singh, S. Nutritional Constituents of Pseudo Cereals and Their Potential Use in Food Systems: A Review; Elsevier Ltd.: Amsterdam, The Netherlands, 2018; Volume 75, pp. 170–180. [Google Scholar]
- Kenmochi, E.; Kabir, S.R.; Ogawa, T.; Naude, R.; Tateno, H.; Hirabayashi, J.; Muramoto, K. Isolation and Biochemical Characterization of Apios Tuber Lectin. Molecules 2015, 20, 987–1002. [Google Scholar] [CrossRef]
- Banerjee, S.; Naresh, M.; Swamy, M.J. Effect of Temperature and PH on the Structure and Stability of Tumor-Specific Lectin Jacalin and Insights into the Location of Its Tryptophan Residues: CD, DSC and Fluorescence Studies. Int. J. Biol. Macromol. 2024, 260, 129451. [Google Scholar] [CrossRef]
- Singh, R.S.; Thakur, S.R.; Kennedy, J.F. Purification and Characterisation of a Xylose-Specific Mitogenic Lectin from Fusarium Sambucinum. Int. J. Biol. Macromol. 2020, 152, 393–402. [Google Scholar] [CrossRef]
- e Lacerda, R.R.; do Nascimento, E.S.; de Lacerda, J.T.J.G.; Pinto, L.d.S.; Rizzi, C.; Bezerra, M.M.; Pinto, I.R.; Filho, S.M.P.; Pinto, V.d.P.T.; Filho, G.C.; et al. Lectin from Seeds of a Brazilian Lima Bean Variety (Phaseolus lunatus L. Var. cascavel) Presents Antioxidant, Antitumour and Gastroprotective Activities. Int. J. Biol. Macromol. 2017, 95, 1072–1081. [Google Scholar] [CrossRef]
- Vasconcelos, I.M.; Oliveira, J.T.A. Antinutritional Properties of Plant Lectins. Toxicon 2004, 44, 385–403. [Google Scholar] [CrossRef]
- Solá, R.J.; Griebenow, K. Effects of Glycosylation on the Stability of Protein Pharmaceuticals. J. Pharm. Sci. 2009, 98, 1223–1245. [Google Scholar] [CrossRef] [PubMed]
- Kaur, N.; Dhuna, V.; Kamboj, S.S.; Agrewala, J.; Singh, J. A Novel Antiproliferative and Antifungal Lectin from Amaranthus Viridis Linn Seeds. Protein Pept. Lett. 2006, 13, 897–905. [Google Scholar] [CrossRef] [PubMed]
- Ahmad, S.; Khan, R.H.; Ahmad, A. Physicochemical Characterization of Cajanus Cajan Lectin: Effect of PH and Metal Ions on Lectin Carbohydrate Interaction. Biochim. Biophys. Acta Gen. Subj. 1999, 1427, 378–384. [Google Scholar] [CrossRef] [PubMed]
- NOM-007-SSA3-2011; Para la Organización y Funcionamiento de los Laboratorios Clínicos. NOM: Mexico City, Mexico, 2012.
- NOM-253-SSA1-2012; Para la Disposición de Sangre Humana y Sus Componentes con Fines Terapéuticos. NOM: Mexico City, Mexico, 2012.
- Horwitz, D.W.; Latimer, D.G. Official Methods of Analysis of AOAC International, 21st ed.; The Scientific Association Dedicated to Analytical Excellence: Rockville, MD, USA, 2019. [Google Scholar]
- Corke, H.; Cai, Y.Y.Z.; Wu, H.X. Amaranth: Overview. In Encyclopedia of Food Grains, 2nd ed.; Elsevier: Amsterdam, The Netherlands, 2016; pp. 287–296. [Google Scholar] [CrossRef]
- Valadez-Vega, C.; Morales-González, J.; Sumaya-Martínez, M.; Delgado-Olivares, L.; Cruz-Castañeda, A.; Bautista, M.; Sánchez-Gutiérrez, M.; Zuñiga-Pérez, C.; Valadez-Vega, C.; Morales-González, J.A.; et al. Cytotoxic and Antiproliferative Effect of Tepary Bean Lectins on C33-A, MCF-7, SKNSH, and SW480 Cell Lines. Molecules 2014, 19, 9610–9627. [Google Scholar] [CrossRef]
- Bradford, M.M. A Rapid and Sensitive Method for the Quantitation of Microgram Quantities of Protein Utilizing the Principle of Protein-Dye Binding. Anal. Biochem. 1976, 72, 248–254. [Google Scholar] [CrossRef]
- Basilio-Cortés, U.; González-Cruz, L.; Velazquez, G.; Teniente-Martínez, G.; Gómez-Aldapa, C.; Castro-Rosas, J.; Bernardino-Nicanor, A. Effect of Dual Modification on the Spectroscopic, Calorimetric, Viscosimetric and Morphological Characteristics of Corn Starch. Polymers 2019, 11, 333. [Google Scholar] [CrossRef]
- Valadez-Vega, C.; Lugo-Magaña, O.; Betanzos-Cabrera, G.; Villagómez-Ibarra, J.R. Partial Characterization of Lectins Purified from the Surco and Vara (Furrow and Rod) Varieties of Black Phaseolus Vulgaris. Molecules 2022, 27, 8436. [Google Scholar] [CrossRef]
- Singleton, V.; Rossi, J. Colorimetry of Total Phenolics with Phosphomolybdic-Phosphotungstic Acid Reagents. Am. J. Enol. Vitic. 1965, 16, 144–158. [Google Scholar] [CrossRef]
- DuBois, M.; Gilles, K.A.; Hamilton, J.K.; Rebers, P.A.; Smith, F. Colorimetric Method for Determination of Sugars and Related Substances. Anal. Chem. 1956, 28, 350–356. [Google Scholar] [CrossRef]
- Federica, T.; Da Ros, T.; Passamonti, S. Screening of Fullerene Toxicity by Hemolysis Assay. Methods Mol. Biol. 2012, 926, 203–217. [Google Scholar] [CrossRef]





| Fraction | Protein (mg/mL) | Hemagglutinating Units (HA) | Specific Activity (HA/Protein) * | Purification Factor |
|---|---|---|---|---|
| CE | 150.5 | 4096 | 27.2 | 1 |
| AhL | 17.2 | 8192 | 477.2 | 17.5 |
| Erythrocytes (HA/Protein) | |||
|---|---|---|---|
| Sample | A | B | AB |
| CE | 27.2 ± 1.1 a | 6.8 ± 0.5 b | 13.6 ± 0.9 c |
| AhL | 487.5 ± 0.7 a | 60.8 ± 1.3 b | 243.1 ± 0.6 c |
| Monosaccharide/ Glycoprotein | Inhibitory Concentration * (µg/mL) AhL |
|---|---|
| Galactose | 1.6 |
| Fetuin | 0.8 |
| Concentration (mg/mL) | CE | AhL | Trolox |
|---|---|---|---|
| Scavenging (%) | |||
| 0 | 43.63 | 45.46 | 16.07 |
| 125 | 52.18 | 45.28 | 16.73 |
| 250 | 60.97 | 55.57 | 19.88 |
| 500 | 65.82 | 68.08 | 30.74 |
| 1000 | 69.67 | 76.02 | 35.96 |
| 2000 | 82.18 | 96.00 | 39.21 |
| IC50 | 102.54 | 156.76 | 7.12 |
| Concentration (mg/mL) | CE | AhL | Trolox |
|---|---|---|---|
| Scavenging (%) | |||
| 0 | 30.67 | 30.61 | 27.08 |
| 125 | 44.12 | 17.35 | 131.45 |
| 250 | 55.84 | 45.28 | 196.19 |
| 500 | 77.07 | 62.48 | 252.89 |
| 1000 | 96.27 | 87.87 | 288.43 |
| 2000 | 109.62 | 107.90 | 378.56 |
| IC50 | 177.45 | 322.3 | 47.3 |
| Lectin | Concentration (ppm) | ||||||
|---|---|---|---|---|---|---|---|
| Mg2+ | K1+ | Na1+ | Cu2+ | Mn2+ | Ca2+ | Zn2+ | |
| Native | 138.3 ± 2.1 | 96 ± 2.2 | 55.1 ± 4.2 | 186.2 ± 0.3 | 196.2 ± 0.3 | 138.3 ± 2.1 | 185.3 ± 0.1 |
| Dialyzed vs. H2O | 119.5 ± 1.0 * | 94.1 ± 0.4 | 46 ± 2.2 | 174.5 ± 4.1 | 186.2 ± 0.3 * | 70.4 ± 2.1 * | 182.6 ± 1.5 |
| Dialyzed vs. EDTA | 127.3 ± 2.1 * | 77.8 ± 2.1 * | 53.7 ± 1.8 | 166 ± 4.0 * | 156.5 ± 1.7 * | 127.1 ± 3.2 * | 157.1 ± 1.7 * |
Disclaimer/Publisher’s Note: The statements, opinions and data contained in all publications are solely those of the individual author(s) and contributor(s) and not of MDPI and/or the editor(s). MDPI and/or the editor(s) disclaim responsibility for any injury to people or property resulting from any ideas, methods, instructions or products referred to in the content. |
© 2024 by the authors. Licensee MDPI, Basel, Switzerland. This article is an open access article distributed under the terms and conditions of the Creative Commons Attribution (CC BY) license (https://creativecommons.org/licenses/by/4.0/).
Share and Cite
Resendiz-Otero, M.F.; Bernardino-Nicanor, A.; Lugo-Magaña, O.; Betanzos-Cabrera, G.; González-Cruz, L.; Morales-González, J.A.; Acosta-García, G.; Fernández-Martínez, E.; Salazar-Campos, A.; Valadez-Vega, C. Purification, Structural Characterization, and Bioactivity of Amaranthus hypochondriacus Lectin. Molecules 2024, 29, 5101. https://doi.org/10.3390/molecules29215101
Resendiz-Otero MF, Bernardino-Nicanor A, Lugo-Magaña O, Betanzos-Cabrera G, González-Cruz L, Morales-González JA, Acosta-García G, Fernández-Martínez E, Salazar-Campos A, Valadez-Vega C. Purification, Structural Characterization, and Bioactivity of Amaranthus hypochondriacus Lectin. Molecules. 2024; 29(21):5101. https://doi.org/10.3390/molecules29215101
Chicago/Turabian StyleResendiz-Otero, Maria Fernanda, Aurea Bernardino-Nicanor, Olivia Lugo-Magaña, Gabriel Betanzos-Cabrera, Leopoldo González-Cruz, José A. Morales-González, Gerardo Acosta-García, Eduardo Fernández-Martínez, Arturo Salazar-Campos, and Carmen Valadez-Vega. 2024. "Purification, Structural Characterization, and Bioactivity of Amaranthus hypochondriacus Lectin" Molecules 29, no. 21: 5101. https://doi.org/10.3390/molecules29215101
APA StyleResendiz-Otero, M. F., Bernardino-Nicanor, A., Lugo-Magaña, O., Betanzos-Cabrera, G., González-Cruz, L., Morales-González, J. A., Acosta-García, G., Fernández-Martínez, E., Salazar-Campos, A., & Valadez-Vega, C. (2024). Purification, Structural Characterization, and Bioactivity of Amaranthus hypochondriacus Lectin. Molecules, 29(21), 5101. https://doi.org/10.3390/molecules29215101

