In Vitro and In Vivo Preventive Effects of Thymoquinone against Breast Cancer: Role of DNMT1
Abstract
1. Introduction
2. Results
2.1. TQ Inhibited Growth and Induced Apoptosis in T47D and MCF7 Cells
2.2. TQ Reduced DMBA-Induced Kidney and Liver Damage
2.3. Effect of TQ on DMBA-Induced Histopathological Changes in Mammary Glands of Female Rats
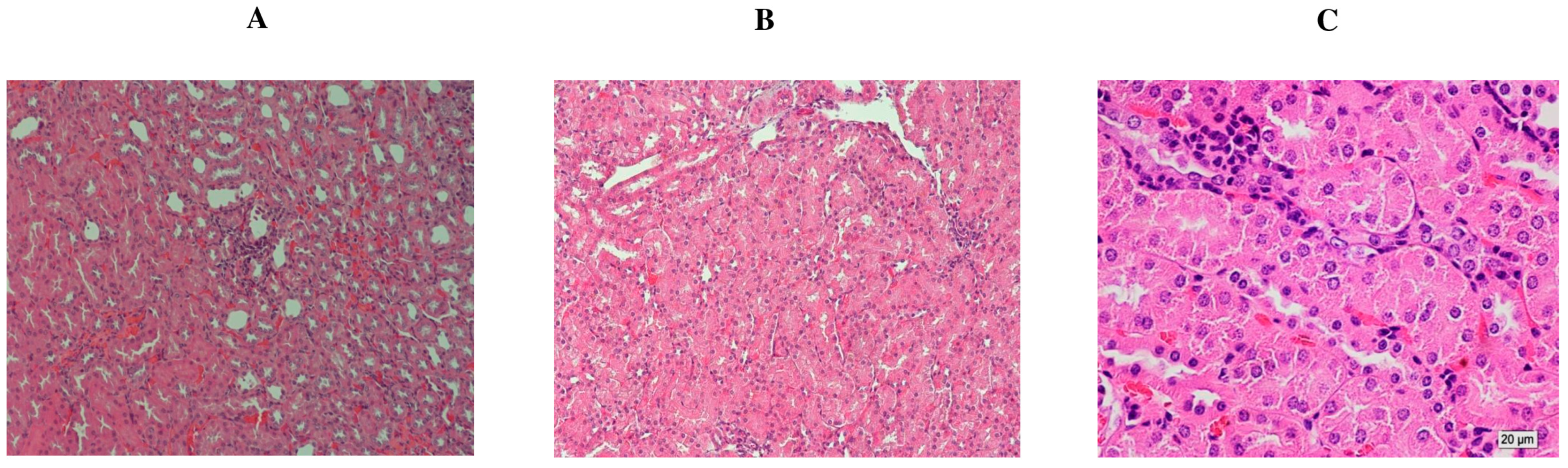
2.4. Effect of TQ on DMBA-Induced Histopathological Changes in Female Rat Kidneys
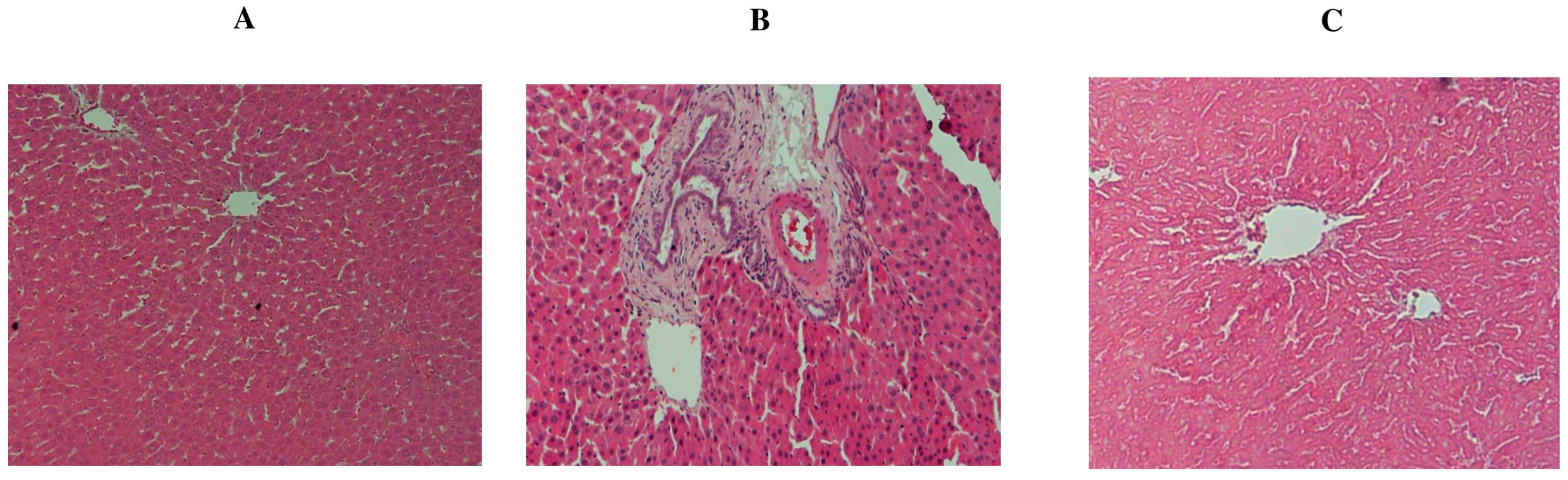
2.5. Effect of TQ on DMBA-Induced Histopathological Changes in Female Rat Livers
2.6. TQ Induced DNMT1 Downregulation in BC Cells and DMBA-Treated Female Rats
3. Discussion
4. Materials and Methods
4.1. Cell Culture and Treatment
4.2. Cell Proliferation Assay
4.3. Annexin-V-FITC Analysis (Apoptosis Assay)
4.4. Reverse Transcription and Real-Time PCR
4.5. Experimental Animals
4.6. Treatment Regime
- Control group: animals were administered corn oil (1 mL/kg) three times a week by oral gavage for 14 weeks [50].
- Positive control: animals were administered a single dose of DMBA (65 mg/kg) dissolved in corn oil by oral gavage.
- Preventive group: animals were administered a single dose of DMBA (65 mg/kg) dissolved in corn oil by oral gavage, and then they were given TQ (50 mg/kg), also dissolved in corn oil, orally three times a week for 14 weeks [51].
4.7. Histopathological Analysis
4.8. Analysis of mRNA Levels
4.9. Statistical Analysis
5. Conclusions
Author Contributions
Funding
Institutional Review Board Statement
Informed Consent Statement
Data Availability Statement
Conflicts of Interest
References
- Fang, L.; Liu, Q.; Cui, H.; Zheng, Y.; Wu, C. Bioinformatics Analysis Highlight Differentially Expressed CCNB1 and PLK1 Genes as Potential Anti-Breast Cancer Drug Targets and Prognostic Markers. Genes 2022, 13, 654. [Google Scholar] [CrossRef] [PubMed]
- Hobbs, E.A.; Chen, N.; Kuriakose, A.; Bonefas, E.; Lim, B. Prognostic/predictive markers in systemic therapy resistance and metastasis in breast cancer. Ther. Adv. Med. Oncol. 2022, 14, 17588359221112698. [Google Scholar] [CrossRef] [PubMed]
- Torre, L.A.; Bray, F.; Siegel, R.L.; Ferlay, J.; Lortet-Tieulent, J.; Jemal, A. Global cancer statistics, 2012. CA Cancer J. Clin. 2015, 65, 87–108. [Google Scholar] [CrossRef] [PubMed]
- Arnold, M.; Morgan, E.; Rumgay, H.; Mafra, A.; Singh, D.; Laversanne, M.; Vignat, J.; Gralow, J.R.; Cardoso, F.; Siesling, S.; et al. Current and future burden of breast cancer: Global statistics for 2020 and 2040. Breast 2022, 66, 15–23. [Google Scholar] [CrossRef] [PubMed]
- Chen, J.-Y.; Luo, C.-W.; Lai, Y.-S.; Wu, C.-C.; Hung, W.-C. Lysine demethylase KDM2A inhibits TET2 to promote DNA methylation and silencing of tumor suppressor genes in breast cancer. Oncogenesis 2017, 6, e369. [Google Scholar] [CrossRef] [PubMed]
- Sturgeon, S.R.; Balasubramanian, R.; Schairer, C.; Muss, H.B.; Ziegler, R.G.; Arcaro, K.F. Detection of promoter methylation of tumor suppressor genes in serum DNA of breast cancer cases and benign breast disease controls. Epigenetics 2012, 7, 1258–1267. [Google Scholar] [CrossRef] [PubMed]
- Xie, Q.; Bai, Q.; Zou, L.; Zhang, Q.; Zhou, Y.; Chang, H.; Yi, L.; Zhu, J.; Mi, M. Genistein inhibits DNA methylation and increases expression of tumor suppressor genes in human breast cancer cells. Genes Chromosom. Cancer 2014, 53, 422–431. [Google Scholar] [CrossRef]
- Birgisdottir, V.; Stefansson, O.A.; Bodvarsdottir, S.K.; Hilmarsdottir, H.; Jonasson, J.G.; Eyfjord, J.E. Epigenetic silencing and deletion of the BRCA1 gene in sporadic breast cancer. Breast Cancer Res. 2006, 8, R38. [Google Scholar] [CrossRef]
- Esteller, M.; Silva, J.M.; Dominguez, G.; Bonilla, F.; Matias-Guiu, X.; Lerma, E.; Bussaglia, E.; Prat, J.; Harkes, I.C.; Repasky, E.A.; et al. Promoter Hypermethylation and BRCA1 Inactivation in Sporadic Breast and Ovarian Tumors. J. Natl. Cancer Inst. 2000, 92, 564–569. [Google Scholar] [CrossRef]
- Rice, J.C.; Ozcelik, H.; Maxeiner, P.; Andrulis, I.; Futscher, B.W. Methylation of the BRCA1 promoter is associated with decreased BRCA1 mRNA levels in clinical breast cancer specimens. Carcinogenesis 2000, 21, 1761–1765. [Google Scholar] [CrossRef]
- Kastl, L.; Brown, I.; Schofield, A.C. Altered DNA methylation is associated with docetaxel resistance in human breast cancer cells. Int. J. Oncol. 2010, 36, 1235–1241. [Google Scholar]
- Li, Z.; Li, Y.; Ren, K.; Li, X.; Han, X.; Wang, J. Long non-coding RNA H19 promotes the proliferation and invasion of breast cancer through upregulating DNMT1 expression by sponging miR-152. J. Biochem. Mol. Toxicol. 2017, 31, e21933. [Google Scholar] [CrossRef] [PubMed]
- Zhang, W.; Chang, Z.; Shi, K.E.; Song, L.; Cui, L.I.; Ma, Z.; Li, X.; Ma, W.; Wang, L. The correlation between DNMT1 and ERα ex-pression and the methylation status of ERα, and its clinical significance in breast cancer. Oncol. Lett. 2016, 11, 1995–2000. [Google Scholar] [CrossRef] [PubMed]
- Yu, Z.; Xiao, Q.; Zhao, L.; Ren, J.; Bai, X.; Sun, M.; Wu, H.; Liu, X.; Song, Z.; Yan, Y.; et al. DNA methyl-transferase 1/3a overexpression in sporadic breast cancer is associated with reduced expression of estrogen recep-tor-alpha/breast cancer susceptibility gene 1 and poor prognosis. Mol. Carcinog. 2015, 54, 707–719. [Google Scholar] [CrossRef] [PubMed]
- Si, X.; Liu, Y.; Lv, J.; Ding, H.; Zhang, X.A.; Shao, L.; Yang, N.; Cheng, H.; Sun, L.; Zhu, D.; et al. ERα propelled aberrant global DNA hypermethylation by activating the DNMT1 gene to enhance anticancer drug resistance in human breast cancer cells. Oncotarget 2016, 7, 20966–20980. [Google Scholar] [CrossRef] [PubMed]
- Wang, Q.; Li, G.; Ma, X.; Liu, L.; Liu, J.; Yin, Y.; Li, H.; Chen, Y.; Zhang, X.; Zhang, L.; et al. LncRNA TINCR impairs the efficacy of immunotherapy against breast cancer by recruiting DNMT1 and downregulating MiR-199a-5p via the STAT1–TINCR-USP20-PD-L1 axis. Cell Death Dis. 2023, 14, 76. [Google Scholar] [CrossRef] [PubMed]
- Laranjeira, A.B.A.; Hollingshead, M.G.; Nguyen, D.; Kinders, R.J.; Doroshow, J.H.; Yang, S.X. DNA damage, demethylation and anticancer activity of DNA methyltransferase (DNMT) inhibitors. Sci. Rep. 2023, 13, 5964. [Google Scholar] [CrossRef]
- Parker, W.B.; Thottassery, J.V. 5-Aza-4’-thio-2’-deoxycytidine, a New Orally Bioavailable Nontoxic “Best-in-Class”: DNA Methyltransferase 1-Depleting Agent in Clinical Development. J. Pharmacol. Exp. Ther. 2021, 379, 211–222. [Google Scholar] [CrossRef] [PubMed]
- Zwergel, C.; Valente, S.; Mai, A. DNA Methyltransferases Inhibitors from Natural Sources. Curr. Top. Med. Chem. 2016, 16, 680–696. [Google Scholar] [CrossRef]
- Achour, M.; Mousli, M.; Alhosin, M.; Ibrahim, A.; Peluso, J.; Muller, C.D.; Schini-Kerth, V.B.; Hamiche, A.; Dhe-Paganon, S.; Bronner, C. Epigallocatechin-3-gallate up-regulates tumor suppressor gene expression via a reactive oxygen species-dependent down-regulation of UHRF1. Biochem. Biophys. Res. Commun. 2013, 430, 208–212. [Google Scholar] [CrossRef]
- Liu, Z.; Xie, Z.; Jones, W.; Pavlovicz, R.E.; Liu, S.; Yu, J.; Li, P.-K.; Lin, J.; Fuchs, J.R.; Marcucci, G.; et al. Curcumin is a potent DNA hypomethylation agent. Bioorganic Med. Chem. Lett. 2009, 19, 706–709. [Google Scholar] [CrossRef] [PubMed]
- Abolfathi, S.; Zare, M. The evaluation of chitosan hydrogel based curcumin effect on DNMT1, DNMT3A, DNMT3B, MEG3, HOTAIR gene expression in glioblastoma cell line. Mol. Biol. Rep. 2023, 50, 5977–5989. [Google Scholar] [CrossRef] [PubMed]
- Abdullah, O.; Omran, Z.; Hosawi, S.; Hamiche, A.; Bronner, C.; Alhosin, M. Thymoquinone Is a Multitarget Single Epidrug That Inhibits the UHRF1 Protein Complex. Genes 2021, 12, 622. [Google Scholar] [CrossRef] [PubMed]
- Ibrahim, A.; Alhosin, M.; Papin, C.; Ouararhni, K.; Omran, Z.; Zamzami, M.A.; Al-Malki, A.L.; Choudhry, H.; Mély, Y.; Hamiche, A.; et al. Thymoquinone challenges UHRF1 to commit auto-ubiquitination: A key event for apoptosis induction in cancer cells. Oncotarget 2018, 9, 28599–28611. [Google Scholar] [CrossRef]
- Qadi, S.A.; Hassan, M.A.; Sheikh, R.A.; Baothman, O.A.; A Zamzami, M.; Choudhry, H.; Al-Malki, A.L.; Albukhari, A.; Alhosin, M. Thymoquinone-Induced Reactivation of Tumor Suppressor Genes in Cancer Cells Involves Epigenetic Mechanisms. Epigenetics Insights 2019, 12, 2516865719839011. [Google Scholar] [CrossRef]
- Alhosin, M.; Razvi, S.S.I.; Sheikh, R.A.; Khan, J.A.; Zamzami, M.A.; Choudhry, H. Thymoquinone and Difluoro-methylornithine (DFMO) Synergistically Induce Apoptosis of Human Acute T Lymphoblastic Leukemia Jurkat Cells Through the Modulation of Epigenetic Pathways. Technol. Cancer Res. Treat. 2020, 19, 1533033820947489. [Google Scholar] [CrossRef]
- Alsanosi, S.; Sheikh, R.A.; Sonbul, S.; Altayb, H.N.; Batubara, A.S.; Hosawi, S.; Al-Sakkaf, K.; Abdullah, O.; Omran, Z.; Alhosin, M. The Potential Role of Nigella sativa Seed Oil as Epigenetic Therapy of Cancer. Molecules 2022, 27, 2779. [Google Scholar] [CrossRef]
- Pang, J.; Shen, N.; Yan, F.; Zhao, N.; Dou, L.; Wu, L.-C.; Seiler, C.L.; Yu, L.; Yang, K.; Bachanova, V.; et al. Thymoquinone exerts potent growth-suppressive activity on leukemia through DNA hypermethylation reversal in leukemia cells. Oncotarget 2017, 8, 34453–34467. [Google Scholar] [CrossRef]
- Abusnina, A.; Alhosin, M.; Keravis, T.; Muller, C.D.; Fuhrmann, G.; Bronner, C.; Lugnier, C. Down-regulation of cyclic nu-cleotide phosphodiesterase PDE1A is the key event of p73 and UHRF1 deregulation in thymoquinone-induced acute lym-phoblastic leukemia cell apoptosis. Cell. Signal. 2011, 23, 152–160. [Google Scholar] [CrossRef]
- Alhosin, M.; Abusnina, A.; Achour, M.; Sharif, T.; Muller, C.; Peluso, J.; Chataigneau, T.; Lugnier, C.; Schini-Kerth, V.B.; Bronner, C.; et al. Induction of apoptosis by thymoquinone in lymphoblastic leukemia Jurkat cells is mediated by a p73-dependent pathway which targets the epigenetic integrator UHRF1. Biochem. Pharmacol. 2009, 79, 1251–1260. [Google Scholar] [CrossRef]
- Li, Z.; Wang, P.; Cui, W.; Yong, H.; Wang, D.; Zhao, T.; Wang, W.; Shi, M.; Zheng, J.; Bai, J. Tumour-associated macrophages enhance breast cancer malignancy via inducing ZEB1-mediated DNMT1 transcriptional activation. Cell Biosci. 2022, 12, 176. [Google Scholar] [CrossRef] [PubMed]
- Xiang, F.; Zhu, Z.; Zhang, M.; Wang, J.; Chen, Z.; Li, X.; Zhang, T.; Gu, Q.; Wu, R.; Kang, X. 3,3’-Diindolylmethane Enhances Paclitaxel Sensitivity by Suppressing DNMT1-Mediated KLF4 Methylation in Breast Cancer. Front. Oncol. 2021, 11, 627856. [Google Scholar] [CrossRef] [PubMed]
- Zhu, X.; Lv, L.; Wang, M.; Fan, C.; Lu, X.; Jin, M.; Li, S.; Wang, F. DNMT1 facilitates growth of breast cancer by inducing MEG3 hyper-methylation. Cancer Cell Int. 2022, 22, 56. [Google Scholar] [CrossRef] [PubMed]
- Liang, F.; Zhang, H.; Gao, H.; Cheng, D.; Zhang, N.; Du, J.; Yue, J.; Du, P.; Zhao, B.; Yin, L. Liquiritigenin decreases tumorigenesis by inhibiting DNMT activity and increasing BRCA1 transcriptional activity in triple-negative breast cancer. Exp. Biol. Med. 2020, 246, 459–466. [Google Scholar] [CrossRef] [PubMed]
- Romagnolo, D.F.; Donovan, M.G.; Papoutsis, A.J.; Doetschman, T.C.; Selmin, O.I. Genistein Prevents BRCA1 CpG Methyl-ation and Proliferation in Human Breast Cancer Cells with Activated Aromatic Hydrocarbon Receptor. Curr. Dev. Nutr. 2017, 1, e000562. [Google Scholar] [CrossRef] [PubMed]
- Pu, Y.; Hu, S.; Chen, Y.; Zhang, Q.; Xia, C.; Deng, H.; Wang, Y.; Hu, Q. Thymoquinone loaded calcium alginate and polyvinyl alcohol carrier inhibits the 7,12-dimethylbenz[a]anthracene-induced hamster oral cancer via the down-regulation of PI3K/AKT/mTOR signaling pathways. Environ. Toxicol. 2021, 36, 339–351. [Google Scholar] [CrossRef]
- Cao, Y.; Wang, J.; Henry-Tillman, R.; Klimberg, V. Effect of 7,12-Dimethylbenz[a]anthracene (DMBA) on Gut Glutathione Metabolism. J. Surg. Res. 2001, 100, 135–140. [Google Scholar] [CrossRef]
- Sharma, V.; Paliwal, R. Potential Chemoprevention of 7,12-Dimethylbenz[a]anthracene Induced Renal Carcinogenesis by Moringa oleifera Pods and Its Isolated Saponin. Indian J. Clin. Biochem. 2013, 29, 202–209. [Google Scholar] [CrossRef]
- Morito, S.; Yasui, H.; Itoh, T.; Kamoshida, S.; Ohsaki, H. Malignant mesothelioma cells with characteristic intracytoplasmic vacuolization and lipids. Diagn. Cytopathol. 2023, 51, E328–E331. [Google Scholar] [CrossRef]
- Zhang, L.-C.; Liu, Y.-N.; La, X.-Q.; Li, S.-T.; Wen, L.-N.; Liu, T.; Li, H.-Q.; Li, A.-P.; Wu, H.; Wu, C.-X.; et al. The bound polyphenols of foxtail millet (Setaria italica) inner shell inhibit breast cancer by promoting lipid accumulation-induced autophagic death. Food Chem. Toxicol. 2023, 177, 113855. [Google Scholar] [CrossRef]
- Abdelmeguid, N.E.; Khalil, M.I.; Badr, N.S.; Alkhuriji, A.F.; El-Gerbed, M.S.; Sultan, A.S. Ameliorative effects of colostrum against DMBA hepatotoxicity in rats. Saudi J. Biol. Sci. 2021, 28, 2254–2266. [Google Scholar] [CrossRef] [PubMed]
- Rout, S.K.; Priya, V.; Setia, A.; Mehata, A.K.; Mohan, S.; Albratty, M.; Najmi, A.; Meraya, A.M.; Makeen, H.A.; Tambuwala, M.M.; et al. Mitochondrial targeting theranostic nanomedicine and molecular biomarkers for efficient cancer diagnosis and therapy. Biomed. Pharmacother. 2022, 153, 113451. [Google Scholar] [CrossRef] [PubMed]
- Fontana, R.J.; Liou, I.; Reuben, A.; Suzuki, A.; Fiel, M.I.; Lee, W.; Navarro, V. AASLD practice guidance on drug, herbal, and dietary supplement-induced liver injury. Hepatology 2023, 77, 1036–1065. [Google Scholar] [CrossRef] [PubMed]
- Bhatia, D.; Capili, A.; Choi, M.E. Mitochondrial dysfunction in kidney injury, inflammation, and disease: Potential ther-apeutic approaches. Kidney Res. Clin. Pract. 2020, 39, 244–258. [Google Scholar] [CrossRef] [PubMed]
- Kwon, Y.-J.; Kwon, T.-U.; Shin, S.; Lee, B.; Lee, H.; Park, H.; Kim, D.; Moon, A.; Chun, Y.-J. Enhancing the invasive traits of breast cancers by CYP1B1 via regulation of p53 to promote uPAR expression. Biochim. Biophys. Acta Mol. Basis Dis. 2024, 1870, 166868. [Google Scholar] [CrossRef]
- Wang, H.; Yu, W.; Wang, Y.; Wu, R.; Dai, Y.; Deng, Y.; Wang, S.; Yuan, J.; Tan, R. p53 contributes to cardiovascular diseases via mitochondria dysfunction: A new paradigm. Free. Radic. Biol. Med. 2023, 208, 846–858. [Google Scholar] [CrossRef] [PubMed]
- Xiong, C.; Ling, H.; Hao, Q.; Zhou, X. Cuproptosis: p53-regulated metabolic cell death? Cell Death Differ. 2023, 30, 876–884. [Google Scholar] [CrossRef] [PubMed]
- Poojari, R.; Gupta, S.; Maru, G.; Khade, B.; Bhagwat, S. Chemopreventive and hepatoprotective effects of embelin on N-nitrosodiethylamine and carbon tetrachloride induced preneoplasia and toxicity in rat liver. Asian Pac. J. Cancer Prev. APJCP 2010, 11, 1015–1020. [Google Scholar]
- Bharati, S.; Rishi, P.; Koul, A. Azadirachta indica exhibits chemopreventive action against hepatic cancer: Studies on as-sociated histopathological and ultrastructural changes. Microsc. Res. Tech. 2012, 75, 586–595. [Google Scholar] [CrossRef]
- Karnam, K.C.; Ellutla, M.; Bodduluru, L.N.; Kasala, E.R.; Uppulapu, S.K.; Kalyankumarraju, M.; Lahkar, M. Preventive effect of berberine against DMBA-induced breast cancer in female Sprague Dawley rats. Biomed. Pharmacother. 2017, 92, 207–214. [Google Scholar] [CrossRef]
- Linjawi, S.A.A.; Khalil, W.K.B.; Hassanane, M.M.; Ahmed, E.S. Evaluation of the protective effect of Nigella sativa extract and its primary active component thymoquinone against DMBA-induced breast cancer in female rats. Arch. Med. Sci. 2015, 11, 220–229. [Google Scholar] [CrossRef] [PubMed]







Disclaimer/Publisher’s Note: The statements, opinions and data contained in all publications are solely those of the individual author(s) and contributor(s) and not of MDPI and/or the editor(s). MDPI and/or the editor(s) disclaim responsibility for any injury to people or property resulting from any ideas, methods, instructions or products referred to in the content. |
© 2024 by the authors. Licensee MDPI, Basel, Switzerland. This article is an open access article distributed under the terms and conditions of the Creative Commons Attribution (CC BY) license (https://creativecommons.org/licenses/by/4.0/).
Share and Cite
Kaleem, M.; Kayali, A.; Sheikh, R.A.; Kuerban, A.; Hassan, M.A.; Almalki, N.A.R.; Al-Abbasi, F.A.; Anwar, F.; Omran, Z.; Alhosin, M. In Vitro and In Vivo Preventive Effects of Thymoquinone against Breast Cancer: Role of DNMT1. Molecules 2024, 29, 434. https://doi.org/10.3390/molecules29020434
Kaleem M, Kayali A, Sheikh RA, Kuerban A, Hassan MA, Almalki NAR, Al-Abbasi FA, Anwar F, Omran Z, Alhosin M. In Vitro and In Vivo Preventive Effects of Thymoquinone against Breast Cancer: Role of DNMT1. Molecules. 2024; 29(2):434. https://doi.org/10.3390/molecules29020434
Chicago/Turabian StyleKaleem, Mohammed, Asaad Kayali, Ryan A. Sheikh, Abudukadeer Kuerban, Mohammed A. Hassan, Naif Abdullah R. Almalki, Fahad A. Al-Abbasi, Firoz Anwar, Ziad Omran, and Mahmoud Alhosin. 2024. "In Vitro and In Vivo Preventive Effects of Thymoquinone against Breast Cancer: Role of DNMT1" Molecules 29, no. 2: 434. https://doi.org/10.3390/molecules29020434
APA StyleKaleem, M., Kayali, A., Sheikh, R. A., Kuerban, A., Hassan, M. A., Almalki, N. A. R., Al-Abbasi, F. A., Anwar, F., Omran, Z., & Alhosin, M. (2024). In Vitro and In Vivo Preventive Effects of Thymoquinone against Breast Cancer: Role of DNMT1. Molecules, 29(2), 434. https://doi.org/10.3390/molecules29020434

