Evaluating the Root Extract of Reynoutria ciliinervis (Nakai) Moldenke: An Analysis of Active Constituents, Antioxidant Potential, and Investigation of Hepatoprotective Effects in Rats
Abstract
1. Introduction
2. Results and Discussion
2.1. Preliminary Identification of Phytochemicals
2.2. Extraction Yields
2.3. Content of Active Ingredients
2.3.1. Total Carbohydrate Content (TCC)
2.3.2. Total Protein Content (TProC)
2.3.3. Total Phenolic Content (TPheC)
2.3.4. Total Steroid Content (TSC)
2.3.5. Total Alkaloid Content (TAC)
2.3.6. Total Flavonoid Content (TFC)
2.3.7. Total Phenolic Acid Content (TPAC)
2.3.8. Total Tannin Content (TTanC), Gallotannin Content (GC) and Condensed Tannin Content (CTC)
2.4. Antioxidant Activity In Vitro
2.4.1. 1,1-Diphenyl-2-Picrylhydrazyl Radical (DPPH) and 2,2′-Azino-Bis(3-Ethylbenzothiazoline-6-Sulfonicacid) Diammonium Salt (ABTS)
2.4.2. Hydroxyl Radicals and Superoxide Radicals
2.4.3. Ferric Reducing Antioxidant Power (FRAP) and Cupric Reducing Antioxidant Capacity (CUPRAC)
2.4.4. Metal Chelation
2.4.5. Hydrogen Peroxide (H2O2)
2.4.6. Singlet Oxygen
2.4.7. β-Carotene Bleaching
2.5. UHPLC-MS Identification
2.6. Stability of Methanol Extract
2.6.1. pH Stability
2.6.2. Thermal Stability
2.6.3. In Vitro Gastrointestinal Stability
2.7. Oxidative Stability of Oils
2.8. Oral Acute Toxicity
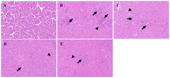
2.9. Hepatoprotective Activity
3. Material and Methods
3.1. Materials
3.2. Methods
3.2.1. Qualitative Phytochemical Analysis
3.2.2. Preparation of Different Extracts of R. ciliinervis Root
3.2.3. Quantitative Phytochemical Analysis
3.2.4. Antioxidant Activity Assays
3.2.5. UHPLC-MS Analysis
3.2.6. Stability Studies of Methanol Extract
3.2.7. Oxidative Stability Studies of Oils
3.2.8. Oral Acute Toxicity Study
3.2.9. Hepatoprotective Experiments
3.2.10. Statistical Analysis
4. Conclusions
Supplementary Materials
Author Contributions
Funding
Institutional Review Board Statement
Informed Consent Statement
Data Availability Statement
Acknowledgments
Conflicts of Interest
References
- Li, C.Y.; Han, L.P.; Zhou, T.J.; Wang, L.J.; Cui, T.T.; Wu, Y.F. Effects of different extracting methods on the content of total flavines in Polygonum cillinerve. Strait Pharm. J. 2018, 30, 23–25. [Google Scholar]
- Qiao, Y.; Mu, Y.; He, F.; Mu, K.F.; Mu, K.; Mu, K.X.; Yuan, R.H. Preliminary discussion on clinical medication law of taibai herbaceous medicine. J. Shaanxi Univ. Chin. Med. 2021, 44, 21–26. [Google Scholar] [CrossRef]
- Song, X.M.; Liu, H.J. Research and Application of Taibai Qi Yao; People’s Medical Publishing House: Beijing, China, 2011; pp. 114–117. [Google Scholar]
- Gang, A.S. Studies on Structural Development and Their Correlation with Accumulation of Effectual Components in Polygonum ciliinerve. Master’s Thesis, Northwest University, Xi’an, China, 2008. [Google Scholar]
- Zhao, Y.Q.; Zhao, Y.Q.; Yang, L.R.; Li, W.H.; Du, J.Y.; Hou, Q.D.; Fan, Y.P. Overview of research on total anthraquinones in Zhushaqi. Prog. Vet. Med. 2022, 43, 121–124. [Google Scholar] [CrossRef]
- Cui, J.J.; Yuan, J.F.; Zhang, Z.Q. Extraction and biological activity of crude polysaccharide from Polygonum ciliinerve. Nat. Prod. Res. Dev. 2007, 19, 960–964. [Google Scholar] [CrossRef]
- Zhang, W.M. Study on Antiviral and Antibacterial Active Components in Polygonum taipaishanense and Polygonum ciliinerve. Ph.D. Thesis, Northwest A&F University, Yangling, China, 2010. [Google Scholar]
- Chen, J.Y.; Du, Y.H.; Cai, Q. Experimental studies on the pharmacodynamics of Polygonum Cillinerve (Nakai) Ohwi. Hubei J. Tradit. Chin. Med. 1998, 20, 56–57. [Google Scholar]
- Zhao, Q.; Guo, H.L.; Guo, L.; Xu, B.; Zhang, X.S. Total anthraquinone in Zhushaqi (Polygonum cillinerve Ohwi): Its effects on xenograft tumor in S180, H22 and EAC animals. J. Shaanxi Univ. Chin. Med. 2008, 31, 61–63. [Google Scholar]
- Li, X.; Xu, H.N.; Li, S.X.; Zhang, H.W.; Jiang, Y.; Li, Y.Z.; Song, X.M.; Zhang, D.D.; Wang, W. Study on chemical constituents of “Taibai Qi Yao” Polygonum Cillinerve (Nakai) Ohwi. Chin. Tradit. Herb. Drugs 2023, 54, 1043–1050. [Google Scholar] [CrossRef]
- Zhao, Q.; Hu, R.; Wei, H.; Guo, H.L.; Lv, T.; Sun, F.Y. Study of total anthraquinone from Zhushaqi on the antioxidant activity influence in S180 bearing mice. Pharmacol. Clin. Chin. Mater. Med. 2013, 29, 72–74. [Google Scholar] [CrossRef]
- Lv, J.; Cao, L.X.; Zhao, X.; Wang, J.; Ma, L. Effects of different doses of total anthraquinone from Zhushaqi on immune function and antioxidant capacity in H22 tumor bearing mice. Prog. Mod. Biomed. 2018, 18, 2851–2854, 2877. [Google Scholar] [CrossRef]
- Wang, X.M.; Li, Z.X.; Ren, L.J. Study on antioxidative activity of polysaccharide in Polygonum cillinerve (Nakai) Ohwi. J. Anhui Agric. Sci. 2010, 38, 19346–19347, 19510. [Google Scholar] [CrossRef]
- Wang, X.M.; Zhao, L.F.; Zhi, J.J.; Guo, J.B. Extraction and antioxidant activity of total tannins from Polygonum cillinerve (Nakai) Ohwi. Chem. Ind. Times 2011, 25, 25–28. [Google Scholar] [CrossRef]
- Feng, Z.L.; Wang, D.P.; Zhuang, S.T. Treatment of 100 cases of chronic atrophic gastritis with Hugailing capsule. Shaanxi J. Tradit. Chin. Med. 1995, 16, 296. [Google Scholar]
- Zeng, S.H.; Huang, L.Y. Treatment of 180 cases of chronic gastritis with Compound Zhushaqi Decoction. Shaanxi J. Tradit. Chin. Med. 1995, 16, 295. [Google Scholar]
- Internal Medicine Research Room of Shaanxi Institute of Traditional Chinese Medicine. Observation on the therapeutic effect of Zhushaqi in the treatment of 110 cases of acute bacterial dysentery. Shaanxi Med. J. 1972, 1, 17–19, 35. [Google Scholar]
- Qi, H.Y. Analysis of active components in traditional Chinese medicine Zhushaqi. Strait Pharm. J. 2019, 31, 50–52. [Google Scholar]
- Abdullah, M.Z.; Mohd Ali, J.; Abolmaesoomi, M.; Abdul-Rahman, P.S.; Hashim, O.H. Anti-proliferative, in vitro antioxidant, and cellular antioxidant activities of the leaf extracts from Polygonum minus huds: Effects of solvent polarity. Int. J. Food Prop. 2017, 20, 846–862. [Google Scholar] [CrossRef]
- Wang, W.L.; Zhu, X.M.; Liu, X.L. Research progress in factors influencing biological activity of polysaccharides. Chem. Bioeng. 2024, 41, 9–17. [Google Scholar] [CrossRef]
- Liang, L.H.; Su, Q.H.; Ma, Y.; Zhao, S.Z.; Zhang, H.J.; Gao, X.F. Research progress on the polysaccharide extraction and antibacterial activity. Ann. Microbiol. 2024, 74, 17. [Google Scholar] [CrossRef]
- Chen, M.H.; He, X.; Sun, H.; Sun, Y.; Li, L.; Zhu, J.Y.; Xia, G.Q.; Guo, X.; Zang, H. Phytochemical analysis, UPLC-ESI-Orbitrap-MS analysis, biological activity, and toxicity of extracts from Tripleurospermum limosum (Maxim.) Pobed. Arabian J. Chem. 2022, 15, 103797. [Google Scholar] [CrossRef]
- Qi, H.Y.; Zhang, C.F.; Zhang, M.; Liu, J.Q.; Wang, Z.T. Three new anthraquinones from Polygonum cillinerve. Chin. Chem. Lett. 2005, 16, 1050–1052. [Google Scholar]
- Qi, H.Y.; Zhang, C.F.; Zhang, M.; Wang, Z.T. Studies on constituents and antifungal activity of Polygonum cillinerve. Chin. Pharm. J. 2005, 40, 819–822. [Google Scholar]
- Hu, L.L. Screening and optimization of ethanol extraction process for active constituents from Polygonum cillinerve. Guizhou Agric. 2019, 47, 118–120, 124. [Google Scholar]
- Li, X.L. Extraction and In Vivo Pharmacokinetics of Anthraquinones from Polygonum Cillinerve (Nakai) Ohwi in Rats. Master’s Thesis, Shaanxi Normal University, Xi’an, China, 2008. [Google Scholar]
- Jung, M.; Lee, Y.; Han, S.O.; Hyeon, J.E. Advancements in sustainable plant-based alternatives: Exploring proteins, fats, and manufacturing challenges in alternative meat production. J. Microbiol. Biotechnol. 2024, 34, 994–1002. [Google Scholar] [CrossRef] [PubMed]
- Yuan, X.Y.; Wu, X.T. Experimental study on the anti-inflammatory and anti-ulcer effects of Polygonum Cillinerve (Nakai) Ohwi. J. Shaanxi Coll. Tradit. Chin. Med. 2003, 26, 48–49. [Google Scholar] [CrossRef]
- Susanti, I.; Pratiwi, R.; Rosandi, Y.; Hasanah, A.N. Separation methods of phenolic compounds from plant extract as antioxidant agents candidate. Plants 2024, 13, 965. [Google Scholar] [CrossRef]
- Jiao, X.Y.; Wang, Y.H.; Lin, Y.; Lang, Y.X.; Li, E.H.; Zhang, X.Y.; Zhang, Q.; Feng, Y.; Meng, X.J.; Li, B. Blueberry polyphenols extract as a potential prebiotic with anti-obesity effects on C57BL/6 J mice by modulating the gut microbiota. J. Nutr. Biochem. 2019, 64, 88–100. [Google Scholar] [CrossRef]
- Collins, B.; Hoffman, J.; Martinez, K.; Grace, M.; Lila, M.A.; Cockrell, C.; Nadimpalli, A.; Chang, E.; Chuang, C.C.; Zhong, W.; et al. A polyphenol-rich fraction obtained from table grapes decreases adiposity, insulin resistance and markers of inflammation and impacts gut microbiota in high-fat-fed mice. J. Nutr. Biochem. 2016, 31, 150–165. [Google Scholar] [CrossRef]
- Yao, R.H. The current research status and progress of steroidal drugs. Technol. Wind 2016, 29, 260–261. [Google Scholar] [CrossRef]
- Wang, S.; Wen, B.Y.; Wang, N.; Liu, J.T.; He, L.C. Fluorenone alkaloid from Caulophyllum robustum Maxim. with anti-myocardial ischemia activity. Arch. Pharm. Res. 2009, 32, 521–526. [Google Scholar] [CrossRef]
- Si, K.W.; Liu, J.T.; He, L.C.; Li, X.K.; Gou, W.; Liu, C.H.; Li, X.Q. Effects of caulophine on caffeine-induced cellular injury and calcium homeostasis in rat cardiomyocytes. Basic Clin. Pharmacol. 2010, 107, 976–981. [Google Scholar] [CrossRef]
- Cao, X.H. Studies the Chemical Composition of Polygonum Cillinerve (Nakai) Ohwi and Its Biological Activities. Master’s Thesis, Shaanxi University of Science & Technology, Xi’an, China, 2018. [Google Scholar]
- Cao, X.H.; Ma, Y.M.; Wu, Y.; Xue, L.A. Studies on the chemical composition of Polygonum Cillinerve (Nakai) Ohwi. Chin. Tradit. Pat. Med. 2018, 40, 862–865. [Google Scholar]
- Zhang, Z.L. Study on the Chemical Composition of Polygonum cillinerve. Master’s Thesis, Shaanxi University of Chinese Medicine, Xianyang, China, 2022. [Google Scholar] [CrossRef]
- Patil, V.M.; Masand, N. Anticancer potential of flavonoids: Chemistry, biological activities, and future perspectives. Stud. Nat. Prod. Chem. 2018, 59, 401–430. [Google Scholar] [CrossRef]
- Panche, A.N.; Diwan, A.D.; Chandra, S.R. Flavonoids: An overview. J. Nutr. Sci. 2016, 5, 1–15. [Google Scholar] [CrossRef]
- Batra, P.; Sharma, A.K. Anti-cancer potential of flavonoids: Recent trends and future perspectives. 3 Biotech 2013, 3, 439–459. [Google Scholar] [CrossRef] [PubMed]
- Tapas, A.; Sakarkar, D.; Kakde, R. Flavonoids as nutraceuticals: A review. Trop. J. Pharm. Res. 2018, 7, 1089–1099. [Google Scholar] [CrossRef]
- Fraga-Corral, M.; García-Oliveira, P.; Pereira, A.G.; Lourenço-Lopes, C.; Jimenez-Lopez, C.; Prieto, M.A.; Simal-Gandara, J. Technological application of tannin-based extracts. Molecules 2020, 25, 614. [Google Scholar] [CrossRef] [PubMed]
- Molnar, M.; Jakovljević Kovač, M.; Pavić, V. A comprehensive analysis of diversity, structure, biosynthesis and extraction of biologically active tannins from various plant-based materials using deep eutectic solvents. Molecules 2024, 29, 2615. [Google Scholar] [CrossRef]
- Dehghanian, Z.; Habibi, K.; Dehghanian, M.; Aliyar, S.; Asgari Lajayer, B.; Astatkie, T.; Minkina, T.; Keswani, C. Reinforcing the bulwark: Unravelling the efficient applications of plant phenolics and tannins against environmental stresses. Heliyon 2022, 8, e09094. [Google Scholar] [CrossRef]
- Mueller-Harvey, I. Analysis of hydrolysable tannins. Anim. Feed Sci. Tech. 2001, 91, 3–20. [Google Scholar] [CrossRef]
- Boulekbache-Makhlouf, L.; Meudec, E.; Mazauric, J.P.; Madani, K.; Cheynier, V. Qualitative and semi-quantitative analysis of phenolics in Eucalyptus globulus leaves by high-performance liquid chromatography coupled with diode array detection and electrospray ionisation mass spectrometry. Phytochem. Anal. 2013, 24, 162–170. [Google Scholar] [CrossRef]
- Chen, B.; Wang, F. Colorimetry in determining the content of anthraquinone in Antenoron filiforme extractives. Mod. Chin. Med. 2008, 10, 56–57. [Google Scholar]
- Wang, X.M.; Zhao, W.X.; Wang, Y.S. Study on extraction of tannin from Polygonum Cillinerve (Nakai) Ohwi by ultrasonic method. Chem. Bioeng. 2011, 28, 34–36. [Google Scholar] [CrossRef]
- Qu, Q.; Zhang, Y.; Zhao, X.M.; Zhang, X.B.; Wei, X.; Tang, Y.Y.; Lei, X.; Song, X. Polygonum ciliinerve (Nakai) Ohwi: A review of its botany, traditional uses, phytochemistry, pharmacology, pharmacokinetics and toxicology. Naunyn-Schmiedeberg’s Arch. Pharmacol. 2024, 397, 5403–5420. [Google Scholar] [CrossRef] [PubMed]
- Zhou, Y.; Ma, W.; Wang, L.; Sun, W.; Li, M.; Zhang, W.; Liu, Y.; Song, X.; Fan, Y. Characterization and antioxidant activity of the oligo-maltose fraction from Polygonum Cillinerve. Carbohydr. Polym. 2019, 226, 115307. [Google Scholar] [CrossRef] [PubMed]
- Lin, H.T.; Nah, S.L.; Huang, Y.Y.; Wu, S.C. Potential antioxidant components and characteristics of fresh Polygonum Multiflorum. J. Food Drug Anal. 2010, 18, 120–127. [Google Scholar] [CrossRef]
- Gulcin, I. Antioxidants and antioxidant methods: An updated overview. Arch. Toxicol. 2020, 94, 651–715. [Google Scholar] [CrossRef]
- Tunnisa, F.; Nur, F.D.; Afriyanti, A.; Rosalina, D.; Ana, S.M.; Darmawan, N.; Dewi, Y.N. Antioxidant and antidiabetic compounds identification in several Indonesian underutilized Zingiberaceae spices using SPME-GC/MS-based volatilomics and in silico methods. Food Chem. X 2022, 14, 100285. [Google Scholar] [CrossRef]
- Lomozová, Z.; Hrubša, M.; Conte, P.F.; Papastefanaki, E.; Moravcová, M.; Catapano, M.C.; Proietti, S.I.; Karlíčková, J.; Kučera, R.; Macáková, K.; et al. The effect of flavonoids on the reduction of cupric ions, the copper-driven fenton reaction and copper-triggered haemolysis. Food Chem. 2022, 394, 133461. [Google Scholar] [CrossRef]
- Raja, S.; Ramya, I. In vitro antioxidant activity of Polygonum Glabrum. Int. J. Phytomed. 2017, 9, 351–363. [Google Scholar] [CrossRef][Green Version]
- Chen, Q.Y.; Yu, M.; Tian, Z.M.; Cui, Y.Y.; Deng, D.; Rong, T.; Liu, Z.C.; Song, M.; Li, Z.M.; Ma, X.Y.; et al. Exogenous glutathione protects IPEC-J2 cells against oxidative stress through a mitochondrial mechanism. Molecules 2022, 27, 2416. [Google Scholar] [CrossRef]
- Kim, S.Y.; Lee, S.M.; Tak, J.K.; Choi, K.S.; Kwon, T.K.; Park, J.W. Regulation of singlet oxygen-induced apoptosis by cytosolic NADP+-dependent isocitrate dehydrogenase. Mol. Cell. Biochem. 2007, 302, 27–34. [Google Scholar] [CrossRef] [PubMed]
- Ren, B.Q.; Wang, F.; Lu, S.H.; Ma, F.T. Research progress on production, extraction technology and functions of β-carotene. Shandong Chem. Ind. 2023, 52, 69–72. [Google Scholar] [CrossRef]
- Cao, Y.N.; Song, Z.Q.; Wei, Z.; Zeng, L.Y.; Zhang, L.L.; Liu, Z.L. Research progress on measurement methods of antioxidant activity of antioxidants. China Pharm. 2013, 24, 86–88. [Google Scholar]
- Othman, A.; Mukhtar, N.J.; Ismail, N.S.; Chang, S.K. Phenolics, flavonoids content and antioxidant activities of 4 Malaysian herbal plants. Int. Food Res. J. 2014, 21, 759–766. [Google Scholar]
- Sumazian, Y.; Syahida, A.; Hakiman, M.; Maziah, M. Antioxidant activities, flavonoids, ascorbic acid and phenolic contents of Malaysian vegetables. J. Med. Plants Res. 2010, 4, 881–890. [Google Scholar] [CrossRef]
- Chen, H.; Li, X.; Chi, H.; Li, Z.; Wang, C.; Wang, Q.; Feng, H.; Li, P. A qualitative analysis of cultured adventitious ginseng root’s chemical composition and immunomodulatory effects. Molecules 2024, 29, 111. [Google Scholar] [CrossRef] [PubMed]
- Cao, L.; Li, Q.; Lametsch, R. Comparative analysis of substrate affinity and catalytic efficiency of γ-glutamyltransferase from bovine milk and Bacillus amyloliquefaciens. Food Chem. 2023, 405, 134930. [Google Scholar] [CrossRef] [PubMed]
- Zhang, Z.Y.; You, L.Y.; Liu, Y.F.; Zhang, S.J.; Ruan, Y.P.; Zhang, X.; Hu, L.L. Mechanism of action of the Banxia-Xiakucao herb pair in sleep deprivation: New comprehensive evidence from network pharmacology, transcriptomics and molecular biology experiments. J. Ethnopharmacol. 2024, 334, 118534. [Google Scholar] [CrossRef]
- Baron, G.; Ferrario, G.; Marinello, C.; Carini, M.; Morazzoni, P.; Aldini, G. Effect of extraction solvent and temperature on polyphenol profiles, antioxidant and anti-inflammatory effects of red grape skin by-product. Molecules 2021, 26, 5454. [Google Scholar] [CrossRef]
- Feng, Y.; Lin, J.; He, G.; Liang, L.; Liu, Q.; Yan, J.; Yao, Q. Compositions and biological activities of pomegranate peel polyphenols extracted by different solvents. Molecules 2022, 27, 4796. [Google Scholar] [CrossRef]
- Yao, Y.; Yu, Y.C.; Cai, M.R.; Zhang, Z.Q.; Bai, J.; Wu, H.M.; Li, P.; Zhao, T.T.; Ni, J.; Yin, X.B. UPLC-MS/MS method for the determination of the herb composition of Tangshen formula and the in vivo pharmacokinetics of its metabolites in rat plasma. Phytochem. Anal. 2022, 33, 402–426. [Google Scholar] [CrossRef] [PubMed]
- Zhang, L.B.; Yan, Y.; Ma, R.; Li, D.X.; Yin, W.F.; Tao, Q.W.; Xu, Y. Integrated phytochemistry and network pharmacology analysis to reveal effective substances and mechanisms of Bushen Quhan Zhiwang decoction in the treatment of rheumatoid arthritis. J. Ethnopharmacol. 2024, 325, 117897. [Google Scholar] [CrossRef] [PubMed]
- Żurek, N.; Pycia, K.; Pawłowska, A.; Potocki, L.; Kapusta, I.T. Chemical profiling, bioactive properties, and anticancer and antimicrobial potential of Juglans regia L. leaves. Molecules 2023, 28, 1989. [Google Scholar] [CrossRef]
- Liu, M.; Li, Z.; Cui, Q.; Yan, B.; Achi, J.G.; Zhao, Y.; Rong, L.; Du, R. Integrated serum pharmacochemistry and investigation of the anti-influenza A virus pneumonia effect of Qingjin Huatan decoction. J. Ethnopharmacol. 2024, 323, 117701. [Google Scholar] [CrossRef]
- Pande, J.; Chanda, S. Determination of phytochemical profile and antioxidant efficacy of Lavendula bipinnata leaves collected during Magha Nakshatra days and normal days using LC-QTOF-MS technique. J. Pharm. Biomed. Anal. 2020, 186, 113347. [Google Scholar] [CrossRef]
- Shah, S.L.; Bashir, K.; Rasheed, H.M.; Rahman, J.U.; Ikram, M.; Shah, A.J.; Majrashi, K.A.; Alnasser, S.M.; Menaa, F.; Khan, T. LC-MS/MS-based metabolomic profiling of constituents from Glochidion velutinum and its activity against cancer cell lines. Molecules 2022, 27, 9012. [Google Scholar] [CrossRef]
- Ramunaidu, A.; Pavankumar, P.; Ragi, N.; Ramesh, R.; Jagannatham, M.V.; Sripadi, P. Characterization of isomeric acetyl amino acids and di-acetyl amino acids by LC/MS/MS. J. Mass Spectrom. 2023, 58, e4982. [Google Scholar] [CrossRef] [PubMed]
- Wu, H.; You, X.; Chen, J.; Zhang, K.; Li, X. Metabolites of the marine fungus Ochroconis humicola (Y9-1). Chem. Nat. Compd. 2022, 58, 780–781. [Google Scholar] [CrossRef]
- Della Vedova, L.; Gado, F.; Vieira, T.A.; Grandini, N.A.; Palácio, T.L.N.; Siqueira, J.S.; Carini, M.; Bombardelli, E.; Correa, C.R.; Aldini, G.; et al. Chemical, nutritional and biological evaluation of a sustainable and scalable complex of phytochemicals from bergamot by-products. Molecules 2023, 28, 2964. [Google Scholar] [CrossRef]
- Lian, D.; Chen, T.; Yan, L.; Hou, H.; Gao, S.; Hu, Q.; Zhang, G.; Li, H.; Song, L.; Gao, Y.; et al. Protective effect of compatible herbs in Jin-Gu-Lian formula against Alangium chinense-induced neurotoxicity via oxidative stress, neurotransmitter metabolisms, and pharmacokinetics. Front. Pharmacol. 2023, 14, 1133982. [Google Scholar] [CrossRef] [PubMed]
- Cai, Z.; He, J.; Jiang, J.; Zhao, Z.; Shu, Y. Systematic investigation of the material basis, multiple mechanisms and quality control of Simiao Yong’an decoction combined with antibiotic in the treatment of sepsis. Phytomedicine 2023, 116, 154910. [Google Scholar] [CrossRef] [PubMed]
- Chen, X.J.; Pu, X.Y.; Pu, X.M.; Li, X.; Liu, Z.B.; Mei, M.J.; Wang, X.G.; Zhang, F.; Qiu, B.; Yu, J. Extracts of Knoxia roxburghii (Spreng.) M. A. Rau induce apoptosis in human MCF-7 breast cancer cells via mitochondrial pathways. Molecules 2022, 27, 6435. [Google Scholar] [CrossRef] [PubMed]
- Shi, J.; Fang, C.; Liu, Q.; Chen, X.; Chen, H.; Tian, S.; Peng, Q.; Yao, X. Mechanistic elucidation of QiJu-DiHuang Wan in management of age-related dry eye through metabolomics and network pharmacology. Phytomedicine 2024, 132, 155884. [Google Scholar] [CrossRef] [PubMed]
- Benamar, H.; Rarivoson, E.; Tomassini, L.; Frezza, C.; Marouf, A.; Bennaceur, M.; Nicoletti, M. Phytochemical profiles, antioxidant and anti-acetylcholinesterasic activities of the leaf extracts of Rhamnus lycioides subsp. oleoides (L.) Jahand. & Maire in different solvents. Nat. Prod. Res. 2019, 33, 1456–1462. [Google Scholar] [CrossRef]
- Dolma, S.K.; Singh, P.P.; Reddy, S.G.E. Insecticidal and enzyme inhibition activities of leaf/bark extracts, fractions, seed oil and isolated compounds from Triadica sebifera (L.) small against Aphis craccivora Koch. Molecules 2022, 27, 1967. [Google Scholar] [CrossRef]
- Cao, X.; Miao, X.; Ge, M.; Zhang, M.; Lv, Z.; Wang, W.; Chang, Y.; Ouyang, H.; He, J. Exploration of habitat-related chemical markers for Stephania tetrandra applying multiple chromatographic and chemometric analysis. Molecules 2022, 27, 7224. [Google Scholar] [CrossRef]
- Yang, S.; Shan, L.; Luo, H.; Sheng, X.; Du, J.; Li, Y. Rapid classification and identification of chemical components of Schisandra chinensis by UPLC-Q-TOF/MS combined with data post-processing. Molecules 2017, 22, 1778. [Google Scholar] [CrossRef]
- Ji, T.; Wang, J.; Xu, Z.; Cai, H.D.; Su, S.L.; Peng, X.; Ruan, H.S. Combination of mulberry leaf active components possessed synergetic effect on SD rats with diabetic nephropathy by mediating metabolism, Wnt/β-catenin and TGF-β/Smads signaling pathway. J. Ethnopharmacol. 2022, 292, 115026. [Google Scholar] [CrossRef]
- Saied, D.B.; Farag, M.A. How does maturity stage affect seeds metabolome via UPLC/MS based molecular networking and chemometrics and in relation to antioxidant effect? A case study in 4 major cereals and legumes. Food Chem. 2023, 426, 136491. [Google Scholar] [CrossRef]
- Yuan, Z.; Yang, L.; Zhang, X.; Ji, P.; Hua, Y.; Wei, Y. Mechanism of Huang-lian-Jie-du decoction and its effective fraction in alleviating acute ulcerative colitis in mice: Regulating arachidonic acid metabolism and glycerophospholipid metabolism. J. Ethnopharmacol. 2020, 259, 112872. [Google Scholar] [CrossRef]
- Zhang, Z.; Xu, H.; Zhao, H.; Geng, Y.; Ren, Y.; Guo, L.; Shi, J.; Xu, Z. Edgeworthia gardneri (Wall.) Meisn. water extract improves diabetes and modulates gut microbiota. J. Ethnopharmacol. 2019, 239, 111854. [Google Scholar] [CrossRef] [PubMed]
- He, C.; Hao, E.; Du, C.; Wei, W.; Wang, X.; Liu, T.; Deng, J. Investigating the underlying mechanisms of Ardisia japonica extract’s anti-blood-stasis effect via metabolomics and network pharmacology. Molecules 2023, 28, 7301. [Google Scholar] [CrossRef]
- Negro, E.J.; Sendker, J.; Stark, T.; Lipowicz, B.; Hensel, A. Phytochemical and functional analysis of horseradish (Armoracia rusticana) fermented and non-fermented root extracts. Fitoterapia 2022, 162, 105282. [Google Scholar] [CrossRef]
- Lai, Y.; Hua, L.; Yang, J.; Xu, J.; Chen, J.; Zhang, S.; Zhu, S.; Li, J.; Shi, S. The effect of Chinese agarwood essential oil with cyclodextrin inclusion against PCPA-induced insomnia rats. Molecules 2023, 28, 635. [Google Scholar] [CrossRef] [PubMed]
- LI, J.; Wang, Y.W.; Zheng, H.Y.; Zhong, Y.; Liu, X.Y.; Chen, A.J. Optimization of microwave-hot water extraction process of polyphenols from Phyllanthus emblica L. and its pH stability. Jiangsu J. Agr. Sci. 2020, 36, 733–742. [Google Scholar] [CrossRef]
- Mihailović, V.; Mišić, D.; Matić, S.; Mihailović, M.; Stanić, S.; Vrvić, M.M.; Katanić, J.; Mladenović, M.; Stankovi, N.; Boroja, T.; et al. Comparative phytochemical analysis of Gentiana Cruciata L. roots and aerial parts, and their biological activities. Ind. Crops Prod. 2015, 73, 49–62. [Google Scholar] [CrossRef]
- Aladedunye, F.A.; Przybylski, R. Degradation and nutritional quality changes of oil during frying. J. Am. Oil Chem. Soc. 2009, 86, 149–156. [Google Scholar] [CrossRef]
- Xu, X.Q.; Liu, A.M.; Hu, S.Y.; Ares, I.; Martínez-Larrañaga, M.R.; Wang, X.; Martínez, M.; Anadón, A.; Martínez, M.A. Synthetic phenolic antioxidants: Metabolism, hazards and mechanism of action. Food Chem. 2021, 353, 129488. [Google Scholar] [CrossRef]
- Feng, J.X.; Sun, Y.; Wei, Z.B.; Sun, H.; Li, L.; Zhu, J.Y.; Xia, G.Q.; Zang, H. Screening the extract of Laportea bulbifera (Sieb. et Zucc.) Wedd. based on active component content, its antioxidant capacity and exploration of hepatoprotective activity in rats. Molecules 2023, 28, 6256. [Google Scholar] [CrossRef]
- Li, T.; Guo, Q.; Qu, Y.; Li, Y.; Liu, H.; Liu, L.; Zhang, Y.; Jiang, Y.; Wang, Q. Solubility and physicochemical properties of resveratrol in peanut oil. Food Chem. 2022, 368, 130687. [Google Scholar] [CrossRef]
- Endo, Y. Analytical methods to evaluate the quality of edible fats and oils: The JOCS standard methods for analysis of fats, oils and related materials (2013) and advanced methods. J. Oleo Sci. 2018, 67, 1–10. [Google Scholar] [CrossRef] [PubMed]
- Editorial Committee of Chinese Materia Medica, State Administration of TCM. Chinese Materia Medica (Zhonghua Bencao); Shanghai Scientific and Technical Publishers: Shanghai, China, 2000; Volume 2, pp. 650–651. [Google Scholar]
- Shukla, V.; Asthana, S.; Gupta, P.; Dwivedi, P.D.; Tripathi, A.; Das, M. Toxicity of naturally occurring anthraquinones. Adv. Mol. Toxicol. 2017, 11, 1–50. [Google Scholar] [CrossRef]
- Dong, X.; Zeng, Y.; Liu, Y.; You, L.; Yin, X.; Fu, J.; Ni, J. Aloe-emodin: A review of its pharmacology, toxicity, and pharmacokinetics. Phytother. Res. 2020, 34, 270–281. [Google Scholar] [CrossRef] [PubMed]
- Michalopoulos, G.K.; Bhushan, B. Liver regeneration: Biological and pathological mechanisms and implications. Nat. Rev. Gastroenterol. Hepatol. 2021, 18, 40–55. [Google Scholar] [CrossRef] [PubMed]
- Hu, B.C.; Zhou, Y.X. A summary of the chemical pharmacologic and clinical study of Zhushaqi—A herbal in the Taibai mountain. Chin. J. Ethnomed. Ethnopharm. 1999, 36, 42–43. [Google Scholar]
- Williams, R. Global challenges in liver disease. Hepatology 2006, 44, 521–526. [Google Scholar] [CrossRef]
- Chinnappan, R.; Mir, T.A.; Alsalameh, S.; Makhzoum, T.; Adeeb, S.; Al-Kattan, K.; Yaqinuddin, A. Aptasensors are conjectured as promising ALT and AST diagnostic tools for the early diagnosis of acute liver injury. Life 2023, 13, 1273. [Google Scholar] [CrossRef]
- Peng, X.W.; Yang, Y.Q.; Tang, L.; Wan, J.Y.; Dai, J.; Li, L.J.; Huang, J.Y.; Shen, Y.; Lin, L.; Gong, X.Q.; et al. Therapeutic benefits of apocynin in mice with lipopolysaccharide/d-galactosamine-induced acute liver injury via suppression of the late stage pro-apoptotic AMPK/JNK pathway. Biomed. Pharmacother. 2020, 125, 110020. [Google Scholar] [CrossRef]
- Zhao, Q.; Sun, F.Y.; Li, J.; Guo, H.L. Tumor-suppressive effect of total anthraquinone of Polygonum Cillinerve (Nakai) Ohwi on H22 hormonal mice and its effect on glucose metabolism. Chin. Tradit. Pat. Med. 2013, 35, 2508–2511. [Google Scholar] [CrossRef]
- Cui, J.J. Extraction of Crude Polysaccharides from Polygonum Cillinerve (Nakai) Ohwi and Their Biological Activities. Master’s Thesis, Shaanxi Normal University, Xi’an, China, 2008. [Google Scholar]
- Li, R.; Li, J.; Huang, Y.; Li, H.; Yan, S.; Lin, J.; Chen, Y.; Wu, L.; Liu, B.; Wang, G.; et al. Polydatin attenuates diet-inducednonalcoholic steatohepatitis and fibrosis in mice. Int. J. Biol. Sci. 2018, 14, 1411–1425. [Google Scholar] [CrossRef]
- Chan, C.C.; Lee, K.C.; Huang, Y.H.; Chou, C.K.; Lin, H.C.; Lee, F.Y. Regulation by resveratrol of the cellular factors mediating liver damage and regeneration after acute toxic liver injury. J. Gastroenterol. Hepatol. 2014, 29, 603–613. [Google Scholar] [CrossRef] [PubMed]
- Guo, X.; Chen, M.H.; He, X.; Zhao, Y.M.; Yu, J.H.; Zhu, J.Y.; Li, L.; Xia, G.Q.; Zang, H. Phytochemical profiling and antioxdant, enzyme-inhibitory, and toxic activities of extracts from Adonis ramosa Franch. Nat. Prod. Res. 2023, 37, 2269–2273. [Google Scholar] [CrossRef] [PubMed]
- Sun, Y.; Feng, J.X.; Wei, Z.B.; Sun, H.; Li, L.; Zhu, J.Y.; Xia, G.Q.; Zang, H. Phytochemical analysis, antioxidant activities in vitro and in vivo, and theoretical calculation of different extracts of Euphorbia fischeriana. Molecules 2023, 28, 5172. [Google Scholar] [CrossRef] [PubMed]













| Extracting Solvents | Yields (%, w/w) |
|---|---|
| Water | 25.50 ± 0.12 a |
| Methanol | 21.97 ± 0.09 a,b |
| Ethanol | 22.11 ± 0.14 a |
| 80% Ethanol | 25.07 ± 0.47 b |
| Extracting Solvents | TCC (mg GE/g Extract) | TProC (mg BSAE/g Extract) | TPheC (mg GAE/g Extract) | TSC (mg OAE/g Extract) | TAC (mg BHE/g Extract) | TFC (mg QE/g Extract) | TPAC (mg CAE/g Extract) | TTanC (mg TAE/g Extract) | GC (mg GAE/g Extract) | CTC (mg GAE/g Extract) |
|---|---|---|---|---|---|---|---|---|---|---|
| Water | 676.51 ± 3.63 b,c | 1233.90 ± 14.71 a | 89.18 ± 1.98 d | NONE | 64.75 ± 5.59 a | 2.73 ± 0.16 d | 3.71 ± 0.23 d | 75.17 ± 0.79 c | 69.03 ± 1.29 c | 43.03 ± 2.32 c |
| Methanol | 686.61 ± 12.58 b | N.T. | 157.33 ± 1.31 c | 3.44 ± 0.08 a | 52.66 ± 4.08 b | 10.84 ± 0.54 a | 11.05 ± 0.64 a | 154.82 ± 1.04 a | 123.42 ± 1.00 a | 85.70 ± 1.83 b |
| Ethanol | 663.23 ± 2.94 c | N.T. | 180.61 ±1.59 a | 2.16 ± 0.19 b | 45.65 ± 2.31 b | 7.09 ± 0.63 b | 7.12 ± 0.19 b | 141.77 ± 2.30 b | 125.64 ± 1.92 a | 87.10 ± 0.66 b |
| 80% Ethanol | 749.49 ± 7.06 a | N.T. | 176.63 ± 1.91 b | 0.75 ± 0.04 c | 35.66 ± 2.69 c | 5.51 ± 0.36 c | 6.01 ± 0.36 c | 153.37 ± 0.96 a | 121.89 ± 0.80 b | 92.11 ± 2.11 a |
| Extracting Solvents | DPPH (IC50, μg/mL) | ABTS (IC50, μg/mL) | Hydroxyl Radicals (IC50, μg/mL) | Superoxide Radicals (IC50, μg/mL) |
|---|---|---|---|---|
| Water | 29.46 ± 0.48 e | 11.96 ± 0.14 e | 1666.59 ± 15.58 g | 89.95 ± 0.97 d |
| Methanol | 3.15 ± 0.02 b | 5.95 ± 0.11 d | 489.71 ± 13.65 f | 38.02 ± 1.64 c |
| Ethanol | 4.08 ± 0.15 c | 5.17 ± 0.15 c | 326.93 ± 11.64 d | 24.36 ± 0.80 b |
| 80% Ethanol | 3.18 ± 0.09 b | 5.75 ± 0.26 d | 403.83 ± 6.28 e | 21.37 ± 1.04 a |
| L-ascorbic acid * | 1.80 ± 0.06 a | 3.25 ± 0.11 a | 92.63± 0.19 a | N.T. |
| Trolox * | 2.04 ± 0.10 a | 3.36 ± 0.06 a | 133.53 ± 1.88 b | N.T. |
| BHT * | 9.33 ± 0.08 d | 4.44 ± 0.05 b | 244.87 ± 2.31 c | N.T. |
| Curcumin * | N.T. | N.T. | N.T. | 212.56 ± 3.08 e |
| Extracting Solvents | TEACFRAP | TEACCUPRAC | Iron Chelating (IC50, μg/mL) | Copper Chelating (IC50, μg/mL) |
|---|---|---|---|---|
| Water | 0.16 ± 0.00 e | 0.23 ± 0.01 c | >2500 e | 920.30 ± 22.71 d |
| Methanol | 0.29 ± 0.00 d | 0.80 ± 0.05 b | 662.81 ± 11.18 b | 308.96 ± 6.09 b |
| Ethanol | 0.31 ± 0.00 c | 0.79 ± 0.04 b | 1218.11 ± 26.50 d | 396.11 ± 2.95 c |
| 80% Ethanol | 0.29 ± 0.01 d | 0.77 ± 0.01 b | 899.10 ± 13.94 c | 408.60 ± 6.95 c |
| Trolox * | 1.00 ± 0.01 a | 1.00 ± 0.01 a | N.T. | N.T. |
| EDTANa2 * | N.T. | N.T. | 2.33 ± 0.99 a | 41.60 ± 1.90 a |
| Extracting Solvents | H2O2 (IC50, μg/mL) | Singlet Oxygen (IC50, μg/mL) | β-Carotene Bleaching AAC |
|---|---|---|---|
| Water | 755.15 ± 45.27 e | >2500 e | 614.06 ± 38.90 c |
| Methanol | 428.93 ± 8.52 b | 800.36 ± 24.95 b | 1025.56 ± 55.57 a,b |
| Ethanol | 489.54 ± 10.31 c | 925.70 ± 29.19 c | 1027.79 ± 50.01 a,b |
| 80% Ethanol | 573.37 ± 15.86 d | 810.23 ± 34.36 b | 1103.08 ± 55.57 a |
| Gallic acid * | 20.13 ± 1.18 a | N.T. | N.T. |
| Ferulic acid * | N.T. | 443.0 ± 8.7 a | N.T. |
| BHT * | N.T. | N.T. | 949.99 ± 41.68 b |
| BHA * | N.T. | N.T. | 956.93 ± 50.01 b |
| TBHQ * | N.T. | N.T. | 957.21 ± 38.90 b |
| Peak No. | RT (min) | Identification | Molecular Formula | Selective Ion | Full Scan MS (m/z) | MS/MS Fragments (m/z) | |
|---|---|---|---|---|---|---|---|
| Theory | Measured | ||||||
| 1 | 0.88 | D-Sucrose | C12H22O11 | [M+NH4]+ | 360.1506 | 360.1417 | 343.1175, 180.0820, 163.0560 |
| 2 | 1.18 | Glutamylglycine | C7H12N2O5 | [M+NH4]+ | 222.1090 | 222.1066 | 163.0339, 91.0519 |
| 3 | 1.27 | Unknown | 292.1318 | 153.0145, 136.0722 | |||
| 4 | 1.36 | Citramalic acid | C5H8O5 | [M+Na]+ | 171.0270 | 171.0241 | 132.0983, 103.0515 |
| 5 | 3.23 | Epigallocatechin/Gallocatechin | C15H14O7 | [M+H]+ | 307.0818 | 307.0742 | 289.0641, 181.0462 |
| 6 | 4.54 | Phenylalanine | C9H11NO2 | [M+Na]+ | 188.0688 | 188.0657 | 165.0507, 100.0730 |
| 7 | 6.04 | Procyanidin B1 | C30H26O12 | [M+H]+ | 579.1502 | 579.1385 | 453.1047, 289.0649 |
| 8 | 6.84 | D-(+)-Catechin/(−)-Epicatechin | C15H14O6 | [M+H]+ | 291.0868 | 291.0798 | 273.0710, 165.0512 |
| 9 | 7.29 | Caffeic acid 3-glucoside | C15H18O9 | [M+Na]+ | 365.0849 | 365.0759 | 297.0541, 181.0453 |
| 10 | 9.44 | β-Syringin | C17H24O9 | [M+Na]+ | 395.1318 | 395.1254 | 227.1697, 194.1131 |
| 11 | 10.31 | 2-Phenylethyl 6-O-β-D-xylopyranosyl-β-D-glucopyranoside | C19H28O10 | [M+Na]+ | 439.1580 | 439.1509 | 340.2528, 322.2425 |
| 12 | 10.46 | 1,3,6-Trigalloyl glucose | C27H24O18 | [M+NH4]+ | 654.1307 | 654.1180 | 467.0745, 449.0634 |
| 13 | 10.56 | N-Acetylmethionine | C14H18O9 | [M]+ | 191.0616 | 191.0653 | 177.0044, 133.0623 |
| 14 | 10.99 | Uridine | C9H12N2O6 | [M+H]+ | 245.0773 | 245.0748 | 227.1707, 133.0612 |
| 15 | 11.97 | Chrysoeriol 7-O-glucoside | C22H22O11 | [M+H]+ | 463.1240 | 463.1131 | 340.2531, 283.0540, 163.0340 |
| 16 | 14.01 | (+)-Lyoniresinol-3a-O-β-glucoside | C28H38O13 | [M+NH4]+ | 600.2656 | 600.2537 | 340.2528, 163.0143 |
| 17 | 14.25 | Polydatin | C20H22O8 | [M+H]+ | 391.1393 | 391.1310 | 211.0708, 107.0461 |
| 18 | 15.79 | Polygonimitin B | C21H22O9 | [M+H]+ | 419.1342 | 419.1234 | 257.0745, 163.0150 |
| 19 | 16.97 | Liquiritin | C21H22O9 | [M+H]+ | 419.1342 | 419.1248 | 257.0747, 222.1077 |
| 20 | 17.86 | Unknown | 183.0729 | 133.0826, 89.0570 | |||
| 21 | 18.73 | Resveratrol | C14H12O3 | [M+H]+ | 229.0864 | 229.0796 | 229.0810, 127.0123 |
| 22 | 19.53 | Cassiachromone | C13H12O4 | [M+H]+ | 233.0814 | 233.0745 | 215.0650, 205.0547 |
| 23 | 20.94 | Emodin 8-β-D-glucopyranoside | C21H20O10 | [M+Na]+ | 455.0954 | 455.0837 | 271.0545, 197.0547 |
| 24 | 22.63 | Resveratrol-3-O-(2″-O-galloyl)-β-D-glucopyranoside | C27H26O12 | [M+H]+ | 543.1502 | 543.1372 | 245.1807, 192.1337 |
| 25 | 25.74 | Torachrysone 8-O-glucoside | C20H24O9 | [M+H]+ | 409.1498 | 409.1396 | 431.1235, 391.1313, 229.0809 |
| 26 | 26.11 | Aloe emodin | C15H10O5 | [M+H]+ | 271.0606 | 271.0528 | 225.0495, 197.0546 |
| 27 | 26.91 | Unknown | 309.0892 | 291.0800, 147.0401 | |||
| 28 | 27.55 | 7-Methoxycoumarin | C10H8O3 | [M+H]+ | 177.0551 | 177.0495 | 149.0557, 145.0244, 117.0301 |
| 29 | 28.41 | Piscidic acid | C11H12O7 | [M]+ | 256.0583 | 256.0662 | 222.1073, 194.1128 |
| 30 | 28.53 | Emodin | C15H10O5 | [M+H]+ | 271.0606 | 271.0531 | 163.0348, 107.0464 |
| 31 | 29.41 | 1-Methyl emodin | C16H12O5 | [M+H]+ | 285.0763 | 285.0684 | 201.0858, 143.0363 |
| 32 | 30.47 | Emodin 3-methyl ether | C16H12O5 | [M+H]+ | 285.0763 | 285.0686 | 242.0522, 222.1077 |
| 33 | 31.47 | Emodin anthrone | C15H12O4 | [M]+ | 256.0736 | 256.0666 | 224.1228, 194.1128 |
| 34 | 32.67 | Physicon-8-β-D-(6′-O-acetyl)glucoside | C24H24O11 | [M+Na]+ | 511.1217 | 511.1279 | 453.3350, 205.0554 |
| 35 | 33.37 | Unknown | 285.0686 | 270.0827, 222.1075 | |||
| 36 | 33.97 | Piceid-2″-O-conmarate | C29H28O9 | [M+H]+ | 521.1811 | 521.1683 | 293.0960, 275.0852 |
| 37 | 37.82 | Palmitic acid | C16H32O2 | [M+NH4]+ | 274.2746 | 274.2673 | 212.2320, 71.0831, 57.0679 |
| 38 | 38.23 | Phytosphingosine | C18H39NO3 | [M+H]+ | 318.3008 | 318.2925 | 183.0735, 155.0428, 127.0123 |
| 39 | 39.83 | Linoleic acid | C18H32O2 | [M+NH4]+ | 298.2746 | 298.2663 | 235.1866, 222.1074 |
| 40 | 41.25 | Unknown | 415.2021 | 340.2524, 183.0737 | |||
| 41 | 42.49 | Sphinganine | C18H39NO2 | [M+H]+ | 302.3059 | 302.2980 | 276.1902, 183.0741, 100.0730 |
| 42 | 43.85 | Unknown | 280.2560 | 263.2314, 222.1071 | |||
| 43 | 44.47 | Stearidonic acid | C18H28O2 | [M+NH4]+ | 294.2433 | 294.2350 | 277.2105, 249.2150 |
| 44 | 44.58 | Eicosapentanoic acid | C20H30O2 | [M+NH4]+ | 320.2590 | 320.2480 | 280.2576, 135.0404, 123.0885 |
| 45 | 45.93 | α-Linolenic acid | C18H30O2 | [M+NH4]+ | 296.2590 | 296.2528 | 279.2264, 149.1033, 135.0404 |
| 46 | 46.52 | 14-Methylpentadecanoic acid | C16H32O2 | [M+Na]+ | 279.2300 | 279.2245 | 222.1077, 183.0734, 127.0123 |
| 47 | 47.19 | 1-Palmitoyl-2-hydroxy-sn-glycero-3-PE | C21H44NO7P | [M+NH4]+ | 471.3199 | 471.3196 | 155.0432, 140.1148 |
| 48 | 48.35 | Erucamide | C22H43NO | [M+H]+ | 338.3423 | 338.3331 | 279.1536, 237.2582, 149.0196 |
| 49 | 48.92 | β-Sitosterol | C29H50O | [M+Na]+ | 437.3760 | 437.3736 | 407.3290, 338.3350 |
Disclaimer/Publisher’s Note: The statements, opinions and data contained in all publications are solely those of the individual author(s) and contributor(s) and not of MDPI and/or the editor(s). MDPI and/or the editor(s) disclaim responsibility for any injury to people or property resulting from any ideas, methods, instructions or products referred to in the content. |
© 2024 by the authors. Licensee MDPI, Basel, Switzerland. This article is an open access article distributed under the terms and conditions of the Creative Commons Attribution (CC BY) license (https://creativecommons.org/licenses/by/4.0/).
Share and Cite
Xing, Z.; Han, Y.; Pang, H.; Li, L.; Xia, G.; Zhu, J.; Han, J.; Zang, H. Evaluating the Root Extract of Reynoutria ciliinervis (Nakai) Moldenke: An Analysis of Active Constituents, Antioxidant Potential, and Investigation of Hepatoprotective Effects in Rats. Molecules 2024, 29, 4701. https://doi.org/10.3390/molecules29194701
Xing Z, Han Y, Pang H, Li L, Xia G, Zhu J, Han J, Zang H. Evaluating the Root Extract of Reynoutria ciliinervis (Nakai) Moldenke: An Analysis of Active Constituents, Antioxidant Potential, and Investigation of Hepatoprotective Effects in Rats. Molecules. 2024; 29(19):4701. https://doi.org/10.3390/molecules29194701
Chicago/Turabian StyleXing, Zheng, Yang Han, Hao Pang, Li Li, Guangqing Xia, Junyi Zhu, Jing Han, and Hao Zang. 2024. "Evaluating the Root Extract of Reynoutria ciliinervis (Nakai) Moldenke: An Analysis of Active Constituents, Antioxidant Potential, and Investigation of Hepatoprotective Effects in Rats" Molecules 29, no. 19: 4701. https://doi.org/10.3390/molecules29194701
APA StyleXing, Z., Han, Y., Pang, H., Li, L., Xia, G., Zhu, J., Han, J., & Zang, H. (2024). Evaluating the Root Extract of Reynoutria ciliinervis (Nakai) Moldenke: An Analysis of Active Constituents, Antioxidant Potential, and Investigation of Hepatoprotective Effects in Rats. Molecules, 29(19), 4701. https://doi.org/10.3390/molecules29194701

