Antimicrobial Diterpenes from Rough Goldenrod (Solidago rugosa Mill.)
Abstract
1. Introduction
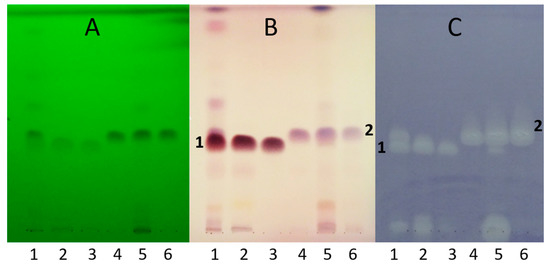
2. Results and Discussion
3. Materials and Methods
3.1. Materials
3.2. Extraction and Isolation
3.3. High-Performance Thin-Layer Chromatography Hyphenations
3.4. HPLC–ESI-qTOFMS
3.5. NMR Spectroscopy
3.6. Determination of Optical Rotations
3.7. Microdilution Assays
4. Conclusions
Supplementary Materials
Author Contributions
Funding
Institutional Review Board Statement
Informed Consent Statement
Data Availability Statement
Acknowledgments
Conflicts of Interest
Sample Availability
References
- Szymura, M.; Szymura, T.H. Interactions between Alien Goldenrods (Solidago and Euthamia Species) and Comparison with Native Species in Central Europe. Flora Morphol. Distrib. Funct. Ecol. Plants 2016, 218, 51–61. [Google Scholar] [CrossRef]
- Weber, E. The Dynamics of Plant Invasions: A Case Study of Three Exotic Goldenrod Species (Solidago L.) in Europe. J. Biogeogr. 1998, 25, 147–154. [Google Scholar] [CrossRef]
- Euro+Med PlantBase. Available online: https://europlusmed.org (accessed on 12 April 2023).
- Solidago rugosa Mill. Available online: https://powo.science.kew.org/taxon/urn:lsid:ipni.org:names:249846-1 (accessed on 12 April 2023).
- Känzig-Schoch, U. Häufigkeit Und Verbreitung von Himantoglossum hircinum Im Kanton Bern. Bot. Helv. 2006, 116, 91–118. [Google Scholar] [CrossRef]
- Heath, M.C. Host Species Specificity of the Goldenrod Rust Fungus and the Existence of Rust Resistance within Some Goldenrod Species. Can. J. Bot. 1992, 70, 2461–2466. [Google Scholar] [CrossRef]
- Cantrell, C.L.; Fischer, N.H.; Urbatsch, L.; McGuire, M.S.; Franzblau, S.G. Antimycobacterial Crude Plant Extracts from South, Central, and North America. Phytomedicine 1998, 5, 137–145. [Google Scholar] [CrossRef]
- Zhang, Y.; Jia, C.; Zhang, Y.; Yang, S.; Dong, Y.; Wei, D.; Sun, J.; Wang, S.; He, S.; Li, J.; et al. Chemical Variability in Volatile Composition among Five Species of Genus Solidago (Asteraceae). Biochem. Syst. Ecol. 2019, 84, 42–46. [Google Scholar] [CrossRef]
- Bohlmann, F.; Fritz, U.; King, R.M.; Robinson, H. Sesquiterpene and Diterpene Derivatives from Solidago Species. Phytochemistry 1980, 19, 2655–2661. [Google Scholar] [CrossRef]
- Lu, T.; Vargas, D.; Franzblau, S.G.; Fischer, N.H. Diterpenes from Solidago rugosa. Phytochemistry 1995, 38, 451–456. [Google Scholar]
- Kołodziej, B. Antibacterial and Antimutagenic Activity of Extracts Aboveground Parts of Three Solidago Species: Solidago virgaurea L., Solidago canadensis L. and Solidago gigantea Ait. J. Med. Plants Res. 2011, 5, 6770–6779. [Google Scholar] [CrossRef]
- Solidaginis virgaureae herba. Available online: https://www.ema.europa.eu/en/medicines/herbal/solidaginis-virgaureae-herba (accessed on 12 April 2023).
- Móricz, Á.M.; Ott, P.G.; Häbe, T.T.; Darcsi, A.; Böszörményi, A.; Alberti, Á.; Krüzselyi, D.; Csontos, P.; Béni, S.; Morlock, G.E. Effect-Directed Discovery of Bioactive Compounds Followed by Highly Targeted Characterization, Isolation and Identification, Exemplarily Shown for Solidago virgaurea. Anal. Chem. 2016, 88, 8202–8209. [Google Scholar] [CrossRef]
- Edwards, S.E.; da Costa Rocha, I.; Williamson, E.M.; Heinrich, M. Phytopharmacy: An Evidence-Based Guide to Herbal Medicinal Products, 1st ed.; Wiley-Blackwell: Hoboken, NJ, USA, 2015; pp. 180–181. [Google Scholar]
- Benelli, G.; Pavela, R.; Cianfaglione, K.; Nagy, D.U.; Canale, A.; Maggi, F. Evaluation of Two Invasive Plant Invaders in Europe (Solidago canadensis and Solidago gigantea) as Possible Sources of Botanical Insecticides. J. Pest Sci. 2019, 92, 805–821. [Google Scholar] [CrossRef]
- Wang, Z.; Kim, J.H.; Jang, Y.S.; Kim, C.H.; Lee, J.-Y.; Lim, S.S. Anti-Obesity Effect of Solidago virgaurea var. gigantea Extract through Regulation of Adipogenesis and Lipogenesis Pathways in High-Fat Diet-Induced Obese Mice (C57BL/6N). Food Nutr. Res. 2017, 61, 1273479. [Google Scholar] [CrossRef] [PubMed]
- Móricz, Á.M.; Jamshidi-Aidji, M.; Krüzselyi, D.; Darcsi, A.; Böszörményi, A.; Csontos, P.; Béni, S.; Ott, P.G.; Morlock, G.E. Distinction and Valorization of 30 Root Extracts of Five Goldenrod (Solidago) Species. J. Chromatogr. A 2020, 1611, 460602. [Google Scholar] [CrossRef]
- Krüzselyi, D.; Bakonyi, J.; Ott, P.G.; Darcsi, A.; Csontos, P.; Morlock, G.E.; Móricz, Á.M. Goldenrod Root Compounds Active against Crop Pathogenic Fungi. J. Agric. Food Chem. 2021, 69, 12686–12694. [Google Scholar] [CrossRef] [PubMed]
- Móricz, Á.M.; Krüzselyi, D.; Ott, P.G.; Garádi, Z.; Béni, S.; Morlock, G.E.; Bakonyi, J. Bioactive Clerodane Diterpenes of Giant Goldenrod (Solidago gigantea Ait.) Root Extract. J. Chromatogr. A 2021, 1635, 461727. [Google Scholar] [CrossRef]
- Baglyas, M.; Ott, P.G.; Garádi, Z.; Glavnik, V.; Béni, S.; Vovk, I.; Móricz, Á.M. High-Performance Thin-Layer Chromatography—Antibacterial Assay First Reveals Bioactive Clerodane Diterpenes in Giant Goldenrod (Solidago gigantea Ait.). J. Chromatogr. A 2022, 1677, 463308. [Google Scholar] [CrossRef]
- Deising, H.B.; Reimann, S.; Pascholati, S.F. Mechanisms and Significance of Fungicide Resistance. Braz. J. Microbiol. 2008, 39, 286–295. [Google Scholar] [CrossRef]
- Sundin, G.W.; Wang, N. Antibiotic Resistance in Plant-Pathogenic Bacteria. Annu. Rev. Phytopathol. 2018, 56, 161–180. [Google Scholar] [CrossRef]
- Hahn, M. The Rising Threat of Fungicide Resistance in Plant Pathogenic Fungi: Botrytis as a Case Study. J. Chem. Biol. 2014, 7, 133–141. [Google Scholar] [CrossRef]
- Thomford, N.E.; Senthebane, D.A.; Rowe, A.; Munro, D.; Seele, P.; Maroyi, A.; Dzobo, K. Natural Products for Drug Discovery in the 21st Century: Innovations for Novel Drug Discovery. Int. J. Mol. Sci. 2018, 19, 1578. [Google Scholar] [CrossRef]
- Choudhury, D.; Dobhal, P.; Srivastava, S.; Saha, S.; Kundu, S. Role of Botanical Plant Extracts to Control Plant Pathogens. Indian J. Agric. Res. 2018, 52, 341–346. [Google Scholar] [CrossRef]
- Xu, K.; Li, X.-Q.; Zhao, D.-L.; Zhang, P. Antifungal Secondary Metabolites Produced by the Fungal Endophytes: Chemical Diversity and Potential Use in the Development of Biopesticides. Front. Microbiol. 2021, 12, 689527. [Google Scholar] [CrossRef] [PubMed]
- Jamshidi-Aidji, M.; Morlock, G.E. From Bioprofiling and Characterization to Bioquantification of Natural Antibiotics by Direct Bioautography Linked to High-Resolution Mass Spectrometry: Exemplarily Shown for Salvia miltiorrhiza Root. Anal. Chem. 2016, 88, 10979–10986. [Google Scholar] [CrossRef]
- Dewanjee, S.; Gangopadhyay, M.; Bhattacharya, N.; Khanra, R.; Dua, T.K. Bioautography and its Scope in the Field of Natural Product Chemistry. J. Pharm. Anal. 2015, 5, 75–84. [Google Scholar] [CrossRef]
- Kasote, D.; Ahmad, A.; Chen, W.; Combrinck, S.; Viljoen, A. HPTLC-MS as an Efficient Hyphenated Technique for the Rapid Identification of Antimicrobial Compounds from Propolis. Phytochem. Lett. 2015, 11, 326–331. [Google Scholar] [CrossRef]
- Agatonovic-Kustrin, S.; Gegechkori, V.; Morton, D.W.; Tucci, J.; Mohammed, E.U.R.; Ku, H. The Bioprofiling of Antibacterials in Olive Leaf Extracts via Thin Layer Chromatography-Effect Directed Analysis (TLC-EDA). J. Pharm. Biomed. Anal. 2022, 219, 114916. [Google Scholar] [CrossRef] [PubMed]
- Predicted LC-MS/MS Spectrum–10V, Positive (FDB006871). Available online: https://foodb.ca/spectra/ms_ms/52266 (accessed on 12 April 2023).
- Cisilotto, J.; Sandjo, L.P.; Faqueti, L.G.; Fernandes, H.; Joppi, D.; Biavatti, M.W.; Creczynski-Pasa, T.B. Cytotoxicity Mechanisms in Melanoma Cells and UPLC-QTOF/MS2 Chemical Characterization of Two Brazilian Stingless Bee Propolis: Uncommon Presence of Piperidinic Alkaloids. J. Pharm. Biomed. Anal. 2018, 149, 502–511. [Google Scholar] [CrossRef]
- Misra, R.; Pandey, R.C.; Dev, S. The Chemistry of the Oleo Resin from Hardwickia pinnata: A Series of New Diterpenoids. Tetrahedron Lett. 1964, 5, 3751–3759. [Google Scholar] [CrossRef]
- Luzbetak, D.J.; Torrance, S.J.; Hoffmann, J.J.; Cole, J.R. Isolation of (-)-Hardwickiic Acid and 1-Triacontanol from Croton californicus. J. Nat. Prod. 1979, 42, 315–316. [Google Scholar] [CrossRef]
- Sousa Teixeira, M.V.; Fernandes, L.M.; Stefanelli de Paula, V.; Ferreira, A.G.; Jacometti Cardoso Furtado, N.A. Ent-Hardwickiic Acid from C. Pubiflora and Its Microbial Metabolites Are More Potent than Fluconazole in Vitro against Candida glabrata. Lett. Appl. Microbiol. 2022, 74, 622–629. [Google Scholar]
- Youngsa-ad, W.; Ngamrojanavanich, N.; Mahidol, C.; Ruchirawat, S.; Prawat, H.; Kittakoop, P. Diterpenoids from the Roots of Croton oblongifolius. Planta Med. 2007, 73, 1491–1494. [Google Scholar] [CrossRef] [PubMed]
- Masnyk, M.; Butkiewicz, A.; Górecki, M.; Luboradzki, R.; Paluch, P.; Potrzebowski, M.J.; Frelek, J. In Depth Analysis of Chiroptical Properties of Enones Derived from Abietic Acid. J. Org. Chem. 2018, 83, 3547–3561. [Google Scholar] [CrossRef]
- Ferguson, G.; Marsh, W.C.; McCrindle, R.; Nakamura, E. Stereochemistry of Clerodanes. X-Ray Structure of a Key Diterpenoid from Solidago arguta Ait. J. Chem. Soc. Chem. Commun. 1975, 299. [Google Scholar] [CrossRef]
- Henderson, M.S.; Murray, R.D.H.; McCrindle, R.; McMaster, D. Constituents of Solidago Species. Part III. The Constitution of Diterpenoids from Solidago juncea Ait. Can. J. Chem. 1973, 51, 1322–1331. [Google Scholar]
- McCrindle, R.; Nakamura, E. Constituents of Solidago Species. Part VI. The Constitution of Diterpenoids from a Chemically Distinct Variety of Solidago serotina. Can. J. Chem. 1974, 52, 2029–2036. [Google Scholar]
- Misra, R.; Pandey, R.C.; Dev, S. Higher Isoprenoids—VIII: Diterpenoids from the Oleoresin of Hardwickia pinnata part 1: Hardwickiic acid. Tetrahedron 1979, 35, 2301–2310. [Google Scholar] [CrossRef]
- Ratnayake Bandara, B.M.; Wimalasiri, W.R.; Premaratne Bandara, K.A.N. Isolation and Insecticidal Activity of (-)-Hardwickiic Acid from Croton aromaticus. Planta Med. 1987, 53, 575. [Google Scholar] [CrossRef]
- Pandey, U.C.; Singhal, A.K.; Barua, N.C.; Sharma, R.P.; Baruah, J.N.; Watanabe, K.; Kulanthaivel, P.; Herz, W. Stereochemistry of Strictic Acid and Related Furano-diterpenes from Conyza japonica and Grangea maderaspatana. Phytochemistry 1984, 23, 391–397. [Google Scholar] [CrossRef]
- Costa, M.; Tanaka, C.M.A.; Imamura, P.M.; Marsaioli, A.J. Isolation and Synthesis of a New Clerodane from Echinodorus grandiflorus. Phytochemistry 1999, 50, 117–122. [Google Scholar] [CrossRef]
- Park, J.Y.; Lee, Y.K.; Lee, D.-S.; Yoo, J.-E.; Shin, M.-S.; Yamabe, N.; Kim, S.-N.; Lee, S.; Kim, K.H.; Lee, H.-J.; et al. Abietic Acid Isolated from Pine Resin (Resina Pini) Enhances Angiogenesis in HUVECs and Accelerates Cutaneous Wound Healing in Mice. J. Ethnopharmacol. 2017, 203, 279–287. [Google Scholar] [CrossRef]
- Fernández, M.A.; Tornos, M.P.; García, M.D.; de las Heras, B.; Villar, A.M.; Sáenz, M.T. Anti-inflammatory Activity of Abietic Acid, a Diterpene Isolated from Pimenta racemosa var. grissea. J. Pharm. Pharmacol. 2001, 53, 867–872. [Google Scholar] [CrossRef]
- Ulusu, N.N.; Ercil, D.; Sakar, M.K.; Tezcan, E.F. Abietic Acid Inhibits Lipoxygenase Activity. Phytother. Res. 2002, 16, 88–90. [Google Scholar] [CrossRef] [PubMed]
- Ukiya, M.; Kawaguchi, T.; Ishii, K.; Ogihara, E.; Tachi, Y.; Kurita, M.; Ezaki, Y.; Fukatsu, M.; Kushi, Y.; Akihisa, T. Cytotoxic Activities of Amino Acid-Conjugate Derivatives of Abietane-Type Diterpenoids against Human Cancer Cell Lines. Chem. Biodivers. 2013, 10, 1260–1268. [Google Scholar] [CrossRef] [PubMed]
- Kuete, V.; Wabo, G.F.; Ngameni, B.; Mbaveng, A.T.; Metuno, R.; Etoa, F.-X.; Ngadjui, B.T.; Beng, V.P.; Meyer, J.J.M.; Lall, N. Antimicrobial Activity of the Methanolic Extract, Fractions and Compounds from the Stem Bark of Irvingia gabonensis (Ixonanthaceae). J. Ethnopharmacol. 2007, 114, 54–60. [Google Scholar] [CrossRef] [PubMed]
- Helfenstein, A.; Vahermo, M.; Nawrot, D.A.; Demirci, F.; İşcan, G.; Krogerus, S.; Yli-Kauhaluoma, J.; Moreira, V.M.; Tammela, P. Antibacterial Profiling of Abietane-Type Diterpenoids. Bioorg. Med. Chem. 2017, 25, 132–137. [Google Scholar] [CrossRef] [PubMed]
- Hou, W.; Zhang, G.; Luo, Z.; Li, D.; Ruan, H.; Ruan, B.H.; Su, L.; Xu, H. Identification of a Diverse Synthetic Abietane Diterpenoid Library and Insight into the Structure-Activity Relationships for Antibacterial Activity. Bioorg. Med. Chem. Lett. 2017, 27, 5382–5386. [Google Scholar] [CrossRef]
- Tret’yakova, E.V.; Zakirova, G.F.; Salimova, E.V.; Kukovinets, O.S.; Odinokov, V.N.; Parfenova, L.V. Convenient One-Pot Synthesis of Resin Acid Mannich Bases as Novel Anticancer and Antifungal Agents. Med. Chem. Res. 2018, 27, 2199–2213. [Google Scholar] [CrossRef]
- Buommino, E.; Vollaro, A.; Nocera, F.P.; Lembo, F.; DellaGreca, M.; De Martino, L.; Catania, M.R. Synergistic Effect of Abietic Acid with Oxacillin against Methicillin-Resistant Staphylococcus pseudintermedius. Antibiotics 2021, 10, 80. [Google Scholar] [CrossRef]
- Crentsil, J.A.; Yamthe, L.R.T.; Anibea, B.Z.; Broni, E.; Kwofie, S.K.; Tetteh, J.K.A.; Osei-Safo, D. Leishmanicidal Potential of Hardwickiic Acid Isolated From Croton sylvaticus. Front. Pharmacol. 2020, 11, 753. [Google Scholar] [CrossRef]
- Biraboneye, A.C.; Madonna, S.; Maher, P.; Kraus, J.-L. Neuroprotective Effects of N -Alkyl-1,2,4-Oxadiazolidine-3,5-Diones and Their Corresponding Synthetic Intermediates N -Alkylhydroxylamines and N -1-Alkyl-3-Carbonyl-1-Hydroxyureas against In Vitro Cerebral Ischemia. ChemMedChem 2010, 5, 79–85. [Google Scholar] [CrossRef]
- Kang, S.; Zhang, J.; Yuan, Y. Abietic Acid Attenuates IL-1β-induced Inflammation in Human Osteoarthritis Chondrocytes. Int. Immunopharmacol. 2018, 64, 110–115. [Google Scholar] [CrossRef] [PubMed]
- Parsons, A.B.; Lopez, A.; Givoni, I.E.; Williams, D.E.; Gray, C.A.; Porter, J.; Chua, G.; Sopko, R.; Brost, R.L.; Ho, C.-H.; et al. Exploring the Mode-of-Action of Bioactive Compounds by Chemical-Genetic Profiling in Yeast. Cell 2006, 126, 611–625. [Google Scholar] [CrossRef] [PubMed]
- Schwarczinger, I.; Bozsó, Z.; Szatmári, Á.; Süle, S.; Szabó, Z.; Király, L. First Report of Bacterial Spot Caused by Xanthomonas arboricola pv. pruni on Apricot in Hungary. Plant Dis. 2017, 101, 1031. [Google Scholar] [CrossRef]
- Móricz, Á.M.; Häbe, T.T.; Böszörményi, A.; Ott, P.G.; Morlock, G.E. Tracking and Identification of Antibacterial Components in the Essential Oil of Tanacetum vulgare L. by the Combination of High-Performance Thin-Layer Chromatography with Direct Bioautography and Mass Spectrometry. J. Chromatogr. A 2015, 1422, 310–317. [Google Scholar] [CrossRef] [PubMed]



(–)-Hardwickiic acid (1)![]() | (–)-Abietic acid (2)![]() | |||
| # | 1H δ (ppm) | 13C δ (ppm) | 1H δ (ppm) | 13C δ (ppm) |
| 1a | 1.53 (m, 1H) | 18.6 | 1.15 (m, 1H) | 39.7 |
| 1b | 1.72 (m, 1H) | 1.90 (ov., 1H) | ||
| 2a | 2.18 (m, 1H) | 28.1 | 1.57 (m, 2H) | 19.2 |
| 2b | 2.30 (m, 1H) | |||
| 3a | 6.65 (dd, J = 4.7, 2.8 Hz, 1H) | 138.1 | 1.63 (m, 1H) | 38.6 |
| 3b | 1.79 (ov., 1H) | |||
| 4 | – | 144.0 | – | 47.4 |
| 5 | – | 38.7 | 2.06 (ov., 1H) | 46.5 |
| 6a | 2.39 (dt, J = 13.1, 3.4 Hz, 1H) | 37.2 | 1.81 (ov., 1H) | 26.7 |
| 6b | 1.15 (td, J = 13.1, 3.9 Hz, 1H) | 2.06 (ov., 1H) | ||
| 7a | 1.52 (m, 1H) | 28.5 | 5.32 (m, 1H) | 121.5 |
| 7b | 1.42 (m, 1H) | |||
| 8 | 1.62 (m, 1H) | 37.6 | – | 136.8 |
| 9 | – | 40.0 | 1.89 (ov., 1H) | 52.6 |
| 10 | 1.41 (m, 1H) | 48.1 | – | 35.6 |
| 11a | 1.56 (m, 1H) | 40.2 | 1.18 (ov., 1H) | 23.7 |
| 11b | 1.69 (m, 1H) | 1.82 (ov., 1H) | ||
| 12a | 2.22 (m, 1H) | 19.1 | 2.07 (m, 2H) | 28.3 |
| 12b | 2.33 (dd, J = 13.7, 4.8 Hz, 1H) | |||
| 13 | – | 126.9 | – | 145.8 |
| 14 | 6.29 (dd, J = 1.9, 0.9 Hz, 1H) | 111.9 | 5.75 (br s, 1H) | 124.0 |
| 15 | 7.38 (t, J = 1.7 Hz, 1H) | 144.0 | 2.22 (sept, J = 6.9 Hz, 1H) | 36.2 |
| 16 | 7.26 (dt, J = 1.7, 0.9 Hz, 1H) | 139.7 | 1.02 (d, J = 6.9 Hz, 3H) * | 21.3 * |
| 17 | 0.86 (d, J = 6.7 Hz, 3H) | 16.3 | 1.01 (d, J = 6.9 Hz, 3H) * | 21.8 * |
| 18 | – | 171.1 | – | 182.5 |
| 19 | 1.28 (s, 3H) | 21.1 | 1.24 (s, 3H) | 17.5 |
| 20 | 0.79 (s, 3H) | 18.8 | 0.84 (s, 3H) | 14.4 |
| (–)-Hardwickiic Acid (Compound 1) | (–)-Abietic Acid (Compound 2) | Gentamicin | Benomyl | ||||||||
|---|---|---|---|---|---|---|---|---|---|---|---|
| Strain | IC50 | MIC | MBC | IC50 | MIC | MBC | IC50 | MIC | MBC | IC50 | MIC |
| 1 | 1.0 ± 0.1 | 10.4 | 10.4 | 3.6 ± 0.1 | 5.2 | 5.2 | 0.16 ± 0.01 | 3.33 | 3.33 | ||
| 2 | 5.1 ± 0.2 | 33.3 | >333 | 2.3 ± 0.1 | 8.3 | >333 | 0.37 ± 0.03 | 1.7 | 1.7 | ||
| 3 | 2.0 ± 0.1 | 2.6 | >333 | 2.0 ± 0.1 | 2.6 | >333 | 0.33 ± 0.01 | 0.83 | 1.67 | ||
| 4 | 201.2 ± 2.1 | >333 | 166.6 ± 6.8 | >333 | 2.12 ± 0.02 | 3.3 | 3.3 | ||||
| 5 | 73.5 ± 5.0 | >417 | 165.5 ± 13.0 | >417 | 5.1 ± 2.9 | 520.8 | |||||
| 6 | 3.8 ± 0.2 | >417 | 120.6 ± 8.1 | >417 | 80.4 ± 5.2 | >1041.6 | |||||
Disclaimer/Publisher’s Note: The statements, opinions and data contained in all publications are solely those of the individual author(s) and contributor(s) and not of MDPI and/or the editor(s). MDPI and/or the editor(s) disclaim responsibility for any injury to people or property resulting from any ideas, methods, instructions or products referred to in the content. |
© 2023 by the authors. Licensee MDPI, Basel, Switzerland. This article is an open access article distributed under the terms and conditions of the Creative Commons Attribution (CC BY) license (https://creativecommons.org/licenses/by/4.0/).
Share and Cite
Baglyas, M.; Ott, P.G.; Schwarczinger, I.; Nagy, J.K.; Darcsi, A.; Bakonyi, J.; Móricz, Á.M. Antimicrobial Diterpenes from Rough Goldenrod (Solidago rugosa Mill.). Molecules 2023, 28, 3790. https://doi.org/10.3390/molecules28093790
Baglyas M, Ott PG, Schwarczinger I, Nagy JK, Darcsi A, Bakonyi J, Móricz ÁM. Antimicrobial Diterpenes from Rough Goldenrod (Solidago rugosa Mill.). Molecules. 2023; 28(9):3790. https://doi.org/10.3390/molecules28093790
Chicago/Turabian StyleBaglyas, Márton, Péter G. Ott, Ildikó Schwarczinger, Judit Kolozsváriné Nagy, András Darcsi, József Bakonyi, and Ágnes M. Móricz. 2023. "Antimicrobial Diterpenes from Rough Goldenrod (Solidago rugosa Mill.)" Molecules 28, no. 9: 3790. https://doi.org/10.3390/molecules28093790
APA StyleBaglyas, M., Ott, P. G., Schwarczinger, I., Nagy, J. K., Darcsi, A., Bakonyi, J., & Móricz, Á. M. (2023). Antimicrobial Diterpenes from Rough Goldenrod (Solidago rugosa Mill.). Molecules, 28(9), 3790. https://doi.org/10.3390/molecules28093790



