Functional Characterization and Anti-Tumor Effect of a Novel Group II Secreted Phospholipase A2 from Snake Venom of Saudi Cerastes cerates gasperetti
Abstract
1. Introduction
2. Results and Discussion
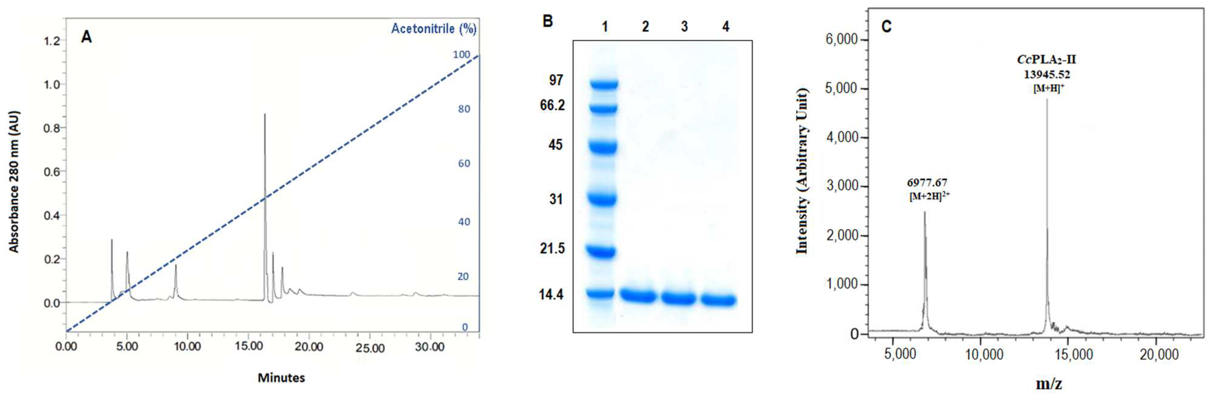
2.1. Cc-PLA2-II Purification
| Purification Step | Total Activity 1 (U) | Protein 2 (mg) | Specific Activity (U/mg) | Activity Recovery (%) | Purification Factor |
|---|---|---|---|---|---|
| Extraction | 9250 | 205 | 45.1 | 100 | 1 |
| Heat treatment (75 °C, 10 min) | 7030 | 58 | 121.2 | 72 | 2.69 |
| Ethanol fractionation (50–90%) | 4950 | 11.2 | 441.9 | 53.5 | 9.8 |
| C18 RP-HPLC | 2250 | 1.44 | 1560 | 24.3 | 34.59 |
2.2. Cc-PLA2-II Biochemical Characterization
2.2.1. Enzymatic Activity
2.2.2. Effect of pH and Temperature on Activity and Stability
2.2.3. Bile Salt, Calcium, and Metal Ion Dependence
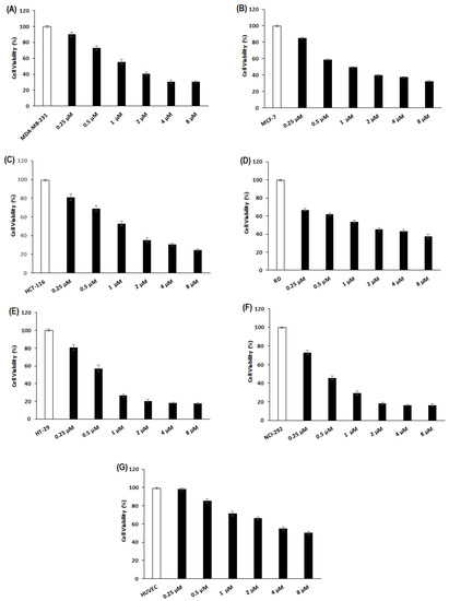
2.3. Effects on Biological Membranes
2.3.1. Hemolytic Effect
2.3.2. Cytotoxic Effect
3. Material and Methods
3.1. Reagents
3.2. Purification of Cc-PLA2-II
3.3. Enzymatic Characteristics of Cc-PLA2
3.4. Protein Analysis
3.5. In Vitro Hemolytic Activity
3.6. Cytotoxicity by MTT Assay
3.7. Statistical Analysis
4. Conclusions
Author Contributions
Funding
Institutional Review Board Statement
Informed Consent Statement
Data Availability Statement
Acknowledgments
Conflicts of Interest
Sample Availability
References
- Al-Sadoon, M.K.; Paray, B.A. Ecological aspects of the horned viper, Cerastes cerastes gasperettii in the central region of Saudi Arabia. Saudi J. Biol. Sci. 2016, 23, 135–138. [Google Scholar] [CrossRef] [PubMed]
- Al-Sadoon, M.K.; Paray, B.A.; Al-Otaibi, H. Survey of the reptilian fauna of the Kingdom of Saudi Arabia. VI. The snake fauna of Turaif region. Saudi J. Biol. Sci. 2017, 24, 925–928. [Google Scholar] [CrossRef]
- Bazaa, A.; Marrakchi, N.; El Ayeb, M.; Sanz, L.; Calvete, J.J. Snake venomics: Comparative analysis of the venom proteomes of the Tunisian snakes Cerastes cerastes, Cerastes vipera and Macrovipera lebetina. Proteomics 2005, 5, 4223–4235. [Google Scholar] [CrossRef] [PubMed]
- Djebari, F.L.; Martin-Eauclaire, M.F. Purification and characterization of a phospholipase A2 from Cerastes cerastes (horn viper) snake venom. Toxicon Off. J. Int. Soc. Toxinology 1990, 28, 637–646. [Google Scholar] [CrossRef] [PubMed]
- Valentin, E.; Ghomashchi, F.; Gelb, M.H.; Lazdunski, M.; Lambeau, G. On the diversity of secreted phospholipases A2 cloning, tissue distribution, and functional expression of two novel mouse group II enzymes. J. Biol. Chem. 1999, 274, 31195–31202. [Google Scholar] [CrossRef] [PubMed]
- Burke, J.E.; Dennis, E.A. Phospholipase A2 biochemistry. Cardiovasc. Drugs Ther. 2009, 23, 49–59. [Google Scholar] [CrossRef] [PubMed]
- Abid, I.; Jemel, I.; Alonazi, M.; Ben Bacha, A. A New Group II Phospholipase A2 from Walterinnesia aegyptia Venom with Antimicrobial, Antifungal, and Cytotoxic Potential. Processes 2020, 8, 1560. [Google Scholar] [CrossRef]
- Rodrigues, R.S.; Izidoro, L.F.M.; De Oliveira, J.; Robson, J.; Sampaio, S.V.; Soares, A.M.; Rodrigues, V.M. Snake venom phospholipases A2: A new class of antitumor agents. Protein Pept. Lett. 2009, 16, 894–898. [Google Scholar] [CrossRef] [PubMed]
- Bairam, D.; Aissa, I.; Louati, H.; Othman, H.; Abdelkafi-Koubaa, Z.; Krayem, N.; El Ayeb, M.; Srairi-Abid, N.; Marrakchi, N.; Gargouri, Y. Biochemical and monolayer characterization of Tunisian snake venom phospholipases. Int. J. Biol. Macromol. 2016, 89, 640–646. [Google Scholar] [CrossRef]
- Kini, R.M. Excitement ahead: Structure, function and mechanism of snake venom phospholipase A2 enzymes. Toxicon Off. J. Int. Soc. Toxinology 2003, 42, 827–840. [Google Scholar] [CrossRef]
- Kang, I.-C.; Kim, D.-S.; Jang, Y.; Chung, K.-H. Suppressive mechanism of salmosin, a novel disintegrin in B16 melanoma cell metastasis. Biochem. Biophys. Res. Commun. 2000, 275, 169–173. [Google Scholar] [CrossRef] [PubMed]
- Araya, C.; Lomonte, B. Antitumor effects of cationic synthetic peptides derived from Lys49 phospholipase A2 homologues of snake venoms. Cell Biol. Int. 2007, 31, 263–268. [Google Scholar] [CrossRef] [PubMed]
- Angulo, Y.; Lomonte, B. Biochemistry and toxicology of toxins purified from the venom of the snake Bothrops asper. Toxicon Off. J. Int. Soc. Toxinology 2009, 54, 949–957. [Google Scholar] [CrossRef] [PubMed]
- Chanda, A.; Patra, A.; Kalita, B.; Mukherjee, A.K. Proteomics analysis to compare the venom composition between Naja naja and Naja kaouthia from the same geographical location of eastern India: Correlation with pathophysiology of envenomation and immunological cross-reactivity towards commercial polyantivenom. Expert Rev. Proteom. 2018, 15, 949–961. [Google Scholar]
- Samel, M.; Vija, H.; Kurvet, I.; Künnis-Beres, K.; Trummal, K.; Subbi, J.; Kahru, A.; Siigur, J. Interactions of PLA2-s from Vipera lebetina, Vipera berus berus and Naja naja oxiana venom with platelets, bacterial and cancer cells. Toxins 2013, 5, 203–223. [Google Scholar] [CrossRef] [PubMed]
- Chaisakul, J.; Hodgson, W.C.; Kuruppu, S.; Prasongsook, N. Effects of animal venoms and toxins on hallmarks of cancer. J. Cancer 2016, 7, 1571–1578. [Google Scholar] [CrossRef]
- Tran, T.V.; Siniavin, A.E.; Hoang, A.N.; Le, M.T.; Pham, C.D.; Phung, T.V.; Nguyen, K.C.; Ziganshin, R.H.; Tsetlin, V.I.; Weng, C.-F. Phospholipase A2 from krait Bungarus fasciatus venom induces human cancer cell death in vitro. PeerJ 2019, 7, e8055. [Google Scholar] [CrossRef]
- Chérifi, F.; Namane, A.; Laraba-Djebari, F. Isolation, functional characterization and proteomic identification of CC2-PLA 2 from Cerastes cerastes venom: A basic platelet-aggregation-inhibiting factor. Protein J. 2014, 33, 61–74. [Google Scholar] [CrossRef]
- Cherifi, F.; Rousselle, J.-C.; Namane, A.; Laraba-Djebari, F. Use of nano-liquid chromatography and mass spectrometry to identify a new Cerastes cerastes venom phospholipase A2. Avancées Nouv. Technol. Toxinologie 2010, 30, 99–100. [Google Scholar]
- Ménez, A. Perspectives in Molecular Toxinology; John Wiley & Sons: Hoboken, NJ, USA, 2002. [Google Scholar]
- Calvete, J.J.; Moreno-Murciano, M.P.; Theakston, R.D.G.; Kisiel, D.G.; Marcinkiewicz, C. Snake venom disintegrins: Novel dimeric disintegrins and structural diversification by disulphide bond engineering. Biochem. J. 2003, 372, 725–734. [Google Scholar] [CrossRef]
- Dahmen-Levison, U.; Brezesinski, G.; Möhwald, H. Specific adsorption of PLA2 at monolayers. Thin Solid Film. 1998, 327, 616–620. [Google Scholar] [CrossRef]
- Bollinger, J.G.; Diraviyam, K.; Ghomashchi, F.; Murray, D.; Gelb, M.H. Interfacial binding of bee venom secreted phospholipase A2 to membranes occurs predominantly by a nonelectrostatic mechanism. Biochemistry 2004, 43, 13293–13304. [Google Scholar] [CrossRef] [PubMed]
- Fuly, A.L.; de Miranda, A.L.P.; Zingali, R.B.; Guimarães, J.A. Purification and characterization of a phospholipase A2 isoenzyme isolated from Lachesis muta snake venom. Biochem. Pharmacol. 2002, 63, 1589–1597. [Google Scholar] [CrossRef]
- Bradford, M.M. A rapid and sensitive method for the quantitation of microgram quantities of protein utilizing the principle of protein-dye binding. Anal. Biochem. 1976, 72, 248–254. [Google Scholar] [CrossRef]
- Kessentini-Zouari, R.; Jebali, J.; Taboubi, S.; Srairi-Abid, N.; Morjen, M.; Kallech-Ziri, O.; Bezzine, S.; Marvaldi, J.; El Ayeb, M.; Marrakchi, N.; et al. CC-PLA2-1 and CC-PLA2-2, two Cerastes cerastes venom-derived phospholipases A2, inhibit angiogenesis both in vitro and in vivo. Lab. Investig. 2010, 90, 510–519. [Google Scholar] [CrossRef] [PubMed]
- Tsai, I.-H.; Wang, Y.-M.; Cheng, A.C.; Starkov, V.; Osipov, A.; Nikitin, I.; Makarova, Y.; Ziganshin, R.; Utkin, Y. cDNA cloning, structural, and functional analyses of venom phospholipases A2 and a Kunitz-type protease inhibitor from steppe viper Vipera ursinii renardi. Toxicon Off. J. Int. Soc. Toxinology 2011, 57, 332–341. [Google Scholar] [CrossRef]
- Jan, V.M.; Guillemin, I.; Robbe-Vincent, A.; Choumet, V. Phospholipase A2 diversity and polymorphism in European viper venoms: Paradoxical molecular evolution in Viperinae. Toxicon Off. J. Int. Soc. Toxinology 2007, 50, 1140–1161. [Google Scholar] [CrossRef]
- Davidson, F.F.; Dennis, E.A. Evolutionary relationships and implications for the regulation of phospholipase A 2 from snake venom to human secreted forms. J. Mol. Evol. 1990, 31, 228–238. [Google Scholar] [CrossRef]
- Frihling, B.E.F.; de Araujo Boleti, A.P.; de Oliveira, C.F.R.; Sanches, S.C.; de Oliveira Cardoso, P.H.; Verbisck, N.; Macedo, M.L.R.; Rita, P.H.S.; Carvalho, C.M.E.; Migliolo, L. Purification, Characterization and Evaluation of the Antitumoral Activity of a Phospholipase A2 from the Snake Bothrops moojeni. Pharmaceuticals 2022, 15, 724. [Google Scholar] [CrossRef]
- Borges, I.P.; Castanheira, L.E.; Barbosa, B.F.; de Souza, D.L.N.; da Silva, R.J.; Mineo, J.R.; Tudini, K.A.Y.; Rodrigues, R.S.; Ferro, E.A.V.; de Melo Rodrigues, V. Anti-parasitic effect on Toxoplasma gondii induced by BnSP-7, a Lys49-phospholipase A2 homologue from Bothrops pauloensis venom. Toxicon Off. J. Int. Soc. Toxinology 2016, 119, 84–91. [Google Scholar] [CrossRef]
- Trento, E.P.; Garcia, O.S.; Rucavado, A.; França, S.C.; Batalini, C.; Arantes, E.C.; Giglio, J.R.; Soares, A.M. Inhibitory properties of the anti-bothropic complex from Didelphis albiventris serum on toxic and pharmacological actions of metalloproteases and myotoxins from Bothrops asper venom. Biochem. Pharmacol. 2001, 62, 1521–1529. [Google Scholar] [CrossRef] [PubMed]
- Veronese, E.; Esmeraldino, L.E.; Trombone, A.; Santana, A.; Bechara, G.; Kettelhut, I.; Cintra, A.C.O.; Giglio, J.R.; Sampaio, S.V. Inhibition of the myotoxic activity of Bothrops jararacussu venom and its two major myotoxins, BthTX-I and BthTX-II, by the aqueous extract of Tabernaemontana catharinensis A. DC.(Apocynaceae). Phytomedicine Int. J. Phytother. Phytopharm. 2005, 12, 123–130. [Google Scholar] [CrossRef] [PubMed]
- Gomes Heleno, M.A.; Baldasso, P.A.; Ponce-Soto, L.A.; Marangoni, S. Biochemical characterization and pharmacological properties of new basic PLA2 BrTX-I isolated from Bothrops roedingeri (Roedinger’s Lancehead) Mertens, 1942, snake venom. BioMed. Res. Int. 2013, 2013, 591470. [Google Scholar] [CrossRef] [PubMed]
- Huang, P.; Mackessy, S.P. Biochemical characterization of phospholipase A2 (trimorphin) from the venom of the Sonoran Lyre Snake Trimorphodon biscutatus lambda (family Colubridae). Toxicon Off. J. Int. Soc. Toxinology 2004, 44, 27–36. [Google Scholar] [CrossRef]
- Resende, L.; Almeida, J.; Schezaro-Ramos, R.; Collaço, R.; Simioni, L.; Ramírez, D.; González, W.; Soares, A.M.; Calderon, L.A.; Marangoni, S. Exploring and understanding the functional role, and biochemical and structural characteristics of an acidic phospholipase A2, AplTx-I, purified from Agkistrodon piscivorus leucostoma snake venom. Toxicon Off. J. Int. Soc. Toxinology 2017, 127, 22–36. [Google Scholar] [CrossRef]
- Zouari-Kessentini, R.; Luis, J.; Karray, A.; Kallech-Ziri, O.; Srairi-Abid, N.; Bazaa, A.; Loret, E.; Bezzine, S.; El Ayeb, M.; Marrakchi, N. Two purified and characterized phospholipases A2 from Cerastes cerastes venom, that inhibit cancerous cell adhesion and migration. Toxicon Off. J. Int. Soc. Toxinology 2009, 53, 444–453. [Google Scholar] [CrossRef]
- Yuan, C.; Byeon, I.-J.L.; Poi, M.-J.; Tsai, M.-D. Structural analysis of phospholipase A2 from functional perspective. 2. Characterization of a molten globule-like state induced by site-specific mutagenesis. Biochemistry 1999, 38, 2919–2929. [Google Scholar] [CrossRef]
- Yuan, Y.; Jackson, S.P.; Mitchell, C.A.; Salem, H.H. Purification and characterisation of a snake venom phospholipase A2: A potent inhibitor of platelet aggregation. Thromb. Res. 1993, 70, 471–481. [Google Scholar] [CrossRef]
- Iyer, P.V.; Ananthanarayan, L. Enzyme stability and stabilization—Aqueous and non-aqueous environment. Process Biochem. 2008, 43, 1019–1032. [Google Scholar] [CrossRef]
- Pan, Y.H.; Bahnson, B.J. Structural basis for bile salt inhibition of pancreatic phospholipase A2. J. Mol. Biol. 2007, 369, 439–450. [Google Scholar] [CrossRef][Green Version]
- Scott, D.L.; White, S.P.; Otwinowski, Z.; Yuan, W.; Gelb, M.H.; Sigler, P.B. Interfacial catalysis: The mechanism of phospholipase A2. Science 1990, 250, 1541–1546. [Google Scholar] [CrossRef] [PubMed]
- Jabeen, T.; Singh, N.; Singh, R.K.; Ethayathulla, A.; Sharma, S.; Srinivasan, A.; Singh, T. Crystal structure of a novel phospholipase A2 from Naja naja sagittifera with a strong anticoagulant activity. Toxicon Off. J. Int. Soc. Toxinology 2005, 46, 865–875. [Google Scholar] [CrossRef] [PubMed]
- Hariprasad, G.; Kumar, M.; Srinivasan, A.; Kaur, P.; Singh, T.P.; Jithesh, O. Structural analysis of a group III Glu62-phospholipase A2 from the scorpion, Mesobuthus tamulus: Targeting and reversible inhibition by native peptides. Int. J. Biol. Macromol. 2011, 48, 423–431. [Google Scholar] [CrossRef] [PubMed]
- Almeida, J.; Resende, L.M.; Silva, A.G.; Ribeiro, R.; Stábeli, R.; Soares, A.; Calderón, L.A.; Marangoni, S.; Da Silva, S.L. Biochemical and functional studies of ColTx-I, a new myotoxic phospholipase A2 isolated from Crotalus oreganus lutosus (Great Basin rattlesnake) snake venom. Toxicon Off. J. Int. Soc. Toxinology 2016, 117, 1–12. [Google Scholar] [CrossRef]
- Doley, R.; King, G.F.; Mukherjee, A.K. Differential hydrolysis of erythrocyte and mitochondrial membrane phospholipids by two phospholipase A2 isoenzymes (NK-PLA2-I and NK-PLA2-II) from the venom of the Indian monocled cobra Naja kaouthia. Arch. Biochem. Biophys. 2004, 425, 1–13. [Google Scholar] [CrossRef]
- Devaux, P.F. Static and dynamic lipid asymmetry in cell membranes. Biochemistry 1991, 30, 1163–1173. [Google Scholar] [CrossRef]
- Muller, S.P.; Silva, V.A.O.; Silvestrini, A.V.P.; de Macedo, L.H.; Caetano, G.F.; Reis, R.M.; Mazzi, M.V. Crotoxin from Crotalus durissus terrificus venom: In vitro cytotoxic activity of a heterodimeric phospholipase A2 on human cancer-derived cell lines. Toxicon Off. J. Int. Soc. Toxinology 2018, 156, 13–22. [Google Scholar] [CrossRef]
- Hiu, J.J.; Yap, M.K.K. Cytotoxicity of snake venom enzymatic toxins: Phospholipase A2 and l-amino acid oxidase. Biochem. Soc. Trans. 2020, 48, 719–731. [Google Scholar] [CrossRef]
- Conlon, J.M.; Attoub, S.; Arafat, H.; Mechkarska, M.; Casewell, N.R.; Harrison, R.A.; Calvete, J.J. Cytotoxic activities of [Ser49] phospholipase A2 from the venom of the saw-scaled vipers Echis ocellatus, Echis pyramidum leakeyi, Echis carinatus sochureki, and Echis coloratus. Toxicon Off. J. Int. Soc. Toxinology 2013, 71, 96–104. [Google Scholar] [CrossRef]
- Khunsap, S.; Pakmanee, N.; Khow, O.; Chanhome, L.; Sitprija, V.; Suntravat, M.; Lucena, S.E.; Perez, J.C.; Sánchez, E.E. Purification of a phospholipase A2 from Daboia russelii siamensis venom with anticancer effects. J. Venom Res. 2011, 2, 42. [Google Scholar]
- Khunsap, S.; Khow, O.; Buranapraditkun, S.; Suntrarachun, S.; Puthong, S. Anticancer properties of phospholipase A2 from Daboia siamensis venom on human skin melanoma cells. J. Venom. Anim. Toxins Incl. Trop. Dis. 2016, 22, 7. [Google Scholar] [CrossRef] [PubMed]
- da Silva, C.P.; Costa, T.R.; Paiva, R.M.A.; Cintra, A.C.; Menaldo, D.L.; Antunes, L.M.G.; Sampaio, S.V. Antitumor potential of the myotoxin BthTX-I from Bothrops jararacussu snake venom: Evaluation of cell cycle alterations and death mechanisms induced in tumor cell lines. J. Venom. Anim. Toxins Incl. Trop. Dis. 2015, 21, 44. [Google Scholar] [CrossRef] [PubMed]
- Montecucco, C.; Gutiérrez, J.M.; Lomonte, B. Cellular pathology induced by snake venom phospholipase A2 myotoxins and neurotoxins: Common aspects of their mechanisms of action. Cell. Mol. Life Sci. 2008, 65, 2897–2912. [Google Scholar] [CrossRef] [PubMed]
- Marcussi, S.; Stábeli, R.G.; Santos-Filho, N.A.; Menaldo, D.L.; Pereira, L.L.S.; Zuliani, J.P.; Calderon, L.A.; da Silva, S.L.; Antunes, L.M.G.; Soares, A.M. Genotoxic effect of Bothrops snake venoms and isolated toxins on human lymphocyte DNA. Toxicon Off. J. Int. Soc. Toxinology 2013, 65, 9–14. [Google Scholar] [CrossRef] [PubMed]
- Abousalham, A.; Verger, R. Egg yolk lipoproteins as substrates for lipases. Biochim. Biophys. Acta BBA-Mol. Cell Biol. Lipids 2000, 1485, 56–62. [Google Scholar] [CrossRef] [PubMed]
- Serino-Silva, C.; Morais-Zani, K.; Hikari Toyama, M.; de Oliveira Toyama, D.; Gaeta, H.H.; Rodrigues, C.F.B.; da Silva Aguiar, W.; Tashima, A.K.; Grego, K.F.; Tanaka-Azevedo, A.M. Purification and characterization of the first γ-phospholipase inhibitor (γPLI) from Bothrops jararaca snake serum. PLoS ONE 2018, 13, e0193105. [Google Scholar] [CrossRef]
- Laemmli, U.K. Cleavage of structural proteins during the assembly of the head of bacteriophage T4. Nature 1970, 227, 680–685. [Google Scholar] [CrossRef]
- Hewick, R.M.; Hunkapiller, M.W.; Hood, L.E.; Dreyer, W.J. A gas-liquid solid phase peptide and protein sequenator. J. Biol. Chem. 1981, 256, 7990–7997. [Google Scholar] [CrossRef]
- Condrea, E.; Fletcher, J.E.; Rapuano, B.E.; Yang, C.-C.; Rosenberg, P. Effect of modification of one histidine residue on the enzymatic and pharmacological properties of a toxic phospholipase A2 from Naja nigricollis snake venom and less toxic phospholipases A2 from Hemachatus haemachatus and Naja naja atra snake venoms. Toxicon Off. J. Int. Soc. Toxinology 1981, 19, 61–71. [Google Scholar] [CrossRef]
- Boman, H.G.; Kaletta, U. Chromatography of rattlesnake venom A separation of three phosphodiesterases. Biochim. Et Biophys. Acta 1957, 24, 619–631. [Google Scholar] [CrossRef]
- Mosdam, T. Rapid colorimetric assay for cellular growth and survival: Application to proliferation and cytotoxic assay. J. Immunol. Methods 1983, 65, 55–63. [Google Scholar]





| Species | PLA2 | Sequence | % of Identity | Reference |
|---|---|---|---|---|
| C. cerates | Cc-PLA2-II | QFGKMIKLTTGKSAALSYSAYGCYCGWGGQGKPQDATDHCCFLH | - | |
| C. cerates | Cc-PLA2-I | QFGKMIKHKTGKSALLSYSAYGCYCGWGGQGKPQDATDHCCFVH | 91% | [26] |
| V. renardi | Vur-PLA2 | QFGKMIKYKTGKSALLSYSAYGCYCGWGGQGKPQDPTDRCCFVH | 86% | [27] |
| V. ursinii | AmI2 | QFGKMIKYKTGKIALFSYSDYGCYCGWGGQGKPKDATDRCCFVH | 80% | [28] |
| C. cerates | Cc-PLA2-2 | QFGKMIKHKTGKSALLSYSGNPCYCGWGGQGPPQDATDHCCFVH | 82% | [26] |
| Cc-PLA2-II | Wa-PLA2-II | Nm-PLA2 | |
|---|---|---|---|
| Specific activity (IU/mg) | 677.2 ± 11.2 | 481.6 ± 15.7 | 333.6 ± 10.6 |
Disclaimer/Publisher’s Note: The statements, opinions and data contained in all publications are solely those of the individual author(s) and contributor(s) and not of MDPI and/or the editor(s). MDPI and/or the editor(s) disclaim responsibility for any injury to people or property resulting from any ideas, methods, instructions or products referred to in the content. |
© 2023 by the authors. Licensee MDPI, Basel, Switzerland. This article is an open access article distributed under the terms and conditions of the Creative Commons Attribution (CC BY) license (https://creativecommons.org/licenses/by/4.0/).
Share and Cite
Alonazi, M.; Krayem, N.; Alharbi, M.G.; Khayyat, A.I.A.; Alanazi, H.; Horchani, H.; Ben Bacha, A. Functional Characterization and Anti-Tumor Effect of a Novel Group II Secreted Phospholipase A2 from Snake Venom of Saudi Cerastes cerates gasperetti. Molecules 2023, 28, 6517. https://doi.org/10.3390/molecules28186517
Alonazi M, Krayem N, Alharbi MG, Khayyat AIA, Alanazi H, Horchani H, Ben Bacha A. Functional Characterization and Anti-Tumor Effect of a Novel Group II Secreted Phospholipase A2 from Snake Venom of Saudi Cerastes cerates gasperetti. Molecules. 2023; 28(18):6517. https://doi.org/10.3390/molecules28186517
Chicago/Turabian StyleAlonazi, Mona, Najeh Krayem, Mona G. Alharbi, Arwa Ishaq A. Khayyat, Humidah Alanazi, Habib Horchani, and Abir Ben Bacha. 2023. "Functional Characterization and Anti-Tumor Effect of a Novel Group II Secreted Phospholipase A2 from Snake Venom of Saudi Cerastes cerates gasperetti" Molecules 28, no. 18: 6517. https://doi.org/10.3390/molecules28186517
APA StyleAlonazi, M., Krayem, N., Alharbi, M. G., Khayyat, A. I. A., Alanazi, H., Horchani, H., & Ben Bacha, A. (2023). Functional Characterization and Anti-Tumor Effect of a Novel Group II Secreted Phospholipase A2 from Snake Venom of Saudi Cerastes cerates gasperetti. Molecules, 28(18), 6517. https://doi.org/10.3390/molecules28186517

