A Strategy for Rapid Discovery of Marker Peptides Associated with Fibrinolytic Efficacy of Pheretima aspergillum Based on Bioinformatics Combined with Parallel Reaction Monitoring
Abstract
1. Introduction
2. Results
2.1. Discovery of Biomarkers with Bioinformatics
2.1.1. Bioinformatics
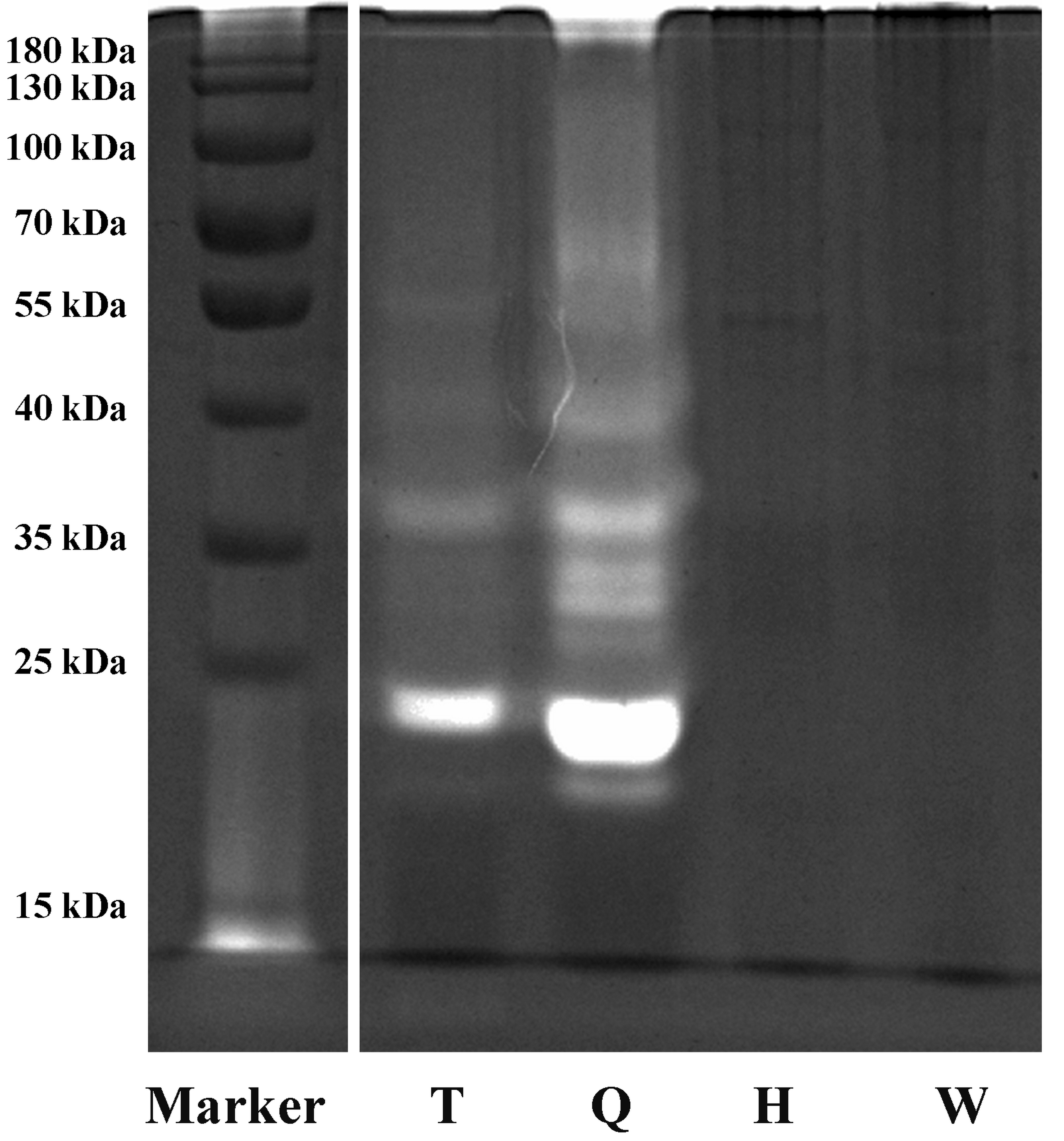
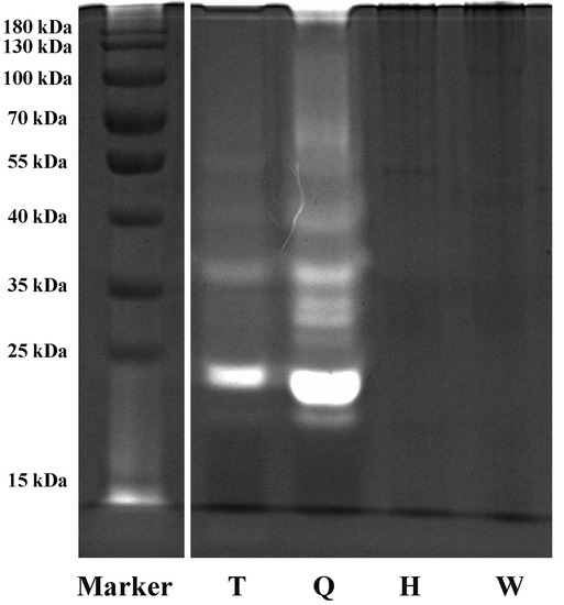
2.1.2. Exploration on the Distribution of Fibrinolytic Activity
2.1.3. Sample Preparation
2.1.4. Discovery of Potential Biomarkers in PA
2.2. PRM Data Processing for Peptide Markers Quantitation
3. Discussion
4. Materials and Methods
4.1. Chemicals and Materials
4.2. Protein Extraction
4.3. Fibrinogen Zymography
4.4. Bioinformatics
4.5. Digestion
4.6. Shotgun LC-MS/MS Analysis
4.7. PRM Mass Spectrometry
5. Conclusions
Supplementary Materials
Author Contributions
Funding
Institutional Review Board Statement
Informed Consent Statement
Data Availability Statement
Acknowledgments
Conflicts of Interest
Sample Availability
References
- Wang, H.L.; Li, Q.L.; Zhao, H.P.; Li, C.Y. Research progress and strategy on identification and quality evaluation of animal-derived medicinal materials. Chin. Tradit. Herbal Drugs 2018, 48, 3942–3949. [Google Scholar] [CrossRef]
- Lin, C.Z.; Li, B.J.; Han, L.W. Analysis of projects funded by NSFC in field of Chinese materia medica quality evaluation in recent five years. Chin. Tradit. Herbal Drugs 2020, 51, 281–286. [Google Scholar] [CrossRef]
- Yang, H.; Shen, Y.; Xu, Y.; Maqueda, A.S.; Zheng, J.; Wu, Q.; Tam, J.P. A novel strategy for the discrimination of gelatinous Chinese medicines based on enzymatic digestion followed by nano-flow liquid chromatography in tandem with orbitrap mass spectrum detection. Int. J. Nanomed. 2015, 10, 4947–4955. [Google Scholar] [CrossRef] [PubMed]
- Cheng, X.-L.; Wei, F.; Xiao, X.-Y.; Zhao, Y.-Y.; Shi, Y.; Liu, W.; Zhang, P.; Ma, S.-C.; Tian, S.-S.; Lin, R.-C. Identification of five gelatins by ultra performance liquid chromatography/time-of-flight mass spectrometry (UPLC/Q-TOF-MS) using principal component analysis. J. Pharm. Biomed. Anal. 2011, 62, 191–195. [Google Scholar] [CrossRef] [PubMed]
- Wang, X.-M.; Fan, S.-C.; Chen, Y.; Ma, X.-F.; He, R.-Q. Earthworm protease in anti-thrombosis and anti-fibrosis. Biochim. Biophys. Acta (BBA)-Gen. Subj. 2018, 1863, 379–383. [Google Scholar] [CrossRef] [PubMed]
- Zhao, Y.; Li, H.; Xu, W.; Luo, J.; Xu, R.-A. An Overview of the Fibrinolytic Enzyme from Earth-worm. Chin. J. Nat. Med. 2010, 8, 301–308. [Google Scholar] [CrossRef]
- Liu, Q.; Bi, Q.; Zhang, J.; Qin, W.; Yi, S.; Hu, Q.; Sun, J.; Ji, S.; Tan, N. A rapid and simple signature peptides-based method for species authentication of three main commercial Pheretima. J. Proteom. 2021, 255, 104456. [Google Scholar] [CrossRef]
- Gu, Y.; Zhang, J.; Sun, J.; Yu, H.; Feng, R.; Mao, X.; Yang, X.; Zhou, Y.; Hu, Q.; Ji, S. Marker peptide screening and species-specific authentication of Pheretima using proteomics. Anal. Bioanal. Chem. 2021, 413, 3167–3176. [Google Scholar] [CrossRef]
- Liang, M.M.; Piao, J.H.; Lian, Y.L.; Wang, T.T.; Dang, A.H.; Dong, P.Z. Quality evaluation study of Pheretima based on the bioassay method. Drug Stand. China 2019, 20, 319. [Google Scholar]
- Zhao, J.; Xiao, R.; He, J.; Pan, R.; Fan, R.; Wu, C.; Liu, X.; Liu, Y.; He, R.-Q. In situ localization and substrate specificity of earthworm protease-II and protease-III-1 from Eisenia fetida. Int. J. Biol. Macromol. 2007, 40, 67–75. [Google Scholar] [CrossRef]
- Chen, W.; Wang, D.; Ni, N.; Li, M.; Liu, Y.; Wang, B. A fast and simple approach to the quantitative evaluation of fibrinogen coagulation. Biotechnol. Lett. 2013, 36, 337–340. [Google Scholar] [CrossRef][Green Version]
- Su, B.; Wang, Z.; Guo, Y.; Song, C.; Hu, Y.; Wang, B.; Jin, J. Research on the method of fibrinogen—Thrombin time by coagulometer for quality control of hirudo. Chin. J. Pharm. Anal. 2014, 34, 1802–1806. [Google Scholar] [CrossRef]
- Verma, M.K.; Pulicherla, K.K. Enzyme promiscuity in earthworm serine protease: Substrate versatility and therapeutic potential. Amino Acids 2016, 48, 941–948. [Google Scholar] [CrossRef]
- Li, W.; Wang, C.; Sun, Z. Vermipharmaceuticals and active proteins isolated from earthworms. Pedobiologia 2011, 54, S49–S56. [Google Scholar] [CrossRef]
- Trisina, J.; Sunardi, F.; Suhartono, M.T.; Tjandrawinata, R.R. DLBS1033, A Protein Extract fromLumbricus rubellus, Possesses Antithrombotic and Thrombolytic Activities. J. Biomed. Biotechnol. 2011, 2011, 1–7. [Google Scholar] [CrossRef]
- Liu, Q.; Bi, Q.R.; Tan, N.H. Research progress on proteins and peptides from earthworm. Chin. Tradit. Herbal Drugs 2019, 50, 252–261. [Google Scholar] [CrossRef]
- Tang, X.-M.; Guo, J.-L.; Chen, L.; Ho, P.C.-L. Application for proteomics analysis technology in studying animal-derived traditional Chinese medicine: A review. J. Pharm. Biomed. Anal. 2020, 191, 113609. [Google Scholar] [CrossRef]
- Bourmaud, A.; Gallien, S.; Domon, B. Parallel reaction monitoring using quadrupole-Orbitrap mass spectrometer: Principle and applications. Proteomics 2016, 16, 2146–2159. [Google Scholar] [CrossRef]
- Sobsey, C.A.; Ibrahim, S.; Richard, V.R.; Gaspar, V.; Mitsa, G.; Lacasse, V.; Zahedi, R.P.; Batist, G.; Borchers, C.H. Targeted and Untargeted Proteomics Approaches in Biomarker Development. Proteomics 2019, 20, e1900029. [Google Scholar] [CrossRef]
- Taumer, C.; Griesbaum, L.; Kovacevic, A.; Soufi, B.; Nalpas, N.C.; Macek, B. Parallel reaction monitoring on a Q Exactive mass spectrometer increases reproducibility of phosphopeptide detection in bacterial phosphoproteomics measurements. J. Proteom. 2018, 189, 60–66. [Google Scholar] [CrossRef]
- Zhou, J.; Liu, H.; Liu, Y.; Liu, J.; Zhao, X.; Yin, Y. Development and Evaluation of a Parallel Reaction Monitoring Strategy for Large-Scale Targeted Metabolomics Quantification. Anal. Chem. 2016, 88, 4478–4486. [Google Scholar] [CrossRef] [PubMed]
- Carrera, M.; Gallardo, J.M.; Pascual, S.; González, F.; Medina, I. Protein biomarker discovery and fast monitoring for the identification and detection of Anisakids by parallel reaction monitoring (PRM) mass spectrometry. J. Proteom. 2016, 142, 130–137. [Google Scholar] [CrossRef]
- Sun, J.; Shi, J.; Wang, Y.; Wu, S.; Zhao, L.; Li, Y.; Wang, H.; Chang, L.; Lyu, Z.; Wu, J.; et al. Open-pFind Enhances the Identification of Missing Proteins from Human Testis Tissue. J. Proteome Res. 2019, 18, 4189–4196. [Google Scholar] [CrossRef] [PubMed]
- Cazares, L.H.; Chaerkady, R.; Weng, S.H.S.; Boo, C.C.; Cimbro, R.; Hsu, H.-E.; Rajan, S.; Dall’Acqua, W.; Clarke, L.; Ren, K.; et al. Development of a Parallel Reaction Monitoring Mass Spectrometry Assay for the Detection of SARS-CoV-2 Spike Glycoprotein and Nucleoprotein. Anal. Chem. 2020, 92, 13813–13821. [Google Scholar] [CrossRef] [PubMed]
- Chen, I.-H.; Xue, L.; Hsu, C.-C.; Paez, J.S.P.; Pan, L.; Andaluz, H.; Wendt, M.K.; Iliuk, A.B.; Zhu, J.-K.; Tao, W.A. Phosphoproteins in extracellular vesicles as candidate markers for breast cancer. Proc. Natl. Acad. Sci. USA 2017, 114, 3175–3180. [Google Scholar] [CrossRef] [PubMed]
- Li, X.; Shi, F.; Gong, L.; Hang, B.; Li, D.; Chi, L. Species-specific identification of collagen components in Colla corii asini using a nano-liquid chromatography tandem mass spectrometry proteomics approach. Int. J. Nanomed. 2017, 12, 4443–4454. [Google Scholar] [CrossRef] [PubMed]
- Gupta, N.; Hixson, K.K.; Culley, D.E.; Smith, R.; Pevzner, P.A. Analyzing protease specificity and detecting in vivo proteolytic events using tandem mass spectrometry. Proteomics 2010, 10, 2833–2844. [Google Scholar] [CrossRef] [PubMed]
- Tsiatsiani, L.; Heck, A.J.R. Proteomics beyond trypsin. FEBS J. 2015, 282, 2612–2626. [Google Scholar] [CrossRef]
- Wang, X.; Chang, L.; Wang, G.; Sun, Z.; Ma, H.; Sun, Q.; Li, J. Protein extraction from the earthwormEisenia fetidafor 2-DE. Proteomics 2010, 10, 1095–1099. [Google Scholar] [CrossRef]
- Miao, C.; Yang, Y.; Li, S.; Guo, Y.; Shui, W.; Cao, Q. Discrimination and quantification of homologous keratins from goat and sheep with dual protease digestion and PRM assays. J. Proteom. 2018, 186, 38–46. [Google Scholar] [CrossRef]
- Kisiala, A.; Kambhampati, S.; Stock, N.L.; Aoki, M.; Emery, R.J.N. Quantification of Cytokinins Using High-Resolution Accurate-Mass Orbitrap Mass Spectrometry and Parallel Reaction Monitoring (PRM). Anal. Chem. 2019, 91, 15049–15056. [Google Scholar] [CrossRef]
- Szymkowicz, L.; Wilson, D.J.; James, D.A. Development of a targeted nanoLC-MS/MS method for quantitation of residual toxins from Bordetella pertussis. J. Pharm. Biomed. Anal. 2020, 188, 113395. [Google Scholar] [CrossRef]
- Kalyankar, P.; Zhu, Y.; Keeffe, M.O.; Cuinn, G.O.; FitzGerald, R.J. Substrate specificity of glutamyl endopeptidase (GE): Hydrolysis studies with a bovine α-casein preparation. Food Chem. 2012, 136, 501–512. [Google Scholar] [CrossRef]
- Nakajima, N.; Sugimoto, M.; Ishihara, K.; Nakamura, K.; Hamada, H. Further Characterization of Earthworm Serine Proteases: Cleavage Specificity Against Peptide Substrates and on Autolysis. Biosci. Biotechnol. Biochem. 1999, 63, 2031–2033. [Google Scholar] [CrossRef]
- Sun, J.; Jiang, J.-B.; Zhao, Q.; Qiu, J.-P. New earthworms of the Amynthas morrisi-group (Oligochaeta, Megascolecidae) from Hainan Island, China. Zootaxa 2015, 4058, 257–266. [Google Scholar] [CrossRef]
- Leber, T.M.; Balkwill, B.F. Zymography: A single-step staining method for quantitation of proteolytic activity on substrate gels. Anal. Biochem. 1997, 249, 24–28. [Google Scholar] [CrossRef]
- Wu, J.X.; Zhao, X.Y. Determination of fibrinolytic enzymes from earthworm (Eisenia fotida) by fibrin zymography. Chin. Pharm. J. 2005, 40, 1656. [Google Scholar]





| Peptide Sequence | m/z | Charge | Sequence Length | Distribution | Proteins Accession | Proteins Description |
|---|---|---|---|---|---|---|
| NSYQFTGDTCTLSGWGR | 975.4260 | 2 | 17 | Q | DN78691_c1_g2_i2::g.671430 | fibrinolytic enzyme |
| DN109923_c9_g2_i1::g.21772 | fibrinolytic enzyme | |||||
| IPWQLSQQR | 1155.6269 | 1 | 9 | Q | DN94857_c2_g1_i9::g.607734 | lumbrokinase |
| DN94857_c2_g1_i6::g.607728 | lumbrokinase | |||||
| ASPGEFPWQLSMTR | 803.8878 | 2 | 14 | Q | DN84311_c4_g1_i3::g.903727 | lumbrokinase-7T2 precursor |
| DN84311_c4_g1_i4::g.903729 | lumbrokinase-Da2 precursor | |||||
| ALCAAHCVD | 1016.4288 | 1 | 9 | Q | DN84311_c4_g1_i3::g.903727 | lumbrokinase-7T2 precursor |
| DN84311_c4_g1_i6::g.903732 | lumbrokinase-Da2 precursor | |||||
| DN84311_c4_g1_i4::g.903729 | lumbrokinase-Da2 precursor | |||||
| DN84311_c4_g1_i7::g.903735 | fibrinolytic enzyme component A | |||||
| DN83697_c1_g5_i1::g.656593 | lumbrokinase-7T2 precursor | |||||
| LWVVTAAHCMDGE | 744.8341 | 2 | 13 | Q | DN102309_c1_g2_i5::g.177583 | lumbrokinase |
| DN102309_c1_g2_i1::g.177575 | lumbrokinase | |||||
| SHFCGGSIIND | 1206.5208 | 1 | 11 | Q | DN102309_c1_g2_i5::g.177583 | lumbrokinase |
| DN102309_c1_g2_i1::g.177575 | lumbrokinase | |||||
| GGSHSCGATLLSGTR | 730.8492 | 2 | 15 | Q | DN83697_c1_g5_i1::g.656593 | lumbrokinase-7T2 precursor |
| LPANNNNQYVGLICQISGWGR | 792.0622 | 2 | 21 | Q | DN83697_c1_g1_i5::g.656587 | lumbrokinase-7T1 precursor |
| GNSGACNGDSGGPLNCPDGVTR | 721.3044 | 2 | 22 | Q | DN84311_c4_g1_i7::g.903735 | fibrinolytic enzyme component A |
| GGSHSCGASLLHATAALSAAHCVD | 784.0269 | 2 | 23 | Q | DN109923_c9_g2_i1::g.21772 | fibrinolytic enzyme |
| WCCCVVGGR | 577.2386 | 2 | 9 | T, Q | DN87155_c0_g4_i1::g.790308 | hypothetical protein |
Publisher’s Note: MDPI stays neutral with regard to jurisdictional claims in published maps and institutional affiliations. |
© 2022 by the authors. Licensee MDPI, Basel, Switzerland. This article is an open access article distributed under the terms and conditions of the Creative Commons Attribution (CC BY) license (https://creativecommons.org/licenses/by/4.0/).
Share and Cite
Feng, T.-T.; Zhang, J.-X.; Zhang, Y.-P.; Sun, J.; Yu, H.; Tao, X.; Mao, X.-H.; Hu, Q.; Ji, S. A Strategy for Rapid Discovery of Marker Peptides Associated with Fibrinolytic Efficacy of Pheretima aspergillum Based on Bioinformatics Combined with Parallel Reaction Monitoring. Molecules 2022, 27, 2651. https://doi.org/10.3390/molecules27092651
Feng T-T, Zhang J-X, Zhang Y-P, Sun J, Yu H, Tao X, Mao X-H, Hu Q, Ji S. A Strategy for Rapid Discovery of Marker Peptides Associated with Fibrinolytic Efficacy of Pheretima aspergillum Based on Bioinformatics Combined with Parallel Reaction Monitoring. Molecules. 2022; 27(9):2651. https://doi.org/10.3390/molecules27092651
Chicago/Turabian StyleFeng, Ting-Ting, Jing-Xian Zhang, Yong-Peng Zhang, Jian Sun, Hong Yu, Xiang Tao, Xiu-Hong Mao, Qing Hu, and Shen Ji. 2022. "A Strategy for Rapid Discovery of Marker Peptides Associated with Fibrinolytic Efficacy of Pheretima aspergillum Based on Bioinformatics Combined with Parallel Reaction Monitoring" Molecules 27, no. 9: 2651. https://doi.org/10.3390/molecules27092651
APA StyleFeng, T.-T., Zhang, J.-X., Zhang, Y.-P., Sun, J., Yu, H., Tao, X., Mao, X.-H., Hu, Q., & Ji, S. (2022). A Strategy for Rapid Discovery of Marker Peptides Associated with Fibrinolytic Efficacy of Pheretima aspergillum Based on Bioinformatics Combined with Parallel Reaction Monitoring. Molecules, 27(9), 2651. https://doi.org/10.3390/molecules27092651

