Phytochemical Constituents and Ameliorative Effect of the Essential Oil from Annona muricata L. Leaves in a Murine Model of Breast Cancer
Abstract
1. Introduction
2. Results
2.1. Phytochemical Constituents of the Essential Oil from A. muricata (EOAm)
2.2. Antitumor Effect of the Essential Oil of A. muricata (EOAm)
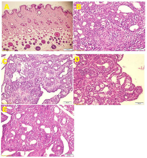
2.3. Histological Analysis of the Essential Oil of A. muricata (EOAm)
2.4. Biochemical Markers in Animals Treated with the Essential Oil from A. muricata (EOAm)
3. Discussion
4. Materials and Methods
4.1. Plant Sample Preparation
4.2. Obtention of the Essential Oil from A. muricata Leaves
4.3. Analysis of the Chemical Composition of Essential Oil
4.4. Animals
4.5. Induction of Breast Cancer in Rats and Experimental Design
- Group I received physiological saline (10 mL/kg); which is considered the control group;
- Group II received DMBA by oral administration at a single dose of 60 mg/kg of body weight, diluted in olive oil;
- Groups III (EOAm 50), IV (EOAm 100), and V (EOAm 200) received the essential oil of A. muricata daily in doses of 50, 100 and 200 mg/kg/day of body weight, respectively, by oral administration.
4.6. Determination of Serum Malondialdehyde (MDA) and Serum Reduced Glutathione (GSH)
4.7. Determination of Serum Vascular Endothelial Growth Factor (VEGF)
4.8. Statistical Analysis
5. Conclusions
Author Contributions
Funding
Institutional Review Board Statement
Informed Consent Statement
Data Availability Statement
Acknowledgments
Conflicts of Interest
Sample Availability
References
- Ullah, M.F. Breast Cancer: Current Perspectives on the Disease Status. Adv. Exp. Med. Biol. 2019, 1152, 51–64. [Google Scholar] [CrossRef]
- Siegel, R.L.; Miller, K.D.; Jemal, A. Cancer Statistics, 2020. CA Cancer J. Clin. 2020, 70, 7–30. [Google Scholar] [CrossRef] [PubMed]
- Waks, A.G.; Winer, E.P. Breast Cancer Treatment: A Review. JAMA 2019, 321, 288–300. [Google Scholar] [CrossRef] [PubMed]
- Ji, X.; Lu, Y.; Tian, H.; Meng, X.; Wei, M.; Cho, W.C. Chemoresistance Mechanisms of Breast Cancer and Their Countermeasures. Biomed. Pharmacother. Biomed. Pharmacother. 2019, 114, 108800. [Google Scholar] [CrossRef]
- Anjum, F.; Razvi, N.; Saeed, U. Effects of Chemotherapy in Breast Cancer Patients. Natl. J. Health Sci. 2017, 2, 67–74. [Google Scholar] [CrossRef]
- Sun, L.; Legood, R.; Dos-Santos-Silva, I.; Gaiha, S.M.; Sadique, Z. Global Treatment Costs of Breast Cancer by Stage: A Systematic Review. PLoS ONE 2018, 13, e0207993. [Google Scholar] [CrossRef]
- Rady, I.; Bloch, M.B.; Chamcheu, R.C.N.; Banang Mbeumi, S.; Anwar, M.R.; Mohamed, H.; Babatunde, A.S.; Kuiate, J.R.; Noubissi, F.K.; el Sayed, K.A.; et al. Anticancer Properties of Graviola (Annona muricata): A Comprehensive Mechanistic Review. Oxid. Med. Cell. Longev. 2018, 2018, 1826170. [Google Scholar] [CrossRef]
- Badrie, N.; Schauss, A.G. Soursop (Annona muricata L.): Composition, Nutritional Value, Medicinal Uses, and Toxicology. Bioact. Foods Promot. Health 2010, 621–643. [Google Scholar] [CrossRef]
- Coria-Téllez, A.V.; Montalvo-Gónzalez, E.; Yahia, E.M.; Obledo-Vázquez, E.N. Annona muricata: A Comprehensive Review on Its Traditional Medicinal Uses, Phytochemicals, Pharmacological Activities, Mechanisms of Action and Toxicity. Arab. J. Chem. 2018, 11, 662–691. [Google Scholar] [CrossRef]
- Ko, Y.M.; Wu, T.Y.; Wu, Y.C.; Chang, F.R.; Guh, J.Y.; Chuang, L.Y. Annonacin Induces Cell Cycle-Dependent Growth Arrest and Apoptosis in Estrogen Receptor-α-Related Pathways in MCF-7 Cells. J. Ethnopharmacol. 2011, 137, 1283–1290. [Google Scholar] [CrossRef]
- Adams, R.P. Identification of Essential Oil Components by Gas Chromatography/Mass Spectrometry, 4th ed.; Allured Publishing: Carol Stream, IL, USA, 2017; p. 804. [Google Scholar]
- Owolabi, M.S.; Ogundajo, A.L.; Dosoky, N.S.; Setzer, W.N. The Cytotoxic Activity of Annona muricata Leaf Oil from Badagary, Nigeria. Am. J. Essent. Oils Nat. Prod. 2013, 1, 1–3. [Google Scholar]
- Pélissier, Y.; Marion, C.; Kone, D.; Lamaty, G.; Menut, C.; Bessière, J.M. Volatile Components of Annona muricata L. J. Essent. Oil Res. 2011, 6, 411–414. [Google Scholar] [CrossRef]
- Kossouoh, C.; Moudachirou, M.; Adjakidje, V.; Chalchat, J.C.; Figuérédo, G. Essential Oil Chemical Composition of Annona muricata L. Leaves from Benin. J. Essent. Oil Res. 2011, 19, 307–309. [Google Scholar] [CrossRef]
- Thang, T.D.; Dai, D.N.; Hoi, T.M.; Ogunwande, I.A. Study on the Volatile Oil Contents of Annona glabra L., Annona squamosa L., Annona muricata L. and Annona reticulata L., from Vietnam. Nat. Prod. Res. 2013, 27, 1232–1236. [Google Scholar] [CrossRef]
- Araújo Monteiro, P.; Maccari Zelioli, Í.A.; de Oliveira Sousa, I.M.; Ruiz, A.L.T.G.; Vendramini-Costa, D.B.; Foglio, M.A.; de Carvalho, J.E. Chemical Composition and Antiproliferative Activity of Croton campestris A.St.-Hil. Essential Oil. Nat. Prod. Res. 2019, 33, 580–583. [Google Scholar] [CrossRef]
- Arul, S.; Rajagopalan, H.; Ravi, J.; Dayalan, H. Beta-Caryophyllene Suppresses Ovarian Cancer Proliferation by Inducing Cell Cycle Arrest and Apoptosis. Anti-Cancer Agents Med. Chem. 2020, 20, 1530–1537. [Google Scholar] [CrossRef]
- Amiel, E.; Ofir, R.; Dudai, N.; Soloway, E.; Rabinsky, T.; Rachmilevitch, S. β-Caryophyllene, a Compound Isolated from the Biblical Balm of Gilead (Commiphora gileadensis), Is a Selective Apoptosis Inducer for Tumor Cell Lines. Evid. Based Complement. Altern. Med. Ecam. 2012, 2012, 872394. [Google Scholar] [CrossRef]
- Ambrož, M.; Šmatová, M.; Šadibolová, M.; Pospíšilová, E.; Hadravská, P.; Kašparová, M.; Skarková, V.H.; Králová, V.; Skálová, L. Sesquiterpenes α-Humulene and β-Caryophyllene Oxide Enhance the Efficacy of 5-Fluorouracil and Oxaliplatin in Colon Cancer Cells. Acta Pharm. 2019, 69, 121–128. [Google Scholar] [CrossRef]
- Zhang, Z.; Guo, S.; Liu, X.; Gao, X. Synergistic Antitumor Effect of α-Pinene and β-Pinene with Paclitaxel against Non-Small-Cell Lung Carcinoma (NSCLC). Drug Res. 2015, 65, 214–218. [Google Scholar] [CrossRef]
- Alakanse, O.S.; Sulaiman, A.; Arannilewa, A.J.; Anjorin, F.F.; Malachi, O.I.; Ayo, I.E.; Oladejo, A.A.; Oluwole, O.A.; Olanrewaju, O.O.; Okeme, U.; et al. α-Selinene from Syzygium Aqueum against Aromatase P450 in Breast Carcinoma of Postmenopausal Women: In Silico Study. J. Biomed. Pharm. Sci. 2019, 2, 1–7. [Google Scholar]
- Rakha, E.A.; Reis-Filho, J.S.; Baehner, F.; Dabbs, D.J.; Decker, T.; Eusebi, V.; Fox, S.B.; Ichihara, S.; Jacquemier, J.; Lakhani, S.R.; et al. Breast Cancer Prognostic Classification in the Molecular Era: The Role of Histological Grade. Breast Cancer Res. BCR 2010, 12, 207. [Google Scholar] [CrossRef] [PubMed]
- Liou, G.Y.; Storz, P. Reactive Oxygen Species in Cancer. Free. Radic. Res. 2010, 44, 479–496. [Google Scholar] [CrossRef] [PubMed]
- Didžiapetrienė, J.; Kazbarienė, B.; Tikuišis, R.; Dulskas, A.; Dabkevičienė, D.; Lukosevičienė, V.; Kontrimavičiūtė, E.; Sužiedėlis, K.; Ostapenko, V. Oxidant/Antioxidant Status of Breast Cancer Patients in Pre- and Post-Operative Periods. Medicina 2020, 56, 70. [Google Scholar] [CrossRef] [PubMed]
- Bansal, A.; Celeste Simon, M. Glutathione Metabolism in Cancer Progression and Treatment Resistance. J. Cell Biol. 2018, 217, 2291. [Google Scholar] [CrossRef]
- Gyesi, J.N.; Opoku, R.; Borquaye, L.S. Chemical Composition, Total Phenolic Content, and Antioxidant Activities of the Essential Oils of the Leaves and Fruit Pulp of Annona muricata L. (Soursop) from Ghana. Biochem. Res. Int. 2019, 2019, 4164576. [Google Scholar] [CrossRef] [PubMed]
- Lowery, A.J.; Sweeney, K.J.; Molloy, A.P.; Hennessy, E.; Curran, C.; Kerin, M.J. The Effect of Menopause and Hysterectomy on Systemic Vascular Endothelial Growth Factor in Women Undergoing Surgery for Breast Cancer. BMC Cancer 2008, 8, 279. [Google Scholar] [CrossRef]
- Justin, A.K.; Philippe, S.; Victorien, D.T.; Fidele, A.M.; Rodrigue, T.; Gwladys, K.; Jacques, D.T.; Anatole, L.; Souaibou, F. Acute Toxicity of Chenopodium ambrosioides and Annona muricata Oils with Acaricidal Potentials. Asian J. Biol. Sci. 2019, 13, 1–8. [Google Scholar] [CrossRef][Green Version]
- Herrera-Calderon, O.; Chacaltana-Ramos, L.J.; Huayanca-Gutiérrez, I.C.; Algarni, M.A.; Alqarni, M.; Batiha, G.E.S. Chemical Constituents, In Vitro Antioxidant Activity and In Silico Study on NADPH Oxidase of Allium sativum L. (Garlic) Essential Oil. Antioxidants 2021, 10, 1844. [Google Scholar] [CrossRef]
- Wang, Z.; Zhang, X. Chemopreventive Activity of Honokiol against 7,12-Dimethylbenz[a]Anthracene-Induced Mammary Cancer in Female Sprague Dawley Rats. Front. Pharmacol. 2017, 8, 30. [Google Scholar] [CrossRef]
- Rojas-Armas, J.P.; Arroyo-Acevedo, J.L.; Palomino-Pacheco, M.; Herrera-Calderón, O.; Ortiz-Sánchez, J.M.; Rojas-Armas, A.; Calva, J.; Castro-Luna, A.; Hilario-Vargas, J. The Essential Oil of Cymbopogon Citratus Stapt and Carvacrol: An Approach of the Antitumor Effect on 7,12-Dimethylbenz-[α]-Anthracene (DMBA)-Induced Breast Cancer in Female Rats. Molecules 2020, 25, 3284. [Google Scholar] [CrossRef]
- Spyridopoulou, K.; Aravidou, T.; Lampri, E.; Effraimidou, E.; Pappa, A.; Chlichlia, K. Antitumor Potential of Lippia citriodora Essential Oil in Breast Tumor-Bearing Mice. Antioxidants 2021, 10, 875. [Google Scholar] [CrossRef] [PubMed]
- Buege, J.A.; Aust, S.D. Microsomal Lipid Peroxidation. Methods Enzymol. 1978, 52, 302–310. [Google Scholar] [CrossRef] [PubMed]
- Brehe, J.E.; Burch, H.B. Enzymatic Assay for Glutathione. Anal. Biochem. 1976, 74, 189–197. [Google Scholar] [CrossRef]
- Antonova, L.; Kutikhin, A.; Sevostianova, V.; Velikanova, E.; Matveeva, V.; Glushkova, T.; Mironov, A.; Krivkina, E.; Shabaev, A.; Senokosova, E.; et al. BFGF and SDF-1α Improve In Vivo Performance of VEGF-Incorporating Small-Diameter Vascular Grafts. Pharmaceuticals 2021, 14, 302. [Google Scholar] [CrossRef]



| Peak | Rt | Chemical Constituents | Peak Area | LRIexp | LRIref |
|---|---|---|---|---|---|
| 1 | 6.66 | Tricyclene | 3.31 | 926 | 926 |
| 2 | 7.29 | α-Fenchene | 0.69 | 943 | 945 |
| 3 | 8.40 | β-Pinene | 8.92 | 973 | 974 |
| 4 | 8.91 | Myrcene | 0.60 | 987 | 988 |
| 5 | 10.45 | ρ-Cymene | 0.23 | 1023 | 1020 |
| 6 | 10.65 | Limonene | 1.52 | 1027 | 1024 |
| 7 | 12.00 | γ-Terpinene | 0.49 | 1056 | 1054 |
| 8 | 14.66 | cis-Rose oxide | 0.71 | 1113 | 1106 |
| 9 | 16.62 | Menthone | 0.91 | 1154 | 1148 |
| 10 | 17.80 | Santalone | 0.26 | 1178 | 1173 |
| 11 | 20.48 | Pulegone | 0.93 | 1234 | 1233 |
| 12 | 22.71 | (E)-Anethole | 0.70 | 1281 | 1282 |
| 13 | 24.70 | neoiso-Verbanol acetate | 0.35 | 1327 | 1328 |
| 14 | 24.86 | cis-Piperitol acetate | 0.41 | 1330 | 1332 |
| 15 | 26.91 | β-Bourbonene | 1.27 | 1375 | 1387 |
| 16 | 27.23 | β-Elemene | 7.48 | 1382 | 1389 |
| 17 | 27.81 | β-Longipinene | 1.00 | 1394 | 1400 |
| 18 | 27.92 | Longifolene | 0.34 | 1402 | 1407 |
| 19 | 28.47 | (Z)-Caryophyllene | 40.22 | 1414 | 1408 |
| 20 | 29.08 | α-trans-Bergamotene | 0.33 | 1428 | 1432 |
| 21 | 29.20 | Aromadendrene | 1.11 | 1431 | 1439 |
| 22 | 29.92 | α-Humulene | 2.72 | 1447 | 1452 |
| 23 | 30.09 | allo-Aromadendrene | 0.86 | 1451 | 1458 |
| 24 | 30.76 | β-Acoradiene | 0.92 | 1466 | 1469 |
| 25 | 30.98 | Germacrene D | 1.71 | 1471 | 1480 |
| 26 | 31.29 | γ-Himachalene | 1.19 | 1479 | 1481 |
| 27 | 31.40 | cis-Eudesma-6,11-diene | 1.00 | 1481 | 1489 |
| 28 | 31.60 | α-Selinene | 9.94 | 1486 | 1498 |
| 29 | 32.04 | Germacrene A | 1.30 | 1501 | 1508 |
| 30 | 32.54 | δ-Amorphene | 0.42 | 1513 | 1511 |
| 31 | 32.91 | (Z)-γ-Bisabolene | 0.50 | 1522 | 1514 |
| 32 | 34.34 | (E)-Nerolidol | 1.33 | 1557 | 1561 |
| 33 | 34.81 | Spathulenol | 0.97 | 1568 | 1577 |
| 34 | 34.97 | Caryophyllene oxide | 0.71 | 1572 | 1582 |
| 35 | 35.13 | Thujopsan-2-α-ol | 1.23 | 1576 | 1586 |
| 36 | 35.46 | Globulol | 0.30 | 1584 | 1590 |
| 37 | 38.43 | (6Z)-Pentadecen-2-one | 1.59 | 1664 | 1667 |
| 38 | 38.58 | Caryophyllene <14-hydroxy-9-epi-(E)-> | 0.42 | 1668 | 1668 |
| 39 | 38.74 | n-Tetradecanol | 0.39 | 1672 | 1671 |
| 40 | 39.63 | n-Heptadecane | 0.71 | 1695 | 1700 |
| Total components | 100.00 |
| Parameters/Groups | DMBA | DMBA + EOAm50 | DMBA + EOAm100 | DMBA + EOAm200 |
|---|---|---|---|---|
| Total number of tumors | 15.00 | 12.00 | 9.00 | 8.00 |
| Animals with tumors/Total animals | 6/6 | 6/6 | 5/6 | 4/6 |
| Frequency of tumors by group | 2.50 ± 0.34 | 2.00 ± 0.26 (−20%) | 1.50 ± 0.43 (−40%) | 1.33 ± 0.49 (−47%) |
| Tumor latency (days) | 66.17 ± 2.70 | 65.83 ± 2.31 (−0.4 days) | 69.40 ± 1.69 (+3 days) | 74.75 ± 1.49 (+8.6 days) |
| Tumor incidence (%) | 100.00 | 100.00 | 83.33 (−17%) | 66.67 (−33%) |
| Average volume of tumors (cm3) | 0.39 ± 0.02 | 0.38 ± 0.02 (−3%) | 0.33 ± 0.03 (−15%) | 0.21 ± 0.04 * (−46%) |
| Cumulative tumor volume (cm3) | 5.89 | 4.55 (−23%) | 2.93 (−50%) | 1.68 (−71%) |
| Parameter/Group | DMBA | DMBA + EOAm 50 | DMBA + EOAm 100 | DMBA + EOAm 200 |
|---|---|---|---|---|
| Tubular differentiation | 3 | 2 | 2 | 2 |
| Nuclear pleomorphism | 3 | 3 | 2 | 2 |
| Number of mitoses | 2 | 1 | 1 | 1 |
| Score | 8 | 6 | 5 | 5 |
| Histological grade | III | II | I | I |
Publisher’s Note: MDPI stays neutral with regard to jurisdictional claims in published maps and institutional affiliations. |
© 2022 by the authors. Licensee MDPI, Basel, Switzerland. This article is an open access article distributed under the terms and conditions of the Creative Commons Attribution (CC BY) license (https://creativecommons.org/licenses/by/4.0/).
Share and Cite
Rojas-Armas, J.P.; Arroyo-Acevedo, J.L.; Palomino-Pacheco, M.; Ortiz-Sánchez, J.M.; Calva, J.; Justil-Guerrero, H.J.; Castro-Luna, A.; Ramos-Cevallos, N.; Cieza-Macedo, E.C.; Herrera-Calderon, O. Phytochemical Constituents and Ameliorative Effect of the Essential Oil from Annona muricata L. Leaves in a Murine Model of Breast Cancer. Molecules 2022, 27, 1818. https://doi.org/10.3390/molecules27061818
Rojas-Armas JP, Arroyo-Acevedo JL, Palomino-Pacheco M, Ortiz-Sánchez JM, Calva J, Justil-Guerrero HJ, Castro-Luna A, Ramos-Cevallos N, Cieza-Macedo EC, Herrera-Calderon O. Phytochemical Constituents and Ameliorative Effect of the Essential Oil from Annona muricata L. Leaves in a Murine Model of Breast Cancer. Molecules. 2022; 27(6):1818. https://doi.org/10.3390/molecules27061818
Chicago/Turabian StyleRojas-Armas, Juan Pedro, Jorge Luis Arroyo-Acevedo, Miriam Palomino-Pacheco, José Manuel Ortiz-Sánchez, James Calva, Hugo Jesus Justil-Guerrero, Americo Castro-Luna, Norma Ramos-Cevallos, Edwin César Cieza-Macedo, and Oscar Herrera-Calderon. 2022. "Phytochemical Constituents and Ameliorative Effect of the Essential Oil from Annona muricata L. Leaves in a Murine Model of Breast Cancer" Molecules 27, no. 6: 1818. https://doi.org/10.3390/molecules27061818
APA StyleRojas-Armas, J. P., Arroyo-Acevedo, J. L., Palomino-Pacheco, M., Ortiz-Sánchez, J. M., Calva, J., Justil-Guerrero, H. J., Castro-Luna, A., Ramos-Cevallos, N., Cieza-Macedo, E. C., & Herrera-Calderon, O. (2022). Phytochemical Constituents and Ameliorative Effect of the Essential Oil from Annona muricata L. Leaves in a Murine Model of Breast Cancer. Molecules, 27(6), 1818. https://doi.org/10.3390/molecules27061818

