Antioxidant and Polyphenol-Rich Ethanolic Extract of Rubia tinctorum L. Prevents Urolithiasis in an Ethylene Glycol Experimental Model in Rats
Abstract
1. Introduction
2. Results
2.1. Pathophysiology of EG/AC-Induced Urolithiasis
2.2. Effect of RT Extracts on the Pathophysiology of EG/AC-Induced Urolithiasis
2.2.1. Body Weight
2.2.2. Urine Microscopic Analysis
2.2.3. Serum and Urinary Analysis
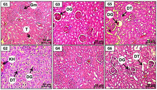
2.2.4. Histopathological Analysis
2.3. Antioxidant Properties of E-RT and EA-RT and Their Polyphenols Composition
2.3.1. Antioxidant Activity
2.3.2. Total Phenols Contents
2.3.3. Analysis of E-RT and EA-RT Polyphenols Contents
3. Discussion
4. Materials and Methods
4.1. Ethylene Glycol and Ammonium Chloride (EG/AC)-Induced Urolithiasis Model
4.1.1. Animals
4.1.2. Chemicals and Reagents
4.1.3. EG/AC Model Induction
4.2. Preparation of RT Extracts and Assessment of Their Antilithiasic Effect
4.2.1. Collection of Plant Material
4.2.2. Preparation of the Extracts
4.2.3. Administration of the Extracts
- G1, the untreated control group (or vehicle control) received only distilled water during the ten days.
- G2, the lithiasic control group received distilled water supplemented with 0.75% ethylene glycol (EG) and 2% ammonium chloride (AC), during the ten days.
- G3 and G4 received distilled water supplemented with 0.75% ethylene glycol (EG) and 2% ammonium chloride (AC) and concomitantly, 1 mL/day of 1 or 2 g/kg of ethanolic extract of RT (E-RT), dissolved in distilled water, respectively, during the ten days.
- G5 and G6 received distilled water supplemented with 0.75% ethylene glycol (EG) and 2% ammonium chloride (AC) and concomitantly, 1 mL/day of 1 or 2 g/kg of ethyl acetate extract of RT (EA-RT), dissolved in distilled water, respectively, during the ten days.
4.3. Pathophysiological Parameters Evaluation
4.3.1. Urine Collection and Analysis
4.3.2. Serum Analysis
4.3.3. Histopathological Analysis
4.4. Antioxidant Activity
4.4.1. DPPH Assay
4.4.2. Lipid Peroxidation Determination
Tissue Samples Preparation
Malondialdehyde Assay
4.4.3. Catalase Activity Determination
4.4.4. Reducing Power Assay
4.4.5. β-Carotene Linoleic Acid Method
4.4.6. Determination of Total Phenolic Content
4.4.7. Determination of Phenolic Compounds
4.5. Statistical Analysis
5. Conclusions
Supplementary Materials
Author Contributions
Funding
Institutional Review Board Statement
Data Availability Statement
Acknowledgments
Conflicts of Interest
Sample Availability
Abbreviations
| AC | ammonium chloride |
| CaOx | calcium oxalate |
| Cl | chloride |
| DNA | deoxyribonucleic acid |
| DPPH | 1, 1-diphenyl-2-picrylhydrazyl |
| EA-RT | ethyl acetate extract of Rubia tinctorum L. |
| EG | ethylene glycol |
| E-RT | ethanolic extract of Rubia tinctorum L. |
| GRF | glomerular filtration rate |
| HPLC | high performance liquid chromatography |
| IC50 | the half maximal inhibitory concentration |
| K | potassium |
| Na | sodium |
| Na2CO3 | sodium carbonates solution |
| Ox | oxalate |
| RT | Rubia tinctorum L. |
References
- Romero, V.; Akpinar, H.; Assimos, D.G. Kidney stones: A global picture of prevalence, incidence, and associated risk factors. Rev. Urol. 2010, 12, e86–e96. [Google Scholar]
- Khan, S.R.; Joshi, S.; Wang, W.; Peck, A.B. Regulation of macromolecular modulators of urinary stone formation by reactive oxygen species: Transcriptional study in an animal model of hyperoxaluria. Am. J. Physiol. Renal Physiol. 2014, 306, F1285–1295. [Google Scholar] [CrossRef]
- Khan, S.R.; Pearle, M.S.; Robertson, W.G.; Gambaro, G.; Canales, B.K.; Doizi, S.; Traxer, O.; Tiselius, H.G. Kidney stones. Nat. Rev. Dis. Primers 2016, 2, 16008. [Google Scholar] [CrossRef]
- Evan, A.P. Physiopathology and etiology of stone formation in the kidney and the urinary tract. Pediatr. Nephrol. 2010, 25, 831–841. [Google Scholar] [CrossRef]
- Ahmed, A.; Wadud, A.; Jahan, N.; Bilal, A.; Hajera, S. Efficacy of Adiantum capillus veneris Linn in chemically induced urolithiasis in rats. J. Ethnopharmacol. 2013, 146, 411–416. [Google Scholar] [CrossRef]
- Semins, M.J.; Matlaga, B.R. Medical evaluation and management of urolithiasis. Ther. Adv. Urol. 2010, 2, 3–9. [Google Scholar] [CrossRef]
- Terlecki, R.P.; Triest, J.A. A contemporary evaluation of the auditory hazard of extracorporeal shock wave lithotripsy. Urology 2007, 70, 898–899. [Google Scholar] [CrossRef]
- Butterweck, V.; Khan, S.R. Herbal medicines in the management of urolithiasis: Alternative or complementary? Planta Med. 2009, 75, 1095–1103. [Google Scholar] [CrossRef]
- Agarwal, K.; Varma, R. Ethnobotanical study of antilithic plants of Bhopal district. J. Ethnopharmacol. 2015, 174, 17–24. [Google Scholar] [CrossRef]
- Saha, S.; Shrivastav, P.S.; Verma, R.J. Antioxidative mechanism involved in the preventive efficacy of Bergenia ciliata rhizomes against experimental nephrolithiasis in rats. Pharm. Biol. 2014, 52, 712–722. [Google Scholar] [CrossRef]
- Grases, F.; Prieto, R.M.; Fernandez-Cabot, R.A.; Costa-Bauza, A.; Tur, F.; Torres, J.J. Effects of polyphenols from grape seeds on renal lithiasis. Oxid. Med. Cell Longev. 2015, 2015, 813737. [Google Scholar] [CrossRef]
- Youn, S.H.; Kwon, J.H.; Yin, J.; Tam, L.T.; Ahn, H.S.; Myung, S.C.; Lee, M.W. Anti-Inflammatory and Anti-Urolithiasis Effects of Polyphenolic Compounds from Quercus gilva Blume. Molecules 2017, 22, 1121. [Google Scholar] [CrossRef]
- Shikov, A.N.; Narkevich, I.A.; Flisyuk, E.V.; Luzhanin, V.G.; Pozharitskaya, O.N. Medicinal plants from the 14th edition of the Russian Pharmacopoeia, recent updates. J. Ethnopharmacol. 2021, 268, 113685. [Google Scholar] [CrossRef]
- Shilpa, P.N.; Venkatabalasubramanian, S.; Devaraj, S.N. Ameliorative effect of methanol extract of Rubia cordifolia in N-nitrosodiethylamine-induced hepatocellular carcinoma. Pharm. Biol. 2012, 50, 376–383. [Google Scholar] [CrossRef]
- Bellakhdar, J.; Claisse, R.; Fleurentin, J.; Younos, C. Repertory of standard herbal drugs in the Moroccan pharmacopoea. J. Ethnopharmacol. 1991, 35, 123–143. [Google Scholar] [CrossRef]
- Ravindra, D.H.; Sunil, S.J. Effect of hydro-alcoholic extract of Vernonia cinerea Less against ethylene glycol-induced urolithiasis in rats. Indian J. Pharmacol. 2016, 48, 434–440. [Google Scholar]
- Scheid, C.R.; Cao, L.C.; Honeyman, T.; Jonassen, J.A. How elevated oxalate can promote kidney stone disease: Changes at the surface and in the cytosol of renal cells that promote crystal adherence and growth. Front. Biosci. 2004, 9, 797–808. [Google Scholar] [CrossRef][Green Version]
- Fan, J.; Glass, M.A.; Chandhoke, P.S. Impact of ammonium chloride administration on a rat ethylene glycol urolithiasis model. Scanning Microsc. 1999, 13, 299–306. [Google Scholar]
- Leth, P.M.; Gregersen, M. Ethylene glycol poisoning. Forensic Sci. Int. 2005, 155, 179–184. [Google Scholar] [CrossRef]
- Soundararajan, P.; Mahesh, R.; Ramesh, T.; Begum, V.H. Effect of Aerva lanata on calcium oxalate urolithiasis in rats. Indian J. Exp. Biol. 2006, 44, 981–986. [Google Scholar]
- Divakar, K.; Pawar, A.T.; Chandrasekhar, S.B.; Dighe, S.B.; Divakar, G. Protective effect of the hydro-alcoholic extract of Rubia cordifolia roots against ethylene glycol induced urolithiasis in rats. Food Chem. Toxicol. 2010, 48, 1013–1018. [Google Scholar] [CrossRef]
- Ghelani, H.; Chapala, M.; Jadav, P. Diuretic and antiurolithiatic activities of an ethanolic extract of Acorus calamus L. rhizome in experimental animal models. J. Tradit. Complement. Med. 2016, 6, 431–436. [Google Scholar] [CrossRef]
- Pawar, A.T.; Vyawahare, N.S. Protective effect of ethyl acetate fraction of Biophytum sensitivum extract against sodium oxalate-induced urolithiasis in rats. J. Tradit. Complement. Med. 2017, 7, 476–486. [Google Scholar] [CrossRef]
- Blachley, J.D.; Hill, J.B. Renal and electrolyte disturbances associated with cisplatin. Ann. Intern. Med. 1981, 95, 628–632. [Google Scholar] [CrossRef]
- Kalyoncu, F.; Cetin, B.; Saglam, H. Antimicrobial activity of common madder (Rubia tinctorum L.). Phytother. Res. 2006, 20, 490–492. [Google Scholar] [CrossRef]
- Marhoume, F.Z.; Laaradia, M.A.; Zaid, Y.; Laadraoui, J.; Oufquir, S.; Aboufatima, R.; Chait, A.; Bagri, A. Anti-aggregant effect of butanolic extract of Rubia tinctorum L on platelets in vitro and Ex Vivo. J. Ethnopharmacol. 2019, 241, 111971. [Google Scholar] [CrossRef]
- Jouad, H.; Haloui, M.; Rhiouani, H.; El Hilaly, J.; Eddouks, M. Ethnobotanical survey of medicinal plants used for the treatment of diabetes, cardiac and renal diseases in the North centre region of Morocco (Fez-Boulemane). J. Ethnopharmacol. 2001, 77, 175–182. [Google Scholar] [CrossRef]
- Eddouks, M.; Maghrani, M.; Lemhadri, A.; Ouahidi, M.L.; Jouad, H. Ethnopharmacological survey of medicinal plants used for the treatment of diabetes mellitus, hypertension and cardiac diseases in the south-east region of Morocco (Tafilalet). J. Ethnopharmacol. 2002, 82, 97–103. [Google Scholar] [CrossRef]
- El Haouari, M.; Rosado, J.A. Medicinal Plants with Antiplatelet Activity. Phytother. Res. 2016, 30, 1059–1071. [Google Scholar] [CrossRef]
- Kapase, C.U.; Bodhankar, S.L.; Mohan, V.; Thakurdesai, P.A. Therapeutic effects of standardized fenugreek seed extract on experimental urolithiasis in rats. J. Appl. Pharm. Sci. 2013, 3, 029–035. [Google Scholar] [CrossRef]
- Kumar, B.N.; Wadud, A.; Jahan, N.; Sofi, G.; Bano, H.; Makbul, S.A.; Husain, S. Antilithiatic effect of Peucedanum grande C. B. Clarke in chemically induced urolithiasis in rats. J. Ethnopharmacol. 2016, 194, 1122–1129. [Google Scholar] [CrossRef]
- Kasote, D.M.; Jagtap, S.D.; Thapa, D.; Khyade, M.S.; Russell, W.R. Herbal remedies for urinary stones used in India and China: A review. J. Ethnopharmacol. 2017, 203, 55–68. [Google Scholar] [CrossRef] [PubMed]
- Selvam, R. Calcium oxalate stone disease: Role of lipid peroxidation and antioxidants. Urol. Res. 2002, 30, 35–47. [Google Scholar] [CrossRef] [PubMed]
- Katalini, V.; Milpa, M.; Kuljaj, T.; Juki, M. Screening of 70 medicinal plant extracts for antioxidant capacity and total phenols. Food Chem. 2006, 94, 550–557. [Google Scholar] [CrossRef]
- Naksuriya, O.; Okonogi, S. Comparison and combination effects on antioxidant power of curcumin with gallic acid, ascorbic acid, and xanthone. Drug Discov. Ther. 2015, 9, 136–141. [Google Scholar] [CrossRef]
- Liu, C.M.; Sun, Y.Z.; Sun, J.M.; Ma, J.Q.; Cheng, C. Protective role of quercetin against lead-induced inflammatory response in rat kidney through the ROS-mediated MAPKs and NF-kappaB pathway. Biochim. Biophys. Acta 2012, 1820, 1693–1703. [Google Scholar] [CrossRef]
- Calabrese, V.; Cornelius, C.; Dinkova-Kostova, A.T.; Calabrese, E.J.; Mattson, M.P. Cellular stress responses, the hormesis paradigm, and vitagenes: Novel targets for therapeutic intervention in neurodegenerative disorders. Antioxid. Redox. Signal 2010, 13, 1763–1811. [Google Scholar] [CrossRef]
- Zhai, W.; Zheng, J.; Yao, X.; Peng, B.; Liu, M.; Huang, J.; Wang, G.; Xu, Y. Catechin prevents the calcium oxalate monohydrate induced renal calcium crystallization in NRK-52E cells and the ethylene glycol induced renal stone formation in rat. BMC Complement. Altern. Med. 2013, 13, 228. [Google Scholar] [CrossRef]
- Stanely Mainzen Prince, P.; Rajakumar, S.; Dhanasekar, K. Protective effects of vanillic acid on electrocardiogram, lipid peroxidation, antioxidants, proinflammatory markers and histopathology in isoproterenol induced cardiotoxic rats. Eur. J. Pharmacol. 2011, 668, 233–240. [Google Scholar] [CrossRef]
- Lodi, S.; Sharma, V.; Kansal, L. The protective effect of Rubia cordifolia against lead nitrate-induced immune response impairment and kidney oxidative damage. Indian J. Pharmacol. 2011, 43, 441–444. [Google Scholar] [CrossRef]
- Son, J.K.; Jung, S.J.; Jung, J.H.; Fang, Z.; Lee, C.S.; Seo, C.S.; Moon, D.C.; Min, B.S.; Kim, M.R.; Woo, M.H. Anticancer constituents from the roots of Rubia cordifolia L. Chem. Pharm. Bull. 2008, 56, 213–216. [Google Scholar] [CrossRef]
- Zimmermann, M. Ethical guidelines for investigations of experimental pain in conscious animals. Pain 1983, 16, 109–110. [Google Scholar] [CrossRef]
- Elhabazi, K.; Aboufatima, R.; Benharref, A.; Zyad, A.; Chait, A.; Dalal, A. Study on the antinociceptive effects of Thymus broussonetii Boiss extracts in mice and rats. J. Ethnopharmacol. 2006, 107, 406–411. [Google Scholar] [CrossRef] [PubMed]
- M’Sou, S.; Alifriqui, M.; Romane, A. Phytochemical study and biological effects of the essential oil of Fraxinus dimorpha Coss & Durieu (§). Nat. Prod. Res. 2017, 31, 2797–2800. [Google Scholar] [CrossRef]
- Moreno, I.; Pichardo, S.; Jos, A.; Gomez-Amores, L.; Mate, A.; Vazquez, C.M.; Camean, A.M. Antioxidant enzyme activity and lipid peroxidation in liver and kidney of rats exposed to microcystin-LR administered intraperitoneally. Toxicon 2005, 45, 395–402. [Google Scholar] [CrossRef]
- Hill, M.F.; Singal, P.K. Antioxidant and oxidative stress changes during heart failure subsequent to myocardial infarction in rats. Am. J. Pathol. 1996, 148, 291–300. [Google Scholar]
- Bouimeja, B.; Yetongnon, K.H.; Touloun, O.; Berrougui, H.; Laaradia, M.A.; Ouanaimi, F.; Chait, A.; Boumezzough, A. Studies on antivenom activity of Lactuca serriola methanolic extract against Buthus atlantis scorpion venom by In Vivo methods. S. Afr. J. Bot. 2019, 125, 270–279. [Google Scholar] [CrossRef]
- Miraliakbari, H.; Shahidi, F. Antioxidant activity of minor components of tree nut oils. Food Chem. 2008, 111, 421–427. [Google Scholar] [CrossRef]
- Ainsworth, E.A.; Gillespie, K.M. Estimation of total phenolic content and other oxidation substrates in plant tissues using Folin-Ciocalteu reagent. Nat. Protoc. 2007, 2, 875–877. [Google Scholar] [CrossRef]




| Parameters | G1 Vehicle Control | G2 Lithiasic Control | G3 E-RT 1 g/kg | G4 E-RT 2 g/kg | G5 EA-RT 1 g/kg | G6 EA-RT 2 g/kg |
|---|---|---|---|---|---|---|
| Urea (g/L) | 0.26 ± 0.02 | 5.91 ± 0.17 b | 0.40 ± 0.01 a,c | 0.31 ± 0.02 a | 0.45 ± 0.07 a,b | 0.38 ± 0.04 a,d |
| Creatinine (mg/L) | 5.49 ± 0.21 | 39.51 ± 4.86 b | 5.65 ± 0.71 a | 5.16 ± 0.79 a | 7.08 ± 0.37 a | 6.93 ± 0.83 a |
| Ca2+ (mg/L) | 103.77 ± 1.01 | 119 ± 1.59 b | 106.33 ± 0.98 a | 104.50 ± 1.03 a | 109.5 ± 2.09 a | 107.7 ± 1.63 a |
| Uric acid (mg/L) | 10.71 ± 0.29 | 44.86 ± 3.00 b | 13.66 ± 0.95 a | 11.00 ± 1.03 a | 18.66 ± 1.28 a,b | 14.66 ± 1.60 a |
| Phosphorus (mg/L) | 83.34 ± 0.33 | 107.16 ± 1.74 b | 85.44 ± 1.39 a | 84.03 ± 3.40 a | 92.76 ± 3.23 a,d | 91.38 ± 1.26 a |
| Na+ (mmol/L) | 137.53 ± 0.29 | 182.55 ± 2.32 b | 139.20 ± 0.54 a | 137.63 ± 0.53 a | 141.68 ± 0.67 a,b | 139.97 ± 2.07 a |
| Cl− (mmol/L) | 93.68 ± 0.72 | 151.55 ± 1.30 b | 94.49 ± 1.17 a | 93.00 ± 0.81 a | 96.48 ± 0.76 a | 95.34 ± 0.96 a |
| K+ (mmol/L) | 8.24 ± 0.07 | 12.27 ± 0.34 b | 8.55 ± 0.07 a | 8.36 ± 0.09 a | 9.11 ± 0.39 a | 8.56 ± 0.25 a |
| Parameters | G1 Vehicle Control | G2 Lithiasic Control | G3 E-RT 1 g/kg | G4 E-RT 2 g/kg | G5 EA-RT 1 g/kg | G6 EA-RT 2 g/kg |
|---|---|---|---|---|---|---|
| Urea (g/L) | 33.96 ± 0.95 | 317.90 ± 0.95 b | 27.15 ± 1.85 a,c | 34.12 ± 1.27 a | 28.53 ± 1.64 a | 25.96 ± 0.26 a,c |
| Creatinine (mg/L) | 27.75 ± 1.66 | 116.28 ± 4.02 b | 35.98 ± 1.53 a,c | 31.32 ± 1.07 a | 38 ± 2.31 a,b | 35.21 ± 1.66 a,d |
| Ca2+ (mg/L) | 74.36 ± 1.36 | 217.08 ± 3.73 b | 98.16 ± 2.65 a,b | 73.57 ± 1.76 a | 83.95 ± 3.79 a | 77.66 ± 1.56 a |
| Uric acid (mg/L) | 58.33 ± 3.48 | 230.5 ± 10.79 b | 101.83 ± 0.70 a,b | 70 ± 3.14 a | 121.83 ± 0.94 a,b | 149.83 ± 0.98 a,b |
| Phosphorus (mg/L) | 12.83 ± 0.60 | 299.41 ± 1.47 b | 34.98 ± 0.78 a,b | 17.16 ± 0.47 a,d | 234.25 ± 0.93 a,b | 163.16 ± 0.94 a,b |
| Na+ (mmol/L) | 8.33 ± 0.21 | 18.33 ± 0.49 b | 10 ± 0.57 a | 9.83 ± 1.16 a | 8.66 ± 0.49 a | 12 ± 0.57 a,c |
| K+ (mmol/L) | 6.13 ± 0.16 | 196.03 ± 0.81 b | 42.74 ± 0.73 a,b | 12.67 ± 0 a,b | 22.56 ± 0.29 a,b | 17.38 ± 0.16 a,b |
| Cl− (mmol/L) | 36.45 ± 0.59 | 132.31 ± 0.75 b | 99.42 ± 0.50 a,b | 56.66 ± 0.34 a,b | 107.55 ± 2.61 a,b | 68.94 ± 0.98 a,b |
| Protein (mg/L) | 0.28 ± 0.01 | 1.03 ± 0.04 b | 0.36 ± 0.06 a | 0.11 ± 0.01 a,d | 0.78 ± 0.02 a,b | 0.76 ± 0.01 a,b |
| G1 Vehicle Control | G2 Lithiasic Control | G3 E-RT 1 g/kg | G4 E-RT 2 g/kg | G5 EA-RT 1 g/kg | G6 EA-RT 2 g/kg | |
|---|---|---|---|---|---|---|
| Cloudy swelling | - | +++ | - | - | ++ | + |
| Infiltration of mononuclear cells | - | +++ | - | - | ++ | + |
| Kidney hemorrhage | - | +++ | + | - | ++ | + |
| Morphological disorganization of tubules and glomeruli | - | +++ | + | + | ++ | ++ |
| IC50 (µg/mL) | |
|---|---|
| Gallic acid (GA) | 64.50 ± 0.70 |
| E-RT | 156.44 ± 35.76 a |
| EA-RT | 206.23 ± 90.68 a |
| IC50 (µg/mL) Reducing Power | IC50 (µg/mL) β-Carotene | |
|---|---|---|
| Butylated hydroxytoluene (BHT) | 0.12 ± 0.01 | 0.74 ± 0.02 |
| Quercetin | 0.07 ± 0.01 | 4.39 ± 0.05 |
| E-RT | 2.44 ± 0.02 a,b | 75.61 ± 3.33 a,b |
| EA-RT | 4.66 ± 0.04 a,b | 101.64 ± 5.41 a,b |
| Phenolic Compounds | Concentration (mg GAE/100 g DM) | Retention Time | |
|---|---|---|---|
| E-RT | Syringic acid | 13.79 ± 0.12 | 17.0 |
| Vanillin | 26.74 ± 0.15 | 28.8 | |
| Rosmarinic acid | 15.61 ± 0.20 | 29.4 | |
| Cinnamic acid | 14.19 ± 0.10 | 41.8 | |
| Catechin | 13.78 ± 0.09 | 44.1 | |
| Quercetin | 14.90 ± 0.21 | 45.1 | |
| EA-RT | Rutin | 12.32 ± 0.08 | 21.5 |
| Ferulic acid | 12.14 ± 0.13 | 23.3 | |
| Vanillin | 12.32 ± 0.11 | 28.8 | |
| Cinnamic acid | 12.43 ± 0.09 | 41.8 | |
| Quercetin | 15.81 ± 0.12 | 45.1 |
Publisher’s Note: MDPI stays neutral with regard to jurisdictional claims in published maps and institutional affiliations. |
© 2021 by the authors. Licensee MDPI, Basel, Switzerland. This article is an open access article distributed under the terms and conditions of the Creative Commons Attribution (CC BY) license (http://creativecommons.org/licenses/by/4.0/).
Share and Cite
Marhoume, F.Z.; Aboufatima, R.; Zaid, Y.; Limami, Y.; Duval, R.E.; Laadraoui, J.; Belbachir, A.; Chait, A.; Bagri, A. Antioxidant and Polyphenol-Rich Ethanolic Extract of Rubia tinctorum L. Prevents Urolithiasis in an Ethylene Glycol Experimental Model in Rats. Molecules 2021, 26, 1005. https://doi.org/10.3390/molecules26041005
Marhoume FZ, Aboufatima R, Zaid Y, Limami Y, Duval RE, Laadraoui J, Belbachir A, Chait A, Bagri A. Antioxidant and Polyphenol-Rich Ethanolic Extract of Rubia tinctorum L. Prevents Urolithiasis in an Ethylene Glycol Experimental Model in Rats. Molecules. 2021; 26(4):1005. https://doi.org/10.3390/molecules26041005
Chicago/Turabian StyleMarhoume, Fatima Zahra, Rachida Aboufatima, Younes Zaid, Youness Limami, Raphaël E. Duval, Jawad Laadraoui, Anass Belbachir, Abderrahmane Chait, and Abdallah Bagri. 2021. "Antioxidant and Polyphenol-Rich Ethanolic Extract of Rubia tinctorum L. Prevents Urolithiasis in an Ethylene Glycol Experimental Model in Rats" Molecules 26, no. 4: 1005. https://doi.org/10.3390/molecules26041005
APA StyleMarhoume, F. Z., Aboufatima, R., Zaid, Y., Limami, Y., Duval, R. E., Laadraoui, J., Belbachir, A., Chait, A., & Bagri, A. (2021). Antioxidant and Polyphenol-Rich Ethanolic Extract of Rubia tinctorum L. Prevents Urolithiasis in an Ethylene Glycol Experimental Model in Rats. Molecules, 26(4), 1005. https://doi.org/10.3390/molecules26041005

