Effects of Sargassum thunbergii Extract on Skin Whitening and Anti-Wrinkling through Inhibition of TRP-1 and MMPs
Abstract
:1. Introduction
2. Results and Discussion
2.1. Design of the Experiment
2.2. Effects of UAE Conditions on RSA
2.3. Effects of UAE Conditions on TIA
2.4. Effects of UAE Conditions on CIA
2.5. Optimization of the UAE Process
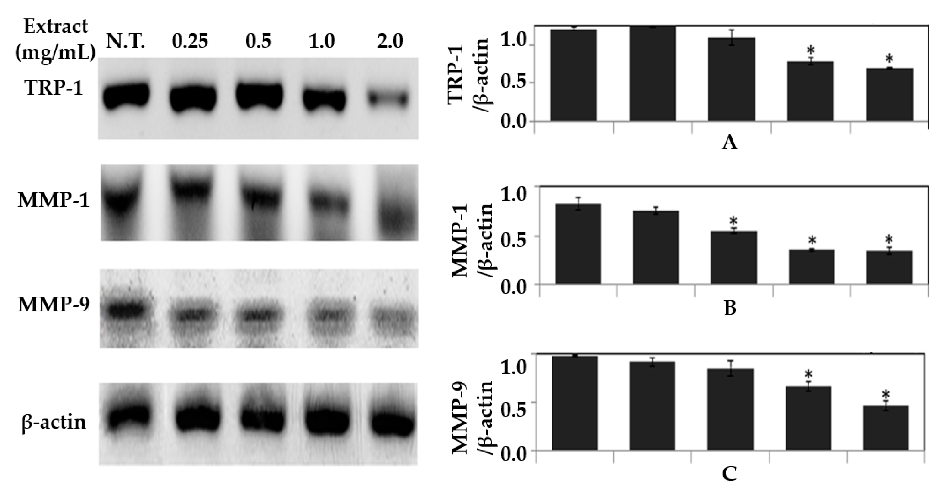
2.6. mRNA Expression of TRP-1, MMP-1, and MMP-9
2.7. Identification of Caffeic Acid in S. thunbergii Extract
3. Materials and Methods
3.1. Materials and Reagents
3.2. UAE Process
3.3. Experiment Design
3.4. Radical Scavenging Activity (RSA) Assay
3.5. Tyrosinase Inhibitory Activity (TIA) Assay
3.6. Collagemase Inhibitory Activity (CIA) Assay
3.7. Validation of the Model
3.8. Cell Culture
3.9. Reverse Transcription Polymerase Chain Reaction (RT-PCR)
3.10. LC-MS/MS Analysis
4. Conclusions
Author Contributions
Funding
Data Availability Statement
Conflicts of Interest
Sample Availability
References
- Zhou, J.; Ren, T.; Li, Y.; Cheng, A.; Xie, W.; Xu, L.; Peng, L.; Lin, J.; Lian, L.; Diao, Y.; et al. Oleoylethanolamide inhibits α-melanocyte stimulating hormone-stimulated melanogenesis via ERK, Akt and CREB signaling pathways in B16 melanoma cells. Oncotarget 2017, 8, 56868–56879. [Google Scholar] [CrossRef] [PubMed] [Green Version]
- Kang, M.H.; Jang, G.Y.; Ji, Y.J.; Lee, J.H.; Choi, S.J.; Hyun, T.K.; Kim, H.D. Antioxidant and anti-melanogenic activities of heat-treated licorice (Wongam, Glycyrrhiza glabra × G. uralensis) extract. Curr. Issues Mol. Biol. 2021, 43, 1171–1187. [Google Scholar] [CrossRef] [PubMed]
- Shim, K.B.; Yoon, N.Y. Inhibitory effect of fucofuroeckol-A from Eisenia bicyclis on tyrosinase activity and melanin biosynthesis in murine melanoma B16F10 cells. Fish. Aquat. Sci. 2018, 21, 1–7. [Google Scholar] [CrossRef]
- Yoon, H.S.; Yang, K.W.; Kim, J.E.; Kim, J.M.; Lee, N.H.; Hyun, C.G. Hypopigmenting effects of extracts from bulbs of Lilium oriental hybrid ‘Siberia’ in murine B16/F10 melanoma cells. J. Korean Soc. Food Sci. Nutr. 2014, 43, 705–711. [Google Scholar] [CrossRef] [Green Version]
- Promden, W.; Viriyabancha, W.; Monthakantirat, O.; Umehara, K.; Noguchi, H.; De-Eknamkul, W. Correlation between the potency of flavonoids on mushroom tyrosinase inhibitory activity and melanin synthesis in melanocytes. Molecules 2018, 23, 1403. [Google Scholar] [CrossRef] [PubMed] [Green Version]
- Park, H.J.; Ahn, S.H.; Choi, W.Y.; Lee, G.W.; Kwon, M.J.; Cho, Y.H. Changes in whitening activity of Codonopsis pilosula extracts according to extraction solvents. Korean Soc. Biotechnol. Bioeng. J. 2019, 34, 1–9. [Google Scholar]
- Kim, M.J.; Kim, S.Y.; Hyun, K.H.; Kim, D.S.; Kim, S.Y.; Hyun, C.G. Effects of Rumex axetosella, Sonchus oleraceus and Euphoibia jolkinin extracts on melanin synthesis in melanoma cells. Korean Soc. Biotechnol. Bioeng. J. 2017, 32, 187–192. [Google Scholar]
- Hwang, J.Y.; Park, T.S.; Son, J.H. Whitening effect of extracts and fractions from Diospyros kaki calyx. J. Life Sci. 2013, 23, 283–388. [Google Scholar] [CrossRef]
- Heo, S.J.; Kim, K.Y.; Park, E.Y.; Jang, A.R.; Yang, K.S.; Whang, W.K. Antioxidation activity and inhibition of B16F10 melanoma cell from moutan cortex from ethanol extracts. Asian J. Beauty Cosmetol. 2010, 8, 1–9. [Google Scholar]
- Wang, J.; Chen, Z.; Lu, Y.; Zhang, L.; Mo, J.; Cao, F.; Xie, M.; Shen, X.; Yang, A. Soluble pearl extract provides effective skin lightening by antagonizing endothelin. J. Cosmet. Dermatol. 2021, 20, 2531–2537. [Google Scholar] [CrossRef] [PubMed]
- Kim, I.D.; Kwon, R.H.; Heo, Y.Y.; Jung, H.J.; Kang, H.Y.; Ha, B.J. Supercritical extraction of oriental herb: Anti-aging and anti-wrinkle effects. Korean Soc. Biotechnol. Bioeng. J. 2008, 23, 529–534. [Google Scholar]
- Kwak, C.S.; Yang, J.W. Prevention effect of Prunus persica flos extract from reactive oxygen species generation and matrix metalloproteinases production induced by UVB irradiation in human skin cells. Asian J. Beauty Cosmetol. 2016, 14, 179–190. [Google Scholar] [CrossRef] [Green Version]
- Xiao, Z.; Liang, P.; Chen, J.; Chen, M.F.; Gong, F.; Li, C.; Zhou, C.; Hong, P.; Yang, P.; Qian, Z.J. A peptide YGDEY from tilapia gelatin hydrolysates inhibits UVB-mediated skin photoaging by regulating MMP-1 and MMP-9 expression in HaCaT Cells. Photochem. Photobiol. 2019, 95, 1424–1432. [Google Scholar] [CrossRef]
- Jang, Y.A.; Lee, J.T. Anti-wrinkle effect of berberine by inhibition of MMP-2 and MMP-9 activity in fibroblasts. J. Appl. Biol. Chem. 2018, 61, 9–15. [Google Scholar] [CrossRef] [Green Version]
- Kim, O.K.; Ho, J.N.; Nam, D.E.; Jun, W.J.; Lee, J.M. Anti-wrinkle activity of a Curdrania tricuspidata extract on ultraviolet-induced photoaging. J. Korean Soc. Food Sci. Nutr. 2013, 42, 608–614. [Google Scholar] [CrossRef]
- Ou, M.; Sun, X.; Liang, J.; Liu, F.; Wang, L.; Wu, X.; Tu, J. A polysaccharide from Sargassum thunbergii inhibits angiogenesis via downregulating MMP-2 activity and VEGF/HIF-1alpha signaling. Int. J. Biol. Macromol. 2017, 94, 451–458. [Google Scholar] [CrossRef] [PubMed]
- Jeong, G.T.; Park, D.H. Effect of pretreatment method on lipid extraction from Enteromor-pha intestinalis. Korean Soc. Biotechnol. Bioeng. J. 2014, 29, 22–28. [Google Scholar]
- Park, K.E.; Kim, Y.A.; Jung, H.A.; Lee, H.J.; Ahn, J.W. Three norisoprenoids from the brown alga Sargassum thunbergia. J. Korean Chem. Soc. 2004, 48, 394–398. [Google Scholar] [CrossRef] [Green Version]
- Choi, S.Y.; Kim, S.Y.; Hur, J.M.; Shin, J.H.; Choi, H.G.; Sung, N.J. A study on the physicochemical properties of the Sargassum thunbergia. Korean J. Food Nutr. 2006, 19, 8–13. [Google Scholar]
- Park, S.H.; Lee, S.J.; Jeon, M.J.; Kim, S.Y.; Mun, O.J.; Kim, M.H.; Kong, C.S.; Lee, D.G.; Yu, K.H.; Kim, Y.Y.; et al. Evaluation of biological activities of fermented Hizikia fusiformis extracts. J. Life Sci. 2014, 24, 304–310. [Google Scholar] [CrossRef]
- Wen, C.; Zhang, J.; Zhang, H.; Dzah, C.S.; Zandile, M.; Duan, Y.; Ma, H.; Luo, X. Advances in ultrasound assisted extraction of bioactive compounds from cash crops—A review. Ultrason. Sonochem. 2018, 48, 538–549. [Google Scholar] [CrossRef]
- Antónia Nunes, M.; Costa, A.S.G.; Bessada, S.; Santos, J.; Puga, H.; Alves, R.C.; Freitas, V.; Oliveira, M.B.P.P. Olive pomace as a valuable source of bioactive compounds: A study regarding its lipid- and water-soluble components. Sci. Total Environ. 2018, 644, 229–236. [Google Scholar] [CrossRef]
- Jacotet-Navarro, M.; Rombaut, N.; Deslis, S.; Fabiano-Tixier, A.S.; Pierre, F.X.; Bily, A.; Chemat, F. Towards a “dry” bio-refinery without solvents or added water using microwaves and ultrasound for total valorization of fruit and vegetable by-products. Green Chem. 2016, 18, 3106–3115. [Google Scholar] [CrossRef]
- Wang, X.; Tu, Z.; Liu, G.; Wang, H.; Hu, Y.; Huang, T. Investigation on the anaphylaxis and anti-digestive stable peptides identification of ultrasound-treated α-lactalbumin during in-vitro gastroduodenal digestion. Foods 2021, 10, 2760. [Google Scholar] [CrossRef]
- Wang, X.; Wu, Q.; Wu, Y.; Chen, G.; Yue, W.; Liang, Q. Response Surface optimized ultrasonic-assisted extraction of flavonoids from sparganii rhizoma and evaluation of their in vitro antioxidant activities. Molecules 2012, 17, 6769–6783. [Google Scholar] [CrossRef] [PubMed]
- Chemat, F.; Rombaut, N.; Sicaire, A.G.; Meullemiestre, A.; Fabiano-Tixier, A.S.; Abert-Vian, M. Ultrasound assisted extraction of food and natural products. Mechanisms, techniques, combinations, protocols and applications. A review. Ultrason. Sonochem. 2017, 34, 540–560. [Google Scholar] [CrossRef] [PubMed]
- Jeon, K.M.; Park, K.H.; Pyo, A.J. A research on cell proliferation effect and antioxidant activity of extracts based on different extraction methods of Salvia miltiorrhiza bunge and Scutellaria baicalensis. Asian J. Beauty Cosmetol. 2015, 13, 495–502. [Google Scholar]
- Shet, V.B.; Bhat, R.S.; Selvaraj, R.; Prasad, G.; Kodgi, A.; Damodaran, A.; Savithri, A. Development and optimization of Zn–Ni–TiO2 composite coating, assessment of its corrosion resistance and antimicrobial activity. Appl. Nanosci. 2021, 11, 2469–2477. [Google Scholar] [CrossRef]
- Row, K.H.; Park, H.E. Optimization of synthesis condition of Monolithic sorbent using response surface methodology. Appl. Chem. Eng. 2013, 24, 299–305. [Google Scholar]
- Jeong, Y.S.; Kim, J.W.; Lee, E.S.; Gil, N.Y.; Kim, S.S.; Hong, S.T. Optimization of alkali extraction for preparing oat protein concentrates from oat groat by response surface methodology. J. Korean Soc. Food Sci. Nutr. 2014, 43, 1462–1466. [Google Scholar] [CrossRef]
- Gam, D.H.; Hong, J.W.; Jeon, S.J.; Baek, D.H.; Kim, J.W. Development of ultrasound-assisted extraction for production of bioactive compounds with whitening and anti-wrinkle effects from Sargassum Horneri. Korean Soc. Biotechnol. Bioeng. 2020, 35, 294–302. [Google Scholar]
- Wagh, V.M.; Panaskar, D.B.; Muley, A.A.; Mukate, S.V.; Lolage, Y.P.; Aamalawar, M.L. Prediction of groundwater suitability for irrigation using artificial neural network model: A case study of nanded tehsil, Maharashtra, India. Model. Earth syst. Environ. 2016, 2, 1–10. [Google Scholar] [CrossRef]
- Lee, S.B.; Kim, S.I.; Hong, I.K. Optimization of iso-flavonoids extraction process from kudge using ultrasonic irradiation energy. Appl. Chem. Eng. 2018, 29, 503–509. [Google Scholar]
- Kim, K.C.; Kim, J.S. Effect of ethanol solvent concentration on antioxidant activity of dolwoe (Gynostemma pentaphyllum makino) leaves extracts. J. Adv. Eng. Technol. 2018, 11, 197–203. [Google Scholar]
- Kim, D.C. In vitro antioxidant activity of black tea (Camellia sinensis L.) residue extract. J. Appl. Biol. Chem. 2019, 62, 281–286. [Google Scholar] [CrossRef]
- Lee, B.H.; Choi, B.W.; Chun, J.H.; Yu, B.S. Extraction of water-soluble antioxidants from seaweeds. Appl. Chem. Eng. 1996, 7, 1069–1077. [Google Scholar]
- Bouaoudia-Madi, N.; Boulekbache-Makhlouf, L.; Madani, K.; Silva, A.M.S.; Dairi, S.; Oukhmanou-Bensidhoum, S.; Cardoso, S.M. Optimization of ultrasound-assisted extraction of polyphenols from Myrtus communis L. pericarp. Antioxidants 2019, 8, 205. [Google Scholar] [CrossRef] [PubMed] [Green Version]
- Park, S.H.; Lee, J.Y.; Yang, S.A. Comparative analysis of anti-oxidative, anti-inflammatory, anti-allergy, and whitening effects of different solvent extracts from Zizania latifolia. J. Life Sci. 2017, 27, 994–1002. [Google Scholar]
- Martinez-Abad, A.; Ramos, M.; Hamzaoui, M.; Kohnen, S.; Jimenez, A.; Garrigos, M.C. Optimisation of sequential microwave-assisted extraction of essential oil and pigment from lemon peels waste. Foods 2020, 9, 1493. [Google Scholar] [CrossRef]
- Oh, C.J.; Sim, S.A.; Cho, Y.K.; Kim, Y.C. Water extracts of green and white teas: Anti-wrinkle and hypopigmentation efficacies. J. Investig. Cosmetol. 2018, 14, 257–265. [Google Scholar]
- Yuan, X.; Zeng, Y.; Nie, K.; Luo, D.; Wang, Z. Extraction Optimization, Characterization and Bioactivities of a Major Polysaccharide from Sargassum thunbergii. PloS ONE 2015, 10, e0144773. [Google Scholar] [CrossRef]
- Wen, K.C.; Chang, C.S.; Chien, Y.C.; Wang, H.W.; Wu, W.C.; Wu, C.S.; Chiang, H.M. Tyrosol and its analogues inhibit alpha-melanocyte-stimulating hormone induced melanogenesis. Int. J. Mol. Sci. 2013, 14, 23420–23440. [Google Scholar] [CrossRef] [Green Version]
- Van-Pham, P.; Dang, L.T.T.; Dinh, U.T.; Truong, T.T.; Huynh, B.N.; Le, D.V.; Phan, N.K. In vitro evaluation of the effects of human umbilical cord extracts on human fibroblasts, keratinocytes, and melanocytes. Vitr. Cell. Dev. Biol. Anim. 2014, 50, 321–330. [Google Scholar] [CrossRef] [PubMed]
- Catauro, M.; Barrino, F.; Poggetto, G.D.; Crescente, G.; Piccolella, S.; Pacifico, S. New SiO2/Caffeic acid hybrid materials: Synthesis, spectroscopic characterization, and bioactivity. Materials 2020, 13, 394. [Google Scholar] [CrossRef] [PubMed] [Green Version]
- López-Fernández, O.; Domínguez, R.; Pateiro, M.; Munekata, P.E.S.; Rocchetti, G.; Lorenzo, J.M. Determination of polyphenols using liquid chromatography–tandem mass spectrometry technique (LC–MS/MS): A review. Antioxidants 2020, 9, 479. [Google Scholar] [CrossRef]
- Kim, D.Y.; Teng, H.; Choi, Y.H. Optimization of ultrasonic-assisted extraction process for Inonotus obliquus using response surface methodology. Curr. Res. Agric. Life Sci. 2012, 30, 68–75. [Google Scholar]
- Andres, I.A.; Petron, M.J.; Lopez, A.M.; Timon, M.L. Optimization of extraction conditions to improve phenolic content and in vitro antioxidant activity in craft brewers’ spent grain using response surface methodology (RSM). Foods 2020, 9, 1398. [Google Scholar] [CrossRef] [PubMed]
- Lee, J.M.; Chang, P.S.; Lee, J.H. Comparison of oxidative stability for the thermally oxidized vegetable oils using a DPPH method. Korean J. Food Sci. Technol. 2007, 39, 133–137. [Google Scholar]
- Yagi, A.; Kanbara, T.; Morinobu, N. The effect of tyrosinase inhibition for aloe. Planta Med. 1986, 3981, 517–519. [Google Scholar]
- Wünsch, E.; Heindrich, H.G. Zur quantitativen bestimmung der kollagenase. Hoppe-Seyler’s Z. Physiol. Chem. 1963, 333, 149–151. [Google Scholar] [CrossRef]








| Xi | Independent Variables | Coded and Experimental Levels | ||||
|---|---|---|---|---|---|---|
| −1.68 | −1 | 0 | +1 | +1.68 | ||
| X1 | Extraction time (min) | 5.30 | 8.00 | 12.0 | 16.0 | 18.7 |
| X2 | Extraction temperature (°C) | 22.4 | 34.0 | 51.0 | 68.0 | 79.6 |
| X3 | Ethanol concentration (v/v %) | 0.0 | 20.0 | 50.0 | 80.0 | 99.5 |
| Run No. | Extraction Conditions | RSA (%) | TIA (%) | CIA (%) | ||
|---|---|---|---|---|---|---|
| X1 | X2 | X3 | ||||
| 1 | 8.00 | 34.0 | 20.0 | 65.2 | 71.2 | 58.7 |
| 2 | 16.0 | 34.0 | 20.0 | 42.1 | 66.1 | 48.3 |
| 3 | 8.00 | 68.0 | 20.0 | 52.7 | 67.1 | 83.4 |
| 4 | 16.0 | 68.0 | 20.0 | 67.7 | 72.4 | 69.9 |
| 5 | 8.00 | 34.0 | 80.0 | 10.3 | 75.7 | 83.7 |
| 6 | 16.0 | 34.0 | 80.0 | 8.90 | 78.4 | 80.8 |
| 7 | 8.00 | 68.0 | 80.0 | 21.0 | 84.7 | 80.3 |
| 8 | 16.0 | 68.0 | 80.0 | 17.6 | 80.5 | 92.3 |
| 9 | 5.30 | 51.0 | 50.0 | 66.5 | 85.4 | 79.3 |
| 10 | 18.7 | 51.0 | 50.0 | 88.2 | 83.9 | 71.8 |
| 11 | 12.0 | 22.4 | 50.0 | 37.7 | 74.9 | 62.4 |
| 12 | 12.0 | 79.6 | 50.0 | 82.1 | 92.6 | 84.8 |
| 13 | 12.0 | 51.0 | 0.0 | 87.8 | 55.3 | 48.1 |
| 14 | 12.0 | 51.0 | 99.5 | 2.37 | 86.1 | 78.2 |
| 15 | 12.0 | 51.0 | 50.0 | 88.7 | 89.8 | 88.9 |
| 16 | 12.0 | 51.0 | 50.0 | 89.9 | 83.6 | 83.7 |
| 17 | 12.0 | 51.0 | 50.0 | 88.3 | 86.6 | 89.9 |
| Responses | Quadratic Regression Equations | R2 | p Value |
|---|---|---|---|
| RSA (%) | Y (RSA) = 90.65 + 1.72X1 + 7.85X2 − 23.26X3 + 4.51X1X2 + 0.41X1X3 + 0.79X2X3 − 9.20X12 − 15.37X22 − 21.40X32 | 0.8554 | 0.0283 |
| TIA (%) | Y (TIA) = 7.06 − 0.28X1 + 3.16X2 + 6.88X3 + 0.43X1X2 − 0.21X1X3 + 1.11X2X3 − 1.75X12 − 2.07X22 − 6.92X32 | 0.8591 | 0.0262 |
| CIA (%) | Y (CIA) = 88.00 − 1.42X1 + 7.33X2 + 9.92X3 + 2.47X1X2 + 5.10X1X3 − 3.78X2X3 − 3.17X12 + 3.87X22 + 7.71X32 | 0.9237 | 0.0037 |
| Variables | RSA (%) | TIA (%) | CIA (%) | ||||||
|---|---|---|---|---|---|---|---|---|---|
| Sum of Squares | F | p | Sum of Squares | F | p | Sum of Squares | F | p | |
| Model | 14,271.9 | 4.60 | 0.0283 | 1317.41 | 4.74 | 0.0262 | 3161.66 | 9.42 | 0.0037 |
| X1 | 40.49 | 0.12 | 0.7418 | 1.10 | 0.036 | 0.8556 | 27.35 | 0.73 | 0.4201 |
| X2 | 840.99 | 2.44 | 0.1622 | 136.40 | 4.42 | 0.0736 | 734.15 | 19.69 | 0.0030 |
| X3 | 7300.46 | 21.19 | 0.0025 | 639.25 | 20.71 | 0.0026 | 1329.55 | 35.65 | 0.0006 |
| X1X2 | 162.76 | 0.47 | 0.5140 | 1.49 | 0.048 | 0.8323 | 48.94 | 1.31 | 0.2896 |
| X1X3 | 1.35 | 3.92 × 10−3 | 0.9518 | 0.34 | 0.011 | 0.9192 | 208.37 | 5.59 | 0.0501 |
| X2X3 | 5.03 | 0.015 | 0.9072 | 9.81 | 0.32 | 0.5905 | 114.53 | 3.07 | 0.1232 |
| X12 | 957.11 | 2.78 | 0.1395 | 34.67 | 1.12 | 0.3244 | 113.83 | 3.05 | 0.1241 |
| X22 | 2672.79 | 7.76 | 0.0271 | 48.44 | 1.87 | 0.2506 | 169.84 | 4.55 | 0.0703 |
| X32 | 4942.54 | 14.34 | 0.0068 | 516.08 | 16.75 | 0.0046 | 641.23 | 17.19 | 0.0043 |
| Primer | Forward (5′-3′) | Reverse (5′-3′) | Size (bp) |
|---|---|---|---|
| TRP-1 | GCTGCAGGAGCCTTCTTTCTC | AAGACGCTGCACTGCTGGTCT | 268 |
| MMP-1 | AACTTTGACACCGTGGCCA | CAATGGGCATTGGGTACC | 108 |
| MMP-9 | AGTTTGGTGTCGCGGAGCAC | TACATGAGCGCTTCCGGCAC | 754 |
| β-actin | AGCACAGAGCCTCGCCTTT | CTTAATGTCACGCACGATTTCC | 697 |
Publisher’s Note: MDPI stays neutral with regard to jurisdictional claims in published maps and institutional affiliations. |
© 2021 by the authors. Licensee MDPI, Basel, Switzerland. This article is an open access article distributed under the terms and conditions of the Creative Commons Attribution (CC BY) license (https://creativecommons.org/licenses/by/4.0/).
Share and Cite
Gam, D.-H.; Park, J.-H.; Hong, J.-W.; Jeon, S.-J.; Kim, J.-H.; Kim, J.-W. Effects of Sargassum thunbergii Extract on Skin Whitening and Anti-Wrinkling through Inhibition of TRP-1 and MMPs. Molecules 2021, 26, 7381. https://doi.org/10.3390/molecules26237381
Gam D-H, Park J-H, Hong J-W, Jeon S-J, Kim J-H, Kim J-W. Effects of Sargassum thunbergii Extract on Skin Whitening and Anti-Wrinkling through Inhibition of TRP-1 and MMPs. Molecules. 2021; 26(23):7381. https://doi.org/10.3390/molecules26237381
Chicago/Turabian StyleGam, Da-Hye, Jae-Hyun Park, Ji-Woo Hong, Seong-Jin Jeon, Jun-Hee Kim, and Jin-Woo Kim. 2021. "Effects of Sargassum thunbergii Extract on Skin Whitening and Anti-Wrinkling through Inhibition of TRP-1 and MMPs" Molecules 26, no. 23: 7381. https://doi.org/10.3390/molecules26237381
APA StyleGam, D.-H., Park, J.-H., Hong, J.-W., Jeon, S.-J., Kim, J.-H., & Kim, J.-W. (2021). Effects of Sargassum thunbergii Extract on Skin Whitening and Anti-Wrinkling through Inhibition of TRP-1 and MMPs. Molecules, 26(23), 7381. https://doi.org/10.3390/molecules26237381
