In Vivo Toxicity Evaluation of Sugar Adulterated Heterotrigona itama Honey Using Zebrafish Model
Abstract
:1. Introduction
2. Results
2.1. Brix Value (%) Analysis
2.2. Lethal Concentration (LC50) of Pure and Adulterated Honey
2.3. Mortality Rate
2.4. Hatchability of Zebrafish Embryos
2.5. Heartbeat Rate
2.6. Acute Toxicity Test
2.7. Prolong-Acute Toxicity Test
2.8. Sub-Acute Toxicity Test
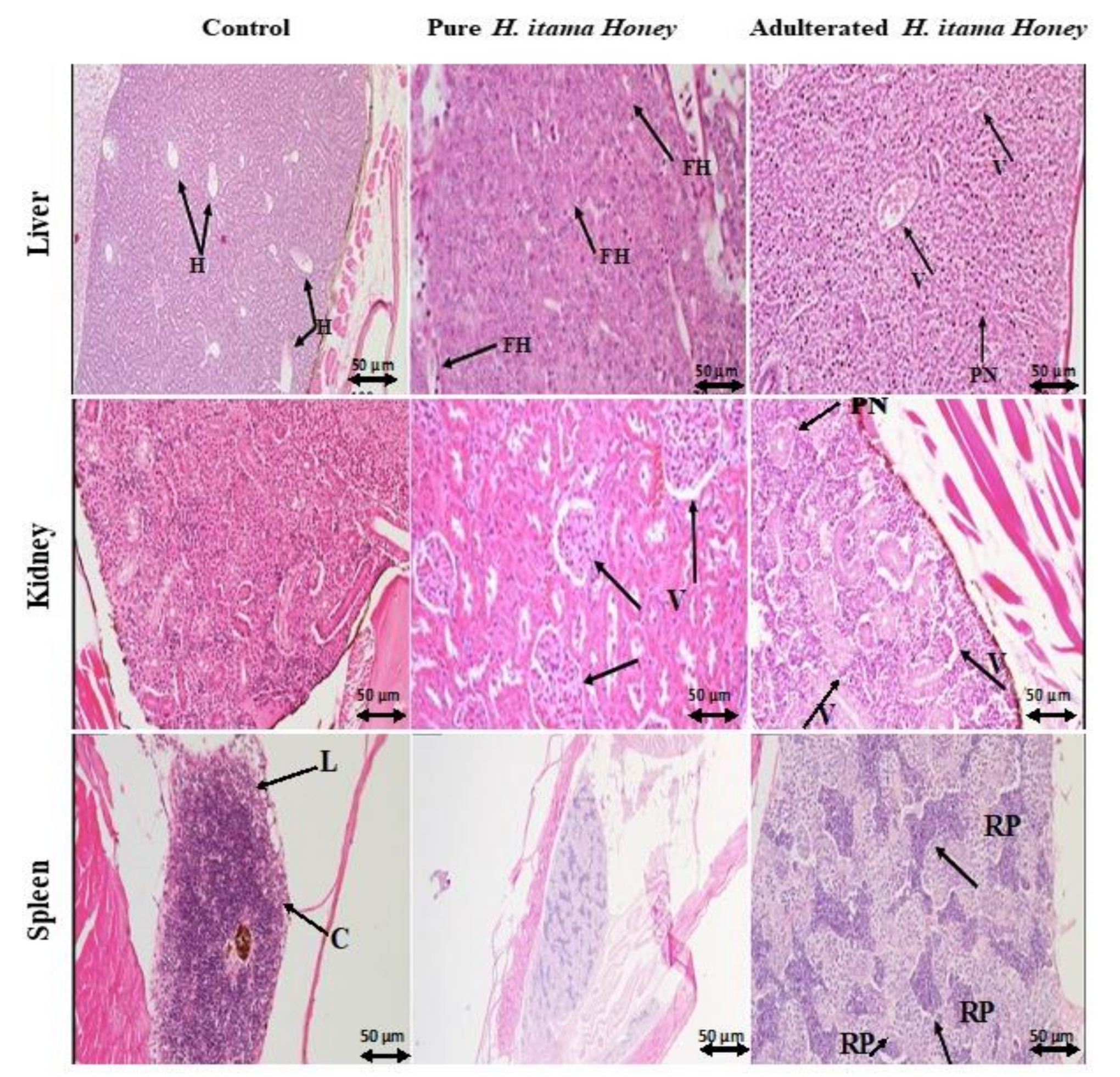
3. Histology
3.1. LC-MS Based Fingerprinting of Zebrafish Serum
3.2. Structural Elucidation Using MS/MS Fragmentation
4. Discussion
5. Materials and Methods
5.1. Materials
5.2. Methods
5.2.1. Sample Collection
5.2.2. Brix Analysis
5.2.3. Honey Adulteration
5.2.4. Embryotoxicity Study in Danio Rerio
5.2.5. Toxicity Test
5.2.6. Evaluation of Zebrafish Embryos Hatching Rate
5.2.7. Evaluation of Zebrafish Embryo and Larvae Heartbeats
5.2.8. Pre-and Post-Treatment Zebrafish Maintenance
5.2.9. Design of The Acute Toxicity Test
5.2.10. Design of The Prolong-Acute Toxicity Test
5.2.11. Design of The Sub-Acute Toxicity Test
6. Histology
6.1. LC-MS-Q TOF Based Fingerprinting
6.2. Statistical Analysis
7. Conclusions
Author Contributions
Funding
Institutional Review Board Statement
Informed Consent Statement
Data Availability Statement
Acknowledgments
Conflicts of Interest
Sample Availability
References
- Codex Alimentarius Commission. Revised Codex Standard for Honey. Codex Stan 2001, 12-1981 FAO; WHO: Geneva, Switzerland, 2001. [Google Scholar]
- Tumbas, V.T.; Vulić, J.J.; Čanadanović-Brunet, J.M.; Đilas, S.M.; Ćetković, G.S.; Stajčić, S.S.; Štajner, D.I.; Popović, B.M. Antioxidant and sensorial properties of acacia honey supplemented with prunes. Acta Period. Technol. 2012, 43, 293–304. [Google Scholar] [CrossRef]
- Rao, P.V.; Krishnan, K.T.; Salleh, N.; Gan, S.H. Biological and therapeutic effects of honey produced by honey bees and stingless bees: A comparative review. Rev. Bras. Farmacogn. 2016, 26, 657–664. [Google Scholar] [CrossRef] [Green Version]
- Shamsudin, S.; Selamat, J.; Sanny, M.; AR, S.B.; Jambari, N.N.; Khatib, A. A comparative characterization of physicochemical and antioxidants properties of processed Heterotrigona itama honey from different origins and classification by chemometrics analysis. Molecules 2019, 24, 3898. [Google Scholar] [CrossRef] [Green Version]
- Puscas, A.; Hosu, A.; Cimpoiu, C. Application of a newly developed and validated high-performance thin-layer chromatographic method to control honey adulteration. J. Chromatogr. A 2013, 1272, 132–135. [Google Scholar] [CrossRef]
- Fakhlaei, R.; Selamat, J.; Khatib, A.; Razis, A.F.A.; Sukor, R.; Ahmad, S.; Babadi, A.A. The toxic impact of honey adulteration: A review. Foods 2020, 9, 1538. [Google Scholar] [CrossRef] [PubMed]
- Fuhrman, J. The hidden dangers of fast and processed food. Am. J. Lifestyle Med. 2018, 12, 375–381. [Google Scholar] [CrossRef]
- Soares, S.; Amaral, J.S.; Oliveira, M.B.P.; Mafra, I. A comprehensive review on the main honey authentication issues: Production and origin. Compr. Rev. Food Sci. Food Saf. 2017, 16, 1072–1100. [Google Scholar] [CrossRef] [Green Version]
- Dayal, N.; Thakur, M.; Soparkar, A.; Doctor, M.; Patil, P.; Joshi, D. Effective method to deliver test substance in adult zebrafish. Int. J. Adv. Res. 2016, 4, 543–551. [Google Scholar] [CrossRef] [Green Version]
- Sobrino-Gregorio, L.; Vilanova, S.; Prohens, J.; Escriche, I. Detection of honey adulteration by conventional and real-time PCR. Food Control 2019, 95, 57–62. [Google Scholar] [CrossRef]
- Wang, S.; Guo, Q.; Wang, L.; Lin, L.; Shi, H.; Cao, H.; Cao, B. Detection of honey adulteration with starch syrup by high performance liquid chromatography. Food Chem. 2015, 172, 669–674. [Google Scholar] [CrossRef]
- Ruiz-Matute, A.I.; Rodríguez-Sánchez, S.; Sanz, M.L.; Martínez-Castro, I. Detection of adulterations of honey with high fructose syrups from inulin by GC analysis. J. Food Compos. Anal. 2010, 23, 273–276. [Google Scholar] [CrossRef]
- Chen, Q.; Qi, S.; Li, H.; Han, X.; Ouyang, Q.; Zhao, J. Determination of rice syrup adulterant concentration in honey using three-dimensional fluorescence spectra and multivariate calibrations. Spectrochim. Acta Part A Mol. Biomol. Spectrosc. 2014, 131, 177–182. [Google Scholar] [CrossRef]
- Li, S.; Shan, Y.; Zhu, X.; Zhang, X.; Ling, G. Detection of honey adulteration by high fructose corn syrup and maltose syrup using Raman spectroscopy. J. Food Compos. Anal. 2012, 28, 69–74. [Google Scholar] [CrossRef]
- Qu, L.; Jiang, Y.; Huang, X.; Cui, M.; Ning, F.; Liu, T.; Gao, Y.; Wu, D.; Nie, Z.; Luo, L. High-throughput monitoring of multiclass syrup adulterants in honey based on the oligosaccharide and polysaccharide profiles by MALDI mass spectrometry. J. Agric. Food Chem. 2019, 67, 11256–11261. [Google Scholar] [CrossRef]
- Arroyo-Manzanares, N.; García-Nicolás, M.; Castell, A.; Campillo, N.; Viñas, P.; López-García, I.; Hernández-Córdoba, M. Untargeted headspace gas chromatography–Ion mobility spectrometry analysis for detection of adulterated honey. Talanta 2019, 205, 120123. [Google Scholar] [CrossRef]
- Du, B.; Wu, L.; Xue, X.; Chen, L.; Li, Y.; Zhao, J.; Cao, W. Rapid screening of multiclass syrup adulterants in honey by ultrahigh-performance liquid chromatography/quadrupole time of flight mass spectrometry. J. Agric. Food Chem. 2015, 63, 6614–6623. [Google Scholar] [CrossRef]
- Wang, J.; Xue, X.; Du, X.; Cheng, N.; Chen, L.; Zhao, J.; Zheng, J.; Cao, W. Identification of acacia honey adulteration with rape honey using liquid chromatography–electrochemical detection and chemometrics. Food Anal. Methods 2014, 7, 2003–2012. [Google Scholar] [CrossRef]
- Benchoula, K.; Khatib, A.; Quzwain, F.; Che Mohamad, C.A.; Wan Sulaiman, W.M.A.; Abdul Wahab, R.; Ahmed, Q.U.; Abdul Ghaffar, M.; Saiman, M.Z.; Alajmi, M.F. Optimization of hyperglycemic induction in zebrafish and evaluation of its blood glucose level and metabolite fingerprint treated with Psychotria malayana jack leaf extract. Molecules 2019, 24, 1506. [Google Scholar] [CrossRef] [PubMed] [Green Version]
- Haq, M.; Gonzalez, N.; Mintz, K.; Jaja-Chimedza, A.; De Jesus, C.L.; Lydon, C.; Welch, A.Z.; Berry, J.P. Teratogenicity of ochratoxin A and the degradation product, ochratoxin α, in the zebrafish (Danio rerio) embryo model of vertebrate development. Toxins 2016, 8, 40. [Google Scholar] [CrossRef] [PubMed] [Green Version]
- Haffner, S.M.; Valdez, R.A.; Hazuda, H.P.; Mitchell, B.D.; Morales, P.A.; Stern, M.P. Prospective analysis of the insulin-resistance syndrome (syndrome X). Diabetes 1992, 41, 715–722. [Google Scholar] [CrossRef]
- Parichy, D.M.; Elizondo, M.R.; Mills, M.G.; Gordon, T.N.; Engeszer, R.E. Normal table of postembryonic zebrafish development: Staging by externally visible anatomy of the living fish. Dev. Dyn. 2009, 238, 2975–3015. [Google Scholar] [CrossRef] [Green Version]
- Adenan, M.N.H.; Yazan, L.S.; Christianus, A.; Hashim, N.F.M.; Harun, A.R.; Halim, N.H.A.; Sani, M.Z.; Rahim, K.A. Effects of Kelulut honey from Trigona sp. on zebrafish (Danio rerio) embryo that mimics human embryonic development. J. Cell Anim. Biol. 2018, 12, 5–14. [Google Scholar]
- Maddison, L.A.; Chen, W. Modeling pancreatic endocrine cell adaptation and diabetes in the zebrafish. Front. Endocrinol. 2017, 8, 9. [Google Scholar] [CrossRef] [Green Version]
- Prasad, K.; Dhar, I. Oxidative stress as a mechanism of added sugar-induced cardiovascular disease. Int. J. Angiol. 2014, 23, 217–226. [Google Scholar] [PubMed] [Green Version]
- Bonnefont-Rousselot, D. Glucose and reactive oxygen species. Curr. Opin. Clin. Nutr. Metab. Care 2002, 5, 561–568. [Google Scholar] [CrossRef] [PubMed]
- Jurczyk, A.; Roy, N.; Bajwa, R.; Gut, P.; Lipson, K.; Yang, C.; Covassin, L.; Racki, W.J.; Rossini, A.A.; Phillips, N. Dynamic glucoregulation and mammalian-like responses to metabolic and developmental disruption in zebrafish. Gen. Comp. Endocrinol. 2011, 170, 334–345. [Google Scholar] [CrossRef] [PubMed] [Green Version]
- Li, K.; Wu, J.-Q.; Jiang, L.-L.; Shen, L.-Z.; Li, J.-Y.; He, Z.-H.; Wei, P.; Lv, Z.; He, M.-F. Developmental toxicity of 2,4-dichlorophenoxyacetic acid in zebrafish embryos. Chemosphere 2017, 171, 40–48. [Google Scholar] [CrossRef]
- Suhana Samat, F.K.E.; Razak, A.A.; Hussein, F.N.; Ismail, W.I.W. Adulterated honey consumption can induce obesity, increase blood glucose level and demonstrate toxicity effects. Sains Malays. 2018, 47, 353–365. [Google Scholar]
- Al-Waili, N.; Salom, K.; Al-Ghamdi, A.; Ansari, M.J. Antibiotic, pesticide, and microbial contaminants of honey: Human health hazards. Sci. World J. 2012, 2012, 930849. [Google Scholar] [CrossRef] [Green Version]
- Bogdanov, S.; Jurendic, T.; Sieber, R.; Gallmann, P. Honey for nutrition and health: A review. J. Am. Coll. Nutr. 2008, 27, 677–689. [Google Scholar] [CrossRef]
- Prassas, I.; Diamandis, E.P. Novel therapeutic applications of cardiac glycosides. Nat. Rev. Drug Discov. 2008, 7, 926–935. [Google Scholar] [CrossRef] [PubMed]
- Ranneh, Y.; Akim, A.M.; Ab Hamid, H.; Khazaai, H.; Fadel, A.; Mahmoud, A.M. Stingless bee honey protects against lipopolysaccharide induced-chronic subclinical systemic inflammation and oxidative stress by modulating Nrf2, NF-κB and p38 MAPK. Nutr. Metab. 2019, 16, 15. [Google Scholar] [CrossRef]
- Paris-Palacios, S.; Biagianti-Risbourg, S.; Vernet, G. Biochemical and (ultra) structural hepatic perturbations of Brachydanio rerio (Teleostei, Cyprinidae) exposed to two sublethal concentrations of copper sulfate. Aquat. Toxicol. 2000, 50, 109–124. [Google Scholar] [CrossRef]
- Ni, H.; Peng, L.; Gao, X.; Ji, H.; Ma, J.; Li, Y.; Jiang, S. Effects of maduramicin on adult zebrafish (Danio rerio): Acute toxicity, tissue damage and oxidative stress. Ecotoxicol. Environ. Saf. 2019, 168, 249–259. [Google Scholar] [CrossRef] [PubMed]
- Kiss, N.; Hamar, P. Histopathological evaluation of contrast-induced acute kidney injury rodent models. BioMed Res. Int. 2016, 2016, 3763250. [Google Scholar] [CrossRef] [PubMed] [Green Version]
- Johnson, R.J.; Sanchez-Lozada, L.G.; Nakagawa, T. The effect of fructose on renal biology and disease. J. Am. Soc. Nephrol. 2010, 21, 2036–2039. [Google Scholar] [CrossRef]
- Bronte, V.; Pittet, M.J. The spleen in local and systemic regulation of immunity. Immunity 2013, 39, 806–818. [Google Scholar] [CrossRef] [PubMed] [Green Version]
- Chen, H.; Yuan, B.; Miao, H.; Tan, Y.; Bai, X.; Zhao, Y.-Y.; Wang, Y. Urine metabolomics reveals new insights into hyperlipidemia and the therapeutic effect of rhubarb. Anal. Methods 2015, 7, 3113–3123. [Google Scholar] [CrossRef]
- Chakrabarti, S.K.; Denniel, C. S-[(1 and 2)-phenyl-2-hydroxyethyl]-cysteine-induced cytotoxicity to rat renal proximal tubules. Toxicol. Appl. Pharmacol. 1996, 137, 285–294. [Google Scholar] [CrossRef]
- Kim, H.; Kosinski, P.; Kung, C.; Dang, L.; Chen, Y.; Yang, H.; Chen, Y.-S.; Kramer, J.; Liu, G. A fit-for-purpose LC–MS/MS method for the simultaneous quantitation of ATP and 2,3-DPG in human K2EDTA whole blood. J. Chromatogr. B 2017, 1061, 89–96. [Google Scholar] [CrossRef]
- Macdonald, R. Red cell 2,3-diphosphoglycerate and oxygen affinity. Anaesthesia 1977, 32, 544–553. [Google Scholar] [CrossRef] [PubMed]
- Ito, N.; Phillips, S.E.; Stevens, C.; Ogel, Z.B.; McPherson, M.J.; Keen, J.N.; Yadav, K.D.; Knowles, P.F. Novel thioether bond revealed by a 1.7 Å crystal structure of galactose oxidase. Nature 1991, 350, 87–90. [Google Scholar] [CrossRef]
- Schnell, R.; Sandalova, T.; Hellman, U.; Lindqvist, Y.; Schneider, G. Siroheme-and [Fe4-S4]-dependent NirA from Mycobacterium tuberculosis is a sulfite reductase with a covalent Cys-Tyr bond in the active site. J. Biol. Chem. 2005, 280, 27319–27328. [Google Scholar] [CrossRef] [Green Version]
- Simmons, C.R.; Liu, Q.; Huang, Q.; Hao, Q.; Begley, T.P.; Karplus, P.A.; Stipanuk, M.H. Crystal structure of mammalian cysteine dioxygenase a novel mononuclear iron center for cysteine thiol oxidation. J. Biol. Chem. 2006, 281, 18723–18733. [Google Scholar] [CrossRef] [Green Version]
- Mohorko, N.; Petelin, A.; Jurdana, M.; Biolo, G.; Jenko-Pražnikar, Z. Elevated serum levels of cysteine and tyrosine: Early biomarkers in asymptomatic adults at increased risk of developing metabolic syndrome. BioMed Res. Int. 2015, 2015, 418681. [Google Scholar] [CrossRef] [PubMed] [Green Version]
- Shamsudin, S.; Selamat, J.; Sanny, M.; Abd Razak, S.-B.; Jambari, N.N.; Mian, Z.; Khatib, A. Influence of origins and bee species on physicochemical, antioxidant properties and botanical discrimination of stingless bee honey. Int. J. Food Prop. 2019, 22, 239–264. [Google Scholar] [CrossRef] [Green Version]
- Collymore, C.; Rasmussen, S.; Tolwani, R.J. Gavaging adult zebrafish. J. Vis. Exp. 2013, 78, e50691. [Google Scholar] [CrossRef] [Green Version]
- Kovács, R.; Bakos, K.; Urbányi, B.; Kövesi, J.; Gazsi, G.; Csepeli, A.; Appl, Á.J.; Bencsik, D.; Csenki, Z.; Horváth, Á. Acute and sub-chronic toxicity of four cytostatic drugs in zebrafish. Environ. Sci. Pollut. Res. 2016, 23, 14718–14729. [Google Scholar] [CrossRef]
- OECD. OECD Guideline for the Testing of Chemicals; OECD: Paris, France, 2001. [Google Scholar]
- Khedkar, P.M.; Jagdale, D.M.; Dhande, S.R. Acute toxicity testing of synthesized pyrazoline derivatives in adult zebrafish. Int. J. Pharm. Sci. Res. 2018, 9, 277–281. [Google Scholar]
- Olsen, A.S.; Sarras, M.P., Jr.; Intine, R.V. Limb regeneration is impaired in an adult zebrafish model of diabetes mellitus. Wound Repair Regen. 2010, 18, 532–542. [Google Scholar] [CrossRef] [Green Version]
- Eames, S.C.; Philipson, L.H.; Prince, V.E.; Kinkel, M.D. Blood sugar measurement in zebrafish reveals dynamics of glucose homeostasis. Zebrafish 2010, 7, 205–213. [Google Scholar] [CrossRef] [PubMed]
- Stanstrup, J.; Broeckling, C.D.; Helmus, R.; Hoffmann, N.; Mathé, E.; Naake, T.; Nicolotti, L.; Peters, K.; Rainer, J.; Salek, R.M. The metaRbolomics toolbox in bioconductor and beyond. Metabolites 2019, 9, 200. [Google Scholar] [CrossRef] [PubMed] [Green Version]
- Razali, M.T.A.; Zainal, Z.A.; Maulidiani, M.; Shaari, K.; Zamri, Z.; Mohd Idrus, M.Z.; Khatib, A.; Abas, F.; Ling, Y.S.; Rui, L.L. Classification of raw stingless bee honeys by bee species origins using the NMR-and LC-MS-based metabolomics approach. Molecules 2018, 23, 2160. [Google Scholar] [CrossRef] [PubMed] [Green Version]






| Samples | (%) | Brix (%) |
|---|---|---|
| Pure H. itama honey | 0 | 65.40 ± 0.10 abc |
| Palm sugar | 1 | 64.92 ± 2.10 abc |
| 2 | 64.62 ± 1.49 bc | |
| 3 | 66.04 ± 0.19 ab | |
| Cane sugar | 1 | 64.72 ± 1.12 bc |
| 2 | 65.41 ± 1.16 abc | |
| 3 | 65.53 ± 0.49 abc | |
| Light corn syrup | 1 | 66.14 ± 0.34 ab |
| 2 | 66.46 ± 0.57 a | |
| 3 | 65.83 ± 0.95 ab | |
| Inverted sugar | 1 | 64.08 ± 0.72 c |
| 2 | 65.56 ± 0.60 abc | |
| 3 | 65.69 ± 0.44 ab |
| Sugar Adulterant | % Sugar | LC50(mg/mL) |
|---|---|---|
| Control | 0 | 34.40 ± 1.84 a |
| Cane Sugar | 1 | 18.94 ± 1.17 b |
| 2 | 12.51 ± 1.73 c | |
| 3 | 9.87 ± 0.09 d | |
| Palm Sugar | 1 | 14.25 ± 1.17 e |
| 2 | 11.98 ± 0.66 f | |
| 3 | 8.87 ± 1.90 g | |
| Light corn syrup | 1 | 13.52 ± 0.71 h |
| 2 | 10.12 ± 1.18 i | |
| 3 | 7.60 ± 0.45 j | |
| Inverted sugar | 1 | 10.66 ± 0.40 k |
| 2 | 8.29 ± 1.00 l | |
| 3 | 5.03 ± 0.92 m |
| Sample | Dose (mg/g·bw) | Total Fish Tested | Mortality (%) | LD50 (mg/g·bw) |
|---|---|---|---|---|
| H. itama | Low | 15 | 10 | 4.70 ± 1.77 |
| Medium | 15 | 60 | ||
| High | 15 | 100 | ||
| Fish tank water | - | 15 | 0 | - |
| Sample | Dose (mg/g bw) | Total Fish Tested | Mortality (%) | LD50 (mg/g·bw) |
|---|---|---|---|---|
| H. itama | Low | 15 | 10 | 5.22 ± 1.31 |
| Medium | 15 | 30 | ||
| High | 15 | 100 | ||
| Fish tank water | - | 15 | 0 | - |
| Sample |
Dose (mg/g BW) | Total Fish Tested | Mortality (%) | LD50 (mg/mL) |
|---|---|---|---|---|
| H.itama | Low | 15 | 0 | 2.33 ± 0.24 a |
| Medium | 15 | 20 | ||
| High | 15 | 40 | ||
| H.itama + 3%Cane sugar | Low | 15 | 20 | 1.13 ± 0.12 b |
| Medium | 15 | 40 | ||
| High | 15 | 50 | ||
| H.itama + 3%Palm sugar | Low | 15 | 30 | 0.80 ± 0.16 c |
| Medium | 15 | 30 | ||
| High | 15 | 60 | ||
| H.itama + 3%Light corn syrup | Low | 15 | 30 | 0.35 ± 0.07 d |
| Medium | 15 | 30 | ||
| High | 15 | 80 | ||
| H.itama + 3%Inverted sugar | Low | 15 | 30 | 0.20 ± 0.06 e |
| Medium | 15 | 60 | ||
| High | 15 | 100 | ||
| Fish tank water | - | 15 | 0 | - |
| Compound | M-H | MSMS Fragment Ions | Tentative Metabolites |
|---|---|---|---|
| 1 | 236.00 | [M-CHO2]− at m/z 192, [M-CH3O2]− at m/z 190, [M-C2H5O2]− at m/z 176 | S-Cysteinosuccinic acid |
| 2 | 264.95 | [M-OH]− at m/z 246, [M-CO2]− at m/z 220, [M-H2]− at m/z 218, [M-CH3O2]− at m/z 216, [M- C3H2O6P]− at m/z 98, [M-C3H4O6P]− at m/z 96 | 2,3-Diphosphoglyceric acid |
| 3 | 283.00 | [M-H2O]− at m/z 265, [M-CO2]− at m/z 239, [M-CH2O2]− at m/z 237, [M-H4OS]− at m/z 231, [M-CH3O2]− at m/z 246 | Cysteinyl-Tyrosine |
Publisher’s Note: MDPI stays neutral with regard to jurisdictional claims in published maps and institutional affiliations. |
© 2021 by the authors. Licensee MDPI, Basel, Switzerland. This article is an open access article distributed under the terms and conditions of the Creative Commons Attribution (CC BY) license (https://creativecommons.org/licenses/by/4.0/).
Share and Cite
Fakhlaei, R.; Selamat, J.; Razis, A.F.A.; Sukor, R.; Ahmad, S.; Amani Babadi, A.; Khatib, A. In Vivo Toxicity Evaluation of Sugar Adulterated Heterotrigona itama Honey Using Zebrafish Model. Molecules 2021, 26, 6222. https://doi.org/10.3390/molecules26206222
Fakhlaei R, Selamat J, Razis AFA, Sukor R, Ahmad S, Amani Babadi A, Khatib A. In Vivo Toxicity Evaluation of Sugar Adulterated Heterotrigona itama Honey Using Zebrafish Model. Molecules. 2021; 26(20):6222. https://doi.org/10.3390/molecules26206222
Chicago/Turabian StyleFakhlaei, Rafieh, Jinap Selamat, Ahmad Faizal Abdull Razis, Rashidah Sukor, Syahida Ahmad, Arman Amani Babadi, and Alfi Khatib. 2021. "In Vivo Toxicity Evaluation of Sugar Adulterated Heterotrigona itama Honey Using Zebrafish Model" Molecules 26, no. 20: 6222. https://doi.org/10.3390/molecules26206222
APA StyleFakhlaei, R., Selamat, J., Razis, A. F. A., Sukor, R., Ahmad, S., Amani Babadi, A., & Khatib, A. (2021). In Vivo Toxicity Evaluation of Sugar Adulterated Heterotrigona itama Honey Using Zebrafish Model. Molecules, 26(20), 6222. https://doi.org/10.3390/molecules26206222

