Ellagic Acid–Cyclodextrin Complexes for the Treatment of Oral Candidiasis
Abstract
1. Introduction
2. Results
2.1. Determination of MIC of EA and EA/HP-β-CD Complex
2.2. Effect of EA/HP-β-CD on C. albicans Pre-Formed Biofilms
2.3. Toxicity Analyses
Cytotoxicity of Ellagic Acid and EA/HP-β-CD
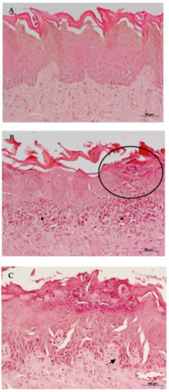
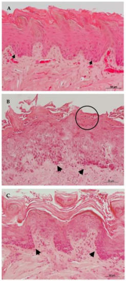
2.4. In Vivo Effect of EA/HP-β-CD in the Treatment of Oral Candidiasis Experimentally Induced in Murine Model
3. Discussion
4. Materials and Methods
4.1. EA/HP-β-CD Complex Formation and Determination of Minimal Inhibitory Concentration (MIC) of EA and EA/HP-β-CD
4.2. Effect of EA/HP-β-CD on C. albicans Pre-Formed Biofilms
4.3. Toxicity Analyzes
Cytotoxicity of Ellagic Acid and EA/HP-β-CD
4.4. In Vivo Effect of EA/HP-β-CD in the Treatment of Oral Candidiasis Experimentally Induced in Murine Model Structures
4.5. Data Analyses
5. Conclusions
Author Contributions
Funding
Institutional Review Board Statement
Informed Consent Statement
Data Availability Statement
Acknowledgments
Conflicts of Interest
Sample Availability
References
- Spalanzani, R.N.; Mattos, K.; Marques, L.I.; Barros, P.F.D.; Pereira, P.I.P.; Paniago, A.M.M.; Mendes, R.P.; Chang, M.R. Clinical and Laboratorial Features of Oral Candidiasis in HIV-Positive Patients. Rev. Soc. Bras. Med. Trop. 2018, 51, 352–356. [Google Scholar] [CrossRef]
- Santos, S.B.D.; Sabadin, C.E.S.; Mario, D.N.; Rigo, L.; Barbosa, D.A. Presence of Candida Spp. and Candidiasis in Liver Transplant Patients. An. Bras. Dermatol. 2018, 93, 356–361. [Google Scholar] [PubMed]
- Senpuku, H.; Sogame, A.; Inoshita, E.; Tsuha, Y.; Miyazaki, H.; Hanada, N. Systemic Diseases in Association with Microbial Species in Oral Biofilm from Elderly Requiring Care. Gerontology 2003, 49, 301–309. [Google Scholar] [CrossRef]
- Castanheira, M.; Deshpande, L.M.; Davis, A.P.; Rhomberg, P.R.; Pfaller, M.A. Monitoring Antifungal Resistance in a Global Collection of Invasive Yeasts and Molds: Application of CLSI Epidemiological Cutoff Values and Whole-Genome Sequencing Analysis for Detection of Azole Resistance in Candida Albicans. Antimicrob. Agents Chemother. 2017, 61, 1–20. [Google Scholar] [CrossRef]
- Nucci, M.; Braga, P.R.; Nouér, S.A.; Anaissie, E. Time of Catheter Removal in Candidemia and Mortality. Braz. J. Infect. Dis. 2018, 22, 455–461. [Google Scholar] [CrossRef]
- Jia, X.; Li, C.; Cao, J.; Wu, X.; Zhang, L. Clinical Characteristics and Predictors of Mortality in Patients with Candidemia: A Six-Year Retrospective Study. Eur. J. Clin. Microbiol. Infect. Dis. 2018, 37, 1717–1724. [Google Scholar] [CrossRef]
- Ghrenassia, E.; Mokart, D.; Mayaux, J.; Demoule, A.; Rezine, I.; Kerhuel, L.; Calvet, L.; De Jong, A.; Azoulay, E.; Darmon, M. Candidemia in Critically Ill Immunocompromised Patients: Report of a Retrospective Multicenter Cohort Study. Ann. Intensive Care 2019, 9, 62. [Google Scholar] [CrossRef]
- Bondaryk, M.; Kurza̧tkowski, W.; Staniszewska, M. Antifungal Agents Commonly Used in the Superficial and Mucosal Candidiasis Treatment: Mode of Action and Resistance Development. Postep. Dermatol. Alergol. 2013, 30, 293–301. [Google Scholar] [CrossRef]
- Hirota, K.; Yumoto, H.; Sapaar, B.; Matsuo, T.; Ichikawa, T.; Miyake, Y. Pathogenic Factors in Candida Biofilm-Related Infectious Diseases. J. Appl. Microbiol. 2016, 122, 321–330. [Google Scholar] [CrossRef]
- Nett, J.E. Future Directions for Anti-Biofilm Therapeutics Targeting Candida. Expert Rev. Anti. Infect. Ther. 2014, 12, 375–382. [Google Scholar] [CrossRef]
- Patil, S.; Majumdar, B.; Sarode, S.C.; Sarode, G.S.; Awan, K.H. Oropharyngeal Candidosis in HIV-Infected Patients—An Update. Front. Microbiol. 2018, 9, 1–9. [Google Scholar] [CrossRef]
- Chandra, J.; Mukherjee, P.K. Candida Biofilms: Development, Architecture and Resistance. Microbiol. Spectr. 2015, 3, 1–24. [Google Scholar] [CrossRef]
- Lohse, M.B.; Gulati, M.; Johnson, A.D.; Nobile, C.J. Development and Regulation of Single- and Multi-Species Candida Albicans Biofilms. Nat. Rev. Microbiol. 2018, 16, 19–31. [Google Scholar] [CrossRef]
- Roemer, T.; Krysan, D.J. Antifungal Drug Development: Challenges, Unmet Clinical Needs, and New Approaches. Cold Spring Harb. Perspect. Med. 2014, 4, a019703. [Google Scholar] [CrossRef]
- Taff, H.T.; Mitchell, K.F.; Edward, J.A.; Andes, D.R. Mechanisms of Candida Biofilm Drug Resistance. Future Microbiol. 2013, 8, 1325–1337. [Google Scholar] [CrossRef]
- Sobel, J.D.; Sobel, R. Current Treatment Options for Vulvovaginal Candidiasis Caused by Azole-Resistant Candida Species. Expert Opin. Pharmacother. 2018, 19, 971–977. [Google Scholar] [CrossRef]
- Zida, A.; Bamba, S.; Yacouba, A.; Ouedraogo-Traore, R.; Guiguemdé, R.T. Anti- Candida Albicans Natural Products, Sources of New Antifungal Drugs: A Review. J. Mycol. Med. 2017, 27, 1–19. [Google Scholar] [CrossRef]
- Brighenti, F.L.; Salvador, M.J.; Delbem, A.C.B.; Delbem, Á.C.B.; Oliveira, M.A.C.; Soares, C.P.; Freitas, L.S.F.; Koga-Ito, C.Y. Systematic Screening of Plant Extracts from the Brazilian Pantanal with Antimicrobial Activity against Bacteria with Cariogenic Relevance. Caries Res. 2014, 48, 353–360. [Google Scholar] [CrossRef]
- Brighenti, F.L.; Salvador, M.J.; Gontijo, A.V.L.; Delbem, A.C.B.; Delbem, Á.C.B.; Soares, C.P.; De Oliveira, M.A.C.; Girondi, C.M.; Koga-Ito, C.Y. Plant Extracts: Initial Screening, Identification of Bioactive Compounds and Effect against Candida Albicans Biofilms. Future Microbiol. 2017, 12, 15–27. [Google Scholar] [CrossRef]
- Teodoro, G.R.; Ellepola, K.; Seneviratne, C.J.; Koga-Ito, C.Y. Potential Use of Phenolic Acids as Anti-Candida Agents: A Review. Front. Microbiol. 2015, 6, 1–11. [Google Scholar] [CrossRef]
- Teodoro, G.R.; Brighenti, F.L.; Delbem, A.C.B.; Delbem, Á.C.B.; Khouri, S.; Gontijo, A.V.L.; Pascoal, A.C.R.F.; Salvador, M.J.; Koga-Ito, C.Y. Antifungal Activity of Extracts and Isolated Compounds from Buchenavia Tomentosa on Candida Albicans and Non-Albicans. Future Microbiol. 2015, 10, 917–927. [Google Scholar] [CrossRef]
- Shakeri, A.; Zirak, M.R.; Sahebkar, A. Ellagic Acid: A Logical Lead for Drug Development? Curr. Pharm. Des. 2018, 24, 106–122. [Google Scholar] [CrossRef]
- Bala, I.; Bhardwaj, V.; Hariharan, S.; Kharade, S.V.; Roy, N.; Ravi, M.N.V. Sustained Release Nanoparticulate Formulation Containing Antioxidant- Ellagic Acid as Potential Prophylaxis System for Oral Administration. J. Drug Target 2006, 14, 27–34. [Google Scholar] [CrossRef]
- Bala, I.; Bhardwaj, V.; Hariharan, S.; Kumar, M.N.V.R. Analytical Methods for Assay of Ellagic Acid and Its Solubility Studies. J. Pharm. Biomed. Anal. 2006, 40, 206–210. [Google Scholar] [CrossRef]
- Nittayananta, W. Oral Fungi in HIV: Challenges in Antifungal Therapies. Oral Dis. 2016, 22, 107–113. [Google Scholar] [CrossRef]
- Ríos, J.-L.; Giner, R.; Marín, M.; Recio, M. A Pharmacological Update of Ellagic Acid. Planta Med. 2018, 84, 1068–1093. [Google Scholar] [CrossRef]
- Alfei, S.; Turrini, F.; Catena, S.; Zunin, P.; Grilli, M.; Pittaluga, A.M.; Boggia, R. Ellagic Acid a Multi-Target Bioactive Compound for Drug Discovery in CNS? A Narrative Review. Eur. J. Med. Chem. 2019, 183, 111724. [Google Scholar] [CrossRef]
- Promsong, A.; Chung, W.O.; Satthakarn, S.; Nittayananta, W. Ellagic Acid Modulates the Expression of Oral Innate Immune Mediators: Potential Role in Mucosal Protection. J. Oral Pathol. Med. 2015, 44, 214–221. [Google Scholar] [CrossRef]
- Gontijo, A.V.; Da G Sampaio, A.; Koga-Ito, C.Y.; Salvador, M.J. Biopharmaceutical and Antifungal Properties of Ellagic Acid-Cyclodextrin Using an in Vitro Model of Invasive Candidiasis. Future Microbiol. 2019, 14, 957–967. [Google Scholar] [CrossRef]
- Zuccari, G.; Baldassari, S.; Ailuno, G.; Turrini, F.; Alfei, S.; Caviglioli, G. Formulation Strategies to Improve Oral Bioavailability of Ellagic Acid. Appl. Sci. 2020, 10, 3353. [Google Scholar] [CrossRef]
- Challa, R.; Alka, A.; Javed, A.; Khar, R. Cyclodextrins in Drug Delivery: An Updated Review. AAPS PharmSciTech 2005, 6, E329–E357. [Google Scholar] [CrossRef]
- Loftsson, T.; Hreinsdóttir, D.; Stefánsson, E. Cyclodextrin Microparticles for Drug Delivery to the Posterior Segment of the Eye: Aqueous Dexamethasone Eye Drops. J. Pharm. Pharmacol. 2007, 59, 629–635. [Google Scholar] [CrossRef]
- Loftsson, T.; Konrádsdóttir, F.; Másson, M. Influence of Aqueous Diffusion Layer on Passive Drug Diffusion from Aqueous Cyclodextrin Solutions through Biological Membranes. Pharmazie 2006, 61, 83–89. [Google Scholar] [PubMed]
- Teixeira, K.I.R.; Araújo, P.V.; Neves, B.R.A.; Mahecha, G.A.B.; Sinisterra, R.D.; Cortés, M.E. Ultrastructural Changes in Bacterial Membranes Induced by Nano-Assemblies β-Cyclodextrin Chlorhexidine: SEM, AFM, and TEM Evaluation. Pharm. Dev. Technol. 2013, 18, 600–608. [Google Scholar] [CrossRef]
- Teixeira, K.I.R. Estudo Das Alterações Da Membrana Celular de Microrganismos Por Compostos de Inclusão de Clorexidina: Beta-Ciclodextrina Em Diferentes Proporções Molares Usando Microscopia de Força Atômica e Microscopia Eletrônica de Varredura. Ph.D. Thesis, Universidade Federal de Minas Gerais, Belo Horizonte, Brazil, 25 April 2008. [Google Scholar]
- Bulani, V.D.; Kothavade, P.S.; Kundaikar, H.S.; Gawali, N.B.; Chowdhury, A.A.; Degani, M.S.; Juvekar, A.R. Inclusion Complex of Ellagic Acid with β-Cyclodextrin: Characterization and in Vitro Anti-Inflammatory Evaluation. J. Mol. Struct. 2016, 1105, 308–315. [Google Scholar] [CrossRef]
- Savic, I.M.; Jocic, E.; Nikolic, V.D.; Popsavin, M.M.; Rakic, S.J.; Savic-Gajic, I.M. The Effect of Complexation with Cyclodextrins on the Antioxidant and Antimicrobial Activity of Ellagic Acid. Pharm. Dev. Technol. 2019, 24, 410–418. [Google Scholar] [CrossRef]
- Bulani, V.D.; Kothavade, P.S.; Nagmoti, D.M.; Kundaikar, H.S.; Degani, M.S.; Juvekar, A.R. Characterisation and Anti-Inflammatory Evaluation of the Inclusion Complex of Ellagic Acid with Hydroxypropyl-β-Cyclodextrin. J. Incl. Phenom. Macrocycl. Chem. 2015, 82, 361–372. [Google Scholar] [CrossRef]
- Bulani, V.; Kothavade, P.; Nagmoti, D.; Juvekar, A. Ellagic Acid Hydroxypropyl-ß-Cyclodextrin Inclusion Complex Alleviates Adjuvant-Induced Arthritis: Attenuation of Oxidative Stress and Inflammatory Mediators. Cytokine 2014, 70, 32. [Google Scholar] [CrossRef]
- Sletten, G.B.G.; Dahl, J.E. Cytotoxic Effects of Extracts of Compomers. Acta Odontol. Scand. 1999, 57, 316–322. [Google Scholar] [CrossRef]
- Pristov, K.E.; Ghannoum, M.A. Resistance of Candida to Azoles and Echinocandins Worldwide. Clin. Microbiol. Infect. 2019, 25, 792–798. [Google Scholar] [CrossRef]
- Scheibler, E.; Garcia, M.C.R.; Da Silva, R.M.; Figueiredo, M.A.; Salum, F.G.; Cherubini, K. Use of Nystatin and Chlorhexidine in Oral Medicine: Properties, Indications and Pitfalls with Focus on Geriatric Patients. Gerodontology 2017, 34, 291–298. [Google Scholar] [CrossRef]
- Viljoen, J.; Azie, N.; Schmitt-Hoffmann, A.-H.; Ghannoum, M. A Phase 2, Randomized, Double-Blind, Multicenter Trial To Evaluate the Safety and Efficacy of Three Dosing Regimens of Isavuconazole Compared with Fluconazole in Patients with Uncomplicated Esophageal Candidiasis. Antimicrob. Agents Chemother. 2015, 59, 1671–1679. [Google Scholar] [CrossRef]
- Lei, F.; Xing, D.M.; Xiang, L.; Zhao, Y.N.; Wang, W.; Zhang, L.J.; Du, L.J. Pharmacokinetic Study of Ellagic Acid in Rat after Oral Administration of Pomegranate Leaf Extract. J. Chromatogr. B Anal. Technol. Biomed. Life Sci. 2003, 796, 189–194. [Google Scholar] [CrossRef]
- Loftsson, T.; Jarho, P.; Másson, M.J.T. Cyclodextrins in Drug Delivery System. Expert. Opin Drug. Deliv. 2005. [Google Scholar] [CrossRef]
- Loftsson, T.; Brewster, M.E. Pharmaceutical Applications of Cyclodextrins. 1. Drug Solubilization and Stabilization. J. Pharm. Sci. 1996, 85, 1017–1025. [Google Scholar] [CrossRef]
- Teodoro, G.R.; Gontijo, A.V.L.; Borges, A.C.; Tanaka, M.H.; De Morais Gouvêa Lima, G.; Salvador, M.J.; Koga-Ito, C.Y. Gallic Acid/Hydroxypropyl-β-Cyclodextrin Complex: Improving Solubility for Application on in Vitro/in Vivo Candida Albicans Biofilms. PLoS ONE 2017, 12, e0181199. [Google Scholar] [CrossRef]
- Rajendran, R.; Sherry, L.; Nile, C.J.; Sherriff, A.; Johnson, E.M.; Hanson, M.F.; Williams, C.; Munro, C.A.; Jones, B.J.; Ramage, G. Biofilm Formation Is a Risk Factor for Mortality in Patients with Candida Albicans Bloodstream Infection—Scotland, 2012–2013. Clin. Microbiol. Infect. 2016, 22, 87–93. [Google Scholar] [CrossRef]
- Romera, D.; Aguilera-Correa, J.J.; Gadea, I.; Viñuela-Sandoval, L.; García-Rodríguez, J.; Esteban, J. Candida Auris: A Comparison between Planktonic and Biofilm Susceptibility to Antifungal Drugs. J. Med. Microbiol. 2019, 68, 1353–1358. [Google Scholar] [CrossRef]
- Ramage, G.; Vandewalle, K.; Wickes, B.L.; López-Ribot, J.L. Characteristics of Biofilm Formation by Candida Albicans. Rev. Iberoam. Micol. 2001, 18, 163–170. [Google Scholar]
- Sheppard, D.C.; Howell, P.L. Biofilm Exopolysaccharides of Pathogenic Fungi: Lessons from Bacteria. J. Biol. Chem. 2016, 291, 12529–12537. [Google Scholar] [CrossRef]
- Al-Fattani, M.A.; Douglas, L.J. Biofilm Matrix of Candida Albicans and Candida Tropicalis: Chemical Composition and Role in Drug Resistance. J. Med. Microbiol. 2006, 55, 999–1008. [Google Scholar] [CrossRef]
- Beshbishy, A.M.; Batiha, G.E.-S.; Yokoyama, N.; Igarashi, I. Ellagic Acid Microspheres Restrict the Growth of Babesia and Theileria in Vitro and Babesia Microti in Vivo. Parasit. Vectors 2019, 12, 269. [Google Scholar] [CrossRef]
- Weisburg, J.H.; Schuck, A.G.; Reiss, S.E.; Wolf, B.J.; Fertel, S.R.; Zuckerbraun, H.L.; Babich, H. Ellagic Acid, a Dietary Polyphenol, Selectively Cytotoxic to HSC-2 Oral Carcinoma Cells. Anticancer Res. 2013, 33, 1829–1836. [Google Scholar] [PubMed]
- Kong, E.F.; Kucharíková, S.; Van Dijck, P.; Peters, B.M.; Shirtliff, M.E.; Jabra-Rizk, M.A. Clinical Implications of Oral Candidiasis: Host Tissue Damage and Disseminated Bacterial Disease. Infect. Immun. 2015, 83, 604–613. [Google Scholar] [CrossRef]
- Höfs, S.; Mogavero, S.; Hube, B. Interaction of Candida Albicans with Host Cells: Virulence Factors, Host Defense, Escape Strategies, and the Microbiota. J. Microbiol. 2016, 54, 149–169. [Google Scholar] [CrossRef]
- Lyu, X.; Zhao, C.; Yan, Z.M.; Hua, H. Efficacy of Nystatin for the Treatment of Oral Candidiasis: A Systematic Review and Meta-Analysis. Drug Des. Devel. Ther. 2016, 10, 1161–1171. [Google Scholar] [CrossRef]
- Quindos, G.; Gil-Alonso, S.; Marcos-Arias, C.; Sevillano, E.; Mateo, E.; Jauregizar, N.; Eraso, E. Therapeutic Tools for Oral Candidiasis: Current and New Antifungal Drugs. Med. Oral Patol. Oral Cir. Bucal 2019, 24, e172. [Google Scholar] [CrossRef]
- CLSI. Reference method for broth dilution antifungal susceptibility testing of yeast: Approved standard. In Clinical and Laboratory Standards Institute; Clinical and Laboratory Standards Institute: Wayne, PA, USA, 2008. [Google Scholar]
- Cheng, L.; Exterkate, R.A.M.; Zhou, X.; Li, J.; Cate, J.M.T. Effect of Galla Chinensis on Growth and Metabolism of Microcosm Biofilms. Caries Res. 2011, 45, 87–92. [Google Scholar] [CrossRef]
- Mosmann, T. Rapid Colorimetric Assay for Cellular Growth and Survival: Application to Proliferation and Cytotoxicity Assays. J. Immunol. Methods 1983, 65, 55–63. [Google Scholar] [CrossRef]
- Okada, M.; Hisajima, T.; Ishibashi, H.; Miyasaka, T.; Abe, S.; Satoh, T. Pathological Analysis of the Candida Albicans-Infected Tongue Tissues of a Murine Oral Candidiasis Model in the Early Infection Stage. Arch. Oral Biol. 2013, 58, 444–450. [Google Scholar] [CrossRef]
- Borges, A.C.; De Morais Gouvêa Lima, G.; Nishime, T.M.C.; Gontijo, A.V.L.; Kostov, K.G.; Koga-Ito, C.Y. Amplitude-Modulated Cold Atmospheric Pressure Plasma Jet for Treatment of Oral CANDIDIASIS: In Vivo Study. PLoS ONE 2018, 13, e0199832. [Google Scholar] [CrossRef]
- Hayama, K.; Maruyama, N.; Abe, S. Cell Preparation Method with Trypsin Digestion for Counting of Colony Forming Units in Candida Albicans-Infected Mucosal Tissues. Med. Mycol. 2012, 87, 858–862. [Google Scholar] [CrossRef][Green Version]
- Junqueira, J.C.; Colombo, C.E.D.; da Silva Martins, J.; Ito, C.Y.K.; Carvalho, Y.R.; Jorge, A.O.C. Experimental Candidosis and Recovery of Candida Albicans from the Oral Cavity of Ovariectomized Rats. Microbiol. Immunol. 2005, 49, 199–207. [Google Scholar] [CrossRef]









| Score | Classification |
|---|---|
| 0 | No alteration |
| 1 | Hyperkeratosis or Hyperplasia |
| 2 | Hyperkeratosis + 2 inflammatory alterations |
| 3 | Hyperkeratosis + 3 inflammatory alterations including papillae rectification |
| 4 | Micro abscess + inflammatory alterations |
Publisher’s Note: MDPI stays neutral with regard to jurisdictional claims in published maps and institutional affiliations. |
© 2021 by the authors. Licensee MDPI, Basel, Switzerland. This article is an open access article distributed under the terms and conditions of the Creative Commons Attribution (CC BY) license (http://creativecommons.org/licenses/by/4.0/).
Share and Cite
Sampaio, A.d.G.; Gontijo, A.V.L.; Lima, G.d.M.G.; de Oliveira, M.A.C.; Lepesqueur, L.S.S.; Koga-Ito, C.Y. Ellagic Acid–Cyclodextrin Complexes for the Treatment of Oral Candidiasis. Molecules 2021, 26, 505. https://doi.org/10.3390/molecules26020505
Sampaio AdG, Gontijo AVL, Lima GdMG, de Oliveira MAC, Lepesqueur LSS, Koga-Ito CY. Ellagic Acid–Cyclodextrin Complexes for the Treatment of Oral Candidiasis. Molecules. 2021; 26(2):505. https://doi.org/10.3390/molecules26020505
Chicago/Turabian StyleSampaio, Aline da Graça, Aline Vidal Lacerda Gontijo, Gabriela de Morais Gouvêa Lima, Maria Alcionéia Carvalho de Oliveira, Laura Soares Souto Lepesqueur, and Cristiane Yumi Koga-Ito. 2021. "Ellagic Acid–Cyclodextrin Complexes for the Treatment of Oral Candidiasis" Molecules 26, no. 2: 505. https://doi.org/10.3390/molecules26020505
APA StyleSampaio, A. d. G., Gontijo, A. V. L., Lima, G. d. M. G., de Oliveira, M. A. C., Lepesqueur, L. S. S., & Koga-Ito, C. Y. (2021). Ellagic Acid–Cyclodextrin Complexes for the Treatment of Oral Candidiasis. Molecules, 26(2), 505. https://doi.org/10.3390/molecules26020505

