Parasitological and Biochemical Efficacy of the Active Ingredients of Allium sativum and Curcuma longa in Schistosoma mansoni Infected Mice
Abstract
1. Introduction
2. Results
3. Discussion
4. Material and Methods
4.1. Chemicals
4.2. Experimental Animals and Design
4.3. Collection of Blood and Organs
4.4. Worm Recovery
4.5. Ova Count
4.6. Oogram
4.7. Biochemical Serum Parameters
4.8. Determination of Oxidative Stress/Antioxidant Parameters in Liver Tissue
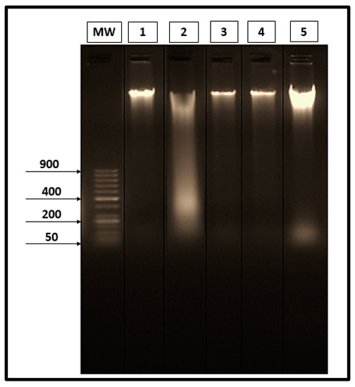
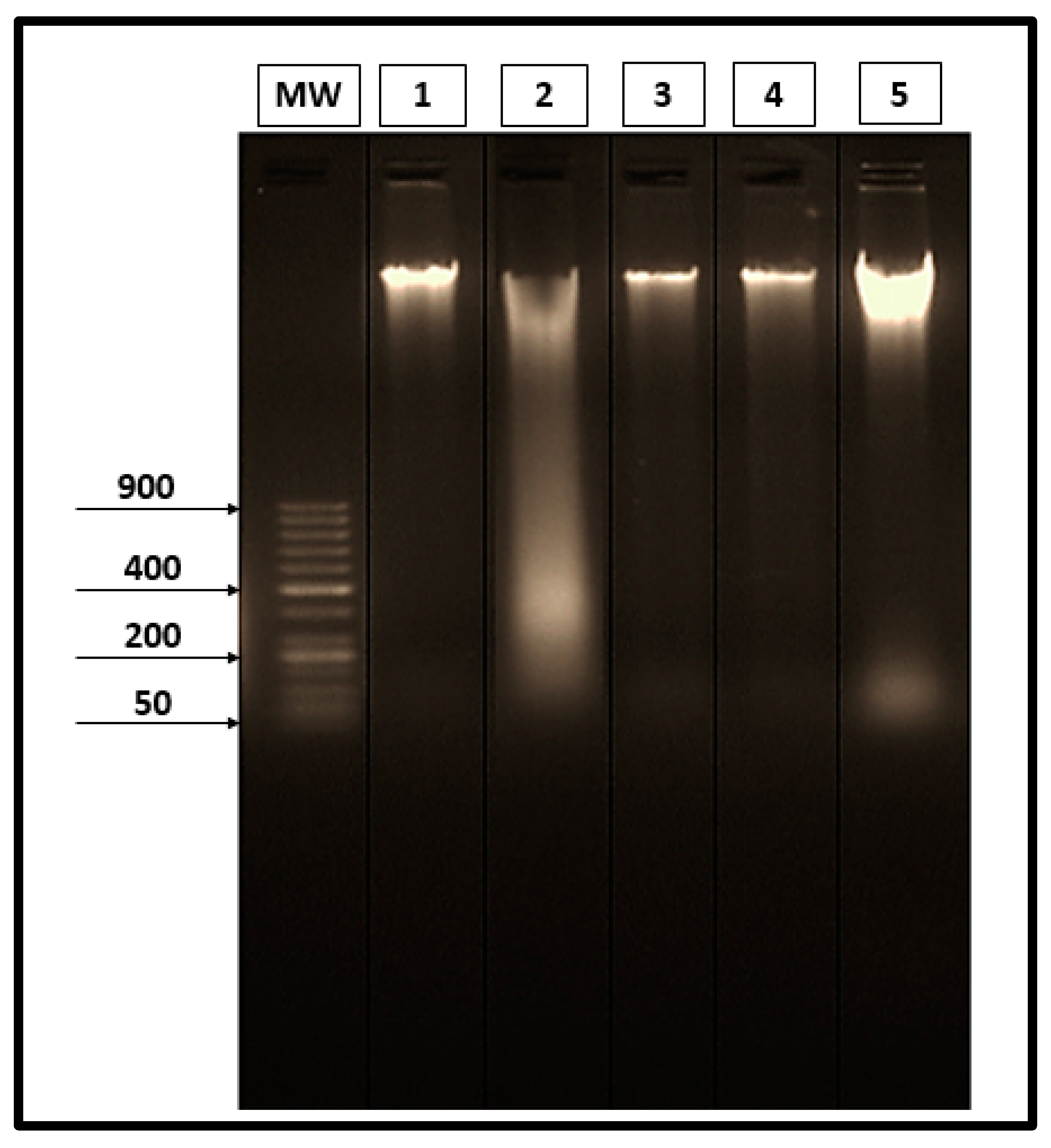
4.9. Detection of DNA Fragmentation by Agarose Gel Analysis
4.10. Statistical Analysis
5. Conclusions
Author Contributions
Funding
Informed Consent Statement
Data Availability Statement
Acknowledgments
Conflicts of Interest
Ethical Standards
Sample Availability
References
- Aula, O.; McManus, D.; Jones, M.; Gordon, C. Schistosomiasis with a Focus on Africa. Trop. Med. Infect. Dis. 2021, 6, 109. [Google Scholar] [CrossRef]
- Coltart, C.; Whitty, C.J. Schistosomiasis in non-endemic countries. Clin. Med. 2015, 15, 67–69. [Google Scholar] [CrossRef]
- Tamarozzi, F.; Fittipaldo, V.A.; Orth, H.M.; Richter, J.; Buonfrate, D.; Riccardi, N.; Gobbi, F.G. Diagnosis and clinical management of hepatosplenic schistosomiasis: A scoping review of the literature. PLoS Negl. Trop. Dis. 2021, 15, e0009191. [Google Scholar] [CrossRef]
- Sorgho, H.; Da, O.; Rouamba, T.; Savadogo, B.; Tinto, H.; Ouedraogo, J.-B. Schistosoma mansoni infection and hematological profile in an endemic foci in Western Burkina Faso. J. Parasitol. Res. 2017, 4, 264–270. [Google Scholar]
- Dejon-Agobé, J.C.; Adegnika, A.A.; Grobusch, M.P. Haematological changes in Schistosoma haematobium infections in school children in Gabon. Infection 2021, 49, 645–651. [Google Scholar] [CrossRef]
- Amaral, K.; Silva, T.P.; Malta, K.K.; Carmo, L.A.S.; Dias, F.F.; Almeida, M.; Andrade, G.; Martins, J.D.S.; Pinho, R.R.; Costa-Neto, S.F.; et al. Natural Schistosoma mansoni Infection in the Wild Reservoir Nectomys squamipes Leads to Excessive Lipid Droplet Accumulation in Hepatocytes in the Absence of Liver Functional Impairment. PLoS ONE 2016, 11, e0166979. [Google Scholar] [CrossRef]
- Aziz, M.; Aziz, A.R.A. Evaluation of the bioassay of Commiphora molmol extract (Mirazid) against praziquantel in experimentally infected mice with Schistosoma mansoni. J. Vet. Med. Res. 2017, 24, 94–102. [Google Scholar] [CrossRef]
- Schwartz, C.; Fallon, P.G. Schistosoma “Eggs-Iting” the Host: Granuloma Formation and Egg Excretion. Front. Immunol. 2018, 9, 2492. [Google Scholar] [CrossRef]
- El-Khadragy, M.F.; Al-Olayan, E.M.; Elmallah, M.I.Y.; Alharbi, A.M.; Yehia, H.M.; Moneim, A.E.A. Probiotics and yogurt modulate oxidative stress and fibrosis in livers of Schistosoma mansoni-infected mice. BMC Complement. Altern. Med. 2019, 19, 1–13. [Google Scholar] [CrossRef] [PubMed]
- Mantawy, M.M.; Aly, H.; Zayed, N.; Fahmy, Z.H. Antioxidant and schistosomicidal effect of Allium sativum and Allium cepa against Schistosoma mansoni different stages. Eur. Rev. Med. Pharm. Sci. 2012, 16, 69–80. [Google Scholar]
- Jatsa, H.B.; Feussom, N.G.; Nkondo, E.T.; Kenfack, M.C.; Simo, N.D.; Fassi, J.B.K.; Femoe, U.M.; Moaboulou, C.; Tsague, C.D.; Dongo, E.; et al. Efficacy of Ozoroa pulcherrima Schweinf methanolic extract against Schistosoma mansoni-induced liver injury in mice. J. Tradit. Complement. Med. 2019, 9, 304–311. [Google Scholar] [CrossRef] [PubMed]
- Madbouly, K.; Senagore, A.J.; Mukerjee, A.; Hussien, A.M.; Shehata, M.A.; Navine, P.; Delaney, C.P.; Fazio, V.W. Colorectal cancer in a population with endemic Schistosoma mansoni: Is this an at-risk population? Int. J. Colorectal Dis. 2006, 22, 175–181. [Google Scholar] [CrossRef] [PubMed]
- Wang, W.; Dai, J.-R.; Li, H.-J.; Shen, X.-H.; Liang, Y.-S. Is there reduced susceptibility to praziquantel in Schistosoma japonicum? Evidence from China. Parasitology 2010, 137, 1905–1912. [Google Scholar] [CrossRef]
- Crellen, T.; Walker, M.; Lamberton, P.; Kabatereine, N.B.; Tukahebwa, E.M.; Cotton, J.; Webster, J.P. Reduced Efficacy of Praziquantel Against Schistosoma mansoni Is associated with multiple rounds of mass drug administration. Clin. Infect. Dis. 2016, 63, 1151–1159. [Google Scholar] [CrossRef]
- Simões, L.F.; Allegretti, S.; Magalhães, L.A.; Zanotti-Magalhães, E.M.; Kawano, T.; Linhares, A.X. EFEITO DO Extrato De Piper Tuberculatum Sobre Adultos De Schistosoma Mansoni: Testes in vitro E In Vivo. Rev. Patol. Trop. J. Trop. Pathol. 2015, 44, 56–66. [Google Scholar] [CrossRef]
- Rabab, S.; Samia, R.; Mohammad, Y.; Boshra, H.; Fatma, M.; Awatif, E.; Asmaa, E.-K.; Gehan, R.; Shereen, K.; Ahlam, M.; et al. A novel green approach for the treatment of immature Schistosoma mansoni infection in mice with; Arabic gum (Acacia senegal); an antischistosomal agent. Afr. J. Pharm. Pharm. 2018, 12, 436–445. [Google Scholar] [CrossRef]
- Singh, D.K.; Singh, V.K. Pharmacological Effects of Allium Sativum L. (Garlic). Annu. Rev. Biomed. Sci. 2008, 10, 6–26. [Google Scholar] [CrossRef]
- El Shenawy, N.S.; Soliman, M.F.M.; Reyad, S.I. The effect of antioxidant properties of aqueous garlic extract and Nigella sativa as anti-schistosomiasis agents in mice. Rev. Do Inst. De Med. Trop. De São Paulo 2008, 50, 29–36. [Google Scholar] [CrossRef] [PubMed]
- Sadrefozalayi, S.; Aslanipour, B.; Alan, M.; Calan, M. determination and comparison of in vitro radical scavenging activity of both garlic oil and aqueous garlic extracts and their In Vivo antioxidant effect on Schistosomiasis Disease in Mice. Turk. J. Agric. Food Sci. Technol. 2018, 6, 820–827. [Google Scholar] [CrossRef]
- Metwally, D.M.; Al-Olayan, E.M.; Alanazi, M.; Alzahrany, S.B.; Semlali, A. Antischistosomal and anti-inflammatory activity of garlic and allicin compared with that of praziquantel In Vivo. BMC Complement. Altern. Med. 2018, 18, 1–11. [Google Scholar] [CrossRef]
- Buescher, R.; Yang, L. Turmeric. In Natural Food Colorants; Lauro, G.J., Francis, F.J., Eds.; Marcel Dekker: New York, NY, USA, 2000; pp. 205–226. [Google Scholar]
- Aboueldahab, M.; El-Hussieny, E. Antiparasitic and physiological evaluation of Curcuma longa extract and/or PZQ on Schistosoma mansoni infected mice. Int. J. Adv. Res. 2016, 4, 1020–1039. [Google Scholar] [CrossRef]
- Sturrock, R.; Kariuki, H.; Thiongo, F.; Gachare, J.; Omondi, B.; Ouma, J.; Mbugua, G.; Butterworth, A. Schistosomiasis mansoni in Kenya: Relationship between infection and anaemia in schoolchildren at the community level. Trans. R. Soc. Trop. Med. Hyg. 1996, 90, 48–54. [Google Scholar] [CrossRef]
- Mahmoud, E.A.; ELbessoumy, A.A. Hematological and biochemical effects of curcumin in Schistosoma mansoni infected mice. Assiut Vet. Med. J. 2014, 60, 184–194. [Google Scholar]
- Mahmoud, E.A.; ELbessoumy, A.A. Effect of curcumin on hematological, biochemical and antioxidants parameters in Schistosoma mansoni infected mice. Int. J. Sci. 2013, 2, 1–14. [Google Scholar]
- Sharma, V.; Sharma, C.; Sharma, S. Influence of Curcuma longa and curcumin on blood profile in mice subjected to aflatoxin B. Int. J. Pharm. Sci. Res. 2011, 2, 1740–1745. [Google Scholar] [CrossRef]
- Alkazzaz, M.A.; Adel Aziz, A.R.; Elmahalawy, E.K.; Hassan, A.A. Hematological profile in Schistosoma mansoni infected mice treated with Commiphora molmol extract compared with praziquantel. PSM Biol. Res. 2018, 3, 77–84. [Google Scholar]
- Ali, H.F. Evaluation of Antioxidants Effect of Citrus reticulata in Schistosoma mansoni Infected Mice. Trends Med. Res. 2007, 2, 37–43. [Google Scholar] [CrossRef]
- El Scheich, T.; Hofer, L.; Kaatano, G.; Foya, J.; Odhiambo, D.; Igogote, J.; Lwambo, N.; Ekamp, H.; Karst, K.; Häussinger, D.; et al. Hepatosplenic morbidity due to Schistosoma mansoni in schoolchildren on Ukerewe Island, Tanzania. Parasitol. Res. 2012, 110, 2515–2520. [Google Scholar] [CrossRef]
- Arafa, H.M.M. Curcumin attenuates diet-induced hypercholesterolemia in rats. Med. Sci. Monit. 2005, 11, BR228–BR234. [Google Scholar]
- Allam, G. Immunomodulatory effects of curcumin treatment on murine schistosomiasis mansoni. Immunobiology 2009, 214, 712–727. [Google Scholar] [CrossRef]
- Tiwari, M.K.; Jena, N.R.; Mishra, P.C. Mechanisms of scavenging superoxide, hydroxyl, nitrogen dioxide and methoxy radicals by allicin: Catalytic role of superoxide dismutase in scavenging superoxide radical. J. Chem. Sci. 2018, 130, 105. [Google Scholar] [CrossRef]
- Sandur, S.K.; Ichikawa, H.; Pandey, M.K.; Kunnumakkara, A.B.; Sung, B.; Sethi, G.; Aggarwal, B.B. Role of pro-oxidants and antioxidants in the anti-inflammatory and apoptotic effects of curcumin (diferuloylmethane). Free Radic. Biol. Med. 2007, 43, 568–580. [Google Scholar] [CrossRef]
- Sompamit, K.; Kukongviriyapan, U.; Nakmareong, S.; Pannangpetch, P.; Kukongviriyapan, V. Curcumin improves vascular function and alleviates oxidative stress in non-lethal lipopolysaccharide-induced endotoxaemia in mice. Eur. J. Pharm. 2009, 616, 192–199. [Google Scholar] [CrossRef] [PubMed]
- De Oliveira, R.N.; Ferreira, P.; Calado, M.; Belo, S.; Afonso, A.; Garcia, V.L.; Oliveira, A.S.S.; Jeraldo, V.D.L.S.; dos Santos, K.R.; Allegretti, S.M. Sesquiterpenes effects on DNA of Schistosoma mansoni after in vivo treatment. Gene Rep. 2018, 11, 205–212. [Google Scholar] [CrossRef]
- Abdel-Wahhab, M.A.; Ahmed, H.M.; Abdel-Aziem, S.H.; El-Nekeety, A.A.; Abd El-Kader, H.A.; Abdel-Aziz, M.S.; Hamazawy, M.A.; Sharaf, H.A.; Naguib, H.M.; El-Denshary, E.S. Modulation of hepatotoxicity, DNA fragmentation and gene expression of Solanum nigrum leaves extract in rats treated with silver nanoparticles. J. Appl. Pharm. Sci. 2017. [Google Scholar] [CrossRef][Green Version]
- Riad, N.H.; Taha, H.; Mahmoud, Y. Effects of garlic on Schistosoma mansoni harbored in albino mice: Molecular characterization of the host and parasite. Gene 2013, 518, 287–291. [Google Scholar] [CrossRef]
- Eid, J.I.; Mohammed, A.R.; Hussien, N.A.; El-Shennawy, A.M.; Noshy, M.M.; Abbas, M. In vivo antioxidant and antigenotoxic evaluation of an enaminone derivative BDHQ combined with praziquantel in uninfected and Schistosoma mansoni infected mice. J. Appl. Pharm. Sci. 2014. [Google Scholar] [CrossRef][Green Version]
- Chaiworaporn, R.; Maneerat, Y.; Rojekittikhun, W.; Ramasootal, P.; Janecharut, T.; Matsuda, H.; Kitikoon, V. Therapeutic effect of subcurative dose Praziquantel on Schistosoma mansoni infected mice and resistance to challenge infection after treatment Southeast. Asian. J. Trop. Med. Public Health 2005, 36, 846–852. [Google Scholar]
- Boussarie, D. Hématologie des Rongeurset Lagomorphes de Compagnie. Bull. Acad. Vet. France 1999, 72, 209–216. [Google Scholar] [CrossRef]
- Feldman, B.F.; Zinkl, J.G.; Jain, N.C. Schalm’s Veterinary Hematology, 5th ed.; Williams and Wilkins: Boston, MA, USA, 2000. [Google Scholar]
- Wang, Y.; Holmes, E.; Nicholson, J.; Cloarec, O.; Chollet, J.; Tanner, M.; Singer, B.H.; Utzinger, J. Metabonomic investigations in mice infected with Schistosoma mansoni: An approach for biomarker identification. Proc. Natl. Acad. Sci. USA 2004, 101, 12676–12681. [Google Scholar] [CrossRef]
- Kloetzel, K. Egg and pigment production in Schistosoma mansoni Infections of the white mouse. Am. J. Trop. Med. Hyg. 1967, 16, 293–299. [Google Scholar] [CrossRef]
- Tendler, M.; Pinto, R.; Lima, A.; Gebara, G.; Katz, N. Schistosoma mansoni: Vaccination with adult worm antigens. Int. J. Parasitol. 1986, 16, 347–352. [Google Scholar] [CrossRef]
- Cheever, A.W. A quantitative post-mortem study of Schistosomiasis Mansoni in Man. Am. J. Trop. Med. Hyg. 1968, 17, 38–64. [Google Scholar] [CrossRef]
- Helmy, M.M.; Mahmoud, S.S.; Fahmy, Z.H. Schistosoma mansoni: Effect of dietary zinc supplement on egg granuloma in Swiss mice treated with praziqantel. Exp. Parasitol. 2009, 122, 310–317. [Google Scholar] [CrossRef] [PubMed]
- A Wilson, R.; Coulson, P.S.; Dixon, B. Migration of the schistosomula of Schistosoma mansoni in mice vaccinated with radiation-attenuated cercariae, and normal mice: An attempt to identify the timing and site of parasite death. Parasitology 1986, 92, 101–116. [Google Scholar] [CrossRef] [PubMed]
- Pellegrino, J.; Faria, J. The oogram method for the screening of drugs in Schistosomiasis Mansoni. Am. J. Trop. Med. Hyg. 1965, 14, 363–369. [Google Scholar] [CrossRef]
- Pellegrino, J.; Oliveira, C.A.; Faria, J.; Cunha, A.S. New Approach to the Screening of Drugs in Experimental Schistosomiasis Mansoni in Mice. Am. J. Trop. Med. Hyg. 1962, 11, 201–215. [Google Scholar] [CrossRef]
- Naito, H.K. Cholesterol. In Clinical Chemistry: Theory, Analysis, and Correlation; Kaplan, L.A., Pesce, A.J., Eds.; CV Mosby Co: St. Louis, MO, USA, 1984; pp. 1194–1206. [Google Scholar]
- Buccolo, G.; David, H. Quantitative determination of serum triglycerides by use of enzymes. Clin. Chem. 1973, 19, 476–482. [Google Scholar] [CrossRef]
- Murray, R. Alanine aminotransferase. In Clinical Chemistry: Theory, Analysis, and Correlation; Kaplan, L.A., Pesce, A.J., Eds.; CV Mosby Co: St Louis, MO, USA, 1984; pp. 1088–1090. [Google Scholar]
- Schultz, A. Uric acid. In Clinical Chemistry: Theory, Analysis, and Correlation; Kaplan, L.A., Pesce, A.J., Eds.; CV Mosby Co: St. Louis, MO, USA, 1984; pp. 1261–1266. [Google Scholar]
- Ohkawa, H.; Ohishi, N.; Yagi, K. Assay for lipid peroxides in animal tissues by thiobarbituric acid reaction. Anal. Biochem. 1979, 95, 351–358. [Google Scholar] [CrossRef]
- Beutler, E.; Duron, O.; Kelly, B.M. Improved method for the determination of blood glutathione. J. Lab. Clin. Med. 1963, 61, 882–888. [Google Scholar]
- Habig, W.H.; Pabst, M.J.; Jakoby, W.B. Glutathione S-transferases. The first enzymatic step in mercapturic acid formation. J. Biol. Chem. 1974, 249, 7130–7139. [Google Scholar] [CrossRef]
- Nishikimi, M.; Rao, N.A.; Yagi, K. The occurrence of superoxide anion in the reaction of reduced phenazine methosulfate and molecular oxygen. Biochem. Biophys. Res. Commun. 1972, 46, 849–854. [Google Scholar] [CrossRef]
- Aebi, H. [13] Catalase in vitro. Methods Enzymol. 1984, 105, 121–126. [Google Scholar] [CrossRef]
- Sambrook, J.; Russel, D.W. Molecular Cloning: A Laboratory Manual, 3rd ed.; Cold Spring, Harbour Laboratory Press: New York, NY, USA, 2001. [Google Scholar]
- Hussein, A.; Rashed, S.; El hayawan, I.; El-sayed, R.; Ali, H. Evaluation of the Anti-schistosomal Effects of Turmeric (Curcuma longa) Versus Praziquantel in Schistosoma mansoni Infected Mice. Iran. J. Parasitol. 2017, 12, 587–596. [Google Scholar] [PubMed]






| Groups | Worm Burden | |||||||
|---|---|---|---|---|---|---|---|---|
| Male | % Reduction | Female | % Reduction | Couples | % Reduction | Total | % Reduction | |
| VI | 16.8 ± 2.93 | - | 19.8 ± 1.84 | - | 10.40 ± 2.05 | - | 47 ± 5.15 | - |
| VII | 2.57 ± 0.8 c | 84.7 | 3.43 ± 0.48 c | 82.68 | 0.57 ± 0.30 c | 94.52 | 6.57 ± 1.07 c | 86.02 |
| VIII | 3.13 ± 1.2 c | 81.37 | 3.13 ± 0.44 c | 84.19 | 6.25 ± 1.26 | 39.90 | 12.51 ± 2.11 c | 73.38 |
| IX | 2.29 ± 0.6 c | 86.37 | 2.29 ± 0.42 c | 88.43 | 2 ± 0.72 c | 80.77 | 6.58 ± 1.36 c | 86 |
| Groups | Mean Egg Load/Gram of Liver | Mean Egg Load/Gram of Intestine | ||
|---|---|---|---|---|
| Mean | % Reduction | Mean | % Reduction | |
| VI | 6513.4 ± 1127.59 | 0 | 18906.6 ± 1362.64 | 0 |
| VII | 3319 ± 320.38 c | 49.04 | 1523.86 ± 120.97 c | 91.94 |
| VIII | 3813.25 ± 494.39 c | 41.46 | 4189.25 ± 117.12 | 77.84 |
| IX | 1937.57 ± 543.37 c | 70.25 | 2992.86 ± 681.98 c | 84.17 |
| Groups | % Egg Developmental Stages of Liver | % Egg Developmental Stages of Intestine | ||||||||
|---|---|---|---|---|---|---|---|---|---|---|
| Early Immature | Late Immature | Total Immature | Mature | Dead | Early Immature | Late Immature | Total Immature | Mature | Dead | |
| VI | 17.00 | 22.40 | 39.40 | 59.00 | 1.60 | 14.60 | 32.40 | 47.00 | 52.20 | 0.80 |
| VII | 8.50 | 6.67 c | 15.17 c | 42.50 | 42.33 c | 4.17 c | 7.50 c | 11.67 c | 46.66 | 41.67 c |
| VIII | 4.63 c | 13.25 c | 17.88 c | 44 | 38.12 c | 8.50 c | 31.88 | 40.38 | 22.12 c | 37.50 c |
| IX | 4.71 c | 6.58 c | 11.29 c | 45.71 | 43 c | 2.29 c | 11.14 c | 13.43 c | 47.43 | 39.14 c |
| Group | RBC (×106 µL) | HGB (g/dl) | HCT (%) | MCV (Fl) | MCH (pg) | MCHC (g/Dl) | RDW-SD (fL) | RDW-CV (%) |
|---|---|---|---|---|---|---|---|---|
| I | 6.49 ± 0.25 | 12.50 ± 0.17 | 34.35 ± 0.66 | 53.10 ± 0.77 | 19.32 ± 0.84 | 36.40 ± 0.20 | 29.83 ± 0.07 | 14.70 ± 0.06 |
| II | 5.70 ± 0.05 | 10.40 ± 0.40 | 28.25 ± 0.38 | 49.59 ± 0.64 | 18.25 ± 0.55 | 36.82 ± 1.45 | 33.10 ± 0.64 | 15.80 ± 0.06 |
| III | 5.72 ± 0.13 | 10.75 ± 0.10 a | 28.40 ± 0.12 a | 49.67 ± 0.97 | 18.79 ± 0.31 | 37.84 ± 0.35 a | 27.77 ± 0.03 a | 13.65 ± 0.03 a |
| IV | 6.65 ± 0.27 | 11.23 ± 0.32 a | 30.60 ± 0.91 a | 46.18 ± 2.20 a | 16.96 ± 0.85 | 36.71 ± 0.13 | 27.77 ± 0.03 a | 13.70 ± 0.12 a |
| V | 6.39 ± 0.25 | 10.60 ± 0.35 | 29.45 ± 0.20 b | 46.20 ± 1.90 | 16.64 ± 0.88 | 35.98 ± 0.93 | 27.77 ± 0.03 b | 13.65 ± 0.03 b |
| VI | 4.35 ± 0.18 a | 8.17 ± 0.38 a | 21.2 ± 0.95 a | 48.58 ± 1.43 a | 18.76 ± 0.40 | 38.70 ± 0.42 a | 32.26 ± 0.16 a | 15.95 ± 0.26 a |
| VII | 5.27 ± 0.20 c | 10 ± 0.17 c | 26.22 ± 0.65 c | 53.28 ± 5.14 | 20.31 ± 1.89 | 38.17 ± 1.09 | 29.38 ± 0.07 c | 14.30 ± 0.12 c |
| VIII | 5.70 ± 0.16 c | 9.63 ± 0.20 c | 26.60 ± 0.60 c | 46.63 ± 0.90 | 16.90 ± 0.15 c | 36.26 ± 0.14 c | 31.67 ± 0.33 | 14.83 ± 0.09 c |
| IX | 5.56 ± 0.14 c | 9.87 ± 0.38 c | 25.27 ± 0.18 c | 45.54 ± 1.35 | 17.75 ± 1.07 | 39.05 ± 1.52 | 29.20 ± 1.40 | 14.53 ± 0.43 c |
| Group | WBC (103 µL) | LYM (103 µL) | MID (103 µL) | GRAN (103 µL) |
|---|---|---|---|---|
| I | 4.30 ± 0.12 | 3.90 ± 0.29 | 0.30 ± 0.06 | 0.10 |
| II | 5.40 ± 0.70 | 3.25 ± 0.25 | 1.35 ± 0.29 | 0.80 ± 0.10 |
| III | 3.40 ± 0.23 a | 2.50 ± 0.17 a | 0.65 ± 0.09 a | 0.25 ± 0.02 a |
| IV | 5.67 ± 0.15 a | 4.67 ± 0.19 | 0.83 ± 0.02 a | 0.23 ± 0.02 a |
| V | 6.15 ± 0.66 | 4.70 ± 0.29 b | 0.85 ± 0.14 | 0.60 ± 0.23 |
| VI | 24.75 ± 2.69 a | 19.02 ± 0.66 a | 3.88 ± 0.04 a | 1.86 ± 0.32 a |
| VII | 16.63 ± 0.90 c | 11.43 ± 0.07 c | 3.35 ± 0.07 c | 1.85 ± 0.03 |
| VIII | 10.33 ± 0.75 c | 8.28 ± 0.52 c | 1.22 ± 0.13 c | 0.83 ± 0.06 |
| IX | 11.57 ± 1.29 c | 9.55 ± 0.31 c | 1.42 ± 0.18 c | 0.60 ± 0.06 c |
| Group | PLT (×103 µL) | MPV (fL) | PDW (%) | PCT (%) | P-LCR (%) |
|---|---|---|---|---|---|
| I | 409.50 ± 17.03 | 6.77 ± 0.20 | 7.87 ± 0.03 | 0.27 ± 0.01 | 0 |
| II | 461.50 ± 2.60 | 7.10 ± 0.12 | 8.15 ± 0.14 | 0.31 | 0 |
| III | 376.17 ± 14.01 | 6.45 ± 0.9 | 7.87 ± 0.03 | 0.23 ± 0.03 | 0 |
| IV | 394.67 ± 18.75 | 6.63 ± 0.13 | 7.87 ± 0.03 | 0.26 ± 0.01 | 0 |
| V | 480.28 ± 15.16 | 7.10 ± 0.46 | 8.35 ± 0.26 | 0.30 ± 0.08 | 3 ± 0.29 b |
| VI | 375.83 ± 12.52 | 6.11 ± 0.10 a | 8.15 ± 0.14 | 0.21 ± 0.02 a | 0 |
| VII | 388.50 ± 10.10 | 6.95 ± 0.14 c | 8.82 ± 0.16 c | 0.27 ± 0.01 c | 0 |
| VIII | 387.33 ± 14.43 | 7.03 ± 0.18 c | 8.70 ± 0.68 | 0.27 ± 0.01 c | 2.76 ± 0.33 c |
| IX | 395.67 ± 82.49 | 6.39. ± 0.03 c | 8.67 ± 0.44 | 0.28 ± 0.01 c | 1.13 ± 0.13 c |
| Groups | Drug Regimens of Groups | Dose |
|---|---|---|
| Noninfected control | Group I: saline Group II: PB Group III: PZQ Group IV: AL Group V: CU | 0.1 mL of 0.9% NaCl 0.1 mL of 1 M PB buffer pH 7.2 0.1 mL of PZQ (300 mg/kg body weight of mice) 0.1 mL of AL (40 mL/kg body weight of mice) 0.1 mL of CU (40 mg/kg body weight of mice) |
| Infected | Group VI: untreated Group VII: PZQ Group VIII: AL Group IX: CU | 0.1 mL of 0.9% NaCl 0.1 mL of PZQ (300 mg/kg body weight of mice) 0.1 mL of AL (40 mL/kg body weight of mice) 0.1 mL of CU (40 mg/kg body weight of mice) |
Publisher’s Note: MDPI stays neutral with regard to jurisdictional claims in published maps and institutional affiliations. |
© 2021 by the authors. Licensee MDPI, Basel, Switzerland. This article is an open access article distributed under the terms and conditions of the Creative Commons Attribution (CC BY) license (https://creativecommons.org/licenses/by/4.0/).
Share and Cite
Abu Almaaty, A.H.; Rashed, H.A.E.-h.; Soliman, M.F.M.; Fayad, E.; Althobaiti, F.; El-Shenawy, N.S. Parasitological and Biochemical Efficacy of the Active Ingredients of Allium sativum and Curcuma longa in Schistosoma mansoni Infected Mice. Molecules 2021, 26, 4542. https://doi.org/10.3390/molecules26154542
Abu Almaaty AH, Rashed HAE-h, Soliman MFM, Fayad E, Althobaiti F, El-Shenawy NS. Parasitological and Biochemical Efficacy of the Active Ingredients of Allium sativum and Curcuma longa in Schistosoma mansoni Infected Mice. Molecules. 2021; 26(15):4542. https://doi.org/10.3390/molecules26154542
Chicago/Turabian StyleAbu Almaaty, Ali Hussein, Hadeer Abd El-hak Rashed, Maha Farid Mohamed Soliman, Eman Fayad, Fayez Althobaiti, and Nahla Soliman El-Shenawy. 2021. "Parasitological and Biochemical Efficacy of the Active Ingredients of Allium sativum and Curcuma longa in Schistosoma mansoni Infected Mice" Molecules 26, no. 15: 4542. https://doi.org/10.3390/molecules26154542
APA StyleAbu Almaaty, A. H., Rashed, H. A. E.-h., Soliman, M. F. M., Fayad, E., Althobaiti, F., & El-Shenawy, N. S. (2021). Parasitological and Biochemical Efficacy of the Active Ingredients of Allium sativum and Curcuma longa in Schistosoma mansoni Infected Mice. Molecules, 26(15), 4542. https://doi.org/10.3390/molecules26154542

