Soybean and Lupine Addition in Hen Nutrition—Influence on Egg Immunoreactivity
Abstract
1. Introduction
2. Results
2.1. Extraction and Protein Quantification
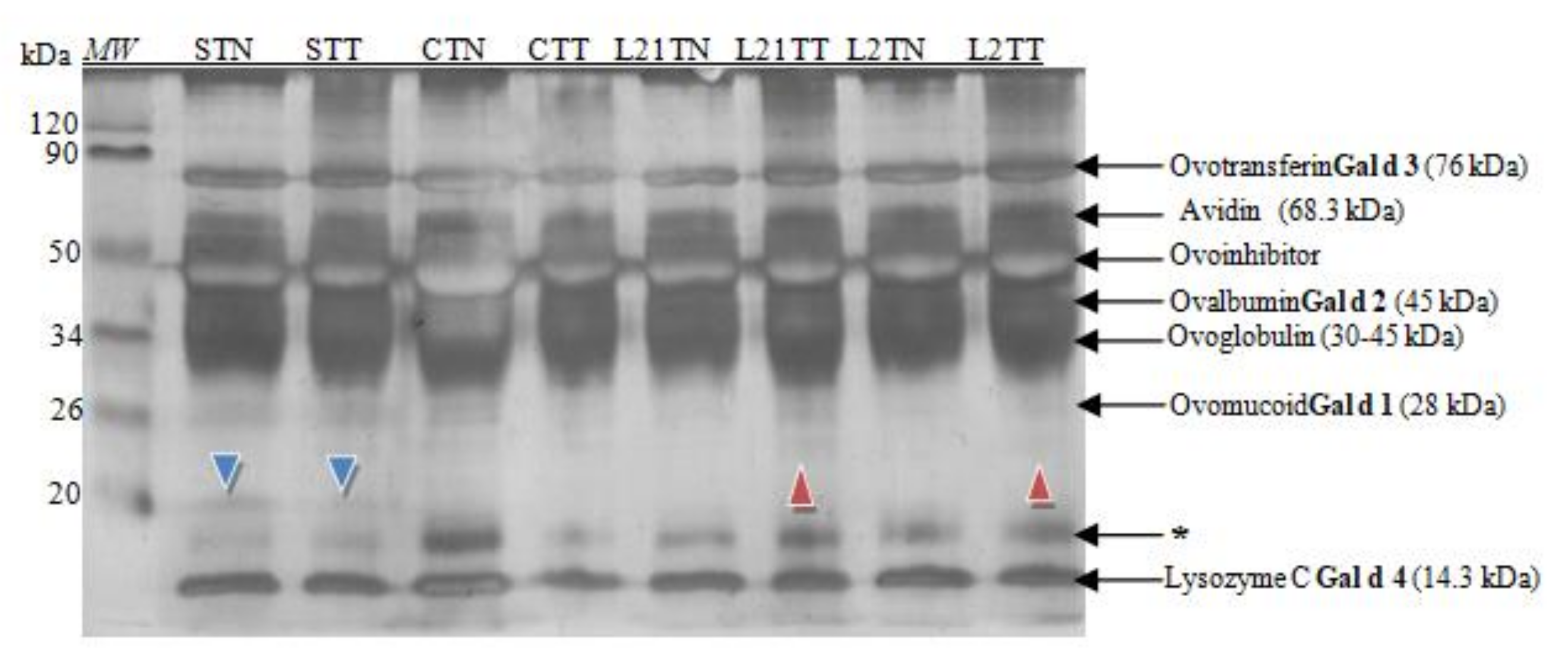
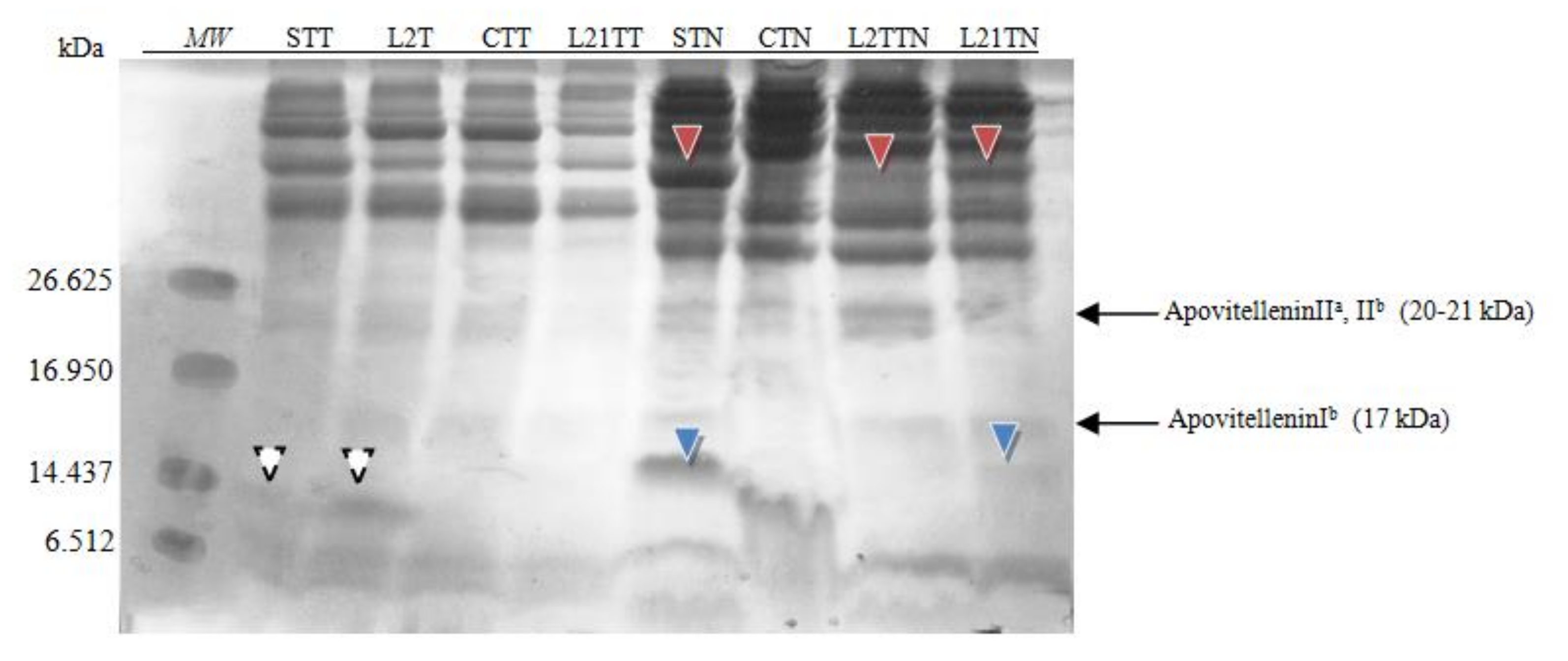
2.2. SDS-PAGE Electrophoresis
2.2.1. Egg-White Proteins
2.2.2. Egg Yolk Proteins
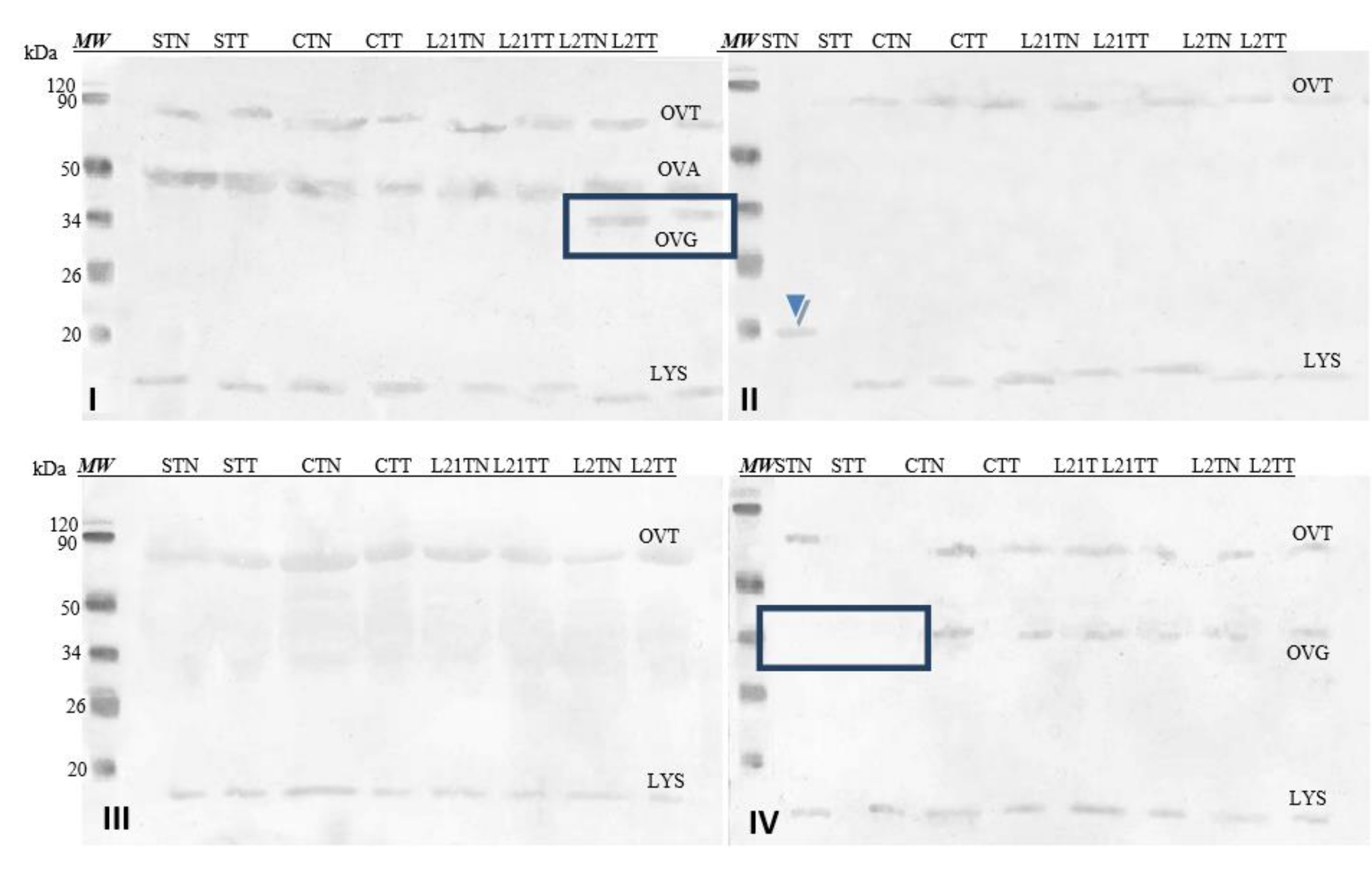
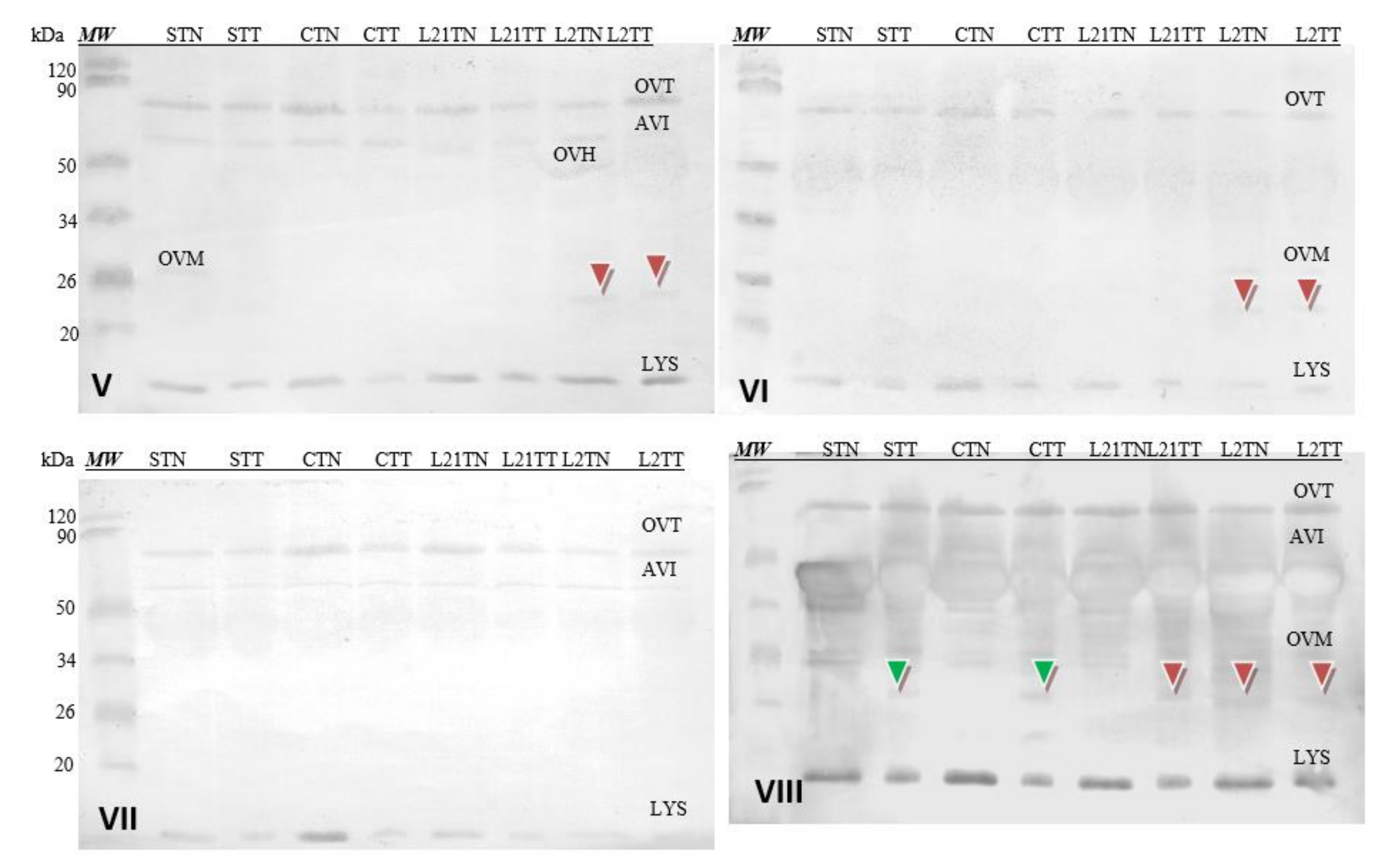
2.2.3. Western-Blot Method
2.2.4. Egg White Protein Detection by Sera of Children Allergic to Eggs
2.2.5. Egg-Yolk Protein Detection by Sera of Children Allergic to Eggs
2.2.6. Egg-White Protein Detection by Sera of Children Allergic to Soy
2.2.7. Egg Yolk Protein Detection by Sera of Children Allergic to Soy
3. Discussion
3.1. Extraction
3.2. SDS-PAGE Electrophoresis
3.3. Western-Blot Method
4. Materials and Methods
4.1. Material
4.1.1. Sera
4.1.2. Hen Eggs
4.2. Methods
4.2.1. Extraction
4.2.2. Protein-Content Determination
4.2.3. SDS-PAGE Electrophoresis
4.2.4. Western-Blot Method
5. Conclusions
Author Contributions
Funding
Institutional Review Board Statement
Informed Consent Statement
Data Availability Statement
Conflicts of Interest
Correction Statement
Sample Availability
Compliance with Ethics Requirements
List of Abbreviations
| TT | 1% Tween 20 + 0.4% Triton x-100 |
| TN | 1% Tween 20 + 0.4% Triton X-100, 280 mM NaCl, 40 mM NaH2PO4, pH 7.4 |
| S | addition soy to fodder |
| C | control/fodder without legumes |
| L2 | addition lupine to fodder for 2 days |
| L21 | addition lupine to fodder for 21 days |
| OVT | ovotransferrin |
| OVA | ovalbumin |
| OVG | ovoglobulin |
| OVM | ovomucoid |
| LYS | lysozyme |
| β-LIV | β-livetin |
| APO 7c | apovitellin 7c |
| α-LIV | α-livetin |
| APO Vab | apovitellinin Vab |
| PHO | phosvitin |
| OVH | ovoinhibitor |
| AVI | avidin |
| APO Vb | apovitellinin Vb |
| APO 8c | apovitellin 8c |
| α-LIV IIIb | α-livetin IIIb |
References
- Alesadri, C.; Calvani, M.; Rosengart, L.; Madella, C. Anaphylaxis to Quail Egg. Allergy 2005, 60, 128–129. [Google Scholar] [CrossRef]
- Buczyłko, K. Not only allergens: Hen’s egg. Alergia 2014, 3, 20–26. [Google Scholar]
- Allergen Search Results. Available online: http://www.allergen.org/search.php?Species=Gallus%20domesticus%20(G.%20gallus) (accessed on 17 May 2021).
- Kijowski, J.; Leśnierowski, G.; Cegielska-Radziejewska, R. Chicken Eggs: Source of Valuable Bioactive Components. Żywność: Nauka Technol. Jakość 2013, 90, 29–41. [Google Scholar]
- Dadas-Stasiak, E.; Kalicki, B.; Jung, A. The most of ten occurring reasons and kinds of allergy at children in the light of current epidemiology. Pediatr. Med. Rodz. 2011, 2, 92–99. [Google Scholar]
- Longo, G.; Berti, I.; Burks, A.W.; Krauss, B.; Barbi, E. IgE-Mediated Food Allergy in Children. Lancet 2013, 382, 1656–1664. [Google Scholar] [CrossRef]
- Seweryn, E.; Królewicz, E.; Stach, K.; Kustrzeba-Wójcicka, I. Właściwości odżywcze i alergizujące jaj kurzych. Postępy Hig. Med. Doświadczalnej 2018, 72, 205–214. [Google Scholar] [CrossRef]
- Caubet, J.-C.; Wang, J. Current Understanding of Egg Allergy. Pediatric Clin. N. Am. 2011, 58, 427–443. [Google Scholar] [CrossRef]
- Poulsen, L.K.; Hansen, T.K.; Norgaard, A.; Vestergaard, H.; Stahl Skov, P.; Bindslev-Jensen, C. Allergens fro Fish and Egg. Allergy 2001, 56, 39–42. [Google Scholar] [CrossRef]
- Rudzki, E. Białko jaja kurzego. Żółtko jaja kurzego. Wydaw. Med. Prakt. 2003, 3, 11–13. [Google Scholar]
- Faculty of Biology, Medicine and Health, University of Manchester. Available online: https://www.bmh.manchester.ac.uk (accessed on 17 May 2021).
- Tomczak, A.; Zielińska-Dawidziak, M.; Piasecka-Kwiatkowska, D. Differences in the Immunoreactivity of Milk from Local Farms and from Points of Purchase. Eur. Food Res. Technol. 2020, 246, 93–101. [Google Scholar] [CrossRef]
- Peeters, K.A.B.M.; Nordlee, J.A.; Penninks, A.H.; Chen, L.; Goodman, R.E.; Bruijnzeel-Koomen, C.A.F.M.; Hefle, S.L.; Taylor, S.L.; Knulst, A.C. Lupine Allergy: Not Simply Cross-Reactivity with Peanut or Soy. J. Allergy Clin. Immunol. 2007, 120, 647–653. [Google Scholar] [CrossRef]
- Amponsah, A.; Nayak, B. Evaluation of the Efficiency of Three Extraction Conditions for the Immunochemical Detection of Allergenic Soy Proteins in Different Food Matri ces: Efficiency of Extraction Conditions on Soy Detection in Different Food Matrices. J. Sci. Food Agric. 2018, 98, 2378–2384. [Google Scholar] [CrossRef]
- Guérin-Dubiard, C.; Pasco, M.; Hietanen, A.; Quiros delBosque, A.; Nau, F.; Croguennec, T. Hen Egg White Fractionation by Ion-Exchange Chromatography. J. Chromatogr. A 2005, 1090, 58–67. [Google Scholar] [CrossRef]
- Kato, Y.; Oozawa, E.; Matsuda, T. Decrease in Antigenic and Allergenic Potentials of Ovomucoid by Heating in the Presence of Wheat Flour: Dependence on Wheat Variety and Intermolecular Disulfide Bridges. J. Agric. Food Chem. 2001, 49, 3661–3665. [Google Scholar] [CrossRef] [PubMed]
- Yeung, J.M.; Newsome, W.H.; Abbott, M.A. Determination of Egg Proteins in Food Products by Enzyme Immunoassay. J. AOAC Int. 2000, 83, 139–143. [Google Scholar] [CrossRef]
- Steinhoff, M.; Fischer, M.; Paschke-Kratzin, A. Comparison of Extraction Conditions for Milk and Hen’s Egg Allergens. Food Addit. Contam. Part A 2011, 28, 373–383. [Google Scholar] [CrossRef] [PubMed]
- Guha, S.; Majumder, K.; Mine, Y. Egg Proteins. In Encyclopedia of Food Chemistry; Elsevier: Amsterdam, The Netherlands, 2019; pp. 74–84. ISBN 978-0-12-814045-1. [Google Scholar]
- Kopeć, W.; Skiba, T.; Korzeniowska, M.; Bobak, Ł.; Trziszka, T. Activity of Protease Inhibitors and Lysozyme of Hen’s Egg White Depending on Feed Modification and Egg Storage. Pol. J. Food Nutr. Sci. 2005, 55, 79–83. [Google Scholar]
- Trziszka, T.; Saleh, Y.; Kopeć, W.; Siewinski, M.; Wesierska, E. Effect of Hen’s Age on the Level of Cystatin in the Chicken Egg White. Int. J. Poult. Sci. 2004, 3, 471–477. [Google Scholar] [CrossRef]
- Dziadek, K.; Gornowicz, E.; Czekalski, P. Chemical Composition of Table Eggs as Influenced by the Origin of Laying Hens. Pol. J. Food Nutr. Sci. 2003, 12, 21–24. [Google Scholar][Green Version]
- Kubiński, T. Supplementation of diet results in production of eggs enriched in PUFA. Życie Weter. 2012, 5, 386–389. [Google Scholar][Green Version]
- Kowalska, E. Ocena Jakości Surowców Pozyskiwanych od Drobiu Żywionego Mieszankami Paszowymi z Udziałem Łubinu. Ph.D. Thesis, Uniwersytet Technologiczno—Przyrodniczy Im. J. J. Śniadeckich w Bydgoszczy, Bydgoszcz, Poland, 2019. [Google Scholar]
- Toomer, O.T.; Sanders, E.; Vu, T.C.; Livingston, M.L.; Wall, B.; Malheiros, R.D.; Carvalho, L.V.; Livingston, K.A.; Ferket, P.R.; Anderson, K.E. Potential Transfer of Peanut and/or Soy Proteins from Poultry Feed to the Meat and/or Eggs Produced. ACS Omega 2020, 5, 1080–1085. [Google Scholar] [CrossRef] [PubMed]
- Tyasi, T.L.; Gxasheka, M.; Tlabela, C.P. Assessing the Effect of Nutrition on Milk Composition of Dairy Cows: A Review. Int. J. Curr. Sci. 2015, 17, 56–63. [Google Scholar]
- Laemmli, U.K. Cleavage of Structural Proteins during the Assembly of the Head of Bacteriophage T4. Nature 1970, 227, 680–685. [Google Scholar] [CrossRef] [PubMed]
- Smith, P.K.; Krohn, R.I.; Hermanson, G.T.; Mallia, A.K.; Gartner, F.H.; Provenzano, M.D.; Fujimoto, E.K.; Goeke, N.M.; Olson, B.J.; Klenk, D.C. Measurement of Protein Using Bicinchoninic Acid. Anal. Biochem. 1985, 150, 76–85. [Google Scholar] [CrossRef]









| Sample | Protein Content (mg/g) |
|---|---|
| PBS white | 74.51 ± 2.88 |
| PBS yolk | 60.02 ± 0.95 |
| PBST white | 89.80 ± 1.15 |
| PBST yolk | 59.68 ± 2.98 |
| H2O white | 44.86 ± 1.49 |
| H2O yolk | 31.73 ± 0.33 |
| SDS white | 196.55 ± 19.81 |
| SDS yolk | 77.51 ± 4.02 |
| TT white | 65.19 ± 1.27 |
| TT yolk | 34.65 ± 3.32 |
| TN white | 51.42 ± 0.96 |
| TN yolk | 68.74 ± 0.82 |
| (A) Sera of Children Allergic to Egg | ||||||
|---|---|---|---|---|---|---|
| Sera | Egg Allergy | |||||
| Protein | Yolk | Whole Egg | ||||
| Class | IgE Content (kU/L) | Class | IgE Content (kU/L) | Class | IgE Content (kU/L) | |
| I | 6 | >100 | 2 | 0.7–3.5 | - | - |
| II | - | - | - | - | 2 | 0.7–3.5 |
| III | 1 | 2 | 0.7–3.5 | 2 | 0.7–3.5 | |
| IV | 3 | 3.5–17.5 | - | - | 1 | <0.7 |
| (B) Sera of Children Allergic to Soy | ||||||
| Sera | Soy Allergy | |||||
| Class | IgE Content (kU/L) | |||||
| V | 4 | ~50 | ||||
| VI | 6 | >100 | ||||
| VII | 3 | 3.5–17.5 | ||||
| VIII | 6 | >100 | ||||
Publisher’s Note: MDPI stays neutral with regard to jurisdictional claims in published maps and institutional affiliations. |
© 2021 by the authors. Licensee MDPI, Basel, Switzerland. This article is an open access article distributed under the terms and conditions of the Creative Commons Attribution (CC BY) license (https://creativecommons.org/licenses/by/4.0/).
Share and Cite
Tomczak, A.; Misiak, M.; Zielińska-Dawidziak, M. Soybean and Lupine Addition in Hen Nutrition—Influence on Egg Immunoreactivity. Molecules 2021, 26, 4319. https://doi.org/10.3390/molecules26144319
Tomczak A, Misiak M, Zielińska-Dawidziak M. Soybean and Lupine Addition in Hen Nutrition—Influence on Egg Immunoreactivity. Molecules. 2021; 26(14):4319. https://doi.org/10.3390/molecules26144319
Chicago/Turabian StyleTomczak, Aneta, Michalina Misiak, and Magdalena Zielińska-Dawidziak. 2021. "Soybean and Lupine Addition in Hen Nutrition—Influence on Egg Immunoreactivity" Molecules 26, no. 14: 4319. https://doi.org/10.3390/molecules26144319
APA StyleTomczak, A., Misiak, M., & Zielińska-Dawidziak, M. (2021). Soybean and Lupine Addition in Hen Nutrition—Influence on Egg Immunoreactivity. Molecules, 26(14), 4319. https://doi.org/10.3390/molecules26144319

