Antimicrobial Mechanism of pBD2 against Staphylococcus aureus
Abstract
1. Introduction
2. Results
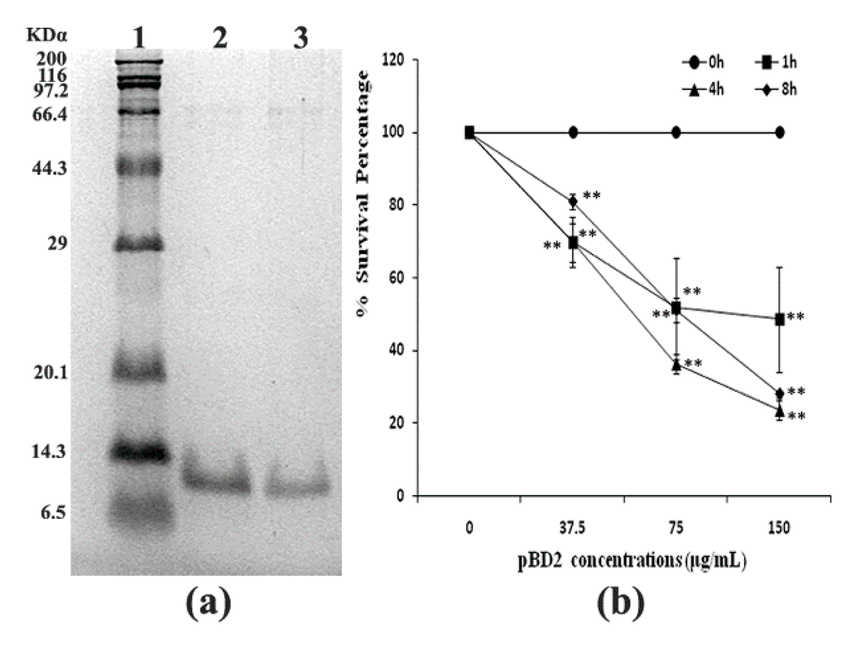
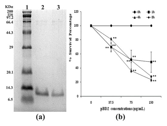
2.1. Antibacterial Activity of pBD2
2.2. Morphological Changes in Bacteria
2.3. Localization of pBD2 Peptides
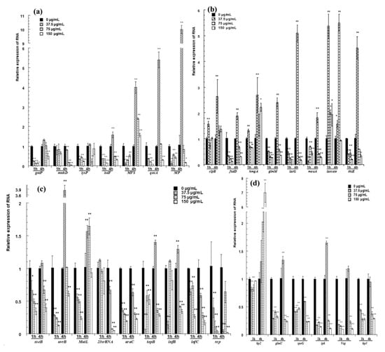
2.4. Identification of Differentially Expressed Gene Fragments by ACP (Annealing Control Primer)-Based RT-PCR
2.5. Analysis of DEGs
2.6. qRT-PCR Confirmation for Selected Genes
2.7. Gel Retardation Assay of pBD2 Binding to DNA
3. Discussion
4. Materials and Methods
4.1. Preparation of Porcine Beta Defensin 2
4.2. Bacteria with pBD2 Treatment
4.3. Morphological Changes in S. aureus
4.4. Localization of pBD2 Peptides
4.5. RNA Extraction
4.6. Identification and Analysis of DEGs
4.7. Quantitative Real-Time PCR
4.8. Gel Retardation Assay
4.9. Statistical Analysis
5. Conclusions
Supplementary Materials
Author Contributions
Funding
Acknowledgments
Conflicts of Interest
References
- Peschel, A.; Sahl, H.G. The co-evolution of host cationic antimicrobial peptides and microbial resistance. Nat. Rev. Microbiol. 2006, 4, 529–536. [Google Scholar] [CrossRef]
- Lehrer, R.; Ganz, T. Defensins of vertbrate animal. Curr. Opin. Immunol. 2002, 14, 96–102. [Google Scholar] [CrossRef]
- Silva, J.P.; Appelberg, R.; Gama, F.M. Antimicrobial peptides as novel anti-tuberculosis therapeutics. Biotechnol. Adv. 2016, 34, 924–940. [Google Scholar] [CrossRef]
- Sang, Y.; Patil, A.A.; Zhang, G.; Ross, C.R.; Blecha, F. Bioinformatic and expression analysis of novel porcine beta-defensins. Mamm. Genome 2006, 17, 332–339. [Google Scholar] [CrossRef]
- Choi, M.K.; Le, M.T.; Nguyen, D.T.; Choi, H.; Kim, W.; Kim, J.H.; Chun, J.; Hyeon, J.; Seo, K.; Park, C. Genome-level identification, gene expression, and comparative analysis of porcine β-defensin genes. BMC Genet. 2012, 13, 98. [Google Scholar] [CrossRef]
- Li, C.L.; Xu, T.T.; Chen, R.B.; Huang, X.X.; Zhao, Y.C.; Bao, Y.Y.; Zhao, W.D.; Zheng, Z.Y. Cloning, expression and characterization of antimicrobial porcine beta defensin 1 in Escherichia coli. Protein Expr. Purif. 2013, 88, 47–53. [Google Scholar] [CrossRef]
- Li, C.L.; Zhao, Y.C.; Song, X.Y.; Huang, X.X.; Zhao, W.D. Molecular cloning, expression and characterization of the porcine beta defensin 2 in E. coli. Protein Pept. Lett. 2012, 20, 715–723. [Google Scholar] [CrossRef]
- Veldhuizen, E.J.; Rijnders, M.; Claassen, E.A.; van Dijk, A.; Haagsman, H.P. Porcine beta-defensin 2 displays broad antimicrobial activity against pathogenic intestinal bacteria. Mol. Immunol. 2008, 45, 386–394. [Google Scholar] [CrossRef] [PubMed]
- Xie, K.; Xie, H.; Su, G.; Chen, D.; Yu, B.; Mao, X.; Huang, Z.; Yu, J.; Luo, J.; Zheng, P.; et al. Beta-defensin 129 attenuates bacterial endotoxin-induced inflammation and intestinal epithelial cell apoptosis. Front. Immunol. 2019, 10, 2333. [Google Scholar] [CrossRef] [PubMed]
- Su, G.; Xie, K.; Chen, D.; Yu, B.; Huang, Z.; Luo, Y.; Mao, X.; Zheng, P.; Yu, J.; Luo, J.; et al. Differential expression, molecular cloning, and characterization of porcine beta defensin 114. J. Anim. Sci. Biotechnol. 2019, 10, 60. [Google Scholar] [CrossRef] [PubMed]
- Tang, Z.; Xu, L.; Shi, B.; Deng, H.; Lai, X.; Liu, J.; Sun, Z. Oral administration of synthetic porcine beta-defensin-2 improves growth performance and cecal microbial flora and down-regulates the expression of intestinal toll-like receptor-4 and inflammatory cytokines in weaned piglets challenged with enterotoxigenic Escherichia coli. Anim. Sci. J. 2016, 87, 1258–1266. [Google Scholar] [CrossRef]
- Han, F.; Zhang, H.; Xia, X.; Xiong, H.; Song, D.; Zong, X.; Wang, Y. Porcine beta-defensin 2 attenuates inflammation and mucosal lesions in dextran sodium sulfate-induced colitis. J. Immunol. 2015, 194, 1882–1893. [Google Scholar] [CrossRef]
- Yang, X.; Cheng, Y.T.; Tan, M.F.; Zhang, H.W.; Liu, W.Q.; Zou, G.; Zhang, L.S.; Zhang, C.Y.; Deng, S.M.; Yu, L.; et al. Overexpression of porcine beta-defensin 2 enhances resistance to actinobacillus pleuropneumoniae infection in pigs. Infect. Immun. 2015, 83, 2836–2843. [Google Scholar] [CrossRef]
- Huang, C.; Yang, X.; Huang, J.; Liu, X.; Jin, H.; Huang, Q.; Li, L.; Zhou, R. Porcine beta-defensin 2 provides protection against bacterial infection by a direct bactericidal activity and alleviates inflammation via interference with the TLR4/NF-kappaB pathway. Front. Immunol. 2019, 10, 1673. [Google Scholar] [CrossRef] [PubMed]
- Tang, M.; Hong, M. Structure and mechanism of β-hairpin antimicrobial peptides in lipid bilayers from solid-state NMR spectroscopy. Mol. BioSyst. 2009, 5, 317–322. [Google Scholar] [CrossRef] [PubMed]
- Zhang, Y.; Lu, W.; Hong, M. The membrane-bound structure and topology of a human α-defensin indicate a dimer pore mechanism for membrane disruption. Biochemistry 2010, 49, 9770–9782. [Google Scholar] [CrossRef] [PubMed]
- Sani, M.A.; Separovic, F. How membrane-active peptides get into lipid membranes. Acc. Chem. Res. 2016, 49, 1130–1138. [Google Scholar] [CrossRef] [PubMed]
- Nguyen, L.; Haney, E.; Vogel, H. The expanding scope of antimicrobial peptide structures and their modes of action. Trends Biotechnol. 2011, 29, 464–472. [Google Scholar] [CrossRef] [PubMed]
- Liu, W.; Dong, S.L.; Xu, F.; Wang, X.Q.; Withers, T.R.; Yu, H.D.; Wang, X. Effect of intracellular expression of antimicrobial peptide LL-37 on growth of escherichia coli strain TOP10 under aerobic and anaerobic conditions. Antimicrob. Agents Chemother. 2013, 57, 4707–4716. [Google Scholar] [CrossRef]
- Nan, Y.H.; Park, K.H.; Park, Y.; Jeon, Y.J.; Kim, Y.; Park, I.S.; Hahm, K.S.; Shin, S.Y. Investigating the effects of positive charge and hydrophobicity on the cell selectivity, mechanism of action and anti-inflammatory activity of a Trp-rich antimicrobial peptide indolicidin. FEMS Microbiol. Lett. 2009, 292, 134–140. [Google Scholar] [CrossRef]
- Peters, B.M.; Shirtliff, M.E.; Jabra-Rizk, M.A. Antimicrobial peptides: Primeval molecules or future drugs? PLoS Pathog. 2010, 6, e1001067. [Google Scholar] [CrossRef] [PubMed]
- Wang, X.; Teng, D.; Mao, R.; Yang, N.; Hao, Y.; Wang, J. Combined systems approaches reveal a multistage mode of action of a marine antimicrobial peptide against pathogenic Escherichia coli and its protective effect against bacterial peritonitis and endotoxemia. Antimicrob. Agents Chemother. 2017, 61, e01056-16. [Google Scholar] [CrossRef] [PubMed]
- Wang, Y.; Chen, C.; Hu, D.; Ulmschneider, M.; Ulmschneider, J. Spontaneous formation of structurally diverse membrane channel architectures from a single antimicrobial peptide. Nat. Commun. 2016, 7, 13535. [Google Scholar] [CrossRef] [PubMed]
- Runti, G.; Benincasa, M.; Giuffrida, G.; Devescovi, G.; Venturi, V.; Gennaro, R.; Scocchi, M. The mechanism of killing by the proline-rich peptide Bac7(1-35) against clinical strains of Pseudomonas aeruginosa differs from that against other Gram-negative bacteria. Antimicrob. Agents Chemother. 2017, 61, e01660-16. [Google Scholar] [CrossRef] [PubMed]
- Tong, S.Y.; Davis, J.S.; Eichenberger, E.; Holland, T.L.; Fowler, V.G., Jr. Staphylococcus aureus infections: Epidemiology, pathophysiology, clinical manifestations, and management. Clin. Microbiol. Rev. 2015, 28, 603–661. [Google Scholar] [CrossRef]
- Hartmann, M.; Berditsch, M.; Hawecker, J.; Ardakani, M.F.; Gerthsen, D.; Ulrich, A.S. Damage of the bacterial cell envelope by antimicrobial peptides gramicidin S and PGLa as revealed by transmission and scanning electron microscopy. Antimicrob. Agents Chemother. 2010, 54, 3132–3142. [Google Scholar] [CrossRef]
- Gee, M.L.; Burton, M.; Grevis-James, A.; Hossain, M.A.; McArthur, S.; Palombo, E.A.; Wade, J.D.; Clayton, A.H. Imaging the action of antimicrobial peptides on living bacterial cells. Sci. Rep. 2013, 3, 1557. [Google Scholar] [CrossRef]
- Zhu, X.; Shan, A.; Ma, Z.; Xu, W.; Wang, J.; Chou, S.; Cheng, B. Bactericidal efficiency and modes of action of the novel antimicrobial peptide T9W against Pseudomonas aeruginosa. Antimicrob. Agents Chemother. 2015, 59, 3008–3017. [Google Scholar] [CrossRef]
- Benincasa, M.; Scocchi, M.; Pacor, S.; Tossi, A.; Nobili, D.; Basaglia, G.; Busetti, M.; Gennaro, R. Fungicidal activity of five cathelicidin peptides against clinically isolated yeasts. J. Antimicrob. Chemother. 2006, 58, 950–959. [Google Scholar] [CrossRef]
- Hong, J.; Guan, W.; Jin, G.; Zhao, H.; Jiang, X.; Dai, J. Mechanism of tachyplesin I injury to bacterial membranes and intracellular enzymes, determined by laser confocal scanning microscopy and flow cytometry. Microbiol. Res. 2015, 170, 69–77. [Google Scholar] [CrossRef]
- Wang, Q.; Guo, P.; Wang, Z.; Liu, H.; Zhang, Y.; Jiang, S.; Han, W.; Xia, Q.; Zhao, P. Antibacterial mechanism of gloverin 2 from silkworm, Bombyx mori. Int. J. Mol. Sci. 2018, 19, 2275. [Google Scholar] [CrossRef] [PubMed]
- Sun, C.; Li, Y.; Cao, S.; Wang, H.; Jiang, C.; Pang, S.; Hussain, M.A.; Hou, J. Antibacterial activity and mechanism of action of bovine lactoferricin derivatives with symmetrical amino acid sequences. Int. J. Mol. Sci. 2018, 19, 2951. [Google Scholar] [CrossRef] [PubMed]
- Seefeldt, A.C.; Graf, M.; Perebaskine, N.; Nguyen, F.; Arenz, S.; Mardirossian, M.; Scocchi, M.; Wilson, D.N.; Innis, C.A. Structure of the mammalian antimicrobial peptide Bac7(1-16) bound within the exit tunnel of a bacterial ribosome. Nucleic Acids Res. 2016, 44, 2429–2438. [Google Scholar] [CrossRef] [PubMed]
- Shan, Z.; Zhu, K.; Peng, H.; Chen, B.; Liu, J.; Chen, F.; Ma, X.; Wang, S.; Qiao, K.; Wang, K. The new antimicrobial peptide SpHyastatin from the Mud Crab Scylla paramamosain with multiple antimicrobial mechanisms and high effect on bacterial infection. Front. Microbiol. 2016, 7, 1140. [Google Scholar] [CrossRef] [PubMed]
- Wei, L.; LaBouyer, M.A.; Darling, L.E.; Elmore, D.E. Bacterial spheroplasts as a model for visualizing membrane translocation of antimicrobial peptides. Antimicrob. Agents Chemother. 2016, 60, 6350–6352. [Google Scholar] [CrossRef] [PubMed]
- Gopalakrishna, Y.; Langley, D.; Sarkar, N. Detection of high levels of polyadenylate-containing RNA in bacteria by the use of a single-step RNA isolation procedure. Nucleic Acids Res. 1981, 9, 3545–3554. [Google Scholar] [CrossRef][Green Version]
- Hwang, K.C.; Lee, H.Y.; Cui, X.S.; Kim, J.H.; Kim, N.H. Identification of maternal mRNAs in porcine parthenotes at the 2-cell stage: A comparison with the blastocyst stage. Mol. Reprod. Dev. 2005, 70, 314–323. [Google Scholar] [CrossRef]
- Han, S.H.; Odathurai Saminathan, S.; Kim, S.J. Insulin stimulates gene expression of ferritin light chain in osteoblast cells. J. Cell. Biochem. 2010, 111, 1493–1500. [Google Scholar] [CrossRef]
- Yang, Z.; Peng, Z.; Wei, S.; Yu, Y.; Cai, P. Identification of differentially expressed genes in three-pistil mutation in wheat using annealing control primer system. Gene 2011, 485, 81–84. [Google Scholar] [CrossRef]
- Pao, S.S.; Paulsen, I.T.; Saier, M.H., Jr. Major facilitator superfamily. Microbiol. Mol. Biol. Rev. 1998, 62, 1–34. [Google Scholar] [CrossRef]
- Dean, M.; Hamon, Y.; Chimini, G. The human ATP-binding cassette (ABC) transporter superfamily. J. Lipid Res. 2001, 42, 1007–1017. [Google Scholar] [CrossRef] [PubMed]
- Sass, V.; Pag, U.; Tossi, A.; Bierbaum, G.; Sahl, H.-G. Mode of action of human β-defensin 3 against Staphylococcus aureus and transcriptional analysis of responses to defensin challenge. Int. J. Med. Microbiol. 2008, 298, 619–633. [Google Scholar] [CrossRef] [PubMed]
- Wenzel, M.; Chiriac, A.I.; Otto, A.; Zweytick, D.; May, C.; Schumacher, C.; Gust, R.; Albada, H.B.; Penkova, M.; Kramer, U.; et al. Small cationic antimicrobial peptides delocalize peripheral membrane proteins. Proc. Natl. Acad. Sci. USA 2014, 111, E1409–E1418. [Google Scholar] [CrossRef] [PubMed]
- Roosild, T.P.; Castronovo, S.; Healy, J.; Miller, S.; Pliotas, C.; Rasmussen, T.; Bartlett, W.; Conway, S.J.; Booth, I.R. Mechanism of ligand-gated potassium efflux in bacterial pathogens. Proc. Natl. Acad. Sci. USA 2010, 107, 19784–19789. [Google Scholar] [CrossRef]
- Lee, H.; Hwang, J.S.; Lee, J.; Kim, J.I.; Lee, D.G. Scolopendin 2, a cationic antimicrobial peptide from centipede, and its membrane-active mechanism. Biochim. Biophys. Acta 2015, 1848, 634–642. [Google Scholar] [CrossRef]
- Yang, W.; Feng, J.; Xiang, F.; Xie, Z.; Zhang, G.; Sabatier, J.M.; Cao, Z.; Li, W.; Chen, Z.; Wu, Y. Endogenous animal toxin-like human beta-defensin 2 inhibits own K(+) channels through interaction with channel extracellular pore region. Cell. Mol. Life Sci. 2015, 72, 845–853. [Google Scholar] [CrossRef]
- Xie, Z.; Feng, J.; Yang, W.; Xiang, F.; Yang, F.; Zhao, Y.; Cao, Z.; Li, W.; Chen, Z.; Wu, Y. Human alpha-defensins are immune-related Kv1.3 channel inhibitors: New support for their roles in adaptive immunity. FASEB J. 2015, 29, 4324–4333. [Google Scholar] [CrossRef]
- Florin, T.; Maracci, C.; Graf, M.; Karki, P.; Klepacki, D.; Berninghausen, O.; Beckmann, R.; Vázquez-Laslop, N.; Wilson, D.; Rodnina, M.; et al. An antimicrobial peptide that inhibits translation by trapping release factors on the ribosome. Nat. Struct. Mol. Biol. 2017, 24, 752–757. [Google Scholar] [CrossRef]
- Graf, M.; Mardirossian, M.; Nguyen, F.; Seefeldt, A.C.; Guichard, G.; Scocchi, M.; Innis, C.A.; Wilson, D.N. Proline-rich antimicrobial peptides targeting protein synthesis. Nat. Prod. Rep. 2017, 34, 702–711. [Google Scholar] [CrossRef]
- Gagnon, M.; Roy, R.; Lomakin, I.; Florin, T.; Mankin, A.; Steitz, T. Structures of proline-rich peptides bound to the ribosome reveal a common mechanism of protein synthesis inhibition. Nucleic Acids Res. 2016, 44, 2439–2450. [Google Scholar] [CrossRef]
- Roy, R.; Lomakin, I.; Gagnon, M.; Steitz, T. The mechanism of inhibition of protein synthesis by the proline-rich peptide oncocin. Nat. Struct. Mol. Biol. 2015, 22, 466–469. [Google Scholar] [CrossRef] [PubMed]
- Haney, E.F.; Petersen, A.P.; Lau, C.K.; Jing, W.; Storey, D.G.; Vogel, H.J. Mechanism of action of puroindoline derived tryptophan-rich antimicrobial peptides. Biochim. Biophys. Acta 2013, 1828, 1802–1813. [Google Scholar] [CrossRef] [PubMed]
- Sass, V.; Schneider, T.; Wilmes, M.; Korner, C.; Tossi, A.; Novikova, N.; Shamova, O.; Sahl, H.G. Human beta-defensin 3 inhibits cell wall biosynthesis in Staphylococci. Infect. Immun. 2010, 78, 2793–2800. [Google Scholar] [CrossRef] [PubMed]
- Dosunmu, E.F.; Chaudhari, A.A.; Bawage, S.; Bakeer, M.K.; Owen, D.R.; Singh, S.R.; Dennis, V.A.; Pillai, S.R. Novel cationic peptide TP359 down-regulates the expression of outer membrane biogenesis genes in Pseudomonas aeruginosa: A potential TP359 anti-microbial mechanism. BMC Microbiol. 2016, 16, 192. [Google Scholar] [CrossRef] [PubMed][Green Version]
- de la Fuente-Núñez, C.; Korolik, V.; Bains, M.; Nguyen, U.; Breidenstein, E.B.; Horsman, S.; Lewenza, S.; Burrows, L.; Hancock, R.E. Inhibition of bacterial biofilm formation and swarming motility by a small synthetic cationic peptide. Antimicrob. Agents Chemother. 2012, 56, 2696–2704. [Google Scholar] [CrossRef]
- Flemming, K.; Klingenberg, C.; Cavanagh, J.P.; Sletteng, M.; Stensen, W.; Svendsen, J.S.; Flaegstad, T. High in vitro antimicrobial activity of synthetic antimicrobial peptidomimetics against staphylococcal biofilms. J. Antimicrob. Chemother. 2009, 63, 136–145. [Google Scholar] [CrossRef]
- Duarte, A.F.S.; Ceotto-Vigoder, H.; Barrias, E.S.; Souto-Padron, T.; Nes, I.F.; Bastos, M. Hyicin 4244, the first sactibiotic described in staphylococci, exhibits an anti-staphylococcal biofilm activity. Int. J. Antimicrob. Agents 2018, 51, 349–356. [Google Scholar] [CrossRef]
- Yadavalli, S.S.; Carey, J.N.; Leibman, R.S.; Chen, A.I.; Stern, A.M.; Roggiani, M.; Lippa, A.M.; Goulian, M. Antimicrobial peptides trigger a division block in Escherichia coli through stimulation of a signalling system. Nat. Commun. 2016, 7, 12340. [Google Scholar] [CrossRef]
- Huang, L.; Leong, S.S.; Jiang, R. Soluble fusion expression and characterization of bioactive human beta-defensin 26 and 27. Appl. Microbiol. Biotechnol. 2009, 84, 301–308. [Google Scholar] [CrossRef]
- Schneider, V.A.; Coorens, M.; Ordonez, S.R.; Tjeerdsma-van Bokhoven, J.L.; Posthuma, G.; van Dijk, A.; Haagsman, H.P.; Veldhuizen, E.J. Imaging the antimicrobial mechanism(s) of cathelicidin-2. Sci. Rep. 2016, 6, 32948. [Google Scholar] [CrossRef]
- Bao, Y.Y.; Li, L.; Zhang, H.; Gao, C.Y.; Xiao, C.B.; Li, C.L. Preparation of polyclonal antibody against porcine beta defensin 2 and identification of its distribution in tissues of pig. Genet. Mol. Res. 2015, 14, 18863–18871. [Google Scholar] [CrossRef] [PubMed]
- Velivelli, S.L.S.; Islam, K.T.; Hobson, E.; Shah, D.M. Modes of action of a bi-domain plant defensin MtDef5 against a bacterial pathogen Xanthomonas campestris. Front. Microbiol. 2018, 9, 934. [Google Scholar] [CrossRef] [PubMed]
Sample Availability: Not available. |





| Sequence 1 | GeneFishing | Size (bp) | Protein |
|---|---|---|---|
| (371h 3-2)/(/37S4h 3-1/3-2/16/75S4h 7-1) | up/down | 193/196/300/209/188 | 23S ribosomal RNA. |
| 37S1h 15-2 | down | 84 | DNA mismatch repair protein MutL. |
| (37S1h/37S4h 20-1/75S1h/150S4h 20-1) | down/up | 228/219/220/216 | Formate-tetrahydrofolate ligase. |
| 37S4h 5 | up | 52 | Gluconate transporter/gluconate permease. |
| 37S4h 7-2 | up | 73 | 6-Phospho-beta-galactosidase; or intergenic sequence: one is a transposase family protein; the other one is a hypothetical protein (378 bp, 215 aa, HP3). |
| 37S4h 9-1 | up | 273 | Protein disaggregation chaperone/ATP-dependent chaperone protein ClpB. |
| 37S4h 11-2 | up | 24 | Membrane protein. |
| 37S 4h 12-2/12-1 | up | 34/29 | MFS transporter. |
| 37S4h 15-1 | up | 39 | Molybdenum cofactor biosynthesis protein A. |
| 37S4h 15 | up | 88 | Heme ABC transporter permease; or translation initiation factor IF-3; or replication-associated protein. |
| 75S1h 1 | down | 57 | RNA polymerase sigma factor RpoD. |
| 75S1h 4-1 | down | 26 | AraC family transcriptional regulator; or gamma-aminobutyrate permease. |
| 75S1h 5-1 | down | 199 | 3-Hydroxy-3-methylglutaryl-CoA reductase. |
| 75S1h 9 | up | 82 | Laccase. |
| 75S4h 11-1 | down | 124 | DNA topoisomerase III. |
| 75S1h 14 | down | 213 | Potassium-transporting ATPase C chain. |
| 75S4h 15-1 | down | 87 | Phosphoglucosamine mutase. |
| 75S4h 18-1 | down | 232/228 | Long-chain fatty acid--CoA synthetase. |
| 150S1h 15-2 | down | 70 | Exodeoxyribonuclease VII, small subunit. |
| 150S4h 1 | down | 60 | Na(+) H(+) antiporter subunit A/monovalent cation/H+ antiporter subunit A. |
| 150S4h 4-1 | down | 130 | Quinol oxidase polypeptide II, integral component of membrane. |
| 150S4h 5 | down | 166 | Translation initiation factor 2. |
| 150S4h 6 | up | 115 | O-Antigen ligase family protein or intergenic sequences: both are hypothetical proteins. |
| 150S4h 5/19 | down | 80/105 | Thiamine-phosphate pyrophosphorylase. |
| 150S4h 9 | down | 84 | Zn-dependent hydrolase. |
| 150S4h 9-1 | down | 98 | Na(+) H(+) antiporter subunit D/monovalent cation/H antiporter, subunit D. |
| 150S4h 9-2 | down | 54 | Excinuclease ABC subunit B or bacitracin ABC transporter permease. |
| 37S1h 15-1 | up | 60 | Intergenic sequence: one is glucosamine-1-phosphate acetyltransferase, the other is stage V sporulation protein G. |
| 150S4h 9-3 | up | 50 | Intergenic sequence: one is veg protein; the other is 4-diphosphocytidyl-2C-methyl-D-erythritol kinase. |
| 37S4h 20-2 | up | 136 | Hypothetical protein 1 (366 bp, 121 aa). |
| 75S1h 5-2 | down | 80 | Hypothetical protein 2 (396 bp, 131 aa). |
| Name | Main Functions | Positions | Abbreviations |
|---|---|---|---|
| Transporter | |||
| Na(+) H(+) antiporter subunit A | involved in ATP synthesis-coupled electron transfer | integral component of membrane | mnhA |
| Na(+) H(+) antiporter subunit D | involved in ATP synthesis-coupled electron transfer | integral component of membrane | mnhD |
| quinol oxidase polypeptide II | ATP synthesis-coupled electron transport chain, transport; respiratory chain oxidoreductase activity | integral component of membrane/plasma membrane | qoxA |
| gamma-aminobutyrate permease | amino acid transmembrane transport | integral component of membrane | lysP |
| gluconate transporter | gluconate transmembrane transport | integral component of membrane | gntP |
| MFS transporter | transmembrane transport | integral component of membrane | MFS |
| bacitracin ABC transporter permease | transport | integral component of membrane | bcrB |
| potassium-transporting ATPase C chain | potassium transport | integral component of membrane/plasma membrane | kdpB |
| membrane protein | transport | integral component of membrane | MP |
| heme ABC transporter permease | transmembrane transport | integral component of membrane/plasma membrane | isdF |
| DNA Repair, Transcription, and Translation | |||
| exodeoxyribonuclease VII, small subunit | exonucleolytic cleavage, DNA repair | in cytoplasm | xseB |
| excinuclease ABC subunit B | DNA repair, nucleotide excision repair, SOS response | in cytoplasm | uvrB |
| DNA mismatch repair protein MutL | components of mismatch repair complex, repair of mismatches in DNA | in cytoplasm | MutL |
| RNA polymerase sigma factor RpoD | transcription initiation from bacterial-type RNA polymerase promoter | in cytoplasm | rpoD |
| 23S ribosomal RNA | protein synthesis | in cytoplasm | 23srRNA |
| DNA topoisomerase III | releases the supercoiling and torsional tension of DNA during the DNA replication and transcription | in chromosomes | topB |
| AraC family transcriptional regulator | transcriptional regulator | in cytoplasm | araC |
| translation initiation factor 2 | the initiation of protein synthesis | in cytoplasm | infB |
| translation initiation factor 3 | the initiation of protein synthesis | in cytoplasm | infC |
| replication-associated protein | replication-associated | in cytoplasm | rep |
| Zn-dependent hydrolase | RNA processing; RNA phosphodiester bond hydrolysis | unknown, possibly in cytoplasm | zdh |
| Metabolism | |||
| protein disaggregation chaperone/ATP-dependent chaperone protein ClpB | nucleoside triphosphatase activity disaggregates misfolded and aggregated proteins; cell recovery from heat-induced damage. | in cytoplasm | clpB |
| long-chain fatty acid--CoA synthetase | involved in fatty acid and lipid metabolism, phospholipid biosynthetic process | inner membrane | fadD |
| 3-hydroxy- 3-methylglutaryl-CoA reductase | rate-controlling enzyme of the mevalonate pathway, non-sterol isoprenoids biosynthetic process | integral component of membrane | hmgA |
| phosphoglucosamine mutase | carbohydrate metabolic process, participates in both the breakdown and synthesis of glucose | unknown, possibly in cytoplasm | glmM |
| 6-phospho-beta-galactosidase | carbohydrate metabolism, lactose degradation | unknown, possibly in cytoplasm | lacG |
| molybdenum cofactor biosynthesis protein A | involved in the pathway of molybdopterin biosynthesis, redox action | molybdopterin synthase complex, possibly in cytoplasm | moaA |
| Laccase | formation or degradation of lignin | unknown, possibly in cytoplasm | laccase |
| thiamine-phosphate pyrophosphorylase | participates in thiamine metabolism, | unknown, possibly in cytoplasm | thiE |
| thiamine diphosphate biosynthesis | |||
| O-Antigen ligase family protein | ligase activity, biogenesis of the outer membrane | integral component of membrane | oal |
| formate-tetrahydrofolate ligase | participating in the transfer of one-carbon units, an essential element of various biosynthetic pathways | in cytoplasm | fhs |
| Protein beside Intergenic Sequences | |||
| glucosamine-1-phosphate acetyltransferase | plays an important role in maintenance of cell shape, involved in lipopolysaccharide and peptidoglycan biosynthetic processes | in cytoplasm | glmU |
| stage V sporulation protein G | participation in the barrier formation of spores | unknown | spoG |
| 4-diphosphocytidyl-2C-methyl-D-erythritol kinase | terpenoid biosynthetic process | unknown | ipk |
| isopentenyl diphosphate biosynthetic process | |||
| Veg protein | biofilm formation | unknown | Veg |
| hypothetical protein 3 (378 bp, 215 aa) | unknown | unknown | hp3 |
© 2020 by the authors. Licensee MDPI, Basel, Switzerland. This article is an open access article distributed under the terms and conditions of the Creative Commons Attribution (CC BY) license (http://creativecommons.org/licenses/by/4.0/).
Share and Cite
Zhang, K.; Zhang, H.; Gao, C.; Chen, R.; Li, C. Antimicrobial Mechanism of pBD2 against Staphylococcus aureus. Molecules 2020, 25, 3513. https://doi.org/10.3390/molecules25153513
Zhang K, Zhang H, Gao C, Chen R, Li C. Antimicrobial Mechanism of pBD2 against Staphylococcus aureus. Molecules. 2020; 25(15):3513. https://doi.org/10.3390/molecules25153513
Chicago/Turabian StyleZhang, Kun, Heng Zhang, Chunyu Gao, Ruibo Chen, and Chunli Li. 2020. "Antimicrobial Mechanism of pBD2 against Staphylococcus aureus" Molecules 25, no. 15: 3513. https://doi.org/10.3390/molecules25153513
APA StyleZhang, K., Zhang, H., Gao, C., Chen, R., & Li, C. (2020). Antimicrobial Mechanism of pBD2 against Staphylococcus aureus. Molecules, 25(15), 3513. https://doi.org/10.3390/molecules25153513

