A Novel Substance P-Based Hydrogel for Increased Wound Healing Efficiency
Abstract
1. Introduction
2. Results
2.1. Optimization of the SP Gel Formulation
2.2. Analysis of SP Gel Stability at Various Temperatures
2.3. Potential of SP Gel as a Candidate Wound-Healing Agent In Vitro
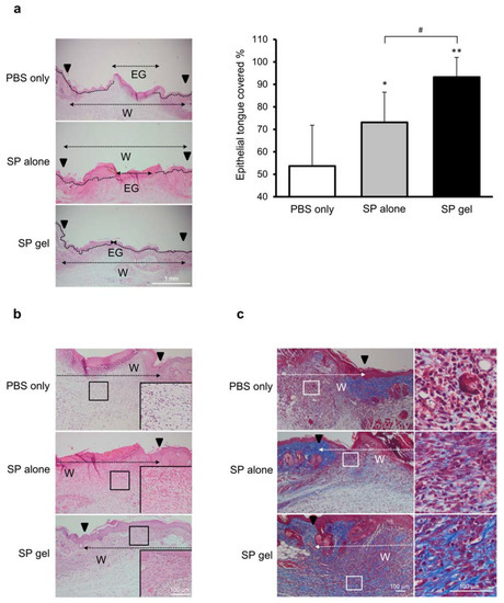
2.4. Efficacy of SP Gel for Wound Healing In Vivo
3. Discussion
4. Conclusions
5. Materials and Methods
5.1. Materials
5.2. Preparation of SP Gel
5.3. Analysis of SP Stability in Gel
5.4. Isolation and Culture of HEKs and HDFs
5.5. Cell Proliferation Assay
5.6. Cell Migration Assay
5.7. In Vivo Wound Healing Assay
5.8. Statistical Analysis
Supplementary Materials
Author Contributions
Funding
Acknowledgments
Conflicts of Interest
References
- Norris, S.O.; Provo, B.; Stotts, N.A. Physiology of wound healing and risk factors that impede the healing process. AACN Clin. Issues Crit. Care Nurs. 1990, 1, 545–552. [Google Scholar] [CrossRef] [PubMed]
- Singer, A.J.; Clark, R.A. Cutaneous wound healing. N. Engl. J. Med. 1999, 341, 738–746. [Google Scholar] [CrossRef] [PubMed]
- Park, S.A.; Raghunathan, V.K.; Shah, N.M.; Teixeira, L.; Motta, M.J.; Covert, J.; Dubielzig, R.; Schurr, M.; Isseroff, R.R.; Abbott, N.L.; et al. PDGF-BB does not accelerate healing in diabetic mice with splinted skin wounds. PLoS ONE 2014, 9, e104447. [Google Scholar] [CrossRef] [PubMed]
- Gurtner, G.C.; Werner, S.; Barrandon, Y.; Longaker, M.T. Wound repair and regeneration. Nature 2008, 453, 314–321. [Google Scholar] [CrossRef] [PubMed]
- Dreifke, M.B.; Jayasuriya, A.A.; Jayasuriya, A.C. Current wound healing procedures and potential care. Mater. Sci. Eng. C Mater. Boil. Appl. 2015, 48, 651–662. [Google Scholar] [CrossRef] [PubMed]
- Park, J.H.; Kim, S.; Hong, H.S.; Son, Y. Substance P promotes diabetic wound healing by modulating inflammation and restoring cellular activity of mesenchymal stem cells. Wound Repair Regen. 2016, 24, 337–348. [Google Scholar] [CrossRef] [PubMed]
- Kant, V.; Kumar, D.; Prasad, R.; Gopal, A.; Pathak, N.N.; Kumar, P.; Tandan, S.K. Topical application of substance P promotes wound healing in streptozotocin-induced diabetic rats. Cytokine 2015, 73, 144–155. [Google Scholar] [CrossRef] [PubMed]
- Kant, V.; Gopal, A.; Kumar, D.; Bag, S.; Kurade, N.P.; Kumar, A.; Tandan, S.K.; Kumar, D. Topically applied substance P enhanced healing of open excision wound in rats. Eur. J. Pharmacol. 2013, 715, 345–353. [Google Scholar] [CrossRef] [PubMed]
- Dunnick, C.A.; Gibran, N.S.; Heimbach, D.M. Substance P has a role in neurogenic mediation of human burn wound healing. J. Burn Care Rehabil. 1996, 17, 390–396. [Google Scholar] [CrossRef] [PubMed]
- Benrath, J.; Zimmermann, M.; Gillardon, F. Substance P and nitric oxide mediate would healing of ultraviolet photodamaged rat skin: Evidence for an effect of nitric oxide on keratinocyte proliferation. Neurosci. Lett. 1995, 200, 17–20. [Google Scholar] [CrossRef]
- Burssens, P.; Steyaert, A.; Forsyth, R.; van Ovost, E.J.; Depaepe, Y.; Verdonk, R. Exogenously administered substance P and neutral endopeptidase inhibitors stimulate fibroblast proliferation, angiogenesis and collagen organization during Achilles tendon healing. Foot Ankle Int. 2005, 26, 832–839. [Google Scholar] [CrossRef] [PubMed]
- Muangman, P.; Muffley, L.A.; Anthony, J.P.; Spenny, M.L.; Underwood, R.A.; Olerud, J.E.; Gibran, N.S. Nerve growth factor accelerates wound healing in diabetic mice. Wound Repair Regen. 2004, 12, 44–52. [Google Scholar] [CrossRef] [PubMed]
- Vishwanath, R.; Mukherjee, R. Substance P promotes lymphocyte-endothelial cell adhesion preferentially via LFA-1/ICAM-1 interactions. J. Neuroimmunol. 1996, 71, 163–171. [Google Scholar] [CrossRef]
- Pradhan, L.; Nabzdyk, C.; Andersen, N.D.; LoGerfo, F.W.; Veves, A. Inflammation and neuropeptides: The connection in diabetic wound healing. Expert Rev. Mol. Med. 2009, 11, e2. [Google Scholar] [CrossRef] [PubMed]
- Theoharides, T.C.; Zhang, B.; Kempuraj, D.; Tagen, M.; Vasiadi, M.; Angelidou, A.; Alysandratos, K.D.; Kalogeromitros, D.; Asadi, S.; Stavrianeas, N.; et al. IL-33 augments substance P-induced VEGF secretion from human mast cells and is increased in psoriatic skin. Proc. Natl. Acad. Sci. USA 2010, 107, 4448–4453. [Google Scholar] [CrossRef] [PubMed]
- Diekmann, O.; Tschesche, H. Degradation of kinins, angiotensins and substance P by polymorphonuclear matrix metalloproteinases MMP 8 and MMP 9. Braz. J. Med. Boil. Res. 1994, 27, 1865–1876. [Google Scholar]
- Pernow, B. Inactivation of substance P by proteolytic enzymes. Acta Physiol. Scand. 1955, 34, 295–302. [Google Scholar] [CrossRef] [PubMed]
- Castro-Acosta, R.M.; Rodriguez-Limas, W.A.; Valderrama, B.; Ramirez, O.T.; Palomares, L.A. Effect of metal catalyzed oxidation in recombinant viral protein assemblies. Microb. Cell Fact. 2014, 13, 25. [Google Scholar] [CrossRef] [PubMed]
- Wasylaschuk, W.R.; Harmon, P.A.; Wagner, G.; Harman, A.B.; Templeton, A.C.; Xu, H.; Reed, R.A. Evaluation of hydroperoxides in common pharmaceutical excipients. J. Pharm. Sci. 2007, 96, 106–116. [Google Scholar] [CrossRef] [PubMed]
- Floor, E.; Leeman, S.E. Substance P sulfoxide: Separation from substance P by high-pressure liquid chromatography, biological and immunological activities, and chemical reduction. Anal. Biochem. 1980, 101, 498–503. [Google Scholar] [CrossRef]
- Varma, R.K.; Kaushal, R.; Junnarkar, A.Y.; Thomas, G.P.; Naidu, M.U.; Singh, P.P.; Tripathi, R.M.; Shridhar, D.R. Polysorbate 80: A pharmacological study. Arzneimittel-Forschung 1985, 35, 804–808. [Google Scholar] [PubMed]
- Li, L.; Ben, Y.; Yuan, S.; Jiang, S.; Xu, J.; Zhang, X. Efficacy, stability, and biosafety of sifuvirtide gel as a microbicide candidate against HIV-1. PLoS ONE 2012, 7, e37381. [Google Scholar] [CrossRef] [PubMed]
- Glavas-Obrovac, L.; Jakas, A.; Marczi, S.; Horvat, S. The influence of cell growth media on the stability and antitumour activity of methionine enkephalin. J. Pept. Sci. 2005, 11, 506–511. [Google Scholar] [CrossRef] [PubMed]
- McGregor, D.P. Discovering and improving novel peptide therapeutics. Curr. Opin. Pharmacol. 2008, 8, 616–619. [Google Scholar] [CrossRef] [PubMed]
- Lam, X.M.; Yang, J.Y.; Cleland, J.L. Antioxidants for prevention of methionine oxidation in recombinant monoclonal antibody HER2. J. Pharm. Sci. 1997, 86, 1250–1255. [Google Scholar] [CrossRef] [PubMed]
- Howell, S.M.; Fiacco, S.V.; Takahashi, T.T.; Jalali-Yazdi, F.; Millward, S.W.; Hu, B.; Wang, P.; Roberts, R.W. Serum stable natural peptides designed by mRNA display. Sci. Rep. 2014, 4, 6008. [Google Scholar] [CrossRef] [PubMed]
- Mathur, D.; Prakash, S.; Anand, P.; Kaur, H.; Agrawal, P.; Mehta, A.; Kumar, R.; Singh, S.; Raghava, G.P.S. PEPlife: A repository of the half-life of peptides. Sci. Rep. 2016, 6, 36617. [Google Scholar] [CrossRef] [PubMed]
- Tugyi, R.; Uray, K.; Ivan, D.; Fellinger, E.; Perkins, A.; Hudecz, F. Partial d-amino acid substitution: Improved enzymatic stability and preserved Ab recognition of a MUC2 epitope peptide. Proc. Natl. Acad. Sci. USA 2005, 102, 413–418. [Google Scholar] [CrossRef] [PubMed]
- Hamamoto, K.; Kida, Y.; Zhang, Y.; Shimizu, T.; Kuwano, K. Antimicrobial activity and stability to proteolysis of small linear cationic peptides with d-amino acid substitutions. Microbiol. Immunol. 2002, 46, 741–749. [Google Scholar] [CrossRef] [PubMed]
- Linde, Y.; Ovadia, O.; Safrai, E.; Xiang, Z.; Portillo, F.P.; Shalev, D.E.; Haskell-Luevano, C.; Hoffman, A.; Gilon, C. Structure-activity relationship and metabolic stability studies of backbone cyclization and N-methylation of melanocortin peptides. Biopolymers 2008, 90, 671–682. [Google Scholar] [CrossRef] [PubMed]
- Kerwin, B.A. Polysorbates 20 and 80 used in the formulation of protein biotherapeutics: Structure and degradation pathways. J. Pharm. Sci. 2008, 97, 2924–2935. [Google Scholar] [CrossRef] [PubMed]
- Agarkhed, M.; O’Dell, C.; Hsieh, M.C.; Zhang, J.; Goldstein, J.; Srivastava, A. Effect of polysorbate 80 concentration on thermal and photostability of a monoclonal antibody. AAPS PharmSciTech 2013, 14, 1–9. [Google Scholar] [CrossRef] [PubMed]
- Lee, H.J.; McAuley, A.; Schilke, K.F.; McGuire, J. Molecular origins of surfactant-mediated stabilization of protein drugs. Adv. Drug Deliv. Rev. 2011, 63, 1160–1171. [Google Scholar] [CrossRef] [PubMed]
- Al-Hussein, A.; Gieseler, H. Investigation of the stabilizing effects of hydroxyethyl cellulose on LDH during freeze drying and freeze thawing cycles. Pharm. Dev. Technol. 2015, 20, 50–59. [Google Scholar] [CrossRef] [PubMed]
- Wang, X.; Ge, J.; Tredget, E.E.; Wu, Y. The mouse excisional wound splinting model, including applications for stem cell transplantation. Nat. Protoc. 2013, 8, 302–309. [Google Scholar] [CrossRef] [PubMed]
- Wu, Y.; Chen, L.; Scott, P.G.; Tredget, E.E. Mesenchymal stem cells enhance wound healing through differentiation and angiogenesis. Stem Cells 2007, 25, 2648–2659. [Google Scholar] [CrossRef] [PubMed]
- Rawlings, N.D.; Barrett, A.J.; Bateman, A. MEROPS: The peptidase database. Nucleic Acids Res. 2010, 38, D227–D233. [Google Scholar] [CrossRef] [PubMed]
- Veazey, R.S.; Ketas, T.J.; Dufour, J.; Moroney-Rasmussen, T.; Green, L.C.; Klasse, P.J.; Moore, J.P. Protection of rhesus macaques from vaginal infection by vaginally delivered maraviroc, an inhibitor of HIV-1 entry via the CCR5 co-receptor. J. Infect. Dis. 2010, 202, 739–744. [Google Scholar] [CrossRef] [PubMed]
- Kim, D.J.; Lee, Y.W.; Park, M.K.; Shin, J.R.; Lim, K.J.; Cho, J.H.; Kim, S.C. Efficacy of the designer antimicrobial peptide SHAP1 in wound healing and wound infection. Amino Acids 2014, 46, 2333–2343. [Google Scholar] [CrossRef] [PubMed]
- Shen, Y.I.; Cho, H.; Papa, A.E.; Burke, J.A.; Chan, X.Y.; Duh, E.J.; Gerecht, S. Engineered human vascularized constructs accelerate diabetic wound healing. Biomaterials 2016, 102, 107–119. [Google Scholar] [CrossRef] [PubMed]
Sample Availability: not available. |







| Component | Amount | Expected Function |
|---|---|---|
| Sodium thiosulfate | 0.1% | SP stability |
| Polysorbate 80 | 0.006% | |
| HEC | 1.5% | Viscosity |
| SP | Indicated amount | Wound healing |
© 2018 by the authors. Licensee MDPI, Basel, Switzerland. This article is an open access article distributed under the terms and conditions of the Creative Commons Attribution (CC BY) license (http://creativecommons.org/licenses/by/4.0/).
Share and Cite
Kim, D.J.; Jang, J.H.; Jang, S.S.; Lee, J. A Novel Substance P-Based Hydrogel for Increased Wound Healing Efficiency. Molecules 2018, 23, 2215. https://doi.org/10.3390/molecules23092215
Kim DJ, Jang JH, Jang SS, Lee J. A Novel Substance P-Based Hydrogel for Increased Wound Healing Efficiency. Molecules. 2018; 23(9):2215. https://doi.org/10.3390/molecules23092215
Chicago/Turabian StyleKim, Da Jung, Ji Hae Jang, Song Sun Jang, and Jungsun Lee. 2018. "A Novel Substance P-Based Hydrogel for Increased Wound Healing Efficiency" Molecules 23, no. 9: 2215. https://doi.org/10.3390/molecules23092215
APA StyleKim, D. J., Jang, J. H., Jang, S. S., & Lee, J. (2018). A Novel Substance P-Based Hydrogel for Increased Wound Healing Efficiency. Molecules, 23(9), 2215. https://doi.org/10.3390/molecules23092215
