In Vivo Effects of Quercetin in Association with Moderate Exercise Training in Improving Streptozotocin-Induced Aortic Tissue Injuries
Abstract
:1. Introduction
2. Results
2.1. Blood Glucose and Animal Body Weights in the Experimental Groups
| Parameters | CS | CE | CSQ | CEQ | DS | DE | DSQ | DEQ |
|---|---|---|---|---|---|---|---|---|
| Initial FBG (mg/dL) | 70.0 ± 7.4 | 68.5 ± 4.9 | 69.0 ± 7.7 | 67.6 ± 4.9 | 532.4 ± 65.9 aaa | 547.1 ± 71.3 aaa | 568.1 ± 48.7 aaa | 560.4 ± 57.4 aaa |
| Final FBG (mg/dL) | 77.6 ± 6.1 | 78.6 ± 5.9 | 72.6 ± 4.8 | 71.6 ± 4.6 | 546.5 ± 26.0 aaa | 447.0 ± 36.1 b | 386.2 ± 72.7 bbb | 302.4 ± 27.9 bbb |
| Initial body weight (g) | 237.3 ± 18.6 | 239.3 ± 16.5 | 237.4 ± 15.9 | 233.6 ± 18.7 | 251.4 ± 18.7 | 238.1 ± 21.3 | 237.4 ± 15.9 | 236.6 ± 16.1 |
| Final body weight (g) | 242.1 ± 18.5 | 233.2 ± 18.4 | 243.4 ± 13.9 | 234.7 ± 19.0 | 216.3 ± 8.9 a | 227.2 ± 12.4 | 232.4 ± 15.7 | 234.6 ± 15.8 |
| Total-Chol (mg/dL) | 78.1 ± 6.1 | 73.2 ± 4.3 | 75.3 ± 5.2 | 73.1 ± 4.1 | 203.3 ± 14.1 aaa | 157.9 ± 5.6 bbb | 135.9 ± 27.4 bbb | 122.4 ± 22.5 bbb |
| TG (mg/dL) | 86.1 ± 5.4 | 83.1 ± 5.6 | 81.2 ± 11.7 | 79.6 ± 16.0 | 199.2 ± 13.9 aaa | 132.1 ± 12.5 bbb | 123.3 ± 18.2 bbb | 109.7 ± 11.7 bbb |
2.2. Plasma Total Cholesterol and Triglyceride Levels in Experimental Groups
2.3. Vascular Oxidative Stress in Experimental Groups




2.4. Changes in Aortic Tissue Nitrite Levels and iNOS Production in Experimental Groups


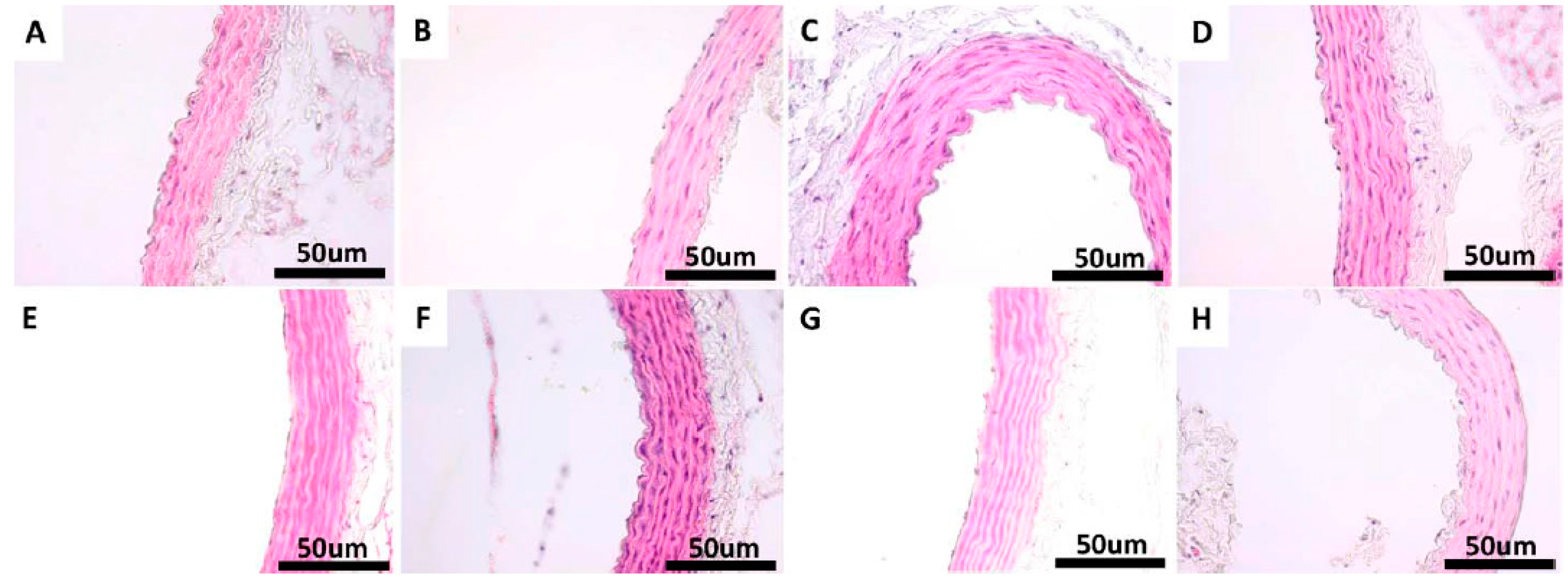
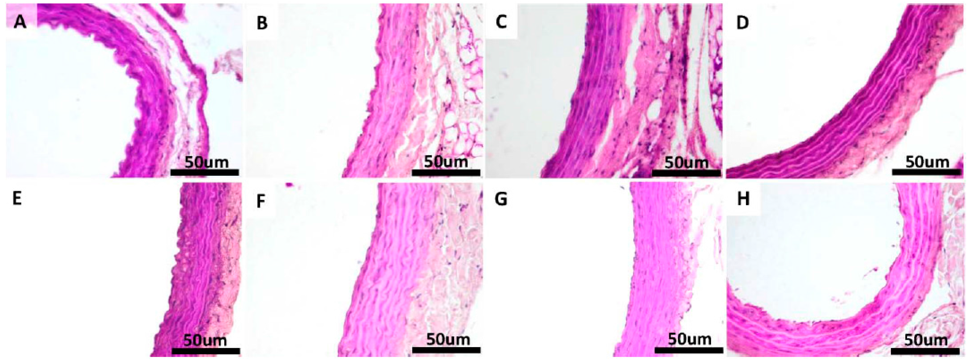
2.5. Histopathological Findings in the Thoracic Aorta



2.6. Morphological Findings in the Thoracic Aorta
| Rat Group | Thickness of the TM (μm) | Thickness of the Aortic Wall (μm) |
|---|---|---|
| CS | 3.8 ± 0.48 | 51.3 ± 5.42 |
| CE | 4.22 ± 1.71 | 53.69 ± 1.56 |
| CSQ | 4.85 ± 0.73 | 48.17 ± 2.65 |
| CEQ | 4.91 ± 0.67 | 51.06 ± 2.23 |
| DS | 4.73 ± 1.49 a | 81.77 ± 4.91 a |
| DE | 4.66 ± 0.95 | 64.15 ± 1.59 b |
| DSQ | 4.28 ± 0.26 | 43.15 ± 2.97 b |
| DEQ | 2.78 ± 0.56 b | 30.91 ± 1.19 b |
3. Discussion
4. Experimental Section
4.1. Drugs and Chemicals
4.2. Animals
4.3. Induction of Experimental Diabetes Mellitus by Streptozotocin
4.4. Moderate Exercise Training Protocol
4.5. Experimental Design
4.6. Sampling and Tissue Processing
4.7. Preparation of Aortic Tissue Homogenates
4.8. Measurement of Biochemical Markers of Oxidative and Nitrosative Stress
4.9. Light Microscopy Studies of the Thoracic Aorta

5. Statistical Analysis
6. Conclusions
Acknowledgments
Author Contributions
Conflicts of Interest
References
- Badalzadeh, R.; Layeghzadeh, N.; Alihemmati, A.; Mohammadi, M. Beneficial effect of troxerutin on diabetes-induced vascular damages in rat aorta: Histopathological alterations and antioxidation mechanism. Int. J. Endocrinol. Metab. 2015, 13, e25969. [Google Scholar] [CrossRef] [PubMed]
- Avogaro, A.; Albiero, M.; Menegazzo, L.; de Kreutzenberg, S.; Fadini, G.P. Endothelial dysfunction in diabetes: The role of reparatory mechanisms. Diabetes Care 2011, 34, S285–S290. [Google Scholar] [CrossRef] [PubMed]
- Paneni, F.; Beckman, J.A.; Creager, M.A.; Cosentino, F. Diabetes and vascular disease: Pathophysiology, clinical consequences, and medical therapy: Part I. Eur. Heart J. 2013, 34, 2436–2443. [Google Scholar] [CrossRef] [PubMed]
- Sena, C.M.; Pereira, A.M.; Seica, R. Endothelial dysfunction—A major mediator of diabetic vascular disease. Biochim. Biophys. Acta 2013, 1832, 2216–2231. [Google Scholar] [CrossRef] [PubMed]
- Fowler, M.J. Microvascular and Macrovascular Complications of Diabetes. Clin. Diabetes 2008, 26, 77–82. [Google Scholar] [CrossRef]
- Sundaram, B.; Singhal, K.; Sandhir, R. Anti-atherogenic effect of chromium picolinate in streptozotocin-induced experimental diabetes. J. Diabetes 2013, 5, 43–50. [Google Scholar] [CrossRef] [PubMed]
- Tiwari, B.K.; Pandey, K.B.; Abidi, A.B.; Rizvi, S.I. Markers of Oxidative Stress during Diabetes Mellitus. J. Biomark. 2013, 2013, 3789790. [Google Scholar] [CrossRef] [PubMed]
- Fiorentino, T.V.; Prioletta, A.; Zuo, P.; Folli, F. Hyperglycemia-induced oxidative stress and its role in diabetes mellitus related cardiovascular diseases. Curr. Pharm. Des. 2013, 19, 5695–5703. [Google Scholar] [CrossRef] [PubMed]
- Giacco, F.; Brownlee, M. Oxidative stress and diabetic complications. Circ. Res. 2010, 107, 1058–1070. [Google Scholar] [CrossRef] [PubMed]
- Hadi, H.A.; Suwaidi, J.A. Endothelial dysfunction in diabetes mellitus. Vasc. Health Risk Manag. 2007, 3, 853–876. [Google Scholar] [PubMed]
- Sena, C.M.; Matafome, P.; Louro, T.; Nunes, E.; Fernandes, R.; Seiça, R.M. Metformin restores endothelial function in aorta of diabetic rats. Br. J. Pharmacol. 2011, 163, 424–437. [Google Scholar] [CrossRef] [PubMed]
- Moussa, S.A. Oxidative stress in diabetes mellitus. Romanian J. Biophys. 2008, 18, 225–236. [Google Scholar]
- Mrowicka, M. The role of disorders of the prooxidant-antioxidant system in diabetes etiopathology. Postep. Hig. Med. Doświadczalnej 2011, 65, 534–541. [Google Scholar] [CrossRef]
- Szabo, C. Role of nitrosative stress in the pathogenesis of diabetic vascular dysfunction. Br. J. Pharmacol. 2009, 156, 713–727. [Google Scholar] [CrossRef] [PubMed]
- Cignarella, A.; Bolego, C.; Pelosi, V.; Meda, C.; Krust, A.; Pinna, C.; Gaion, R.M.; Vegeto, E.; Maggi, A. Distinct roles of estrogen receptor-alpha and beta in the modulation of vascular inducible nitric-oxide synthase in diabetes. J. Pharmacol. Exp. Ther. 2009, 328, 174–182. [Google Scholar] [CrossRef] [PubMed]
- Boots, A.W.; Haenen, G.R.; Bast, A. Health effects of quercetin: From antioxidant to nutraceutical. Eur. J. Pharmacol. 2008, 585, 325–337. [Google Scholar] [CrossRef] [PubMed]
- Pashevin, D.A.; Tumanovska, L.V.; Dosenko, V.E.; Nagibin, V.S.; Gurianova, V.L.; Moibenko, A.A. Antiatherogenic effect of quercetin is mediated by proteasome inhibition in the aorta and circulating leukocytes. Pharmacol. Rep. 2011, 63, 1009–1018. [Google Scholar] [CrossRef]
- Larson, A.J.; Symons, J.D.; Jalili, T. Therapeutic potential of quercetin to decrease blood pressure: Review of efficacy and mechanisms. Adv. Nutr. 2012, 3, 39–46. [Google Scholar] [CrossRef] [PubMed]
- Jeong, S.M.; Kang, M.J.; Choi, H.N.; Kim, J.H.; Kim, J.I. Quercetin ameliorates hyperglycemia and dyslipidemia and improves antioxidant status in type 2 diabetic db/db mice. Nutr. Res. Pract. 2012, 6, 201–207. [Google Scholar] [CrossRef] [PubMed]
- Kim, J.H.; Kang, M.J.; Choi, H.N.; Jeong, S.M.; Lee, Y.M.; Kim, J.I. Quercetin attenuates fasting and postprandial hyperglycemia in animal models of diabetes mellitus. Nutr. Res. Pract. 2011, 5, 107–111. [Google Scholar] [CrossRef] [PubMed]
- Teixeira de Lemos, E.; Pinto, R.; Oliveira, J.; Garrido, P.; Sereno, J.; Mascarenhas-Melo, F.; Pascoa-Pinheiro, J.; Teixeira, F.; Reis, F. Differential Effects of Acute (Extenuating) and Chronic (Training) Exercise on Inflammation and Oxidative Stress Status in an Animal Model of Type 2 Diabetes Mellitus. Mediat. Inflamm. 2011, 2011. [Google Scholar] [CrossRef] [PubMed]
- Zhang, H.; Zhang, C. Vasoprotection by dietary supplements and exercise: Role of TNFα signaling. Exp. Diabetes Res. 2012, 2012. [Google Scholar] [CrossRef] [PubMed]
- Lee, S.; Park, Y.; Dellsperger, K.C.; Zhang, C. Exercise training improves endothelial function via adiponectin-dependent and independent pathways in type 2 diabetic mice. Am. J. Physiol. Heart Circ. Physiol. 2011, 301, 306–314. [Google Scholar] [CrossRef] [PubMed]
- Coskun, O.; Ocakci, A.; Bayraktaroglu, T.; Kanter, M. Exercise training prevents and protects streptozotocin-induced oxidative stress and beta-cell damage in rat pancreas. Tohoku J. Exp. Med. 2004, 203, 145–154. [Google Scholar] [CrossRef] [PubMed]
- Rakieten, N.; Rakieten, M.L.; Nadkarni, M.R. Studies on the diabetogenic action of streptozotocin (NSC-37917). Cancer Chemother. Rep. 1963, 29, 91–98. [Google Scholar] [PubMed]
- Chang, K.S.; Stevens, W.C. Endothelium-dependent increase in vascular sensitivity to phenylephrine in long-term streptozotocin diabetic rat aorta. Br. J. Pharmacol. 1992, 107, 983–990. [Google Scholar] [CrossRef] [PubMed]
- Szkudelski, T. The mechanism of alloxan and streptozotocin action of β-cells of the rat pancreas. Physiol. Res. 2001, 50, 537–546. [Google Scholar] [PubMed]
- Oelze, M.; Knorr, M.; Schuhmacher, S.; Heeren, T.; Otto, C.; Schulz, E.; Reifenberg, K.; Wenzel, P.; Münzel, T.; Daiber, A. Vascular dysfunction in streptozotocin-induced experimental diabetes strictly depends on insulin deficiency. J. Vasc. Res. 2011, 48, 275–284. [Google Scholar] [CrossRef] [PubMed]
- Searls, Y.; Smirnova, I.V.; Vanhoose, L.; Fegley, B.; Loganathan, R.; Stehno-Bittel, L. Time-dependent alterations in rat macrovessels with type 1 diabetes. Exp. Diabetes Res. 2012, 2012, 278620. [Google Scholar] [CrossRef] [PubMed]
- Alam, M.M.; Meerza, D.; Naseem, I. Protective effect of quercetin on hyperglycemia, oxidative stress and DNA damage in alloxan induced type 2 diabetic mice. Life Sci. 2014, 109, 8–14. [Google Scholar] [CrossRef] [PubMed]
- Arya, A.; Jamil Al-Obaidi, M.M.; Shahid, N.; Bin Noordin, M.I.; Looi, C.Y.; Wongd, W.F.; Khaing, S.L.; Mustafa, M.R. Synergistic effect of quercetin and quinic acid by alleviating structural degeneration in the liver, kidney and pancreas tissues of STZ-induced diabetic rats: A mechanistic study. Food Chem. Toxicol. 2014, 71, 183–196. [Google Scholar] [CrossRef] [PubMed]
- Kanter, M.; Aktas, C.; Erboga, M. Protective effects of quercetin against apoptosis and oxidative stress in streptozotocin-induced diabetic rat testis. Food Chem. Toxicol. 2012, 50, 719–725. [Google Scholar] [CrossRef] [PubMed]
- Arshadi, S.; Bakhtiyari, S.; Haghani, K.; Valizadeh, A. Effects of Fenugreek Seed Extract and Swimming Endurance Training on Plasma Glucose and Cardiac Antioxidant Enzymes Activity in Streptozotocin-induced Diabetic Rats. Osong. Public Health Res. Perspect. 2015, 6, 87–93. [Google Scholar] [CrossRef] [PubMed]
- Gomes, R.J.; de Mello, M.A.; Caetano, F.H.; Sibuya, C.Y.; Anaruma, C.A.; Rogatto, G.P.; Pauli, J.R.; Luciano, E. Effects of swimming training on bone mass and the GH/IGF-1 axis in diabetic rats. Growth Horm. IGF Res. 2006, 16, 326–331. [Google Scholar] [CrossRef] [PubMed]
- Rocha, R.E.; Coelho, I.; Pequito, D.C.; Yamagushi, A.; Borghetti, G.; Yamazaki, R.K.; Brito, G.A.; Machado, J.; Kryczyk, M.; Nunes, E.A.; et al. Interval training attenuates the metabolic disturbances in type 1 diabetes rat model. Arq. Bras. Endocrinol. Metab. 2013, 57, 594–602. [Google Scholar] [CrossRef]
- Jo, H.Y.; Kim, Y.; Nam, S.Y.; Lee, B.J.; Kim, Y.B.; Yun, Y.W.; Ahn, B. The inhibitory effect of quercitrin gallate on iNOS expression induced by lipopolysaccharide in Balb/c mice. J. Vet. Sci. 2008, 9, 267–272. [Google Scholar] [CrossRef] [PubMed]
- Ortega, M.G.; Saragusti, A.C.; Cabrera, J.L.; Chiabrando, G.A. Quercetin tetraacetyl derivative inhibits LPS-induced nitric oxide synthase (iNOS) expression in J774A.1 cells. Arch. Biochem. Biophys. 2010, 498, 105–110. [Google Scholar] [CrossRef] [PubMed]
- Annapurna, A.; Reddy, C.S.; Akondi, R.B.; Rao, S.R. Cardioprotective actions of two bioflavonoids, quercetin and rutin, in experimental myocardial infarction in both normal and streptozotocin-induced type I diabetic rats. J. Pharm. Pharmacol. 2009, 61, 1365–1374. [Google Scholar] [CrossRef] [PubMed]
- Ajay, M.; Achike, F.I.; Mustafa, A.M.; Mustafa, M.R. Effect of quercetin on altered vascular reactivity in aortas isolated from streptozotocin-induced diabetic rats. Diabetes Res. Clin. Pract. 2006, 73, 1–7. [Google Scholar] [CrossRef] [PubMed]
- Kobayashi, T.; Kamata, K. Effect of insulin treatment on smooth muscle contractility and endothelium-dependent relaxation in rat aortae from established STZ-induced diabetes. Br. J. Pharmacol. 1999, 127, 835–842. [Google Scholar] [CrossRef] [PubMed]
- Wing, R.R.; Goldstein, M.G.; Acton, K.J.; Birch, L.L.; Jakicic, J.M.; Sallis, J.F., Jr.; Smith-West, D.; Jeffery, R.W.; Surwit, R.S. Behavioral science research in diabetes: Lifestyle changes related to obesity, eating behavior, and physical activity. Diabetes Care 2001, 24, 117–123. [Google Scholar] [CrossRef] [PubMed]
- Spitaler, M.M.; Graier, W.F. Vascular targets off redox signaling in diabetes mellitus. Diabetologia 2002, 45, 476–494. [Google Scholar] [CrossRef] [PubMed]
- Griendling, K.K.; FitzGerald, G.A. Oxidative stress and cardiovascular injury. I. Basic mechanisms and in vivo monitoring of ROS. Circulation 2003, 108, 1912–1916. [Google Scholar] [CrossRef] [PubMed]
- Stadler, K.; Jenei, V.; von Bolcshazy, G.; Somogyi, A.; Jakus, J. Role of free radicals and reactive nitrogen species in the late complications of diabetes mellitus in rats. Orvosi Hetil. 2004, 145, 1135–1140. [Google Scholar]
- Elbe, H.; Vardi, N.; Orman, D.; Taşlidere, E.; Yildiz, A. Ameliorative effects of aminoguanidine on rat aorta in Streptozotocin-induced diabetes and evaluation of α-SMA expression. Anadolu Kardiyol. Derg. 2014, 14, 679–684. [Google Scholar] [CrossRef] [PubMed]
- Ersoy, M.; Selcuk Duru, H.N.; Elevli, M.; Ersoy, O.; Civilibal, M. Aortic Intima-Media Thickness and Mean Platelet Volume in Children with Type 1 Diabetes Mellitus. Iran. J. Pediatr. 2015, 25, e368. [Google Scholar] [CrossRef] [PubMed]
- Junod, A.; Lambert, A.E.; Stauffacher, W.; Renold, A.E. Diabetogenic action of streptozotocin: Relationship of dose to metabolic response. J. Clin. Investig. 1969, 48, 2129–2139. [Google Scholar] [CrossRef] [PubMed]
- Gajdosík, A.; Gajdosíková, A.; Stefek, M.; Navarová, J.; Hozová, R. Streptozotocin-induced experimental diabetes in male Wistar rats. Gen. Physiol. Biophys. 1999, 18, 54–62. [Google Scholar] [PubMed]
- Chis, I.C.; Ungureanu, M.I.; Marton, A.; Simedrea, R.; Muresan, A.; Postescu, I.D.; Decea, N. Antioxidant effects of a grape seed extract in a rat model of diabetes mellitus. Diabetes Vasc. Dis. Res. 2009, 6, 200–204. [Google Scholar] [CrossRef] [PubMed]
- Al-Numair, K.S. Type II diabetic rats and the hypolipidemic effect of camel milk. J. Food Agric. Environ. 2010, 8, 77–81. [Google Scholar]
- Prabakaran, D.; Ashokkumar, N. Protective effect of esculetin on hyperglycemia-mediated oxidative damage in the hepatic and renal tissues of experimental diabetic rats. Biochimie 2013, 95, 366–373. [Google Scholar] [CrossRef] [PubMed]
- Conti, M.; Morand, P.C.; Levillain, P. Improved fluoromeric determination of malonaldehyde. Clin. Chem. 1991, 37, 1273–1275. [Google Scholar] [PubMed]
- Reznick, A.Z.; Packer, L. Oxidative damage to proteins: Spectrophotometric method for carbonyl assay. Methods Enzymol. 1994, 233, 347–357. [Google Scholar]
- Pippenger, C.E.; Browne, R.W.; Armstrong, D. Regulatory Antioxidant Enzymes. Free Radicals and Antioxidant Protocols. In Methods in Molecular Biology; Amstrog, D., Ed.; Humana Press Inc.: Totowa, NJ, USA, 1998; Volume 108, pp. 299–309. [Google Scholar]
- Titherage, M.A. The Enzymatic Measurement of Nitrate and Nitrite. In Methods in Molecular Biology; Titherage, M.A., Ed.; Humana Press: Totowa, NJ, USA, 1998; Volume 100, pp. 83–91. [Google Scholar]
- Sample Availability: Samples of the compounds are not available from the authors.
© 2015 by the authors. Licensee MDPI, Basel, Switzerland. This article is an open access article distributed under the terms and conditions of the Creative Commons by Attribution (CC-BY) license ( http://creativecommons.org/licenses/by/4.0/).
Share and Cite
Chis, I.C.; Coseriu, A.; Simedrea, R.; Oros, A.; Nagy, A.L.; Clichici, S. In Vivo Effects of Quercetin in Association with Moderate Exercise Training in Improving Streptozotocin-Induced Aortic Tissue Injuries. Molecules 2015, 20, 21770-21786. https://doi.org/10.3390/molecules201219802
Chis IC, Coseriu A, Simedrea R, Oros A, Nagy AL, Clichici S. In Vivo Effects of Quercetin in Association with Moderate Exercise Training in Improving Streptozotocin-Induced Aortic Tissue Injuries. Molecules. 2015; 20(12):21770-21786. https://doi.org/10.3390/molecules201219802
Chicago/Turabian StyleChis, Irina C., Andrei Coseriu, Ramona Simedrea, Adrian Oros, Andras L. Nagy, and Simona Clichici. 2015. "In Vivo Effects of Quercetin in Association with Moderate Exercise Training in Improving Streptozotocin-Induced Aortic Tissue Injuries" Molecules 20, no. 12: 21770-21786. https://doi.org/10.3390/molecules201219802
APA StyleChis, I. C., Coseriu, A., Simedrea, R., Oros, A., Nagy, A. L., & Clichici, S. (2015). In Vivo Effects of Quercetin in Association with Moderate Exercise Training in Improving Streptozotocin-Induced Aortic Tissue Injuries. Molecules, 20(12), 21770-21786. https://doi.org/10.3390/molecules201219802

