Protein-Rich Fraction of Cnidoscolus urens (L.) Arthur Leaves: Enzymatic Characterization and Procoagulant and Fibrinogenolytic Activities
Abstract
:1. Introduction
2. Results and Discussion
2.1. Azocaseinolytic Activity

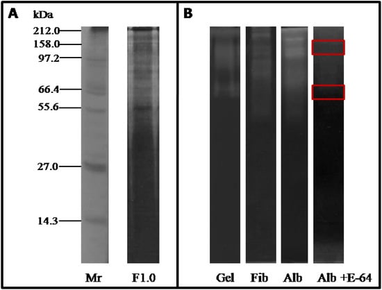
2.2. Eletrophoretic Profile and Zymography

2.3. Fibrinogenolytic Activity

2.4. Fibrinolytic Activity

2.5. Procoagulant Activity

2.6. APTT and PT Tests
2.7. Defibrinogenating Activity
2.8. Hemorrhagic and Hemolytic Activity
2.9. Effect of pH and Temperature on Proteolytic Activity
2.10. Effect of Metal Ions, Detergents and Reducing Agents on Enzymatic Activity

| Metal ion and detergents | Concentration | % Relative activity # |
|---|---|---|
| Ba2+ | 1 mM | 81.8 ± 1.1 *** |
| Ca2+ | 1 mM | 82.4 ± 1.3 *** |
| Co2+ | 1 mM | 12.1 ± 3.6 *** |
| Cu2+ | 1 mM | 2.3 ± 3.0 *** |
| Hg2+ | 1 mM | 1.8 ± 6.0 *** |
| Ni2+ | 1 mM | 5.1 ± 2.3 *** |
| Mg2+ | 1 mM | 88.6 ± 3.6 ** |
| Mn2+ | 1 mM | 56.1 ± 1.1 *** |
| Zn2+ | 1 mM | 15.5 ± 3.9 *** |
| Tween 20 | 1% | 92.5 ± 1.1 * |
| Triton | 1% | 106.4 ± 2.3 |
| SDS | 1% | 36.3 ± 3.9 *** |

3. Experimental
3.1. Materials
3.2. Animals
3.3. Plant Material and Preparation of Crude Enzyme Source
3.4. Protein Concentration Determination
3.5. Azocaseinolytic Assay
3.6. SDS-PAGE
3.7. Fibrinogenolytic Activity
3.8. In-Gel Protease Assay (Zymography)
3.9. Procoagulant Activity
3.10. APTT and PT Tests
3.11. Detection of Fibrinolytic Activity Using SDS-PAGE
3.12. Defibrinogenating Activity
3.13. Hemorrhagic Activity
3.14. Hemolytic Activity
3.15. Effect of pH and Temperature on Proteolytic Activity
3.16. Effect of Metal Ions, Detergents and Reducing Agents on Enzymatic Activity
3.17. Statistical Analysis
4. Conclusions
Acknowledgments
Author Contributions
Conflictts of Interest
References
- Siritapetawee, J.; Thumanu, K.; Sojikul, P.; Thammasirirak, S. A novel serine protease with human fibrino(geno)lytic activities from Artocarpus heterophyllus latex. Biochim. Biophys. Acta 2012, 1824, 907–912. [Google Scholar] [CrossRef]
- Costa, J.D.O.; Fonseca, K.C.; Garrote-Filho, M.S.; Cunha, C.C.; de Freitas, M.V.; Silva, H.S.; Araújo, R.B.; Penha-Silva, N.; Oliveira, F. Structural and functional comparison of proteolytic enzymes from plant latex and snake venoms. Biochimie 2010, 92, 1760–1765. [Google Scholar] [CrossRef]
- Chung, D.M.; Choi, N.S.; Chun, H.K.; Maeng, P.J.; Park, S.B.; Kim, S.H. A new fibrinolytic enzyme (55 kDa) from Allium tuberosum: Purification, characterization, and comparison. J. Med. Food. 2010, 13, 1532–1536. [Google Scholar] [CrossRef]
- Chung, D.M.; Choi, N.S.; Maeng, P.; Chun, H.; Kim, S.H. Purification and characterization of a novel fibrinolytic enzyme from chive (Allium tuberosum). Food Sci. Biotechnol. 2010, 19, 697–702. [Google Scholar] [CrossRef]
- Fonseca, K.C.; Morais, N.C.G.; Queiroz, M.R.; Silva, M.C.; Gomes, M.S.; Costa, J.O.; Mamede, C.C.N.; Torres, F.S.; Penha-Silva, N.; Beletti, M.E.; et al. Purification and biochemical characterization of Eumiliin from Euphorbia milii var. hislopii latex. Phytochemistry 2010, 71, 708–715. [Google Scholar] [CrossRef]
- Rajesh, R.; Nataraju, A.; Gowda, C.D.R.; Frey, B.M.; Frey, F.J.; Vishwanath, B.S. Purification and characterization of a 34-kDa, heat stable glycoprotein from Synadeniumg rantii latex: Action on human fibrinogen and fibrin clot. Biochimie 2006, 88, 1313–1322. [Google Scholar] [CrossRef]
- Rajesh, R.; Raghavendra Gowda, C.D.; Nataraju, A.; Dhananjaya, B.L.; Kemparaju, K.; Vishwanath, B.S. Procoagulant activity of Calotropis gigantea latex associated with fibrin(ogen)olytic activity. Toxicon 2005, 46, 84–92. [Google Scholar] [CrossRef]
- Rajesh, R.; Shivaprasad, H.V.; Gowda, C.D.; Nataraju, A.; Dhananjaya, B.L.; Vishwanath, B.S. Comparative study on plant latex proteases and their involvement in hemostasis: A special emphasis on clot inducing and dissolving properties. Planta Med. 2007, 73, 1061–1067. [Google Scholar] [CrossRef]
- Richter, G.; Schwarz, H.P.; Dorner, F.; Turecek, P.L. Activation and inactivation of human factor X by proteases derived from Ficus carica. Br. J. Haematol. 2002, 119, 1042–1051. [Google Scholar] [CrossRef]
- Satish, A.; Sairam, S.; Ahmed, F.; Urooj, A. Moringa oleifera Lam.: Protease activity against blood coagulation cascade. Pharmacogn. Res. 2012, 4, 44–49. [Google Scholar]
- Shivaprasad, H.V.; Rajaiah, R.; Frey, B.M.; Frey, F.J.; Vishwanath, B.S. Pergularain e I”—A plant cysteine protease with thrombin-like activity from Pergularia extensa latex. Thromb. Res. 2010, 125, e100–e105. [Google Scholar] [CrossRef]
- Patel, G.K.; Kawale, A.A.; Sharma, A.K. Purification and physicochemical characterization of a serine protease with fibrinolytic activity from latex of a medicinal herb Euphorbia hirta. Plant Physiol. Biochem. 2012, 52, 104–111. [Google Scholar] [CrossRef]
- Albuquerque, U.P.J. Re-examining hypotheses concerning the use and knowledge of medicinal plants: A study in the Caatinga vegetation of NE Brazil. Ethnobiol. Ethnomed. 2006, 2, 1–10. [Google Scholar] [CrossRef]
- Albuquerque, U.P.; Monteiro, J.M.; Ramos, M.A.; Amorim, E.L.C. Medicinal and magic plants from a public market in northeastern Brazil. J. Ethnopharmacol. 2007, 110, 76–91. [Google Scholar] [CrossRef]
- Melo, J.G.; Santos, A.G.; Amorim, E.L.C.; Nascimento, S.C.; Albuquerque, U.P. Medicinal plants used as antitumor agents in Brazil: An ethnobotanical approach. Evid. Based Compl. Alt. Med. 2011, 2011, 1–14. [Google Scholar]
- Agra, M.F.; Silva, K.N.; Basílio, I.J.L.D.; Freitas, P.F.; Barbosa-Filho, J.M. Survey of medicinal plants used in the region Northeast of Brazil. Rev. Bras. Farmacogn. 2008, 18, 472–508. [Google Scholar] [CrossRef]
- Siritapetawee, J.; Sojikul, P.; Soontaranon, S.; Limphirat, W.; Thammasirirak, S. A protein from aloe vera that inhibits the cleavage of human fibrin(ogen) by plasmin. Appl. Biochem. Biotechnol. 2013, 170, 2034–2045. [Google Scholar] [CrossRef]
- Rao, M.B.; Tanksale, A.M.; Ghatge, M.S.; Deshpande, V.V. Molecular and biotechnological aspects of microbial proteases. Microbiol. Mol. Biol. Rev. 1998, 62, 597–635. [Google Scholar]
- Davie, E.W.; Fujikawa, K.; Kurachi, K.; Kisiel, W. The role of serine proteases in the blood coagulation cascade. Adv. Enzymol. Relat. Areas. Mol. Biol. 1979, 48, 277–318. [Google Scholar]
- Swenson, S.; Markland, F.S., Jr. Snake venom fibrin(ogen)olytic enzymes. Toxicon 2005, 45, 1021–1039. [Google Scholar] [CrossRef]
- Kornalik, F. The influence of snake venom enzymes on blood coagulation. Pharmacol. Ther. 1985, 29, 353–405. [Google Scholar] [CrossRef]
- Markland, F.S. Snake venoms and the hemostatic system. Toxicon 1998, 36, 1749–1800. [Google Scholar] [CrossRef]
- Demir, Y.; Güngör, A.A.; Duran, E.D.; Demir, N. Cysteine protease (Capparin) from capsules of caper (Capparis spinosa). Food Technol. Biotechnol. 2008, 46, 286–291. [Google Scholar]
- Hashim, M.M.; Mingsheng, D.; Iqbal, M.F.; Xiaohong, C. Ginger rhizome as a potential source of milk coagulating cysteine protease. Phytochemistry 2011, 72, 458–464. [Google Scholar] [CrossRef]
- Kumar Dubey, V.; Jagannadham, M.V. Procerain, a stable cysteine protease from the latex of Calotropis Procera. Phytochem. 2003, 62, 1057–1071. [Google Scholar] [CrossRef]
- Kumar, C.G.; Takagi, H. Microbial alkaline proteases: From a bioindustrial viewpoint. Biotechnol. Adv. 1999, 17, 561–594. [Google Scholar] [CrossRef]
- Fahmy, A.S.; Ali, A.A.; Mohamed, S.A. Characterization of a cysteine protease from wheat Triticum aestivum (cv. Giza 164). Bioresour. Technol. 2004, 91, 297–304. [Google Scholar] [CrossRef]
- Rocha, T.L.; Costa, P.H.A.; Magalhães, J.C.C.; Evaristo, R.G.S.; Vasconcelos, E.A.R.; Coutinho, M.V.; Paes, N.S.; Silva, M.C.M.; Grossi-De-Sá, M.F. Eletroforese bidimensional e análise de proteomas; Comunicado Técnico 136; Emprapa: Brasília, Brazil, 2005. [Google Scholar]
- Siti Balqis, Z.; Rosma, A. Artocarpus integer leaf protease: Purification and characterisation. Food Chem. 2011, 129, 1523–1529. [Google Scholar] [CrossRef]
- Amorim, T.M.; Macedo, L.L.; Uchoa, A.F.; Oliveira, A.S.; Pitanga, J.C.; Macedo, F.P.; Santos, E.A.; de Sales, M.P. Proteolytic digestive enzymes and peritrophic membranes during the development of Plodia interpunctella (Lepidoptera: Piralidae): Targets for the action of soybean trypsin inhibitor (SBTI) and chitin-binding vicilin (EvV). J. Agric. Food. Chem. 2008, 56, 7738–7745. [Google Scholar] [CrossRef]
- Laemmli, U.K. Cleavage of structural proteins during the assembly of the head of bacteriophage T4. Nature 1970, 227, 680–685. [Google Scholar] [CrossRef]
- Feitosa, L.; Gremski, W.; Veiga, S.S.; Elias, M.C.Q.B.; Graner, E.; Mangili, O.C.; Brentani, R.R. Detection and characterization of metalloproteinases with gelatinolytic, fibronectinolytic and fibrinogenolytic activities in Brown spider (Loxosceles intermedia) venom. Toxicon 1998, 36, 1039–1051. [Google Scholar] [CrossRef]
- Gené, J.; Roy, A.; Rojas, G.; Gutiérrez, J.; Cerdas, L. Comparative study on coagulant, defibrinating, fibrinolytic and fibrinogenolytic activities of Costa Rican crotaline snake venoms and their neutralization by a polyvalent antivenom. Toxicon 1989, 27, 841–848. [Google Scholar] [CrossRef]
- Nikai, T.; Mori, N.; Kishida, M.; Sugihara, H.; Tu, A.T. Isolation and biochemical characterization of hemorrhagic toxin f from the venom of Crotalus atrox (Western Diamondback Rattlesnake). Arch. Biochem. Biophys. 1984, 231, 309–319. [Google Scholar] [CrossRef]
- Sample Availability: Sample of the fraction F1.0 is available from the corresponding author.
© 2014 by the authors. Licensee MDPI, Basel, Switzerland. This article is an open access article distributed under the terms and conditions of the Creative Commons Attribution license ( http://creativecommons.org/licenses/by/3.0/).
Share and Cite
De Menezes, Y.A.S.; Félix-Silva, J.; Da Silva-Júnior, A.A.; Rebecchi, I.M.M.; De Oliveira, A.S.; Uchoa, A.F.; Fernandes-Pedrosa, M.D.F. Protein-Rich Fraction of Cnidoscolus urens (L.) Arthur Leaves: Enzymatic Characterization and Procoagulant and Fibrinogenolytic Activities. Molecules 2014, 19, 3552-3569. https://doi.org/10.3390/molecules19033552
De Menezes YAS, Félix-Silva J, Da Silva-Júnior AA, Rebecchi IMM, De Oliveira AS, Uchoa AF, Fernandes-Pedrosa MDF. Protein-Rich Fraction of Cnidoscolus urens (L.) Arthur Leaves: Enzymatic Characterization and Procoagulant and Fibrinogenolytic Activities. Molecules. 2014; 19(3):3552-3569. https://doi.org/10.3390/molecules19033552
Chicago/Turabian StyleDe Menezes, Yamara A. S., Juliana Félix-Silva, Arnóbio A. Da Silva-Júnior, Ivanise M. M. Rebecchi, Adeliana S. De Oliveira, Adriana F. Uchoa, and Matheus De F. Fernandes-Pedrosa. 2014. "Protein-Rich Fraction of Cnidoscolus urens (L.) Arthur Leaves: Enzymatic Characterization and Procoagulant and Fibrinogenolytic Activities" Molecules 19, no. 3: 3552-3569. https://doi.org/10.3390/molecules19033552
APA StyleDe Menezes, Y. A. S., Félix-Silva, J., Da Silva-Júnior, A. A., Rebecchi, I. M. M., De Oliveira, A. S., Uchoa, A. F., & Fernandes-Pedrosa, M. D. F. (2014). Protein-Rich Fraction of Cnidoscolus urens (L.) Arthur Leaves: Enzymatic Characterization and Procoagulant and Fibrinogenolytic Activities. Molecules, 19(3), 3552-3569. https://doi.org/10.3390/molecules19033552
