Ampelopsis brevipedunculata Extract Prevents Bone Loss by Inhibiting Osteoclastogenesis in Vitro and in Vivo
Abstract
:1. Introduction
2. Results and Discussion
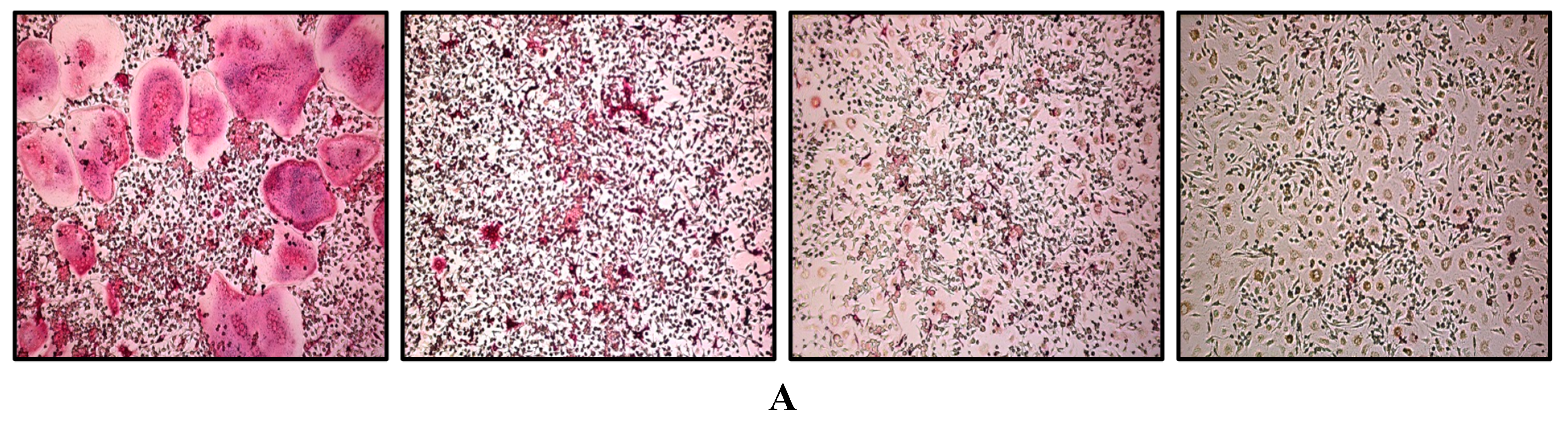
2.1. ABE Suppresses RANKL-Mediated Osteoclast Differentiation in Bone Marrow Derived Macrophages (BMMs)


2.2. ABE Inhibits RANKL-Mediated Phosphorylation of p38 and IκB in BMMs

2.3. ABE Inhibits the RANKL-Induced Expression of NFATc1 in BMMs

2.4. ABE Inhibits mRNA Expression of OSCAR, TRAP, Cathepsin K, DC-STAMP, β3-Integrin and OC-STAMP by RANKL

2.5. ABE Inhibited the Formation of F-Actin Rings and Bone Resorption Activity of Mature Osteoclasts in Vitro

2.6. ABE Prevented LPS-Mediated Bone Destruction in Vivo

3. Experimental Section
3.1. Ethanol Extract of ABE
3.2. Mice and Reagents
3.3. Mouse Bone Marrow Macrophage Preparation and Osteoclast Differentiation
3.4. Cytotoxicity Assay Western blot Analysis, Quantitative Real-time RT-PCR Analysis
3.5. Actin Ring Staining
3.6. Resorption Pit Assay
3.7. In Vivo LPS-Induced Bone Loss
3.8. Statistical Analysis
4. Conclusions
Acknowledgments
Author Contributions
Conflicts of Interest
References
- Bible, J.E.; Kadakia, R.J.; Wegner, A.; Richards, J.E.; Mir, H.R. One-year mortality after isolated pelvic fractures with posterior ring involvement in elderly patients. Orthopedics 2013, 36, 760–764. [Google Scholar] [CrossRef]
- Wang, C.B.; Lin, C.F.; Liang, W.M.; Cheng, C.F.; Chang, Y.J.; Wu, H.C.; Wu, T.N.; Leu, T.H. Excess mortality after hip fracture among the elderly in Taiwan: A nationwide population-based cohort study. Bone 2013, 56, 147–153. [Google Scholar] [CrossRef]
- Asagiri, M.; Takayanagi, H. The molecular understanding of osteoclast differentiation. Bone 2007, 40, 251–264. [Google Scholar] [CrossRef] [PubMed]
- Mizoguchi, T. RANKL signaling and bone diseases. Quiescent osteoclast precursors and RANKL signaling. Clin. Calcium 2011, 21, 1187–1192. [Google Scholar]
- Huang, H.; Ryu, J.; Ha, J.; Chang, E.J.; Kim, H.J.; Kim, H.M.; Kitamura, T.; Lee, Z.H.; Kim, H.H. Osteoclast differentiation requires TAK1 and MKK6 for NFATc1 induction and NF-κB transactivation by RANKL. Cell Death Differ. 2006, 13, 1879–1891. [Google Scholar] [CrossRef] [PubMed]
- Day, C.J.; Kim, M.S.; Stephens, S.R.; Simcock, W.E.; Aitken, C.J.; Nicholson, G.C.; Morrison, N.A. Gene array identification of osteoclast genes: Differential inhibition of osteoclastogenesis by cyclosporin A and granulocyte macrophage colony stimulating factor. J. Cell. Biochem. 2004, 91, 303–315. [Google Scholar] [CrossRef] [PubMed]
- Kim, K.; Kim, J.H.; Lee, J.; Jin, H.M.; Lee, S.H.; Fisher, D.E.; Kook, H.; Kim, K.K.; Choi, Y.; Kim, N. Nuclear factor of activated T cells c1 induces osteoclast-associated receptor gene expression during tumor necrosis factor-related activation-induced cytokine-mediated osteoclastogenesis. J. Biol. Chem. 2005, 280, 35209–35216. [Google Scholar] [CrossRef] [PubMed]
- Kim, Y.; Sato, K.; Asagiri, M.; Morita, I.; Soma, K.; Takayanagi, H. Contribution of nuclear factor of activated T cells c1 to the transcriptional control of immunoreceptor osteoclast-associated receptor but not triggering receptor expressed by myeloid cells-2 during osteoclastogenesis. J. Biol. Chem. 2005, 280, 32905–32913. [Google Scholar] [CrossRef] [PubMed]
- Kim, K.; Lee, S.H.; Ha Kim, J.; Choi, Y.; Kim, N. NFATc1 induces osteoclast fusion via up-regulation of Atp6v0d2 and the dendritic cell-specific transmembrane protein (DC-STAMP). Mol. Endocrinol. 2008, 22, 176–185. [Google Scholar] [CrossRef] [PubMed]
- Park, J.S.; Park, M.K.; Oh, H.J.; Woo, Y.J.; Lim, M.A.; Lee, J.H.; Ju, J.H.; Jung, Y.O.; Lee, Z.H.; Park, S.H.; et al. Grape-seed proanthocyanidin extract as suppressors of bone destruction in inflammatory autoimmune arthritis. PLoS One 2012, 7, e51377. [Google Scholar]
- Choi, S.W.; Moon, S.H.; Yang, H.J.; Kwon, D.Y.; Son, Y.J.; Yu, R.; Kim, Y.S.; Kim, S.I.; Chae, E.J.; Park, S.J.; et al. Antiresorptive activity of bacillus-fermented antler extracts: Inhibition of osteoclast differentiation. Evid. Based Complement. Altern. Med. 2013, 2013. [Google Scholar] [CrossRef]
- Baek, J.M.; Kim, J.Y.; Cheon, Y.H.; Park, S.H.; Ahn, S.J.; Yoon, K.H.; Oh, J.; Lee, M.S. Aconitum pseudo-laeve var. erectum Inhibits Receptor Activator of Nuclear Factor κ-B Ligand-Induced Osteoclastogenesis via the c-Fos/nuclear Factor of Activated T-Cells, Cytoplasmic 1 Signaling Pathway and Prevents Lipopolysaccharide-Induced Bone Loss in Mice. Molecules 2014, 19, 11628–11644. [Google Scholar]
- Wu, M.J.; Yen, J.H.; Wang, L.; Weng, C.Y. Antioxidant activity of Porcelainberry (Ampelopsis brevipedunculata (Maxim.) Trautv.). Am. J. Chin. Med. 2004, 32, 681–693. [Google Scholar]
- Yabe, N.; Matsui, H. Ampelopsis brevipedunculata (Vitaceae) extract inhibits a progression of carbon tetrachloride-induced hepatic injury in the mice. Phytomedicine 2000, 7, 493–498. [Google Scholar] [CrossRef] [PubMed]
- Yabe, N.; Tanaka, K.; Matsui, H. An ethanol-extract of Ampelopsis brevipedunculata (Vitaceae) berries decreases ferrous iron-stimulated hepatocyte injury in culture. J. Ethnopharmacol. 1998, 59, 147–159. [Google Scholar] [CrossRef] [PubMed]
- Ikeda, F.; Matsubara, T.; Tsurukai, T.; Hata, K.; Nishimura, R.; Yoneda, T. JNK/c-Jun signaling mediates an anti-apoptotic effect of RANKL in osteoclasts. J. Bone Miner. Res. 2008, 23, 907–914. [Google Scholar] [CrossRef] [PubMed]
- Tsai, H.Y.; Lin, H.Y.; Fong, Y.C.; Wu, J.B.; Chen, Y.F.; Tsuzuki, M.; Tang, C.H. Paeonol inhibits RANKL-induced osteoclastogenesis by inhibiting ERK, p38 and NF-κB pathway. Eur. J. Pharmacol. 2008, 588, 124–133. [Google Scholar] [CrossRef] [PubMed]
- Matsumoto, M.; Sudo, T.; Maruyama, M.; Osada, H.; Tsujimoto, M. Activation of p38 mitogen-activated protein kinase is crucial in osteoclastogenesis induced by tumor necrosis factor. FEBS Lett. 2000, 486, 23–28. [Google Scholar] [CrossRef] [PubMed]
- Matsumoto, M.; Sudo, T.; Saito, T.; Osada, H.; Tsujimoto, M. Involvement of p38 mitogen-activated protein kinase signaling pathway in osteoclastogenesis mediated by receptor activator of NF-κB ligand (RANKL). J. Biol. Chem. 2000, 275, 31155–31161. [Google Scholar] [CrossRef] [PubMed]
- Boyce, B.F.; Xing, L.; Franzoso, G.; Siebenlist, U. Required and nonessential functions of nuclear factor-κB in bone cells. Bone 1999, 25, 137–139. [Google Scholar] [CrossRef] [PubMed]
- Karin, M. How NF-κB is activated: the role of the IκB kinase (IKK) complex. Oncogene 1999, 18, 6867–6874. [Google Scholar] [CrossRef] [PubMed]
- Takayanagi, H.; Kim, S.; Koga, T.; Nishina, H.; Isshiki, M.; Yoshida, H.; Saiura, A.; Isobe, M.; Yokochi, T.; Inoue, J.; et al. Induction and activation of the transcription factor NFATc1 (NFAT2) integrate RANKL signaling in terminal differentiation of osteoclasts. Dev. Cell 2002, 3, 889–901. [Google Scholar]
- Chuvpilo, S.; Jankevics, E.; Tyrsin, D.; Akimzhanov, A.; Moroz, D.; Jha, M.K.; Schulze-Luehrmann, J.; Santner-Nanan, B.; Feoktistova, E.; Konig, T.; et al. Autoregulation of NFATc1/A expression facilitates effector T cells to escape from rapid apoptosis. Immunity 2002, 16, 881–895. [Google Scholar]
- Fretz, J.A.; Shevde, N.K.; Singh, S.; Darnay, B.G.; Pike, J.W. Receptor activator of nuclear factor-κB ligand-induced factor of activated T cells (C1) autoregulates its own expression in osteoclasts and mediates the up-regulation of tartrate-resistant acid phosphatase. Mol. Endocrionol. 2008, 22, 737–750. [Google Scholar] [CrossRef]
- Soe, K.; Merrild, D.M.; Delaisse, J.M. Steering the osteoclast through the demineralization-collagenolysis balance. Bone 2013, 56, 191–198. [Google Scholar] [CrossRef] [PubMed]
- Novinec, M.; Lenarcic, B. Cathepsin K: a unique collagenolytic cysteine peptidase. Biol. Chem. 2013, 394, 1163–1179. [Google Scholar] [CrossRef] [PubMed]
- Nakamura, I.; Duong, L.T.; Rodan, S.B.; Rodan, G.A. Involvement of αvβ3 integrins in osteoclast function. J. Bone Miner. Metab. 2007, 25, 337–344. [Google Scholar] [CrossRef] [PubMed]
- Kim, J.Y.; Cheon, Y.H.; Oh, H.M.; Rho, M.C.; Erkhembaatar, M.; Kim, M.S.; Lee, C.H.; Kim, J.J.; Choi, M.K.; Yoon, K.H.; et al. Oleanolic acid acetate inhibits osteoclast differentiation by downregulating PLCγ2-Ca2+-NFATc1 signaling, and suppresses bone loss in mice. Bone 2014, 60, 104–111. [Google Scholar]
- Samples Availability: Samples of ABE is available from the authors.
© 2014 by the authors. Licensee MDPI, Basel, Switzerland. This article is an open access article distributed under the terms and conditions of the Creative Commons Attribution license ( http://creativecommons.org/licenses/by/4.0/).
Share and Cite
Kim, J.-Y.; Park, S.-H.; Oh, H.M.; Kwak, S.C.; Baek, J.M.; Lee, M.S.; Rho, M.C.; Oh, J. Ampelopsis brevipedunculata Extract Prevents Bone Loss by Inhibiting Osteoclastogenesis in Vitro and in Vivo. Molecules 2014, 19, 18465-18478. https://doi.org/10.3390/molecules191118465
Kim J-Y, Park S-H, Oh HM, Kwak SC, Baek JM, Lee MS, Rho MC, Oh J. Ampelopsis brevipedunculata Extract Prevents Bone Loss by Inhibiting Osteoclastogenesis in Vitro and in Vivo. Molecules. 2014; 19(11):18465-18478. https://doi.org/10.3390/molecules191118465
Chicago/Turabian StyleKim, Ju-Young, Sun-Hyang Park, Hyun Mee Oh, Sung Chul Kwak, Jong Min Baek, Myeung Su Lee, Mun Chual Rho, and Jaemin Oh. 2014. "Ampelopsis brevipedunculata Extract Prevents Bone Loss by Inhibiting Osteoclastogenesis in Vitro and in Vivo" Molecules 19, no. 11: 18465-18478. https://doi.org/10.3390/molecules191118465
APA StyleKim, J.-Y., Park, S.-H., Oh, H. M., Kwak, S. C., Baek, J. M., Lee, M. S., Rho, M. C., & Oh, J. (2014). Ampelopsis brevipedunculata Extract Prevents Bone Loss by Inhibiting Osteoclastogenesis in Vitro and in Vivo. Molecules, 19(11), 18465-18478. https://doi.org/10.3390/molecules191118465

