Amino Acid Derivatives of Ligustrazine-Oleanolic Acid as New Cytotoxic Agents
Abstract
:1. Introduction

2. Results and Discussion
2.1. Chemistry

2.2. Biological Activities

| Compound | IC50 Values (μM) | ClogP | ||||
|---|---|---|---|---|---|---|
| HepG2 | HT-29 | Hela | BGC-823 | MDCK | ||
| CDDP | 2.856 | 6.112 | 9.838 | 6.819 | 3.691 | -b |
| TOA | 21.45 | -a | 8.683 | - | - | 8.125 |
| 6a | 1.999 | 2.498 | 3.256 | 3.062 | 4.884 | 7.433 |
| 6b | 2.322 | 4.770 | 7.690 | 4.474 | 5.125 | 7.835 |
| 6c | 2.391 | 3.213 | 6.754 | 4.976 | 5.034 | 8.590 |
| 6d | - | - | - | - | - | 8.763 |
| 6e | 5.969 | 9.830 | - | - | - | 8.750 |
| 6f | 4.257 | 5.956 | - | 9.522 | 9.785 | 8.479 |
| 6g | 2.270 | 2.347 | 2.383 | 2.481 | 2.310 | 7.343 |
| 6h | 8.216 | 9.503 | - | - | 8.119 | 8.831 |
| 6i | 10.22 | 16.85 | 12.61 | 16.04 | 15.78 | 8.346 |
| 6j | 5.785 | 5.480 | 11.47 | 10.73 | 12.62 | 8.117 |
| 6k | 11.44 | - | - | 10.01 | 10.82 | 8.895 |
| 6l | 4.783 | 4.829 | 5.217 | 4.898 | 3.122 | 6.860 |
2.3. Computer Simulation of ClogP and Determination of logP
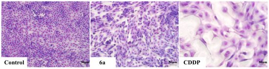
2.4. Changes in Cellular Morphologies [37]
2.4.1. Geimsa Staining


2.4.2. DAPI Staining

3. Experimental Section
3.1. General Information
3.2. Chemistry
3.2.1. General Synthesis of the TOA-Amino Acid Derivatives 6a–6f
3.2.2. General Synthesis of the TOA-Amino Acid Derivatives 6g–6k
3.2.3. Synthesis of the TOA-Amino Acid Derivative 6l
3.3. Bio-Evaluation Methods
3.3.1. Cytotoxicity Evaluation
3.3.2. Giemsa Staining [37]
3.3.3. DAPI Staining [40,41]
4. Conclusions
Acknowledgments
Author Contributions
Conflicts of Interest
References
- Zhang, J.L.; Wang, H.; Pi, H.F.; Ruan, H.L.; Zhang, P.; Wu, J.Z. Structural analysis and antitussive evaluation of five novel esters of verticinone and bile acids. Steroids 2009, 74, 424–434. [Google Scholar] [CrossRef] [PubMed]
- Bhosle, D.; Bharambe, S.; Gairola, N.; Dhaneshwar, S.S. Mutual prodrug concept: Fundamentals and applications. Indian J. Pharm. Sci. 1994, 56, 69–79. [Google Scholar]
- Wang, P.L.; Cheng, Y.T.; Xu, K.; An, Y.W.; Wang, W.; Li, Q.S.; Han, Q.J.; Li, Q.; Zhang, H.G.; Lei, H.M. Synthesis and anti-tumor evaluation of one novel tetramethylpyrazin-rhein derivative. Asian J. Chem. 2013, 25, 4885–4888. [Google Scholar]
- Wang, P.L.; Zhang, H.G.; Chu, F.H.; Xu, X.; Lin, J.X.; Chen, C.X.; Li, G.L.; Cheng, Y.T.; Wang, L.; Li, Q.; et al. Synthesis and protective effect of new ligustrazine-benzoic acid derivatives against CoCl2-induced neurotoxicity in differentiated PC12 cells. Molecules 2013, 18, 13027–13042. [Google Scholar] [CrossRef]
- Xu, K.; Xu, X.; Chu, F.H.; Wang, M.N.; Wang, P.L.; Li, G.L.; Song, J.X.; Zhang, Y.Z.; Lei, H.M. Synthesis and biological evaluation of T-OA derivatives as cytotoxic agents. Res. Chem. Intermed. 2014, 1737, 1–13. [Google Scholar]
- Wang, P.L.; She, G.M.; Yang, Y.N.; Li, Q.; Zhang, H.G.; Liu, J.; Cao, Y.Q.; Xu, X.; Lei, H.M. Synthesis and biological evaluation of new ligustrazine derivatives as anti-tumor agents. Molecules 2012, 17, 4972–4985. [Google Scholar] [CrossRef] [PubMed]
- Wang, P.L.; Zhang, Y.Z.; Xu, K.; Li, Q.S.; Zhang, H.G.; Guo, J.; Pang, D.D.; Cheng, Y.T.; Lei, H.M. A new ligustrazine derivative--pharmacokinetic evaluation and antitumor activity by suppression of NF-κB/p65 and COX-2 expression in S180 mice. Pharmazie 2013, 68, 782–789. [Google Scholar]
- Xu, K.; Gong, Y.; Xu, B.; Tian, Y.F.; Wang, M.X.; Zhang, H.Z.; Zhang, Y.Z.; Lei, H.M. Identification of metabolites of antitumor lead compound T-OA in rat urine by HPLC-HRMS. China J. Chin. Mater. Med. 2014, 39, 911–915. [Google Scholar]
- Xu, K.; Wang, P.L.; Xu, X.; Xu, S.X.; Wang, Y.H.; Zhang, S.; Zhang, Y.Z.; Lei, H.M. Equilibrium solubility and apparent oil/water partition coefficient of anticancer primer T-OA in various media. J. Beijing Univ. Tradit. Chin. Med. 2013, 36, 554–557. [Google Scholar]
- Hou, P.; Ni, J.; Cao, S.L.; Lei, H.M.; Cai, Z.J.; Zhang, T.; Yu, F.; Tan, Q.Z. Preparation and evaluation of solid dispersions of a new antitumor compound based on early-stage preparation discovery concept. AAPS PharmSciTech 2013, 14, 629–638. [Google Scholar] [CrossRef] [PubMed]
- Hou, P.; Cao, S.L.; Ni, J.; Zhang, T.; Cai, Z.J.; Liu, J.J.; Wang, Y.; Wang, P.L.; Lei, H.M.; Liu, Y. In-vitro and in vivo comparison of T-OA microemulsions and solid dispersions based on EPDC. Drug Dev. Ind. Pharm. 2013, 1–9. [Google Scholar] [CrossRef]
- Jeong, H.J.; Chai, H.B.; Park, S.Y.; Kim, D.S. Preparation of amino acid conjugates of betulinic acid with activity against human melanoma. Bioorg. Med. Chem. Lett. 1999, 9, 1201–1204. [Google Scholar] [CrossRef] [PubMed]
- Drag-Zalesinska, M.; Kulbacka, J.; Saczko, J.; Wysocka, T.; Zabel, M.; Surowiak, P.; Drag, M. Esters of botulin and betulinic acid with amino acids have improved water solubility and are selectively cytotoxic toward cancer cells. Bioorg. Med. Chem. Lett. 2009, 19, 4814–4817. [Google Scholar] [CrossRef] [PubMed]
- Meng, Y.Q.; Liu, D.; Cai, L.L.; Chen, H.; Cao, B.; Wang, Y.Z. The synthesis of ursolic acid derivatives with cytotoxic activity and the investigation of their preliminary mechanism of action. Bioorg. Med. Chem. 2009, 17, 848–854. [Google Scholar] [CrossRef] [PubMed]
- Li, J.F.; Zhao, Y.; Cai, M.M.; Li, X.F.; Li, J.X. Synthesis and evaluation of a novel series of heterocyclic oleanolic acid derivatives with anti-osteoclast formation activity. Eur. J. Med. Chem. 2009, 44, 2796–2806. [Google Scholar] [CrossRef] [PubMed]
- Zhang, Y.; Li, J.X.; Zhao, J.W.; Wang, S.Z.; Pan, Y.; Tanaka, K.; Kadota, S. Synthesis and activity of oleanolic acid derivatives, a novel class of inhibitors of osteoclast formation. Bioorg. Med. Chem. Lett. 2005, 15, 1629–1632. [Google Scholar] [CrossRef] [PubMed]
- Lu, X.M.; Yi, H.W.; Xu, J.L.; Sun, Y.; Li, J.X.; Cao, S.X.; Xu, Q. A novel synthetic oleanolic acid derivative with amino acid conjugate suppresses tumour growth by inducing cell cycle arrest. J. Pharm. Pharmacol. 2007, 59, 1087–1093. [Google Scholar] [CrossRef]
- Parra, A.; Rivas, F.; Lopez, P.E.; Garcia-Granados, A.; Martinez, A.; Albericio, F.; Marquez, N.; Muñoz, E. Solution- and solid- phase synthesis and anti-HIV activity of maslinic acid derivatives containing amino acids and peptides. Bioorg. Med. Chem. 2009, 17, 1139–1145. [Google Scholar] [CrossRef]
- Parra, A.; Martin-Fonseca, S.; Rivas, F.; Reyes-Zurita, F.J.; Medina-O’Donnell, M.; Rufino-Palomares, E.E.; Martinez, A.; Garcia-Granados, A.; Lupiañez, J.A.; Albericio, F. Solid-phase library synthesis of bi-functional derivatives of oleanolic and maslinic acids and their cytotoxicity on three cancer cell lines. ACS Comb. Sci. 2014, 16, 428–447. [Google Scholar] [CrossRef]
- Schmeda-Hirschmann, G.; Rodríguez, J.A.; Theoduloz, C.; Valderrama, J.A. Gastroprotective effect and cytotoxicity of labdeneamides with amino acids. Planta Med. 2011, 77, 340–345. [Google Scholar] [CrossRef]
- Yoshimi, A.; Hashizume, H.; Tamaki, S.; Tsuda, H.; Fukata, F.; Nishimura, K.; Yata, N. Importance of hydrolysis of amino acid moiety in water-soluble prodrugs of disodium cromoglycate for increased oral bioavailability. J. Pharmacobio-Dyn. 1992, 15, 339–345. [Google Scholar] [CrossRef] [PubMed]
- Fang, L.; Wang, M.; Gou, S.H.; Liu, X.Y.; Zhang, H.; Cao, F. Combination of amino acid/dipeptide with nitric oxide donating oleanolic acid derivatives as PepT1 targeting antitumor prodrugs. J. Med. Chem. 2014, 57, 1116–1120. [Google Scholar] [CrossRef] [PubMed]
- Landowski, C.P.; Vig, B.S.; Song, X.; Amidon, G.L. Targeted delivery to PEPT1- overexpressing cells: Acidic, basic, and secondary floxuridine amino acid ester prodrugs. Mol. Cancer Ther. 2005, 4, 659–667. [Google Scholar] [CrossRef] [PubMed]
- Xu, K.; Wang, P.L.; Xu, X.; Han, Q.J.; Wang, L.; Li, Q.; Lei, H.M. Synthetic process optimization of the intermediate 2-bromomethyl-3,5,6-trimethylpyrazine. Anhui Med. Pharm. J. 2013, 17, 1467–1470. [Google Scholar]
- Liu, X.L.; Testa, B.; Fahr, A. Lipophilicity and its relationship with passive drug permeation. Pharm. Res. 2011, 28, 962–977. [Google Scholar] [CrossRef] [PubMed]
- Waring, J.M. Lipophilicity in drug discovery. Expert Opin. Drug Discov. 2010, 5, 235–248. [Google Scholar] [CrossRef] [PubMed]
- Ren, S.; Wang, R.; Komatsu, K.; Bonaz-Krause, P.; Zyrianov, Y.; McKenna, C.E.; Csipke, C.; Tokes, Z.A.; Lien, E.J. Synthesis, biological evaluation, and quantitative structure-activity relationship analysis of new schiff bases of hydroxysemicarbazide as potential antitumor agents. J. Med. Chem. 2002, 45, 410–419. [Google Scholar] [CrossRef] [PubMed]
- Lipinski, C.A.; Lombardo, F.; Dominy, B.W.; Feeney, P.J. Experimental and computational approaches to estimate solubility and permeability in drug discovery and development settings. Adv. Drug Deliv. Rev. 2001, 46, 3–26. [Google Scholar] [CrossRef] [PubMed]
- Servusová, B.; Eibinová, D.; Doležal, M.; Kubíček, V.; Paterová, P.; Peško, M.; Kráľová, K. Substituted N-benzylpyrazine-2-carboxamides: Synthesis and biological evaluation. Molecules 2012, 17, 13183–13198. [Google Scholar] [CrossRef]
- Christiansen, E.; Hansen, S.V.; Urban, C.; Hudson, B.D.; Wargent, E.T.; Grundmann, M.; Jenkins, L.; Zaibi, M.; Stocker, C.J.; Ullrich, S.; et al. Discovery of TUG-770: A highly potent free fatty acid receptor 1 (FFA1/GPR40) of agonist for treatment type 2 diabetes. ACS Med. Chem. Lett. 2013, 4, 441–445. [Google Scholar] [CrossRef]
- Schroeter, T.S.; Schwaighofer, A.; Mika, S.; Ter Laak, A.; Suelzle, D.; Ganzer, U.; Heinrich, N.; Müller, K.R. Predicting lipophilicity of drug-discovery molecules using Gaussian process models. Chem. Med. Chem. 2007, 2, 1265–1267. [Google Scholar] [CrossRef]
- Penta, A.; Ganguly, S.; Murugesan, S. Design and synthesis of 3α,4,7,7α-tetrahydro-1H-isoindole-1, 3(2H)-diones as inhibitors of HIV-1 reverse transcriptase. Int. J. Pharm. Pharm. Sci. 2013, 5, 659–664. [Google Scholar]
- Meng, G.R.; Li, J.J.; Wang, G.L.; Dong, M.J.; Zhang, Q. Synthesis and cytotoxic activities of the amino Acid-conjugates of 10-hydroxycamptothecin. Chin. J. Org. Chem. 2014, 34, 155–160. [Google Scholar] [CrossRef]
- Ibrahim, M.A.; Panda, S.S.; Birs, A.S.; Serrano, J.C.; Gonzalez, C.F.; Alamry, K.A.; Katritzky, A.R. Synthesis and antibacterial evaluation of amino acid-antibiotic conjugates. Bioorg. Med. Chem. Lett. 2014, 24, 1856–1861. [Google Scholar] [CrossRef]
- Sozio, P.; Cerasa, L.S.; Laserra, S.; Cacciatore, I.; Cornacchia, C.; di Filippo, E.S.; Fulle, S.; Fontana, A.; di Crescenzo, A.; Grilli, M.; et al. Memantine-sulfur containing antioxidant conjugates as potential prodrugs to improve the treatmentof Alzheimer's disease. Eur. J. Pharm. Sci. 2013, 49, 187–198. [Google Scholar] [CrossRef]
- He, L.; Long, X.Y.; Ding, M.G.; Ye, X.F.; Liang, J.M.; Gu, J.H.; Li, Z.T.; Li, G.H. Determination of equilibrium solubility and apparent oil/water partition coefficient of silymarin. J. Guangdong Pharm. Univ. 2011, 27, 445–449. [Google Scholar]
- George, V.C.; Kumar, D.R.N.; Suresh, P.K.; Kumar, R.A. Oleanolic acid inhibit cell growth and induces apoptosis in A375 melanoma cells. Biomed. Prev. Nutr. 2014, 4, 95–99. [Google Scholar] [CrossRef]
- Ricci, M.S.; Zong, W.X. Chemotherapeutic approaches for targeting cell death pathways. Oncologist 2006, 11, 342–357. [Google Scholar] [CrossRef] [PubMed]
- Tang, H.L.; Tang, H.M.; Mak, K.H.; Hu, S.; Wang, S.S.; Wong, K.M.; Wong, C.S.; Wu, H.Y.; Law, H.T.; Liu, K.; et al. Cell survival, DNA damage, and oncogenic transformation after a transient and reversible apoptotic response. Mol. Biol. Cell 2012, 23, 2240–2252. [Google Scholar] [CrossRef]
- Pajaniradje, S.; Mohankumar, K.; Pamidimukkala, R.; Subramanian, S.; Rajagopalan, R. Antiproliferative and apoptotic effects of sesbania grandiflora leaves in human cancer cells. Biomed. Res. Int. 2014, 2014, 1–11. [Google Scholar]
- Lin, C.C.; Kuo, C.L.; Lee, M.H.; Lai, K.C.; Lin, J.P.; Yang, J.S.; Yu, C.S.; Lu, C.C.; Chiang, J.H.; Chueh, F.S.; et al. Wogonin triggers apoptosis in human osteosarcoma U-2 OS cells through the endoplasmic reticulum stress, mitochondrial dysfunction and caspase-3-dependent signaling pathways. Int. J. Oncol. 2011, 39, 217–224. [Google Scholar] [PubMed]
- Sample Availability: Samples of the compounds aren’t available from the authors.
© 2014 by the authors. Licensee MDPI, Basel, Switzerland. This article is an open access article distributed under the terms and conditions of the Creative Commons Attribution license ( http://creativecommons.org/licenses/by/4.0/).
Share and Cite
Chu, F.; Xu, X.; Li, G.; Gu, S.; Xu, K.; Gong, Y.; Xu, B.; Wang, M.; Zhang, H.; Zhang, Y.; et al. Amino Acid Derivatives of Ligustrazine-Oleanolic Acid as New Cytotoxic Agents. Molecules 2014, 19, 18215-18231. https://doi.org/10.3390/molecules191118215
Chu F, Xu X, Li G, Gu S, Xu K, Gong Y, Xu B, Wang M, Zhang H, Zhang Y, et al. Amino Acid Derivatives of Ligustrazine-Oleanolic Acid as New Cytotoxic Agents. Molecules. 2014; 19(11):18215-18231. https://doi.org/10.3390/molecules191118215
Chicago/Turabian StyleChu, Fuhao, Xin Xu, Guoliang Li, Shun Gu, Kuo Xu, Yan Gong, Bing Xu, Mina Wang, Huazheng Zhang, Yuzhong Zhang, and et al. 2014. "Amino Acid Derivatives of Ligustrazine-Oleanolic Acid as New Cytotoxic Agents" Molecules 19, no. 11: 18215-18231. https://doi.org/10.3390/molecules191118215
APA StyleChu, F., Xu, X., Li, G., Gu, S., Xu, K., Gong, Y., Xu, B., Wang, M., Zhang, H., Zhang, Y., Wang, P., & Lei, H. (2014). Amino Acid Derivatives of Ligustrazine-Oleanolic Acid as New Cytotoxic Agents. Molecules, 19(11), 18215-18231. https://doi.org/10.3390/molecules191118215

