Purification and Characterization of a Novel ~18 kDa Antioxidant Protein from Ginkgo biloba Seeds
Abstract
:1. Introduction
2. Results and Discussion
2.1. Purification of the Antioxidant Protein
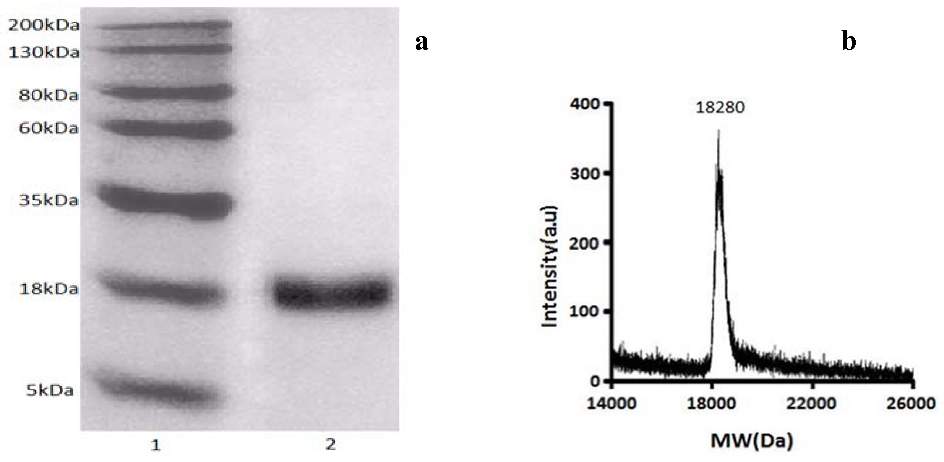
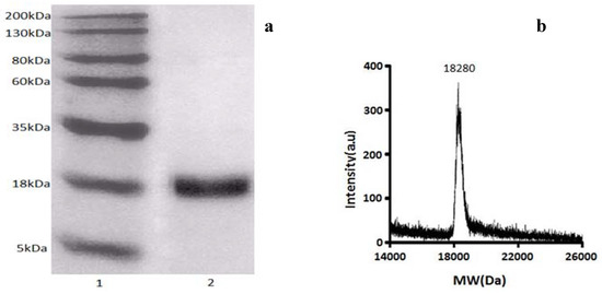
2.2. Characterization of Antioxidant Protein (GBSP) from Ginkgo biloba Seeds
2.3. Amino Acid Composition
2.4. Determination of Peptide Mass Fingerprinting (PMF) and Amino Acid Sequence Analysis
2.5. Antioxidant Properties of GBSP
2.5.1. DPPH Radical Scavenging Activity
2.5.2. ABTS Radical Scavenging Activity Assay
2.5.3. Superoxide Anion Radical-Scavenging Assay
2.5.4. Inhibition of Linoleic Acid Autooxidation
2.5.5. Reducing Power Assay
2.5.6. Metal Ion Chelating Activity
2.6. Discussion
3. Experimental
3.1. Plant Material
3.2. Chemicals/Materials
3.3. Purification of the Protein
3.4. Test for Purity and Molecular Weight of GBSP
3.5. Peptide Mass Fingerprinting (PMF) Analysis and the Amino Acid Sequence Determination of GBSP
3.6. Protein Estimation and Amino Acid Composition
3.7. Determination of Antioxidant Activity
3.7.1. DPPH Radical-Scavenging Activity
3.7.2. ABTS Radical Scavenging Activity Assay
3.7.3. Superoxide Anion Radical-Scavenging Assay
3.7.4. Inhibition of Linoleic Acid Autooxidation
3.7.5. Reducing Power Assay
3.7.6. Metal Ion Chelating Activity
3.8. Statistical Analysis
4. Conclusions
Acknowledgements
References
- Halliwell, B. Free radicals antioxidants, and human disease: Curiosity, cause, or consequence. Lancet 1994, 344, 721–724. [Google Scholar] [CrossRef]
- Finkel, T.; Holbrook, N.J. Oxidants, oxidative stress and biology of ageing. Nature 2000, 408, 239–247. [Google Scholar] [CrossRef] [PubMed]
- Droge, W. Free radicals in the physiological control of cell function. Physiol. Rev. 2002, 282, 47–95. [Google Scholar] [CrossRef] [PubMed]
- Ito, N.; Hirose, M.; Fukushima, S.; Tsuda, H.; Shirai, T.; Tatematsu, M. Studies on antioxidants: their carcinogenic and modifying effects on chemical carcinogenic (carcinogenesis). Food Chem. Toxicol. 1986, 24, 1099–1102. [Google Scholar] [CrossRef]
- Barlow, S.; Schlatter, J. Risk assessment of carcinogens in food. Toxicol. Appl Pharm. 2010, 2, 180–190. [Google Scholar] [CrossRef] [PubMed]
- Kouoh, F.; Gressier, B.; Luyckx, M.; Brunet, C.; Dine, T.; Cazin, M. Antioxidant properties of albumin: Effect on oxidative metabolism of human neutrophil granulocytes. Farmaco 1999, 54, 695–699. [Google Scholar] [CrossRef]
- Srivastava, P.; Raut, H.N.; Wagh, R.S.; Puntambekar, H.M.; Kulkarn, M.J. Purification and characterization of an antioxidant protein (~16 kDa)from Terminalia chebula fruit. Food Chem. 2012, 131, 141–148. [Google Scholar] [CrossRef]
- Ningappa, M.B.; Srinivas, L. Purification and characterization of 35 kDa antioxidant protein from curry leaves (Murraya koenigii L.). Toxicol. In Vitro 2008, 22, 699–709. [Google Scholar] [CrossRef] [PubMed]
- Zhang, J.; Zhang, H.; Wang, L.; Guo, X.; Wang, X.; Yao, H. Isolation and identification of antioxidative peptides from rice endosperm protein enzymatic hydrolysate by consecutive chromatography and MALDI-TOF /TOF MS/MS. Food Chem. 2010, 119, 226–234. [Google Scholar] [CrossRef]
- Aluko, R.E.; Monu, E. Functional and bioactive properties of quinoa seed protein hydrolysates. J. Food Sci. 2003, 68, 1254–1258. [Google Scholar] [CrossRef]
- Ren, J.; Zheng, X.Q.; Liu, X.L.; Liu, H. Purification and Characterization of Antioxidant Peptide from Sunflower Protein Hydrolysate. Food Technol. Biotechnol. 2010, 48, 519–523. [Google Scholar]
- Zhang, T.; Li, Y.H.; Miao, M.; Jiang, B. Purification and characterisation of a new antioxidant peptide from chickpea (Cicer arietium L.) protein hydrolysates. Food Chem. 2011, 128, 28–33. [Google Scholar] [CrossRef] [PubMed]
- Gibbs, B.F.; Zougman, A.; Masse, R.; Mulligan, C. Production and characterization of bioactive peptides from soy hydrolysate and soyfermented food. Food Res. Int. 2004, 37, 123–131. [Google Scholar] [CrossRef]
- Sivapriya, M.; Srinivas, L. Isolation and purification of a novel antioxidant protein from the water extract of Sundakai (Solanum torvum) seeds. Food Chem. 2007, 104, 510–517. [Google Scholar] [CrossRef]
- Sarkar, M.K.; Kinter, M.; Mazumder, B.; Sil, P.C. Purification and characterisation of a novel antioxidant protein molecule from Phyllanthus niruri. Food Chem. 2009, 114, 1405–1412. [Google Scholar] [CrossRef]
- Son, Y.; Kim, H. Above-ground biomass and nutrient distribution in a 15-year-old ginkgo (Ginkgo biloba) plantation in central Korea. Bioresource Technol. 1998, 63, 173–177. [Google Scholar] [CrossRef]
- Yang, J.T.; Wu, C.E.; Li, Y.Y.; Jia, S.Q.; Fan, G.J.; Peng, F.R. Identification and Purification of an Allergic Glycoprotein from Ginkgo biloba Kernel. Agric. Sci. Chin. 2011, 10, 631–641. [Google Scholar] [CrossRef]
- Deng, Q.C.; Wang, L.; Wei, F.; Xie, B.J.; Huang, F.H.; Shi, J.; Huang, Q.D.; Tian, B.Q.; Xue, S. Functional properties of protein isolates, globulin and albumin extracted from Ginkgo biloba seeds. Food Chem. 2011, 124, 1458–1465. [Google Scholar] [CrossRef]
- Huang, W.; Deng, Q.C.; Xie, B.J.; Shi, J.; Huang, F.H.; Tian, B.Q.; Huang, Q.D.; Xue, S. Purification and characterization of an antioxidant protein from Ginkgo biloba seeds. Food Res. Int. 2010, 43, 86–94. [Google Scholar] [CrossRef]
- Wang, J.S.; Zhao, M.M.; Zhao, Q.Z.; Jiang, Y.M. Antioxidant properties of papain hydrolysates of wheat gluten in different oxidation systems. Food Chem. 2007, 101, 1658–1663. [Google Scholar] [CrossRef]
- Harman, D. Role of free radical reactions in aging and disease. J. Geriatr. Dermatol. 1997, 5, 114–127. [Google Scholar]
- Rajapakse, N.; Mendis, E.; Byun, H.G.; Kim, S.K. Purification and in vitro antioxidative effects of giant squid muscle peptides on free radical-mediated oxidative systems. J. Nutr. Biochem. 2005, 9, 562–569. [Google Scholar] [CrossRef] [PubMed]
- Yildirim, A.; Mavi, A.; Oktay, M.; Kara, A.A.; Algur, F.; Bilaloglu, V. Comparison of antioxidant and antimicrobial activities of tilia (Tilia argentea Desf Ex DC) sage (Salvia triloba L.) and black tea (Camellia sinensis) extracts. J. Agric. Food Chem. 2000, 48, 5030–5034. [Google Scholar] [CrossRef] [PubMed]
- Stohs, S.J.; Bagchi, D. Oxidative mechanisms in the toxicity of metal ions. Free Radic. Biol. Med. 1995, 18, 321–336. [Google Scholar] [CrossRef]
- Wang, H.; Ng, T.B. Ginkbilobin, a novel antifungal protein from Ginkgo biloba seeds with sequence similarity to embryo-abundant protein. Biochem. Biophys. Res. Commun. 2000, 279, 407–411. [Google Scholar] [CrossRef] [PubMed]
- Huang, W.; Xie, B.J.; Wang, Y.; Yang, E.N.; Luo, R. Study on separation and purification of protein from ginkgo seed and its antioxidant activity. CAAS 2004, 37, 1537–1543. [Google Scholar]
- Tsai, M.C.; Song, T.Y.; Shih, P.H.; Yen, G.C. Antioxidant properties of water-soluble polysaccharides from Antrodia cinnamomea in submerged culture. Food Chem. 2007, 104, 115–1122. [Google Scholar] [CrossRef]
- Saito, K.; Jin, D.H.; Ogawa, T.; Muramoto, K.; Hatakeyama, E.; Yasuhara, T.; Nokihara, K. Antioxidant properties of tripeptide libraries prepared by the combinational chemistry. J. Agric. Food Chem. 2003, 51, 3668–3674. [Google Scholar] [CrossRef] [PubMed]
- Selvam, R.; Devaraj, S. Oxalate binding to rat kidney mitochondria: Induction by oxidized glutathione. Indian J. Biochem. Biol. 1996, 33, 62–65. [Google Scholar]
- Saiga, A.; Tanabe, S.; Nishumura, T. Antioxidant activity of peptides obtained from porcine myofibrillar proteins by protease treatment. J. Agric. Food Chem. 2003, 51, 3661–3667. [Google Scholar] [CrossRef] [PubMed]
- Guo, H.; Kouzuma, Y.; Yonekura, M. Structures and properties of antioxidant peptides derived from royal jelly protein. Food Chem. 2009, 113, 238–245. [Google Scholar] [CrossRef]
- Tanaka, M.; Kuie, C.W.; Nagashima, Y.; Taguchi, T. Application of antioxidative Maillard reaction products from histidine and glucose to sadine products. Nippon. Suisan. Gakk. 1988, 54, 1409–1414. [Google Scholar] [CrossRef]
- Hippeli, S.; Elstner, E.F. Transition metal ion-catalyzed oxygen activation during pathogenic processes. FEBS Lett. 1999, 443, 1–7. [Google Scholar] [CrossRef]
- Secknus, R.; Yamashita, G.; Corradini, S.G.; Chernosky, A.; Williams, C.; Hays, L.; Secknus, M.A.; Holzbach, R.T. Purification and characterization of a novel human 15 kDa cholesterol crystallization inhibitor protein in bile. J. Lab. Clin. Med. 1996, 127, 169–178. [Google Scholar] [CrossRef]
- Kim, S.T.; Kim, H.S.; Kim, H.J.; Kim, S.G.; Kang, S.Y.; Lim, D.B.; Kang, K.Y. Prefractionation of protein samples using sodium dodecyl sulfate-polyacrylamide gel electrophoresis based size fractio-nation for proteome analysis. Mol. Cells 2003, 16, 316–322. [Google Scholar] [PubMed]
- Wiles, P.G.; Gray, I.K.; Kissling, R.C. Routine analysis of proteins by Kjeldahl and Dumas methods: Review and interlaboratory study using dairy products. J. AOAC Int. 1998, 81, 620–632. [Google Scholar] [PubMed]
- Bersuder, P.; Hole, M.; Smith, G. Antioxidants from a heated histidine- glucose model system. I: Investigation of the antioxidant role of histidine and isolation of antioxidants by high performance liquid chromatography. J. Am. Oil Chem. Soc. 1998, 75, 181–187. [Google Scholar] [CrossRef]
- Arnao, M.B.; Cano, A.; Acosta, M. The hydrophilic and lipophilic contribution to total antioxidant activity. Food Chem. 2001, 73, 239–244. [Google Scholar] [CrossRef]
- Li, Y.; Jiang, B.; Zhang, T.; Mu, W.; Liu, J. Antioxidant and free radical-scavenging activities of chickpea protein hydrolysate (CPH). Food Chem. 2008, 106, 444–450. [Google Scholar] [CrossRef]
- Osawa, T.; Namiki, M. Natural antioxidant isolated from eucalyptus leaf waxes. J. Agric. Food Chem. 1985, 33, 777–780. [Google Scholar] [CrossRef]
- Mitsuda, H.; Yasumoto, K.; Iwami, K. Antioxidative action of indole compounds during the autoxidation of linoleic acid. Eiyo to Shokuryo 1996, 19, 210–214. [Google Scholar] [CrossRef]
- Yildirim, A.; Mavi, A.; Kara, A.A. Determination of antioxidant and antimicrobial activities of Rumex crispus L. extracts. J. Agric. Food Chem. 2001, 49, 4083–4089. [Google Scholar] [CrossRef] [PubMed]
- Kong, B.; Xiong, Y.L. Antioxidant activity of zein hydrolysates in a liposome system and the possible mode of action. J. Agric. Food Chem. 2006, 54, 6059–6068. [Google Scholar] [CrossRef] [PubMed]
Sample Availability: Samples of the protein isolated from Ginkgo biloba seeds are available from the authors. |







| Purification steps | Total protein a (g) | Yield (%) | Inhibition of DPPH assay | |
| Protein concentration (μg/mL) | % Inhibition | |||
| 1. saline solution extract | 50.56 ± 0.43 | 100 | 1000 | 51 ± 4 * |
| 2. 70% (NH4)2SO4 precipitation | 26.18 ± 0.27 | 51.77 ± 0.53 | 600 | 61 ± 3 * |
| 3. Gel filtration on Sephadex G-50 | ||||
| Peak I | 0.936 ± 0.040 | 1.85 ± 0.08 | 400 | 30 ± 2 |
| Peak II | 4.10 ± 0.04 | 8.11 ± 0.09 | 50 | 78 ± 3 ** |
| Peak III | 1.19 ± 0.07 | 2.36 ± 0.14 | 400 | 28 ± 2 |
| 4. purification by RP-HPLC on the semi-preparative C18 column | ||||
| GBSP | 0.650 ± 0.032 | 1.29 ± 0.06 | 50 | 81 ± 3 ** |
| Standard antioxidant | BHA (72 μg/mL) | 63 ± 2 ** | ||
| Amino acid | GBSP |
|---|---|
| aspartic acid (Asp) | 10.62 |
| glutamic acid (Glu) | 9.33 |
| serine (Ser) | 8.55 |
| histidine (His) | 11.25 |
| glycine (Gly) | 8.72 |
| threonine (Thr) | 4.88 |
| arginine (Arg) | 1.82 |
| alanine (Ala) | 5.37 |
| tyrosine (Tyr) | 3.48 |
| cysteine (Cys) valine (Val) | 2.02 4.43 |
| methione (Met) | 2.05 |
| phenylalanine (Phe) | 4.72 |
| isoleucine (Ile) | 4.39 |
| leucine (Leu) | 7.46 |
| lysine (Lys) | 7.16 |
| proline (Pro) | 1.37 |
| tryptophan (Trp) | 2.38 |
| Amino acid | GBSP (g/100 g protein) | Standard FAO/WHO (1991) (g/100 g protein) | Score (%) |
|---|---|---|---|
| Ile | 4.39 | 2.8 | 157 |
| Leu | 7.46 | 6.6 | 113 |
| Lys | 7.16 | 5.8 | 123 |
| Met + Cys | 4.07 | 2.5 | 163 |
| Phe + Tyr | 8.20 | 6.3 | 130 |
| Thr | 4.88 | 3.4 | 144 |
| Trp | 2.38 | 1.1 | 216 |
| Val | 4.43 | 3.5 | 127 |
| His | 11.25 | 1.9 | 592 |
| Total | 54.22 | 33.9 |
© 2012 by the authors; licensee MDPI, Basel, Switzerland. This artiscle is an open access article distributed under the terms and conditions of the Creative Commons Attribution license (http://creativecommons.org/licenses/by/3.0/).
Share and Cite
Zhou, H.; Chen, X.; Wang, C.; Ye, J.; Chen, H. Purification and Characterization of a Novel ~18 kDa Antioxidant Protein from Ginkgo biloba Seeds. Molecules 2012, 17, 14778-14794. https://doi.org/10.3390/molecules171214778
Zhou H, Chen X, Wang C, Ye J, Chen H. Purification and Characterization of a Novel ~18 kDa Antioxidant Protein from Ginkgo biloba Seeds. Molecules. 2012; 17(12):14778-14794. https://doi.org/10.3390/molecules171214778
Chicago/Turabian StyleZhou, Hao, Xijuan Chen, Chengzhang Wang, Jianzhong Ye, and Hongxia Chen. 2012. "Purification and Characterization of a Novel ~18 kDa Antioxidant Protein from Ginkgo biloba Seeds" Molecules 17, no. 12: 14778-14794. https://doi.org/10.3390/molecules171214778
APA StyleZhou, H., Chen, X., Wang, C., Ye, J., & Chen, H. (2012). Purification and Characterization of a Novel ~18 kDa Antioxidant Protein from Ginkgo biloba Seeds. Molecules, 17(12), 14778-14794. https://doi.org/10.3390/molecules171214778
