Template Directed Reversible Photochemical Ligation of Oligodeoxynucleotides
Abstract
:1. Introduction

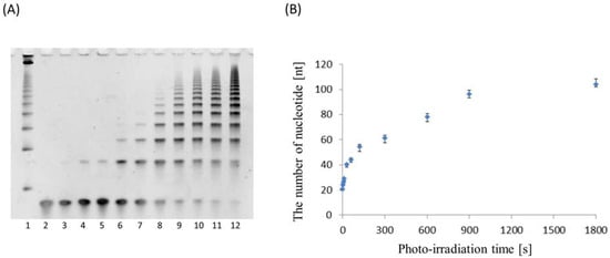
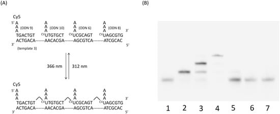
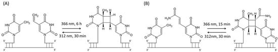
2. Results and Discussion









3. Experimental
3.1. General
3.2. Synthesis of Artificial Nucleotide
3.2. Synthesis of Oligonucleotides in This Experiment
| No. | Sequence(5′-3′) |
|---|---|
| ODN 1 | TGTGCT |
| ODN 2 | VCGCAGT |
| ODN 3 | VUTTCCC |
| ODN 4 | VUGCGTG |
| ODN 5 | Cy3-AAATTGTGCT |
| ODN 6 | AAACVUCGCAGT |
| ODN 7 | AAACVUGACTGT |
| ODN 8 | AAACVUAGCGTG |
| ODN 9 | Cy5-AAATGACTGT |
| ODN 10 | AAACVUTGTGCT |
| ODN 11 | AAACVUGTCGACAAGTTAACT |
| Template 1 | CACGCAGGGAAAACTGCGAGCACA |
| Template 2 | CACGCTAACAGTCAACTGCGAAGCACAA |
| Template 3 | CACGCTAACTGCGAAGCACAAACAGTCA |
| Template 4 | CACGCTAACTGCGAACAGTCAAGCACAA |
3.3. Preparation of 5′-32P-end-labeled ODN
3.4. Annealing and Photoirradiation
3.5. Photoirradiation of DNA Oligomer as Monitored by PAGE
3.6. Time Course of the Self-Assembled Structure by PAGE
4. Conclusions
Acknowledgments
References and Notes
- Lohman, G.J.; Chen, L.; Evans, T.C. Kinetic characterization of single strand breakligationin duplex DNA by T4 DNA Ligase. J. Biol. Chem. 2011, 286, 44187–44196. [Google Scholar]
- Liu, J.; Taylor, J.S. Template-directed photoligation of oligodeoxyribonucleotides via 4-thiothymidine. Nucleic. Acids. Res. 1998, 26, 3300–3304. [Google Scholar] [CrossRef]
- He, Y.; Liu, D.R. A sequential strand-displacement strategy enables efficient six-step DNA-templated synthesis. J. Am. Chem. Soc. 2011, 133, 9972–9975. [Google Scholar] [CrossRef]
- Gothelf, K.V.; Thomsen, A.; Nielsen, M.; Cló, E.; Brown, R.S. Modular DNA programmed assembly of linear and branched conjugated nanostructures. J. Am. Chem. Soc. 2004, 126, 1044–1046. [Google Scholar]
- Kleiner, R.E.; Dumelin, C.E.; Tiu, G.C.; Sakurai, K.; Liu, D.R. In vitro selection of a DNA-templated small-molecule library reveals a class of macrocyclic kinase inhibitors. J. Am. Chem. Soc. 2010, 132, 11779–11791. [Google Scholar] [CrossRef]
- Zhou, Q.; Rokita, S.E. A general strategy for target-promoted alkylation in biological systems. Proc. Natl. Acad. Sci. USA 2003, 100, 15452–15457. [Google Scholar] [CrossRef]
- Yoshinaga, Y.; Daisuke, O.; Masayuki, O.; Kenzo, F. Highly selective and sensitive template-directed photoligation of DNA via 5-carbamoylvinyl-2-deoxyuridine. Org. Lett. 2006, 8, 5049. [Google Scholar] [CrossRef]
- Leubke, K.J.; Dervan, P.B. Nonenzymatic ligation of oligodeoxyribonucleotides on a duplex DNA template by triple-helix formation. J. Am. Chem. Soc. 1987, 111, 8733–8735. [Google Scholar]
- El-Sagheer, A.H.; Cheong, V.V.; Brown, T. Rapidchemicalligationof oligonucleotides by the Diels-Alder reaction. Org. Biomol. Chem. 2011, 9, 232–235. [Google Scholar] [CrossRef]
- Lewis, R.J.; Hanawalt, P.S. Nick sealing T4 DNA ligase on a modified DNA template: Tethering a functional molecules on D-threoninol. Nature 1982, 298, 393. [Google Scholar] [CrossRef]
- Ligang, Z.; Hai, L.; George, C.S.; Frederick, D.L. Synthesis and properties of nicked dumbbell and bumbbell DNA conjugates having stilbenedicarboxamide linkers. Org. Biomol. Chem. 2007, 5, 450–456. [Google Scholar] [CrossRef]
- Ihara, T.; Fuji, T.; Mukae, M.; Kitamura, Y.; Jyo, A. Photochemical ligation of DNA conjugates through anthracene cyclodimer formation and its fidelity to the template sequences. J. Am. Chem. Soc. 2004, 126, 8880–8881. [Google Scholar] [CrossRef]
- Fujimoto, K.; Matuda, S.; Takahashi, N.; Saito, Isao. Template-directed photoreversible ligation of deoxyoligonucleotides via 5-vinydeoxyuridine. J. Am. Chem. Soc. 2000, 122, 5646–5647. [Google Scholar] [CrossRef]
- You, Y.H.; Lee, D.H.; Yoon, J.H.; Nakajima, S.; Yasui, A.; Pfeifer, G.P. Cyclobutane pyrimidine dimers are responsible for the vast majority of mutations induced by UVB irradiation in mammalian cells. J. Biol. Chem. 2001, 276, 44688–44694. [Google Scholar]
- Ogasawara, S.; Fujimoto, K. A novel method to synthesize versatile multiple-branched DNA (MB-DNA) by reversible photochemical ligation. Chem. Biol. Chem. 2005, 10, 1756. [Google Scholar]
- Fujimoto, K.; Matuda, S.; Ogawa, N; Hayashi, M.; Saito, I. Template-directed reversible photocircularization of DNA via 5-vinyldeoxycytidine. Tetrahedron Lett. 2000, 41, 6451–6454. [Google Scholar] [CrossRef]
- Nakamura, F.; Ito, E.; Sakao, Y.; Ueno, N.; Gatuna, I.N.; Ohuchi, F.S.; Hara, M. Preparation of a branched DNA self-assembled monolayer toward sensitive dna biosensors. Nano. Lett. 2003, 3, 1083–1086. [Google Scholar] [CrossRef]
- Becerril, H.A.; Stoltenberg, R.M.; Wheeler, D.R.; Davis, R.C.; Harb, J.N.; Woolley, A.T. DNA-templated three-branched nanostructures for nanoelectronic devices. J. Am. Chem. Soc. 2005, 127, 2828–2829. [Google Scholar]
- Ogasawara, S.; Ami, T.; Fujimoto, K. Autonomous DNA computing machine based on photochemical gate transition. J. Am. Chem. Soc. 2008, 130, 10050–10051. [Google Scholar] [CrossRef]
- Seeman, N.C. Nucleic acid junction and lattices. J. Theor. Biol. 1982, 99, 237–247. [Google Scholar] [CrossRef]
- Pothemund, P.W. Folding DNA to create nanoscale shaped and patterns. Nature 2006, 16, 297–302. [Google Scholar]
- Lehman, I.R. DNA ligase: Structure, mechanism, and function. Science 1974, 29, 790–797. [Google Scholar]
- Rinker, S.; Ke, Y.; Liu, Y.; Chhabra, R.; Yan, H. Self-assembledDNAnanostructures for distance dependent multivalent ligand-protein binding. Nat. Nanotechnol. 2008, 3, 418–422. [Google Scholar] [CrossRef]
- Maniatis, T.; Fritsch, E.F.; Sambrool, J. Molecular Cloning; Cold Spring Harbor Laboratory Press: Plainview, New York, NY, USA, 1982. [Google Scholar]
- Sambrook, J.; Fritsch, E.F.; Maniatis, T. Molecular Cloning: A Laboratory Manual, 2nd ed; Cold Spring Harbor Laboratory Press: New York, NY, USA, 1989. [Google Scholar]
- Sample Availability: Samples of the compounds 5 and 6 are available from the authors.
© 2012 by the authors; licensee MDPI, Basel, Switzerland. This article is an open-access article distributed under the terms and conditions of the Creative Commons Attribution license (http://creativecommons.org/licenses/by/3.0/).
Share and Cite
Nakamura, S.; Ogasawara, S.; Matuda, S.; Saito, I.; Fujimoto, K. Template Directed Reversible Photochemical Ligation of Oligodeoxynucleotides. Molecules 2012, 17, 163-178. https://doi.org/10.3390/molecules17010163
Nakamura S, Ogasawara S, Matuda S, Saito I, Fujimoto K. Template Directed Reversible Photochemical Ligation of Oligodeoxynucleotides. Molecules. 2012; 17(1):163-178. https://doi.org/10.3390/molecules17010163
Chicago/Turabian StyleNakamura, Shigetaka, Shinzi Ogasawara, Shigeo Matuda, Isao Saito, and Kenzo Fujimoto. 2012. "Template Directed Reversible Photochemical Ligation of Oligodeoxynucleotides" Molecules 17, no. 1: 163-178. https://doi.org/10.3390/molecules17010163
APA StyleNakamura, S., Ogasawara, S., Matuda, S., Saito, I., & Fujimoto, K. (2012). Template Directed Reversible Photochemical Ligation of Oligodeoxynucleotides. Molecules, 17(1), 163-178. https://doi.org/10.3390/molecules17010163
