Beneficial Effects of THSG on Acetic Acid-Induced Experimental Colitis: Involvement of Upregulation of PPAR-γ and Inhibition of the Nf-Κb Inflammatory Pathway
Abstract
:1. Introduction

2. Results and Discussion
2.1. Results
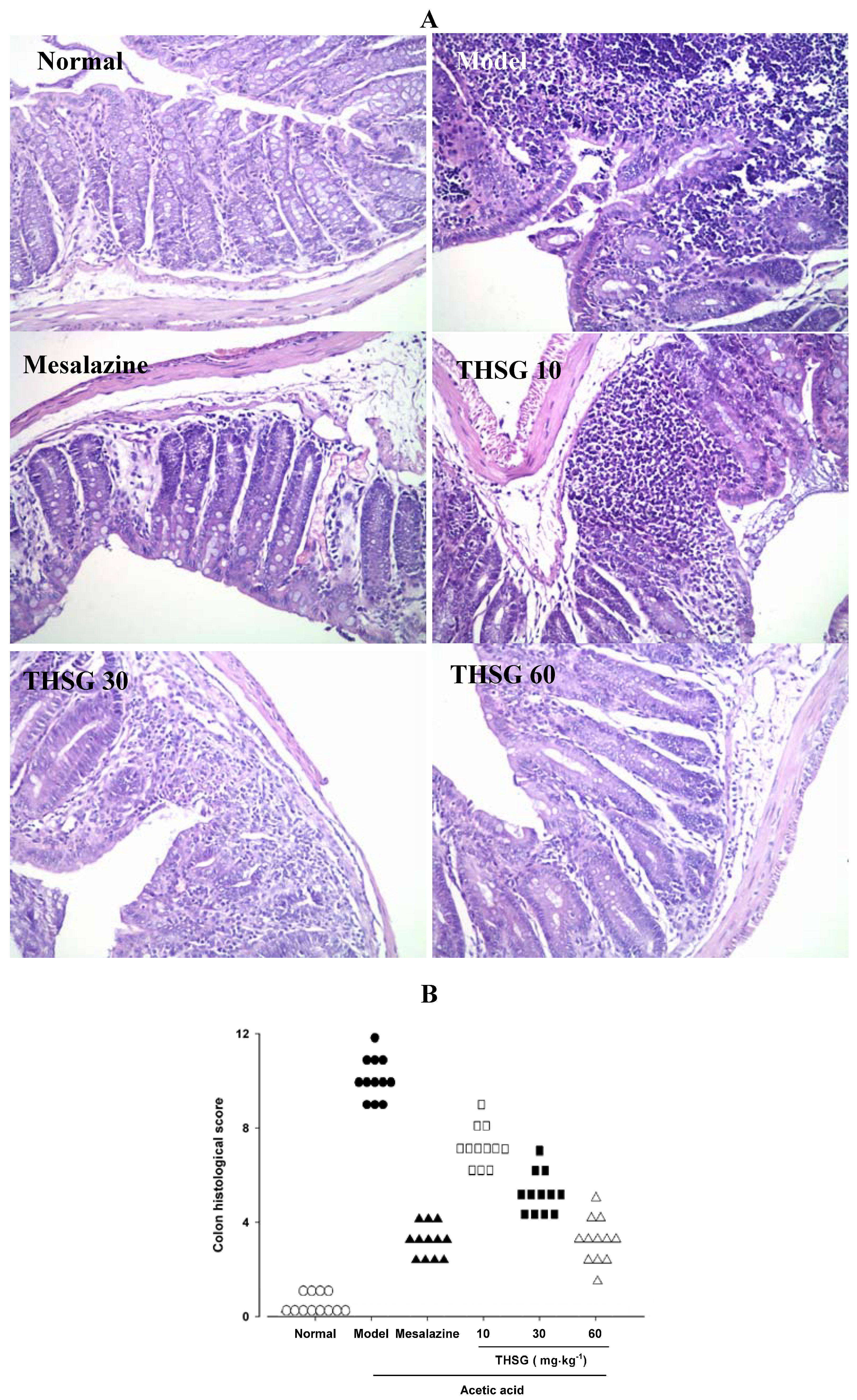
2.1.1. Beneficial Effects of THSG on Acetic Acid-Induced Colitis in Mice


2.1.2. Effect of THSG on MDA Levels

2.1.3. Effects of THSG on Inflammatory Mediators TNF-α, IL-6 and COX-2


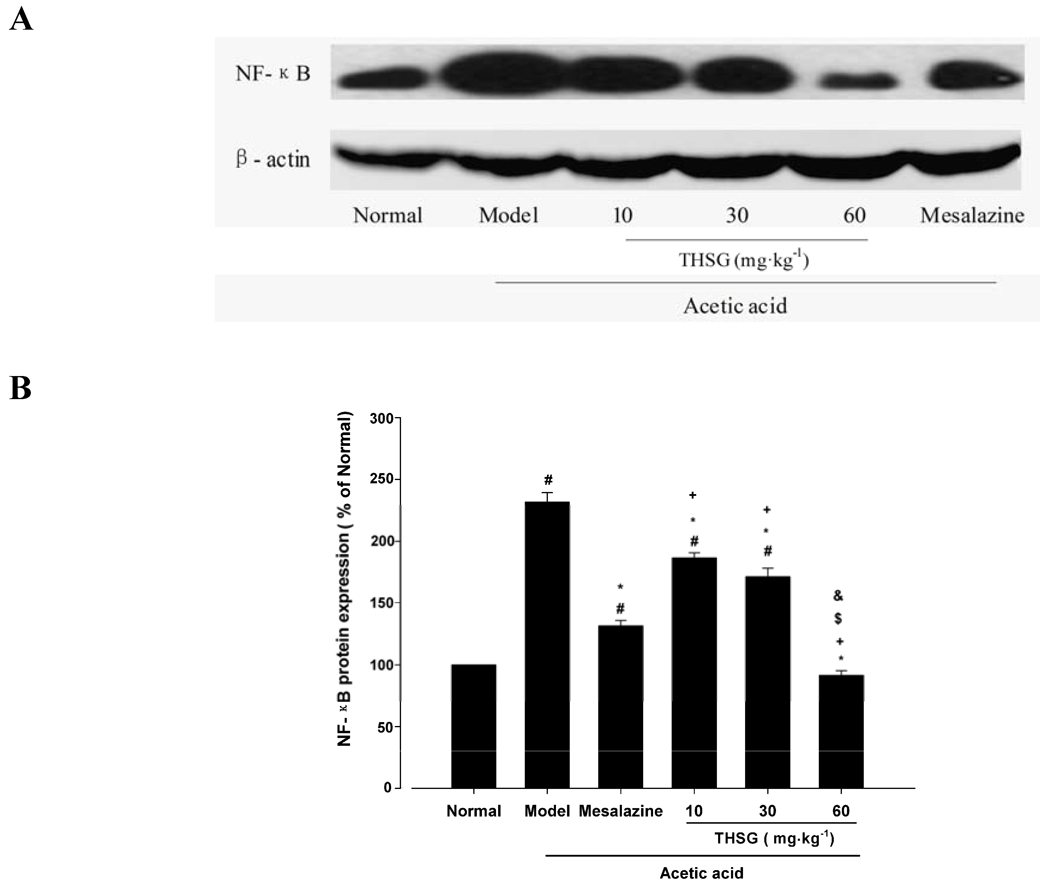
2.1.4. Effect of THSG on NF-κB Expression

2.1.5. Effect of THSG on PPAR-γ Expression


2.2. Discussion
3. Experimental
3.1. Materials
3.2. Experimental Animals
3.3. Experimental Protocol
3.4. Preparation of Colitis Mice Model Induced by Acetic Acid
3.5. Evaluation of Colitis Damage
3.6. Measurement of MDA Level
3.7. Western Blot Analysis
3.8. Reverse Transcription Polymerase Chain Reaction (RT-PCR)
3.9. Statistical Analysis
4. Conclusions
Acknowledgments
Conflict of Interest
- Samples Availability: Small samples of the compounds are available from the authors.
References
- Xavier, R.J.; Podolsky, D.K. Unravelling the pathogenesis of inflammatory bowel disease. Nature 2007, 448, 427–434. [Google Scholar] [Green Version]
- Bosani, M.; Ardizzone, S.; Porro, G.B. Biologic targeting in the treatment of inflammatory bowel diseases. Biologics 2009, 3, 77–97. [Google Scholar] [Green Version]
- De Vry, C.G.; Prasad, S.; Komuves, L.; Lorenzana, C.; Parham, C.; Le, T.; Adda, S.; Hoffman, J.; Kahoud, N.; Garlapati, R.; et al. Non-viral delivery of nuclear factor-kappab decoy ameliorates murine inflammatory bowel disease and restores tissue homeostasis. Gut 2007, 56, 524–533. [Google Scholar] [CrossRef]
- Takedatsu, H.; Taylor, K.D.; Mei, L.; McGovern, D.P.; Landers, C.J.; Gonsky, R.; Cong, Y.; Vasiliauskas, E.A.; Ippoliti, A.; Elson, C.O.; et al. Linkage of crohn's disease-related serological phenotypes: Nfkb1 haplotypes are associated with anti-cbir1 and asca, and show reduced nf-kappab activation. Gut 2009, 58, 60–67. [Google Scholar] [CrossRef]
- Kelly, D.; Campbell, J.I.; King, T.P.; Grant, G.; Jansson, E.A.; Coutts, A.G.; Pettersson, S.; Conway, S. Commensal anaerobic gut bacteria attenuate inflammation by regulating nuclear-cytoplasmic shuttling of ppar-gamma and rela. Nat. Immunol. 2004, 5, 104–112. [Google Scholar] [CrossRef]
- Dubuquoy, L.; Rousseaux, C.; Thuru, X.; Peyrin-Biroulet, L.; Romano, O.; Chavatte, P.; Chamaillard, M.; Desreumaux, P. PPARγ as a new therapeutic target in inflammatory bowel diseases. Gut 2006, 55, 1341–1349. [Google Scholar] [CrossRef]
- Adachi, M.; Kurotani, R.; Morimura, K.; Shah, Y.; Sanford, M.; Madison, B.B.; Gumucio, D.L.; Marin, H.E.; Peters, J.M.; Young, H.A.; et al. Peroxisome proliferator activated receptor gamma in colonic epithelial cells protects against experimental inflammatory bowel disease. Gut 2006, 55, 1104–1113. [Google Scholar]
- Su, C.G.; Wen, X.; Bailey, S.T.; Jiang, W.; Rangwala, S.M.; Keilbaugh, S.A.; Flanigan, A.; Murthy, S.; Lazar, M.A.; Wu, G.D. A novel therapy for colitis utilizing ppar-gamma ligands to inhibit the epithelial inflammatory response. J. Clin. Invest. 1999, 104, 383–389. [Google Scholar] [CrossRef]
- Desreumaux, P.; Dubuquoy, L. Ppargamma agonists as a new class of effective treatment for ulcerative colitis. Inflamm. Bowel Dis. 2009, 15, 959–960. [Google Scholar] [CrossRef]
- Rousseaux, C.; Lefebvre, B.; Dubuquoy, L.; Lefebvre, P.; Romano, O.; Auwerx, J.; Metzger, D.; Wahli, W.; Desvergne, B.; Naccari, G.C.; et al. Intestinal antiinflammatory effect of 5-aminosalicylic acid is dependent on peroxisome proliferator-activated receptor-gamma. J. Exp. Med. 2005, 201, 1205–1215. [Google Scholar] [CrossRef]
- Hontecillas, R.; Horne, W.T.; Climent, M.; Guri, A.J.; Evans, C.; Zhang, Y.; Sobral, B.W.; Bassaganya-Riera, J. Immunoregulatory mechanisms of macrophage ppar-gamma in mice with experimental inflammatory bowel disease. Mucosal Immunol. 2011, 4, 304–313. [Google Scholar] [CrossRef]
- Naito, Y.; Yoshikawa, T. [ppargamma as a new therapeutic target in inflammatory diseases]. Nippon Rinsho 2010, 68, 341–349. [Google Scholar]
- Mohapatra, S.K.; Guri, A.J.; Climent, M.; Vives, C.; Carbo, A.; Horne, W.T.; Hontecillas, R.; Bassaganya-Riera, J. Immunoregulatory actions of epithelial cell ppar gamma at the colonic mucosa of mice with experimental inflammatory bowel disease. PLoS One 2010, 5, e10215. [Google Scholar]
- Liu, Q.L.; Xiao, J.H.; Ma, R.; Ban, Y.; Wang, J.L. Effect of 2,3,5,4'-tetrahydroxystilbene-2-o-beta-d-glucoside on lipoprotein oxidation and proliferation of coronary arterial smooth cells. J. Asian Nat. Prod. Res. 2007, 9, 689–697. [Google Scholar] [CrossRef]
- Zhang, W.; Wang, C.H.; Li, F.; Zhu, W.Z. 2,3,4',5-tetrahydroxystilbene-2-o-beta-d-glucoside suppresses matrix metalloproteinase expression and inflammation in atherosclerotic rats. Clin. Exp. Pharmacol. Physiol. 2008, 35, 310–316. [Google Scholar] [CrossRef]
- Wang, R.; Tang, Y.; Feng, B.; Ye, C.; Fang, L.; Zhang, L.; Li, L. Changes in hippocampal synapses and learning-memory abilities in age-increasing rats and effects of tetrahydroxystilbene glucoside in aged rats. Neuroscience 2007, 149, 739–746. [Google Scholar] [CrossRef]
- Zhang, Y.Z.; Shen, J.F.; Xu, J.Y.; Xiao, J.H.; Wang, J.L. Inhibitory effects of 2,3,5,4'-tetrahydroxystilbene-2-o-beta-d-glucoside on experimental inflammation and cyclooxygenase 2 activity. J. Asian Nat. Prod. Res. 2007, 9, 355–363. [Google Scholar] [CrossRef]
- Varilek, G.W.; Yang, F.; Lee, E.Y.; deVilliers, W.J.; Zhong, J.; Oz, H.S.; Westberry, K.F.; McClain, C.J. Green tea polyphenol extract attenuates inflammation in interleukin-2-deficient mice, a model of autoimmunity. J. Nutr. 2001, 131, 2034–2039. [Google Scholar]
- Ukil, A.; Maity, S.; Das, P.K. Protection from experimental colitis by theaflavin-3,3'-digallate correlates with inhibition of ikk and nf-kappab activation. Br. J. Pharmacol. 2006, 149, 121–131. [Google Scholar] [CrossRef]
- Ukil, A.; Maity, S.; Karmakar, S.; Datta, N.; Vedasiromoni, J.R.; Das, P.K. Curcumin, the major component of food flavour turmeric, reduces mucosal injury in trinitrobenzene sulphonic acid-induced colitis. Br. J. Pharmacol. 2003, 139, 209–218. [Google Scholar] [CrossRef]
- Wang, X.; Zhao, L.; Han, T.; Chen, S.; Wang, J. Protective effects of 2,3,5,4'-tetrahydroxystilbene-2-o-beta-d-glucoside, an active component of polygonum multiflorum thunb, on experimental colitis in mice. Eur. J. Pharmacol. 2008, 578, 339–348. [Google Scholar] [CrossRef]
- Wallace, J.L.; Braquet, P.; Ibbotson, G.C.; MacNaughton, W.K.; Cirino, G. Assessment of the role of platelet-activating factor in an animal model of inflammatory bowel disease. J. Lipid Mediat. 1989, 1, 13–23. [Google Scholar]
- Sanchez-Munoz, F.; Dominguez-Lopez, A.; Yamamoto-Furusho, J.K. Role of cytokines in inflammatory bowel disease. World J. Gastroenterol. 2008, 14, 4280–4288. [Google Scholar] [CrossRef]
- Suzuki, A.; Hanada, T.; Mitsuyama, K.; Yoshida, T.; Kamizono, S.; Hoshino, T.; Kubo, M.; Yamashita, A.; Okabe, M.; Takeda, K.; et al. Cis3/socs3/ssi3 plays a negative regulatory role in stat3 activation and intestinal inflammation. J. Exp. Med. 2001, 193, 471–481. [Google Scholar] [CrossRef]
- Rogler, G.; Andus, T. Cytokines in inflammatory bowel disease. World J. Surg. 1998, 22, 382–389. [Google Scholar] [CrossRef]
- Tsatsanis, C.; Androulidaki, A.; Venihaki, M.; Margioris, A.N. Signalling networks regulating cyclooxygenase-2. Int. J. Biochem. Cell Biol. 2006, 38, 1654–1661. [Google Scholar] [CrossRef]
- Khoshakhlagh, P.; Bahrololoumi-Shapourabadi, M.; Mohammadirad, A.; Ashtaral-Nakhai, L.; Minaie, B.; Abdollahi, M. Beneficial effect of phosphodiesterase-5 inhibitor in experimental inflammatory bowel disease; molecular evidence for involvement of oxidative stress. Toxicol. Mech. Methods 2007, 17, 281–288. [Google Scholar] [CrossRef]
- Carroll, I.M.; Andrus, J.M.; Bruno-Barcena, J.M.; Klaenhammer, T.R.; Hassan, H.M.; Threadgill, D.S. Anti-inflammatory properties of lactobacillus gasseri expressing manganese superoxide dismutase using the interleukin 10-deficient mouse model of colitis. Am. J. Physiol. Gastrointest. Liver Physiol. 2007, 293, G729–738. [Google Scholar] [CrossRef]
- Haddad, J.J. Amiloride and the regulation of nf-kappab: An unsung crosstalk and missing link between fluid dynamics and oxidative stress-related inflammation--controversy or pseudo-controversy? Biochem. Biophys. Res. Commun. 2005, 327, 373–381. [Google Scholar] [CrossRef]
- Shen, H.M.; Pervaiz, S. Tnf receptor superfamily-induced cell death: Redox-dependent execution. FASEB J. 2006, 20, 1589–1598. [Google Scholar] [CrossRef]
- Del Rio, D.; Stewart, A.J.; Pellegrini, N. A review of recent studies on malondialdehyde as toxic molecule and biological marker of oxidative stress. Nutr. Metab. Cardiovasc. Dis. 2005, 15, 316–328. [Google Scholar] [CrossRef]
- Wahli, W. A gut feeling of the pxr, ppar and nf-kappab connection. J. Intern. Med. 2008, 263, 613–619. [Google Scholar] [CrossRef]
- Bensinger, S.J.; Tontonoz, P. Integration of metabolism and inflammation by lipid-activated nuclear receptors. Nature 2008, 454, 470–477. [Google Scholar]
- Aoyagi, Y.; Nagata, S.; Kudo, T.; Fujii, T.; Wada, M.; Chiba, Y.; Ohtsuka, Y.; Yamashiro, Y.; Shimizu, T.; Ohkusa, T. Peroxisome proliferator-activated receptor gamma 2 mutation may cause a subset of ulcerative colitis. Pediatr. Int. 2010, 52, 729–734. [Google Scholar] [CrossRef]
- Yamamoto-Furusho, J.K.; Penaloza-Coronel, A.; Sanchez-Munoz, F.; Barreto-Zuniga, R.; Dominguez-Lopez, A. Peroxisome proliferator-activated receptor-gamma (ppar-gamma) expression is downregulated in patients with active ulcerative colitis. Inflamm. Bowel Dis. 2011, 17, 680–681. [Google Scholar] [CrossRef]
- Sanchez-Hidalgo, M.; Martin, A.R.; Villegas, I.; de la Lastra, C.A. Rosiglitazone, a ppargamma ligand, modulates signal transduction pathways during the development of acute tnbs-induced colitis in rats. Eur. J. Pharmacol. 2007, 562, 247–258. [Google Scholar] [CrossRef]
- Nissen, S.E.; Wolski, K. Effect of rosiglitazone on the risk of myocardial infarction and death from cardiovascular causes. N. Engl. J. Med. 2007, 356, 2457–2471. [Google Scholar] [CrossRef]
- Zhang, S.H.; Wang, W.Q.; Wang, J.L. Protective effect of tetrahydroxystilbene glucoside on cardiotoxicity induced by doxorubicin in vitro and in vivo. Acta Pharmacol. Sin. 2009, 30, 1479–1487. [Google Scholar] [CrossRef]
- Zhang, J.D.; Jiang, Y.Y.; Cao, Y.B.; Chen, W.S.; Xu, Z. Toxicological study of stilbene glycoside (In Chinese). Chin. Pharmacol. 2004, 4, 37. [Google Scholar]
© 2011 by the authors; licensee MDPI, Basel, Switzerland. This article is an open access article distributed under the terms and conditions of the Creative Commons Attribution license ( http://creativecommons.org/licenses/by/3.0/).
Share and Cite
Zeng, C.; Xiao, J.-H.; Chang, M.-J.; Wang, J.-L. Beneficial Effects of THSG on Acetic Acid-Induced Experimental Colitis: Involvement of Upregulation of PPAR-γ and Inhibition of the Nf-Κb Inflammatory Pathway. Molecules 2011, 16, 8552-8568. https://doi.org/10.3390/molecules16108552
Zeng C, Xiao J-H, Chang M-J, Wang J-L. Beneficial Effects of THSG on Acetic Acid-Induced Experimental Colitis: Involvement of Upregulation of PPAR-γ and Inhibition of the Nf-Κb Inflammatory Pathway. Molecules. 2011; 16(10):8552-8568. https://doi.org/10.3390/molecules16108552
Chicago/Turabian StyleZeng, Cheng, Jun-Hua Xiao, Mu-Jun Chang, and Jia-Ling Wang. 2011. "Beneficial Effects of THSG on Acetic Acid-Induced Experimental Colitis: Involvement of Upregulation of PPAR-γ and Inhibition of the Nf-Κb Inflammatory Pathway" Molecules 16, no. 10: 8552-8568. https://doi.org/10.3390/molecules16108552
APA StyleZeng, C., Xiao, J.-H., Chang, M.-J., & Wang, J.-L. (2011). Beneficial Effects of THSG on Acetic Acid-Induced Experimental Colitis: Involvement of Upregulation of PPAR-γ and Inhibition of the Nf-Κb Inflammatory Pathway. Molecules, 16(10), 8552-8568. https://doi.org/10.3390/molecules16108552
